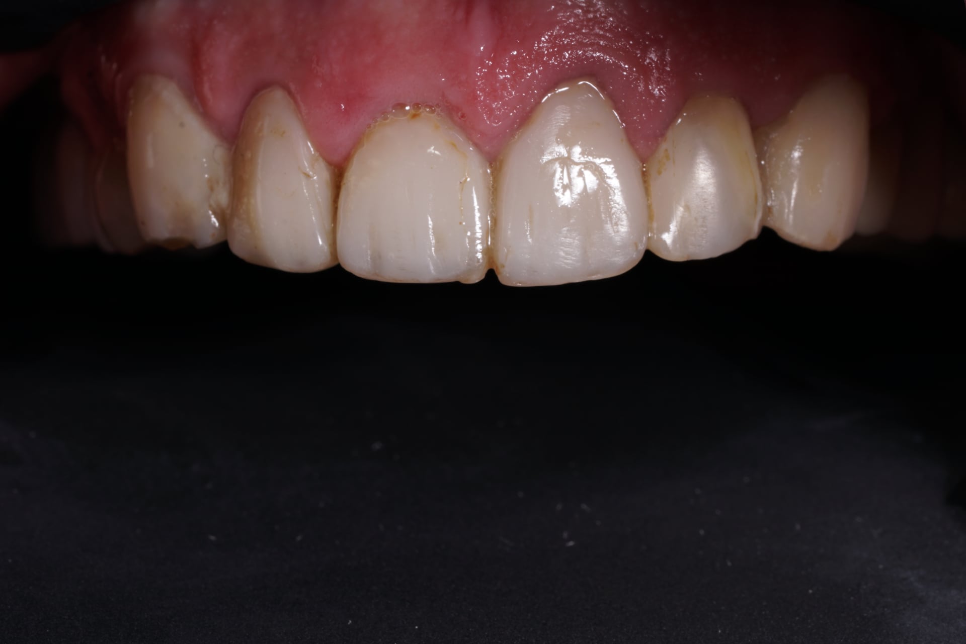
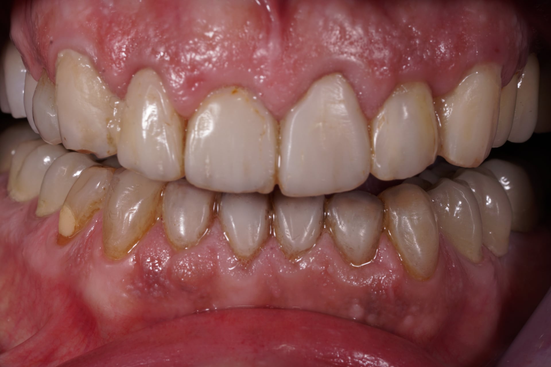
Veneers To Lengthen Front Teeth . Our guide will tell you everything you need to know about how to choose veneers that suit your face. A porcelain veneer, however, is a type of dental restoration like a filling or a crown. Are you concerned about the short teeth look or the length of your front teeth when smiling? Just like natural teeth, dental veneers come in many different sizes, colours, and shapes. In these cases, gum removal or crown lengthening may be needed prior to placing veneers (figure 3). These restorations are permanent and can not be removed once put in place. Painlessly lengthen short or uneven teeth with a veneer in a minimally invasive manner. They are becoming increasingly popular in the us thanks to their affordability compared to other restorative dentistry procedures. Veneers are thin teeth covers that are attached to the front surface of your teeth to cover imperfections and protect enamel. They can be used to treat cosmetic concerns like. Four to six veneers can be used to balance out large front teeth, while an. Your veneers will look best if they are tailored to your unique facial features.
from leisuredentalva.com
A porcelain veneer, however, is a type of dental restoration like a filling or a crown. They are becoming increasingly popular in the us thanks to their affordability compared to other restorative dentistry procedures. Your veneers will look best if they are tailored to your unique facial features. These restorations are permanent and can not be removed once put in place. Painlessly lengthen short or uneven teeth with a veneer in a minimally invasive manner. Four to six veneers can be used to balance out large front teeth, while an. Just like natural teeth, dental veneers come in many different sizes, colours, and shapes. Veneers are thin teeth covers that are attached to the front surface of your teeth to cover imperfections and protect enamel. In these cases, gum removal or crown lengthening may be needed prior to placing veneers (figure 3). Are you concerned about the short teeth look or the length of your front teeth when smiling?
