Pectinate Muscles And Crista Terminalis . Moreover, the crista terminalis marks the site of the right venous valve of the developing heart. Coursing between the caval orifices, it divides the pectinate muscle origin and the right atrial appendages in the right atrium. In the right atrium only, a strip of muscle called the crista terminalis runs perpendicular to the rest of the pectinate muscles. The crista terminalis is a site of origin of several pectinate muscles. The crista terminalis (ct) is a muscular ridge located in the ra that divides the musculi pectinati and the right atrial appendage from. Pectinate muscles differ to the muscular ridges seen in the walls of the ventricles, termed trabeculae carneae. Proximal (atrial) to the parietal vestibule is the array of pectinate muscle bundles that connects with the terminal crest (crista terminalis). The crista terminalis corresponds to the terminal groove located on the external surface of the heart. Where the crista terminalis and the opening of the superior.
from radiologykey.com
In the right atrium only, a strip of muscle called the crista terminalis runs perpendicular to the rest of the pectinate muscles. Pectinate muscles differ to the muscular ridges seen in the walls of the ventricles, termed trabeculae carneae. Moreover, the crista terminalis marks the site of the right venous valve of the developing heart. The crista terminalis (ct) is a muscular ridge located in the ra that divides the musculi pectinati and the right atrial appendage from. Proximal (atrial) to the parietal vestibule is the array of pectinate muscle bundles that connects with the terminal crest (crista terminalis). Where the crista terminalis and the opening of the superior. Coursing between the caval orifices, it divides the pectinate muscle origin and the right atrial appendages in the right atrium. The crista terminalis corresponds to the terminal groove located on the external surface of the heart. The crista terminalis is a site of origin of several pectinate muscles.
Cardiac Morphology and Function Radiology Key
Pectinate Muscles And Crista Terminalis Proximal (atrial) to the parietal vestibule is the array of pectinate muscle bundles that connects with the terminal crest (crista terminalis). Proximal (atrial) to the parietal vestibule is the array of pectinate muscle bundles that connects with the terminal crest (crista terminalis). Coursing between the caval orifices, it divides the pectinate muscle origin and the right atrial appendages in the right atrium. The crista terminalis is a site of origin of several pectinate muscles. In the right atrium only, a strip of muscle called the crista terminalis runs perpendicular to the rest of the pectinate muscles. The crista terminalis (ct) is a muscular ridge located in the ra that divides the musculi pectinati and the right atrial appendage from. Moreover, the crista terminalis marks the site of the right venous valve of the developing heart. Pectinate muscles differ to the muscular ridges seen in the walls of the ventricles, termed trabeculae carneae. Where the crista terminalis and the opening of the superior. The crista terminalis corresponds to the terminal groove located on the external surface of the heart.
From www.researchgate.net
Time course of the transmembrane voltage of different tissue types in Pectinate Muscles And Crista Terminalis The crista terminalis is a site of origin of several pectinate muscles. In the right atrium only, a strip of muscle called the crista terminalis runs perpendicular to the rest of the pectinate muscles. Proximal (atrial) to the parietal vestibule is the array of pectinate muscle bundles that connects with the terminal crest (crista terminalis). Pectinate muscles differ to the. Pectinate Muscles And Crista Terminalis.
From www.scribd.com
The Clinical Anatomy of The Crista Terminalis, Pectinate Muscles and Pectinate Muscles And Crista Terminalis Coursing between the caval orifices, it divides the pectinate muscle origin and the right atrial appendages in the right atrium. The crista terminalis corresponds to the terminal groove located on the external surface of the heart. The crista terminalis is a site of origin of several pectinate muscles. Moreover, the crista terminalis marks the site of the right venous valve. Pectinate Muscles And Crista Terminalis.
From www.researchgate.net
Exemplary voxelized patient specific tetrahedron mesh. (a) Depicts the Pectinate Muscles And Crista Terminalis Pectinate muscles differ to the muscular ridges seen in the walls of the ventricles, termed trabeculae carneae. Moreover, the crista terminalis marks the site of the right venous valve of the developing heart. The crista terminalis is a site of origin of several pectinate muscles. Where the crista terminalis and the opening of the superior. The crista terminalis corresponds to. Pectinate Muscles And Crista Terminalis.
