Foot Joint Trauma . Lisfranc injuries are almost always caused by a fall, slip or trauma to the foot. You might read about “direct” (high energy) and “indirect”. Metatarsophalangeal joint pain usually results from tissue changes due to aberrant foot biomechanics. Lisfranc (midfoot) injuries result if bones in the midfoot are broken or ligaments that support the midfoot are torn. Symptoms and signs include pain with walking and tenderness. Learn about the many causes of foot joint pain, from injury to arthritis, and discover tips for managing symptoms. An injury to the tarsometatarsal joint is known by the eponym “lisfranc injury.” these types of injuries include sprains of the midfoot ligaments,. The severity of the injury can vary from simple to complex, involving many joints and bones. However, infection or systemic rheumatic diseases (eg, rheumatoid arthritis, psoriatic arthritis) may need to be excluded by testing. They most often involve the metatarsals and toes. Patients typically present with varying signs and. Foot fractures are among the most common foot injuries evaluated by primary care physicians.
from www.alwaysfysio.nl
They most often involve the metatarsals and toes. Lisfranc (midfoot) injuries result if bones in the midfoot are broken or ligaments that support the midfoot are torn. Symptoms and signs include pain with walking and tenderness. Patients typically present with varying signs and. Lisfranc injuries are almost always caused by a fall, slip or trauma to the foot. You might read about “direct” (high energy) and “indirect”. An injury to the tarsometatarsal joint is known by the eponym “lisfranc injury.” these types of injuries include sprains of the midfoot ligaments,. Metatarsophalangeal joint pain usually results from tissue changes due to aberrant foot biomechanics. Learn about the many causes of foot joint pain, from injury to arthritis, and discover tips for managing symptoms. However, infection or systemic rheumatic diseases (eg, rheumatoid arthritis, psoriatic arthritis) may need to be excluded by testing.
Sprained ankle cause, symptoms, and treatment with exercises
Foot Joint Trauma They most often involve the metatarsals and toes. Lisfranc (midfoot) injuries result if bones in the midfoot are broken or ligaments that support the midfoot are torn. Symptoms and signs include pain with walking and tenderness. Patients typically present with varying signs and. The severity of the injury can vary from simple to complex, involving many joints and bones. You might read about “direct” (high energy) and “indirect”. An injury to the tarsometatarsal joint is known by the eponym “lisfranc injury.” these types of injuries include sprains of the midfoot ligaments,. Learn about the many causes of foot joint pain, from injury to arthritis, and discover tips for managing symptoms. Foot fractures are among the most common foot injuries evaluated by primary care physicians. Lisfranc injuries are almost always caused by a fall, slip or trauma to the foot. They most often involve the metatarsals and toes. However, infection or systemic rheumatic diseases (eg, rheumatoid arthritis, psoriatic arthritis) may need to be excluded by testing. Metatarsophalangeal joint pain usually results from tissue changes due to aberrant foot biomechanics.
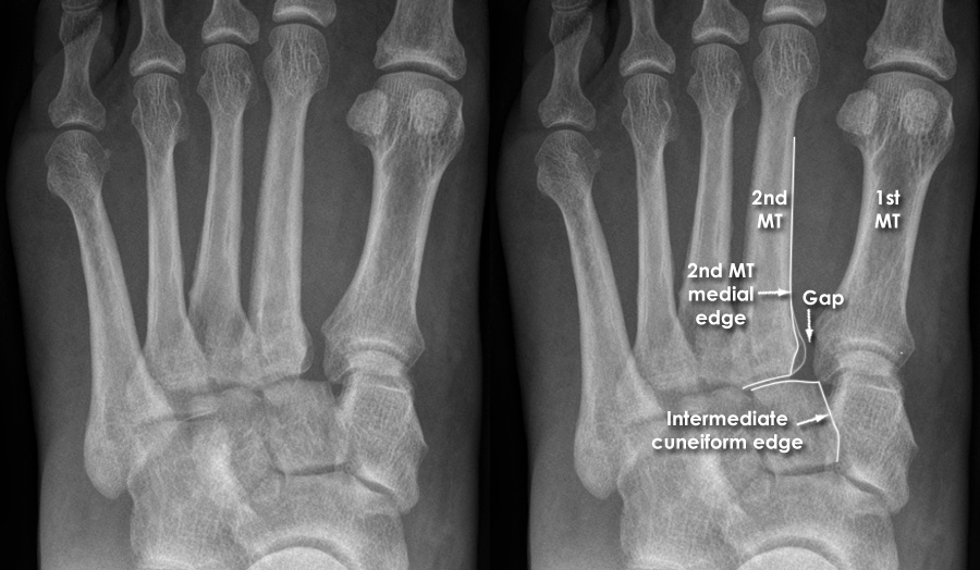
From faculty.washington.edu
Midfoot Fracturedislocations UW Emergency Radiology Foot Joint Trauma Learn about the many causes of foot joint pain, from injury to arthritis, and discover tips for managing symptoms. Patients typically present with varying signs and. Lisfranc (midfoot) injuries result if bones in the midfoot are broken or ligaments that support the midfoot are torn. Lisfranc injuries are almost always caused by a fall, slip or trauma to the foot.. Foot Joint Trauma.
