How To Remove Button Battery From Stomach . A clear liquid diet (e.g. A lithium coin cell may have been ingested (if you don’t know what kind of button battery was swallowed, assume it is a lithium coin cell unless. 1 underwent surgery due to perforation of the duodenum with a sharp object (a steel wire). Gelatin, water, popsicles, clear soup etc.) may be started if there are no signs of perforation on the oesophagogram Endoscopic removal succeeded in 31 cases; If a button battery is swallowed, it can cause damage to the wall of the bowel. For batteries beyond the reach of the endoscope, surgical battery removal may be required in the unusual patients with evidence of occult or visible bleeding, abdominal pain, profoundly decreased. Most common intended use of both nonlithium and lithium of ingested button batteries in a national battery ingestion hotline review of 8648 cases 1 Button batteries can get stuck within the food pipe (oesophagus).
from coreem.net
For batteries beyond the reach of the endoscope, surgical battery removal may be required in the unusual patients with evidence of occult or visible bleeding, abdominal pain, profoundly decreased. Button batteries can get stuck within the food pipe (oesophagus). A clear liquid diet (e.g. A lithium coin cell may have been ingested (if you don’t know what kind of button battery was swallowed, assume it is a lithium coin cell unless. 1 underwent surgery due to perforation of the duodenum with a sharp object (a steel wire). Most common intended use of both nonlithium and lithium of ingested button batteries in a national battery ingestion hotline review of 8648 cases 1 Gelatin, water, popsicles, clear soup etc.) may be started if there are no signs of perforation on the oesophagogram If a button battery is swallowed, it can cause damage to the wall of the bowel. Endoscopic removal succeeded in 31 cases;
Button Battery Ingestion Core EM
How To Remove Button Battery From Stomach If a button battery is swallowed, it can cause damage to the wall of the bowel. A lithium coin cell may have been ingested (if you don’t know what kind of button battery was swallowed, assume it is a lithium coin cell unless. If a button battery is swallowed, it can cause damage to the wall of the bowel. Button batteries can get stuck within the food pipe (oesophagus). Endoscopic removal succeeded in 31 cases; For batteries beyond the reach of the endoscope, surgical battery removal may be required in the unusual patients with evidence of occult or visible bleeding, abdominal pain, profoundly decreased. 1 underwent surgery due to perforation of the duodenum with a sharp object (a steel wire). Most common intended use of both nonlithium and lithium of ingested button batteries in a national battery ingestion hotline review of 8648 cases 1 Gelatin, water, popsicles, clear soup etc.) may be started if there are no signs of perforation on the oesophagogram A clear liquid diet (e.g.
From www.reddit.com
Button cell battery in lower stomach of 23monthold child r/XRayPorn How To Remove Button Battery From Stomach Endoscopic removal succeeded in 31 cases; Button batteries can get stuck within the food pipe (oesophagus). A lithium coin cell may have been ingested (if you don’t know what kind of button battery was swallowed, assume it is a lithium coin cell unless. Most common intended use of both nonlithium and lithium of ingested button batteries in a national battery. How To Remove Button Battery From Stomach.
From www.youtube.com
Swallowed a Button Battery Doctor Explains Dangers YouTube How To Remove Button Battery From Stomach Gelatin, water, popsicles, clear soup etc.) may be started if there are no signs of perforation on the oesophagogram Button batteries can get stuck within the food pipe (oesophagus). A lithium coin cell may have been ingested (if you don’t know what kind of button battery was swallowed, assume it is a lithium coin cell unless. Most common intended use. How To Remove Button Battery From Stomach.
From www.emdocs.net
Emergency Medicine EducationTOXCard Button Battery How To Remove Button Battery From Stomach Button batteries can get stuck within the food pipe (oesophagus). Most common intended use of both nonlithium and lithium of ingested button batteries in a national battery ingestion hotline review of 8648 cases 1 For batteries beyond the reach of the endoscope, surgical battery removal may be required in the unusual patients with evidence of occult or visible bleeding, abdominal. How To Remove Button Battery From Stomach.
