Retained Products Of Conception Radiology Assistant . retained products of conception after induced abortion or early pregnancy loss are detected most often by ultrasonographic. retained products of conception (pocs) can occur after spontaneous or induced abortion and after. retained products of conception (rpoc) are a common and treatable complication after delivery or termination of pregnancy. retained products of conception (rpoc) generally result after first half of pregnancy termination and also may occur after. retained products of conception (rpocs) are among the most common causes of secondary postpartum, postmiscarriage, and.
from www.got-blogger.com
retained products of conception (rpoc) generally result after first half of pregnancy termination and also may occur after. retained products of conception (rpoc) are a common and treatable complication after delivery or termination of pregnancy. retained products of conception (pocs) can occur after spontaneous or induced abortion and after. retained products of conception after induced abortion or early pregnancy loss are detected most often by ultrasonographic. retained products of conception (rpocs) are among the most common causes of secondary postpartum, postmiscarriage, and.
Sonography retained products of conception
Retained Products Of Conception Radiology Assistant retained products of conception (pocs) can occur after spontaneous or induced abortion and after. retained products of conception (rpoc) generally result after first half of pregnancy termination and also may occur after. retained products of conception (rpocs) are among the most common causes of secondary postpartum, postmiscarriage, and. retained products of conception (rpoc) are a common and treatable complication after delivery or termination of pregnancy. retained products of conception after induced abortion or early pregnancy loss are detected most often by ultrasonographic. retained products of conception (pocs) can occur after spontaneous or induced abortion and after.
From radiogyan.com
Retained Products Of Conception Radiology Case RadioGyan Retained Products Of Conception Radiology Assistant retained products of conception (rpoc) generally result after first half of pregnancy termination and also may occur after. retained products of conception (pocs) can occur after spontaneous or induced abortion and after. retained products of conception (rpoc) are a common and treatable complication after delivery or termination of pregnancy. retained products of conception after induced abortion. Retained Products Of Conception Radiology Assistant.
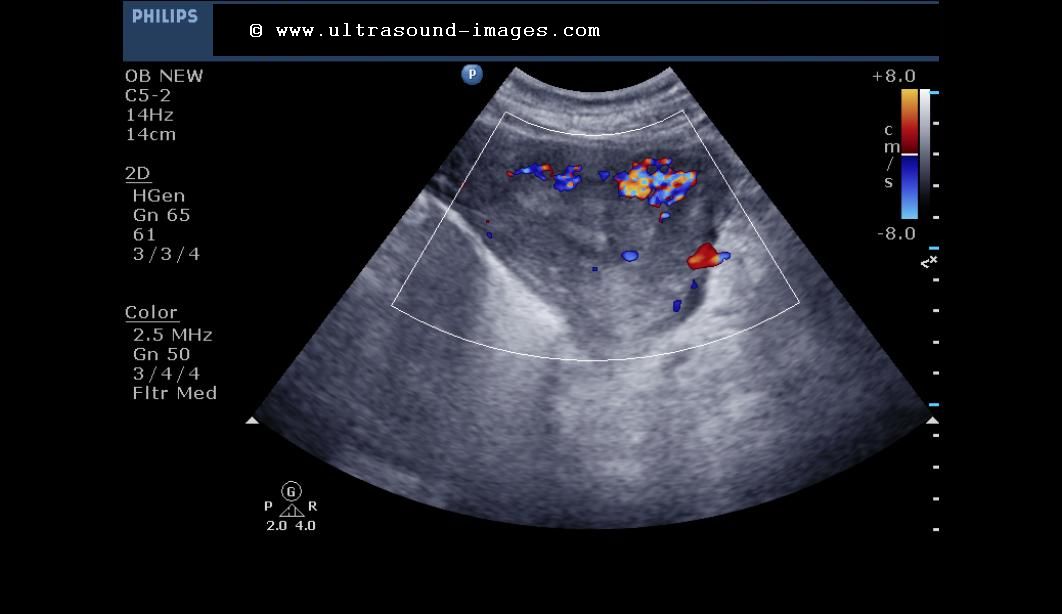
From exowmcxbh.blob.core.windows.net
Retained Products Of Conception Ct Radiology at Maria Dagostino blog Retained Products Of Conception Radiology Assistant retained products of conception (rpoc) are a common and treatable complication after delivery or termination of pregnancy. retained products of conception (rpoc) generally result after first half of pregnancy termination and also may occur after. retained products of conception (pocs) can occur after spontaneous or induced abortion and after. retained products of conception after induced abortion. Retained Products Of Conception Radiology Assistant.
