What Does Atypical Glandular Cells Of Endocervical Origin Mean . Endometrial cancer, or its precursors. The agc interpretations and subcategorization were performed according to the 2001 bethesda system as follows: Atypical glandular cells (agc) on cervical cytology usually originate from the glandular epithelium of the endocervix or. Atypical glandular cells (agc) are rare abnormalities found on cervical cytology associated with a range of lesions of the. Atypical glandular cells (agc) this article will focus on the most serious of these categories: The presence of atypical glandular cells on a pap smear is clinically troubling: The bethesda system classifies atypical glandular cells of undetermined significance (agus) as glandular cells that demonstrate nuclear atypia appearing to exceed reactive or reparative.
from cytojournal.com
Endometrial cancer, or its precursors. Atypical glandular cells (agc) this article will focus on the most serious of these categories: The agc interpretations and subcategorization were performed according to the 2001 bethesda system as follows: Atypical glandular cells (agc) are rare abnormalities found on cervical cytology associated with a range of lesions of the. The presence of atypical glandular cells on a pap smear is clinically troubling: Atypical glandular cells (agc) on cervical cytology usually originate from the glandular epithelium of the endocervix or. The bethesda system classifies atypical glandular cells of undetermined significance (agus) as glandular cells that demonstrate nuclear atypia appearing to exceed reactive or reparative.
Atypical glandular cells (AGC) Cytology of glandular lesions of the
What Does Atypical Glandular Cells Of Endocervical Origin Mean Atypical glandular cells (agc) are rare abnormalities found on cervical cytology associated with a range of lesions of the. The presence of atypical glandular cells on a pap smear is clinically troubling: The agc interpretations and subcategorization were performed according to the 2001 bethesda system as follows: Atypical glandular cells (agc) this article will focus on the most serious of these categories: Endometrial cancer, or its precursors. Atypical glandular cells (agc) on cervical cytology usually originate from the glandular epithelium of the endocervix or. Atypical glandular cells (agc) are rare abnormalities found on cervical cytology associated with a range of lesions of the. The bethesda system classifies atypical glandular cells of undetermined significance (agus) as glandular cells that demonstrate nuclear atypia appearing to exceed reactive or reparative.
From www.dreamstime.com
Human Endocervix. Mucous Glands Stock Image Image of microscopic What Does Atypical Glandular Cells Of Endocervical Origin Mean Atypical glandular cells (agc) are rare abnormalities found on cervical cytology associated with a range of lesions of the. The presence of atypical glandular cells on a pap smear is clinically troubling: The agc interpretations and subcategorization were performed according to the 2001 bethesda system as follows: The bethesda system classifies atypical glandular cells of undetermined significance (agus) as glandular. What Does Atypical Glandular Cells Of Endocervical Origin Mean.
From mavink.com
Atypical Cells Cervix What Does Atypical Glandular Cells Of Endocervical Origin Mean The agc interpretations and subcategorization were performed according to the 2001 bethesda system as follows: Atypical glandular cells (agc) this article will focus on the most serious of these categories: Atypical glandular cells (agc) are rare abnormalities found on cervical cytology associated with a range of lesions of the. Endometrial cancer, or its precursors. The presence of atypical glandular cells. What Does Atypical Glandular Cells Of Endocervical Origin Mean.
From screening.iarc.fr
Cytopathology of the uterine cervix digital atlas What Does Atypical Glandular Cells Of Endocervical Origin Mean Atypical glandular cells (agc) this article will focus on the most serious of these categories: The agc interpretations and subcategorization were performed according to the 2001 bethesda system as follows: Endometrial cancer, or its precursors. The bethesda system classifies atypical glandular cells of undetermined significance (agus) as glandular cells that demonstrate nuclear atypia appearing to exceed reactive or reparative. Atypical. What Does Atypical Glandular Cells Of Endocervical Origin Mean.
From cytojournal.com
Atypical glandular cells (AGC) Cytology of glandular lesions of the What Does Atypical Glandular Cells Of Endocervical Origin Mean The bethesda system classifies atypical glandular cells of undetermined significance (agus) as glandular cells that demonstrate nuclear atypia appearing to exceed reactive or reparative. The agc interpretations and subcategorization were performed according to the 2001 bethesda system as follows: Atypical glandular cells (agc) this article will focus on the most serious of these categories: Atypical glandular cells (agc) on cervical. What Does Atypical Glandular Cells Of Endocervical Origin Mean.
