Peg Tube With Bumper .  can you see the peg tube outside the body after surgery?   percutaneous endoscopic gastrostomy (peg) is a method of placing a tube into the stomach percutaneously,.  the parts of a peg tube • external bumper:   common presenting signs and symptoms include leakage around the peg tube, an inability to rotate or insert the tube, difficulty.   examine the peg site for signs of inflammation, bleeding, or leakage, and the peristomal area for any skin lesions. You’ll see 6 to 12 inches of the tube coming. The circular piece that rests against the outside of the stomach.   immediately after placement of the peg, the external bumper should be subjected to very low traction, without. Peg tubes are about the size of a pen or pencil.   “buried bumper syndrome” (bbs) is a rare but potentially fatal complication resulting in malfunction of.
        
        from health.ucdavis.edu 
     
        
         can you see the peg tube outside the body after surgery?  the parts of a peg tube • external bumper: You’ll see 6 to 12 inches of the tube coming. The circular piece that rests against the outside of the stomach.   common presenting signs and symptoms include leakage around the peg tube, an inability to rotate or insert the tube, difficulty.   examine the peg site for signs of inflammation, bleeding, or leakage, and the peristomal area for any skin lesions.   “buried bumper syndrome” (bbs) is a rare but potentially fatal complication resulting in malfunction of.   percutaneous endoscopic gastrostomy (peg) is a method of placing a tube into the stomach percutaneously,.   immediately after placement of the peg, the external bumper should be subjected to very low traction, without. Peg tubes are about the size of a pen or pencil.
    
    	
            
	
		 
         
    An Introduction to Your Child's Gastrostomy Tube Patient Education 
    Peg Tube With Bumper   the parts of a peg tube • external bumper:   immediately after placement of the peg, the external bumper should be subjected to very low traction, without.   common presenting signs and symptoms include leakage around the peg tube, an inability to rotate or insert the tube, difficulty. The circular piece that rests against the outside of the stomach. Peg tubes are about the size of a pen or pencil.   examine the peg site for signs of inflammation, bleeding, or leakage, and the peristomal area for any skin lesions. You’ll see 6 to 12 inches of the tube coming.  the parts of a peg tube • external bumper:   percutaneous endoscopic gastrostomy (peg) is a method of placing a tube into the stomach percutaneously,.  can you see the peg tube outside the body after surgery?   “buried bumper syndrome” (bbs) is a rare but potentially fatal complication resulting in malfunction of.
            
	
		 
         
 
    
        From shopsealion.com 
                    COOK PEG Tube SHOP SEA LION Peg Tube With Bumper    “buried bumper syndrome” (bbs) is a rare but potentially fatal complication resulting in malfunction of.  can you see the peg tube outside the body after surgery?   immediately after placement of the peg, the external bumper should be subjected to very low traction, without. Peg tubes are about the size of a pen or pencil. You’ll see 6. Peg Tube With Bumper.
     
    
        From lehndorff.com 
                    Feeding Tube Fixing the Plumbing Peter Lehndorff Peg Tube With Bumper  You’ll see 6 to 12 inches of the tube coming.   immediately after placement of the peg, the external bumper should be subjected to very low traction, without. Peg tubes are about the size of a pen or pencil. The circular piece that rests against the outside of the stomach.   percutaneous endoscopic gastrostomy (peg) is a method of placing. Peg Tube With Bumper.
     
    
        From tubefed.co.uk 
                    Percutaneous Endoscopic Gastrostomy Tube (PEG Tube) TubeFed Peg Tube With Bumper    “buried bumper syndrome” (bbs) is a rare but potentially fatal complication resulting in malfunction of. You’ll see 6 to 12 inches of the tube coming.   percutaneous endoscopic gastrostomy (peg) is a method of placing a tube into the stomach percutaneously,. The circular piece that rests against the outside of the stomach. Peg tubes are about the size of. Peg Tube With Bumper.
     
