What Are Nodules On Chest X Ray . Nodules are areas that are denser than normal lung tissue and usually don't cause symptoms. Lung nodules are small masses that grow inside the lungs. A lung nodule, also called a pulmonary nodule, is a small (<3cm), growth in the lung. Pulmonary nodules are small, rounded opacities within the pulmonary interstitium. It’s rarely lung cancer, but you shouldn’t ignore it. A lung nodule is a small mass of dense tissue on the lung. A ct scan gives a more detailed image and can show. Lung nodules often are discovered incidentally during imaging for other health. They are found in up to half of adults.
from radiologyai.com
It’s rarely lung cancer, but you shouldn’t ignore it. A lung nodule is a small mass of dense tissue on the lung. Lung nodules often are discovered incidentally during imaging for other health. A ct scan gives a more detailed image and can show. Lung nodules are small masses that grow inside the lungs. They are found in up to half of adults. Pulmonary nodules are small, rounded opacities within the pulmonary interstitium. A lung nodule, also called a pulmonary nodule, is a small (<3cm), growth in the lung. Nodules are areas that are denser than normal lung tissue and usually don't cause symptoms.
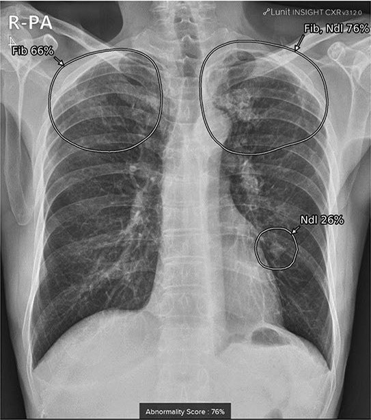
AI detects incidental lung nodules on chest xrays Radiology AI
What Are Nodules On Chest X Ray Pulmonary nodules are small, rounded opacities within the pulmonary interstitium. A ct scan gives a more detailed image and can show. A lung nodule, also called a pulmonary nodule, is a small (<3cm), growth in the lung. Lung nodules are small masses that grow inside the lungs. Nodules are areas that are denser than normal lung tissue and usually don't cause symptoms. It’s rarely lung cancer, but you shouldn’t ignore it. Lung nodules often are discovered incidentally during imaging for other health. Pulmonary nodules are small, rounded opacities within the pulmonary interstitium. They are found in up to half of adults. A lung nodule is a small mass of dense tissue on the lung.
From www.researchgate.net
A Chest XRay of case 4 shows nodular opacity in both lungs. B Chest What Are Nodules On Chest X Ray Pulmonary nodules are small, rounded opacities within the pulmonary interstitium. Lung nodules often are discovered incidentally during imaging for other health. Nodules are areas that are denser than normal lung tissue and usually don't cause symptoms. Lung nodules are small masses that grow inside the lungs. A lung nodule is a small mass of dense tissue on the lung. It’s. What Are Nodules On Chest X Ray.
From www.aiophotoz.com
Pulmonary Nodules And Masses Chest X Ray Medschool Images and Photos What Are Nodules On Chest X Ray A lung nodule is a small mass of dense tissue on the lung. A lung nodule, also called a pulmonary nodule, is a small (<3cm), growth in the lung. Lung nodules often are discovered incidentally during imaging for other health. Nodules are areas that are denser than normal lung tissue and usually don't cause symptoms. It’s rarely lung cancer, but. What Are Nodules On Chest X Ray.
From www.researchgate.net
Chest Xray displaying multiple widespread pulmonary nodules What Are Nodules On Chest X Ray Lung nodules are small masses that grow inside the lungs. It’s rarely lung cancer, but you shouldn’t ignore it. Nodules are areas that are denser than normal lung tissue and usually don't cause symptoms. A lung nodule is a small mass of dense tissue on the lung. A ct scan gives a more detailed image and can show. They are. What Are Nodules On Chest X Ray.