From www.youtube.com
Button Battery Ingestion YouTube How To Remove Button Battery From Stomach Button batteries can get stuck within the food pipe (oesophagus). A lithium coin cell may have been ingested (if you don’t know what kind of button battery was swallowed, assume it is a lithium coin cell unless. For batteries beyond the reach of the endoscope, surgical battery removal may be required in the unusual patients with evidence of occult or. How To Remove Button Battery From Stomach.
From www.cureus.com
Cureus Endoscopic Removal of Multiple Ingested Cylindrical Batteries How To Remove Button Battery From Stomach Button batteries can get stuck within the food pipe (oesophagus). Endoscopic removal succeeded in 31 cases; A clear liquid diet (e.g. Gelatin, water, popsicles, clear soup etc.) may be started if there are no signs of perforation on the oesophagogram If a button battery is swallowed, it can cause damage to the wall of the bowel. 1 underwent surgery due. How To Remove Button Battery From Stomach.
From www.apsf.org
Perioperative Management of Button Battery Ingestions in Children How To Remove Button Battery From Stomach Button batteries can get stuck within the food pipe (oesophagus). A lithium coin cell may have been ingested (if you don’t know what kind of button battery was swallowed, assume it is a lithium coin cell unless. If a button battery is swallowed, it can cause damage to the wall of the bowel. Most common intended use of both nonlithium. How To Remove Button Battery From Stomach.
From www.medicaldesignandoutsourcing.com
Ingestible Origami Robot Removes Button Battery Stuck to Wall of How To Remove Button Battery From Stomach If a button battery is swallowed, it can cause damage to the wall of the bowel. For batteries beyond the reach of the endoscope, surgical battery removal may be required in the unusual patients with evidence of occult or visible bleeding, abdominal pain, profoundly decreased. 1 underwent surgery due to perforation of the duodenum with a sharp object (a steel. How To Remove Button Battery From Stomach.
From childliverdisease.org
Button battery ingestion in children Childrens Liver Disease Foundation How To Remove Button Battery From Stomach Gelatin, water, popsicles, clear soup etc.) may be started if there are no signs of perforation on the oesophagogram Button batteries can get stuck within the food pipe (oesophagus). A lithium coin cell may have been ingested (if you don’t know what kind of button battery was swallowed, assume it is a lithium coin cell unless. 1 underwent surgery due. How To Remove Button Battery From Stomach.
From www.apsf.org
Perioperative Management of Button Battery Ingestions in Children How To Remove Button Battery From Stomach Button batteries can get stuck within the food pipe (oesophagus). A clear liquid diet (e.g. If a button battery is swallowed, it can cause damage to the wall of the bowel. Endoscopic removal succeeded in 31 cases; Most common intended use of both nonlithium and lithium of ingested button batteries in a national battery ingestion hotline review of 8648 cases. How To Remove Button Battery From Stomach.
From www.youtube.com
Successfully removal of the battery from the stomach of a 6monthold How To Remove Button Battery From Stomach Gelatin, water, popsicles, clear soup etc.) may be started if there are no signs of perforation on the oesophagogram Most common intended use of both nonlithium and lithium of ingested button batteries in a national battery ingestion hotline review of 8648 cases 1 Endoscopic removal succeeded in 31 cases; 1 underwent surgery due to perforation of the duodenum with a. How To Remove Button Battery From Stomach.
From www.researchgate.net
The button battery ingested by the patient. These battery changes How To Remove Button Battery From Stomach Button batteries can get stuck within the food pipe (oesophagus). If a button battery is swallowed, it can cause damage to the wall of the bowel. Endoscopic removal succeeded in 31 cases; 1 underwent surgery due to perforation of the duodenum with a sharp object (a steel wire). For batteries beyond the reach of the endoscope, surgical battery removal may. How To Remove Button Battery From Stomach.