Norfolk Veneers Dr. Bruce Haggerty Leisure Dental
Veneers To Lengthen Front Teeth Your veneers will look best if they are tailored to your unique facial features. In these cases, gum removal or crown lengthening may be needed prior to placing veneers (figure 3). Painlessly lengthen short or uneven teeth with a veneer in a minimally invasive manner. They can be used to treat cosmetic concerns like. These restorations are permanent and can not be removed once put in place. Just like natural teeth, dental veneers come in many different sizes, colours, and shapes. A porcelain veneer, however, is a type of dental restoration like a filling or a crown. Our guide will tell you everything you need to know about how to choose veneers that suit your face. They are becoming increasingly popular in the us thanks to their affordability compared to other restorative dentistry procedures. Veneers are thin teeth covers that are attached to the front surface of your teeth to cover imperfections and protect enamel. Four to six veneers can be used to balance out large front teeth, while an. Are you concerned about the short teeth look or the length of your front teeth when smiling? Your veneers will look best if they are tailored to your unique facial features.
From safarmedical.com
Dental veneers Types, Uses & Process Safar Medical Veneers To Lengthen Front Teeth In these cases, gum removal or crown lengthening may be needed prior to placing veneers (figure 3). A porcelain veneer, however, is a type of dental restoration like a filling or a crown. Veneers are thin teeth covers that are attached to the front surface of your teeth to cover imperfections and protect enamel. Our guide will tell you everything. Veneers To Lengthen Front Teeth.
From www.inhousedentalstudio.com
Case 16, Anterior Esthetic Makeover with Crowns, Veneers and Invisalign Veneers To Lengthen Front Teeth Are you concerned about the short teeth look or the length of your front teeth when smiling? Four to six veneers can be used to balance out large front teeth, while an. Your veneers will look best if they are tailored to your unique facial features. Our guide will tell you everything you need to know about how to choose. Veneers To Lengthen Front Teeth.
From www.thedentalroom.com.au
Porcelain Veneers Before and After The Dental Room Veneers To Lengthen Front Teeth A porcelain veneer, however, is a type of dental restoration like a filling or a crown. These restorations are permanent and can not be removed once put in place. Painlessly lengthen short or uneven teeth with a veneer in a minimally invasive manner. Are you concerned about the short teeth look or the length of your front teeth when smiling?. Veneers To Lengthen Front Teeth.
From ar.inspiredpencil.com
Invisalign Before And After Crooked Teeth Veneers To Lengthen Front Teeth They are becoming increasingly popular in the us thanks to their affordability compared to other restorative dentistry procedures. These restorations are permanent and can not be removed once put in place. Are you concerned about the short teeth look or the length of your front teeth when smiling? Just like natural teeth, dental veneers come in many different sizes, colours,. Veneers To Lengthen Front Teeth.
From dental-aesthetics.gr
Composite veneers to lengthen front teeth Dental Aesthetics Veneers To Lengthen Front Teeth Painlessly lengthen short or uneven teeth with a veneer in a minimally invasive manner. Just like natural teeth, dental veneers come in many different sizes, colours, and shapes. Your veneers will look best if they are tailored to your unique facial features. They can be used to treat cosmetic concerns like. Veneers are thin teeth covers that are attached to. Veneers To Lengthen Front Teeth.
From lakeforestdentalarts.com
Tooth Veneers without drilling NoPrep Veneer Veneers To Lengthen Front Teeth These restorations are permanent and can not be removed once put in place. Four to six veneers can be used to balance out large front teeth, while an. Painlessly lengthen short or uneven teeth with a veneer in a minimally invasive manner. In these cases, gum removal or crown lengthening may be needed prior to placing veneers (figure 3). They. Veneers To Lengthen Front Teeth.
From dental-aesthetics.gr
Composite veneers to lengthen front teeth Dental Aesthetics Veneers To Lengthen Front Teeth In these cases, gum removal or crown lengthening may be needed prior to placing veneers (figure 3). Four to six veneers can be used to balance out large front teeth, while an. A porcelain veneer, however, is a type of dental restoration like a filling or a crown. Your veneers will look best if they are tailored to your unique. Veneers To Lengthen Front Teeth.
