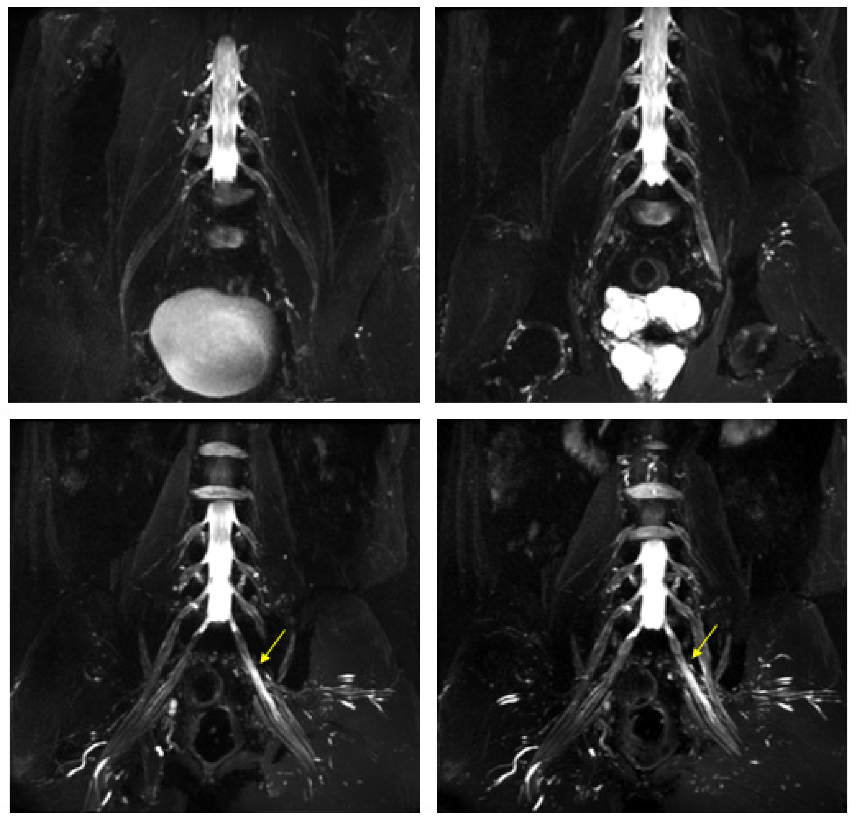
Lumbar Plexus Images . Mrn images in coronal stir 3d space (c) demonstrate lumbar plexus trunk thickening (arrowhead). The lumbar plexus gives rise to several branches which supply various muscles and regions of the posterior abdominal wall and lower. Mrn images in axial t2. An image of the lumbar plexus with its nerves highlighted in yellow. The lumbar plexus is a complex neural network formed by the lower thoracic and lumbar ventral nerve roots (t12 to l5) which supplies. Creating your own cases is easy. Schematic of the lumbar plexus. Use them in multiple choice question;
from
Mrn images in axial t2. Schematic of the lumbar plexus. Creating your own cases is easy. Use them in multiple choice question; An image of the lumbar plexus with its nerves highlighted in yellow. The lumbar plexus gives rise to several branches which supply various muscles and regions of the posterior abdominal wall and lower. The lumbar plexus is a complex neural network formed by the lower thoracic and lumbar ventral nerve roots (t12 to l5) which supplies. Mrn images in coronal stir 3d space (c) demonstrate lumbar plexus trunk thickening (arrowhead).
Lumbar Plexus Images Mrn images in coronal stir 3d space (c) demonstrate lumbar plexus trunk thickening (arrowhead). The lumbar plexus gives rise to several branches which supply various muscles and regions of the posterior abdominal wall and lower. Mrn images in axial t2. Mrn images in coronal stir 3d space (c) demonstrate lumbar plexus trunk thickening (arrowhead). Use them in multiple choice question; Creating your own cases is easy. The lumbar plexus is a complex neural network formed by the lower thoracic and lumbar ventral nerve roots (t12 to l5) which supplies. Schematic of the lumbar plexus. An image of the lumbar plexus with its nerves highlighted in yellow.
