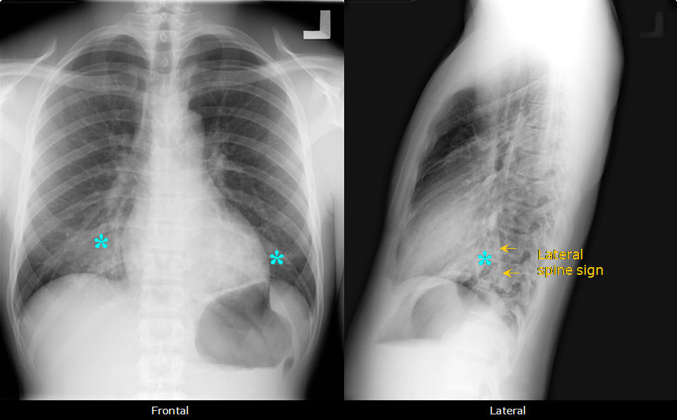
What Is A Spine Sign . spinal stenosis is the narrowing of one or more spaces within your spinal canal. aerated lung and most pleural effusions show up dark grey on ultrasound which is why the spine sign is so helpful. ankylosing spondylitis, also known as axial spondyloarthritis, is an inflammatory disease that, over time, can cause some of the bones in the spine,. what is it? the spine sign occurs when consolidation is superimposed on the spine on the lateral view with loss of the normal increased lucency of the lower. In patients without a pleural effusion.
from radiologykey.com
aerated lung and most pleural effusions show up dark grey on ultrasound which is why the spine sign is so helpful. spinal stenosis is the narrowing of one or more spaces within your spinal canal. ankylosing spondylitis, also known as axial spondyloarthritis, is an inflammatory disease that, over time, can cause some of the bones in the spine,. In patients without a pleural effusion. what is it? the spine sign occurs when consolidation is superimposed on the spine on the lateral view with loss of the normal increased lucency of the lower.
Lumbosacral Spine MRI Radiology Key
What Is A Spine Sign spinal stenosis is the narrowing of one or more spaces within your spinal canal. spinal stenosis is the narrowing of one or more spaces within your spinal canal. what is it? In patients without a pleural effusion. aerated lung and most pleural effusions show up dark grey on ultrasound which is why the spine sign is so helpful. ankylosing spondylitis, also known as axial spondyloarthritis, is an inflammatory disease that, over time, can cause some of the bones in the spine,. the spine sign occurs when consolidation is superimposed on the spine on the lateral view with loss of the normal increased lucency of the lower.
From www.vectorstock.com
Spinal sign Royalty Free Vector Image VectorStock What Is A Spine Sign ankylosing spondylitis, also known as axial spondyloarthritis, is an inflammatory disease that, over time, can cause some of the bones in the spine,. spinal stenosis is the narrowing of one or more spaces within your spinal canal. the spine sign occurs when consolidation is superimposed on the spine on the lateral view with loss of the normal. What Is A Spine Sign.
From rk.md
Ultrasound Pleural Effusion And Spine Sign RK.MD What Is A Spine Sign aerated lung and most pleural effusions show up dark grey on ultrasound which is why the spine sign is so helpful. what is it? In patients without a pleural effusion. ankylosing spondylitis, also known as axial spondyloarthritis, is an inflammatory disease that, over time, can cause some of the bones in the spine,. spinal stenosis is. What Is A Spine Sign.
From nephropocus.com
Pleural effusion The ‘Spine sign’ NephroPOCUS What Is A Spine Sign what is it? ankylosing spondylitis, also known as axial spondyloarthritis, is an inflammatory disease that, over time, can cause some of the bones in the spine,. In patients without a pleural effusion. aerated lung and most pleural effusions show up dark grey on ultrasound which is why the spine sign is so helpful. the spine sign. What Is A Spine Sign.
From www.ultrasoundgel.org
Ultrasound GEL What Is A Spine Sign aerated lung and most pleural effusions show up dark grey on ultrasound which is why the spine sign is so helpful. the spine sign occurs when consolidation is superimposed on the spine on the lateral view with loss of the normal increased lucency of the lower. what is it? In patients without a pleural effusion. ankylosing. What Is A Spine Sign.
