Can Chipped Veneers Be Fixed . ‘chipping in wooden veneer furniture can occur and while usually quite tough to repair due to surface texture or grain being hard to imitate, small, discreet chips can be fixed.’ so if your chips are not too sizeable, then follow one of the 3 methods below, whichever suits your situation best. For a severely cracked or dislodged veneer, the best course of action is usually replacement. In some cases, a broken veneer can be fixed by smoothing out the chip or filling in the missing piece with composite resin. If it sustained a crack, chip, or some other light knock, we might be able to fix it. Depending on the severity of the chip, dental. A temporary fix would be to bond the parts together using vertise by kerr (a resin composite that. | reasons for veneer failures. Small chips or cracks may be repairable with composite resin. Yes, a chipped veneer can often be repaired, depending on the material used—porcelain or resin—and the extent of the damage. This is a relatively straightforward procedure that can often be completed in one visit.
from www.slipcoveredgrey.com
For a severely cracked or dislodged veneer, the best course of action is usually replacement. Yes, a chipped veneer can often be repaired, depending on the material used—porcelain or resin—and the extent of the damage. ‘chipping in wooden veneer furniture can occur and while usually quite tough to repair due to surface texture or grain being hard to imitate, small, discreet chips can be fixed.’ so if your chips are not too sizeable, then follow one of the 3 methods below, whichever suits your situation best. In some cases, a broken veneer can be fixed by smoothing out the chip or filling in the missing piece with composite resin. Small chips or cracks may be repairable with composite resin. | reasons for veneer failures. If it sustained a crack, chip, or some other light knock, we might be able to fix it. Depending on the severity of the chip, dental. A temporary fix would be to bond the parts together using vertise by kerr (a resin composite that. This is a relatively straightforward procedure that can often be completed in one visit.
Fix Chipped Veneer The Easy Way Slipcovered Grey
Can Chipped Veneers Be Fixed Yes, a chipped veneer can often be repaired, depending on the material used—porcelain or resin—and the extent of the damage. Small chips or cracks may be repairable with composite resin. In some cases, a broken veneer can be fixed by smoothing out the chip or filling in the missing piece with composite resin. Yes, a chipped veneer can often be repaired, depending on the material used—porcelain or resin—and the extent of the damage. This is a relatively straightforward procedure that can often be completed in one visit. | reasons for veneer failures. ‘chipping in wooden veneer furniture can occur and while usually quite tough to repair due to surface texture or grain being hard to imitate, small, discreet chips can be fixed.’ so if your chips are not too sizeable, then follow one of the 3 methods below, whichever suits your situation best. If it sustained a crack, chip, or some other light knock, we might be able to fix it. A temporary fix would be to bond the parts together using vertise by kerr (a resin composite that. For a severely cracked or dislodged veneer, the best course of action is usually replacement. Depending on the severity of the chip, dental.
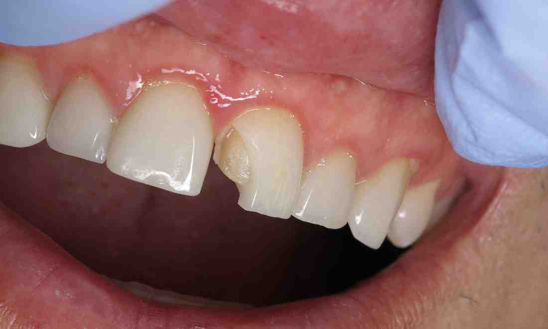
From www.onlymyhealth.com
What Are Chipped Teeth & How You Can Fix Them OnlyMyHealth Can Chipped Veneers Be Fixed This is a relatively straightforward procedure that can often be completed in one visit. A temporary fix would be to bond the parts together using vertise by kerr (a resin composite that. ‘chipping in wooden veneer furniture can occur and while usually quite tough to repair due to surface texture or grain being hard to imitate, small, discreet chips can. Can Chipped Veneers Be Fixed.
