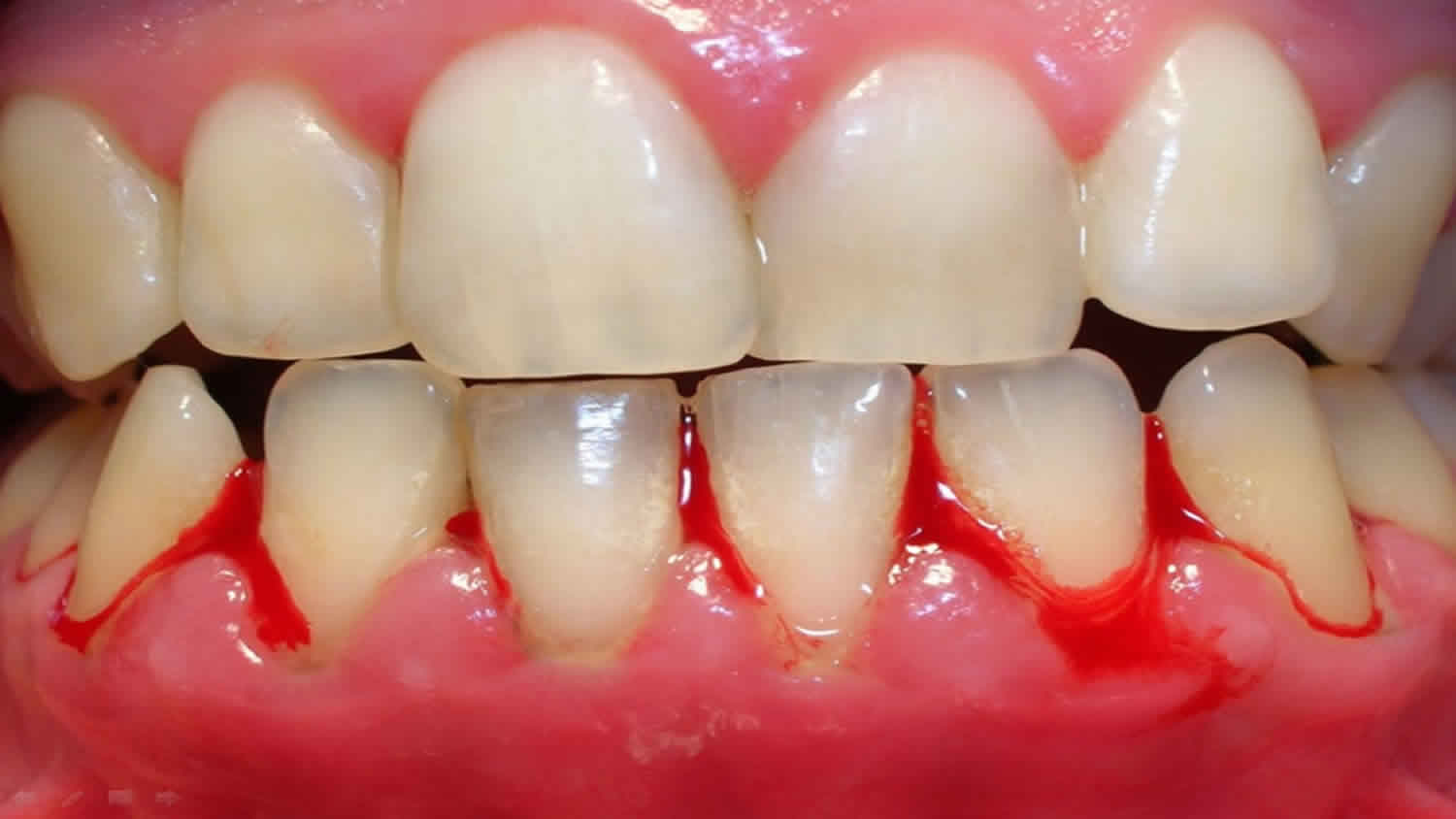
Tooth Brush Gum Bleeding . However, if your gums continue to bleed, even with gentler brushing and consistent flossing, you may want to make a dental appointment to check it out. Gums may bleed due to a variety of reasons, ranging from poor oral hygiene and improper brushing techniques to more serious. Understand the causes of sensitive, red or bleeding gums, plus the best treatments including toothpsate & mouthwash. If aggressive toothbrushing or infrequent flossing cause bleeding gums, this should resolve in about a week. If your gums randomly bleed or bleed when you brush, mention it to. Gums bleed when flossing or brushing? Gums bleeding during tooth brushing can be a common occurrence and may indicate underlying oral health issues. Bleeding gums are a sign of gingivitis, or inflammation of your gums. Bleeding gums can point to gum disease or other general health conditions. It's a common and mild form of gum disease, and it's.