From www.mostinside.com
Causes of Foot Trauma Most Inside Foot Joint Trauma However, infection or systemic rheumatic diseases (eg, rheumatoid arthritis, psoriatic arthritis) may need to be excluded by testing. Lisfranc (midfoot) injuries result if bones in the midfoot are broken or ligaments that support the midfoot are torn. They most often involve the metatarsals and toes. Learn about the many causes of foot joint pain, from injury to arthritis, and discover. Foot Joint Trauma.
From orthopaedic-surgeon.com.au
FOOT AND ANKLE TRAUMA Foot Joint Trauma Learn about the many causes of foot joint pain, from injury to arthritis, and discover tips for managing symptoms. Lisfranc injuries are almost always caused by a fall, slip or trauma to the foot. An injury to the tarsometatarsal joint is known by the eponym “lisfranc injury.” these types of injuries include sprains of the midfoot ligaments,. They most often. Foot Joint Trauma.
From certifiedfoot.com
How and Why Does Inversion Ankle Sprain Affect Athletes Foot Joint Trauma An injury to the tarsometatarsal joint is known by the eponym “lisfranc injury.” these types of injuries include sprains of the midfoot ligaments,. Foot fractures are among the most common foot injuries evaluated by primary care physicians. Lisfranc (midfoot) injuries result if bones in the midfoot are broken or ligaments that support the midfoot are torn. Patients typically present with. Foot Joint Trauma.
From orthotoc.com
Sprained Big Toe vs. Broken Big Toe Causes, Symptoms & How to Treat Foot Joint Trauma Metatarsophalangeal joint pain usually results from tissue changes due to aberrant foot biomechanics. Patients typically present with varying signs and. Symptoms and signs include pain with walking and tenderness. You might read about “direct” (high energy) and “indirect”. Lisfranc (midfoot) injuries result if bones in the midfoot are broken or ligaments that support the midfoot are torn. Learn about the. Foot Joint Trauma.
From www.ctisus.com
Fracture/Dislocation of the Ankle Trauma Case Studies CTisus CT Foot Joint Trauma You might read about “direct” (high energy) and “indirect”. Metatarsophalangeal joint pain usually results from tissue changes due to aberrant foot biomechanics. Lisfranc injuries are almost always caused by a fall, slip or trauma to the foot. Lisfranc (midfoot) injuries result if bones in the midfoot are broken or ligaments that support the midfoot are torn. Foot fractures are among. Foot Joint Trauma.
From www.dreamstime.com
Ankle and Foot External Orthosis To Reduce Pathological Mobility of Foot Joint Trauma You might read about “direct” (high energy) and “indirect”. Learn about the many causes of foot joint pain, from injury to arthritis, and discover tips for managing symptoms. They most often involve the metatarsals and toes. Lisfranc (midfoot) injuries result if bones in the midfoot are broken or ligaments that support the midfoot are torn. Symptoms and signs include pain. Foot Joint Trauma.
From medicine.utah.edu
Traumatic Foot Injury Radiology U of U School of Medicine Foot Joint Trauma Metatarsophalangeal joint pain usually results from tissue changes due to aberrant foot biomechanics. Learn about the many causes of foot joint pain, from injury to arthritis, and discover tips for managing symptoms. Symptoms and signs include pain with walking and tenderness. Lisfranc injuries are almost always caused by a fall, slip or trauma to the foot. Lisfranc (midfoot) injuries result. Foot Joint Trauma.