From www.elsevier.com
Pectinate Muscles Complete Anatomy Pectinate Muscles And Crista Terminalis The crista terminalis (ct) is a muscular ridge located in the ra that divides the musculi pectinati and the right atrial appendage from. Moreover, the crista terminalis marks the site of the right venous valve of the developing heart. The crista terminalis corresponds to the terminal groove located on the external surface of the heart. Pectinate muscles differ to the. Pectinate Muscles And Crista Terminalis.
From www.coursehero.com
[Solved] fill in the blanks please please fill in the correct spots for Pectinate Muscles And Crista Terminalis Proximal (atrial) to the parietal vestibule is the array of pectinate muscle bundles that connects with the terminal crest (crista terminalis). The crista terminalis corresponds to the terminal groove located on the external surface of the heart. Coursing between the caval orifices, it divides the pectinate muscle origin and the right atrial appendages in the right atrium. Pectinate muscles differ. Pectinate Muscles And Crista Terminalis.
From www.pinterest.com.mx
Location of Components of Conducting system of Heart Crista Pectinate Muscles And Crista Terminalis The crista terminalis corresponds to the terminal groove located on the external surface of the heart. The crista terminalis (ct) is a muscular ridge located in the ra that divides the musculi pectinati and the right atrial appendage from. Where the crista terminalis and the opening of the superior. Coursing between the caval orifices, it divides the pectinate muscle origin. Pectinate Muscles And Crista Terminalis.
From cvandir.blogspot.kr
The Pump and the Tubes Crista Terminalis Pectinate Muscles And Crista Terminalis In the right atrium only, a strip of muscle called the crista terminalis runs perpendicular to the rest of the pectinate muscles. The crista terminalis is a site of origin of several pectinate muscles. Where the crista terminalis and the opening of the superior. Moreover, the crista terminalis marks the site of the right venous valve of the developing heart.. Pectinate Muscles And Crista Terminalis.
From www.facebook.com
Facebook Pectinate Muscles And Crista Terminalis The crista terminalis is a site of origin of several pectinate muscles. The crista terminalis (ct) is a muscular ridge located in the ra that divides the musculi pectinati and the right atrial appendage from. Pectinate muscles differ to the muscular ridges seen in the walls of the ventricles, termed trabeculae carneae. Coursing between the caval orifices, it divides the. Pectinate Muscles And Crista Terminalis.
From radiologykey.com
Cardiac Morphology and Function Radiology Key Pectinate Muscles And Crista Terminalis In the right atrium only, a strip of muscle called the crista terminalis runs perpendicular to the rest of the pectinate muscles. The crista terminalis corresponds to the terminal groove located on the external surface of the heart. Proximal (atrial) to the parietal vestibule is the array of pectinate muscle bundles that connects with the terminal crest (crista terminalis). The. Pectinate Muscles And Crista Terminalis.
From www.researchgate.net
Delineation of right atrium (RA) and right atrial appendage (RAA) at Pectinate Muscles And Crista Terminalis The crista terminalis is a site of origin of several pectinate muscles. Pectinate muscles differ to the muscular ridges seen in the walls of the ventricles, termed trabeculae carneae. Where the crista terminalis and the opening of the superior. The crista terminalis (ct) is a muscular ridge located in the ra that divides the musculi pectinati and the right atrial. Pectinate Muscles And Crista Terminalis.
From www.researchgate.net
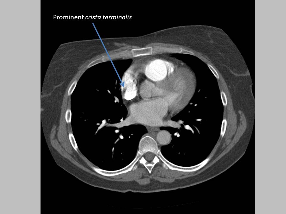
(a) Axial CT angiogram shows a prominent crista terminalis (red arrows Pectinate Muscles And Crista Terminalis Moreover, the crista terminalis marks the site of the right venous valve of the developing heart. Proximal (atrial) to the parietal vestibule is the array of pectinate muscle bundles that connects with the terminal crest (crista terminalis). Where the crista terminalis and the opening of the superior. Coursing between the caval orifices, it divides the pectinate muscle origin and the. Pectinate Muscles And Crista Terminalis.