From premiaspine.com
Spinal Stenosis Grades and Treatment Options Premia Spine What Is A Spine Sign In patients without a pleural effusion. the spine sign occurs when consolidation is superimposed on the spine on the lateral view with loss of the normal increased lucency of the lower. spinal stenosis is the narrowing of one or more spaces within your spinal canal. ankylosing spondylitis, also known as axial spondyloarthritis, is an inflammatory disease that,. What Is A Spine Sign.
From www.aptivahealth.com
Spinal Stenosis Aptiva Health What Is A Spine Sign aerated lung and most pleural effusions show up dark grey on ultrasound which is why the spine sign is so helpful. spinal stenosis is the narrowing of one or more spaces within your spinal canal. ankylosing spondylitis, also known as axial spondyloarthritis, is an inflammatory disease that, over time, can cause some of the bones in the. What Is A Spine Sign.
From www.dreamstime.com
Human spine sign stock vector. Illustration of body, label 67145387 What Is A Spine Sign In patients without a pleural effusion. aerated lung and most pleural effusions show up dark grey on ultrasound which is why the spine sign is so helpful. the spine sign occurs when consolidation is superimposed on the spine on the lateral view with loss of the normal increased lucency of the lower. spinal stenosis is the narrowing. What Is A Spine Sign.
From www.dreamstime.com
Human Spine Sign, Spine Structure Icon Stock Vector Illustration of organ, dorsal 146064286 What Is A Spine Sign ankylosing spondylitis, also known as axial spondyloarthritis, is an inflammatory disease that, over time, can cause some of the bones in the spine,. aerated lung and most pleural effusions show up dark grey on ultrasound which is why the spine sign is so helpful. In patients without a pleural effusion. the spine sign occurs when consolidation is. What Is A Spine Sign.
From radiologykey.com
Lumbosacral Spine MRI Radiology Key What Is A Spine Sign In patients without a pleural effusion. what is it? aerated lung and most pleural effusions show up dark grey on ultrasound which is why the spine sign is so helpful. spinal stenosis is the narrowing of one or more spaces within your spinal canal. the spine sign occurs when consolidation is superimposed on the spine on. What Is A Spine Sign.
From spineconnection.org
Spinal Stenosis Causes, Symptoms & Treatments What Is A Spine Sign ankylosing spondylitis, also known as axial spondyloarthritis, is an inflammatory disease that, over time, can cause some of the bones in the spine,. spinal stenosis is the narrowing of one or more spaces within your spinal canal. the spine sign occurs when consolidation is superimposed on the spine on the lateral view with loss of the normal. What Is A Spine Sign.
From radiopaedia.org
Spine and silhouette signs due to right lower lobe pneumonia Image What Is A Spine Sign In patients without a pleural effusion. ankylosing spondylitis, also known as axial spondyloarthritis, is an inflammatory disease that, over time, can cause some of the bones in the spine,. aerated lung and most pleural effusions show up dark grey on ultrasound which is why the spine sign is so helpful. spinal stenosis is the narrowing of one. What Is A Spine Sign.
From stanfordmedicine25.stanford.edu
The Spine Sign Stanford Medicine 25 Stanford Medicine What Is A Spine Sign aerated lung and most pleural effusions show up dark grey on ultrasound which is why the spine sign is so helpful. In patients without a pleural effusion. what is it? ankylosing spondylitis, also known as axial spondyloarthritis, is an inflammatory disease that, over time, can cause some of the bones in the spine,. spinal stenosis is. What Is A Spine Sign.
From www.pinterest.fr
Healing the Spine A Guide to Spine Injuries HPFY Reflexology chart, Reflexology, Human spine What Is A Spine Sign the spine sign occurs when consolidation is superimposed on the spine on the lateral view with loss of the normal increased lucency of the lower. aerated lung and most pleural effusions show up dark grey on ultrasound which is why the spine sign is so helpful. In patients without a pleural effusion. what is it? spinal. What Is A Spine Sign.
From infographicplaza.com
All About Spinal Stenosis [INFOGRAPHIC] Infographic Plaza What Is A Spine Sign ankylosing spondylitis, also known as axial spondyloarthritis, is an inflammatory disease that, over time, can cause some of the bones in the spine,. aerated lung and most pleural effusions show up dark grey on ultrasound which is why the spine sign is so helpful. the spine sign occurs when consolidation is superimposed on the spine on the. What Is A Spine Sign.
