Hip Pain After Pao Surgery . • faulty movement patterns and postures suggested therapeutic exercises • open. In the weeks after surgery, new bone tissue heals where the surgeon cut the bone. Pao is often recommended for patients with hip dysplasia, a condition in which the hip socket doesn’t fully cover the ball portion of the upper. Periacetabular osteotomy (pao) is a surgical treatment for younger patients (40 and under) who have hip dysplasia resulting from a deformity in. Indications for pao surgery throughout the study were (1) symptomatic dysplasia of the hip with persistent hip pain and reduced function, (2). Pao surgery treats hip dysplasia, leading to some significant benefits for the hip joint and nearby muscles. Osteotomy site after pao is common and can cause tendinopathy. For young people with hip dysplasia and other hip conditions, pao can reduce pain, improve hip function and quality of life, and allow them to live physically active lives, including playing sports.
from regenexx.com
Pao is often recommended for patients with hip dysplasia, a condition in which the hip socket doesn’t fully cover the ball portion of the upper. Pao surgery treats hip dysplasia, leading to some significant benefits for the hip joint and nearby muscles. For young people with hip dysplasia and other hip conditions, pao can reduce pain, improve hip function and quality of life, and allow them to live physically active lives, including playing sports. Periacetabular osteotomy (pao) is a surgical treatment for younger patients (40 and under) who have hip dysplasia resulting from a deformity in. Osteotomy site after pao is common and can cause tendinopathy. • faulty movement patterns and postures suggested therapeutic exercises • open. Indications for pao surgery throughout the study were (1) symptomatic dysplasia of the hip with persistent hip pain and reduced function, (2). In the weeks after surgery, new bone tissue heals where the surgeon cut the bone.
Periacetabular Osteotomy Should You Get Hip PAO Surgery? Regenexx
Hip Pain After Pao Surgery • faulty movement patterns and postures suggested therapeutic exercises • open. Pao surgery treats hip dysplasia, leading to some significant benefits for the hip joint and nearby muscles. Osteotomy site after pao is common and can cause tendinopathy. For young people with hip dysplasia and other hip conditions, pao can reduce pain, improve hip function and quality of life, and allow them to live physically active lives, including playing sports. Indications for pao surgery throughout the study were (1) symptomatic dysplasia of the hip with persistent hip pain and reduced function, (2). In the weeks after surgery, new bone tissue heals where the surgeon cut the bone. Periacetabular osteotomy (pao) is a surgical treatment for younger patients (40 and under) who have hip dysplasia resulting from a deformity in. • faulty movement patterns and postures suggested therapeutic exercises • open. Pao is often recommended for patients with hip dysplasia, a condition in which the hip socket doesn’t fully cover the ball portion of the upper.
From old.johnclohisymd.com
PAO and surgical dislocation for a “Perthes” deformity in a 29 year old Hip Pain After Pao Surgery Periacetabular osteotomy (pao) is a surgical treatment for younger patients (40 and under) who have hip dysplasia resulting from a deformity in. For young people with hip dysplasia and other hip conditions, pao can reduce pain, improve hip function and quality of life, and allow them to live physically active lives, including playing sports. Pao surgery treats hip dysplasia, leading. Hip Pain After Pao Surgery.
From www.healthyhipsaustralia.org.au
PAO surgery for hip dysplasia Healthy Hips Australia Hip Pain After Pao Surgery Pao is often recommended for patients with hip dysplasia, a condition in which the hip socket doesn’t fully cover the ball portion of the upper. In the weeks after surgery, new bone tissue heals where the surgeon cut the bone. Indications for pao surgery throughout the study were (1) symptomatic dysplasia of the hip with persistent hip pain and reduced. Hip Pain After Pao Surgery.
From www.pinterest.com
PAO Hip Surgery PAO Girl Hip surgery, Surgery, Hips Hip Pain After Pao Surgery Pao is often recommended for patients with hip dysplasia, a condition in which the hip socket doesn’t fully cover the ball portion of the upper. • faulty movement patterns and postures suggested therapeutic exercises • open. For young people with hip dysplasia and other hip conditions, pao can reduce pain, improve hip function and quality of life, and allow them. Hip Pain After Pao Surgery.
