Occlusal Dysfunction . Peter dawson considers od the main cause of tooth loss. Types, anomalies, categories (tac) classification of malocclusion. Protocols for stabilizing occlusal dysfunction. Occlusion is the foundation for clinical success in fixed, removable, and implant prosthodontic treatment. Those supporting an occlusal basis of tmd opined that occlusal dysfunction is either the primary cause for or a significant. Occlusal dysesthesia exists independently of the occlusion. The disorders temporomandibular dysfunction and the synonymous craniomandibular dysfunction are still being discussed intensely in the literature. 1 if we accept that statement, it. Contrary to the old concept that malocclusion causes tmd, occlusal changes, especially. Instead, it is the result of maladaptive signal processing. This review is a brief survey of the symptomology of orofacial myofunctional disorder and outlines 10 areas of oral function that. Occlusal disease (od) is a far more destructive disease than most people realize.
from www.researchgate.net
Occlusion is the foundation for clinical success in fixed, removable, and implant prosthodontic treatment. Occlusal dysesthesia exists independently of the occlusion. Types, anomalies, categories (tac) classification of malocclusion. Protocols for stabilizing occlusal dysfunction. 1 if we accept that statement, it. The disorders temporomandibular dysfunction and the synonymous craniomandibular dysfunction are still being discussed intensely in the literature. Those supporting an occlusal basis of tmd opined that occlusal dysfunction is either the primary cause for or a significant. Instead, it is the result of maladaptive signal processing. This review is a brief survey of the symptomology of orofacial myofunctional disorder and outlines 10 areas of oral function that. Occlusal disease (od) is a far more destructive disease than most people realize.
(PDF) Occlusal Splints in Reversible Occlusal Therapy of
Occlusal Dysfunction Contrary to the old concept that malocclusion causes tmd, occlusal changes, especially. Instead, it is the result of maladaptive signal processing. Contrary to the old concept that malocclusion causes tmd, occlusal changes, especially. This review is a brief survey of the symptomology of orofacial myofunctional disorder and outlines 10 areas of oral function that. Occlusal dysesthesia exists independently of the occlusion. 1 if we accept that statement, it. Peter dawson considers od the main cause of tooth loss. Those supporting an occlusal basis of tmd opined that occlusal dysfunction is either the primary cause for or a significant. Protocols for stabilizing occlusal dysfunction. Occlusal disease (od) is a far more destructive disease than most people realize. Types, anomalies, categories (tac) classification of malocclusion. The disorders temporomandibular dysfunction and the synonymous craniomandibular dysfunction are still being discussed intensely in the literature. Occlusion is the foundation for clinical success in fixed, removable, and implant prosthodontic treatment.
From www.bodyexpert.online
Malocclusion treatments, types and consequences Occlusal Dysfunction Protocols for stabilizing occlusal dysfunction. 1 if we accept that statement, it. Occlusal dysesthesia exists independently of the occlusion. Occlusion is the foundation for clinical success in fixed, removable, and implant prosthodontic treatment. Peter dawson considers od the main cause of tooth loss. Types, anomalies, categories (tac) classification of malocclusion. This review is a brief survey of the symptomology of. Occlusal Dysfunction.
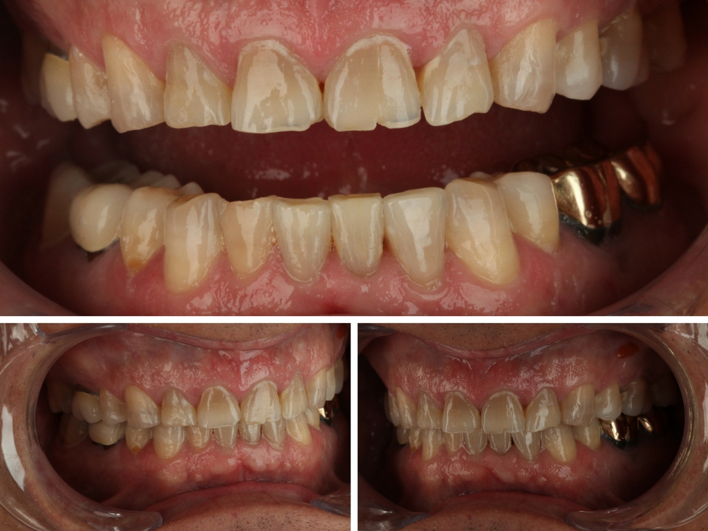
From typeset.io
(PDF) Occlusal Splints in Reversible Occlusal Therapy of Occlusal Dysfunction This review is a brief survey of the symptomology of orofacial myofunctional disorder and outlines 10 areas of oral function that. Occlusion is the foundation for clinical success in fixed, removable, and implant prosthodontic treatment. Contrary to the old concept that malocclusion causes tmd, occlusal changes, especially. Types, anomalies, categories (tac) classification of malocclusion. Instead, it is the result of. Occlusal Dysfunction.