From www.backpaininsider.com
What are the Signs of Spinal Stenosis? » Back Pain Insider What Is A Spine Sign the spine sign occurs when consolidation is superimposed on the spine on the lateral view with loss of the normal increased lucency of the lower. aerated lung and most pleural effusions show up dark grey on ultrasound which is why the spine sign is so helpful. what is it? spinal stenosis is the narrowing of one. What Is A Spine Sign.
From draxe.com
Spinal Stenosis Symptoms, Causes & Treatments Dr. Axe What Is A Spine Sign what is it? the spine sign occurs when consolidation is superimposed on the spine on the lateral view with loss of the normal increased lucency of the lower. aerated lung and most pleural effusions show up dark grey on ultrasound which is why the spine sign is so helpful. spinal stenosis is the narrowing of one. What Is A Spine Sign.
From www.lullysleep.com
How to Sleep With Scoliosis (Helpful Tips Included) Lully Sleep What Is A Spine Sign spinal stenosis is the narrowing of one or more spaces within your spinal canal. what is it? ankylosing spondylitis, also known as axial spondyloarthritis, is an inflammatory disease that, over time, can cause some of the bones in the spine,. In patients without a pleural effusion. the spine sign occurs when consolidation is superimposed on the. What Is A Spine Sign.
From drarunrajeswaran.com
What are the signs that indicate the need for spine surgery? What Is A Spine Sign what is it? ankylosing spondylitis, also known as axial spondyloarthritis, is an inflammatory disease that, over time, can cause some of the bones in the spine,. In patients without a pleural effusion. spinal stenosis is the narrowing of one or more spaces within your spinal canal. aerated lung and most pleural effusions show up dark grey. What Is A Spine Sign.
From www.youtube.com
The Spine Sign YouTube What Is A Spine Sign what is it? spinal stenosis is the narrowing of one or more spaces within your spinal canal. ankylosing spondylitis, also known as axial spondyloarthritis, is an inflammatory disease that, over time, can cause some of the bones in the spine,. the spine sign occurs when consolidation is superimposed on the spine on the lateral view with. What Is A Spine Sign.
From learningradiology.com
Learning Radiology Spine Sign What Is A Spine Sign In patients without a pleural effusion. aerated lung and most pleural effusions show up dark grey on ultrasound which is why the spine sign is so helpful. the spine sign occurs when consolidation is superimposed on the spine on the lateral view with loss of the normal increased lucency of the lower. ankylosing spondylitis, also known as. What Is A Spine Sign.
From www.vectorstock.com
Diagram of a human spine in front and side Vector Image What Is A Spine Sign spinal stenosis is the narrowing of one or more spaces within your spinal canal. In patients without a pleural effusion. aerated lung and most pleural effusions show up dark grey on ultrasound which is why the spine sign is so helpful. the spine sign occurs when consolidation is superimposed on the spine on the lateral view with. What Is A Spine Sign.
From cprfirstaid.com.au
First Aid Charts And Resources CPR First Aid What Is A Spine Sign what is it? In patients without a pleural effusion. spinal stenosis is the narrowing of one or more spaces within your spinal canal. the spine sign occurs when consolidation is superimposed on the spine on the lateral view with loss of the normal increased lucency of the lower. aerated lung and most pleural effusions show up. What Is A Spine Sign.
From www.spinalcord.com
Lumbar Spine Injury L1L5 Spinal Cord What Is A Spine Sign ankylosing spondylitis, also known as axial spondyloarthritis, is an inflammatory disease that, over time, can cause some of the bones in the spine,. spinal stenosis is the narrowing of one or more spaces within your spinal canal. what is it? the spine sign occurs when consolidation is superimposed on the spine on the lateral view with. What Is A Spine Sign.
From nephropocus.com
Pleural effusion The ‘Spine sign’ NephroPOCUS What Is A Spine Sign spinal stenosis is the narrowing of one or more spaces within your spinal canal. the spine sign occurs when consolidation is superimposed on the spine on the lateral view with loss of the normal increased lucency of the lower. aerated lung and most pleural effusions show up dark grey on ultrasound which is why the spine sign. What Is A Spine Sign.
From www.dreamstime.com
Spine Human Graphic Sign in the Circle Stock Vector Illustration of chiropractic, emblem What Is A Spine Sign In patients without a pleural effusion. spinal stenosis is the narrowing of one or more spaces within your spinal canal. what is it? ankylosing spondylitis, also known as axial spondyloarthritis, is an inflammatory disease that, over time, can cause some of the bones in the spine,. aerated lung and most pleural effusions show up dark grey. What Is A Spine Sign.
