Blood Test Results Gran . Similarly, elevated red blood cells or platelets can be. Your provider can determine your granulocyte count with a complete blood count (cbc), a routine blood test. The white blood count (wbc) in a blood test result is broken down into granulocytes (gran) and lymphocytes (lym). Common tests to check the health of granulocytes. These granules or particles contain proteins that are responsible for helping the immune system fight off bacteria. Elevated white blood cell counts can indicate granulocytosis as well as an underlying disorder, disease, or infection. Granulocytes are white blood cells that play an important role in the function of your immune system. Granulocytes are sometimes measured as part of a standard complete blood count (cbc) test. Granulocytes are white blood cells (wbcs) that have small granules or particles. Your gran cbc (granulocytes from your complete blood count) is the result of a blood test that tells your doctor a number of things, including your cell count for. If you have high levels of granulocytes (granulocytosis), it can be a.
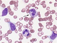
from imagebank.hematology.org
Common tests to check the health of granulocytes. Granulocytes are white blood cells that play an important role in the function of your immune system. Elevated white blood cell counts can indicate granulocytosis as well as an underlying disorder, disease, or infection. Your gran cbc (granulocytes from your complete blood count) is the result of a blood test that tells your doctor a number of things, including your cell count for. Granulocytes are sometimes measured as part of a standard complete blood count (cbc) test. Similarly, elevated red blood cells or platelets can be. Your provider can determine your granulocyte count with a complete blood count (cbc), a routine blood test. Granulocytes are white blood cells (wbcs) that have small granules or particles. The white blood count (wbc) in a blood test result is broken down into granulocytes (gran) and lymphocytes (lym). If you have high levels of granulocytes (granulocytosis), it can be a.
Toxic granulation 1.
Blood Test Results Gran Granulocytes are white blood cells (wbcs) that have small granules or particles. Similarly, elevated red blood cells or platelets can be. Your provider can determine your granulocyte count with a complete blood count (cbc), a routine blood test. Granulocytes are white blood cells (wbcs) that have small granules or particles. Your gran cbc (granulocytes from your complete blood count) is the result of a blood test that tells your doctor a number of things, including your cell count for. If you have high levels of granulocytes (granulocytosis), it can be a. Elevated white blood cell counts can indicate granulocytosis as well as an underlying disorder, disease, or infection. Granulocytes are sometimes measured as part of a standard complete blood count (cbc) test. These granules or particles contain proteins that are responsible for helping the immune system fight off bacteria. Granulocytes are white blood cells that play an important role in the function of your immune system. Common tests to check the health of granulocytes. The white blood count (wbc) in a blood test result is broken down into granulocytes (gran) and lymphocytes (lym).
From blog.healthmatters.io
What is a Gran Blood Test? Blood Test Results Gran Common tests to check the health of granulocytes. These granules or particles contain proteins that are responsible for helping the immune system fight off bacteria. Elevated white blood cell counts can indicate granulocytosis as well as an underlying disorder, disease, or infection. If you have high levels of granulocytes (granulocytosis), it can be a. The white blood count (wbc) in. Blood Test Results Gran.
From letum-liber.blogspot.com
What Does A Hematology Blood Test Mean Karin Good Bruidstaart Blood Test Results Gran These granules or particles contain proteins that are responsible for helping the immune system fight off bacteria. Common tests to check the health of granulocytes. The white blood count (wbc) in a blood test result is broken down into granulocytes (gran) and lymphocytes (lym). Granulocytes are white blood cells (wbcs) that have small granules or particles. Elevated white blood cell. Blood Test Results Gran.
From writeness-training.blogspot.com
Understanding Blood Test Results Cbc Blood Test Results Gran If you have high levels of granulocytes (granulocytosis), it can be a. Your gran cbc (granulocytes from your complete blood count) is the result of a blood test that tells your doctor a number of things, including your cell count for. Elevated white blood cell counts can indicate granulocytosis as well as an underlying disorder, disease, or infection. Granulocytes are. Blood Test Results Gran.
From bloodtestpotazuka.blogspot.com
Blood Test Normal Blood Test Values Blood Test Results Gran Granulocytes are white blood cells (wbcs) that have small granules or particles. Your gran cbc (granulocytes from your complete blood count) is the result of a blood test that tells your doctor a number of things, including your cell count for. Granulocytes are sometimes measured as part of a standard complete blood count (cbc) test. Similarly, elevated red blood cells. Blood Test Results Gran.
