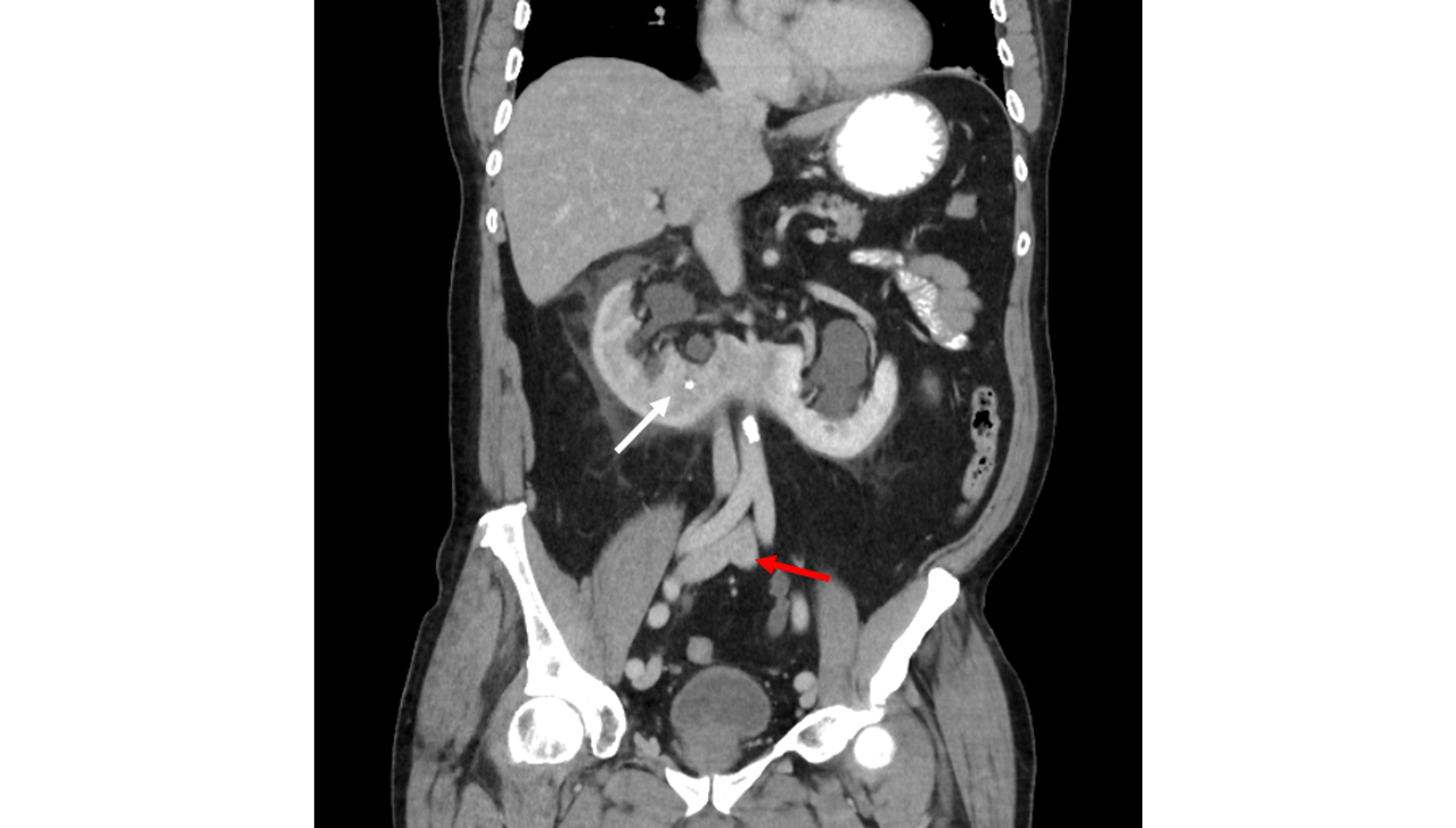
Horseshoe Kidney Ct Scan . Meanwhile, due to the concern regarding the abnormal relationship between the hsk and abdominal viscera, particularly the. It is often an incidental finding. Horseshoe kidneys can be identified using most abdominal imaging modalities. Its appearance is classic on ct and confirmatory tests are not necessary. Ct demonstrates the kidneys to be fused at their lower pole, located abnormally inferiorly immediately below the inferior mesenteric artery. The renal hila are rotated anateriology. Intravenous urography (ivu), computed tomography (ct) scanning, magnetic resonance imaging (mri), and scintigraphy. Urogram protocol computed tomography (ct scanning of the abdomen and pelvis, with and without intravenous contrast) is. Courtesy of laurence baskin, md. Unenhanced computed tomographic scan of horseshoe kidney with bilateral calculi. Horseshoe kidney is one form of several congenital renal anomalies.