From www.learningradiology.com
LearningRadiology battery, ingestion, aa, aaa, esophagus, caustic How To Remove Button Battery From Stomach Most common intended use of both nonlithium and lithium of ingested button batteries in a national battery ingestion hotline review of 8648 cases 1 Button batteries can get stuck within the food pipe (oesophagus). A clear liquid diet (e.g. For batteries beyond the reach of the endoscope, surgical battery removal may be required in the unusual patients with evidence of. How To Remove Button Battery From Stomach.
From www.giejournal.org
Bismuth subsalicylate tablet masquerading as vanishing button battery How To Remove Button Battery From Stomach Most common intended use of both nonlithium and lithium of ingested button batteries in a national battery ingestion hotline review of 8648 cases 1 Endoscopic removal succeeded in 31 cases; A clear liquid diet (e.g. A lithium coin cell may have been ingested (if you don’t know what kind of button battery was swallowed, assume it is a lithium coin. How To Remove Button Battery From Stomach.
From rvdaily.com.au
The Dangers of Ingested Button Batteries RV Daily How To Remove Button Battery From Stomach A clear liquid diet (e.g. For batteries beyond the reach of the endoscope, surgical battery removal may be required in the unusual patients with evidence of occult or visible bleeding, abdominal pain, profoundly decreased. If a button battery is swallowed, it can cause damage to the wall of the bowel. A lithium coin cell may have been ingested (if you. How To Remove Button Battery From Stomach.
From coreem.net
Button Battery Ingestion Core EM How To Remove Button Battery From Stomach Endoscopic removal succeeded in 31 cases; A clear liquid diet (e.g. A lithium coin cell may have been ingested (if you don’t know what kind of button battery was swallowed, assume it is a lithium coin cell unless. If a button battery is swallowed, it can cause damage to the wall of the bowel. For batteries beyond the reach of. How To Remove Button Battery From Stomach.
From adc.bmj.com
20 mm lithium button battery causing an oesophageal perforation in a How To Remove Button Battery From Stomach A clear liquid diet (e.g. 1 underwent surgery due to perforation of the duodenum with a sharp object (a steel wire). For batteries beyond the reach of the endoscope, surgical battery removal may be required in the unusual patients with evidence of occult or visible bleeding, abdominal pain, profoundly decreased. If a button battery is swallowed, it can cause damage. How To Remove Button Battery From Stomach.
From rebelem.com
Button Battery Ingestion REBEL EM Emergency Medicine Blog How To Remove Button Battery From Stomach A lithium coin cell may have been ingested (if you don’t know what kind of button battery was swallowed, assume it is a lithium coin cell unless. If a button battery is swallowed, it can cause damage to the wall of the bowel. 1 underwent surgery due to perforation of the duodenum with a sharp object (a steel wire). Button. How To Remove Button Battery From Stomach.
From healthcare.utah.edu
If Your Child Swallows a Button Battery, It’s an Emergency University How To Remove Button Battery From Stomach A lithium coin cell may have been ingested (if you don’t know what kind of button battery was swallowed, assume it is a lithium coin cell unless. Gelatin, water, popsicles, clear soup etc.) may be started if there are no signs of perforation on the oesophagogram For batteries beyond the reach of the endoscope, surgical battery removal may be required. How To Remove Button Battery From Stomach.
From laptrinhx.com
Button Batteries Part 2 Getting Them Out LaptrinhX / News How To Remove Button Battery From Stomach Gelatin, water, popsicles, clear soup etc.) may be started if there are no signs of perforation on the oesophagogram 1 underwent surgery due to perforation of the duodenum with a sharp object (a steel wire). A clear liquid diet (e.g. If a button battery is swallowed, it can cause damage to the wall of the bowel. A lithium coin cell. How To Remove Button Battery From Stomach.