From www.sharp.com
Can a CT Scan Tell if a Nodule Is Cancerous? Sharp HealthCare What Are Nodules On Chest X Ray A lung nodule is a small mass of dense tissue on the lung. Lung nodules are small masses that grow inside the lungs. Lung nodules often are discovered incidentally during imaging for other health. It’s rarely lung cancer, but you shouldn’t ignore it. Pulmonary nodules are small, rounded opacities within the pulmonary interstitium. They are found in up to half. What Are Nodules On Chest X Ray.
From www.researchgate.net
(A) Chest Xray revealing a nodule in the middle part of the upper left What Are Nodules On Chest X Ray Pulmonary nodules are small, rounded opacities within the pulmonary interstitium. Nodules are areas that are denser than normal lung tissue and usually don't cause symptoms. A ct scan gives a more detailed image and can show. Lung nodules often are discovered incidentally during imaging for other health. A lung nodule is a small mass of dense tissue on the lung.. What Are Nodules On Chest X Ray.
From www.researchgate.net
Chest xray showing diffuse pulmonary nodules. Download Scientific What Are Nodules On Chest X Ray A lung nodule, also called a pulmonary nodule, is a small (<3cm), growth in the lung. They are found in up to half of adults. Lung nodules often are discovered incidentally during imaging for other health. Pulmonary nodules are small, rounded opacities within the pulmonary interstitium. A lung nodule is a small mass of dense tissue on the lung. Lung. What Are Nodules On Chest X Ray.
From radiologykey.com
Solitary and Multiple Pulmonary Nodules Radiology Key What Are Nodules On Chest X Ray They are found in up to half of adults. A lung nodule, also called a pulmonary nodule, is a small (<3cm), growth in the lung. A lung nodule is a small mass of dense tissue on the lung. A ct scan gives a more detailed image and can show. Nodules are areas that are denser than normal lung tissue and. What Are Nodules On Chest X Ray.
From mavink.com
Nodules Chest X Ray What Are Nodules On Chest X Ray Nodules are areas that are denser than normal lung tissue and usually don't cause symptoms. Pulmonary nodules are small, rounded opacities within the pulmonary interstitium. A ct scan gives a more detailed image and can show. A lung nodule, also called a pulmonary nodule, is a small (<3cm), growth in the lung. Lung nodules often are discovered incidentally during imaging. What Are Nodules On Chest X Ray.
From www.wikidoc.org
Pulmonary nodule XRay Findings wikidoc What Are Nodules On Chest X Ray Lung nodules are small masses that grow inside the lungs. Nodules are areas that are denser than normal lung tissue and usually don't cause symptoms. Pulmonary nodules are small, rounded opacities within the pulmonary interstitium. Lung nodules often are discovered incidentally during imaging for other health. They are found in up to half of adults. It’s rarely lung cancer, but. What Are Nodules On Chest X Ray.
From www.pulmonologyadvisor.com
Benign Lung Nodules Identified Using Proteomic Biomarker Pulmonology What Are Nodules On Chest X Ray Nodules are areas that are denser than normal lung tissue and usually don't cause symptoms. Lung nodules are small masses that grow inside the lungs. Lung nodules often are discovered incidentally during imaging for other health. A ct scan gives a more detailed image and can show. It’s rarely lung cancer, but you shouldn’t ignore it. Pulmonary nodules are small,. What Are Nodules On Chest X Ray.
From www.verywellhealth.com
Chest XRay for the Diagnosis of Lung Cancer What Are Nodules On Chest X Ray It’s rarely lung cancer, but you shouldn’t ignore it. Pulmonary nodules are small, rounded opacities within the pulmonary interstitium. A ct scan gives a more detailed image and can show. Lung nodules often are discovered incidentally during imaging for other health. Nodules are areas that are denser than normal lung tissue and usually don't cause symptoms. They are found in. What Are Nodules On Chest X Ray.