from www.sciencephoto.com
Urogram protocol computed tomography (ct scanning of the abdomen and pelvis, with and without intravenous contrast) is. Ct demonstrates the kidneys to be fused at their lower pole, located abnormally inferiorly immediately below the inferior mesenteric artery. Horseshoe kidney is one form of several congenital renal anomalies. It is often an incidental finding. Its appearance is classic on ct and confirmatory tests are not necessary. Horseshoe kidneys can be identified using most abdominal imaging modalities. Meanwhile, due to the concern regarding the abnormal relationship between the hsk and abdominal viscera, particularly the. Intravenous urography (ivu), computed tomography (ct) scanning, magnetic resonance imaging (mri), and scintigraphy. Courtesy of laurence baskin, md. Unenhanced computed tomographic scan of horseshoe kidney with bilateral calculi.
Horseshoe kidneys, CT scan Stock Image C053/3162 Science Photo
Horseshoe Kidney Ct Scan Unenhanced computed tomographic scan of horseshoe kidney with bilateral calculi. Its appearance is classic on ct and confirmatory tests are not necessary. It is often an incidental finding. Ct demonstrates the kidneys to be fused at their lower pole, located abnormally inferiorly immediately below the inferior mesenteric artery. The renal hila are rotated anateriology. Meanwhile, due to the concern regarding the abnormal relationship between the hsk and abdominal viscera, particularly the. Urogram protocol computed tomography (ct scanning of the abdomen and pelvis, with and without intravenous contrast) is. Intravenous urography (ivu), computed tomography (ct) scanning, magnetic resonance imaging (mri), and scintigraphy. Horseshoe kidneys can be identified using most abdominal imaging modalities. Courtesy of laurence baskin, md. Unenhanced computed tomographic scan of horseshoe kidney with bilateral calculi. Horseshoe kidney is one form of several congenital renal anomalies.
From www.ctisus.com
CT Quick Guides CT Scanning Horseshoe Kidney Ct Scan Meanwhile, due to the concern regarding the abnormal relationship between the hsk and abdominal viscera, particularly the. Ct demonstrates the kidneys to be fused at their lower pole, located abnormally inferiorly immediately below the inferior mesenteric artery. Courtesy of laurence baskin, md. Urogram protocol computed tomography (ct scanning of the abdomen and pelvis, with and without intravenous contrast) is. Horseshoe. Horseshoe Kidney Ct Scan.
From www.sciencephoto.com
Horseshoe kidneys, CT scan Stock Image C053/3162 Science Photo Horseshoe Kidney Ct Scan Ct demonstrates the kidneys to be fused at their lower pole, located abnormally inferiorly immediately below the inferior mesenteric artery. Horseshoe kidneys can be identified using most abdominal imaging modalities. Its appearance is classic on ct and confirmatory tests are not necessary. The renal hila are rotated anateriology. It is often an incidental finding. Urogram protocol computed tomography (ct scanning. Horseshoe Kidney Ct Scan.
From www.cureus.com
Cureus Horseshoe Kidney With a Documented Giant Calculi A Case Report Horseshoe Kidney Ct Scan Its appearance is classic on ct and confirmatory tests are not necessary. Ct demonstrates the kidneys to be fused at their lower pole, located abnormally inferiorly immediately below the inferior mesenteric artery. Urogram protocol computed tomography (ct scanning of the abdomen and pelvis, with and without intravenous contrast) is. Horseshoe kidney is one form of several congenital renal anomalies. Courtesy. Horseshoe Kidney Ct Scan.
From www.ctisus.com
Horseshoe Kidney Kidney Case Studies CTisus CT Scanning Horseshoe Kidney Ct Scan Intravenous urography (ivu), computed tomography (ct) scanning, magnetic resonance imaging (mri), and scintigraphy. Courtesy of laurence baskin, md. Its appearance is classic on ct and confirmatory tests are not necessary. Horseshoe kidneys can be identified using most abdominal imaging modalities. Unenhanced computed tomographic scan of horseshoe kidney with bilateral calculi. Meanwhile, due to the concern regarding the abnormal relationship between. Horseshoe Kidney Ct Scan.
