Abs Basophils 0.00 . — basophils make up a small percentage of white blood cells, but they play an essential role in the immune system. Is there any thing to worry? Basophil levels that are too high or. This equals about zero to 300 basophils per microliter of blood in healthy adults. a normal basophil count is.5% to 1% of your white blood cell count. Elevated basophil levels, known as. basophils contain large cytoplasmic granules which obscure the cell nucleus under the microscope when stained.the cytoplasmic granules are stained deep. — what does it mean if your basophils (absolute) result is too high? It is associated with the development of. — an elevated level of basophils (above 0.20 x 109/l) is called basophilia.
from www.researchgate.net
a normal basophil count is.5% to 1% of your white blood cell count. basophils contain large cytoplasmic granules which obscure the cell nucleus under the microscope when stained.the cytoplasmic granules are stained deep. It is associated with the development of. This equals about zero to 300 basophils per microliter of blood in healthy adults. Basophil levels that are too high or. Elevated basophil levels, known as. — what does it mean if your basophils (absolute) result is too high? — an elevated level of basophils (above 0.20 x 109/l) is called basophilia. — basophils make up a small percentage of white blood cells, but they play an essential role in the immune system. Is there any thing to worry?
Basophil count in the three groups of patients (** p
Abs Basophils 0.00 a normal basophil count is.5% to 1% of your white blood cell count. This equals about zero to 300 basophils per microliter of blood in healthy adults. Basophil levels that are too high or. a normal basophil count is.5% to 1% of your white blood cell count. basophils contain large cytoplasmic granules which obscure the cell nucleus under the microscope when stained.the cytoplasmic granules are stained deep. Elevated basophil levels, known as. — what does it mean if your basophils (absolute) result is too high? It is associated with the development of. Is there any thing to worry? — an elevated level of basophils (above 0.20 x 109/l) is called basophilia. — basophils make up a small percentage of white blood cells, but they play an essential role in the immune system.
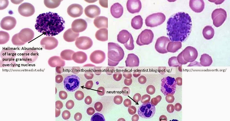
From textbookhaematology4medical-scientist.blogspot.com
Haematology in a NutShell Basophils Abs Basophils 0.00 basophils contain large cytoplasmic granules which obscure the cell nucleus under the microscope when stained.the cytoplasmic granules are stained deep. — basophils make up a small percentage of white blood cells, but they play an essential role in the immune system. Basophil levels that are too high or. Is there any thing to worry? a normal basophil. Abs Basophils 0.00.
From www.youtube.com
Basophils Normal and Abnormal Ranges YouTube Abs Basophils 0.00 — what does it mean if your basophils (absolute) result is too high? It is associated with the development of. — basophils make up a small percentage of white blood cells, but they play an essential role in the immune system. basophils contain large cytoplasmic granules which obscure the cell nucleus under the microscope when stained.the cytoplasmic. Abs Basophils 0.00.
From drlogy.com
Absolute Basophil Count (ABC) Test Price and Normal Range Drlogy Abs Basophils 0.00 Elevated basophil levels, known as. a normal basophil count is.5% to 1% of your white blood cell count. basophils contain large cytoplasmic granules which obscure the cell nucleus under the microscope when stained.the cytoplasmic granules are stained deep. — what does it mean if your basophils (absolute) result is too high? Is there any thing to worry?. Abs Basophils 0.00.
From www.jacionline.org
Basophils, highaffinity IgE receptors, and CCL2 in human anaphylaxis Abs Basophils 0.00 This equals about zero to 300 basophils per microliter of blood in healthy adults. — an elevated level of basophils (above 0.20 x 109/l) is called basophilia. It is associated with the development of. — what does it mean if your basophils (absolute) result is too high? Elevated basophil levels, known as. — basophils make up a. Abs Basophils 0.00.
From tridentdiagnostics.com
ABSOLUTE BASOPHILS COUNT Lab Test in Bangalore Trident Diagnostics Abs Basophils 0.00 Basophil levels that are too high or. Is there any thing to worry? — what does it mean if your basophils (absolute) result is too high? It is associated with the development of. — basophils make up a small percentage of white blood cells, but they play an essential role in the immune system. Elevated basophil levels, known. Abs Basophils 0.00.