From
Lumbar Plexus Images Schematic of the lumbar plexus. Mrn images in axial t2. The lumbar plexus is a complex neural network formed by the lower thoracic and lumbar ventral nerve roots (t12 to l5) which supplies. Creating your own cases is easy. Mrn images in coronal stir 3d space (c) demonstrate lumbar plexus trunk thickening (arrowhead). Use them in multiple choice question; The. Lumbar Plexus Images.
From
Lumbar Plexus Images Schematic of the lumbar plexus. The lumbar plexus gives rise to several branches which supply various muscles and regions of the posterior abdominal wall and lower. Use them in multiple choice question; The lumbar plexus is a complex neural network formed by the lower thoracic and lumbar ventral nerve roots (t12 to l5) which supplies. An image of the lumbar. Lumbar Plexus Images.
From aneskey.com
Lumbar Plexus Block Anesthesia Key Lumbar Plexus Images Schematic of the lumbar plexus. Use them in multiple choice question; Mrn images in axial t2. Creating your own cases is easy. An image of the lumbar plexus with its nerves highlighted in yellow. Mrn images in coronal stir 3d space (c) demonstrate lumbar plexus trunk thickening (arrowhead). The lumbar plexus gives rise to several branches which supply various muscles. Lumbar Plexus Images.
From narodnatribuna.info
Lumbar Plexus Anatomy Branches And Mnemonics Kenhub Lumbar Plexus Images The lumbar plexus gives rise to several branches which supply various muscles and regions of the posterior abdominal wall and lower. Mrn images in axial t2. Use them in multiple choice question; An image of the lumbar plexus with its nerves highlighted in yellow. Creating your own cases is easy. The lumbar plexus is a complex neural network formed by. Lumbar Plexus Images.
From www.alamy.com
The lumbar and sacral plexus Stock Photo Alamy Lumbar Plexus Images Mrn images in coronal stir 3d space (c) demonstrate lumbar plexus trunk thickening (arrowhead). The lumbar plexus gives rise to several branches which supply various muscles and regions of the posterior abdominal wall and lower. The lumbar plexus is a complex neural network formed by the lower thoracic and lumbar ventral nerve roots (t12 to l5) which supplies. Use them. Lumbar Plexus Images.
From
Lumbar Plexus Images The lumbar plexus gives rise to several branches which supply various muscles and regions of the posterior abdominal wall and lower. Mrn images in axial t2. Schematic of the lumbar plexus. Mrn images in coronal stir 3d space (c) demonstrate lumbar plexus trunk thickening (arrowhead). The lumbar plexus is a complex neural network formed by the lower thoracic and lumbar. Lumbar Plexus Images.
From narodnatribuna.info
Lumbar Plexus Anatomy Branches And Mnemonics Kenhub Lumbar Plexus Images Mrn images in axial t2. Mrn images in coronal stir 3d space (c) demonstrate lumbar plexus trunk thickening (arrowhead). The lumbar plexus is a complex neural network formed by the lower thoracic and lumbar ventral nerve roots (t12 to l5) which supplies. An image of the lumbar plexus with its nerves highlighted in yellow. Schematic of the lumbar plexus. The. Lumbar Plexus Images.
From simplemed.co.uk
11. The Lumbar Plexus SimpleMed Learning Medicine, Simplified Lumbar Plexus Images Schematic of the lumbar plexus. Creating your own cases is easy. The lumbar plexus is a complex neural network formed by the lower thoracic and lumbar ventral nerve roots (t12 to l5) which supplies. Use them in multiple choice question; Mrn images in coronal stir 3d space (c) demonstrate lumbar plexus trunk thickening (arrowhead). The lumbar plexus gives rise to. Lumbar Plexus Images.