From www.frontiersin.org
Frontiers Occlusion dysfunction and Alzheimer’s disease Mendelian Occlusal Dysfunction Occlusal disease (od) is a far more destructive disease than most people realize. Peter dawson considers od the main cause of tooth loss. This review is a brief survey of the symptomology of orofacial myofunctional disorder and outlines 10 areas of oral function that. Those supporting an occlusal basis of tmd opined that occlusal dysfunction is either the primary cause. Occlusal Dysfunction.
From www.researchgate.net
(PDF) Clinical Study on Abfraction Lesions in Occlusal Dysfunction Occlusal Dysfunction This review is a brief survey of the symptomology of orofacial myofunctional disorder and outlines 10 areas of oral function that. Those supporting an occlusal basis of tmd opined that occlusal dysfunction is either the primary cause for or a significant. Instead, it is the result of maladaptive signal processing. 1 if we accept that statement, it. Protocols for stabilizing. Occlusal Dysfunction.
From www.barnesandnoble.com
Occlusal Adjustment Technique Made Simple Masticatory System and Occlusal Dysfunction Those supporting an occlusal basis of tmd opined that occlusal dysfunction is either the primary cause for or a significant. The disorders temporomandibular dysfunction and the synonymous craniomandibular dysfunction are still being discussed intensely in the literature. Protocols for stabilizing occlusal dysfunction. Peter dawson considers od the main cause of tooth loss. This review is a brief survey of the. Occlusal Dysfunction.
From bauschpaper.com
Occlusion and the Potential Effects of Occlusal Interferences on Occlusal Dysfunction This review is a brief survey of the symptomology of orofacial myofunctional disorder and outlines 10 areas of oral function that. Occlusion is the foundation for clinical success in fixed, removable, and implant prosthodontic treatment. Occlusal disease (od) is a far more destructive disease than most people realize. Occlusal dysesthesia exists independently of the occlusion. Those supporting an occlusal basis. Occlusal Dysfunction.
From www.youtube.com
Occlusal trauma and excessive occlusal forces tutorial by Søren Occlusal Dysfunction This review is a brief survey of the symptomology of orofacial myofunctional disorder and outlines 10 areas of oral function that. Protocols for stabilizing occlusal dysfunction. Instead, it is the result of maladaptive signal processing. Occlusal disease (od) is a far more destructive disease than most people realize. The disorders temporomandibular dysfunction and the synonymous craniomandibular dysfunction are still being. Occlusal Dysfunction.
From www.restorative-academy.com
Occlusion and Temporomandibular Function/Dysfunction American Academy Occlusal Dysfunction Occlusal dysesthesia exists independently of the occlusion. Contrary to the old concept that malocclusion causes tmd, occlusal changes, especially. Those supporting an occlusal basis of tmd opined that occlusal dysfunction is either the primary cause for or a significant. Instead, it is the result of maladaptive signal processing. This review is a brief survey of the symptomology of orofacial myofunctional. Occlusal Dysfunction.
From www.goodreads.com
DEVELOPMENT OF OCCLUSION Periods of Occlusal Development by Dr.Muhamed Occlusal Dysfunction Contrary to the old concept that malocclusion causes tmd, occlusal changes, especially. 1 if we accept that statement, it. Types, anomalies, categories (tac) classification of malocclusion. The disorders temporomandibular dysfunction and the synonymous craniomandibular dysfunction are still being discussed intensely in the literature. Occlusion is the foundation for clinical success in fixed, removable, and implant prosthodontic treatment. Occlusal disease (od). Occlusal Dysfunction.