From pubs.rsna.org
Physiologic, Histologic, and Imaging Features of Retained Products of Retained Products Of Conception Radiology Assistant retained products of conception (rpocs) are among the most common causes of secondary postpartum, postmiscarriage, and. retained products of conception after induced abortion or early pregnancy loss are detected most often by ultrasonographic. retained products of conception (rpoc) are a common and treatable complication after delivery or termination of pregnancy. retained products of conception (rpoc) generally. Retained Products Of Conception Radiology Assistant.
From roentgenrayreader.blogspot.com
Roentgen Ray Reader Retained Products of Conception Retained Products Of Conception Radiology Assistant retained products of conception (rpocs) are among the most common causes of secondary postpartum, postmiscarriage, and. retained products of conception after induced abortion or early pregnancy loss are detected most often by ultrasonographic. retained products of conception (pocs) can occur after spontaneous or induced abortion and after. retained products of conception (rpoc) generally result after first. Retained Products Of Conception Radiology Assistant.
From pubs.rsna.org
Physiologic, Histologic, and Imaging Features of Retained Products of Retained Products Of Conception Radiology Assistant retained products of conception after induced abortion or early pregnancy loss are detected most often by ultrasonographic. retained products of conception (rpoc) are a common and treatable complication after delivery or termination of pregnancy. retained products of conception (pocs) can occur after spontaneous or induced abortion and after. retained products of conception (rpocs) are among the. Retained Products Of Conception Radiology Assistant.
From sumerdoc.blogspot.com
Retained Products of Conception Versus DifferentialsMRI Sumer's Retained Products Of Conception Radiology Assistant retained products of conception (pocs) can occur after spontaneous or induced abortion and after. retained products of conception (rpoc) are a common and treatable complication after delivery or termination of pregnancy. retained products of conception (rpocs) are among the most common causes of secondary postpartum, postmiscarriage, and. retained products of conception (rpoc) generally result after first. Retained Products Of Conception Radiology Assistant.
From www.ajronline.org
MR Imaging of Retained Products of Conception AJR Retained Products Of Conception Radiology Assistant retained products of conception (pocs) can occur after spontaneous or induced abortion and after. retained products of conception (rpocs) are among the most common causes of secondary postpartum, postmiscarriage, and. retained products of conception after induced abortion or early pregnancy loss are detected most often by ultrasonographic. retained products of conception (rpoc) generally result after first. Retained Products Of Conception Radiology Assistant.
From pubs.rsna.org
Physiologic, Histologic, and Imaging Features of Retained Products of Retained Products Of Conception Radiology Assistant retained products of conception (rpocs) are among the most common causes of secondary postpartum, postmiscarriage, and. retained products of conception (pocs) can occur after spontaneous or induced abortion and after. retained products of conception (rpoc) generally result after first half of pregnancy termination and also may occur after. retained products of conception after induced abortion or. Retained Products Of Conception Radiology Assistant.
From radiogyan.com
Retained Products Of Conception Radiology Case RadioGyan Retained Products Of Conception Radiology Assistant retained products of conception (rpoc) generally result after first half of pregnancy termination and also may occur after. retained products of conception (rpoc) are a common and treatable complication after delivery or termination of pregnancy. retained products of conception (pocs) can occur after spontaneous or induced abortion and after. retained products of conception after induced abortion. Retained Products Of Conception Radiology Assistant.