From sabkadentist.com
How long do teeth veneers last? Veneers To Lengthen Front Teeth They are becoming increasingly popular in the us thanks to their affordability compared to other restorative dentistry procedures. They can be used to treat cosmetic concerns like. These restorations are permanent and can not be removed once put in place. Just like natural teeth, dental veneers come in many different sizes, colours, and shapes. Your veneers will look best if. Veneers To Lengthen Front Teeth.
From www.gulchdentalstudio.com
Porcelain Veneers Nashville, TN Veneers Gulch Dental Studio Veneers To Lengthen Front Teeth Veneers are thin teeth covers that are attached to the front surface of your teeth to cover imperfections and protect enamel. Your veneers will look best if they are tailored to your unique facial features. Just like natural teeth, dental veneers come in many different sizes, colours, and shapes. They can be used to treat cosmetic concerns like. These restorations. Veneers To Lengthen Front Teeth.
From dental-aesthetics.gr
Composite veneers to lengthen front teeth Dental Aesthetics Veneers To Lengthen Front Teeth They are becoming increasingly popular in the us thanks to their affordability compared to other restorative dentistry procedures. Our guide will tell you everything you need to know about how to choose veneers that suit your face. Are you concerned about the short teeth look or the length of your front teeth when smiling? These restorations are permanent and can. Veneers To Lengthen Front Teeth.
From emeraldcoastdentistry.com
Front Teeth Crowns Vs. Veneers Emerald Coast Dentistry Veneers To Lengthen Front Teeth Four to six veneers can be used to balance out large front teeth, while an. Are you concerned about the short teeth look or the length of your front teeth when smiling? Veneers are thin teeth covers that are attached to the front surface of your teeth to cover imperfections and protect enamel. Our guide will tell you everything you. Veneers To Lengthen Front Teeth.
From www.thevernondentist.com
5 Things Everyone should know about Veneers Vernon Dentist Dr. Gary Veneers To Lengthen Front Teeth They can be used to treat cosmetic concerns like. Four to six veneers can be used to balance out large front teeth, while an. Painlessly lengthen short or uneven teeth with a veneer in a minimally invasive manner. Our guide will tell you everything you need to know about how to choose veneers that suit your face. They are becoming. Veneers To Lengthen Front Teeth.
From antalyadentsmile.com
Crowns x Veneers What Is the Difference? Antalya Dent Smile Veneers To Lengthen Front Teeth Are you concerned about the short teeth look or the length of your front teeth when smiling? Veneers are thin teeth covers that are attached to the front surface of your teeth to cover imperfections and protect enamel. They are becoming increasingly popular in the us thanks to their affordability compared to other restorative dentistry procedures. Painlessly lengthen short or. Veneers To Lengthen Front Teeth.
From rollinghillsdentistry.com
Dental Veneers Are Dental Veneers For Me? Rolling Hills Dentistry Veneers To Lengthen Front Teeth Our guide will tell you everything you need to know about how to choose veneers that suit your face. Four to six veneers can be used to balance out large front teeth, while an. Painlessly lengthen short or uneven teeth with a veneer in a minimally invasive manner. Your veneers will look best if they are tailored to your unique. Veneers To Lengthen Front Teeth.
From talkativedesigner.blogspot.com
Veneers Before And After Full Face Before And After Veneers To Lengthen Front Teeth They can be used to treat cosmetic concerns like. A porcelain veneer, however, is a type of dental restoration like a filling or a crown. Your veneers will look best if they are tailored to your unique facial features. In these cases, gum removal or crown lengthening may be needed prior to placing veneers (figure 3). Four to six veneers. Veneers To Lengthen Front Teeth.
From www.918dentist.com
Lengthen Your Teeth with Porcelain Veneers in Glenpool, OK 918 Veneers To Lengthen Front Teeth These restorations are permanent and can not be removed once put in place. Painlessly lengthen short or uneven teeth with a veneer in a minimally invasive manner. A porcelain veneer, however, is a type of dental restoration like a filling or a crown. In these cases, gum removal or crown lengthening may be needed prior to placing veneers (figure 3).. Veneers To Lengthen Front Teeth.