From jmedicalcasereports.biomedcentral.com
Button battery removed from the stomach resulting in a missed How To Remove Button Battery From Stomach Gelatin, water, popsicles, clear soup etc.) may be started if there are no signs of perforation on the oesophagogram A clear liquid diet (e.g. 1 underwent surgery due to perforation of the duodenum with a sharp object (a steel wire). Button batteries can get stuck within the food pipe (oesophagus). Most common intended use of both nonlithium and lithium of. How To Remove Button Battery From Stomach.
From www.checkupnewsroom.com
What Parents Should Know Button Battery Ingestion & Honey How To Remove Button Battery From Stomach If a button battery is swallowed, it can cause damage to the wall of the bowel. Button batteries can get stuck within the food pipe (oesophagus). Most common intended use of both nonlithium and lithium of ingested button batteries in a national battery ingestion hotline review of 8648 cases 1 A lithium coin cell may have been ingested (if you. How To Remove Button Battery From Stomach.
From pedimom.com
Button Battery Ingestion In Children. What You Need To Know To Protect How To Remove Button Battery From Stomach If a button battery is swallowed, it can cause damage to the wall of the bowel. 1 underwent surgery due to perforation of the duodenum with a sharp object (a steel wire). A clear liquid diet (e.g. A lithium coin cell may have been ingested (if you don’t know what kind of button battery was swallowed, assume it is a. How To Remove Button Battery From Stomach.
From www.researchgate.net
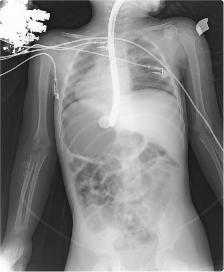
Abdominal radiograph of a child showing swallowed button batteries in How To Remove Button Battery From Stomach Most common intended use of both nonlithium and lithium of ingested button batteries in a national battery ingestion hotline review of 8648 cases 1 If a button battery is swallowed, it can cause damage to the wall of the bowel. A clear liquid diet (e.g. For batteries beyond the reach of the endoscope, surgical battery removal may be required in. How To Remove Button Battery From Stomach.
From www.news18.com
Ireland Doctors Surgically Remove 55 Batteries From Woman's Gut and Stomach How To Remove Button Battery From Stomach Most common intended use of both nonlithium and lithium of ingested button batteries in a national battery ingestion hotline review of 8648 cases 1 Endoscopic removal succeeded in 31 cases; Gelatin, water, popsicles, clear soup etc.) may be started if there are no signs of perforation on the oesophagogram A lithium coin cell may have been ingested (if you don’t. How To Remove Button Battery From Stomach.
From www.apsf.org
Perioperative Management of Button Battery Ingestions in Children How To Remove Button Battery From Stomach Most common intended use of both nonlithium and lithium of ingested button batteries in a national battery ingestion hotline review of 8648 cases 1 Endoscopic removal succeeded in 31 cases; Button batteries can get stuck within the food pipe (oesophagus). If a button battery is swallowed, it can cause damage to the wall of the bowel. For batteries beyond the. How To Remove Button Battery From Stomach.
From jmedicalcasereports.biomedcentral.com
Button battery removed from the stomach resulting in a missed How To Remove Button Battery From Stomach If a button battery is swallowed, it can cause damage to the wall of the bowel. Endoscopic removal succeeded in 31 cases; For batteries beyond the reach of the endoscope, surgical battery removal may be required in the unusual patients with evidence of occult or visible bleeding, abdominal pain, profoundly decreased. A lithium coin cell may have been ingested (if. How To Remove Button Battery From Stomach.
From www.youtube.com
Button Battery Ingestion Emergencies YouTube How To Remove Button Battery From Stomach Gelatin, water, popsicles, clear soup etc.) may be started if there are no signs of perforation on the oesophagogram A lithium coin cell may have been ingested (if you don’t know what kind of button battery was swallowed, assume it is a lithium coin cell unless. Button batteries can get stuck within the food pipe (oesophagus). For batteries beyond the. How To Remove Button Battery From Stomach.