From www.slipcoveredgrey.com
Fix Chipped Veneer The Easy Way Slipcovered Grey Can Chipped Veneers Be Fixed In some cases, a broken veneer can be fixed by smoothing out the chip or filling in the missing piece with composite resin. ‘chipping in wooden veneer furniture can occur and while usually quite tough to repair due to surface texture or grain being hard to imitate, small, discreet chips can be fixed.’ so if your chips are not too. Can Chipped Veneers Be Fixed.
From www.youtube.com
Smile Makeover How to Fix Chipped Veneers or Cracked Teeth Dental Can Chipped Veneers Be Fixed This is a relatively straightforward procedure that can often be completed in one visit. A temporary fix would be to bond the parts together using vertise by kerr (a resin composite that. For a severely cracked or dislodged veneer, the best course of action is usually replacement. Small chips or cracks may be repairable with composite resin. Depending on the. Can Chipped Veneers Be Fixed.
From blog.dentalplans.com
Can Porcelain Veneers Fix Crooked Teeth? DentalPlans Blog Can Chipped Veneers Be Fixed If it sustained a crack, chip, or some other light knock, we might be able to fix it. In some cases, a broken veneer can be fixed by smoothing out the chip or filling in the missing piece with composite resin. Depending on the severity of the chip, dental. For a severely cracked or dislodged veneer, the best course of. Can Chipped Veneers Be Fixed.
From barskydds.com
How to Fix a Chipped or Broken Tooth with Dr. Barsky in Miami Can Chipped Veneers Be Fixed ‘chipping in wooden veneer furniture can occur and while usually quite tough to repair due to surface texture or grain being hard to imitate, small, discreet chips can be fixed.’ so if your chips are not too sizeable, then follow one of the 3 methods below, whichever suits your situation best. If it sustained a crack, chip, or some other. Can Chipped Veneers Be Fixed.
From www.robertsonandorchard.com
Corpus Christi, TX Chipped Teeth Treatments Cosmetic and Restorative Can Chipped Veneers Be Fixed This is a relatively straightforward procedure that can often be completed in one visit. Depending on the severity of the chip, dental. If it sustained a crack, chip, or some other light knock, we might be able to fix it. In some cases, a broken veneer can be fixed by smoothing out the chip or filling in the missing piece. Can Chipped Veneers Be Fixed.
From www.citydental.co.nz
How Long Do Veneers Last City Dental Can Chipped Veneers Be Fixed If it sustained a crack, chip, or some other light knock, we might be able to fix it. A temporary fix would be to bond the parts together using vertise by kerr (a resin composite that. Yes, a chipped veneer can often be repaired, depending on the material used—porcelain or resin—and the extent of the damage. In some cases, a. Can Chipped Veneers Be Fixed.
From www.familyandchildrensdentistry.com
Chipped Teeth Family and Children’s Dentistry Atlanta Can Chipped Veneers Be Fixed Yes, a chipped veneer can often be repaired, depending on the material used—porcelain or resin—and the extent of the damage. A temporary fix would be to bond the parts together using vertise by kerr (a resin composite that. If it sustained a crack, chip, or some other light knock, we might be able to fix it. Small chips or cracks. Can Chipped Veneers Be Fixed.
From health-beauty-and-fashion.blogspot.com
Health, Beauty And Fashion Can you fix a chipped / broken tooth yourself? Can Chipped Veneers Be Fixed A temporary fix would be to bond the parts together using vertise by kerr (a resin composite that. In some cases, a broken veneer can be fixed by smoothing out the chip or filling in the missing piece with composite resin. Small chips or cracks may be repairable with composite resin. | reasons for veneer failures. Yes, a chipped veneer. Can Chipped Veneers Be Fixed.
From safarmedical.com
Dental veneers Types, Uses & Process Safar Medical Can Chipped Veneers Be Fixed For a severely cracked or dislodged veneer, the best course of action is usually replacement. Yes, a chipped veneer can often be repaired, depending on the material used—porcelain or resin—and the extent of the damage. A temporary fix would be to bond the parts together using vertise by kerr (a resin composite that. | reasons for veneer failures. This is. Can Chipped Veneers Be Fixed.