From old.johnclohisymd.com
PAO surgery to treat a 29 year old female with hip dysplasia and a Hip Pain After Pao Surgery • faulty movement patterns and postures suggested therapeutic exercises • open. Periacetabular osteotomy (pao) is a surgical treatment for younger patients (40 and under) who have hip dysplasia resulting from a deformity in. Pao surgery treats hip dysplasia, leading to some significant benefits for the hip joint and nearby muscles. For young people with hip dysplasia and other hip conditions,. Hip Pain After Pao Surgery.
From www.pinterest.com
Pin on Fitness Hip Pain After Pao Surgery Indications for pao surgery throughout the study were (1) symptomatic dysplasia of the hip with persistent hip pain and reduced function, (2). Pao surgery treats hip dysplasia, leading to some significant benefits for the hip joint and nearby muscles. Osteotomy site after pao is common and can cause tendinopathy. For young people with hip dysplasia and other hip conditions, pao. Hip Pain After Pao Surgery.
From www.youtube.com
Hip PAO Surgery Complications YouTube Hip Pain After Pao Surgery • faulty movement patterns and postures suggested therapeutic exercises • open. Indications for pao surgery throughout the study were (1) symptomatic dysplasia of the hip with persistent hip pain and reduced function, (2). In the weeks after surgery, new bone tissue heals where the surgeon cut the bone. Pao surgery treats hip dysplasia, leading to some significant benefits for the. Hip Pain After Pao Surgery.
From www.youtube.com
Hip Arthroscopy Labral Repair & PAO Two Years PostOp & One Year Post Hip Pain After Pao Surgery Indications for pao surgery throughout the study were (1) symptomatic dysplasia of the hip with persistent hip pain and reduced function, (2). Pao is often recommended for patients with hip dysplasia, a condition in which the hip socket doesn’t fully cover the ball portion of the upper. • faulty movement patterns and postures suggested therapeutic exercises • open. Osteotomy site. Hip Pain After Pao Surgery.
From old.johnclohisymd.com
PAO surgery in young female patient with hip dysplasia St. Louis Hip Hip Pain After Pao Surgery Pao surgery treats hip dysplasia, leading to some significant benefits for the hip joint and nearby muscles. For young people with hip dysplasia and other hip conditions, pao can reduce pain, improve hip function and quality of life, and allow them to live physically active lives, including playing sports. Periacetabular osteotomy (pao) is a surgical treatment for younger patients (40. Hip Pain After Pao Surgery.
From www.stanfordchildrens.org
Periacetabular Osteotomy (PAO) Stanford Medicine Children's Health Hip Pain After Pao Surgery Pao surgery treats hip dysplasia, leading to some significant benefits for the hip joint and nearby muscles. In the weeks after surgery, new bone tissue heals where the surgeon cut the bone. Pao is often recommended for patients with hip dysplasia, a condition in which the hip socket doesn’t fully cover the ball portion of the upper. For young people. Hip Pain After Pao Surgery.
From fyopkvhig.blob.core.windows.net
Hip Pain After Open Heart Surgery at Maria Hobbs blog Hip Pain After Pao Surgery Osteotomy site after pao is common and can cause tendinopathy. • faulty movement patterns and postures suggested therapeutic exercises • open. Pao surgery treats hip dysplasia, leading to some significant benefits for the hip joint and nearby muscles. Periacetabular osteotomy (pao) is a surgical treatment for younger patients (40 and under) who have hip dysplasia resulting from a deformity in.. Hip Pain After Pao Surgery.
From regenexx.com
Periacetabular Osteotomy Should You Get Hip PAO Surgery? Regenexx Hip Pain After Pao Surgery • faulty movement patterns and postures suggested therapeutic exercises • open. Pao surgery treats hip dysplasia, leading to some significant benefits for the hip joint and nearby muscles. Indications for pao surgery throughout the study were (1) symptomatic dysplasia of the hip with persistent hip pain and reduced function, (2). Pao is often recommended for patients with hip dysplasia, a. Hip Pain After Pao Surgery.
From www.regenexx.com
Should You get Hip PAO Surgery? Hip Pain After Pao Surgery Pao is often recommended for patients with hip dysplasia, a condition in which the hip socket doesn’t fully cover the ball portion of the upper. Pao surgery treats hip dysplasia, leading to some significant benefits for the hip joint and nearby muscles. • faulty movement patterns and postures suggested therapeutic exercises • open. Periacetabular osteotomy (pao) is a surgical treatment. Hip Pain After Pao Surgery.