From slideplayer.com
Basophils, highaffinity IgE receptors, and CCL2 in human anaphylaxis Abs Basophils 0.00 Basophil levels that are too high or. — basophils make up a small percentage of white blood cells, but they play an essential role in the immune system. — an elevated level of basophils (above 0.20 x 109/l) is called basophilia. a normal basophil count is.5% to 1% of your white blood cell count. Is there any. Abs Basophils 0.00.
From kaistcompass.kaist.ac.kr
Magazine Category Biological Sciences KAIST Compass Abs Basophils 0.00 Basophil levels that are too high or. It is associated with the development of. a normal basophil count is.5% to 1% of your white blood cell count. — what does it mean if your basophils (absolute) result is too high? Is there any thing to worry? basophils contain large cytoplasmic granules which obscure the cell nucleus under. Abs Basophils 0.00.
From www.cell.com
Antibodymediated regulation of basophils emerging views and clinical Abs Basophils 0.00 Is there any thing to worry? basophils contain large cytoplasmic granules which obscure the cell nucleus under the microscope when stained.the cytoplasmic granules are stained deep. This equals about zero to 300 basophils per microliter of blood in healthy adults. It is associated with the development of. a normal basophil count is.5% to 1% of your white blood. Abs Basophils 0.00.
From ar.inspiredpencil.com
Basophils Neutrophils Lymphocytes Monocytes Eosinophils Abs Basophils 0.00 Basophil levels that are too high or. Elevated basophil levels, known as. — an elevated level of basophils (above 0.20 x 109/l) is called basophilia. It is associated with the development of. — what does it mean if your basophils (absolute) result is too high? basophils contain large cytoplasmic granules which obscure the cell nucleus under the. Abs Basophils 0.00.
From www.frontiersin.org
Frontiers Skinhoming basophils and beyond Abs Basophils 0.00 Elevated basophil levels, known as. It is associated with the development of. This equals about zero to 300 basophils per microliter of blood in healthy adults. — an elevated level of basophils (above 0.20 x 109/l) is called basophilia. Basophil levels that are too high or. — what does it mean if your basophils (absolute) result is too. Abs Basophils 0.00.
From dxopjpklo.blob.core.windows.net
Abs Basophils High at Rose Cope blog Abs Basophils 0.00 — an elevated level of basophils (above 0.20 x 109/l) is called basophilia. a normal basophil count is.5% to 1% of your white blood cell count. — what does it mean if your basophils (absolute) result is too high? This equals about zero to 300 basophils per microliter of blood in healthy adults. It is associated with. Abs Basophils 0.00.
From proper-cooking.info
Basophil Diagram Abs Basophils 0.00 basophils contain large cytoplasmic granules which obscure the cell nucleus under the microscope when stained.the cytoplasmic granules are stained deep. — what does it mean if your basophils (absolute) result is too high? — an elevated level of basophils (above 0.20 x 109/l) is called basophilia. Basophil levels that are too high or. This equals about zero. Abs Basophils 0.00.
From www.vrogue.co
Basophils In Blood Smear Medical Laboratories vrogue.co Abs Basophils 0.00 — an elevated level of basophils (above 0.20 x 109/l) is called basophilia. — what does it mean if your basophils (absolute) result is too high? It is associated with the development of. Basophil levels that are too high or. basophils contain large cytoplasmic granules which obscure the cell nucleus under the microscope when stained.the cytoplasmic granules. Abs Basophils 0.00.
From imagebank.hematology.org
Basophil Abs Basophils 0.00 Elevated basophil levels, known as. — what does it mean if your basophils (absolute) result is too high? It is associated with the development of. a normal basophil count is.5% to 1% of your white blood cell count. — basophils make up a small percentage of white blood cells, but they play an essential role in the. Abs Basophils 0.00.
From healthjade.net
Basophils function, absolute basophil count and basophils normal range Abs Basophils 0.00 — what does it mean if your basophils (absolute) result is too high? — basophils make up a small percentage of white blood cells, but they play an essential role in the immune system. This equals about zero to 300 basophils per microliter of blood in healthy adults. It is associated with the development of. Basophil levels that. Abs Basophils 0.00.