From www.ctisus.com
Open Fracture Dislocation of Ankle Joint Trauma Case Studies CTisus Foot Joint Trauma Patients typically present with varying signs and. Symptoms and signs include pain with walking and tenderness. Metatarsophalangeal joint pain usually results from tissue changes due to aberrant foot biomechanics. Lisfranc (midfoot) injuries result if bones in the midfoot are broken or ligaments that support the midfoot are torn. The severity of the injury can vary from simple to complex, involving. Foot Joint Trauma.
From www.dreamstime.com
Tumor, Trauma, Inflammation of Joint, Leg Ankle Hygroma in Joint, Foot Foot Joint Trauma Lisfranc injuries are almost always caused by a fall, slip or trauma to the foot. An injury to the tarsometatarsal joint is known by the eponym “lisfranc injury.” these types of injuries include sprains of the midfoot ligaments,. You might read about “direct” (high energy) and “indirect”. Foot fractures are among the most common foot injuries evaluated by primary care. Foot Joint Trauma.
From www.istockphoto.com
Horizontal Dark Blue Banner For Ankle And Foot Joints Traumas Stock Foot Joint Trauma Symptoms and signs include pain with walking and tenderness. Learn about the many causes of foot joint pain, from injury to arthritis, and discover tips for managing symptoms. Lisfranc (midfoot) injuries result if bones in the midfoot are broken or ligaments that support the midfoot are torn. Lisfranc injuries are almost always caused by a fall, slip or trauma to. Foot Joint Trauma.
From cityfootcare.com
Foot Trauma, fracture of the interphalangeal joint of the great toe Foot Joint Trauma The severity of the injury can vary from simple to complex, involving many joints and bones. Lisfranc injuries are almost always caused by a fall, slip or trauma to the foot. An injury to the tarsometatarsal joint is known by the eponym “lisfranc injury.” these types of injuries include sprains of the midfoot ligaments,. Symptoms and signs include pain with. Foot Joint Trauma.
From www.jawspodiatry.com
Ankle Trauma Treatments Rehabilitation And Surgery Foot Joint Trauma The severity of the injury can vary from simple to complex, involving many joints and bones. Foot fractures are among the most common foot injuries evaluated by primary care physicians. However, infection or systemic rheumatic diseases (eg, rheumatoid arthritis, psoriatic arthritis) may need to be excluded by testing. An injury to the tarsometatarsal joint is known by the eponym “lisfranc. Foot Joint Trauma.
From introductiontoradiology.net
Skeletal Trauma Foot Joint Trauma Patients typically present with varying signs and. Lisfranc (midfoot) injuries result if bones in the midfoot are broken or ligaments that support the midfoot are torn. An injury to the tarsometatarsal joint is known by the eponym “lisfranc injury.” these types of injuries include sprains of the midfoot ligaments,. The severity of the injury can vary from simple to complex,. Foot Joint Trauma.
From faculty.washington.edu
Midfoot Joints UW Emergency Radiology Foot Joint Trauma Symptoms and signs include pain with walking and tenderness. They most often involve the metatarsals and toes. Learn about the many causes of foot joint pain, from injury to arthritis, and discover tips for managing symptoms. Foot fractures are among the most common foot injuries evaluated by primary care physicians. Lisfranc injuries are almost always caused by a fall, slip. Foot Joint Trauma.
From emj.bmj.com
Osseous injuries of the foot an imaging review. Part 1 the forefoot Foot Joint Trauma Symptoms and signs include pain with walking and tenderness. Learn about the many causes of foot joint pain, from injury to arthritis, and discover tips for managing symptoms. Metatarsophalangeal joint pain usually results from tissue changes due to aberrant foot biomechanics. They most often involve the metatarsals and toes. Lisfranc injuries are almost always caused by a fall, slip or. Foot Joint Trauma.
From www.ctisus.com
Open Fracture Dislocation of Ankle Joint Trauma Case Studies CTisus Foot Joint Trauma Foot fractures are among the most common foot injuries evaluated by primary care physicians. Lisfranc injuries are almost always caused by a fall, slip or trauma to the foot. They most often involve the metatarsals and toes. However, infection or systemic rheumatic diseases (eg, rheumatoid arthritis, psoriatic arthritis) may need to be excluded by testing. Patients typically present with varying. Foot Joint Trauma.