From www.alamy.com
Blood extraction, clinical tests. Hospital Universitario Gran Canaria Blood Test Results Gran The white blood count (wbc) in a blood test result is broken down into granulocytes (gran) and lymphocytes (lym). Granulocytes are white blood cells (wbcs) that have small granules or particles. Granulocytes are white blood cells that play an important role in the function of your immune system. Similarly, elevated red blood cells or platelets can be. Your provider can. Blood Test Results Gran.
From www.pancanology.com
White Blood Cell Counts Understanding Pancreatic Cancer Blog Blood Test Results Gran Similarly, elevated red blood cells or platelets can be. If you have high levels of granulocytes (granulocytosis), it can be a. These granules or particles contain proteins that are responsible for helping the immune system fight off bacteria. Your provider can determine your granulocyte count with a complete blood count (cbc), a routine blood test. The white blood count (wbc). Blood Test Results Gran.
From www.vrogue.co
Complete Blood Count Cbc Test Results Interpretation vrogue.co Blood Test Results Gran Your gran cbc (granulocytes from your complete blood count) is the result of a blood test that tells your doctor a number of things, including your cell count for. These granules or particles contain proteins that are responsible for helping the immune system fight off bacteria. If you have high levels of granulocytes (granulocytosis), it can be a. The white. Blood Test Results Gran.
From www.chegg.com
Solved Identification of the Gramnegative Isolate SIM Agar Blood Test Results Gran Elevated white blood cell counts can indicate granulocytosis as well as an underlying disorder, disease, or infection. Common tests to check the health of granulocytes. The white blood count (wbc) in a blood test result is broken down into granulocytes (gran) and lymphocytes (lym). Your gran cbc (granulocytes from your complete blood count) is the result of a blood test. Blood Test Results Gran.
From www.ajog.org
Grand Multiparity and its association with Postpartum Blood Blood Test Results Gran Granulocytes are white blood cells that play an important role in the function of your immune system. The white blood count (wbc) in a blood test result is broken down into granulocytes (gran) and lymphocytes (lym). Granulocytes are white blood cells (wbcs) that have small granules or particles. Similarly, elevated red blood cells or platelets can be. Your gran cbc. Blood Test Results Gran.
From mavink.com
Blood Test Results Chart Blood Test Results Gran The white blood count (wbc) in a blood test result is broken down into granulocytes (gran) and lymphocytes (lym). Your provider can determine your granulocyte count with a complete blood count (cbc), a routine blood test. Similarly, elevated red blood cells or platelets can be. Granulocytes are white blood cells that play an important role in the function of your. Blood Test Results Gran.
From madisonmemorial.org
Gran CBC Your Complete Blood Count, Explained — Madison Memorial Blood Test Results Gran Granulocytes are white blood cells that play an important role in the function of your immune system. If you have high levels of granulocytes (granulocytosis), it can be a. These granules or particles contain proteins that are responsible for helping the immune system fight off bacteria. Your gran cbc (granulocytes from your complete blood count) is the result of a. Blood Test Results Gran.
From www.researchgate.net
The results of routine blood examination Download Table Blood Test Results Gran The white blood count (wbc) in a blood test result is broken down into granulocytes (gran) and lymphocytes (lym). Your provider can determine your granulocyte count with a complete blood count (cbc), a routine blood test. Elevated white blood cell counts can indicate granulocytosis as well as an underlying disorder, disease, or infection. These granules or particles contain proteins that. Blood Test Results Gran.
From imagebank.hematology.org
Toxic granulation 1. Blood Test Results Gran Granulocytes are sometimes measured as part of a standard complete blood count (cbc) test. If you have high levels of granulocytes (granulocytosis), it can be a. Your gran cbc (granulocytes from your complete blood count) is the result of a blood test that tells your doctor a number of things, including your cell count for. Common tests to check the. Blood Test Results Gran.
From www.vrogue.co
Blood Test Results Cbc Explained Fill Online Printabl vrogue.co Blood Test Results Gran Elevated white blood cell counts can indicate granulocytosis as well as an underlying disorder, disease, or infection. Your gran cbc (granulocytes from your complete blood count) is the result of a blood test that tells your doctor a number of things, including your cell count for. Granulocytes are sometimes measured as part of a standard complete blood count (cbc) test.. Blood Test Results Gran.
From www.pinterest.com
granulocytes Hematology, Reference, Range Blood Test Results Gran Granulocytes are white blood cells that play an important role in the function of your immune system. Your gran cbc (granulocytes from your complete blood count) is the result of a blood test that tells your doctor a number of things, including your cell count for. Elevated white blood cell counts can indicate granulocytosis as well as an underlying disorder,. Blood Test Results Gran.