From www.greenwichdentistry.com
Veneers Cos Cob, CT Greenwich Dentistry Family & Cosmetic Dentistry Veneers To Lengthen Front Teeth They can be used to treat cosmetic concerns like. In these cases, gum removal or crown lengthening may be needed prior to placing veneers (figure 3). Veneers are thin teeth covers that are attached to the front surface of your teeth to cover imperfections and protect enamel. Just like natural teeth, dental veneers come in many different sizes, colours, and. Veneers To Lengthen Front Teeth.
From leisuredentalva.com
Norfolk Veneers Dr. Bruce Haggerty Leisure Dental Veneers To Lengthen Front Teeth Our guide will tell you everything you need to know about how to choose veneers that suit your face. In these cases, gum removal or crown lengthening may be needed prior to placing veneers (figure 3). Just like natural teeth, dental veneers come in many different sizes, colours, and shapes. Your veneers will look best if they are tailored to. Veneers To Lengthen Front Teeth.
From ar.inspiredpencil.com
Teeth Veneers Before And After Veneers To Lengthen Front Teeth They can be used to treat cosmetic concerns like. Our guide will tell you everything you need to know about how to choose veneers that suit your face. Veneers are thin teeth covers that are attached to the front surface of your teeth to cover imperfections and protect enamel. In these cases, gum removal or crown lengthening may be needed. Veneers To Lengthen Front Teeth.
From www.pickettfamilydental.com
Veneer Dental Replacement for the Front Upper Teeth Pickett Family Dental Veneers To Lengthen Front Teeth They are becoming increasingly popular in the us thanks to their affordability compared to other restorative dentistry procedures. In these cases, gum removal or crown lengthening may be needed prior to placing veneers (figure 3). A porcelain veneer, however, is a type of dental restoration like a filling or a crown. Are you concerned about the short teeth look or. Veneers To Lengthen Front Teeth.
From www.southviewdentistrycharlotte.com
Case Study on Using Veneers to Fix Gap in Front Teeth Veneers To Lengthen Front Teeth Our guide will tell you everything you need to know about how to choose veneers that suit your face. They can be used to treat cosmetic concerns like. A porcelain veneer, however, is a type of dental restoration like a filling or a crown. These restorations are permanent and can not be removed once put in place. Four to six. Veneers To Lengthen Front Teeth.
From ariesorofacial.com
Dental Veneer Smile Makeover Aries OroFacial Dental Clinic Vadodara Veneers To Lengthen Front Teeth Four to six veneers can be used to balance out large front teeth, while an. A porcelain veneer, however, is a type of dental restoration like a filling or a crown. In these cases, gum removal or crown lengthening may be needed prior to placing veneers (figure 3). They can be used to treat cosmetic concerns like. They are becoming. Veneers To Lengthen Front Teeth.
From dental-aesthetics.gr
Composite veneers to lengthen front teeth Dental Aesthetics Veneers To Lengthen Front Teeth These restorations are permanent and can not be removed once put in place. Are you concerned about the short teeth look or the length of your front teeth when smiling? Just like natural teeth, dental veneers come in many different sizes, colours, and shapes. Painlessly lengthen short or uneven teeth with a veneer in a minimally invasive manner. They are. Veneers To Lengthen Front Teeth.
From www.smileondentists.com
Dental Veneers in Marina Del Rey CA Dentist in 90292 Veneers To Lengthen Front Teeth These restorations are permanent and can not be removed once put in place. They are becoming increasingly popular in the us thanks to their affordability compared to other restorative dentistry procedures. A porcelain veneer, however, is a type of dental restoration like a filling or a crown. Veneers are thin teeth covers that are attached to the front surface of. Veneers To Lengthen Front Teeth.
From tribecaadvanceddentistry.com
Dental Crown to lengthen teeth Tribeca Advanced Dentistry Veneers To Lengthen Front Teeth A porcelain veneer, however, is a type of dental restoration like a filling or a crown. Veneers are thin teeth covers that are attached to the front surface of your teeth to cover imperfections and protect enamel. These restorations are permanent and can not be removed once put in place. Our guide will tell you everything you need to know. Veneers To Lengthen Front Teeth.
From hanboroughdental.co.uk
Dental Veneer Long Hanborough Dental Practice Veneers To Lengthen Front Teeth Just like natural teeth, dental veneers come in many different sizes, colours, and shapes. They can be used to treat cosmetic concerns like. Veneers are thin teeth covers that are attached to the front surface of your teeth to cover imperfections and protect enamel. These restorations are permanent and can not be removed once put in place. Your veneers will. Veneers To Lengthen Front Teeth.