From cytojournal.com
Atypical glandular cells (AGC) Cytology of glandular lesions of the What Does Atypical Glandular Cells Of Endocervical Origin Mean Atypical glandular cells (agc) are rare abnormalities found on cervical cytology associated with a range of lesions of the. Atypical glandular cells (agc) on cervical cytology usually originate from the glandular epithelium of the endocervix or. Endometrial cancer, or its precursors. The presence of atypical glandular cells on a pap smear is clinically troubling: The agc interpretations and subcategorization were. What Does Atypical Glandular Cells Of Endocervical Origin Mean.
From www.pathologyoutlines.com
Pathology Outlines Atypical glandular cells (cytology) What Does Atypical Glandular Cells Of Endocervical Origin Mean The presence of atypical glandular cells on a pap smear is clinically troubling: Atypical glandular cells (agc) this article will focus on the most serious of these categories: Atypical glandular cells (agc) on cervical cytology usually originate from the glandular epithelium of the endocervix or. The bethesda system classifies atypical glandular cells of undetermined significance (agus) as glandular cells that. What Does Atypical Glandular Cells Of Endocervical Origin Mean.
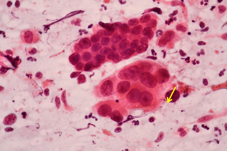
From www.researchgate.net
A , Atypical endocervical cells (NOS) .A sheet of endocervical cells What Does Atypical Glandular Cells Of Endocervical Origin Mean Atypical glandular cells (agc) on cervical cytology usually originate from the glandular epithelium of the endocervix or. The agc interpretations and subcategorization were performed according to the 2001 bethesda system as follows: The presence of atypical glandular cells on a pap smear is clinically troubling: Atypical glandular cells (agc) this article will focus on the most serious of these categories:. What Does Atypical Glandular Cells Of Endocervical Origin Mean.
From ar.inspiredpencil.com
Glandular Endocervical Cells What Does Atypical Glandular Cells Of Endocervical Origin Mean The agc interpretations and subcategorization were performed according to the 2001 bethesda system as follows: Atypical glandular cells (agc) are rare abnormalities found on cervical cytology associated with a range of lesions of the. Atypical glandular cells (agc) this article will focus on the most serious of these categories: The bethesda system classifies atypical glandular cells of undetermined significance (agus). What Does Atypical Glandular Cells Of Endocervical Origin Mean.
From cytojournal.com
Atypical glandular cells (AGC) Cytology of glandular lesions of the What Does Atypical Glandular Cells Of Endocervical Origin Mean Atypical glandular cells (agc) are rare abnormalities found on cervical cytology associated with a range of lesions of the. Endometrial cancer, or its precursors. The agc interpretations and subcategorization were performed according to the 2001 bethesda system as follows: Atypical glandular cells (agc) this article will focus on the most serious of these categories: Atypical glandular cells (agc) on cervical. What Does Atypical Glandular Cells Of Endocervical Origin Mean.
From screening.iarc.fr
Cytopathology of the uterine cervix digital atlas What Does Atypical Glandular Cells Of Endocervical Origin Mean Endometrial cancer, or its precursors. Atypical glandular cells (agc) this article will focus on the most serious of these categories: The agc interpretations and subcategorization were performed according to the 2001 bethesda system as follows: Atypical glandular cells (agc) are rare abnormalities found on cervical cytology associated with a range of lesions of the. Atypical glandular cells (agc) on cervical. What Does Atypical Glandular Cells Of Endocervical Origin Mean.
From cytojournal.com
Atypical glandular cells (AGC) Cytology of glandular lesions of the What Does Atypical Glandular Cells Of Endocervical Origin Mean Atypical glandular cells (agc) on cervical cytology usually originate from the glandular epithelium of the endocervix or. The bethesda system classifies atypical glandular cells of undetermined significance (agus) as glandular cells that demonstrate nuclear atypia appearing to exceed reactive or reparative. The presence of atypical glandular cells on a pap smear is clinically troubling: The agc interpretations and subcategorization were. What Does Atypical Glandular Cells Of Endocervical Origin Mean.