From pearlcosmeticdds.com
Cracked front teeth fixed with veneers Pearl Cosmetic DDS Can Chipped Veneers Be Fixed This is a relatively straightforward procedure that can often be completed in one visit. Small chips or cracks may be repairable with composite resin. Depending on the severity of the chip, dental. For a severely cracked or dislodged veneer, the best course of action is usually replacement. ‘chipping in wooden veneer furniture can occur and while usually quite tough to. Can Chipped Veneers Be Fixed.
From www.slipcoveredgrey.com
Fix Chipped Veneer The Easy Way Slipcovered Grey Can Chipped Veneers Be Fixed Yes, a chipped veneer can often be repaired, depending on the material used—porcelain or resin—and the extent of the damage. Small chips or cracks may be repairable with composite resin. ‘chipping in wooden veneer furniture can occur and while usually quite tough to repair due to surface texture or grain being hard to imitate, small, discreet chips can be fixed.’. Can Chipped Veneers Be Fixed.
From www.youtube.com
How to Fix a Broken Tooth Using Monolithic Press YouTube Can Chipped Veneers Be Fixed | reasons for veneer failures. For a severely cracked or dislodged veneer, the best course of action is usually replacement. Yes, a chipped veneer can often be repaired, depending on the material used—porcelain or resin—and the extent of the damage. If it sustained a crack, chip, or some other light knock, we might be able to fix it. In some. Can Chipped Veneers Be Fixed.
From bespokesmile.co.uk
Everything You Need To Know About Emax VeneersBespoke Smile Can Chipped Veneers Be Fixed In some cases, a broken veneer can be fixed by smoothing out the chip or filling in the missing piece with composite resin. Yes, a chipped veneer can often be repaired, depending on the material used—porcelain or resin—and the extent of the damage. Small chips or cracks may be repairable with composite resin. Depending on the severity of the chip,. Can Chipped Veneers Be Fixed.
From www.pinterest.co.uk
Ever wondered how you can fix your chipped, broken, stained and Can Chipped Veneers Be Fixed ‘chipping in wooden veneer furniture can occur and while usually quite tough to repair due to surface texture or grain being hard to imitate, small, discreet chips can be fixed.’ so if your chips are not too sizeable, then follow one of the 3 methods below, whichever suits your situation best. In some cases, a broken veneer can be fixed. Can Chipped Veneers Be Fixed.
From www.goldenstatedentistry.com
Dental Veneers Fix Chipped, Gapped, or Misshapen Teeth Can Chipped Veneers Be Fixed | reasons for veneer failures. For a severely cracked or dislodged veneer, the best course of action is usually replacement. Small chips or cracks may be repairable with composite resin. A temporary fix would be to bond the parts together using vertise by kerr (a resin composite that. Yes, a chipped veneer can often be repaired, depending on the material. Can Chipped Veneers Be Fixed.
From www.connollydentalboutique.com.au
Fix Broken Tooth Perth Same Day Emergency Appointment Can Chipped Veneers Be Fixed ‘chipping in wooden veneer furniture can occur and while usually quite tough to repair due to surface texture or grain being hard to imitate, small, discreet chips can be fixed.’ so if your chips are not too sizeable, then follow one of the 3 methods below, whichever suits your situation best. If it sustained a crack, chip, or some other. Can Chipped Veneers Be Fixed.
From www.cdhp.org
Can You Fix a Chipped Tooth Without a Veneer? Exploring Your Options Can Chipped Veneers Be Fixed This is a relatively straightforward procedure that can often be completed in one visit. If it sustained a crack, chip, or some other light knock, we might be able to fix it. A temporary fix would be to bond the parts together using vertise by kerr (a resin composite that. ‘chipping in wooden veneer furniture can occur and while usually. Can Chipped Veneers Be Fixed.