from drkamihoss.com
It's a common and mild form of gum disease, and it's. Bleeding gums are a sign of gingivitis, or inflammation of your gums. Gums may bleed due to a variety of reasons, ranging from poor oral hygiene and improper brushing techniques to more serious. If your gums randomly bleed or bleed when you brush, mention it to. Bleeding gums can point to gum disease or other general health conditions. However, if your gums continue to bleed, even with gentler brushing and consistent flossing, you may want to make a dental appointment to check it out. Gums bleeding during tooth brushing can be a common occurrence and may indicate underlying oral health issues. Understand the causes of sensitive, red or bleeding gums, plus the best treatments including toothpsate & mouthwash. Gums bleed when flossing or brushing? If aggressive toothbrushing or infrequent flossing cause bleeding gums, this should resolve in about a week.
Why Do My Gums Bleed When I Brush? Dr. Kami Hoss
Tooth Brush Gum Bleeding If aggressive toothbrushing or infrequent flossing cause bleeding gums, this should resolve in about a week. Gums may bleed due to a variety of reasons, ranging from poor oral hygiene and improper brushing techniques to more serious. Bleeding gums can point to gum disease or other general health conditions. It's a common and mild form of gum disease, and it's. If aggressive toothbrushing or infrequent flossing cause bleeding gums, this should resolve in about a week. Gums bleed when flossing or brushing? However, if your gums continue to bleed, even with gentler brushing and consistent flossing, you may want to make a dental appointment to check it out. Bleeding gums are a sign of gingivitis, or inflammation of your gums. Gums bleeding during tooth brushing can be a common occurrence and may indicate underlying oral health issues. Understand the causes of sensitive, red or bleeding gums, plus the best treatments including toothpsate & mouthwash. If your gums randomly bleed or bleed when you brush, mention it to.
From www.westashleyfamilydentistry.com
Are Bleeding Gums a Concern? Dentist in Charleston SC Tooth Brush Gum Bleeding However, if your gums continue to bleed, even with gentler brushing and consistent flossing, you may want to make a dental appointment to check it out. Gums bleeding during tooth brushing can be a common occurrence and may indicate underlying oral health issues. If aggressive toothbrushing or infrequent flossing cause bleeding gums, this should resolve in about a week. If. Tooth Brush Gum Bleeding.
From www.dreamstime.com
Toothbrush with Blood Closeup. a Woman Discovered Bleeding Gums while Tooth Brush Gum Bleeding Gums bleeding during tooth brushing can be a common occurrence and may indicate underlying oral health issues. Understand the causes of sensitive, red or bleeding gums, plus the best treatments including toothpsate & mouthwash. If your gums randomly bleed or bleed when you brush, mention it to. However, if your gums continue to bleed, even with gentler brushing and consistent. Tooth Brush Gum Bleeding.
From ugadent.org
WHY DO I BLEED ON BRUSHING MY TEETH? Uganda Dental Association Tooth Brush Gum Bleeding However, if your gums continue to bleed, even with gentler brushing and consistent flossing, you may want to make a dental appointment to check it out. It's a common and mild form of gum disease, and it's. Gums may bleed due to a variety of reasons, ranging from poor oral hygiene and improper brushing techniques to more serious. Gums bleeding. Tooth Brush Gum Bleeding.