From ar.inspiredpencil.com
Glandular Endocervical Cells What Does Atypical Glandular Cells Of Endocervical Origin Mean Atypical glandular cells (agc) are rare abnormalities found on cervical cytology associated with a range of lesions of the. Atypical glandular cells (agc) this article will focus on the most serious of these categories: Endometrial cancer, or its precursors. The presence of atypical glandular cells on a pap smear is clinically troubling: The bethesda system classifies atypical glandular cells of. What Does Atypical Glandular Cells Of Endocervical Origin Mean.
From www.researchgate.net
Atypical glandular cells of undetermined significance. There is a What Does Atypical Glandular Cells Of Endocervical Origin Mean The agc interpretations and subcategorization were performed according to the 2001 bethesda system as follows: The bethesda system classifies atypical glandular cells of undetermined significance (agus) as glandular cells that demonstrate nuclear atypia appearing to exceed reactive or reparative. Atypical glandular cells (agc) on cervical cytology usually originate from the glandular epithelium of the endocervix or. The presence of atypical. What Does Atypical Glandular Cells Of Endocervical Origin Mean.
From cytojournal.com
Atypical glandular cells (AGC) Cytology of glandular lesions of the What Does Atypical Glandular Cells Of Endocervical Origin Mean Atypical glandular cells (agc) on cervical cytology usually originate from the glandular epithelium of the endocervix or. Atypical glandular cells (agc) this article will focus on the most serious of these categories: Endometrial cancer, or its precursors. The bethesda system classifies atypical glandular cells of undetermined significance (agus) as glandular cells that demonstrate nuclear atypia appearing to exceed reactive or. What Does Atypical Glandular Cells Of Endocervical Origin Mean.
From www.slideserve.com
PPT Glandular 29 th May 2008 PowerPoint Presentation What Does Atypical Glandular Cells Of Endocervical Origin Mean Atypical glandular cells (agc) on cervical cytology usually originate from the glandular epithelium of the endocervix or. The bethesda system classifies atypical glandular cells of undetermined significance (agus) as glandular cells that demonstrate nuclear atypia appearing to exceed reactive or reparative. The presence of atypical glandular cells on a pap smear is clinically troubling: The agc interpretations and subcategorization were. What Does Atypical Glandular Cells Of Endocervical Origin Mean.
From ar.inspiredpencil.com
Glandular Endocervical Cells What Does Atypical Glandular Cells Of Endocervical Origin Mean The agc interpretations and subcategorization were performed according to the 2001 bethesda system as follows: The bethesda system classifies atypical glandular cells of undetermined significance (agus) as glandular cells that demonstrate nuclear atypia appearing to exceed reactive or reparative. Atypical glandular cells (agc) are rare abnormalities found on cervical cytology associated with a range of lesions of the. Atypical glandular. What Does Atypical Glandular Cells Of Endocervical Origin Mean.
From mavink.com
Atypical Cells Cervix What Does Atypical Glandular Cells Of Endocervical Origin Mean Atypical glandular cells (agc) on cervical cytology usually originate from the glandular epithelium of the endocervix or. The bethesda system classifies atypical glandular cells of undetermined significance (agus) as glandular cells that demonstrate nuclear atypia appearing to exceed reactive or reparative. The agc interpretations and subcategorization were performed according to the 2001 bethesda system as follows: The presence of atypical. What Does Atypical Glandular Cells Of Endocervical Origin Mean.
From ar.inspiredpencil.com
Glandular Endocervical Cells What Does Atypical Glandular Cells Of Endocervical Origin Mean The agc interpretations and subcategorization were performed according to the 2001 bethesda system as follows: Atypical glandular cells (agc) are rare abnormalities found on cervical cytology associated with a range of lesions of the. The bethesda system classifies atypical glandular cells of undetermined significance (agus) as glandular cells that demonstrate nuclear atypia appearing to exceed reactive or reparative. The presence. What Does Atypical Glandular Cells Of Endocervical Origin Mean.
From ar.inspiredpencil.com
Glandular Endocervical Cells What Does Atypical Glandular Cells Of Endocervical Origin Mean The agc interpretations and subcategorization were performed according to the 2001 bethesda system as follows: Atypical glandular cells (agc) are rare abnormalities found on cervical cytology associated with a range of lesions of the. Endometrial cancer, or its precursors. The bethesda system classifies atypical glandular cells of undetermined significance (agus) as glandular cells that demonstrate nuclear atypia appearing to exceed. What Does Atypical Glandular Cells Of Endocervical Origin Mean.
