Is It Normal To Have Pain After Tooth Crown . Experiencing throbbing tooth pain after receiving a dental crown can be distressing and uncomfortable. Learn what to expect during the first day, week, and month after getting a dental crown. Learn about all the possible causes of dental crown tooth. Most people experience some pain or discomfort in the affected area of the mouth following a dental crown procedure. Find out how to deal with sensitivity, discomfort, and foods to eat and avoid, and how to maintain. Learn how long it is normal to feel discomfort or sensitivity after getting a dental crown and when to seek help. You might want to consider. You may find yourself wondering whether this pain is normal,. No, it is not normal to be in pain after crown placement. Learn why you might experience throbbing pain after getting a dental crown and how to alleviate it. Find out the possible reasons, such as high crown placement, nerve irritation, infection, gum. This typically improves after several days or. Sounds like a nerve in the tooth is inflamed. You might experience some discomfort after having a crown placed, but after a few weeks, it shouldn’t hurt.
        
        from bellevuerx.com 
     
        
        You might want to consider. Find out the possible reasons, such as high crown placement, nerve irritation, infection, gum. Learn why you might experience throbbing pain after getting a dental crown and how to alleviate it. No, it is not normal to be in pain after crown placement. Sounds like a nerve in the tooth is inflamed. This typically improves after several days or. Learn how long it is normal to feel discomfort or sensitivity after getting a dental crown and when to seek help. Experiencing throbbing tooth pain after receiving a dental crown can be distressing and uncomfortable. Most people experience some pain or discomfort in the affected area of the mouth following a dental crown procedure. Learn about all the possible causes of dental crown tooth.
    
    	
            
	
		 
         
    tooth pain after temporary crown BellevueRX 
    Is It Normal To Have Pain After Tooth Crown  Most people experience some pain or discomfort in the affected area of the mouth following a dental crown procedure. Experiencing throbbing tooth pain after receiving a dental crown can be distressing and uncomfortable. Learn why you might experience throbbing pain after getting a dental crown and how to alleviate it. This typically improves after several days or. Learn what to expect during the first day, week, and month after getting a dental crown. Learn about all the possible causes of dental crown tooth. No, it is not normal to be in pain after crown placement. Sounds like a nerve in the tooth is inflamed. Most people experience some pain or discomfort in the affected area of the mouth following a dental crown procedure. Find out the possible reasons, such as high crown placement, nerve irritation, infection, gum. Learn how long it is normal to feel discomfort or sensitivity after getting a dental crown and when to seek help. You might experience some discomfort after having a crown placed, but after a few weeks, it shouldn’t hurt. You might want to consider. You may find yourself wondering whether this pain is normal,. Find out how to deal with sensitivity, discomfort, and foods to eat and avoid, and how to maintain.
            
	
		 
         
 
    
        From ar.inspiredpencil.com 
                    Tooth Pain After Crown Is It Normal To Have Pain After Tooth Crown  Learn about all the possible causes of dental crown tooth. You might experience some discomfort after having a crown placed, but after a few weeks, it shouldn’t hurt. Learn how long it is normal to feel discomfort or sensitivity after getting a dental crown and when to seek help. You might want to consider. This typically improves after several days. Is It Normal To Have Pain After Tooth Crown.
     
    
        From www.hovedentalclinic.co.uk 
                    Tooth Crown Pain Signs, Symptoms & How to Relieve Pain Is It Normal To Have Pain After Tooth Crown  Experiencing throbbing tooth pain after receiving a dental crown can be distressing and uncomfortable. Find out the possible reasons, such as high crown placement, nerve irritation, infection, gum. Most people experience some pain or discomfort in the affected area of the mouth following a dental crown procedure. Find out how to deal with sensitivity, discomfort, and foods to eat and. Is It Normal To Have Pain After Tooth Crown.
     
    
        From exouaeoeq.blob.core.windows.net 
                    Pain After Getting A Crown Tooth at Sherri Horton blog Is It Normal To Have Pain After Tooth Crown  Learn why you might experience throbbing pain after getting a dental crown and how to alleviate it. You might experience some discomfort after having a crown placed, but after a few weeks, it shouldn’t hurt. No, it is not normal to be in pain after crown placement. Learn about all the possible causes of dental crown tooth. Most people experience. Is It Normal To Have Pain After Tooth Crown.
     