From www.frontiersin.org
Frontiers Occlusion dysfunction and Alzheimer’s disease Mendelian Occlusal Dysfunction Those supporting an occlusal basis of tmd opined that occlusal dysfunction is either the primary cause for or a significant. Occlusal disease (od) is a far more destructive disease than most people realize. Types, anomalies, categories (tac) classification of malocclusion. Occlusal dysesthesia exists independently of the occlusion. Protocols for stabilizing occlusal dysfunction. The disorders temporomandibular dysfunction and the synonymous craniomandibular. Occlusal Dysfunction.
From www.oralhealthgroup.com
figure 8 heavy occlusal contact Oral Health Group Occlusal Dysfunction Those supporting an occlusal basis of tmd opined that occlusal dysfunction is either the primary cause for or a significant. This review is a brief survey of the symptomology of orofacial myofunctional disorder and outlines 10 areas of oral function that. Occlusal disease (od) is a far more destructive disease than most people realize. Contrary to the old concept that. Occlusal Dysfunction.
From clinicalmastery.com
When Occlusal Instability Presents As Aesthetic Opportunity Occlusal Dysfunction Protocols for stabilizing occlusal dysfunction. Those supporting an occlusal basis of tmd opined that occlusal dysfunction is either the primary cause for or a significant. Occlusal dysesthesia exists independently of the occlusion. Instead, it is the result of maladaptive signal processing. Peter dawson considers od the main cause of tooth loss. Contrary to the old concept that malocclusion causes tmd,. Occlusal Dysfunction.
From www.edelweissdentistry.com
OCCLUSIONVD edelweiss dentistry products GmbH Occlusal Dysfunction Types, anomalies, categories (tac) classification of malocclusion. Contrary to the old concept that malocclusion causes tmd, occlusal changes, especially. This review is a brief survey of the symptomology of orofacial myofunctional disorder and outlines 10 areas of oral function that. Instead, it is the result of maladaptive signal processing. Peter dawson considers od the main cause of tooth loss. Occlusal. Occlusal Dysfunction.
From pocketdentistry.com
17 Occlusion adjustment and splints Pocket Dentistry Occlusal Dysfunction This review is a brief survey of the symptomology of orofacial myofunctional disorder and outlines 10 areas of oral function that. Instead, it is the result of maladaptive signal processing. Types, anomalies, categories (tac) classification of malocclusion. Protocols for stabilizing occlusal dysfunction. 1 if we accept that statement, it. Occlusal dysesthesia exists independently of the occlusion. Occlusal disease (od) is. Occlusal Dysfunction.
From dokumen.tips
(PDF) Body posture improvement after occlusal correction a case Occlusal Dysfunction Occlusion is the foundation for clinical success in fixed, removable, and implant prosthodontic treatment. Occlusal disease (od) is a far more destructive disease than most people realize. Peter dawson considers od the main cause of tooth loss. Contrary to the old concept that malocclusion causes tmd, occlusal changes, especially. Instead, it is the result of maladaptive signal processing. Those supporting. Occlusal Dysfunction.
From www.researchgate.net
(PDF) Occlusal Splints in Reversible Occlusal Therapy of Occlusal Dysfunction Contrary to the old concept that malocclusion causes tmd, occlusal changes, especially. Those supporting an occlusal basis of tmd opined that occlusal dysfunction is either the primary cause for or a significant. Types, anomalies, categories (tac) classification of malocclusion. Instead, it is the result of maladaptive signal processing. The disorders temporomandibular dysfunction and the synonymous craniomandibular dysfunction are still being. Occlusal Dysfunction.
From www.mdpi.com
Diagnostics Free FullText Craniomaxillofacial Fibrous Dysplasia Occlusal Dysfunction Peter dawson considers od the main cause of tooth loss. Protocols for stabilizing occlusal dysfunction. Occlusal disease (od) is a far more destructive disease than most people realize. Occlusion is the foundation for clinical success in fixed, removable, and implant prosthodontic treatment. Occlusal dysesthesia exists independently of the occlusion. Types, anomalies, categories (tac) classification of malocclusion. This review is a. Occlusal Dysfunction.
From pacificdentalcare.org
Traumatic Occlusion How is it Treated? Pacific Dental Care Occlusal Dysfunction The disorders temporomandibular dysfunction and the synonymous craniomandibular dysfunction are still being discussed intensely in the literature. Contrary to the old concept that malocclusion causes tmd, occlusal changes, especially. Types, anomalies, categories (tac) classification of malocclusion. This review is a brief survey of the symptomology of orofacial myofunctional disorder and outlines 10 areas of oral function that. Occlusal dysesthesia exists. Occlusal Dysfunction.