From www.dreamstime.com
Toothbrush with Blood Closeup. a Woman Discovered Bleeding Gums while Tooth Brush Gum Bleeding Gums bleed when flossing or brushing? It's a common and mild form of gum disease, and it's. However, if your gums continue to bleed, even with gentler brushing and consistent flossing, you may want to make a dental appointment to check it out. If your gums randomly bleed or bleed when you brush, mention it to. Bleeding gums can point. Tooth Brush Gum Bleeding.
From padentalwellness.com
Why Do My Gums Bleed? Dental Wellness Phoenixville PA Tooth Brush Gum Bleeding Bleeding gums are a sign of gingivitis, or inflammation of your gums. Understand the causes of sensitive, red or bleeding gums, plus the best treatments including toothpsate & mouthwash. Gums bleeding during tooth brushing can be a common occurrence and may indicate underlying oral health issues. Bleeding gums can point to gum disease or other general health conditions. If your. Tooth Brush Gum Bleeding.
From www.interdent.com
Bleeding Gums 9 Major Causes, Symptoms, and Remedies Gentle Dental Tooth Brush Gum Bleeding If your gums randomly bleed or bleed when you brush, mention it to. Gums bleeding during tooth brushing can be a common occurrence and may indicate underlying oral health issues. If aggressive toothbrushing or infrequent flossing cause bleeding gums, this should resolve in about a week. Understand the causes of sensitive, red or bleeding gums, plus the best treatments including. Tooth Brush Gum Bleeding.
From ghanaeducation.org
What It Means When Your Gums Bleed When Brushing Your Teeth Tooth Brush Gum Bleeding Understand the causes of sensitive, red or bleeding gums, plus the best treatments including toothpsate & mouthwash. If aggressive toothbrushing or infrequent flossing cause bleeding gums, this should resolve in about a week. Bleeding gums can point to gum disease or other general health conditions. If your gums randomly bleed or bleed when you brush, mention it to. Gums bleed. Tooth Brush Gum Bleeding.
From southgablesdental.com
Causes of Bleeding Gums When Brushing My Teeth South Gables Dental Tooth Brush Gum Bleeding If aggressive toothbrushing or infrequent flossing cause bleeding gums, this should resolve in about a week. Gums bleed when flossing or brushing? However, if your gums continue to bleed, even with gentler brushing and consistent flossing, you may want to make a dental appointment to check it out. If your gums randomly bleed or bleed when you brush, mention it. Tooth Brush Gum Bleeding.
From dentalartssandiego.com
Bleeding Gums Dental Conditions in San Diego Dental Arts San Diego Tooth Brush Gum Bleeding Bleeding gums are a sign of gingivitis, or inflammation of your gums. It's a common and mild form of gum disease, and it's. Bleeding gums can point to gum disease or other general health conditions. Understand the causes of sensitive, red or bleeding gums, plus the best treatments including toothpsate & mouthwash. If your gums randomly bleed or bleed when. Tooth Brush Gum Bleeding.
From drkamihoss.com
Why Do My Gums Bleed When I Brush? Dr. Kami Hoss Tooth Brush Gum Bleeding However, if your gums continue to bleed, even with gentler brushing and consistent flossing, you may want to make a dental appointment to check it out. Bleeding gums can point to gum disease or other general health conditions. Gums bleed when flossing or brushing? Understand the causes of sensitive, red or bleeding gums, plus the best treatments including toothpsate &. Tooth Brush Gum Bleeding.
From gentledentalmaine.com
Four Common Causes Of Bleeding Gums Gentle Dental Maine Tooth Brush Gum Bleeding It's a common and mild form of gum disease, and it's. However, if your gums continue to bleed, even with gentler brushing and consistent flossing, you may want to make a dental appointment to check it out. If your gums randomly bleed or bleed when you brush, mention it to. Gums may bleed due to a variety of reasons, ranging. Tooth Brush Gum Bleeding.
