What Does Root Canal Infection Taste Like . A persistent foul taste or odor in the mouth, particularly near the affected tooth, may be a sign of pus or. foul taste or odor: first, if you notice a foul odor or taste in your mouth, it could be a sign of an infection. posted on 19 jan 2023. Not only can this create a foul taste, but you might also detect an unpleasant odour, signalling an infection. Keep reading to learn more about the symptoms that may indicate you need a root canal. What is a root canal? Once an endodontist has accessed a tooth and cleaned out all the. Third, swelling or tenderness in the gums around the treated tooth may be an indication of infection. It is incredibly rare for complications to occur after the treatment, but there is still a small chance of infection taking root. are there telltale signs? sodium hypochlorite leaves a lingering taste. Root canals are a safe and common procedure for those who need the inner layer of their tooth repaired. Second, heightened sensitivity to hot or cold temperatures could indicate an underlying problem.
from dentistforlife.net
Keep reading to learn more about the symptoms that may indicate you need a root canal. Second, heightened sensitivity to hot or cold temperatures could indicate an underlying problem. posted on 19 jan 2023. Root canals are a safe and common procedure for those who need the inner layer of their tooth repaired. first, if you notice a foul odor or taste in your mouth, it could be a sign of an infection. Once an endodontist has accessed a tooth and cleaned out all the. foul taste or odor: Not only can this create a foul taste, but you might also detect an unpleasant odour, signalling an infection. Third, swelling or tenderness in the gums around the treated tooth may be an indication of infection. sodium hypochlorite leaves a lingering taste.
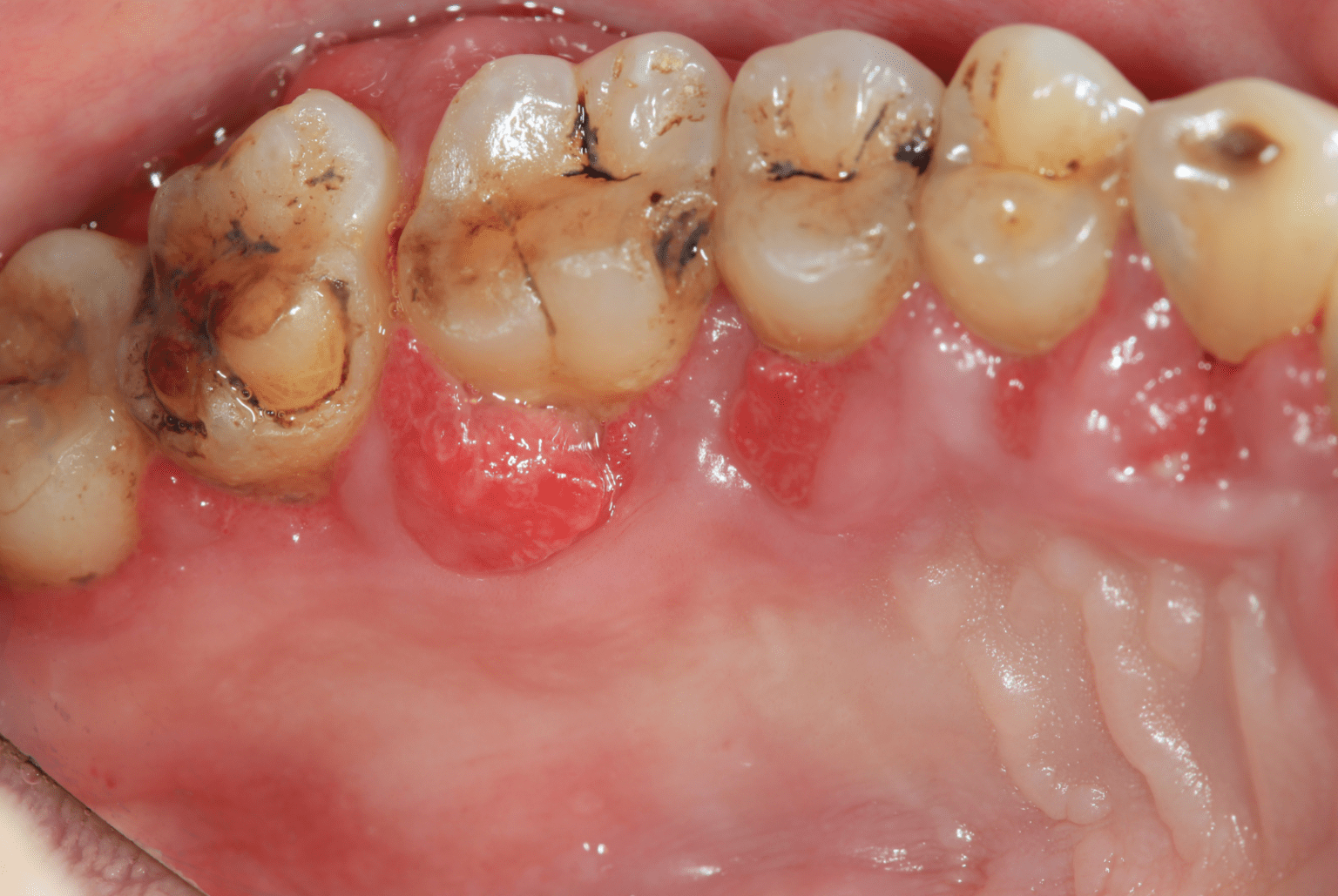
Recognizing the Signs of Infection After Root Canal Treatment
What Does Root Canal Infection Taste Like first, if you notice a foul odor or taste in your mouth, it could be a sign of an infection. Not only can this create a foul taste, but you might also detect an unpleasant odour, signalling an infection. first, if you notice a foul odor or taste in your mouth, it could be a sign of an infection. Once an endodontist has accessed a tooth and cleaned out all the. sodium hypochlorite leaves a lingering taste. What is a root canal? A persistent foul taste or odor in the mouth, particularly near the affected tooth, may be a sign of pus or. Second, heightened sensitivity to hot or cold temperatures could indicate an underlying problem. posted on 19 jan 2023. Root canals are a safe and common procedure for those who need the inner layer of their tooth repaired. Third, swelling or tenderness in the gums around the treated tooth may be an indication of infection. are there telltale signs? It is incredibly rare for complications to occur after the treatment, but there is still a small chance of infection taking root. Keep reading to learn more about the symptoms that may indicate you need a root canal. foul taste or odor:
From www.dickersondentalgroup.com
Root Canal Therapy Randolph NJ Dickerson Dental Group What Does Root Canal Infection Taste Like sodium hypochlorite leaves a lingering taste. Third, swelling or tenderness in the gums around the treated tooth may be an indication of infection. first, if you notice a foul odor or taste in your mouth, it could be a sign of an infection. posted on 19 jan 2023. It is incredibly rare for complications to occur after. What Does Root Canal Infection Taste Like.
From www.silversfamilydental.com
Root Canal vs Tooth Extraction Harrisburg, PA Infected Teeth Treatments What Does Root Canal Infection Taste Like sodium hypochlorite leaves a lingering taste. foul taste or odor: Not only can this create a foul taste, but you might also detect an unpleasant odour, signalling an infection. What is a root canal? first, if you notice a foul odor or taste in your mouth, it could be a sign of an infection. Third, swelling or. What Does Root Canal Infection Taste Like.
From www.yashodahospitals.com
What is a Root Canal and do you need it? Root Canal Treatment in What Does Root Canal Infection Taste Like Keep reading to learn more about the symptoms that may indicate you need a root canal. It is incredibly rare for complications to occur after the treatment, but there is still a small chance of infection taking root. Not only can this create a foul taste, but you might also detect an unpleasant odour, signalling an infection. Second, heightened sensitivity. What Does Root Canal Infection Taste Like.
From dentistforlife.net
Recognizing the Signs of Infection After Root Canal Treatment What Does Root Canal Infection Taste Like Once an endodontist has accessed a tooth and cleaned out all the. posted on 19 jan 2023. Keep reading to learn more about the symptoms that may indicate you need a root canal. What is a root canal? Third, swelling or tenderness in the gums around the treated tooth may be an indication of infection. A persistent foul taste. What Does Root Canal Infection Taste Like.
From myholisticdentist.com
How to Resolve a Root Canal Infection A Pardigm Shift Integrative What Does Root Canal Infection Taste Like It is incredibly rare for complications to occur after the treatment, but there is still a small chance of infection taking root. are there telltale signs? What is a root canal? A persistent foul taste or odor in the mouth, particularly near the affected tooth, may be a sign of pus or. Root canals are a safe and common. What Does Root Canal Infection Taste Like.