From www.researchgate.net
Frontal chest radiograph demonstrates multiple lung nodules. The What Are Nodules On Chest X Ray A lung nodule is a small mass of dense tissue on the lung. It’s rarely lung cancer, but you shouldn’t ignore it. Pulmonary nodules are small, rounded opacities within the pulmonary interstitium. Lung nodules are small masses that grow inside the lungs. Lung nodules often are discovered incidentally during imaging for other health. A lung nodule, also called a pulmonary. What Are Nodules On Chest X Ray.
From www.researchgate.net
Chest xray showing nodules with predominantly central distribution What Are Nodules On Chest X Ray Lung nodules often are discovered incidentally during imaging for other health. A lung nodule is a small mass of dense tissue on the lung. Pulmonary nodules are small, rounded opacities within the pulmonary interstitium. A ct scan gives a more detailed image and can show. A lung nodule, also called a pulmonary nodule, is a small (<3cm), growth in the. What Are Nodules On Chest X Ray.
From rc.rcjournal.com
Benign Metastasizing Leiomyoma Presenting as Cavitating Lung Nodules What Are Nodules On Chest X Ray A lung nodule is a small mass of dense tissue on the lung. A lung nodule, also called a pulmonary nodule, is a small (<3cm), growth in the lung. A ct scan gives a more detailed image and can show. Lung nodules are small masses that grow inside the lungs. Nodules are areas that are denser than normal lung tissue. What Are Nodules On Chest X Ray.
From sumerdoc.blogspot.com
Solitary Pulmonary NoduleCT Sumer's Radiology Blog What Are Nodules On Chest X Ray Nodules are areas that are denser than normal lung tissue and usually don't cause symptoms. It’s rarely lung cancer, but you shouldn’t ignore it. Lung nodules are small masses that grow inside the lungs. A ct scan gives a more detailed image and can show. Lung nodules often are discovered incidentally during imaging for other health. Pulmonary nodules are small,. What Are Nodules On Chest X Ray.
From openpress.usask.ca
Multiple Lung Nodules Undergraduate Diagnostic Imaging Fundamentals What Are Nodules On Chest X Ray A ct scan gives a more detailed image and can show. It’s rarely lung cancer, but you shouldn’t ignore it. Lung nodules are small masses that grow inside the lungs. Nodules are areas that are denser than normal lung tissue and usually don't cause symptoms. They are found in up to half of adults. A lung nodule, also called a. What Are Nodules On Chest X Ray.
From www.researchgate.net
Chest Xray showing bilateral multiple small nodules scattered in the What Are Nodules On Chest X Ray Lung nodules often are discovered incidentally during imaging for other health. It’s rarely lung cancer, but you shouldn’t ignore it. They are found in up to half of adults. Pulmonary nodules are small, rounded opacities within the pulmonary interstitium. A lung nodule, also called a pulmonary nodule, is a small (<3cm), growth in the lung. A ct scan gives a. What Are Nodules On Chest X Ray.
From www.researchgate.net
Chest Xrays after 4 months of therapy shows that the lung nodules have What Are Nodules On Chest X Ray Pulmonary nodules are small, rounded opacities within the pulmonary interstitium. Lung nodules are small masses that grow inside the lungs. A lung nodule is a small mass of dense tissue on the lung. Nodules are areas that are denser than normal lung tissue and usually don't cause symptoms. A lung nodule, also called a pulmonary nodule, is a small (<3cm),. What Are Nodules On Chest X Ray.
From www.sciencephoto.com
Miliary nodules, Xray Stock Image F035/6917 Science Photo Library What Are Nodules On Chest X Ray Pulmonary nodules are small, rounded opacities within the pulmonary interstitium. A lung nodule, also called a pulmonary nodule, is a small (<3cm), growth in the lung. Lung nodules are small masses that grow inside the lungs. It’s rarely lung cancer, but you shouldn’t ignore it. A ct scan gives a more detailed image and can show. They are found in. What Are Nodules On Chest X Ray.