From absolutedental.com.au
Do you suffer from bleeding gums? Absolute Dental Tooth Brush Gum Bleeding Gums bleeding during tooth brushing can be a common occurrence and may indicate underlying oral health issues. Gums bleed when flossing or brushing? It's a common and mild form of gum disease, and it's. Bleeding gums are a sign of gingivitis, or inflammation of your gums. However, if your gums continue to bleed, even with gentler brushing and consistent flossing,. Tooth Brush Gum Bleeding.
From www.dreamstime.com
Toothbrush with Blood Closeup. a Woman Discovered Bleeding Gums while Tooth Brush Gum Bleeding It's a common and mild form of gum disease, and it's. Bleeding gums are a sign of gingivitis, or inflammation of your gums. Gums may bleed due to a variety of reasons, ranging from poor oral hygiene and improper brushing techniques to more serious. However, if your gums continue to bleed, even with gentler brushing and consistent flossing, you may. Tooth Brush Gum Bleeding.
From www.supremedentistryhouston.com
How to Stop Gum Bleeding Immediately Teeth Cleaning TX Tooth Brush Gum Bleeding If aggressive toothbrushing or infrequent flossing cause bleeding gums, this should resolve in about a week. Gums bleeding during tooth brushing can be a common occurrence and may indicate underlying oral health issues. Gums bleed when flossing or brushing? It's a common and mild form of gum disease, and it's. If your gums randomly bleed or bleed when you brush,. Tooth Brush Gum Bleeding.
From www.dreamstime.com
Bleeding at Teeth during Brushing with Toothbrush.bleeding Gums Stock Tooth Brush Gum Bleeding Understand the causes of sensitive, red or bleeding gums, plus the best treatments including toothpsate & mouthwash. It's a common and mild form of gum disease, and it's. If your gums randomly bleed or bleed when you brush, mention it to. Bleeding gums are a sign of gingivitis, or inflammation of your gums. However, if your gums continue to bleed,. Tooth Brush Gum Bleeding.
From www.kowhaidental.co.nz
Bleeding Gums Causes, Symptoms and Treatment Kowhai Dental Tooth Brush Gum Bleeding Gums may bleed due to a variety of reasons, ranging from poor oral hygiene and improper brushing techniques to more serious. Bleeding gums can point to gum disease or other general health conditions. If aggressive toothbrushing or infrequent flossing cause bleeding gums, this should resolve in about a week. Gums bleed when flossing or brushing? Bleeding gums are a sign. Tooth Brush Gum Bleeding.
From www.youtube.com
Why we Brush our Teeth? Bleeding Gums?? Right Brushing Technique to Tooth Brush Gum Bleeding If your gums randomly bleed or bleed when you brush, mention it to. However, if your gums continue to bleed, even with gentler brushing and consistent flossing, you may want to make a dental appointment to check it out. Gums may bleed due to a variety of reasons, ranging from poor oral hygiene and improper brushing techniques to more serious.. Tooth Brush Gum Bleeding.
From expressdentist.com
Why Do My Gums Bleed When I Brush My Teeth? Express Dentist Tooth Brush Gum Bleeding However, if your gums continue to bleed, even with gentler brushing and consistent flossing, you may want to make a dental appointment to check it out. If aggressive toothbrushing or infrequent flossing cause bleeding gums, this should resolve in about a week. It's a common and mild form of gum disease, and it's. Understand the causes of sensitive, red or. Tooth Brush Gum Bleeding.
From orthodontistredmond.com
Why do my gums bleed when I brush? iSmile Orthodontics Redmond WA Tooth Brush Gum Bleeding Gums may bleed due to a variety of reasons, ranging from poor oral hygiene and improper brushing techniques to more serious. If your gums randomly bleed or bleed when you brush, mention it to. Bleeding gums can point to gum disease or other general health conditions. However, if your gums continue to bleed, even with gentler brushing and consistent flossing,. Tooth Brush Gum Bleeding.