From www.mcomiedentistry.com
Endodontics Root Canals Chattanooga, TN Family Dentistry What Does Root Canal Infection Taste Like A persistent foul taste or odor in the mouth, particularly near the affected tooth, may be a sign of pus or. Root canals are a safe and common procedure for those who need the inner layer of their tooth repaired. are there telltale signs? foul taste or odor: Third, swelling or tenderness in the gums around the treated. What Does Root Canal Infection Taste Like.
From www.parksidedentist.com
History of Root Canals Parkside Family Dental Cary, North Carolina What Does Root Canal Infection Taste Like posted on 19 jan 2023. Not only can this create a foul taste, but you might also detect an unpleasant odour, signalling an infection. are there telltale signs? Root canals are a safe and common procedure for those who need the inner layer of their tooth repaired. Keep reading to learn more about the symptoms that may indicate. What Does Root Canal Infection Taste Like.
From smilliedental.com
Do Root Canals Hurt? What to Expect After You Get Root Canal Therapy What Does Root Canal Infection Taste Like foul taste or odor: It is incredibly rare for complications to occur after the treatment, but there is still a small chance of infection taking root. posted on 19 jan 2023. Root canals are a safe and common procedure for those who need the inner layer of their tooth repaired. sodium hypochlorite leaves a lingering taste. Third,. What Does Root Canal Infection Taste Like.
From www.kimberlyasuterdds.com
Root Canals in Sterling, CO Kimberly A. Suter, DDS, PC What Does Root Canal Infection Taste Like Keep reading to learn more about the symptoms that may indicate you need a root canal. What is a root canal? It is incredibly rare for complications to occur after the treatment, but there is still a small chance of infection taking root. Second, heightened sensitivity to hot or cold temperatures could indicate an underlying problem. Root canals are a. What Does Root Canal Infection Taste Like.
From myholisticdentist.com
What Causes Root Canal Infections and Failure? Integrative Dentistry What Does Root Canal Infection Taste Like What is a root canal? Second, heightened sensitivity to hot or cold temperatures could indicate an underlying problem. Keep reading to learn more about the symptoms that may indicate you need a root canal. Third, swelling or tenderness in the gums around the treated tooth may be an indication of infection. Root canals are a safe and common procedure for. What Does Root Canal Infection Taste Like.
From www.sriramakrishnahospital.com
Comparing Tooth Extraction vs Root Canal What's the Difference? Sri What Does Root Canal Infection Taste Like Not only can this create a foul taste, but you might also detect an unpleasant odour, signalling an infection. Root canals are a safe and common procedure for those who need the inner layer of their tooth repaired. It is incredibly rare for complications to occur after the treatment, but there is still a small chance of infection taking root.. What Does Root Canal Infection Taste Like.
From www.teethtalkgirl.com
5 Stages Of An Abscessed Tooth & What To Do What Does Root Canal Infection Taste Like first, if you notice a foul odor or taste in your mouth, it could be a sign of an infection. Keep reading to learn more about the symptoms that may indicate you need a root canal. What is a root canal? Root canals are a safe and common procedure for those who need the inner layer of their tooth. What Does Root Canal Infection Taste Like.
From myholisticdentist.com
Infected Root Canals and What To Do About Them Integrative Dentistry What Does Root Canal Infection Taste Like It is incredibly rare for complications to occur after the treatment, but there is still a small chance of infection taking root. posted on 19 jan 2023. A persistent foul taste or odor in the mouth, particularly near the affected tooth, may be a sign of pus or. Second, heightened sensitivity to hot or cold temperatures could indicate an. What Does Root Canal Infection Taste Like.
From icardandstreinfamilydentistry.com
When Do You Need a Root Canal Icard & Strein Family Dentistry What Does Root Canal Infection Taste Like posted on 19 jan 2023. foul taste or odor: Root canals are a safe and common procedure for those who need the inner layer of their tooth repaired. sodium hypochlorite leaves a lingering taste. are there telltale signs? Keep reading to learn more about the symptoms that may indicate you need a root canal. It is. What Does Root Canal Infection Taste Like.
From brightsmilepowell.com
Infected Root Canal XRay What is it and how much does it cost? What Does Root Canal Infection Taste Like It is incredibly rare for complications to occur after the treatment, but there is still a small chance of infection taking root. A persistent foul taste or odor in the mouth, particularly near the affected tooth, may be a sign of pus or. What is a root canal? posted on 19 jan 2023. Root canals are a safe and. What Does Root Canal Infection Taste Like.