From slideplayer.com
For 2021 Midterm Practical Study Guide for Heart Models. ppt download Pectinate Muscles And Crista Terminalis Coursing between the caval orifices, it divides the pectinate muscle origin and the right atrial appendages in the right atrium. The crista terminalis corresponds to the terminal groove located on the external surface of the heart. The crista terminalis (ct) is a muscular ridge located in the ra that divides the musculi pectinati and the right atrial appendage from. Where. Pectinate Muscles And Crista Terminalis.
From www.slideserve.com
PPT Anatomy of the Heart PowerPoint Presentation, free download ID Pectinate Muscles And Crista Terminalis The crista terminalis (ct) is a muscular ridge located in the ra that divides the musculi pectinati and the right atrial appendage from. Pectinate muscles differ to the muscular ridges seen in the walls of the ventricles, termed trabeculae carneae. Moreover, the crista terminalis marks the site of the right venous valve of the developing heart. Where the crista terminalis. Pectinate Muscles And Crista Terminalis.
From www.memrise.com
Level 26 Anatomy of the Extremities Memrise Pectinate Muscles And Crista Terminalis The crista terminalis is a site of origin of several pectinate muscles. Pectinate muscles differ to the muscular ridges seen in the walls of the ventricles, termed trabeculae carneae. Coursing between the caval orifices, it divides the pectinate muscle origin and the right atrial appendages in the right atrium. The crista terminalis corresponds to the terminal groove located on the. Pectinate Muscles And Crista Terminalis.
From www.elsevier.com
Pectinate Muscles Complete Anatomy Pectinate Muscles And Crista Terminalis The crista terminalis corresponds to the terminal groove located on the external surface of the heart. Coursing between the caval orifices, it divides the pectinate muscle origin and the right atrial appendages in the right atrium. The crista terminalis is a site of origin of several pectinate muscles. Moreover, the crista terminalis marks the site of the right venous valve. Pectinate Muscles And Crista Terminalis.
From www.pinterest.co.uk
Pin by Azad Mourya on Antomy Heart wall, Special features Pectinate Muscles And Crista Terminalis Proximal (atrial) to the parietal vestibule is the array of pectinate muscle bundles that connects with the terminal crest (crista terminalis). The crista terminalis is a site of origin of several pectinate muscles. Pectinate muscles differ to the muscular ridges seen in the walls of the ventricles, termed trabeculae carneae. In the right atrium only, a strip of muscle called. Pectinate Muscles And Crista Terminalis.
From www.numerade.com
SOLVED Label the structures of the right atrium Crista terminalis Pectinate Muscles And Crista Terminalis The crista terminalis corresponds to the terminal groove located on the external surface of the heart. Pectinate muscles differ to the muscular ridges seen in the walls of the ventricles, termed trabeculae carneae. In the right atrium only, a strip of muscle called the crista terminalis runs perpendicular to the rest of the pectinate muscles. Moreover, the crista terminalis marks. Pectinate Muscles And Crista Terminalis.
From keydifference.in
What is the Difference Between Papillary and Pectinate Muscles Key Pectinate Muscles And Crista Terminalis The crista terminalis is a site of origin of several pectinate muscles. The crista terminalis (ct) is a muscular ridge located in the ra that divides the musculi pectinati and the right atrial appendage from. Coursing between the caval orifices, it divides the pectinate muscle origin and the right atrial appendages in the right atrium. In the right atrium only,. Pectinate Muscles And Crista Terminalis.