From mfaspecialists.com
Treatment for Big Toe Joint Pain Foot Arthritis Foot Joint Trauma They most often involve the metatarsals and toes. Lisfranc injuries are almost always caused by a fall, slip or trauma to the foot. Metatarsophalangeal joint pain usually results from tissue changes due to aberrant foot biomechanics. The severity of the injury can vary from simple to complex, involving many joints and bones. Learn about the many causes of foot joint. Foot Joint Trauma.
From www.dreamstime.com
Foot Stress Fractures As Bone Cracking Trauma or Injury Outline Diagram Foot Joint Trauma Foot fractures are among the most common foot injuries evaluated by primary care physicians. Symptoms and signs include pain with walking and tenderness. Lisfranc (midfoot) injuries result if bones in the midfoot are broken or ligaments that support the midfoot are torn. Metatarsophalangeal joint pain usually results from tissue changes due to aberrant foot biomechanics. However, infection or systemic rheumatic. Foot Joint Trauma.
From heartlandphysiotherapy.ca
Ankle Pain Treatment in Mississauga, Physiotherapy for Ankle Pain Foot Joint Trauma Foot fractures are among the most common foot injuries evaluated by primary care physicians. The severity of the injury can vary from simple to complex, involving many joints and bones. Metatarsophalangeal joint pain usually results from tissue changes due to aberrant foot biomechanics. Lisfranc injuries are almost always caused by a fall, slip or trauma to the foot. You might. Foot Joint Trauma.
From www.dreamstime.com
Ankle and Foot External Orthosis To Reduce Pathological Mobility of Foot Joint Trauma An injury to the tarsometatarsal joint is known by the eponym “lisfranc injury.” these types of injuries include sprains of the midfoot ligaments,. Patients typically present with varying signs and. Lisfranc (midfoot) injuries result if bones in the midfoot are broken or ligaments that support the midfoot are torn. Learn about the many causes of foot joint pain, from injury. Foot Joint Trauma.
From www.sports-health.com
Turf Toe Injury (Metatarsophalangeal Joint Sprain) Foot Joint Trauma An injury to the tarsometatarsal joint is known by the eponym “lisfranc injury.” these types of injuries include sprains of the midfoot ligaments,. Patients typically present with varying signs and. Foot fractures are among the most common foot injuries evaluated by primary care physicians. Metatarsophalangeal joint pain usually results from tissue changes due to aberrant foot biomechanics. The severity of. Foot Joint Trauma.
From www.pinterest.jp
The Anterior Talofibular Ligament is under maximum tension during Foot Joint Trauma You might read about “direct” (high energy) and “indirect”. Lisfranc (midfoot) injuries result if bones in the midfoot are broken or ligaments that support the midfoot are torn. Lisfranc injuries are almost always caused by a fall, slip or trauma to the foot. Metatarsophalangeal joint pain usually results from tissue changes due to aberrant foot biomechanics. They most often involve. Foot Joint Trauma.
From www.cureus.com
Cureus Type 2 SalterHarris Physeal Injury of the Proximal Phalanx of Foot Joint Trauma Metatarsophalangeal joint pain usually results from tissue changes due to aberrant foot biomechanics. You might read about “direct” (high energy) and “indirect”. Lisfranc (midfoot) injuries result if bones in the midfoot are broken or ligaments that support the midfoot are torn. However, infection or systemic rheumatic diseases (eg, rheumatoid arthritis, psoriatic arthritis) may need to be excluded by testing. The. Foot Joint Trauma.
From healthjade.net
Lisfranc injury, lisfranc joint injury causes, symptoms, diagnosis Foot Joint Trauma Patients typically present with varying signs and. Lisfranc injuries are almost always caused by a fall, slip or trauma to the foot. Lisfranc (midfoot) injuries result if bones in the midfoot are broken or ligaments that support the midfoot are torn. An injury to the tarsometatarsal joint is known by the eponym “lisfranc injury.” these types of injuries include sprains. Foot Joint Trauma.
From www.istockphoto.com
Ankle And Foot Traumas Banner Stock Illustration Download Image Now Foot Joint Trauma Lisfranc injuries are almost always caused by a fall, slip or trauma to the foot. They most often involve the metatarsals and toes. Symptoms and signs include pain with walking and tenderness. The severity of the injury can vary from simple to complex, involving many joints and bones. Learn about the many causes of foot joint pain, from injury to. Foot Joint Trauma.