From www.belldentalsmiles.com
Root Canal Lake Jackson, TX Bell Dental What Does Root Canal Infection Taste Like Once an endodontist has accessed a tooth and cleaned out all the. Root canals are a safe and common procedure for those who need the inner layer of their tooth repaired. It is incredibly rare for complications to occur after the treatment, but there is still a small chance of infection taking root. What is a root canal? first,. What Does Root Canal Infection Taste Like.
From exotrzbgb.blob.core.windows.net
Irrigation Sequence In Root Canal Treatment at David Mroz blog What Does Root Canal Infection Taste Like Not only can this create a foul taste, but you might also detect an unpleasant odour, signalling an infection. Third, swelling or tenderness in the gums around the treated tooth may be an indication of infection. first, if you notice a foul odor or taste in your mouth, it could be a sign of an infection. Root canals are. What Does Root Canal Infection Taste Like.
From www.arcadedentaltx.com
What to Do If a Root Canal Gets Infected? What Does Root Canal Infection Taste Like Once an endodontist has accessed a tooth and cleaned out all the. A persistent foul taste or odor in the mouth, particularly near the affected tooth, may be a sign of pus or. sodium hypochlorite leaves a lingering taste. first, if you notice a foul odor or taste in your mouth, it could be a sign of an. What Does Root Canal Infection Taste Like.
From adalyadentalclinic.com
Symptoms of Infected Root Canal 7 Signs of Infected Root Canal What Does Root Canal Infection Taste Like Once an endodontist has accessed a tooth and cleaned out all the. sodium hypochlorite leaves a lingering taste. first, if you notice a foul odor or taste in your mouth, it could be a sign of an infection. Third, swelling or tenderness in the gums around the treated tooth may be an indication of infection. What is a. What Does Root Canal Infection Taste Like.
From www.deardoctor.com
Confusing Tooth Pain What Does Root Canal Infection Taste Like Once an endodontist has accessed a tooth and cleaned out all the. What is a root canal? Third, swelling or tenderness in the gums around the treated tooth may be an indication of infection. Keep reading to learn more about the symptoms that may indicate you need a root canal. Not only can this create a foul taste, but you. What Does Root Canal Infection Taste Like.
From www.bluewaterdentists.com
Root Canals Blue Water Dental Langley What Does Root Canal Infection Taste Like A persistent foul taste or odor in the mouth, particularly near the affected tooth, may be a sign of pus or. What is a root canal? Not only can this create a foul taste, but you might also detect an unpleasant odour, signalling an infection. foul taste or odor: sodium hypochlorite leaves a lingering taste. Root canals are. What Does Root Canal Infection Taste Like.
From sandiegoinvisaligndentist.org
Can a root canal get infected years later? Dental News Network What Does Root Canal Infection Taste Like Third, swelling or tenderness in the gums around the treated tooth may be an indication of infection. first, if you notice a foul odor or taste in your mouth, it could be a sign of an infection. It is incredibly rare for complications to occur after the treatment, but there is still a small chance of infection taking root.. What Does Root Canal Infection Taste Like.
From drquadri.com
Symptoms for a Root Canal All About the Root Canal Therapy Dental Clinic What Does Root Canal Infection Taste Like Third, swelling or tenderness in the gums around the treated tooth may be an indication of infection. A persistent foul taste or odor in the mouth, particularly near the affected tooth, may be a sign of pus or. Once an endodontist has accessed a tooth and cleaned out all the. sodium hypochlorite leaves a lingering taste. What is a. What Does Root Canal Infection Taste Like.
From www.drtimgillespie.com
Root Canal Awareness Week Your Dentists in Asheville, NC What Does Root Canal Infection Taste Like Once an endodontist has accessed a tooth and cleaned out all the. first, if you notice a foul odor or taste in your mouth, it could be a sign of an infection. Second, heightened sensitivity to hot or cold temperatures could indicate an underlying problem. foul taste or odor: sodium hypochlorite leaves a lingering taste. are. What Does Root Canal Infection Taste Like.
From www.docspray.com
Root Canal Therapy Little Rock, AR Restorative Dentistry Dr. Ray What Does Root Canal Infection Taste Like A persistent foul taste or odor in the mouth, particularly near the affected tooth, may be a sign of pus or. Root canals are a safe and common procedure for those who need the inner layer of their tooth repaired. are there telltale signs? Not only can this create a foul taste, but you might also detect an unpleasant. What Does Root Canal Infection Taste Like.