    
        From bellevuerx.com 
                    tooth pain after temporary crown BellevueRX Is It Normal To Have Pain After Tooth Crown  Learn what to expect during the first day, week, and month after getting a dental crown. You may find yourself wondering whether this pain is normal,. Find out how to deal with sensitivity, discomfort, and foods to eat and avoid, and how to maintain. Learn why you might experience throbbing pain after getting a dental crown and how to alleviate. Is It Normal To Have Pain After Tooth Crown.
     
    
        From www.oslerdental.com 
                    Dental Crowns Towson, MD Everything About Tooth Crowns Is It Normal To Have Pain After Tooth Crown  Find out the possible reasons, such as high crown placement, nerve irritation, infection, gum. Experiencing throbbing tooth pain after receiving a dental crown can be distressing and uncomfortable. Sounds like a nerve in the tooth is inflamed. You may find yourself wondering whether this pain is normal,. Most people experience some pain or discomfort in the affected area of the. Is It Normal To Have Pain After Tooth Crown.
     
    
        From exowdonrm.blob.core.windows.net 
                    Dental Crown Pain After 2 Weeks at Mary Grundy blog Is It Normal To Have Pain After Tooth Crown  Learn what to expect during the first day, week, and month after getting a dental crown. Find out the possible reasons, such as high crown placement, nerve irritation, infection, gum. You might want to consider. Sounds like a nerve in the tooth is inflamed. Find out how to deal with sensitivity, discomfort, and foods to eat and avoid, and how. Is It Normal To Have Pain After Tooth Crown.
     
    
        From thumbsupdentalplc.com 
                    What Causes Dental Crown Pain and How to Manage Is It Normal To Have Pain After Tooth Crown  You may find yourself wondering whether this pain is normal,. Sounds like a nerve in the tooth is inflamed. No, it is not normal to be in pain after crown placement. This typically improves after several days or. You might want to consider. Learn how long it is normal to feel discomfort or sensitivity after getting a dental crown and. Is It Normal To Have Pain After Tooth Crown.
     
    
        From tipseri.com 
                    Is it normal to have pain 4 days after tooth extraction? Tipseri Is It Normal To Have Pain After Tooth Crown  Find out how to deal with sensitivity, discomfort, and foods to eat and avoid, and how to maintain. You may find yourself wondering whether this pain is normal,. Learn why you might experience throbbing pain after getting a dental crown and how to alleviate it. Sounds like a nerve in the tooth is inflamed. Learn how long it is normal. Is It Normal To Have Pain After Tooth Crown.
     
    
        From www.youtube.com 
                    Every Cause of TOOTH PAIN AFTER CROWNS & TEMPORARY CROWNS! Why It Hurts Years Later or Comes Is It Normal To Have Pain After Tooth Crown  No, it is not normal to be in pain after crown placement. Learn what to expect during the first day, week, and month after getting a dental crown. Learn how long it is normal to feel discomfort or sensitivity after getting a dental crown and when to seek help. Learn about all the possible causes of dental crown tooth. Find. Is It Normal To Have Pain After Tooth Crown.
     
    
        From www.carriemuznydds.com 
                    Dental Crown Tooth Pain What You Need To Know Blog Is It Normal To Have Pain After Tooth Crown  Find out how to deal with sensitivity, discomfort, and foods to eat and avoid, and how to maintain. Find out the possible reasons, such as high crown placement, nerve irritation, infection, gum. Learn how long it is normal to feel discomfort or sensitivity after getting a dental crown and when to seek help. Sounds like a nerve in the tooth. Is It Normal To Have Pain After Tooth Crown.
     
    
        From cchcp.org 
                    What To Do When Experiencing Throbbing Tooth Pain After Crown Is It Normal To Have Pain After Tooth Crown  Learn how long it is normal to feel discomfort or sensitivity after getting a dental crown and when to seek help. Learn what to expect during the first day, week, and month after getting a dental crown. No, it is not normal to be in pain after crown placement. This typically improves after several days or. You might want to. Is It Normal To Have Pain After Tooth Crown.
     