From blog.naver.com
일반혈액검사 (CBC) + 해석 & 정상범위 (+ 1 영상) 네이버 블로그 Blood Test Results Gran Elevated white blood cell counts can indicate granulocytosis as well as an underlying disorder, disease, or infection. Similarly, elevated red blood cells or platelets can be. Granulocytes are sometimes measured as part of a standard complete blood count (cbc) test. Common tests to check the health of granulocytes. Granulocytes are white blood cells that play an important role in the. Blood Test Results Gran.
From www.researchgate.net
Blood test results after four cycles of treatment (A) neutrophil Blood Test Results Gran Similarly, elevated red blood cells or platelets can be. Your gran cbc (granulocytes from your complete blood count) is the result of a blood test that tells your doctor a number of things, including your cell count for. If you have high levels of granulocytes (granulocytosis), it can be a. Common tests to check the health of granulocytes. Granulocytes are. Blood Test Results Gran.
From peakmodernliving.com
My 5 day Full Fast experiment & blood tests before and after Peak Blood Test Results Gran The white blood count (wbc) in a blood test result is broken down into granulocytes (gran) and lymphocytes (lym). Elevated white blood cell counts can indicate granulocytosis as well as an underlying disorder, disease, or infection. If you have high levels of granulocytes (granulocytosis), it can be a. Your provider can determine your granulocyte count with a complete blood count. Blood Test Results Gran.
From www.alamy.com
Blood extraction, clinical tests. Hospital Universitario Gran Canaria Blood Test Results Gran These granules or particles contain proteins that are responsible for helping the immune system fight off bacteria. Elevated white blood cell counts can indicate granulocytosis as well as an underlying disorder, disease, or infection. Your provider can determine your granulocyte count with a complete blood count (cbc), a routine blood test. Granulocytes are sometimes measured as part of a standard. Blood Test Results Gran.
From www.alamy.com
Blood extraction, clinical tests. Hospital Universitario Gran Canaria Blood Test Results Gran These granules or particles contain proteins that are responsible for helping the immune system fight off bacteria. The white blood count (wbc) in a blood test result is broken down into granulocytes (gran) and lymphocytes (lym). Elevated white blood cell counts can indicate granulocytosis as well as an underlying disorder, disease, or infection. If you have high levels of granulocytes. Blood Test Results Gran.
From telegra.ph
Cbc With Auto Diff Plt Blood Test Complete Blood Count (CBC) with Blood Test Results Gran Elevated white blood cell counts can indicate granulocytosis as well as an underlying disorder, disease, or infection. The white blood count (wbc) in a blood test result is broken down into granulocytes (gran) and lymphocytes (lym). Similarly, elevated red blood cells or platelets can be. If you have high levels of granulocytes (granulocytosis), it can be a. Granulocytes are sometimes. Blood Test Results Gran.
From www.youtube.com
GGT Blood Test Meaning, Normal Range, High (Causes) YouTube Blood Test Results Gran If you have high levels of granulocytes (granulocytosis), it can be a. Granulocytes are white blood cells (wbcs) that have small granules or particles. Granulocytes are sometimes measured as part of a standard complete blood count (cbc) test. Your provider can determine your granulocyte count with a complete blood count (cbc), a routine blood test. Common tests to check the. Blood Test Results Gran.
From forgavinhamilton.blogspot.com
full blood count range Gavin Hamilton Blood Test Results Gran These granules or particles contain proteins that are responsible for helping the immune system fight off bacteria. Common tests to check the health of granulocytes. Your gran cbc (granulocytes from your complete blood count) is the result of a blood test that tells your doctor a number of things, including your cell count for. If you have high levels of. Blood Test Results Gran.
From basicmedicalkey.com
Hematology Platelets (Qualitative and Quantitative) Basicmedical Key Blood Test Results Gran Granulocytes are white blood cells that play an important role in the function of your immune system. These granules or particles contain proteins that are responsible for helping the immune system fight off bacteria. If you have high levels of granulocytes (granulocytosis), it can be a. Your gran cbc (granulocytes from your complete blood count) is the result of a. Blood Test Results Gran.
From holistichealthmi.com
Holistic Health Center Holistic Health Center In Grand Blanc, MI USA Blood Test Results Gran Granulocytes are white blood cells (wbcs) that have small granules or particles. Your gran cbc (granulocytes from your complete blood count) is the result of a blood test that tells your doctor a number of things, including your cell count for. The white blood count (wbc) in a blood test result is broken down into granulocytes (gran) and lymphocytes (lym).. Blood Test Results Gran.