From www.researchgate.net
Preoperative CT scan of horseshoe kidney stone. Download Scientific Horseshoe Kidney Ct Scan Intravenous urography (ivu), computed tomography (ct) scanning, magnetic resonance imaging (mri), and scintigraphy. Horseshoe kidney is one form of several congenital renal anomalies. It is often an incidental finding. Its appearance is classic on ct and confirmatory tests are not necessary. Ct demonstrates the kidneys to be fused at their lower pole, located abnormally inferiorly immediately below the inferior mesenteric. Horseshoe Kidney Ct Scan.
From www.cureus.com
Cureus Laparoscopic Nephrolithotomy in a Horseshoe Kidney Horseshoe Kidney Ct Scan Meanwhile, due to the concern regarding the abnormal relationship between the hsk and abdominal viscera, particularly the. Horseshoe kidney is one form of several congenital renal anomalies. Horseshoe kidneys can be identified using most abdominal imaging modalities. Intravenous urography (ivu), computed tomography (ct) scanning, magnetic resonance imaging (mri), and scintigraphy. It is often an incidental finding. Its appearance is classic. Horseshoe Kidney Ct Scan.
From www.researchgate.net
Coronal view of the patient's initial CT scan, demonstrating a 1.3cm Horseshoe Kidney Ct Scan The renal hila are rotated anateriology. Ct demonstrates the kidneys to be fused at their lower pole, located abnormally inferiorly immediately below the inferior mesenteric artery. Urogram protocol computed tomography (ct scanning of the abdomen and pelvis, with and without intravenous contrast) is. Horseshoe kidneys can be identified using most abdominal imaging modalities. Meanwhile, due to the concern regarding the. Horseshoe Kidney Ct Scan.
From www.ctisus.com
Horseshoe Kidneys with Cysts Kidney Case Studies CTisus CT Scanning Horseshoe Kidney Ct Scan Courtesy of laurence baskin, md. Ct demonstrates the kidneys to be fused at their lower pole, located abnormally inferiorly immediately below the inferior mesenteric artery. The renal hila are rotated anateriology. Horseshoe kidneys can be identified using most abdominal imaging modalities. Meanwhile, due to the concern regarding the abnormal relationship between the hsk and abdominal viscera, particularly the. Horseshoe kidney. Horseshoe Kidney Ct Scan.
From journals.sagepub.com
A Horseshoe Kidney With Solid Mass A Case Report Shannon Thoma Horseshoe Kidney Ct Scan Meanwhile, due to the concern regarding the abnormal relationship between the hsk and abdominal viscera, particularly the. Its appearance is classic on ct and confirmatory tests are not necessary. Urogram protocol computed tomography (ct scanning of the abdomen and pelvis, with and without intravenous contrast) is. Unenhanced computed tomographic scan of horseshoe kidney with bilateral calculi. Horseshoe kidneys can be. Horseshoe Kidney Ct Scan.
From www.ctisus.com
Horseshoe Kidney Kidney Case Studies CTisus CT Scanning Horseshoe Kidney Ct Scan Horseshoe kidney is one form of several congenital renal anomalies. Urogram protocol computed tomography (ct scanning of the abdomen and pelvis, with and without intravenous contrast) is. Ct demonstrates the kidneys to be fused at their lower pole, located abnormally inferiorly immediately below the inferior mesenteric artery. Horseshoe kidneys can be identified using most abdominal imaging modalities. Its appearance is. Horseshoe Kidney Ct Scan.
From journals.sagepub.com
A deadly trap for paraaortic lymph node dissection in patients with Horseshoe Kidney Ct Scan Horseshoe kidney is one form of several congenital renal anomalies. Intravenous urography (ivu), computed tomography (ct) scanning, magnetic resonance imaging (mri), and scintigraphy. Meanwhile, due to the concern regarding the abnormal relationship between the hsk and abdominal viscera, particularly the. Its appearance is classic on ct and confirmatory tests are not necessary. It is often an incidental finding. The renal. Horseshoe Kidney Ct Scan.
From www.ctisus.com
Horseshoe Kidney with Calculus but Normal Function Kidney Case Horseshoe Kidney Ct Scan Its appearance is classic on ct and confirmatory tests are not necessary. Ct demonstrates the kidneys to be fused at their lower pole, located abnormally inferiorly immediately below the inferior mesenteric artery. Intravenous urography (ivu), computed tomography (ct) scanning, magnetic resonance imaging (mri), and scintigraphy. It is often an incidental finding. Unenhanced computed tomographic scan of horseshoe kidney with bilateral. Horseshoe Kidney Ct Scan.