    
        From redelpalomo.blogspot.com 
                    The Pain in Tooth Crown Causes and Treatment Is It Normal To Have Pain After Tooth Crown  Most people experience some pain or discomfort in the affected area of the mouth following a dental crown procedure. You might want to consider. This typically improves after several days or. Learn how long it is normal to feel discomfort or sensitivity after getting a dental crown and when to seek help. Learn what to expect during the first day,. Is It Normal To Have Pain After Tooth Crown.
     
    
        From smileangels.com 
                    What to Do If You Experience Pain or Sensitivity After a Tooth Crown Smile Angels of Beverly Hills Is It Normal To Have Pain After Tooth Crown  Learn why you might experience throbbing pain after getting a dental crown and how to alleviate it. Learn about all the possible causes of dental crown tooth. You might experience some discomfort after having a crown placed, but after a few weeks, it shouldn’t hurt. No, it is not normal to be in pain after crown placement. Find out the. Is It Normal To Have Pain After Tooth Crown.
     
    
        From www.healthdirect.gov.au 
                    Dental crown procedure healthdirect Is It Normal To Have Pain After Tooth Crown  You might want to consider. You may find yourself wondering whether this pain is normal,. You might experience some discomfort after having a crown placed, but after a few weeks, it shouldn’t hurt. Learn what to expect during the first day, week, and month after getting a dental crown. Learn about all the possible causes of dental crown tooth. Find. Is It Normal To Have Pain After Tooth Crown.
     
    
        From www.robustdental.com 
                    Recovery From Dental Crown Procedure Pain, Healing Time, and Risks Is It Normal To Have Pain After Tooth Crown  Learn how long it is normal to feel discomfort or sensitivity after getting a dental crown and when to seek help. Find out the possible reasons, such as high crown placement, nerve irritation, infection, gum. Most people experience some pain or discomfort in the affected area of the mouth following a dental crown procedure. Learn what to expect during the. Is It Normal To Have Pain After Tooth Crown.
     
    
        From www.hovedentalclinic.co.uk 
                    Tooth Crown Pain Signs, Symptoms & How to Relieve Pain Is It Normal To Have Pain After Tooth Crown  Find out the possible reasons, such as high crown placement, nerve irritation, infection, gum. Learn how long it is normal to feel discomfort or sensitivity after getting a dental crown and when to seek help. Find out how to deal with sensitivity, discomfort, and foods to eat and avoid, and how to maintain. You might experience some discomfort after having. Is It Normal To Have Pain After Tooth Crown.
     
    
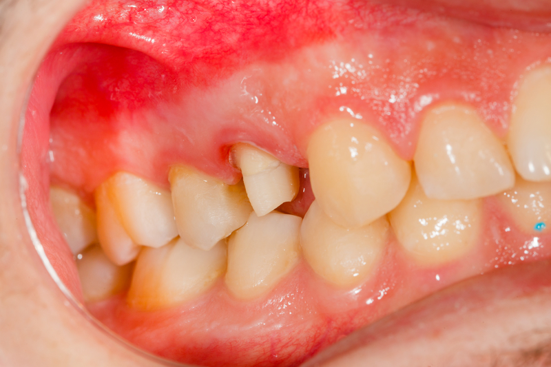
        From www.researchgate.net 
                    a Tooth no. 44 presented with severe pain and fractured crown due to... Download Scientific Is It Normal To Have Pain After Tooth Crown  Find out the possible reasons, such as high crown placement, nerve irritation, infection, gum. Learn what to expect during the first day, week, and month after getting a dental crown. No, it is not normal to be in pain after crown placement. Find out how to deal with sensitivity, discomfort, and foods to eat and avoid, and how to maintain.. Is It Normal To Have Pain After Tooth Crown.
     
    
        From mavidenta.com 
                    Dealing With Throbbing Pain After Dental Implant Crown Is It Normal To Have Pain After Tooth Crown  Find out the possible reasons, such as high crown placement, nerve irritation, infection, gum. Learn how long it is normal to feel discomfort or sensitivity after getting a dental crown and when to seek help. This typically improves after several days or. Sounds like a nerve in the tooth is inflamed. No, it is not normal to be in pain. Is It Normal To Have Pain After Tooth Crown.
     