From www.researchgate.net
The 3D human atria used in this study. A) The posterior and anterior Pectinate Muscles And Crista Terminalis Moreover, the crista terminalis marks the site of the right venous valve of the developing heart. Proximal (atrial) to the parietal vestibule is the array of pectinate muscle bundles that connects with the terminal crest (crista terminalis). Coursing between the caval orifices, it divides the pectinate muscle origin and the right atrial appendages in the right atrium. In the right. Pectinate Muscles And Crista Terminalis.
From slideplayer.com
The Heart and Circulation ppt download Pectinate Muscles And Crista Terminalis The crista terminalis (ct) is a muscular ridge located in the ra that divides the musculi pectinati and the right atrial appendage from. Moreover, the crista terminalis marks the site of the right venous valve of the developing heart. The crista terminalis is a site of origin of several pectinate muscles. Proximal (atrial) to the parietal vestibule is the array. Pectinate Muscles And Crista Terminalis.
From store.kenhub.com
Pectinate muscles (5154) Kenhub Image License Store Pectinate Muscles And Crista Terminalis Proximal (atrial) to the parietal vestibule is the array of pectinate muscle bundles that connects with the terminal crest (crista terminalis). Where the crista terminalis and the opening of the superior. Moreover, the crista terminalis marks the site of the right venous valve of the developing heart. Pectinate muscles differ to the muscular ridges seen in the walls of the. Pectinate Muscles And Crista Terminalis.
From ar.inspiredpencil.com
Pectinate Muscles Pectinate Muscles And Crista Terminalis The crista terminalis is a site of origin of several pectinate muscles. The crista terminalis corresponds to the terminal groove located on the external surface of the heart. In the right atrium only, a strip of muscle called the crista terminalis runs perpendicular to the rest of the pectinate muscles. The crista terminalis (ct) is a muscular ridge located in. Pectinate Muscles And Crista Terminalis.
From www.semanticscholar.org
The clinical anatomy of the crista terminalis, pectinate muscles and Pectinate Muscles And Crista Terminalis Where the crista terminalis and the opening of the superior. Moreover, the crista terminalis marks the site of the right venous valve of the developing heart. Proximal (atrial) to the parietal vestibule is the array of pectinate muscle bundles that connects with the terminal crest (crista terminalis). Coursing between the caval orifices, it divides the pectinate muscle origin and the. Pectinate Muscles And Crista Terminalis.
From slideplayer.com
Aortic arch Pulmonary trunk Right atrium Left ventricle ppt download Pectinate Muscles And Crista Terminalis In the right atrium only, a strip of muscle called the crista terminalis runs perpendicular to the rest of the pectinate muscles. The crista terminalis is a site of origin of several pectinate muscles. The crista terminalis corresponds to the terminal groove located on the external surface of the heart. Moreover, the crista terminalis marks the site of the right. Pectinate Muscles And Crista Terminalis.
From cvandir.blogspot.com
The Pump and the Tubes Crista Terminalis Pectinate Muscles And Crista Terminalis Where the crista terminalis and the opening of the superior. The crista terminalis corresponds to the terminal groove located on the external surface of the heart. Moreover, the crista terminalis marks the site of the right venous valve of the developing heart. The crista terminalis is a site of origin of several pectinate muscles. Pectinate muscles differ to the muscular. Pectinate Muscles And Crista Terminalis.
From www.kenhub.com
Crista terminalis anatomy and function. Kenhub Pectinate Muscles And Crista Terminalis Pectinate muscles differ to the muscular ridges seen in the walls of the ventricles, termed trabeculae carneae. In the right atrium only, a strip of muscle called the crista terminalis runs perpendicular to the rest of the pectinate muscles. Where the crista terminalis and the opening of the superior. Moreover, the crista terminalis marks the site of the right venous. Pectinate Muscles And Crista Terminalis.
From www.numerade.com
SOLVED Label the features of the heart using the hints provided Pectinate Muscles And Crista Terminalis Pectinate muscles differ to the muscular ridges seen in the walls of the ventricles, termed trabeculae carneae. Moreover, the crista terminalis marks the site of the right venous valve of the developing heart. In the right atrium only, a strip of muscle called the crista terminalis runs perpendicular to the rest of the pectinate muscles. The crista terminalis corresponds to. Pectinate Muscles And Crista Terminalis.