From creakyjoints.org
Hip Replacement Recovery Tips from Doctors and Patients Hip Pain After Pao Surgery Osteotomy site after pao is common and can cause tendinopathy. • faulty movement patterns and postures suggested therapeutic exercises • open. Periacetabular osteotomy (pao) is a surgical treatment for younger patients (40 and under) who have hip dysplasia resulting from a deformity in. For young people with hip dysplasia and other hip conditions, pao can reduce pain, improve hip function. Hip Pain After Pao Surgery.
From clohisyhipsurgeon.com
PAO surgery in young female patient with hip dysplasia John C Hip Pain After Pao Surgery Periacetabular osteotomy (pao) is a surgical treatment for younger patients (40 and under) who have hip dysplasia resulting from a deformity in. • faulty movement patterns and postures suggested therapeutic exercises • open. Osteotomy site after pao is common and can cause tendinopathy. Pao surgery treats hip dysplasia, leading to some significant benefits for the hip joint and nearby muscles.. Hip Pain After Pao Surgery.
From www.youtube.com
Hip Surgery Day Vlog (PAO & FO Hardware Removal) hipdysplasia YouTube Hip Pain After Pao Surgery Indications for pao surgery throughout the study were (1) symptomatic dysplasia of the hip with persistent hip pain and reduced function, (2). Periacetabular osteotomy (pao) is a surgical treatment for younger patients (40 and under) who have hip dysplasia resulting from a deformity in. Pao is often recommended for patients with hip dysplasia, a condition in which the hip socket. Hip Pain After Pao Surgery.
From clohisyhipsurgeon.com
hip replacement St. Louis, MO Perthes Disease, Washington University Hip Pain After Pao Surgery Pao surgery treats hip dysplasia, leading to some significant benefits for the hip joint and nearby muscles. Indications for pao surgery throughout the study were (1) symptomatic dysplasia of the hip with persistent hip pain and reduced function, (2). Pao is often recommended for patients with hip dysplasia, a condition in which the hip socket doesn’t fully cover the ball. Hip Pain After Pao Surgery.
From chixwithtrix.com
PAO surgery Archives CHIXWITHTRIX Hip Pain After Pao Surgery • faulty movement patterns and postures suggested therapeutic exercises • open. For young people with hip dysplasia and other hip conditions, pao can reduce pain, improve hip function and quality of life, and allow them to live physically active lives, including playing sports. Pao is often recommended for patients with hip dysplasia, a condition in which the hip socket doesn’t. Hip Pain After Pao Surgery.
From www.pennmedicine.org
PAO in Young Patients for Hip DysplasiaAssociated Labral Tears Penn Hip Pain After Pao Surgery Indications for pao surgery throughout the study were (1) symptomatic dysplasia of the hip with persistent hip pain and reduced function, (2). • faulty movement patterns and postures suggested therapeutic exercises • open. Pao is often recommended for patients with hip dysplasia, a condition in which the hip socket doesn’t fully cover the ball portion of the upper. Periacetabular osteotomy. Hip Pain After Pao Surgery.
From www.socalhip.com
Bony Stability following PAO Surgery North Hollywood Los Angeles Hip Pain After Pao Surgery Periacetabular osteotomy (pao) is a surgical treatment for younger patients (40 and under) who have hip dysplasia resulting from a deformity in. Pao is often recommended for patients with hip dysplasia, a condition in which the hip socket doesn’t fully cover the ball portion of the upper. Osteotomy site after pao is common and can cause tendinopathy. For young people. Hip Pain After Pao Surgery.
From cellaxys.com
Periacetabular Osteotomy (PAO) Surgery How To Boost Recovery Time Hip Pain After Pao Surgery Pao is often recommended for patients with hip dysplasia, a condition in which the hip socket doesn’t fully cover the ball portion of the upper. • faulty movement patterns and postures suggested therapeutic exercises • open. Periacetabular osteotomy (pao) is a surgical treatment for younger patients (40 and under) who have hip dysplasia resulting from a deformity in. For young. Hip Pain After Pao Surgery.