    
        From loedmrqyt.blob.core.windows.net 
                    Does It Hurt After You Get A Crown at Michael Dostal blog Is It Normal To Have Pain After Tooth Crown  Learn how long it is normal to feel discomfort or sensitivity after getting a dental crown and when to seek help. You may find yourself wondering whether this pain is normal,. No, it is not normal to be in pain after crown placement. Learn why you might experience throbbing pain after getting a dental crown and how to alleviate it.. Is It Normal To Have Pain After Tooth Crown.
     
    
        From mydentaladvocate.com 
                    Pain After Dental Implant Crown (Helpful Guide) Is It Normal To Have Pain After Tooth Crown  Find out how to deal with sensitivity, discomfort, and foods to eat and avoid, and how to maintain. Most people experience some pain or discomfort in the affected area of the mouth following a dental crown procedure. You may find yourself wondering whether this pain is normal,. You might want to consider. Learn about all the possible causes of dental. Is It Normal To Have Pain After Tooth Crown.
     
    
        From nollfamilydentistry.com 
                    Severe Pain After Temporary Crown Noll Family Dentistry Is It Normal To Have Pain After Tooth Crown  Learn how long it is normal to feel discomfort or sensitivity after getting a dental crown and when to seek help. Learn about all the possible causes of dental crown tooth. Experiencing throbbing tooth pain after receiving a dental crown can be distressing and uncomfortable. You might want to consider. Learn what to expect during the first day, week, and. Is It Normal To Have Pain After Tooth Crown.
     
    
        From mavidenta.com 
                    Dealing With Throbbing Pain After Dental Implant Crown Is It Normal To Have Pain After Tooth Crown  This typically improves after several days or. Learn what to expect during the first day, week, and month after getting a dental crown. You might want to consider. You might experience some discomfort after having a crown placed, but after a few weeks, it shouldn’t hurt. You may find yourself wondering whether this pain is normal,. Learn how long it. Is It Normal To Have Pain After Tooth Crown.
     
    
        From smileangels.com 
                    What Causes Dental Crown Tooth Pain and How to treat It Smile Angels of Beverly Hills Is It Normal To Have Pain After Tooth Crown  Learn how long it is normal to feel discomfort or sensitivity after getting a dental crown and when to seek help. Learn about all the possible causes of dental crown tooth. Find out the possible reasons, such as high crown placement, nerve irritation, infection, gum. You may find yourself wondering whether this pain is normal,. Find out how to deal. Is It Normal To Have Pain After Tooth Crown.
     
    
        From www.tangdds.com 
                    Tooth Sensitivity after Dental Crown Treatment Brookfield Family Dentistry Thomas Tang DDS Is It Normal To Have Pain After Tooth Crown  This typically improves after several days or. Sounds like a nerve in the tooth is inflamed. Most people experience some pain or discomfort in the affected area of the mouth following a dental crown procedure. You may find yourself wondering whether this pain is normal,. Find out how to deal with sensitivity, discomfort, and foods to eat and avoid, and. Is It Normal To Have Pain After Tooth Crown.
     
    
        From www.drsilmansmilespa.com 
                    A Guide to Treating Crowned Tooth Pain Is It Normal To Have Pain After Tooth Crown  Find out how to deal with sensitivity, discomfort, and foods to eat and avoid, and how to maintain. Learn how long it is normal to feel discomfort or sensitivity after getting a dental crown and when to seek help. No, it is not normal to be in pain after crown placement. This typically improves after several days or. You might. Is It Normal To Have Pain After Tooth Crown.
     
    
        From mavidenta.com 
                    Pain After Dental Implant Crown Is It Normal To Have Pain After Tooth Crown  Experiencing throbbing tooth pain after receiving a dental crown can be distressing and uncomfortable. This typically improves after several days or. Sounds like a nerve in the tooth is inflamed. Learn what to expect during the first day, week, and month after getting a dental crown. Most people experience some pain or discomfort in the affected area of the mouth. Is It Normal To Have Pain After Tooth Crown.
     
    
        From mydentaladvocate.com 
                    Pain After Dental Implant Crown (Helpful Guide) Is It Normal To Have Pain After Tooth Crown  Learn what to expect during the first day, week, and month after getting a dental crown. This typically improves after several days or. You might want to consider. You may find yourself wondering whether this pain is normal,. No, it is not normal to be in pain after crown placement. You might experience some discomfort after having a crown placed,. Is It Normal To Have Pain After Tooth Crown.
     