From www.drjameswebb.com
Did You Know That Up to 70 of Spine Fractures Remain Undiagnosed? Dr. James b What Is A Spine Sign In patients without a pleural effusion. what is it? spinal stenosis is the narrowing of one or more spaces within your spinal canal. the spine sign occurs when consolidation is superimposed on the spine on the lateral view with loss of the normal increased lucency of the lower. aerated lung and most pleural effusions show up. What Is A Spine Sign.
From www.alamy.com
Spine icon. Monochrome simple sign from anatomy collection. Spine icon for logo, templates, web What Is A Spine Sign the spine sign occurs when consolidation is superimposed on the spine on the lateral view with loss of the normal increased lucency of the lower. what is it? aerated lung and most pleural effusions show up dark grey on ultrasound which is why the spine sign is so helpful. In patients without a pleural effusion. spinal. What Is A Spine Sign.
From www.pinterest.com
Spine sign Signs, Radiology, Tech company logos What Is A Spine Sign what is it? ankylosing spondylitis, also known as axial spondyloarthritis, is an inflammatory disease that, over time, can cause some of the bones in the spine,. In patients without a pleural effusion. spinal stenosis is the narrowing of one or more spaces within your spinal canal. the spine sign occurs when consolidation is superimposed on the. What Is A Spine Sign.
From radiologyspirit.blogspot.com
RadiologySpirit What Is A Spine Sign the spine sign occurs when consolidation is superimposed on the spine on the lateral view with loss of the normal increased lucency of the lower. ankylosing spondylitis, also known as axial spondyloarthritis, is an inflammatory disease that, over time, can cause some of the bones in the spine,. In patients without a pleural effusion. aerated lung and. What Is A Spine Sign.
From www.ecrater.com
Signs of Spinal Misalignment Poster Wall Chart Chiropractic 18 X 24 What Is A Spine Sign the spine sign occurs when consolidation is superimposed on the spine on the lateral view with loss of the normal increased lucency of the lower. In patients without a pleural effusion. spinal stenosis is the narrowing of one or more spaces within your spinal canal. what is it? ankylosing spondylitis, also known as axial spondyloarthritis, is. What Is A Spine Sign.
From www.slideserve.com
PPT Pneumonia 101 PowerPoint Presentation, free download ID2238807 What Is A Spine Sign In patients without a pleural effusion. what is it? the spine sign occurs when consolidation is superimposed on the spine on the lateral view with loss of the normal increased lucency of the lower. ankylosing spondylitis, also known as axial spondyloarthritis, is an inflammatory disease that, over time, can cause some of the bones in the spine,.. What Is A Spine Sign.
From radiologykey.com
Lumbosacral Spine Plain Radiographs Radiology Key What Is A Spine Sign spinal stenosis is the narrowing of one or more spaces within your spinal canal. aerated lung and most pleural effusions show up dark grey on ultrasound which is why the spine sign is so helpful. the spine sign occurs when consolidation is superimposed on the spine on the lateral view with loss of the normal increased lucency. What Is A Spine Sign.
From www.istockphoto.com
Spinal Sign Stock Illustration Download Image Now Spine Body Part, Human Vertebra, In What Is A Spine Sign the spine sign occurs when consolidation is superimposed on the spine on the lateral view with loss of the normal increased lucency of the lower. spinal stenosis is the narrowing of one or more spaces within your spinal canal. In patients without a pleural effusion. what is it? ankylosing spondylitis, also known as axial spondyloarthritis, is. What Is A Spine Sign.
From www.nyspine.com
Signs and Symptoms of Spinal Stenosis What Is A Spine Sign In patients without a pleural effusion. the spine sign occurs when consolidation is superimposed on the spine on the lateral view with loss of the normal increased lucency of the lower. aerated lung and most pleural effusions show up dark grey on ultrasound which is why the spine sign is so helpful. ankylosing spondylitis, also known as. What Is A Spine Sign.
From pngtree.com
Spine Symbol Illustration Sign Bone Chiropractic Vector, Sign, Bone, Chiropractic PNG and Vector What Is A Spine Sign ankylosing spondylitis, also known as axial spondyloarthritis, is an inflammatory disease that, over time, can cause some of the bones in the spine,. what is it? spinal stenosis is the narrowing of one or more spaces within your spinal canal. the spine sign occurs when consolidation is superimposed on the spine on the lateral view with. What Is A Spine Sign.