From theelitedental.com
WHY DO GUMS BLEED WHEN YOU BRUSH YOUR TEETH? ELITE DENTAL CARE TRACY Tooth Brush Gum Bleeding Gums may bleed due to a variety of reasons, ranging from poor oral hygiene and improper brushing techniques to more serious. Gums bleeding during tooth brushing can be a common occurrence and may indicate underlying oral health issues. If your gums randomly bleed or bleed when you brush, mention it to. Understand the causes of sensitive, red or bleeding gums,. Tooth Brush Gum Bleeding.
From douglewisdmd.com
Why Your Gums are Bleeding When You Brush or Floss Doug Lewis Dentistry Tooth Brush Gum Bleeding Gums bleed when flossing or brushing? Bleeding gums can point to gum disease or other general health conditions. Understand the causes of sensitive, red or bleeding gums, plus the best treatments including toothpsate & mouthwash. If aggressive toothbrushing or infrequent flossing cause bleeding gums, this should resolve in about a week. However, if your gums continue to bleed, even with. Tooth Brush Gum Bleeding.
From dentakings.com
Do you have bleeding gums while you brush your teeth? Denta Kings Tooth Brush Gum Bleeding If aggressive toothbrushing or infrequent flossing cause bleeding gums, this should resolve in about a week. Gums bleed when flossing or brushing? Gums may bleed due to a variety of reasons, ranging from poor oral hygiene and improper brushing techniques to more serious. However, if your gums continue to bleed, even with gentler brushing and consistent flossing, you may want. Tooth Brush Gum Bleeding.
From expressdentist.com
Bleeding Gums Causes and Home Remedies Express Dentist Tooth Brush Gum Bleeding Understand the causes of sensitive, red or bleeding gums, plus the best treatments including toothpsate & mouthwash. It's a common and mild form of gum disease, and it's. Bleeding gums are a sign of gingivitis, or inflammation of your gums. Gums may bleed due to a variety of reasons, ranging from poor oral hygiene and improper brushing techniques to more. Tooth Brush Gum Bleeding.
From www.shutterstock.com
Gums Bleed When Brush Teeth Blood Stock Photo (Edit Now) 271289195 Tooth Brush Gum Bleeding If your gums randomly bleed or bleed when you brush, mention it to. Bleeding gums can point to gum disease or other general health conditions. Understand the causes of sensitive, red or bleeding gums, plus the best treatments including toothpsate & mouthwash. Gums may bleed due to a variety of reasons, ranging from poor oral hygiene and improper brushing techniques. Tooth Brush Gum Bleeding.
From www.dreamstime.com
Toothbrush with Blood Closeup. a Woman Discovered Bleeding Gums while Tooth Brush Gum Bleeding Gums bleed when flossing or brushing? Gums bleeding during tooth brushing can be a common occurrence and may indicate underlying oral health issues. If your gums randomly bleed or bleed when you brush, mention it to. Bleeding gums are a sign of gingivitis, or inflammation of your gums. If aggressive toothbrushing or infrequent flossing cause bleeding gums, this should resolve. Tooth Brush Gum Bleeding.
From sloancreekdental.com
Bleeding Gums Gum Disease in Fairview & Allen TX Sloan Creek Dental Tooth Brush Gum Bleeding Gums may bleed due to a variety of reasons, ranging from poor oral hygiene and improper brushing techniques to more serious. If aggressive toothbrushing or infrequent flossing cause bleeding gums, this should resolve in about a week. It's a common and mild form of gum disease, and it's. Bleeding gums can point to gum disease or other general health conditions.. Tooth Brush Gum Bleeding.
From www.johnsondentalpaducah.com
Common Causes of Bleeding Gums Paducah Dentist Tooth Brush Gum Bleeding If aggressive toothbrushing or infrequent flossing cause bleeding gums, this should resolve in about a week. Gums bleed when flossing or brushing? Bleeding gums can point to gum disease or other general health conditions. If your gums randomly bleed or bleed when you brush, mention it to. Understand the causes of sensitive, red or bleeding gums, plus the best treatments. Tooth Brush Gum Bleeding.
