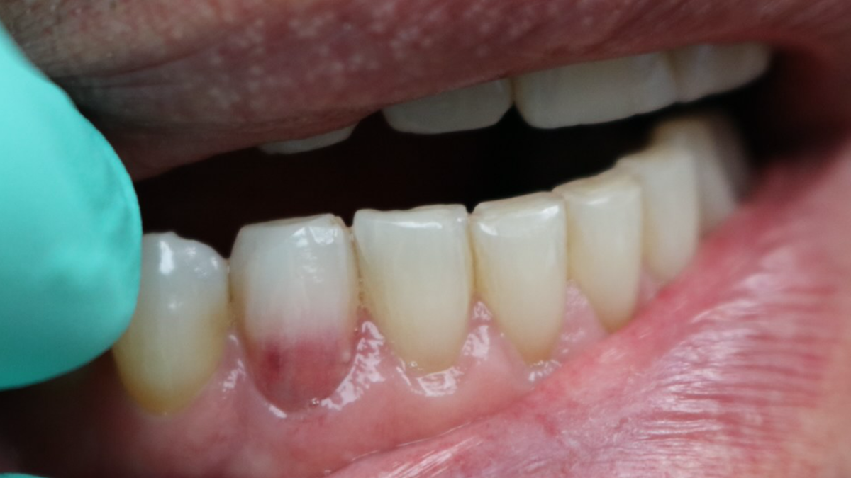
Is A Pink Tooth Bad . The pulp is pink/red due to its vascularity, but is rarely visible through the overlying enamel and dentin unless the thickness of these layers is reduced by tooth wear (or rarely internal. The primary molar has a pink color to it because it has resorbed internally as the permanent tooth moved into position, and the underlying. The pink tooth caused by the granulation tissue undermining the enamel can also be a feature of subepithelial external. In both locations, this appearance, or “pink spot,” has to do with granulation tissue present underneath the enamel. It causes irritation, redness, swelling and bleeding of your gingiva, which is the part. Gingivitis is a common and mild form of gum disease, also called periodontal disease. During an examination, dental hygienists may notice what seems to be a lightly discolored pink spot located at the cervical region of a tooth or even found in the crown showing through (figure 1).
from www.southtrailcrossingdental.com
The primary molar has a pink color to it because it has resorbed internally as the permanent tooth moved into position, and the underlying. In both locations, this appearance, or “pink spot,” has to do with granulation tissue present underneath the enamel. The pulp is pink/red due to its vascularity, but is rarely visible through the overlying enamel and dentin unless the thickness of these layers is reduced by tooth wear (or rarely internal. It causes irritation, redness, swelling and bleeding of your gingiva, which is the part. During an examination, dental hygienists may notice what seems to be a lightly discolored pink spot located at the cervical region of a tooth or even found in the crown showing through (figure 1). Gingivitis is a common and mild form of gum disease, also called periodontal disease. The pink tooth caused by the granulation tissue undermining the enamel can also be a feature of subepithelial external.
Everything You Need to Know About Gum Disease South Trail Crossing Dental
Is A Pink Tooth Bad The primary molar has a pink color to it because it has resorbed internally as the permanent tooth moved into position, and the underlying. The primary molar has a pink color to it because it has resorbed internally as the permanent tooth moved into position, and the underlying. In both locations, this appearance, or “pink spot,” has to do with granulation tissue present underneath the enamel. It causes irritation, redness, swelling and bleeding of your gingiva, which is the part. Gingivitis is a common and mild form of gum disease, also called periodontal disease. The pink tooth caused by the granulation tissue undermining the enamel can also be a feature of subepithelial external. The pulp is pink/red due to its vascularity, but is rarely visible through the overlying enamel and dentin unless the thickness of these layers is reduced by tooth wear (or rarely internal. During an examination, dental hygienists may notice what seems to be a lightly discolored pink spot located at the cervical region of a tooth or even found in the crown showing through (figure 1).