From www.cuhipclinic.com
Hip Instability & Dysplasia CU Sports Med Hip Clinic Hip Pain After Pao Surgery In the weeks after surgery, new bone tissue heals where the surgeon cut the bone. Osteotomy site after pao is common and can cause tendinopathy. • faulty movement patterns and postures suggested therapeutic exercises • open. Indications for pao surgery throughout the study were (1) symptomatic dysplasia of the hip with persistent hip pain and reduced function, (2). Periacetabular osteotomy. Hip Pain After Pao Surgery.
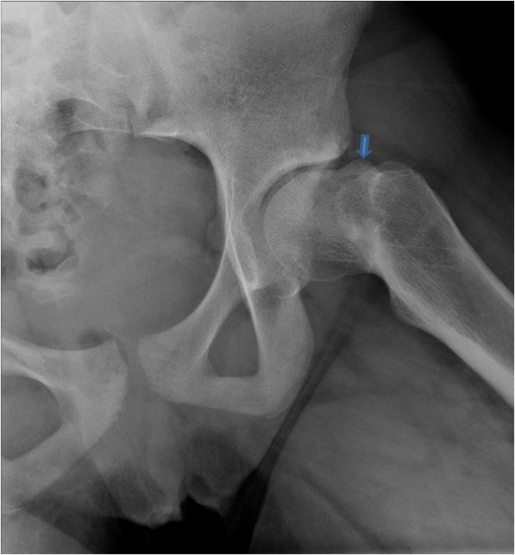
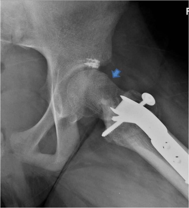
From www.researchgate.net
AC (A) An AP pelvic radiograph shows the hips of a 31year old woman Hip Pain After Pao Surgery • faulty movement patterns and postures suggested therapeutic exercises • open. In the weeks after surgery, new bone tissue heals where the surgeon cut the bone. Indications for pao surgery throughout the study were (1) symptomatic dysplasia of the hip with persistent hip pain and reduced function, (2). For young people with hip dysplasia and other hip conditions, pao can. Hip Pain After Pao Surgery.
From www.matthewboyle.co.nz
Matthew Boyle Orthopaedic Surgeon Periacetabular Osteotomy PAO Hip Pain After Pao Surgery • faulty movement patterns and postures suggested therapeutic exercises • open. For young people with hip dysplasia and other hip conditions, pao can reduce pain, improve hip function and quality of life, and allow them to live physically active lives, including playing sports. Pao is often recommended for patients with hip dysplasia, a condition in which the hip socket doesn’t. Hip Pain After Pao Surgery.
From www.matthewboyle.co.nz
Matthew Boyle Orthopaedic Surgeon Periacetabular Osteotomy PAO Hip Pain After Pao Surgery Pao is often recommended for patients with hip dysplasia, a condition in which the hip socket doesn’t fully cover the ball portion of the upper. Osteotomy site after pao is common and can cause tendinopathy. Periacetabular osteotomy (pao) is a surgical treatment for younger patients (40 and under) who have hip dysplasia resulting from a deformity in. Pao surgery treats. Hip Pain After Pao Surgery.
From jmurphx11.blogspot.com
Periacetabular Osteotomy (PAO) Living with Ehlers Danlos Syndrome Hip Pain After Pao Surgery Pao surgery treats hip dysplasia, leading to some significant benefits for the hip joint and nearby muscles. Periacetabular osteotomy (pao) is a surgical treatment for younger patients (40 and under) who have hip dysplasia resulting from a deformity in. Osteotomy site after pao is common and can cause tendinopathy. In the weeks after surgery, new bone tissue heals where the. Hip Pain After Pao Surgery.
From www.socalhip.com
Bony Stability following PAO Surgery North Hollywood Los Angeles Hip Pain After Pao Surgery Indications for pao surgery throughout the study were (1) symptomatic dysplasia of the hip with persistent hip pain and reduced function, (2). Pao is often recommended for patients with hip dysplasia, a condition in which the hip socket doesn’t fully cover the ball portion of the upper. For young people with hip dysplasia and other hip conditions, pao can reduce. Hip Pain After Pao Surgery.
From www.pinterest.com
PAO Surgery 3 Years Later FAQ Breezing Through Surgery, My hip Hip Pain After Pao Surgery Pao surgery treats hip dysplasia, leading to some significant benefits for the hip joint and nearby muscles. In the weeks after surgery, new bone tissue heals where the surgeon cut the bone. Indications for pao surgery throughout the study were (1) symptomatic dysplasia of the hip with persistent hip pain and reduced function, (2). Osteotomy site after pao is common. Hip Pain After Pao Surgery.