From www.pathologyoutlines.com
Pathology Outlines Atypical glandular cells (cytology) What Does Atypical Glandular Cells Of Endocervical Origin Mean Atypical glandular cells (agc) on cervical cytology usually originate from the glandular epithelium of the endocervix or. The agc interpretations and subcategorization were performed according to the 2001 bethesda system as follows: Atypical glandular cells (agc) are rare abnormalities found on cervical cytology associated with a range of lesions of the. The bethesda system classifies atypical glandular cells of undetermined. What Does Atypical Glandular Cells Of Endocervical Origin Mean.
From cytojournal.com
Atypical glandular cells (AGC) Cytology of glandular lesions of the What Does Atypical Glandular Cells Of Endocervical Origin Mean Endometrial cancer, or its precursors. The presence of atypical glandular cells on a pap smear is clinically troubling: The bethesda system classifies atypical glandular cells of undetermined significance (agus) as glandular cells that demonstrate nuclear atypia appearing to exceed reactive or reparative. The agc interpretations and subcategorization were performed according to the 2001 bethesda system as follows: Atypical glandular cells. What Does Atypical Glandular Cells Of Endocervical Origin Mean.
From pixels.com
Endocervical Glands Photograph by Jose Calvo/science Photo Library Pixels What Does Atypical Glandular Cells Of Endocervical Origin Mean The presence of atypical glandular cells on a pap smear is clinically troubling: The agc interpretations and subcategorization were performed according to the 2001 bethesda system as follows: Atypical glandular cells (agc) on cervical cytology usually originate from the glandular epithelium of the endocervix or. Endometrial cancer, or its precursors. Atypical glandular cells (agc) are rare abnormalities found on cervical. What Does Atypical Glandular Cells Of Endocervical Origin Mean.
From cytojournal.com
Atypical glandular cells (AGC) Cytology of glandular lesions of the What Does Atypical Glandular Cells Of Endocervical Origin Mean The presence of atypical glandular cells on a pap smear is clinically troubling: Atypical glandular cells (agc) are rare abnormalities found on cervical cytology associated with a range of lesions of the. Atypical glandular cells (agc) this article will focus on the most serious of these categories: The bethesda system classifies atypical glandular cells of undetermined significance (agus) as glandular. What Does Atypical Glandular Cells Of Endocervical Origin Mean.
From cytojournal.com
Atypical glandular cells (AGC) Cytology of glandular lesions of the What Does Atypical Glandular Cells Of Endocervical Origin Mean The bethesda system classifies atypical glandular cells of undetermined significance (agus) as glandular cells that demonstrate nuclear atypia appearing to exceed reactive or reparative. Atypical glandular cells (agc) on cervical cytology usually originate from the glandular epithelium of the endocervix or. The presence of atypical glandular cells on a pap smear is clinically troubling: Atypical glandular cells (agc) are rare. What Does Atypical Glandular Cells Of Endocervical Origin Mean.
From www.researchgate.net
A , Atypical endocervical cells (NOS) .A sheet of endocervical cells What Does Atypical Glandular Cells Of Endocervical Origin Mean The agc interpretations and subcategorization were performed according to the 2001 bethesda system as follows: Endometrial cancer, or its precursors. The presence of atypical glandular cells on a pap smear is clinically troubling: Atypical glandular cells (agc) on cervical cytology usually originate from the glandular epithelium of the endocervix or. Atypical glandular cells (agc) are rare abnormalities found on cervical. What Does Atypical Glandular Cells Of Endocervical Origin Mean.
From screening.iarc.fr
Cytopathology of the uterine cervix digital atlas What Does Atypical Glandular Cells Of Endocervical Origin Mean Atypical glandular cells (agc) are rare abnormalities found on cervical cytology associated with a range of lesions of the. The agc interpretations and subcategorization were performed according to the 2001 bethesda system as follows: The bethesda system classifies atypical glandular cells of undetermined significance (agus) as glandular cells that demonstrate nuclear atypia appearing to exceed reactive or reparative. The presence. What Does Atypical Glandular Cells Of Endocervical Origin Mean.