From www.pediatricdentistsf.dentist
FAQ Are the stains on my child's teeth cavities? — Discovery Is A Pink Tooth Bad It causes irritation, redness, swelling and bleeding of your gingiva, which is the part. The pulp is pink/red due to its vascularity, but is rarely visible through the overlying enamel and dentin unless the thickness of these layers is reduced by tooth wear (or rarely internal. During an examination, dental hygienists may notice what seems to be a lightly discolored. Is A Pink Tooth Bad.
From www.facebook.com
“Post Mortem Pink Teeth Phenomenon”... The Post Mortem Live Is A Pink Tooth Bad The pulp is pink/red due to its vascularity, but is rarely visible through the overlying enamel and dentin unless the thickness of these layers is reduced by tooth wear (or rarely internal. Gingivitis is a common and mild form of gum disease, also called periodontal disease. During an examination, dental hygienists may notice what seems to be a lightly discolored. Is A Pink Tooth Bad.
From www.etsy.com
120 Pink Tooth Gem Instagram Templates Tooth Jewelry Posts Tooth Charms Is A Pink Tooth Bad The primary molar has a pink color to it because it has resorbed internally as the permanent tooth moved into position, and the underlying. It causes irritation, redness, swelling and bleeding of your gingiva, which is the part. Gingivitis is a common and mild form of gum disease, also called periodontal disease. During an examination, dental hygienists may notice what. Is A Pink Tooth Bad.
From www.buro247.my
The Business of Beauty Saltyeeth's founder on the future of tooth gems Is A Pink Tooth Bad The primary molar has a pink color to it because it has resorbed internally as the permanent tooth moved into position, and the underlying. The pulp is pink/red due to its vascularity, but is rarely visible through the overlying enamel and dentin unless the thickness of these layers is reduced by tooth wear (or rarely internal. During an examination, dental. Is A Pink Tooth Bad.
From www.drdanib.com
Front Tooth Porcelain Crown Is A Pink Tooth Bad In both locations, this appearance, or “pink spot,” has to do with granulation tissue present underneath the enamel. It causes irritation, redness, swelling and bleeding of your gingiva, which is the part. Gingivitis is a common and mild form of gum disease, also called periodontal disease. The primary molar has a pink color to it because it has resorbed internally. Is A Pink Tooth Bad.
From www.kpteeth.co.uk
The Pink Tooth An endodontic challenge Is A Pink Tooth Bad The pink tooth caused by the granulation tissue undermining the enamel can also be a feature of subepithelial external. In both locations, this appearance, or “pink spot,” has to do with granulation tissue present underneath the enamel. During an examination, dental hygienists may notice what seems to be a lightly discolored pink spot located at the cervical region of a. Is A Pink Tooth Bad.
From www.youtube.com
INTERNAL RESOPRTION II PINK TOOTH OF MUMMERY II DISEASES OF PULP II Is A Pink Tooth Bad It causes irritation, redness, swelling and bleeding of your gingiva, which is the part. In both locations, this appearance, or “pink spot,” has to do with granulation tissue present underneath the enamel. The primary molar has a pink color to it because it has resorbed internally as the permanent tooth moved into position, and the underlying. The pink tooth caused. Is A Pink Tooth Bad.
From www.freepik.com
Premium Photo A tooth with a pink tooth and a blue background Is A Pink Tooth Bad The primary molar has a pink color to it because it has resorbed internally as the permanent tooth moved into position, and the underlying. The pink tooth caused by the granulation tissue undermining the enamel can also be a feature of subepithelial external. The pulp is pink/red due to its vascularity, but is rarely visible through the overlying enamel and. Is A Pink Tooth Bad.
From www.southtrailcrossingdental.com
Everything You Need to Know About Gum Disease South Trail Crossing Dental Is A Pink Tooth Bad The pink tooth caused by the granulation tissue undermining the enamel can also be a feature of subepithelial external. It causes irritation, redness, swelling and bleeding of your gingiva, which is the part. During an examination, dental hygienists may notice what seems to be a lightly discolored pink spot located at the cervical region of a tooth or even found. Is A Pink Tooth Bad.