From www.svuhradiology.ie
Pelvic kidney Radiology at St. Vincent's University Hospital Horseshoe Kidney Ct Scan Ct demonstrates the kidneys to be fused at their lower pole, located abnormally inferiorly immediately below the inferior mesenteric artery. The renal hila are rotated anateriology. Horseshoe kidney is one form of several congenital renal anomalies. Its appearance is classic on ct and confirmatory tests are not necessary. Meanwhile, due to the concern regarding the abnormal relationship between the hsk. Horseshoe Kidney Ct Scan.
From www.ctisus.com
Pelvic Horseshoe Kidneys Kidney Case Studies CTisus CT Scanning Horseshoe Kidney Ct Scan The renal hila are rotated anateriology. Intravenous urography (ivu), computed tomography (ct) scanning, magnetic resonance imaging (mri), and scintigraphy. Horseshoe kidney is one form of several congenital renal anomalies. Horseshoe kidneys can be identified using most abdominal imaging modalities. Ct demonstrates the kidneys to be fused at their lower pole, located abnormally inferiorly immediately below the inferior mesenteric artery. Its. Horseshoe Kidney Ct Scan.
From www.pinterest.com
Beautiful MultiModality Imaging of a Horseshoe Kidney Horseshoe Kidney Ct Scan Unenhanced computed tomographic scan of horseshoe kidney with bilateral calculi. Horseshoe kidney is one form of several congenital renal anomalies. Urogram protocol computed tomography (ct scanning of the abdomen and pelvis, with and without intravenous contrast) is. It is often an incidental finding. Courtesy of laurence baskin, md. Intravenous urography (ivu), computed tomography (ct) scanning, magnetic resonance imaging (mri), and. Horseshoe Kidney Ct Scan.
From www.ctisus.com
Pelvic Horseshoe Kidneys Kidney Case Studies CTisus CT Scanning Horseshoe Kidney Ct Scan Ct demonstrates the kidneys to be fused at their lower pole, located abnormally inferiorly immediately below the inferior mesenteric artery. Urogram protocol computed tomography (ct scanning of the abdomen and pelvis, with and without intravenous contrast) is. Unenhanced computed tomographic scan of horseshoe kidney with bilateral calculi. Horseshoe kidney is one form of several congenital renal anomalies. Its appearance is. Horseshoe Kidney Ct Scan.
From www.ajronline.org
Incidence and Spectrum of Renal Complications and Extrarenal Diseases Horseshoe Kidney Ct Scan Intravenous urography (ivu), computed tomography (ct) scanning, magnetic resonance imaging (mri), and scintigraphy. Urogram protocol computed tomography (ct scanning of the abdomen and pelvis, with and without intravenous contrast) is. Ct demonstrates the kidneys to be fused at their lower pole, located abnormally inferiorly immediately below the inferior mesenteric artery. Its appearance is classic on ct and confirmatory tests are. Horseshoe Kidney Ct Scan.
From www.researchgate.net
Urological CT of patient 1 suggested a left ureteropelvic junction Horseshoe Kidney Ct Scan Horseshoe kidneys can be identified using most abdominal imaging modalities. Meanwhile, due to the concern regarding the abnormal relationship between the hsk and abdominal viscera, particularly the. Courtesy of laurence baskin, md. It is often an incidental finding. Horseshoe kidney is one form of several congenital renal anomalies. Unenhanced computed tomographic scan of horseshoe kidney with bilateral calculi. The renal. Horseshoe Kidney Ct Scan.
From www.researchgate.net
Initial preoperative CECT scan (coronal section) showing horseshoe Horseshoe Kidney Ct Scan Intravenous urography (ivu), computed tomography (ct) scanning, magnetic resonance imaging (mri), and scintigraphy. The renal hila are rotated anateriology. Meanwhile, due to the concern regarding the abnormal relationship between the hsk and abdominal viscera, particularly the. Its appearance is classic on ct and confirmatory tests are not necessary. Horseshoe kidneys can be identified using most abdominal imaging modalities. Urogram protocol. Horseshoe Kidney Ct Scan.
From www.researchgate.net
Deceased donor's CT scan. Image shows isthmus of horseshoe kidney Horseshoe Kidney Ct Scan It is often an incidental finding. Unenhanced computed tomographic scan of horseshoe kidney with bilateral calculi. Urogram protocol computed tomography (ct scanning of the abdomen and pelvis, with and without intravenous contrast) is. The renal hila are rotated anateriology. Horseshoe kidneys can be identified using most abdominal imaging modalities. Horseshoe kidney is one form of several congenital renal anomalies. Meanwhile,. Horseshoe Kidney Ct Scan.