From medicalxpress.com
AI improves lung nodule detection on chest Xrays What Are Nodules On Chest X Ray Lung nodules are small masses that grow inside the lungs. It’s rarely lung cancer, but you shouldn’t ignore it. They are found in up to half of adults. A ct scan gives a more detailed image and can show. Pulmonary nodules are small, rounded opacities within the pulmonary interstitium. Lung nodules often are discovered incidentally during imaging for other health.. What Are Nodules On Chest X Ray.
From www.researchgate.net
Chest xray at presentation showing multiple bilateral pulmonary What Are Nodules On Chest X Ray Nodules are areas that are denser than normal lung tissue and usually don't cause symptoms. A lung nodule is a small mass of dense tissue on the lung. Pulmonary nodules are small, rounded opacities within the pulmonary interstitium. Lung nodules are small masses that grow inside the lungs. They are found in up to half of adults. A lung nodule,. What Are Nodules On Chest X Ray.
From radiologyai.com
AI detects incidental lung nodules on chest xrays Radiology AI What Are Nodules On Chest X Ray Pulmonary nodules are small, rounded opacities within the pulmonary interstitium. A lung nodule is a small mass of dense tissue on the lung. They are found in up to half of adults. Lung nodules are small masses that grow inside the lungs. A ct scan gives a more detailed image and can show. It’s rarely lung cancer, but you shouldn’t. What Are Nodules On Chest X Ray.
From www.tpsearchtool.com
A Chest X Ray Shows A Nodule Arrow In The Left Lower Lung Field Images What Are Nodules On Chest X Ray Pulmonary nodules are small, rounded opacities within the pulmonary interstitium. It’s rarely lung cancer, but you shouldn’t ignore it. A ct scan gives a more detailed image and can show. A lung nodule, also called a pulmonary nodule, is a small (<3cm), growth in the lung. Lung nodules often are discovered incidentally during imaging for other health. Nodules are areas. What Are Nodules On Chest X Ray.
From www.bmj.com
Investigating the solitary pulmonary nodule The BMJ What Are Nodules On Chest X Ray Nodules are areas that are denser than normal lung tissue and usually don't cause symptoms. Pulmonary nodules are small, rounded opacities within the pulmonary interstitium. A lung nodule is a small mass of dense tissue on the lung. Lung nodules often are discovered incidentally during imaging for other health. They are found in up to half of adults. Lung nodules. What Are Nodules On Chest X Ray.
From www.tpsearchtool.com
A Chest X Ray Shows A Nodule Arrow In The Left Lower Lung Field Images What Are Nodules On Chest X Ray A lung nodule, also called a pulmonary nodule, is a small (<3cm), growth in the lung. Lung nodules often are discovered incidentally during imaging for other health. Pulmonary nodules are small, rounded opacities within the pulmonary interstitium. It’s rarely lung cancer, but you shouldn’t ignore it. They are found in up to half of adults. A lung nodule is a. What Are Nodules On Chest X Ray.
From www.pulmonologyadvisor.com
Accuracy of Integrated Classifier to Distinguish Benign From Malignant What Are Nodules On Chest X Ray A ct scan gives a more detailed image and can show. Lung nodules are small masses that grow inside the lungs. Pulmonary nodules are small, rounded opacities within the pulmonary interstitium. Lung nodules often are discovered incidentally during imaging for other health. A lung nodule is a small mass of dense tissue on the lung. A lung nodule, also called. What Are Nodules On Chest X Ray.
From medschool.co
Pulmonary Nodules and Masses Chest XRay MedSchool What Are Nodules On Chest X Ray Pulmonary nodules are small, rounded opacities within the pulmonary interstitium. A lung nodule is a small mass of dense tissue on the lung. A ct scan gives a more detailed image and can show. A lung nodule, also called a pulmonary nodule, is a small (<3cm), growth in the lung. It’s rarely lung cancer, but you shouldn’t ignore it. Lung. What Are Nodules On Chest X Ray.