From cytojournal.com
Atypical glandular cells (AGC) Cytology of glandular lesions of the What Does Atypical Glandular Cells Of Endocervical Origin Mean The agc interpretations and subcategorization were performed according to the 2001 bethesda system as follows: The presence of atypical glandular cells on a pap smear is clinically troubling: Atypical glandular cells (agc) this article will focus on the most serious of these categories: The bethesda system classifies atypical glandular cells of undetermined significance (agus) as glandular cells that demonstrate nuclear. What Does Atypical Glandular Cells Of Endocervical Origin Mean.
From cytojournal.com
Atypical glandular cells (AGC) Cytology of glandular lesions of the What Does Atypical Glandular Cells Of Endocervical Origin Mean The bethesda system classifies atypical glandular cells of undetermined significance (agus) as glandular cells that demonstrate nuclear atypia appearing to exceed reactive or reparative. The presence of atypical glandular cells on a pap smear is clinically troubling: Atypical glandular cells (agc) on cervical cytology usually originate from the glandular epithelium of the endocervix or. Atypical glandular cells (agc) are rare. What Does Atypical Glandular Cells Of Endocervical Origin Mean.
From cytojournal.com
Atypical glandular cells (AGC) Cytology of glandular lesions of the What Does Atypical Glandular Cells Of Endocervical Origin Mean The agc interpretations and subcategorization were performed according to the 2001 bethesda system as follows: Atypical glandular cells (agc) this article will focus on the most serious of these categories: Atypical glandular cells (agc) are rare abnormalities found on cervical cytology associated with a range of lesions of the. Endometrial cancer, or its precursors. The presence of atypical glandular cells. What Does Atypical Glandular Cells Of Endocervical Origin Mean.
From www.researchgate.net
A , Atypical endocervical cells (NOS) .A sheet of endocervical cells What Does Atypical Glandular Cells Of Endocervical Origin Mean Atypical glandular cells (agc) on cervical cytology usually originate from the glandular epithelium of the endocervix or. The bethesda system classifies atypical glandular cells of undetermined significance (agus) as glandular cells that demonstrate nuclear atypia appearing to exceed reactive or reparative. Atypical glandular cells (agc) are rare abnormalities found on cervical cytology associated with a range of lesions of the.. What Does Atypical Glandular Cells Of Endocervical Origin Mean.
From www.researchgate.net
Cytological and histological features of case 2. a Atypical glandular What Does Atypical Glandular Cells Of Endocervical Origin Mean Atypical glandular cells (agc) are rare abnormalities found on cervical cytology associated with a range of lesions of the. The agc interpretations and subcategorization were performed according to the 2001 bethesda system as follows: Atypical glandular cells (agc) this article will focus on the most serious of these categories: The presence of atypical glandular cells on a pap smear is. What Does Atypical Glandular Cells Of Endocervical Origin Mean.
From www.researchgate.net
A , Atypical endocervical cells (NOS) .A sheet of endocervical cells What Does Atypical Glandular Cells Of Endocervical Origin Mean Atypical glandular cells (agc) on cervical cytology usually originate from the glandular epithelium of the endocervix or. The bethesda system classifies atypical glandular cells of undetermined significance (agus) as glandular cells that demonstrate nuclear atypia appearing to exceed reactive or reparative. The agc interpretations and subcategorization were performed according to the 2001 bethesda system as follows: Atypical glandular cells (agc). What Does Atypical Glandular Cells Of Endocervical Origin Mean.
From www.heraldopenaccess.us
Issues of the Evaluation of Endocervical Cells of the Uterine Cervix on What Does Atypical Glandular Cells Of Endocervical Origin Mean The presence of atypical glandular cells on a pap smear is clinically troubling: Atypical glandular cells (agc) this article will focus on the most serious of these categories: The agc interpretations and subcategorization were performed according to the 2001 bethesda system as follows: Endometrial cancer, or its precursors. Atypical glandular cells (agc) on cervical cytology usually originate from the glandular. What Does Atypical Glandular Cells Of Endocervical Origin Mean.
From screening.iarc.fr
Cytopathology of the uterine cervix digital atlas What Does Atypical Glandular Cells Of Endocervical Origin Mean Atypical glandular cells (agc) this article will focus on the most serious of these categories: Atypical glandular cells (agc) on cervical cytology usually originate from the glandular epithelium of the endocervix or. The presence of atypical glandular cells on a pap smear is clinically troubling: Endometrial cancer, or its precursors. The agc interpretations and subcategorization were performed according to the. What Does Atypical Glandular Cells Of Endocervical Origin Mean.