From www.dentalsquare.com.au
Composite Veneers Sydney Dental Bonding Sydney Dentist Ryde Veneers To Lengthen Front Teeth A porcelain veneer, however, is a type of dental restoration like a filling or a crown. They are becoming increasingly popular in the us thanks to their affordability compared to other restorative dentistry procedures. They can be used to treat cosmetic concerns like. Four to six veneers can be used to balance out large front teeth, while an. Your veneers. Veneers To Lengthen Front Teeth.
From www.smileinfluencers.com
Crowns vs. Veneers 5 Reasons to Place a Dental Crown on Front Teeth Veneers To Lengthen Front Teeth Four to six veneers can be used to balance out large front teeth, while an. They are becoming increasingly popular in the us thanks to their affordability compared to other restorative dentistry procedures. They can be used to treat cosmetic concerns like. A porcelain veneer, however, is a type of dental restoration like a filling or a crown. In these. Veneers To Lengthen Front Teeth.
From www.youtube.com
Dental Veneers Procedure Step by step YouTube Veneers To Lengthen Front Teeth Painlessly lengthen short or uneven teeth with a veneer in a minimally invasive manner. A porcelain veneer, however, is a type of dental restoration like a filling or a crown. In these cases, gum removal or crown lengthening may be needed prior to placing veneers (figure 3). Four to six veneers can be used to balance out large front teeth,. Veneers To Lengthen Front Teeth.
From dental-aesthetics.gr
Composite veneers to lengthen front teeth Dental Aesthetics Veneers To Lengthen Front Teeth They can be used to treat cosmetic concerns like. Our guide will tell you everything you need to know about how to choose veneers that suit your face. Painlessly lengthen short or uneven teeth with a veneer in a minimally invasive manner. Veneers are thin teeth covers that are attached to the front surface of your teeth to cover imperfections. Veneers To Lengthen Front Teeth.
From southgablesdental.com
Cosmetic Dentistry Before and After Invisalign, Zoom, Veneers South Veneers To Lengthen Front Teeth Veneers are thin teeth covers that are attached to the front surface of your teeth to cover imperfections and protect enamel. They can be used to treat cosmetic concerns like. These restorations are permanent and can not be removed once put in place. Just like natural teeth, dental veneers come in many different sizes, colours, and shapes. Our guide will. Veneers To Lengthen Front Teeth.
From www.rifkinraanan.com
How to Choose the Best Veneers for Your Face Shape Dr. Raanan Veneers To Lengthen Front Teeth Are you concerned about the short teeth look or the length of your front teeth when smiling? These restorations are permanent and can not be removed once put in place. Painlessly lengthen short or uneven teeth with a veneer in a minimally invasive manner. They are becoming increasingly popular in the us thanks to their affordability compared to other restorative. Veneers To Lengthen Front Teeth.
From smilesny.com
Before and After Crown Lengthening & Porcelain Veneers & Smile Makeover Veneers To Lengthen Front Teeth Our guide will tell you everything you need to know about how to choose veneers that suit your face. Just like natural teeth, dental veneers come in many different sizes, colours, and shapes. Veneers are thin teeth covers that are attached to the front surface of your teeth to cover imperfections and protect enamel. They are becoming increasingly popular in. Veneers To Lengthen Front Teeth.
From dental-aesthetics.gr
Composite veneers to lengthen front teeth Dental Aesthetics Veneers To Lengthen Front Teeth Our guide will tell you everything you need to know about how to choose veneers that suit your face. They can be used to treat cosmetic concerns like. Are you concerned about the short teeth look or the length of your front teeth when smiling? Your veneers will look best if they are tailored to your unique facial features. Painlessly. Veneers To Lengthen Front Teeth.
From dental-aesthetics.gr
Composite veneers to lengthen front teeth Dental Aesthetics Veneers To Lengthen Front Teeth Painlessly lengthen short or uneven teeth with a veneer in a minimally invasive manner. Are you concerned about the short teeth look or the length of your front teeth when smiling? A porcelain veneer, however, is a type of dental restoration like a filling or a crown. Just like natural teeth, dental veneers come in many different sizes, colours, and. Veneers To Lengthen Front Teeth.