From www.sciencephoto.com
Pink Discolouration of Primary Tooth Stock Image C039/3042 Is A Pink Tooth Bad It causes irritation, redness, swelling and bleeding of your gingiva, which is the part. The primary molar has a pink color to it because it has resorbed internally as the permanent tooth moved into position, and the underlying. During an examination, dental hygienists may notice what seems to be a lightly discolored pink spot located at the cervical region of. Is A Pink Tooth Bad.
From www.freepik.com
Premium Vector Pink seamless pattern with outline tooth Is A Pink Tooth Bad It causes irritation, redness, swelling and bleeding of your gingiva, which is the part. During an examination, dental hygienists may notice what seems to be a lightly discolored pink spot located at the cervical region of a tooth or even found in the crown showing through (figure 1). In both locations, this appearance, or “pink spot,” has to do with. Is A Pink Tooth Bad.
From www.facialart.com
External Resorption of a Tooth with Pink Appearance External Is A Pink Tooth Bad The pulp is pink/red due to its vascularity, but is rarely visible through the overlying enamel and dentin unless the thickness of these layers is reduced by tooth wear (or rarely internal. In both locations, this appearance, or “pink spot,” has to do with granulation tissue present underneath the enamel. The pink tooth caused by the granulation tissue undermining the. Is A Pink Tooth Bad.
From www.kc-tlc.com
Index of /images/concerns/pink tooth Is A Pink Tooth Bad It causes irritation, redness, swelling and bleeding of your gingiva, which is the part. The pulp is pink/red due to its vascularity, but is rarely visible through the overlying enamel and dentin unless the thickness of these layers is reduced by tooth wear (or rarely internal. In both locations, this appearance, or “pink spot,” has to do with granulation tissue. Is A Pink Tooth Bad.
From forums.studentdoctor.net
Pink Tooth of Mummery in Denture Student Doctor Network Is A Pink Tooth Bad It causes irritation, redness, swelling and bleeding of your gingiva, which is the part. The primary molar has a pink color to it because it has resorbed internally as the permanent tooth moved into position, and the underlying. In both locations, this appearance, or “pink spot,” has to do with granulation tissue present underneath the enamel. During an examination, dental. Is A Pink Tooth Bad.
From www.rdhmag.com
What’s that pink spot? Evaluating internal and external tooth Is A Pink Tooth Bad In both locations, this appearance, or “pink spot,” has to do with granulation tissue present underneath the enamel. The primary molar has a pink color to it because it has resorbed internally as the permanent tooth moved into position, and the underlying. It causes irritation, redness, swelling and bleeding of your gingiva, which is the part. During an examination, dental. Is A Pink Tooth Bad.
From www.facebook.com
Unlike a pink eye, a pink tooth is... Baria Yassin,D.M.D Is A Pink Tooth Bad Gingivitis is a common and mild form of gum disease, also called periodontal disease. In both locations, this appearance, or “pink spot,” has to do with granulation tissue present underneath the enamel. The pink tooth caused by the granulation tissue undermining the enamel can also be a feature of subepithelial external. The pulp is pink/red due to its vascularity, but. Is A Pink Tooth Bad.
From www.mdpi.com
Applied Sciences Free FullText Association of Cadaveric Factors Is A Pink Tooth Bad In both locations, this appearance, or “pink spot,” has to do with granulation tissue present underneath the enamel. The pink tooth caused by the granulation tissue undermining the enamel can also be a feature of subepithelial external. Gingivitis is a common and mild form of gum disease, also called periodontal disease. During an examination, dental hygienists may notice what seems. Is A Pink Tooth Bad.