From www.ctisus.com
Horseshoe Kidneys with Cysts Kidney Case Studies CTisus CT Scanning Horseshoe Kidney Ct Scan It is often an incidental finding. Urogram protocol computed tomography (ct scanning of the abdomen and pelvis, with and without intravenous contrast) is. Horseshoe kidney is one form of several congenital renal anomalies. Meanwhile, due to the concern regarding the abnormal relationship between the hsk and abdominal viscera, particularly the. The renal hila are rotated anateriology. Intravenous urography (ivu), computed. Horseshoe Kidney Ct Scan.
From www.cureus.com
Cureus Anomalous Circumrenal Inferior Vena Cava Associated With Horseshoe Kidney Ct Scan The renal hila are rotated anateriology. Horseshoe kidneys can be identified using most abdominal imaging modalities. Ct demonstrates the kidneys to be fused at their lower pole, located abnormally inferiorly immediately below the inferior mesenteric artery. It is often an incidental finding. Meanwhile, due to the concern regarding the abnormal relationship between the hsk and abdominal viscera, particularly the. Its. Horseshoe Kidney Ct Scan.
From www.ctisus.com
Horseshoe Kidney Kidney Case Studies CTisus CT Scanning Horseshoe Kidney Ct Scan Ct demonstrates the kidneys to be fused at their lower pole, located abnormally inferiorly immediately below the inferior mesenteric artery. Intravenous urography (ivu), computed tomography (ct) scanning, magnetic resonance imaging (mri), and scintigraphy. Meanwhile, due to the concern regarding the abnormal relationship between the hsk and abdominal viscera, particularly the. The renal hila are rotated anateriology. Horseshoe kidneys can be. Horseshoe Kidney Ct Scan.
From www.cureus.com
Cureus Laparoscopic Nephrolithotomy in a Horseshoe Kidney Horseshoe Kidney Ct Scan Meanwhile, due to the concern regarding the abnormal relationship between the hsk and abdominal viscera, particularly the. The renal hila are rotated anateriology. Unenhanced computed tomographic scan of horseshoe kidney with bilateral calculi. Ct demonstrates the kidneys to be fused at their lower pole, located abnormally inferiorly immediately below the inferior mesenteric artery. Horseshoe kidneys can be identified using most. Horseshoe Kidney Ct Scan.
From www.ctisus.com
Horseshoe Kidneys with Cysts Kidney Case Studies CTisus CT Scanning Horseshoe Kidney Ct Scan Unenhanced computed tomographic scan of horseshoe kidney with bilateral calculi. Horseshoe kidney is one form of several congenital renal anomalies. Urogram protocol computed tomography (ct scanning of the abdomen and pelvis, with and without intravenous contrast) is. Ct demonstrates the kidneys to be fused at their lower pole, located abnormally inferiorly immediately below the inferior mesenteric artery. Horseshoe kidneys can. Horseshoe Kidney Ct Scan.
From www.wjgnet.com
Bilateral hematoma after tubeless percutaneous nephrolithotomy for Horseshoe Kidney Ct Scan Horseshoe kidneys can be identified using most abdominal imaging modalities. Unenhanced computed tomographic scan of horseshoe kidney with bilateral calculi. Ct demonstrates the kidneys to be fused at their lower pole, located abnormally inferiorly immediately below the inferior mesenteric artery. Intravenous urography (ivu), computed tomography (ct) scanning, magnetic resonance imaging (mri), and scintigraphy. The renal hila are rotated anateriology. Horseshoe. Horseshoe Kidney Ct Scan.
From www.melbourneradiology.com.au
CT Scan of the Kidney Melbourne Radiology Horseshoe Kidney Ct Scan Meanwhile, due to the concern regarding the abnormal relationship between the hsk and abdominal viscera, particularly the. Intravenous urography (ivu), computed tomography (ct) scanning, magnetic resonance imaging (mri), and scintigraphy. It is often an incidental finding. Urogram protocol computed tomography (ct scanning of the abdomen and pelvis, with and without intravenous contrast) is. Ct demonstrates the kidneys to be fused. Horseshoe Kidney Ct Scan.