From www.mdpi.com
Healthcare Free FullText Conservative Management for Retained Retained Products Of Conception Radiology Assistant retained products of conception (rpoc) generally result after first half of pregnancy termination and also may occur after. retained products of conception (rpocs) are among the most common causes of secondary postpartum, postmiscarriage, and. retained products of conception (rpoc) are a common and treatable complication after delivery or termination of pregnancy. retained products of conception after. Retained Products Of Conception Radiology Assistant.
From rightdecisions.scot.nhs.uk
Retained Products of Conception (RPOC) (677) Right Decisions Retained Products Of Conception Radiology Assistant retained products of conception (rpoc) are a common and treatable complication after delivery or termination of pregnancy. retained products of conception (rpoc) generally result after first half of pregnancy termination and also may occur after. retained products of conception (rpocs) are among the most common causes of secondary postpartum, postmiscarriage, and. retained products of conception after. Retained Products Of Conception Radiology Assistant.
From pubs.rsna.org
Physiologic, Histologic, and Imaging Features of Retained Products of Retained Products Of Conception Radiology Assistant retained products of conception (rpoc) are a common and treatable complication after delivery or termination of pregnancy. retained products of conception (pocs) can occur after spontaneous or induced abortion and after. retained products of conception after induced abortion or early pregnancy loss are detected most often by ultrasonographic. retained products of conception (rpocs) are among the. Retained Products Of Conception Radiology Assistant.
From pubs.rsna.org
Physiologic, Histologic, and Imaging Features of Retained Products of Retained Products Of Conception Radiology Assistant retained products of conception after induced abortion or early pregnancy loss are detected most often by ultrasonographic. retained products of conception (rpoc) generally result after first half of pregnancy termination and also may occur after. retained products of conception (rpoc) are a common and treatable complication after delivery or termination of pregnancy. retained products of conception. Retained Products Of Conception Radiology Assistant.
From www.wikidoc.org
Retained products of conception wikidoc Retained Products Of Conception Radiology Assistant retained products of conception (rpoc) are a common and treatable complication after delivery or termination of pregnancy. retained products of conception (pocs) can occur after spontaneous or induced abortion and after. retained products of conception (rpocs) are among the most common causes of secondary postpartum, postmiscarriage, and. retained products of conception after induced abortion or early. Retained Products Of Conception Radiology Assistant.
From www.wikidoc.org
Retained products of conception wikidoc Retained Products Of Conception Radiology Assistant retained products of conception (rpoc) generally result after first half of pregnancy termination and also may occur after. retained products of conception (rpoc) are a common and treatable complication after delivery or termination of pregnancy. retained products of conception (pocs) can occur after spontaneous or induced abortion and after. retained products of conception after induced abortion. Retained Products Of Conception Radiology Assistant.
From www.volusonclub.net
How Retained Products of Conception Can Impact Fertility Empowered Retained Products Of Conception Radiology Assistant retained products of conception (rpoc) are a common and treatable complication after delivery or termination of pregnancy. retained products of conception after induced abortion or early pregnancy loss are detected most often by ultrasonographic. retained products of conception (rpocs) are among the most common causes of secondary postpartum, postmiscarriage, and. retained products of conception (pocs) can. Retained Products Of Conception Radiology Assistant.
From pubs.rsna.org
Physiologic, Histologic, and Imaging Features of Retained Products of Retained Products Of Conception Radiology Assistant retained products of conception (rpoc) are a common and treatable complication after delivery or termination of pregnancy. retained products of conception (rpocs) are among the most common causes of secondary postpartum, postmiscarriage, and. retained products of conception (pocs) can occur after spontaneous or induced abortion and after. retained products of conception after induced abortion or early. Retained Products Of Conception Radiology Assistant.
From www.youtube.com
Retained Products of Conception Ultrasound YouTube Retained Products Of Conception Radiology Assistant retained products of conception (rpoc) generally result after first half of pregnancy termination and also may occur after. retained products of conception (pocs) can occur after spontaneous or induced abortion and after. retained products of conception after induced abortion or early pregnancy loss are detected most often by ultrasonographic. retained products of conception (rpocs) are among. Retained Products Of Conception Radiology Assistant.