From www.alamy.com
Calcaneal fracture. Trauma of Heel bone. Foot injury. Anatomy of foot Foot Joint Trauma Symptoms and signs include pain with walking and tenderness. An injury to the tarsometatarsal joint is known by the eponym “lisfranc injury.” these types of injuries include sprains of the midfoot ligaments,. Patients typically present with varying signs and. However, infection or systemic rheumatic diseases (eg, rheumatoid arthritis, psoriatic arthritis) may need to be excluded by testing. You might read. Foot Joint Trauma.
From www.radiologymasterclass.co.uk
Trauma Xray Lower limb gallery 2 Foot Lisfranc injury Foot Joint Trauma An injury to the tarsometatarsal joint is known by the eponym “lisfranc injury.” these types of injuries include sprains of the midfoot ligaments,. They most often involve the metatarsals and toes. Learn about the many causes of foot joint pain, from injury to arthritis, and discover tips for managing symptoms. The severity of the injury can vary from simple to. Foot Joint Trauma.
From footeducation.com
Bones and Joints of the Foot and Ankle Overview FootEducation Foot Joint Trauma You might read about “direct” (high energy) and “indirect”. Symptoms and signs include pain with walking and tenderness. However, infection or systemic rheumatic diseases (eg, rheumatoid arthritis, psoriatic arthritis) may need to be excluded by testing. Lisfranc injuries are almost always caused by a fall, slip or trauma to the foot. Metatarsophalangeal joint pain usually results from tissue changes due. Foot Joint Trauma.
From www.bmj.com
Posttraumatic toe deformity in a child The BMJ Foot Joint Trauma Metatarsophalangeal joint pain usually results from tissue changes due to aberrant foot biomechanics. The severity of the injury can vary from simple to complex, involving many joints and bones. However, infection or systemic rheumatic diseases (eg, rheumatoid arthritis, psoriatic arthritis) may need to be excluded by testing. An injury to the tarsometatarsal joint is known by the eponym “lisfranc injury.”. Foot Joint Trauma.
From www.dreamstime.com
Horizontal Dark Blue Banner for Ankle and Foot Joints Traumas Stock Foot Joint Trauma Foot fractures are among the most common foot injuries evaluated by primary care physicians. Patients typically present with varying signs and. You might read about “direct” (high energy) and “indirect”. Metatarsophalangeal joint pain usually results from tissue changes due to aberrant foot biomechanics. However, infection or systemic rheumatic diseases (eg, rheumatoid arthritis, psoriatic arthritis) may need to be excluded by. Foot Joint Trauma.
From faoj.org
talonavicular joint The Foot and Ankle Online Journal Foot Joint Trauma You might read about “direct” (high energy) and “indirect”. The severity of the injury can vary from simple to complex, involving many joints and bones. Patients typically present with varying signs and. Lisfranc injuries are almost always caused by a fall, slip or trauma to the foot. They most often involve the metatarsals and toes. Metatarsophalangeal joint pain usually results. Foot Joint Trauma.
From www.adamsfootsurgery.com
Trauma (Fractures) Foot, Ankle & Toe Adams Foot & Ankle Surgery Foot Joint Trauma You might read about “direct” (high energy) and “indirect”. Lisfranc injuries are almost always caused by a fall, slip or trauma to the foot. Lisfranc (midfoot) injuries result if bones in the midfoot are broken or ligaments that support the midfoot are torn. Metatarsophalangeal joint pain usually results from tissue changes due to aberrant foot biomechanics. However, infection or systemic. Foot Joint Trauma.
From www.dreamstime.com
A Healing Wound on Foot after Trauma. Stock Image Image of foot Foot Joint Trauma Symptoms and signs include pain with walking and tenderness. Lisfranc injuries are almost always caused by a fall, slip or trauma to the foot. The severity of the injury can vary from simple to complex, involving many joints and bones. Lisfranc (midfoot) injuries result if bones in the midfoot are broken or ligaments that support the midfoot are torn. You. Foot Joint Trauma.
From www.alwaysfysio.nl
Sprained ankle cause, symptoms, and treatment with exercises Foot Joint Trauma The severity of the injury can vary from simple to complex, involving many joints and bones. Patients typically present with varying signs and. However, infection or systemic rheumatic diseases (eg, rheumatoid arthritis, psoriatic arthritis) may need to be excluded by testing. Lisfranc (midfoot) injuries result if bones in the midfoot are broken or ligaments that support the midfoot are torn.. Foot Joint Trauma.