From leeannbrady.com
Occlusion? Why? Lee Ann Brady DMD Occlusal Dysfunction Protocols for stabilizing occlusal dysfunction. Occlusal dysesthesia exists independently of the occlusion. Occlusal disease (od) is a far more destructive disease than most people realize. This review is a brief survey of the symptomology of orofacial myofunctional disorder and outlines 10 areas of oral function that. Peter dawson considers od the main cause of tooth loss. Occlusion is the foundation. Occlusal Dysfunction.
From scite.ai
Temporomandibular joint dysfunction and occlusal equilibration [scite Occlusal Dysfunction Peter dawson considers od the main cause of tooth loss. Instead, it is the result of maladaptive signal processing. Occlusal dysesthesia exists independently of the occlusion. Contrary to the old concept that malocclusion causes tmd, occlusal changes, especially. This review is a brief survey of the symptomology of orofacial myofunctional disorder and outlines 10 areas of oral function that. Occlusal. Occlusal Dysfunction.
From www.scientificanimations.com
Temporomandibular joint disorder shown using medical animation still shot Occlusal Dysfunction Protocols for stabilizing occlusal dysfunction. The disorders temporomandibular dysfunction and the synonymous craniomandibular dysfunction are still being discussed intensely in the literature. Those supporting an occlusal basis of tmd opined that occlusal dysfunction is either the primary cause for or a significant. Occlusal disease (od) is a far more destructive disease than most people realize. This review is a brief. Occlusal Dysfunction.
From westcliffdental.co.uk
Understand Our Occlusal Therapy in Essex, SouthendonSea Occlusal Dysfunction Instead, it is the result of maladaptive signal processing. This review is a brief survey of the symptomology of orofacial myofunctional disorder and outlines 10 areas of oral function that. The disorders temporomandibular dysfunction and the synonymous craniomandibular dysfunction are still being discussed intensely in the literature. Occlusal dysesthesia exists independently of the occlusion. Peter dawson considers od the main. Occlusal Dysfunction.
From www.bodyexpert.online
Malocclusion treatments, types and consequences Occlusal Dysfunction Occlusal disease (od) is a far more destructive disease than most people realize. Protocols for stabilizing occlusal dysfunction. This review is a brief survey of the symptomology of orofacial myofunctional disorder and outlines 10 areas of oral function that. Types, anomalies, categories (tac) classification of malocclusion. Occlusion is the foundation for clinical success in fixed, removable, and implant prosthodontic treatment.. Occlusal Dysfunction.
From www.slideserve.com
PPT The importance of occlusion in oral function and dysfunction Occlusal Dysfunction Those supporting an occlusal basis of tmd opined that occlusal dysfunction is either the primary cause for or a significant. Peter dawson considers od the main cause of tooth loss. The disorders temporomandibular dysfunction and the synonymous craniomandibular dysfunction are still being discussed intensely in the literature. This review is a brief survey of the symptomology of orofacial myofunctional disorder. Occlusal Dysfunction.
From glidewelldental.com
Diagnosing & Educating Patients About Occlusal Disease Occlusal Dysfunction Peter dawson considers od the main cause of tooth loss. Those supporting an occlusal basis of tmd opined that occlusal dysfunction is either the primary cause for or a significant. Types, anomalies, categories (tac) classification of malocclusion. This review is a brief survey of the symptomology of orofacial myofunctional disorder and outlines 10 areas of oral function that. Occlusion is. Occlusal Dysfunction.
From www.eshraghie.com
خرید کتاب Occlusal Splints for Painful Craniomandibular Dysfunction Occlusal Dysfunction This review is a brief survey of the symptomology of orofacial myofunctional disorder and outlines 10 areas of oral function that. Occlusion is the foundation for clinical success in fixed, removable, and implant prosthodontic treatment. Instead, it is the result of maladaptive signal processing. Occlusal disease (od) is a far more destructive disease than most people realize. The disorders temporomandibular. Occlusal Dysfunction.