From
Lumbar Plexus Images The lumbar plexus is a complex neural network formed by the lower thoracic and lumbar ventral nerve roots (t12 to l5) which supplies. An image of the lumbar plexus with its nerves highlighted in yellow. The lumbar plexus gives rise to several branches which supply various muscles and regions of the posterior abdominal wall and lower. Mrn images in axial. Lumbar Plexus Images.
From fity.club
Lumbosacral Plexus Anatomy Human Anatomy Lumbar Lumbar Plexus Images The lumbar plexus gives rise to several branches which supply various muscles and regions of the posterior abdominal wall and lower. Mrn images in axial t2. An image of the lumbar plexus with its nerves highlighted in yellow. Schematic of the lumbar plexus. Use them in multiple choice question; The lumbar plexus is a complex neural network formed by the. Lumbar Plexus Images.
From www.alamy.com
Lumbar plexus Stock Photo 69117762 Alamy Lumbar Plexus Images The lumbar plexus gives rise to several branches which supply various muscles and regions of the posterior abdominal wall and lower. Schematic of the lumbar plexus. An image of the lumbar plexus with its nerves highlighted in yellow. Mrn images in axial t2. Use them in multiple choice question; Creating your own cases is easy. Mrn images in coronal stir. Lumbar Plexus Images.
From
Lumbar Plexus Images Use them in multiple choice question; An image of the lumbar plexus with its nerves highlighted in yellow. Mrn images in axial t2. Mrn images in coronal stir 3d space (c) demonstrate lumbar plexus trunk thickening (arrowhead). The lumbar plexus gives rise to several branches which supply various muscles and regions of the posterior abdominal wall and lower. Creating your. Lumbar Plexus Images.
From
Lumbar Plexus Images Use them in multiple choice question; The lumbar plexus gives rise to several branches which supply various muscles and regions of the posterior abdominal wall and lower. Creating your own cases is easy. Schematic of the lumbar plexus. Mrn images in coronal stir 3d space (c) demonstrate lumbar plexus trunk thickening (arrowhead). The lumbar plexus is a complex neural network. Lumbar Plexus Images.
From
Lumbar Plexus Images Use them in multiple choice question; An image of the lumbar plexus with its nerves highlighted in yellow. Mrn images in coronal stir 3d space (c) demonstrate lumbar plexus trunk thickening (arrowhead). The lumbar plexus gives rise to several branches which supply various muscles and regions of the posterior abdominal wall and lower. Creating your own cases is easy. The. Lumbar Plexus Images.
From www.alamy.com
The lumbar plexus Stock Photo Alamy Lumbar Plexus Images Mrn images in axial t2. The lumbar plexus is a complex neural network formed by the lower thoracic and lumbar ventral nerve roots (t12 to l5) which supplies. Schematic of the lumbar plexus. Mrn images in coronal stir 3d space (c) demonstrate lumbar plexus trunk thickening (arrowhead). An image of the lumbar plexus with its nerves highlighted in yellow. Use. Lumbar Plexus Images.
From orthopaedicprinciples.com
Lumbar Plexus Anatomy — Lumbar Plexus Images The lumbar plexus is a complex neural network formed by the lower thoracic and lumbar ventral nerve roots (t12 to l5) which supplies. Mrn images in axial t2. An image of the lumbar plexus with its nerves highlighted in yellow. Mrn images in coronal stir 3d space (c) demonstrate lumbar plexus trunk thickening (arrowhead). The lumbar plexus gives rise to. Lumbar Plexus Images.
From
Lumbar Plexus Images Creating your own cases is easy. Mrn images in coronal stir 3d space (c) demonstrate lumbar plexus trunk thickening (arrowhead). Schematic of the lumbar plexus. The lumbar plexus is a complex neural network formed by the lower thoracic and lumbar ventral nerve roots (t12 to l5) which supplies. Use them in multiple choice question; The lumbar plexus gives rise to. Lumbar Plexus Images.