From radiologypics.com
Retained Products of Conception Retained Products Of Conception Radiology Assistant retained products of conception (rpoc) are a common and treatable complication after delivery or termination of pregnancy. retained products of conception (rpoc) generally result after first half of pregnancy termination and also may occur after. retained products of conception after induced abortion or early pregnancy loss are detected most often by ultrasonographic. retained products of conception. Retained Products Of Conception Radiology Assistant.
From pubs.rsna.org
Physiologic, Histologic, and Imaging Features of Retained Products of Retained Products Of Conception Radiology Assistant retained products of conception (rpoc) are a common and treatable complication after delivery or termination of pregnancy. retained products of conception (pocs) can occur after spontaneous or induced abortion and after. retained products of conception (rpocs) are among the most common causes of secondary postpartum, postmiscarriage, and. retained products of conception after induced abortion or early. Retained Products Of Conception Radiology Assistant.
From www.ajronline.org
MR Imaging of Retained Products of Conception AJR Retained Products Of Conception Radiology Assistant retained products of conception after induced abortion or early pregnancy loss are detected most often by ultrasonographic. retained products of conception (rpoc) are a common and treatable complication after delivery or termination of pregnancy. retained products of conception (pocs) can occur after spontaneous or induced abortion and after. retained products of conception (rpoc) generally result after. Retained Products Of Conception Radiology Assistant.
From www.got-blogger.com
Sonography retained products of conception Retained Products Of Conception Radiology Assistant retained products of conception (rpoc) are a common and treatable complication after delivery or termination of pregnancy. retained products of conception (rpocs) are among the most common causes of secondary postpartum, postmiscarriage, and. retained products of conception after induced abortion or early pregnancy loss are detected most often by ultrasonographic. retained products of conception (rpoc) generally. Retained Products Of Conception Radiology Assistant.
From www.researchgate.net
Clinical and imaging predictors of management in retained products of Retained Products Of Conception Radiology Assistant retained products of conception (rpocs) are among the most common causes of secondary postpartum, postmiscarriage, and. retained products of conception after induced abortion or early pregnancy loss are detected most often by ultrasonographic. retained products of conception (rpoc) generally result after first half of pregnancy termination and also may occur after. retained products of conception (rpoc). Retained Products Of Conception Radiology Assistant.
From www.got-blogger.com
Sonography retained products of conception Retained Products Of Conception Radiology Assistant retained products of conception (pocs) can occur after spontaneous or induced abortion and after. retained products of conception (rpoc) are a common and treatable complication after delivery or termination of pregnancy. retained products of conception (rpocs) are among the most common causes of secondary postpartum, postmiscarriage, and. retained products of conception (rpoc) generally result after first. Retained Products Of Conception Radiology Assistant.
From www.wikidoc.org
Retained products of conception wikidoc Retained Products Of Conception Radiology Assistant retained products of conception (rpocs) are among the most common causes of secondary postpartum, postmiscarriage, and. retained products of conception (rpoc) generally result after first half of pregnancy termination and also may occur after. retained products of conception (pocs) can occur after spontaneous or induced abortion and after. retained products of conception after induced abortion or. Retained Products Of Conception Radiology Assistant.
From pubs.rsna.org
Physiologic, Histologic, and Imaging Features of Retained Products of Retained Products Of Conception Radiology Assistant retained products of conception (pocs) can occur after spontaneous or induced abortion and after. retained products of conception (rpoc) are a common and treatable complication after delivery or termination of pregnancy. retained products of conception after induced abortion or early pregnancy loss are detected most often by ultrasonographic. retained products of conception (rpoc) generally result after. Retained Products Of Conception Radiology Assistant.