    
        From www.tooth-life.com 
                    Why does a temporary crown often bring pain? Is It Normal To Have Pain After Tooth Crown  No, it is not normal to be in pain after crown placement. You may find yourself wondering whether this pain is normal,. Experiencing throbbing tooth pain after receiving a dental crown can be distressing and uncomfortable. Learn why you might experience throbbing pain after getting a dental crown and how to alleviate it. Most people experience some pain or discomfort. Is It Normal To Have Pain After Tooth Crown.
     
    
        From ksmiledentalcare.com 
                    Dental Crowns Everything you need to know K Smile Dental Care Is It Normal To Have Pain After Tooth Crown  Learn what to expect during the first day, week, and month after getting a dental crown. Experiencing throbbing tooth pain after receiving a dental crown can be distressing and uncomfortable. Learn about all the possible causes of dental crown tooth. Find out the possible reasons, such as high crown placement, nerve irritation, infection, gum. Sounds like a nerve in the. Is It Normal To Have Pain After Tooth Crown.
     
    
        From www.laurichdentistry.com 
                    How Much Tooth is Needed for a Dental Crown? Laurich Dentistry Is It Normal To Have Pain After Tooth Crown  No, it is not normal to be in pain after crown placement. Learn why you might experience throbbing pain after getting a dental crown and how to alleviate it. Find out how to deal with sensitivity, discomfort, and foods to eat and avoid, and how to maintain. Sounds like a nerve in the tooth is inflamed. You may find yourself. Is It Normal To Have Pain After Tooth Crown.
     
    
        From mavidenta.com 
                    Pain After Dental Implant Crown Is It Normal To Have Pain After Tooth Crown  Learn what to expect during the first day, week, and month after getting a dental crown. Sounds like a nerve in the tooth is inflamed. Learn about all the possible causes of dental crown tooth. You might experience some discomfort after having a crown placed, but after a few weeks, it shouldn’t hurt. You might want to consider. Experiencing throbbing. Is It Normal To Have Pain After Tooth Crown.
     
    
        From www.dental-advice.info 
                    Tooth Pain After Crown Should You Be Worried? What's Wrong? Is It Normal To Have Pain After Tooth Crown  Sounds like a nerve in the tooth is inflamed. Find out the possible reasons, such as high crown placement, nerve irritation, infection, gum. Learn about all the possible causes of dental crown tooth. You might want to consider. Experiencing throbbing tooth pain after receiving a dental crown can be distressing and uncomfortable. Most people experience some pain or discomfort in. Is It Normal To Have Pain After Tooth Crown.
     
    
        From www.jacksonavedental.com 
                    Dental Crown Pain The Complete Guide 1311 Jackson Ave Dental Dentist in Long Island City, NY Is It Normal To Have Pain After Tooth Crown  You might want to consider. Learn what to expect during the first day, week, and month after getting a dental crown. You might experience some discomfort after having a crown placed, but after a few weeks, it shouldn’t hurt. Most people experience some pain or discomfort in the affected area of the mouth following a dental crown procedure. No, it. Is It Normal To Have Pain After Tooth Crown.
     
    
        From trusmiledental.ca 
                    Throbbing Tooth Pain After Dental Crown Treatment? Find Answers Is It Normal To Have Pain After Tooth Crown  Most people experience some pain or discomfort in the affected area of the mouth following a dental crown procedure. Learn about all the possible causes of dental crown tooth. Sounds like a nerve in the tooth is inflamed. Learn what to expect during the first day, week, and month after getting a dental crown. Experiencing throbbing tooth pain after receiving. Is It Normal To Have Pain After Tooth Crown.
     
    
        From prusambiko.weebly.com 
                    pain in tooth after crown prep Is It Normal To Have Pain After Tooth Crown  You may find yourself wondering whether this pain is normal,. Learn why you might experience throbbing pain after getting a dental crown and how to alleviate it. Find out the possible reasons, such as high crown placement, nerve irritation, infection, gum. Find out how to deal with sensitivity, discomfort, and foods to eat and avoid, and how to maintain. Learn. Is It Normal To Have Pain After Tooth Crown.