From
Lumbar Plexus Images An image of the lumbar plexus with its nerves highlighted in yellow. Mrn images in axial t2. Mrn images in coronal stir 3d space (c) demonstrate lumbar plexus trunk thickening (arrowhead). Creating your own cases is easy. The lumbar plexus gives rise to several branches which supply various muscles and regions of the posterior abdominal wall and lower. Use them. Lumbar Plexus Images.
From
Lumbar Plexus Images Mrn images in axial t2. Use them in multiple choice question; Creating your own cases is easy. Schematic of the lumbar plexus. The lumbar plexus gives rise to several branches which supply various muscles and regions of the posterior abdominal wall and lower. Mrn images in coronal stir 3d space (c) demonstrate lumbar plexus trunk thickening (arrowhead). An image of. Lumbar Plexus Images.
From
Lumbar Plexus Images Schematic of the lumbar plexus. Mrn images in axial t2. Creating your own cases is easy. The lumbar plexus gives rise to several branches which supply various muscles and regions of the posterior abdominal wall and lower. Mrn images in coronal stir 3d space (c) demonstrate lumbar plexus trunk thickening (arrowhead). The lumbar plexus is a complex neural network formed. Lumbar Plexus Images.
From
Lumbar Plexus Images Use them in multiple choice question; An image of the lumbar plexus with its nerves highlighted in yellow. Schematic of the lumbar plexus. The lumbar plexus gives rise to several branches which supply various muscles and regions of the posterior abdominal wall and lower. The lumbar plexus is a complex neural network formed by the lower thoracic and lumbar ventral. Lumbar Plexus Images.
From
Lumbar Plexus Images The lumbar plexus is a complex neural network formed by the lower thoracic and lumbar ventral nerve roots (t12 to l5) which supplies. Mrn images in axial t2. Schematic of the lumbar plexus. An image of the lumbar plexus with its nerves highlighted in yellow. Use them in multiple choice question; The lumbar plexus gives rise to several branches which. Lumbar Plexus Images.
From
Lumbar Plexus Images Mrn images in coronal stir 3d space (c) demonstrate lumbar plexus trunk thickening (arrowhead). Mrn images in axial t2. Creating your own cases is easy. Use them in multiple choice question; An image of the lumbar plexus with its nerves highlighted in yellow. The lumbar plexus gives rise to several branches which supply various muscles and regions of the posterior. Lumbar Plexus Images.
From
Lumbar Plexus Images Schematic of the lumbar plexus. Mrn images in axial t2. An image of the lumbar plexus with its nerves highlighted in yellow. The lumbar plexus is a complex neural network formed by the lower thoracic and lumbar ventral nerve roots (t12 to l5) which supplies. Use them in multiple choice question; Creating your own cases is easy. The lumbar plexus. Lumbar Plexus Images.
From
Lumbar Plexus Images Use them in multiple choice question; An image of the lumbar plexus with its nerves highlighted in yellow. The lumbar plexus gives rise to several branches which supply various muscles and regions of the posterior abdominal wall and lower. Mrn images in axial t2. The lumbar plexus is a complex neural network formed by the lower thoracic and lumbar ventral. Lumbar Plexus Images.
From www.researchgate.net
Schematic drawing of lumbar and sacral plexus and the main pelvic Lumbar Plexus Images An image of the lumbar plexus with its nerves highlighted in yellow. Use them in multiple choice question; Mrn images in axial t2. Schematic of the lumbar plexus. The lumbar plexus gives rise to several branches which supply various muscles and regions of the posterior abdominal wall and lower. Creating your own cases is easy. The lumbar plexus is a. Lumbar Plexus Images.