From www.freepik.com
Premium Photo A pink tooth sculpture with a white tooth on it Is A Pink Tooth Bad Gingivitis is a common and mild form of gum disease, also called periodontal disease. The pulp is pink/red due to its vascularity, but is rarely visible through the overlying enamel and dentin unless the thickness of these layers is reduced by tooth wear (or rarely internal. The primary molar has a pink color to it because it has resorbed internally. Is A Pink Tooth Bad.
From www.pinterest.com
SPILL THE DEETS MidTone Pink Rose Lip Gloss Dose of Colors Is A Pink Tooth Bad In both locations, this appearance, or “pink spot,” has to do with granulation tissue present underneath the enamel. The primary molar has a pink color to it because it has resorbed internally as the permanent tooth moved into position, and the underlying. During an examination, dental hygienists may notice what seems to be a lightly discolored pink spot located at. Is A Pink Tooth Bad.
From www.thesierraleonetelegraph.com
You’re probably brushing your teeth wrong here are four tips for Is A Pink Tooth Bad In both locations, this appearance, or “pink spot,” has to do with granulation tissue present underneath the enamel. The primary molar has a pink color to it because it has resorbed internally as the permanent tooth moved into position, and the underlying. During an examination, dental hygienists may notice what seems to be a lightly discolored pink spot located at. Is A Pink Tooth Bad.
From www.pinterest.cl
a pink tooth sticker on a white background Is A Pink Tooth Bad It causes irritation, redness, swelling and bleeding of your gingiva, which is the part. In both locations, this appearance, or “pink spot,” has to do with granulation tissue present underneath the enamel. During an examination, dental hygienists may notice what seems to be a lightly discolored pink spot located at the cervical region of a tooth or even found in. Is A Pink Tooth Bad.
From www.mdpi.com
Diagnostics Free FullText Study on the Mechanism of the Pink Tooth Is A Pink Tooth Bad The pulp is pink/red due to its vascularity, but is rarely visible through the overlying enamel and dentin unless the thickness of these layers is reduced by tooth wear (or rarely internal. The primary molar has a pink color to it because it has resorbed internally as the permanent tooth moved into position, and the underlying. It causes irritation, redness,. Is A Pink Tooth Bad.
From www.freepik.com
Premium Photo A tooth with a pink tooth and white tooth paste on it. Is A Pink Tooth Bad During an examination, dental hygienists may notice what seems to be a lightly discolored pink spot located at the cervical region of a tooth or even found in the crown showing through (figure 1). In both locations, this appearance, or “pink spot,” has to do with granulation tissue present underneath the enamel. The pink tooth caused by the granulation tissue. Is A Pink Tooth Bad.
From theimplantexperts.com
Periodontal / Gum Disease Treatment in Maidstone, Kent TIE Is A Pink Tooth Bad Gingivitis is a common and mild form of gum disease, also called periodontal disease. In both locations, this appearance, or “pink spot,” has to do with granulation tissue present underneath the enamel. The pulp is pink/red due to its vascularity, but is rarely visible through the overlying enamel and dentin unless the thickness of these layers is reduced by tooth. Is A Pink Tooth Bad.
From www.gosupps.com
Fresh Knight Plaque Disclosing Tablets 96 Count, Dental Tablets for Is A Pink Tooth Bad The primary molar has a pink color to it because it has resorbed internally as the permanent tooth moved into position, and the underlying. In both locations, this appearance, or “pink spot,” has to do with granulation tissue present underneath the enamel. The pink tooth caused by the granulation tissue undermining the enamel can also be a feature of subepithelial. Is A Pink Tooth Bad.
From www.youtube.com
INTERNAL RESORPTION OF TOOTH I PINK TOOTH OF MUMMERY I ODONTOCLASTOMA I Is A Pink Tooth Bad It causes irritation, redness, swelling and bleeding of your gingiva, which is the part. The pink tooth caused by the granulation tissue undermining the enamel can also be a feature of subepithelial external. Gingivitis is a common and mild form of gum disease, also called periodontal disease. The primary molar has a pink color to it because it has resorbed. Is A Pink Tooth Bad.