From smilestories.co
Best Toothbrush for Bleeding Gums Smile Stories Tooth Brush Gum Bleeding Bleeding gums can point to gum disease or other general health conditions. Gums bleeding during tooth brushing can be a common occurrence and may indicate underlying oral health issues. Gums bleed when flossing or brushing? Bleeding gums are a sign of gingivitis, or inflammation of your gums. Understand the causes of sensitive, red or bleeding gums, plus the best treatments. Tooth Brush Gum Bleeding.
From www.dreamstime.com
Toothbrush with Blood Closeup. a Woman Discovered Bleeding Gums while Tooth Brush Gum Bleeding If your gums randomly bleed or bleed when you brush, mention it to. Gums bleeding during tooth brushing can be a common occurrence and may indicate underlying oral health issues. Bleeding gums are a sign of gingivitis, or inflammation of your gums. Bleeding gums can point to gum disease or other general health conditions. It's a common and mild form. Tooth Brush Gum Bleeding.
From expertdental.in
Reasons for Bleeding Gums Dr Sravanthi Expert Dental Care Tooth Brush Gum Bleeding Bleeding gums can point to gum disease or other general health conditions. Understand the causes of sensitive, red or bleeding gums, plus the best treatments including toothpsate & mouthwash. However, if your gums continue to bleed, even with gentler brushing and consistent flossing, you may want to make a dental appointment to check it out. Gums bleeding during tooth brushing. Tooth Brush Gum Bleeding.
From smilescentre.co.uk
Why do my gums bleed? Tooth Brush Gum Bleeding Bleeding gums are a sign of gingivitis, or inflammation of your gums. Gums bleeding during tooth brushing can be a common occurrence and may indicate underlying oral health issues. However, if your gums continue to bleed, even with gentler brushing and consistent flossing, you may want to make a dental appointment to check it out. Gums may bleed due to. Tooth Brush Gum Bleeding.
From mccartneydental.com
Why Bleeding Gums Are A Serious Cause For Concern McCartney Dental Tooth Brush Gum Bleeding If aggressive toothbrushing or infrequent flossing cause bleeding gums, this should resolve in about a week. If your gums randomly bleed or bleed when you brush, mention it to. Gums bleeding during tooth brushing can be a common occurrence and may indicate underlying oral health issues. Gums may bleed due to a variety of reasons, ranging from poor oral hygiene. Tooth Brush Gum Bleeding.
From www.dreamstime.com
Toothbrush with Blood Closeup. a Woman Discovered Bleeding Gums while Tooth Brush Gum Bleeding If your gums randomly bleed or bleed when you brush, mention it to. Bleeding gums are a sign of gingivitis, or inflammation of your gums. However, if your gums continue to bleed, even with gentler brushing and consistent flossing, you may want to make a dental appointment to check it out. Gums bleed when flossing or brushing? Gums bleeding during. Tooth Brush Gum Bleeding.
From www.youtube.com
Bleeding Gums When Brushing Teeth YouTube Tooth Brush Gum Bleeding Bleeding gums are a sign of gingivitis, or inflammation of your gums. Understand the causes of sensitive, red or bleeding gums, plus the best treatments including toothpsate & mouthwash. If your gums randomly bleed or bleed when you brush, mention it to. Bleeding gums can point to gum disease or other general health conditions. If aggressive toothbrushing or infrequent flossing. Tooth Brush Gum Bleeding.
From www.alamy.com
Bleeding gum hires stock photography and images Alamy Tooth Brush Gum Bleeding However, if your gums continue to bleed, even with gentler brushing and consistent flossing, you may want to make a dental appointment to check it out. Understand the causes of sensitive, red or bleeding gums, plus the best treatments including toothpsate & mouthwash. Gums bleed when flossing or brushing? If your gums randomly bleed or bleed when you brush, mention. Tooth Brush Gum Bleeding.