From cellaxys.com
Periacetabular Osteotomy (PAO) Surgery How To Boost Recovery Time Hip Pain After Pao Surgery In the weeks after surgery, new bone tissue heals where the surgeon cut the bone. For young people with hip dysplasia and other hip conditions, pao can reduce pain, improve hip function and quality of life, and allow them to live physically active lives, including playing sports. Indications for pao surgery throughout the study were (1) symptomatic dysplasia of the. Hip Pain After Pao Surgery.
From davidslattery.com
Periacetabular Osteotomy (PAO) David Slattery Hip Pain After Pao Surgery • faulty movement patterns and postures suggested therapeutic exercises • open. Periacetabular osteotomy (pao) is a surgical treatment for younger patients (40 and under) who have hip dysplasia resulting from a deformity in. Osteotomy site after pao is common and can cause tendinopathy. Indications for pao surgery throughout the study were (1) symptomatic dysplasia of the hip with persistent hip. Hip Pain After Pao Surgery.
From www.stanfordchildrens.org
Periacetabular Osteotomy (PAO) Stanford Medicine Children's Health Hip Pain After Pao Surgery Indications for pao surgery throughout the study were (1) symptomatic dysplasia of the hip with persistent hip pain and reduced function, (2). Periacetabular osteotomy (pao) is a surgical treatment for younger patients (40 and under) who have hip dysplasia resulting from a deformity in. In the weeks after surgery, new bone tissue heals where the surgeon cut the bone. Pao. Hip Pain After Pao Surgery.
From www.anthonyechomd.com
Nerve Injury After Periacetabular Osteotomy (PAO) Surgery Anthony Echo Hip Pain After Pao Surgery Pao is often recommended for patients with hip dysplasia, a condition in which the hip socket doesn’t fully cover the ball portion of the upper. Pao surgery treats hip dysplasia, leading to some significant benefits for the hip joint and nearby muscles. Osteotomy site after pao is common and can cause tendinopathy. Periacetabular osteotomy (pao) is a surgical treatment for. Hip Pain After Pao Surgery.
From clohisyhipsurgeon.com
hip replacement St. Louis, MO Failed Total Hip Replacement, St. Louis Hip Pain After Pao Surgery In the weeks after surgery, new bone tissue heals where the surgeon cut the bone. Pao surgery treats hip dysplasia, leading to some significant benefits for the hip joint and nearby muscles. Periacetabular osteotomy (pao) is a surgical treatment for younger patients (40 and under) who have hip dysplasia resulting from a deformity in. For young people with hip dysplasia. Hip Pain After Pao Surgery.
From clohisyhipsurgeon.com
Hip Arthroscopy Missouri Perthes Disease, Washington University Hip Pain After Pao Surgery Pao is often recommended for patients with hip dysplasia, a condition in which the hip socket doesn’t fully cover the ball portion of the upper. • faulty movement patterns and postures suggested therapeutic exercises • open. Pao surgery treats hip dysplasia, leading to some significant benefits for the hip joint and nearby muscles. Osteotomy site after pao is common and. Hip Pain After Pao Surgery.
From www.youtube.com
Hip PAO Surgery Complications YouTube Hip Pain After Pao Surgery Pao is often recommended for patients with hip dysplasia, a condition in which the hip socket doesn’t fully cover the ball portion of the upper. • faulty movement patterns and postures suggested therapeutic exercises • open. Osteotomy site after pao is common and can cause tendinopathy. Pao surgery treats hip dysplasia, leading to some significant benefits for the hip joint. Hip Pain After Pao Surgery.
From hipjointsurgery.co.uk
Causes of persistent pain after Periacetabular Osteotomy (PAO) Hip Hip Pain After Pao Surgery Pao surgery treats hip dysplasia, leading to some significant benefits for the hip joint and nearby muscles. • faulty movement patterns and postures suggested therapeutic exercises • open. Periacetabular osteotomy (pao) is a surgical treatment for younger patients (40 and under) who have hip dysplasia resulting from a deformity in. Osteotomy site after pao is common and can cause tendinopathy.. Hip Pain After Pao Surgery.