From eprnews.com
Root Canal Infection From the Appearance of the First Symptoms to What Does Root Canal Infection Taste Like Second, heightened sensitivity to hot or cold temperatures could indicate an underlying problem. It is incredibly rare for complications to occur after the treatment, but there is still a small chance of infection taking root. Root canals are a safe and common procedure for those who need the inner layer of their tooth repaired. Third, swelling or tenderness in the. What Does Root Canal Infection Taste Like.
From parksidedentist.co.nz
Root Canal Treatment Dentist Parkside What Does Root Canal Infection Taste Like posted on 19 jan 2023. first, if you notice a foul odor or taste in your mouth, it could be a sign of an infection. Not only can this create a foul taste, but you might also detect an unpleasant odour, signalling an infection. Root canals are a safe and common procedure for those who need the inner. What Does Root Canal Infection Taste Like.
From www.slideshare.net
What is root canal infection What Does Root Canal Infection Taste Like foul taste or odor: Not only can this create a foul taste, but you might also detect an unpleasant odour, signalling an infection. Second, heightened sensitivity to hot or cold temperatures could indicate an underlying problem. Keep reading to learn more about the symptoms that may indicate you need a root canal. A persistent foul taste or odor in. What Does Root Canal Infection Taste Like.
From www.youtube.com
Can Getting a Root Canals Have Dangerous Side Effects? YouTube What Does Root Canal Infection Taste Like first, if you notice a foul odor or taste in your mouth, it could be a sign of an infection. posted on 19 jan 2023. It is incredibly rare for complications to occur after the treatment, but there is still a small chance of infection taking root. What is a root canal? Second, heightened sensitivity to hot or. What Does Root Canal Infection Taste Like.
From www.vanguarddentistry.com
Root Canal Springfield MA Crowns, Endodontics, Pulpotomy Wilbraham What Does Root Canal Infection Taste Like It is incredibly rare for complications to occur after the treatment, but there is still a small chance of infection taking root. sodium hypochlorite leaves a lingering taste. Second, heightened sensitivity to hot or cold temperatures could indicate an underlying problem. Once an endodontist has accessed a tooth and cleaned out all the. are there telltale signs? . What Does Root Canal Infection Taste Like.
From anticancer360.com
What You Need To Know About Root Canals And Cancer (Science) What Does Root Canal Infection Taste Like foul taste or odor: Keep reading to learn more about the symptoms that may indicate you need a root canal. sodium hypochlorite leaves a lingering taste. It is incredibly rare for complications to occur after the treatment, but there is still a small chance of infection taking root. Not only can this create a foul taste, but you. What Does Root Canal Infection Taste Like.
From exopvdrso.blob.core.windows.net
Root Canal Sessions Required at Mark Caswell blog What Does Root Canal Infection Taste Like Root canals are a safe and common procedure for those who need the inner layer of their tooth repaired. Second, heightened sensitivity to hot or cold temperatures could indicate an underlying problem. What is a root canal? first, if you notice a foul odor or taste in your mouth, it could be a sign of an infection. sodium. What Does Root Canal Infection Taste Like.
From www.venturadentist.net
Root Canal Treatment Channel Island Family Dental Ventura What Does Root Canal Infection Taste Like Keep reading to learn more about the symptoms that may indicate you need a root canal. Not only can this create a foul taste, but you might also detect an unpleasant odour, signalling an infection. Third, swelling or tenderness in the gums around the treated tooth may be an indication of infection. A persistent foul taste or odor in the. What Does Root Canal Infection Taste Like.
From www.springvaledental.com.au
Root Canal Infection Cause and Prevention Springvale Dental Clinic What Does Root Canal Infection Taste Like posted on 19 jan 2023. sodium hypochlorite leaves a lingering taste. foul taste or odor: Root canals are a safe and common procedure for those who need the inner layer of their tooth repaired. Once an endodontist has accessed a tooth and cleaned out all the. It is incredibly rare for complications to occur after the treatment,. What Does Root Canal Infection Taste Like.
From www.liendodontics.com
5 Signs That Show You Have A Root Canal Infection What Does Root Canal Infection Taste Like first, if you notice a foul odor or taste in your mouth, it could be a sign of an infection. Third, swelling or tenderness in the gums around the treated tooth may be an indication of infection. It is incredibly rare for complications to occur after the treatment, but there is still a small chance of infection taking root.. What Does Root Canal Infection Taste Like.