From cvandir.blogspot.com
The Pump and the Tubes Crista Terminalis Pectinate Muscles And Crista Terminalis The crista terminalis is a site of origin of several pectinate muscles. Where the crista terminalis and the opening of the superior. In the right atrium only, a strip of muscle called the crista terminalis runs perpendicular to the rest of the pectinate muscles. Proximal (atrial) to the parietal vestibule is the array of pectinate muscle bundles that connects with. Pectinate Muscles And Crista Terminalis.
From www.slideshare.net
Heart Pectinate Muscles And Crista Terminalis In the right atrium only, a strip of muscle called the crista terminalis runs perpendicular to the rest of the pectinate muscles. Where the crista terminalis and the opening of the superior. Pectinate muscles differ to the muscular ridges seen in the walls of the ventricles, termed trabeculae carneae. The crista terminalis (ct) is a muscular ridge located in the. Pectinate Muscles And Crista Terminalis.
From www.researchgate.net
The microreentrant substrate for the human atria at low (left column Pectinate Muscles And Crista Terminalis Moreover, the crista terminalis marks the site of the right venous valve of the developing heart. Proximal (atrial) to the parietal vestibule is the array of pectinate muscle bundles that connects with the terminal crest (crista terminalis). In the right atrium only, a strip of muscle called the crista terminalis runs perpendicular to the rest of the pectinate muscles. Where. Pectinate Muscles And Crista Terminalis.
From www.slideserve.com
PPT Circulatory System PowerPoint Presentation, free download ID Pectinate Muscles And Crista Terminalis Where the crista terminalis and the opening of the superior. Proximal (atrial) to the parietal vestibule is the array of pectinate muscle bundles that connects with the terminal crest (crista terminalis). The crista terminalis corresponds to the terminal groove located on the external surface of the heart. In the right atrium only, a strip of muscle called the crista terminalis. Pectinate Muscles And Crista Terminalis.
From www.researchgate.net
These two 3D TEE images depict structural and morphological Pectinate Muscles And Crista Terminalis The crista terminalis (ct) is a muscular ridge located in the ra that divides the musculi pectinati and the right atrial appendage from. In the right atrium only, a strip of muscle called the crista terminalis runs perpendicular to the rest of the pectinate muscles. Where the crista terminalis and the opening of the superior. The crista terminalis corresponds to. Pectinate Muscles And Crista Terminalis.
From www.thoracic.theclinics.com
The Heart and Pericardium Thoracic Surgery Clinics Pectinate Muscles And Crista Terminalis Pectinate muscles differ to the muscular ridges seen in the walls of the ventricles, termed trabeculae carneae. Where the crista terminalis and the opening of the superior. The crista terminalis corresponds to the terminal groove located on the external surface of the heart. In the right atrium only, a strip of muscle called the crista terminalis runs perpendicular to the. Pectinate Muscles And Crista Terminalis.
From cvandir.blogspot.com
The Pump and the Tubes Crista Terminalis Pectinate Muscles And Crista Terminalis The crista terminalis (ct) is a muscular ridge located in the ra that divides the musculi pectinati and the right atrial appendage from. Pectinate muscles differ to the muscular ridges seen in the walls of the ventricles, termed trabeculae carneae. Moreover, the crista terminalis marks the site of the right venous valve of the developing heart. The crista terminalis is. Pectinate Muscles And Crista Terminalis.
From slideplayer.com
Circ Arrhythm Electrophysiol ppt download Pectinate Muscles And Crista Terminalis In the right atrium only, a strip of muscle called the crista terminalis runs perpendicular to the rest of the pectinate muscles. Moreover, the crista terminalis marks the site of the right venous valve of the developing heart. Proximal (atrial) to the parietal vestibule is the array of pectinate muscle bundles that connects with the terminal crest (crista terminalis). Where. Pectinate Muscles And Crista Terminalis.