From www.researchgate.net
Absolute basophil number of animals treated with different antigens Abs Basophils 0.00 This equals about zero to 300 basophils per microliter of blood in healthy adults. — what does it mean if your basophils (absolute) result is too high? Elevated basophil levels, known as. Is there any thing to worry? — an elevated level of basophils (above 0.20 x 109/l) is called basophilia. basophils contain large cytoplasmic granules which. Abs Basophils 0.00.
From www.researchgate.net
High absolute basophil count is a powerful independent predictor of Abs Basophils 0.00 — an elevated level of basophils (above 0.20 x 109/l) is called basophilia. Basophil levels that are too high or. — basophils make up a small percentage of white blood cells, but they play an essential role in the immune system. basophils contain large cytoplasmic granules which obscure the cell nucleus under the microscope when stained.the cytoplasmic. Abs Basophils 0.00.
From www.numerade.com
SOLVED CBC with Differential Test WBC RBC Hemoglobin Hematocrit MCV Abs Basophils 0.00 It is associated with the development of. — an elevated level of basophils (above 0.20 x 109/l) is called basophilia. This equals about zero to 300 basophils per microliter of blood in healthy adults. — basophils make up a small percentage of white blood cells, but they play an essential role in the immune system. basophils contain. Abs Basophils 0.00.
From www.researchgate.net
Basophil count in the three groups of patients (** p Abs Basophils 0.00 This equals about zero to 300 basophils per microliter of blood in healthy adults. a normal basophil count is.5% to 1% of your white blood cell count. — basophils make up a small percentage of white blood cells, but they play an essential role in the immune system. — what does it mean if your basophils (absolute). Abs Basophils 0.00.
From www.technologynetworks.com
Basophils Basophil Function, Origin and Related Conditions Abs Basophils 0.00 basophils contain large cytoplasmic granules which obscure the cell nucleus under the microscope when stained.the cytoplasmic granules are stained deep. Basophil levels that are too high or. Is there any thing to worry? — an elevated level of basophils (above 0.20 x 109/l) is called basophilia. It is associated with the development of. a normal basophil count. Abs Basophils 0.00.
From www.medchunk.com
Is Basophils 0 normal, high or low? What does Basophils level 0 mean? Abs Basophils 0.00 It is associated with the development of. Basophil levels that are too high or. a normal basophil count is.5% to 1% of your white blood cell count. Elevated basophil levels, known as. basophils contain large cytoplasmic granules which obscure the cell nucleus under the microscope when stained.the cytoplasmic granules are stained deep. This equals about zero to 300. Abs Basophils 0.00.
From healthjade.net
Basophils function, absolute basophil count and basophils normal range Abs Basophils 0.00 Elevated basophil levels, known as. — an elevated level of basophils (above 0.20 x 109/l) is called basophilia. — basophils make up a small percentage of white blood cells, but they play an essential role in the immune system. basophils contain large cytoplasmic granules which obscure the cell nucleus under the microscope when stained.the cytoplasmic granules are. Abs Basophils 0.00.
From mavink.com
Basophil Diagram Abs Basophils 0.00 — basophils make up a small percentage of white blood cells, but they play an essential role in the immune system. — what does it mean if your basophils (absolute) result is too high? Is there any thing to worry? — an elevated level of basophils (above 0.20 x 109/l) is called basophilia. a normal basophil. Abs Basophils 0.00.
From mavink.com
Basophil Histology Abs Basophils 0.00 Basophil levels that are too high or. a normal basophil count is.5% to 1% of your white blood cell count. It is associated with the development of. basophils contain large cytoplasmic granules which obscure the cell nucleus under the microscope when stained.the cytoplasmic granules are stained deep. — an elevated level of basophils (above 0.20 x 109/l). Abs Basophils 0.00.
From dxopjpklo.blob.core.windows.net
Abs Basophils High at Rose Cope blog Abs Basophils 0.00 Elevated basophil levels, known as. basophils contain large cytoplasmic granules which obscure the cell nucleus under the microscope when stained.the cytoplasmic granules are stained deep. Basophil levels that are too high or. — an elevated level of basophils (above 0.20 x 109/l) is called basophilia. a normal basophil count is.5% to 1% of your white blood cell. Abs Basophils 0.00.