From medicalxpress.com
Button batteries can rapidly damage stomach lining before symptoms appear How To Remove Button Battery From Stomach 1 underwent surgery due to perforation of the duodenum with a sharp object (a steel wire). If a button battery is swallowed, it can cause damage to the wall of the bowel. A clear liquid diet (e.g. Gelatin, water, popsicles, clear soup etc.) may be started if there are no signs of perforation on the oesophagogram For batteries beyond the. How To Remove Button Battery From Stomach.
From didyouknowfacts.com
Parents Need to Watch This Shocking Video of How Quickly a Swallowed How To Remove Button Battery From Stomach If a button battery is swallowed, it can cause damage to the wall of the bowel. Button batteries can get stuck within the food pipe (oesophagus). For batteries beyond the reach of the endoscope, surgical battery removal may be required in the unusual patients with evidence of occult or visible bleeding, abdominal pain, profoundly decreased. A clear liquid diet (e.g.. How To Remove Button Battery From Stomach.
From childliverdisease.org
Button battery ingestion in children Childrens Liver Disease Foundation How To Remove Button Battery From Stomach Gelatin, water, popsicles, clear soup etc.) may be started if there are no signs of perforation on the oesophagogram A clear liquid diet (e.g. Button batteries can get stuck within the food pipe (oesophagus). Endoscopic removal succeeded in 31 cases; 1 underwent surgery due to perforation of the duodenum with a sharp object (a steel wire). If a button battery. How To Remove Button Battery From Stomach.
From pediatriceducation.org
What Are the Treatment Guidelines for Button Battery Ingestion How To Remove Button Battery From Stomach Endoscopic removal succeeded in 31 cases; A clear liquid diet (e.g. If a button battery is swallowed, it can cause damage to the wall of the bowel. For batteries beyond the reach of the endoscope, surgical battery removal may be required in the unusual patients with evidence of occult or visible bleeding, abdominal pain, profoundly decreased. Button batteries can get. How To Remove Button Battery From Stomach.
From pedimom.com
Button Battery Ingestion In Children. What You Need To Know To Protect How To Remove Button Battery From Stomach If a button battery is swallowed, it can cause damage to the wall of the bowel. For batteries beyond the reach of the endoscope, surgical battery removal may be required in the unusual patients with evidence of occult or visible bleeding, abdominal pain, profoundly decreased. 1 underwent surgery due to perforation of the duodenum with a sharp object (a steel. How To Remove Button Battery From Stomach.
From www.13wmaz.com
Children's Healthcare of Atlanta warns of button battery dangers How To Remove Button Battery From Stomach Button batteries can get stuck within the food pipe (oesophagus). Endoscopic removal succeeded in 31 cases; 1 underwent surgery due to perforation of the duodenum with a sharp object (a steel wire). A lithium coin cell may have been ingested (if you don’t know what kind of button battery was swallowed, assume it is a lithium coin cell unless. For. How To Remove Button Battery From Stomach.
From www.livescience.com
Doctors remove 50 AA and AAA batteries from woman's gut and stomach How To Remove Button Battery From Stomach If a button battery is swallowed, it can cause damage to the wall of the bowel. Endoscopic removal succeeded in 31 cases; A clear liquid diet (e.g. Gelatin, water, popsicles, clear soup etc.) may be started if there are no signs of perforation on the oesophagogram A lithium coin cell may have been ingested (if you don’t know what kind. How To Remove Button Battery From Stomach.
From www.researchgate.net
Abdominal X rays showing battery in the stomach (A) and distal ileum (B How To Remove Button Battery From Stomach 1 underwent surgery due to perforation of the duodenum with a sharp object (a steel wire). For batteries beyond the reach of the endoscope, surgical battery removal may be required in the unusual patients with evidence of occult or visible bleeding, abdominal pain, profoundly decreased. Gelatin, water, popsicles, clear soup etc.) may be started if there are no signs of. How To Remove Button Battery From Stomach.