From eirl.ai
EIRL Chest Nodule EIRL PRODUCED BY LPIXEL LPIXEL Inc. What Are Nodules On Chest X Ray A lung nodule is a small mass of dense tissue on the lung. Pulmonary nodules are small, rounded opacities within the pulmonary interstitium. A lung nodule, also called a pulmonary nodule, is a small (<3cm), growth in the lung. Lung nodules often are discovered incidentally during imaging for other health. They are found in up to half of adults. Lung. What Are Nodules On Chest X Ray.
From www.researchgate.net
Chest Xray — numerous pulmonary nodules, up to 1 cm in diameter What Are Nodules On Chest X Ray They are found in up to half of adults. Nodules are areas that are denser than normal lung tissue and usually don't cause symptoms. Pulmonary nodules are small, rounded opacities within the pulmonary interstitium. A ct scan gives a more detailed image and can show. Lung nodules are small masses that grow inside the lungs. It’s rarely lung cancer, but. What Are Nodules On Chest X Ray.
From www.healthline.com
Lung Nodule Size Chart What the Size of Nodules Indicates What Are Nodules On Chest X Ray They are found in up to half of adults. Lung nodules are small masses that grow inside the lungs. A lung nodule is a small mass of dense tissue on the lung. A lung nodule, also called a pulmonary nodule, is a small (<3cm), growth in the lung. A ct scan gives a more detailed image and can show. Lung. What Are Nodules On Chest X Ray.
From www.alamy.com
A chest xray film of a patient with left lower lung pneumonia and What Are Nodules On Chest X Ray A lung nodule, also called a pulmonary nodule, is a small (<3cm), growth in the lung. It’s rarely lung cancer, but you shouldn’t ignore it. They are found in up to half of adults. A lung nodule is a small mass of dense tissue on the lung. Lung nodules often are discovered incidentally during imaging for other health. Lung nodules. What Are Nodules On Chest X Ray.
From radiopaedia.org
Image What Are Nodules On Chest X Ray Nodules are areas that are denser than normal lung tissue and usually don't cause symptoms. Lung nodules are small masses that grow inside the lungs. They are found in up to half of adults. It’s rarely lung cancer, but you shouldn’t ignore it. Pulmonary nodules are small, rounded opacities within the pulmonary interstitium. A lung nodule, also called a pulmonary. What Are Nodules On Chest X Ray.
From www.researchgate.net
Chest Xray showing nodule in the lower lobe of the right lung What Are Nodules On Chest X Ray A lung nodule is a small mass of dense tissue on the lung. A lung nodule, also called a pulmonary nodule, is a small (<3cm), growth in the lung. They are found in up to half of adults. Pulmonary nodules are small, rounded opacities within the pulmonary interstitium. Lung nodules are small masses that grow inside the lungs. It’s rarely. What Are Nodules On Chest X Ray.
From www.svuhradiology.ie
Lung cancer CXR Radiology at St. Vincent's University Hospital What Are Nodules On Chest X Ray A lung nodule, also called a pulmonary nodule, is a small (<3cm), growth in the lung. Lung nodules often are discovered incidentally during imaging for other health. It’s rarely lung cancer, but you shouldn’t ignore it. They are found in up to half of adults. Pulmonary nodules are small, rounded opacities within the pulmonary interstitium. A ct scan gives a. What Are Nodules On Chest X Ray.
From www.svuhradiology.ie
Lung metastases, portacath Radiology at St. Vincent's University Hospital What Are Nodules On Chest X Ray They are found in up to half of adults. A lung nodule is a small mass of dense tissue on the lung. Lung nodules are small masses that grow inside the lungs. A ct scan gives a more detailed image and can show. Pulmonary nodules are small, rounded opacities within the pulmonary interstitium. Lung nodules often are discovered incidentally during. What Are Nodules On Chest X Ray.