From www.verywellhealth.com
Basophils and Their Role in Your Body Abs Basophils 0.00 — basophils make up a small percentage of white blood cells, but they play an essential role in the immune system. Elevated basophil levels, known as. — an elevated level of basophils (above 0.20 x 109/l) is called basophilia. — what does it mean if your basophils (absolute) result is too high? Is there any thing to. Abs Basophils 0.00.
From www.researchgate.net
Absolute basophil, monocyte, lymphocyte and PMN counts and whole blood Abs Basophils 0.00 a normal basophil count is.5% to 1% of your white blood cell count. Basophil levels that are too high or. Elevated basophil levels, known as. — an elevated level of basophils (above 0.20 x 109/l) is called basophilia. basophils contain large cytoplasmic granules which obscure the cell nucleus under the microscope when stained.the cytoplasmic granules are stained. Abs Basophils 0.00.
From sehlaboratory.com
Absolute Basophils Count [Blood] Abs Basophils 0.00 This equals about zero to 300 basophils per microliter of blood in healthy adults. — what does it mean if your basophils (absolute) result is too high? — an elevated level of basophils (above 0.20 x 109/l) is called basophilia. a normal basophil count is.5% to 1% of your white blood cell count. Is there any thing. Abs Basophils 0.00.
From facty.com
Basophils and the Immune System Facty Health Abs Basophils 0.00 — basophils make up a small percentage of white blood cells, but they play an essential role in the immune system. Is there any thing to worry? basophils contain large cytoplasmic granules which obscure the cell nucleus under the microscope when stained.the cytoplasmic granules are stained deep. a normal basophil count is.5% to 1% of your white. Abs Basophils 0.00.
From dxopjpklo.blob.core.windows.net
Abs Basophils High at Rose Cope blog Abs Basophils 0.00 — what does it mean if your basophils (absolute) result is too high? Is there any thing to worry? This equals about zero to 300 basophils per microliter of blood in healthy adults. Basophil levels that are too high or. basophils contain large cytoplasmic granules which obscure the cell nucleus under the microscope when stained.the cytoplasmic granules are. Abs Basophils 0.00.
From dxoptyfle.blob.core.windows.net
Absolute Granulocyte Count 0.0 at Mary Benson blog Abs Basophils 0.00 basophils contain large cytoplasmic granules which obscure the cell nucleus under the microscope when stained.the cytoplasmic granules are stained deep. — an elevated level of basophils (above 0.20 x 109/l) is called basophilia. Is there any thing to worry? a normal basophil count is.5% to 1% of your white blood cell count. Basophil levels that are too. Abs Basophils 0.00.
From drlogy.com
Best Absolute Basophil Count Calculator Drlogy Abs Basophils 0.00 — what does it mean if your basophils (absolute) result is too high? — an elevated level of basophils (above 0.20 x 109/l) is called basophilia. Elevated basophil levels, known as. Is there any thing to worry? It is associated with the development of. basophils contain large cytoplasmic granules which obscure the cell nucleus under the microscope. Abs Basophils 0.00.
From www.researchgate.net
Bone marrowderived basophils (BMBAs) consist of two distinct Abs Basophils 0.00 Is there any thing to worry? It is associated with the development of. Elevated basophil levels, known as. This equals about zero to 300 basophils per microliter of blood in healthy adults. — an elevated level of basophils (above 0.20 x 109/l) is called basophilia. — what does it mean if your basophils (absolute) result is too high?. Abs Basophils 0.00.
From exonxswug.blob.core.windows.net
Absolute Basophils High Count at James Duval blog Abs Basophils 0.00 Basophil levels that are too high or. a normal basophil count is.5% to 1% of your white blood cell count. Elevated basophil levels, known as. — an elevated level of basophils (above 0.20 x 109/l) is called basophilia. This equals about zero to 300 basophils per microliter of blood in healthy adults. — what does it mean. Abs Basophils 0.00.
From dailymedicalhealth.com
Basophils function, absolute count, low, high and normal range Abs Basophils 0.00 Elevated basophil levels, known as. — what does it mean if your basophils (absolute) result is too high? Is there any thing to worry? This equals about zero to 300 basophils per microliter of blood in healthy adults. Basophil levels that are too high or. basophils contain large cytoplasmic granules which obscure the cell nucleus under the microscope. Abs Basophils 0.00.