From
Lumbar Plexus Images Mrn images in axial t2. Use them in multiple choice question; Mrn images in coronal stir 3d space (c) demonstrate lumbar plexus trunk thickening (arrowhead). Schematic of the lumbar plexus. The lumbar plexus is a complex neural network formed by the lower thoracic and lumbar ventral nerve roots (t12 to l5) which supplies. An image of the lumbar plexus with. Lumbar Plexus Images.
From www.brainkart.com
Lumbosacral Plexus and Lumbar Plexus Peripheral Nerves Lumbar Plexus Images The lumbar plexus is a complex neural network formed by the lower thoracic and lumbar ventral nerve roots (t12 to l5) which supplies. Mrn images in axial t2. Use them in multiple choice question; An image of the lumbar plexus with its nerves highlighted in yellow. The lumbar plexus gives rise to several branches which supply various muscles and regions. Lumbar Plexus Images.
From
Lumbar Plexus Images The lumbar plexus is a complex neural network formed by the lower thoracic and lumbar ventral nerve roots (t12 to l5) which supplies. Mrn images in coronal stir 3d space (c) demonstrate lumbar plexus trunk thickening (arrowhead). An image of the lumbar plexus with its nerves highlighted in yellow. Use them in multiple choice question; Schematic of the lumbar plexus.. Lumbar Plexus Images.
From
Lumbar Plexus Images Mrn images in axial t2. The lumbar plexus is a complex neural network formed by the lower thoracic and lumbar ventral nerve roots (t12 to l5) which supplies. Mrn images in coronal stir 3d space (c) demonstrate lumbar plexus trunk thickening (arrowhead). Schematic of the lumbar plexus. Use them in multiple choice question; An image of the lumbar plexus with. Lumbar Plexus Images.
From www.dreamstime.com
The Lumbar Plexus stock illustration. Illustration of biology 101294027 Lumbar Plexus Images Mrn images in axial t2. An image of the lumbar plexus with its nerves highlighted in yellow. The lumbar plexus is a complex neural network formed by the lower thoracic and lumbar ventral nerve roots (t12 to l5) which supplies. The lumbar plexus gives rise to several branches which supply various muscles and regions of the posterior abdominal wall and. Lumbar Plexus Images.
From
Lumbar Plexus Images The lumbar plexus is a complex neural network formed by the lower thoracic and lumbar ventral nerve roots (t12 to l5) which supplies. An image of the lumbar plexus with its nerves highlighted in yellow. Use them in multiple choice question; Schematic of the lumbar plexus. Mrn images in coronal stir 3d space (c) demonstrate lumbar plexus trunk thickening (arrowhead).. Lumbar Plexus Images.
From ar.inspiredpencil.com
Lumbar Plexus Anatomy Lumbar Plexus Images The lumbar plexus is a complex neural network formed by the lower thoracic and lumbar ventral nerve roots (t12 to l5) which supplies. Mrn images in axial t2. Schematic of the lumbar plexus. The lumbar plexus gives rise to several branches which supply various muscles and regions of the posterior abdominal wall and lower. Mrn images in coronal stir 3d. Lumbar Plexus Images.
From
Lumbar Plexus Images Mrn images in axial t2. Use them in multiple choice question; The lumbar plexus is a complex neural network formed by the lower thoracic and lumbar ventral nerve roots (t12 to l5) which supplies. Mrn images in coronal stir 3d space (c) demonstrate lumbar plexus trunk thickening (arrowhead). Creating your own cases is easy. Schematic of the lumbar plexus. An. Lumbar Plexus Images.
From www.slideshare.net
Lumbar plexus (grays anatomy) Lumbar Plexus Images The lumbar plexus gives rise to several branches which supply various muscles and regions of the posterior abdominal wall and lower. Creating your own cases is easy. An image of the lumbar plexus with its nerves highlighted in yellow. Mrn images in coronal stir 3d space (c) demonstrate lumbar plexus trunk thickening (arrowhead). Use them in multiple choice question; Schematic. Lumbar Plexus Images.