From www.stgeorgesmiles.com
Smile Gallery Before And After Pictures Riverside Dental Can Chipped Veneers Be Fixed Small chips or cracks may be repairable with composite resin. A temporary fix would be to bond the parts together using vertise by kerr (a resin composite that. If it sustained a crack, chip, or some other light knock, we might be able to fix it. In some cases, a broken veneer can be fixed by smoothing out the chip. Can Chipped Veneers Be Fixed.
From klayjivly.blob.core.windows.net
How Much Does It Cost To Get A Chipped Front Tooth Fixed at Armando Can Chipped Veneers Be Fixed Depending on the severity of the chip, dental. Small chips or cracks may be repairable with composite resin. For a severely cracked or dislodged veneer, the best course of action is usually replacement. A temporary fix would be to bond the parts together using vertise by kerr (a resin composite that. In some cases, a broken veneer can be fixed. Can Chipped Veneers Be Fixed.
From www.pinterest.com
Here’s How You Can Fix Your Chipped Tooth with Cosmetic Dentistry at Can Chipped Veneers Be Fixed This is a relatively straightforward procedure that can often be completed in one visit. Yes, a chipped veneer can often be repaired, depending on the material used—porcelain or resin—and the extent of the damage. ‘chipping in wooden veneer furniture can occur and while usually quite tough to repair due to surface texture or grain being hard to imitate, small, discreet. Can Chipped Veneers Be Fixed.
From www.drsylvanfain.com
Repair of Broken Veneers Before & After Photos North Miami FL Can Chipped Veneers Be Fixed Depending on the severity of the chip, dental. A temporary fix would be to bond the parts together using vertise by kerr (a resin composite that. Yes, a chipped veneer can often be repaired, depending on the material used—porcelain or resin—and the extent of the damage. In some cases, a broken veneer can be fixed by smoothing out the chip. Can Chipped Veneers Be Fixed.
From www.plancic.com
Can a Chipped Porcelain Veneer Be Repaired? Plancic Local Business Guide Can Chipped Veneers Be Fixed For a severely cracked or dislodged veneer, the best course of action is usually replacement. Small chips or cracks may be repairable with composite resin. Yes, a chipped veneer can often be repaired, depending on the material used—porcelain or resin—and the extent of the damage. This is a relatively straightforward procedure that can often be completed in one visit. Depending. Can Chipped Veneers Be Fixed.
From wedesignyoursmile.com
Replacing Chipped or Broken Dental Veneers Can Chipped Veneers Be Fixed ‘chipping in wooden veneer furniture can occur and while usually quite tough to repair due to surface texture or grain being hard to imitate, small, discreet chips can be fixed.’ so if your chips are not too sizeable, then follow one of the 3 methods below, whichever suits your situation best. In some cases, a broken veneer can be fixed. Can Chipped Veneers Be Fixed.
From dxoglxifq.blob.core.windows.net
How To Fix Chips In Veneer at Serena Neer blog Can Chipped Veneers Be Fixed Depending on the severity of the chip, dental. If it sustained a crack, chip, or some other light knock, we might be able to fix it. ‘chipping in wooden veneer furniture can occur and while usually quite tough to repair due to surface texture or grain being hard to imitate, small, discreet chips can be fixed.’ so if your chips. Can Chipped Veneers Be Fixed.
From www.harmonydentalcare.com
We Can Fix That Smile Treatments for Chipped Teeth Can Chipped Veneers Be Fixed A temporary fix would be to bond the parts together using vertise by kerr (a resin composite that. Depending on the severity of the chip, dental. In some cases, a broken veneer can be fixed by smoothing out the chip or filling in the missing piece with composite resin. This is a relatively straightforward procedure that can often be completed. Can Chipped Veneers Be Fixed.
From www.acfdga.com
5 Dental Procedures to Repair Your Cracked or Broken Tooth Can Chipped Veneers Be Fixed ‘chipping in wooden veneer furniture can occur and while usually quite tough to repair due to surface texture or grain being hard to imitate, small, discreet chips can be fixed.’ so if your chips are not too sizeable, then follow one of the 3 methods below, whichever suits your situation best. In some cases, a broken veneer can be fixed. Can Chipped Veneers Be Fixed.