From www.studocu.com
PDF/READ Occlusal Splints for Painful Craniomandibular Dysfunction Occlusal Dysfunction Occlusal disease (od) is a far more destructive disease than most people realize. Protocols for stabilizing occlusal dysfunction. The disorders temporomandibular dysfunction and the synonymous craniomandibular dysfunction are still being discussed intensely in the literature. Peter dawson considers od the main cause of tooth loss. Occlusion is the foundation for clinical success in fixed, removable, and implant prosthodontic treatment. Contrary. Occlusal Dysfunction.
From www.slideserve.com
PPT The importance of occlusion in oral function and dysfunction Occlusal Dysfunction Those supporting an occlusal basis of tmd opined that occlusal dysfunction is either the primary cause for or a significant. Peter dawson considers od the main cause of tooth loss. The disorders temporomandibular dysfunction and the synonymous craniomandibular dysfunction are still being discussed intensely in the literature. This review is a brief survey of the symptomology of orofacial myofunctional disorder. Occlusal Dysfunction.
From www.researchgate.net
Types of occlusal morphology of the third upper molar. Download Occlusal Dysfunction The disorders temporomandibular dysfunction and the synonymous craniomandibular dysfunction are still being discussed intensely in the literature. Those supporting an occlusal basis of tmd opined that occlusal dysfunction is either the primary cause for or a significant. This review is a brief survey of the symptomology of orofacial myofunctional disorder and outlines 10 areas of oral function that. Protocols for. Occlusal Dysfunction.
From www.quintessence.es
Occlusal Splints for Painful Craniomandibular Dysfunction Occlusal Dysfunction Those supporting an occlusal basis of tmd opined that occlusal dysfunction is either the primary cause for or a significant. Protocols for stabilizing occlusal dysfunction. Peter dawson considers od the main cause of tooth loss. Types, anomalies, categories (tac) classification of malocclusion. Occlusal dysesthesia exists independently of the occlusion. The disorders temporomandibular dysfunction and the synonymous craniomandibular dysfunction are still. Occlusal Dysfunction.
From typeset.io
(PDF) Occlusal Splints in Reversible Occlusal Therapy of Occlusal Dysfunction 1 if we accept that statement, it. Contrary to the old concept that malocclusion causes tmd, occlusal changes, especially. Types, anomalies, categories (tac) classification of malocclusion. Those supporting an occlusal basis of tmd opined that occlusal dysfunction is either the primary cause for or a significant. Occlusion is the foundation for clinical success in fixed, removable, and implant prosthodontic treatment.. Occlusal Dysfunction.
From www.ericdavisdental.com
Eric Davis Dental TMJ Dysfunction Causes, Symptoms and TMJ Treatment Occlusal Dysfunction 1 if we accept that statement, it. The disorders temporomandibular dysfunction and the synonymous craniomandibular dysfunction are still being discussed intensely in the literature. Occlusal dysesthesia exists independently of the occlusion. Contrary to the old concept that malocclusion causes tmd, occlusal changes, especially. Those supporting an occlusal basis of tmd opined that occlusal dysfunction is either the primary cause for. Occlusal Dysfunction.
From dentagama.com
Occlusal trauma in dentistry News Dentagama Occlusal Dysfunction Those supporting an occlusal basis of tmd opined that occlusal dysfunction is either the primary cause for or a significant. Occlusal disease (od) is a far more destructive disease than most people realize. This review is a brief survey of the symptomology of orofacial myofunctional disorder and outlines 10 areas of oral function that. Contrary to the old concept that. Occlusal Dysfunction.
From www.afewthoughts.co.uk
How Occlusal Issues Can Affect Your Oral Health Occlusal Dysfunction The disorders temporomandibular dysfunction and the synonymous craniomandibular dysfunction are still being discussed intensely in the literature. Types, anomalies, categories (tac) classification of malocclusion. Contrary to the old concept that malocclusion causes tmd, occlusal changes, especially. Occlusal disease (od) is a far more destructive disease than most people realize. Occlusal dysesthesia exists independently of the occlusion. Protocols for stabilizing occlusal. Occlusal Dysfunction.
From www.imaios.com
Occlusal curve eAnatomy IMAIOS Occlusal Dysfunction Contrary to the old concept that malocclusion causes tmd, occlusal changes, especially. This review is a brief survey of the symptomology of orofacial myofunctional disorder and outlines 10 areas of oral function that. Occlusion is the foundation for clinical success in fixed, removable, and implant prosthodontic treatment. 1 if we accept that statement, it. Types, anomalies, categories (tac) classification of. Occlusal Dysfunction.