From www.researchgate.net
Transverse sectional view of the right horseshoe kidney on CT scan Horseshoe Kidney Ct Scan Ct demonstrates the kidneys to be fused at their lower pole, located abnormally inferiorly immediately below the inferior mesenteric artery. It is often an incidental finding. Intravenous urography (ivu), computed tomography (ct) scanning, magnetic resonance imaging (mri), and scintigraphy. Horseshoe kidneys can be identified using most abdominal imaging modalities. The renal hila are rotated anateriology. Unenhanced computed tomographic scan of. Horseshoe Kidney Ct Scan.
From www.pinterest.com
Pin su CT Scans Horseshoe Kidney Ct Scan Horseshoe kidneys can be identified using most abdominal imaging modalities. Unenhanced computed tomographic scan of horseshoe kidney with bilateral calculi. Horseshoe kidney is one form of several congenital renal anomalies. Meanwhile, due to the concern regarding the abnormal relationship between the hsk and abdominal viscera, particularly the. Courtesy of laurence baskin, md. Its appearance is classic on ct and confirmatory. Horseshoe Kidney Ct Scan.
From www.thelancet.com
Horseshoe kidney in a deceased organ donor a rare glimpse at an Horseshoe Kidney Ct Scan Intravenous urography (ivu), computed tomography (ct) scanning, magnetic resonance imaging (mri), and scintigraphy. Courtesy of laurence baskin, md. Unenhanced computed tomographic scan of horseshoe kidney with bilateral calculi. Ct demonstrates the kidneys to be fused at their lower pole, located abnormally inferiorly immediately below the inferior mesenteric artery. It is often an incidental finding. The renal hila are rotated anateriology.. Horseshoe Kidney Ct Scan.
From www.ctisus.com
Pelvic Horseshoe Kidneys Kidney Case Studies CTisus CT Scanning Horseshoe Kidney Ct Scan Urogram protocol computed tomography (ct scanning of the abdomen and pelvis, with and without intravenous contrast) is. Courtesy of laurence baskin, md. Its appearance is classic on ct and confirmatory tests are not necessary. Intravenous urography (ivu), computed tomography (ct) scanning, magnetic resonance imaging (mri), and scintigraphy. Horseshoe kidneys can be identified using most abdominal imaging modalities. It is often. Horseshoe Kidney Ct Scan.
From www.mediconotebook.com
MedicoNotebook April 2013 Horseshoe Kidney Ct Scan Horseshoe kidneys can be identified using most abdominal imaging modalities. Intravenous urography (ivu), computed tomography (ct) scanning, magnetic resonance imaging (mri), and scintigraphy. Its appearance is classic on ct and confirmatory tests are not necessary. It is often an incidental finding. The renal hila are rotated anateriology. Unenhanced computed tomographic scan of horseshoe kidney with bilateral calculi. Meanwhile, due to. Horseshoe Kidney Ct Scan.
From www.researchgate.net
CT scan of the abdomen showing the absence of the gallbladder within Horseshoe Kidney Ct Scan Unenhanced computed tomographic scan of horseshoe kidney with bilateral calculi. Intravenous urography (ivu), computed tomography (ct) scanning, magnetic resonance imaging (mri), and scintigraphy. Meanwhile, due to the concern regarding the abnormal relationship between the hsk and abdominal viscera, particularly the. Its appearance is classic on ct and confirmatory tests are not necessary. Horseshoe kidneys can be identified using most abdominal. Horseshoe Kidney Ct Scan.
From radiologycases.my
Horseshoe kidney Radiology Cases Horseshoe Kidney Ct Scan Unenhanced computed tomographic scan of horseshoe kidney with bilateral calculi. Intravenous urography (ivu), computed tomography (ct) scanning, magnetic resonance imaging (mri), and scintigraphy. Horseshoe kidney is one form of several congenital renal anomalies. Horseshoe kidneys can be identified using most abdominal imaging modalities. Courtesy of laurence baskin, md. Its appearance is classic on ct and confirmatory tests are not necessary.. Horseshoe Kidney Ct Scan.
From www.kidneystoners.org
pediatrickidneystoneCT Horseshoe Kidney Ct Scan Unenhanced computed tomographic scan of horseshoe kidney with bilateral calculi. Meanwhile, due to the concern regarding the abnormal relationship between the hsk and abdominal viscera, particularly the. Courtesy of laurence baskin, md. Ct demonstrates the kidneys to be fused at their lower pole, located abnormally inferiorly immediately below the inferior mesenteric artery. The renal hila are rotated anateriology. Horseshoe kidneys. Horseshoe Kidney Ct Scan.