From www.semanticscholar.org
Best predictors of grayscale ultrasound combined with color Doppler in Retained Products Of Conception Radiology Assistant retained products of conception (rpoc) generally result after first half of pregnancy termination and also may occur after. retained products of conception (rpocs) are among the most common causes of secondary postpartum, postmiscarriage, and. retained products of conception (pocs) can occur after spontaneous or induced abortion and after. retained products of conception (rpoc) are a common. Retained Products Of Conception Radiology Assistant.
From radiologykey.com
Retained Products of Conception Radiology Key Retained Products Of Conception Radiology Assistant retained products of conception (pocs) can occur after spontaneous or induced abortion and after. retained products of conception (rpoc) are a common and treatable complication after delivery or termination of pregnancy. retained products of conception (rpoc) generally result after first half of pregnancy termination and also may occur after. retained products of conception (rpocs) are among. Retained Products Of Conception Radiology Assistant.
From exowmcxbh.blob.core.windows.net
Retained Products Of Conception Ct Radiology at Maria Dagostino blog Retained Products Of Conception Radiology Assistant retained products of conception (pocs) can occur after spontaneous or induced abortion and after. retained products of conception after induced abortion or early pregnancy loss are detected most often by ultrasonographic. retained products of conception (rpoc) generally result after first half of pregnancy termination and also may occur after. retained products of conception (rpocs) are among. Retained Products Of Conception Radiology Assistant.
From www.ajronline.org
MR Imaging of Retained Products of Conception AJR Retained Products Of Conception Radiology Assistant retained products of conception (rpoc) generally result after first half of pregnancy termination and also may occur after. retained products of conception (rpoc) are a common and treatable complication after delivery or termination of pregnancy. retained products of conception (pocs) can occur after spontaneous or induced abortion and after. retained products of conception (rpocs) are among. Retained Products Of Conception Radiology Assistant.
From radiologykey.com
Retained Products of Conception Radiology Key Retained Products Of Conception Radiology Assistant retained products of conception after induced abortion or early pregnancy loss are detected most often by ultrasonographic. retained products of conception (pocs) can occur after spontaneous or induced abortion and after. retained products of conception (rpocs) are among the most common causes of secondary postpartum, postmiscarriage, and. retained products of conception (rpoc) are a common and. Retained Products Of Conception Radiology Assistant.
From pubs.rsna.org
Physiologic, Histologic, and Imaging Features of Retained Products of Retained Products Of Conception Radiology Assistant retained products of conception after induced abortion or early pregnancy loss are detected most often by ultrasonographic. retained products of conception (rpoc) generally result after first half of pregnancy termination and also may occur after. retained products of conception (pocs) can occur after spontaneous or induced abortion and after. retained products of conception (rpocs) are among. Retained Products Of Conception Radiology Assistant.
From pubs.rsna.org
Physiologic, Histologic, and Imaging Features of Retained Products of Retained Products Of Conception Radiology Assistant retained products of conception (rpoc) are a common and treatable complication after delivery or termination of pregnancy. retained products of conception (pocs) can occur after spontaneous or induced abortion and after. retained products of conception (rpoc) generally result after first half of pregnancy termination and also may occur after. retained products of conception after induced abortion. Retained Products Of Conception Radiology Assistant.
From www.ajog.org
Expectant vs medical management for retained products of conception Retained Products Of Conception Radiology Assistant retained products of conception after induced abortion or early pregnancy loss are detected most often by ultrasonographic. retained products of conception (pocs) can occur after spontaneous or induced abortion and after. retained products of conception (rpoc) generally result after first half of pregnancy termination and also may occur after. retained products of conception (rpoc) are a. Retained Products Of Conception Radiology Assistant.
From www.researchgate.net
Retained products of conception. Contrastenhanced CT image shows Retained Products Of Conception Radiology Assistant retained products of conception after induced abortion or early pregnancy loss are detected most often by ultrasonographic. retained products of conception (rpocs) are among the most common causes of secondary postpartum, postmiscarriage, and. retained products of conception (rpoc) generally result after first half of pregnancy termination and also may occur after. retained products of conception (pocs). Retained Products Of Conception Radiology Assistant.