From bestoralbelectrictoothbrush.com
Can Chipped Tooth Be Fixed At Home. I'm Broke Can Chipped Veneers Be Fixed Small chips or cracks may be repairable with composite resin. | reasons for veneer failures. Depending on the severity of the chip, dental. If it sustained a crack, chip, or some other light knock, we might be able to fix it. Yes, a chipped veneer can often be repaired, depending on the material used—porcelain or resin—and the extent of the. Can Chipped Veneers Be Fixed.
From www.reviewhome.co
How To Fix A Broken Tooth Veneer At Home Review Home Co Can Chipped Veneers Be Fixed A temporary fix would be to bond the parts together using vertise by kerr (a resin composite that. Yes, a chipped veneer can often be repaired, depending on the material used—porcelain or resin—and the extent of the damage. In some cases, a broken veneer can be fixed by smoothing out the chip or filling in the missing piece with composite. Can Chipped Veneers Be Fixed.
From sandiegoinvisaligndentist.org
Cosmetic dentistry same day veneer Dental News Network Can Chipped Veneers Be Fixed This is a relatively straightforward procedure that can often be completed in one visit. For a severely cracked or dislodged veneer, the best course of action is usually replacement. ‘chipping in wooden veneer furniture can occur and while usually quite tough to repair due to surface texture or grain being hard to imitate, small, discreet chips can be fixed.’ so. Can Chipped Veneers Be Fixed.
From www.sunshinesmilesoc.com
Chipped Veneer Before & After Photos Mission Viejo CA Can Chipped Veneers Be Fixed ‘chipping in wooden veneer furniture can occur and while usually quite tough to repair due to surface texture or grain being hard to imitate, small, discreet chips can be fixed.’ so if your chips are not too sizeable, then follow one of the 3 methods below, whichever suits your situation best. Depending on the severity of the chip, dental. For. Can Chipped Veneers Be Fixed.
From www.mytoothbetold.com
Can You Fix a Cracked Dental Veneer? Hygienist Explains Tooth Be Told Can Chipped Veneers Be Fixed In some cases, a broken veneer can be fixed by smoothing out the chip or filling in the missing piece with composite resin. A temporary fix would be to bond the parts together using vertise by kerr (a resin composite that. ‘chipping in wooden veneer furniture can occur and while usually quite tough to repair due to surface texture or. Can Chipped Veneers Be Fixed.
From www.slipcoveredgrey.com
Fix Chipped Veneer The Easy Way Slipcovered Grey Can Chipped Veneers Be Fixed If it sustained a crack, chip, or some other light knock, we might be able to fix it. For a severely cracked or dislodged veneer, the best course of action is usually replacement. Depending on the severity of the chip, dental. Small chips or cracks may be repairable with composite resin. Yes, a chipped veneer can often be repaired, depending. Can Chipped Veneers Be Fixed.
From howtofix.one
How To Fix A Chipped Veneer Tooth At Home HowToFix.ONE Can Chipped Veneers Be Fixed | reasons for veneer failures. Depending on the severity of the chip, dental. ‘chipping in wooden veneer furniture can occur and while usually quite tough to repair due to surface texture or grain being hard to imitate, small, discreet chips can be fixed.’ so if your chips are not too sizeable, then follow one of the 3 methods below, whichever. Can Chipped Veneers Be Fixed.
From www.drsylvanfain.com
Repair of Broken Veneers Before & After Photos North Miami FL Can Chipped Veneers Be Fixed | reasons for veneer failures. This is a relatively straightforward procedure that can often be completed in one visit. Depending on the severity of the chip, dental. A temporary fix would be to bond the parts together using vertise by kerr (a resin composite that. If it sustained a crack, chip, or some other light knock, we might be able. Can Chipped Veneers Be Fixed.