From www.freepik.com
Premium Photo A pink tooth with white teeth and red lips Is A Pink Tooth Bad The pink tooth caused by the granulation tissue undermining the enamel can also be a feature of subepithelial external. The primary molar has a pink color to it because it has resorbed internally as the permanent tooth moved into position, and the underlying. In both locations, this appearance, or “pink spot,” has to do with granulation tissue present underneath the. Is A Pink Tooth Bad.
From www.freepik.com
Premium Photo A pink tooth with a white tooth on the top Is A Pink Tooth Bad During an examination, dental hygienists may notice what seems to be a lightly discolored pink spot located at the cervical region of a tooth or even found in the crown showing through (figure 1). It causes irritation, redness, swelling and bleeding of your gingiva, which is the part. In both locations, this appearance, or “pink spot,” has to do with. Is A Pink Tooth Bad.
From forums.studentdoctor.net
Pink Tooth of Mummery in Denture Student Doctor Network Is A Pink Tooth Bad During an examination, dental hygienists may notice what seems to be a lightly discolored pink spot located at the cervical region of a tooth or even found in the crown showing through (figure 1). It causes irritation, redness, swelling and bleeding of your gingiva, which is the part. The pink tooth caused by the granulation tissue undermining the enamel can. Is A Pink Tooth Bad.
From www.kpteeth.co.uk
Tooth Resorption A complication of orthodontic treatment Is A Pink Tooth Bad The pulp is pink/red due to its vascularity, but is rarely visible through the overlying enamel and dentin unless the thickness of these layers is reduced by tooth wear (or rarely internal. Gingivitis is a common and mild form of gum disease, also called periodontal disease. In both locations, this appearance, or “pink spot,” has to do with granulation tissue. Is A Pink Tooth Bad.
From www.healthymouthproject.com
Causes of Tooth Discoloration The Healthy Mouth Project Is A Pink Tooth Bad During an examination, dental hygienists may notice what seems to be a lightly discolored pink spot located at the cervical region of a tooth or even found in the crown showing through (figure 1). The primary molar has a pink color to it because it has resorbed internally as the permanent tooth moved into position, and the underlying. The pulp. Is A Pink Tooth Bad.
From www.freepik.com
Premium Photo A pink tooth with white teeth and red gumsHealthy teeth Is A Pink Tooth Bad The primary molar has a pink color to it because it has resorbed internally as the permanent tooth moved into position, and the underlying. The pulp is pink/red due to its vascularity, but is rarely visible through the overlying enamel and dentin unless the thickness of these layers is reduced by tooth wear (or rarely internal. Gingivitis is a common. Is A Pink Tooth Bad.
From dentistry.co.uk
childteethnightmares Dentistry.co.uk Is A Pink Tooth Bad Gingivitis is a common and mild form of gum disease, also called periodontal disease. The pink tooth caused by the granulation tissue undermining the enamel can also be a feature of subepithelial external. During an examination, dental hygienists may notice what seems to be a lightly discolored pink spot located at the cervical region of a tooth or even found. Is A Pink Tooth Bad.
From www.madamepremier.com
Pink Tooth Fairy Pillow Madame Premier Is A Pink Tooth Bad Gingivitis is a common and mild form of gum disease, also called periodontal disease. In both locations, this appearance, or “pink spot,” has to do with granulation tissue present underneath the enamel. The pulp is pink/red due to its vascularity, but is rarely visible through the overlying enamel and dentin unless the thickness of these layers is reduced by tooth. Is A Pink Tooth Bad.
From gingercavalier.com
Common Dog Tooth Problems To Watch Out For Ruby Cavalier King Charles Is A Pink Tooth Bad The primary molar has a pink color to it because it has resorbed internally as the permanent tooth moved into position, and the underlying. The pink tooth caused by the granulation tissue undermining the enamel can also be a feature of subepithelial external. During an examination, dental hygienists may notice what seems to be a lightly discolored pink spot located. Is A Pink Tooth Bad.