From time.news
What is the GGT test and what do the results mean? Time News Blood Test Results Gran Granulocytes are sometimes measured as part of a standard complete blood count (cbc) test. Similarly, elevated red blood cells or platelets can be. If you have high levels of granulocytes (granulocytosis), it can be a. Granulocytes are white blood cells (wbcs) that have small granules or particles. Common tests to check the health of granulocytes. Elevated white blood cell counts. Blood Test Results Gran.
From www.heart-health-guide.com
My Blood Work Results How Can They Help You Blood Test Results Gran If you have high levels of granulocytes (granulocytosis), it can be a. Common tests to check the health of granulocytes. Your provider can determine your granulocyte count with a complete blood count (cbc), a routine blood test. Your gran cbc (granulocytes from your complete blood count) is the result of a blood test that tells your doctor a number of. Blood Test Results Gran.
From www.usavascularcenters.com
Is There a Blood Test for Vascular Disease? USA Vascular Centers Blood Test Results Gran The white blood count (wbc) in a blood test result is broken down into granulocytes (gran) and lymphocytes (lym). Your provider can determine your granulocyte count with a complete blood count (cbc), a routine blood test. Similarly, elevated red blood cells or platelets can be. Elevated white blood cell counts can indicate granulocytosis as well as an underlying disorder, disease,. Blood Test Results Gran.
From ibiologia.com
Gram Staining Principle Procedure and Results Blood Test Results Gran Granulocytes are white blood cells (wbcs) that have small granules or particles. Granulocytes are white blood cells that play an important role in the function of your immune system. These granules or particles contain proteins that are responsible for helping the immune system fight off bacteria. The white blood count (wbc) in a blood test result is broken down into. Blood Test Results Gran.
From bpac.org.nz
Complete Blood Count in Primary Care bpacnz Blood Test Results Gran If you have high levels of granulocytes (granulocytosis), it can be a. Elevated white blood cell counts can indicate granulocytosis as well as an underlying disorder, disease, or infection. These granules or particles contain proteins that are responsible for helping the immune system fight off bacteria. The white blood count (wbc) in a blood test result is broken down into. Blood Test Results Gran.
From www.researchgate.net
Summary of Patient Diagnoses for Samples Positive for Immature Blood Test Results Gran Your provider can determine your granulocyte count with a complete blood count (cbc), a routine blood test. Granulocytes are white blood cells (wbcs) that have small granules or particles. Similarly, elevated red blood cells or platelets can be. Common tests to check the health of granulocytes. These granules or particles contain proteins that are responsible for helping the immune system. Blood Test Results Gran.
From regenclinicgj.com
Routine Blood Work In Grand Junction Routine Blood Tests Blood Test Results Gran These granules or particles contain proteins that are responsible for helping the immune system fight off bacteria. If you have high levels of granulocytes (granulocytosis), it can be a. Granulocytes are sometimes measured as part of a standard complete blood count (cbc) test. Your gran cbc (granulocytes from your complete blood count) is the result of a blood test that. Blood Test Results Gran.
From www.researchgate.net
Routine blood investigations Download Table Blood Test Results Gran Your gran cbc (granulocytes from your complete blood count) is the result of a blood test that tells your doctor a number of things, including your cell count for. Elevated white blood cell counts can indicate granulocytosis as well as an underlying disorder, disease, or infection. Common tests to check the health of granulocytes. Similarly, elevated red blood cells or. Blood Test Results Gran.
From www.diabetesdaily.com
How to Interpret My Blood Test Results? Diabetes Daily Blood Test Results Gran If you have high levels of granulocytes (granulocytosis), it can be a. Elevated white blood cell counts can indicate granulocytosis as well as an underlying disorder, disease, or infection. Your provider can determine your granulocyte count with a complete blood count (cbc), a routine blood test. These granules or particles contain proteins that are responsible for helping the immune system. Blood Test Results Gran.
From www.alamy.com
Blood sample, haematology. Hospital Universitario de Gran Canaria Blood Test Results Gran If you have high levels of granulocytes (granulocytosis), it can be a. Elevated white blood cell counts can indicate granulocytosis as well as an underlying disorder, disease, or infection. Common tests to check the health of granulocytes. Similarly, elevated red blood cells or platelets can be. Your provider can determine your granulocyte count with a complete blood count (cbc), a. Blood Test Results Gran.