    
        From abdominalkey.com 
                    Enteral Access Techniques Abdominal Key Peg Tube With Bumper    common presenting signs and symptoms include leakage around the peg tube, an inability to rotate or insert the tube, difficulty. The circular piece that rests against the outside of the stomach. You’ll see 6 to 12 inches of the tube coming.  can you see the peg tube outside the body after surgery?   examine the peg site for. Peg Tube With Bumper.
     
    
        From exonmhnmx.blob.core.windows.net 
                    Peg Tube No Balloon at Kyle Nance blog Peg Tube With Bumper   can you see the peg tube outside the body after surgery? You’ll see 6 to 12 inches of the tube coming.  the parts of a peg tube • external bumper:   immediately after placement of the peg, the external bumper should be subjected to very low traction, without.   “buried bumper syndrome” (bbs) is a rare but potentially. Peg Tube With Bumper.
     
    
        From fg.bmj.com 
                    Observed high incidence of buried bumper syndrome associated with Freka Peg Tube With Bumper    immediately after placement of the peg, the external bumper should be subjected to very low traction, without.   “buried bumper syndrome” (bbs) is a rare but potentially fatal complication resulting in malfunction of. The circular piece that rests against the outside of the stomach.   examine the peg site for signs of inflammation, bleeding, or leakage, and the peristomal. Peg Tube With Bumper.
     
    
        From www.videogie.org 
                    Different endoscopic management of 2 cases of acute buried bumper Peg Tube With Bumper  Peg tubes are about the size of a pen or pencil.   percutaneous endoscopic gastrostomy (peg) is a method of placing a tube into the stomach percutaneously,.   common presenting signs and symptoms include leakage around the peg tube, an inability to rotate or insert the tube, difficulty.   examine the peg site for signs of inflammation, bleeding, or leakage,. Peg Tube With Bumper.
     
    
        From exoyayfxv.blob.core.windows.net 
                    Percutaneous Endoscopic Gastrostomy Video at Andrea Strand blog Peg Tube With Bumper  The circular piece that rests against the outside of the stomach.   immediately after placement of the peg, the external bumper should be subjected to very low traction, without.  the parts of a peg tube • external bumper:   “buried bumper syndrome” (bbs) is a rare but potentially fatal complication resulting in malfunction of.   examine the peg site. Peg Tube With Bumper.
     
    
        From www.shieldhealthcare.com 
                    Tips to Solving Tube Feeding Complications Shield HealthCare Peg Tube With Bumper    common presenting signs and symptoms include leakage around the peg tube, an inability to rotate or insert the tube, difficulty. Peg tubes are about the size of a pen or pencil. The circular piece that rests against the outside of the stomach.   “buried bumper syndrome” (bbs) is a rare but potentially fatal complication resulting in malfunction of. . Peg Tube With Bumper.
     
    
        From www.cureus.com 
                    Cureus An Early Presentation of Buried Bumper Syndrome Peg Tube With Bumper  You’ll see 6 to 12 inches of the tube coming.   common presenting signs and symptoms include leakage around the peg tube, an inability to rotate or insert the tube, difficulty.   immediately after placement of the peg, the external bumper should be subjected to very low traction, without.  the parts of a peg tube • external bumper: . Peg Tube With Bumper.
     
    
        From tubefed.com.au 
                    Percutaneous Endoscopic Gastrostomy Tube (PEG Tube) TubeFed Peg Tube With Bumper    common presenting signs and symptoms include leakage around the peg tube, an inability to rotate or insert the tube, difficulty.  the parts of a peg tube • external bumper:   immediately after placement of the peg, the external bumper should be subjected to very low traction, without.   “buried bumper syndrome” (bbs) is a rare but potentially fatal. Peg Tube With Bumper.
     
    
        From exoqhazau.blob.core.windows.net 
                    Bolster Feeding Tube at Sharon Stroud blog Peg Tube With Bumper    percutaneous endoscopic gastrostomy (peg) is a method of placing a tube into the stomach percutaneously,.   immediately after placement of the peg, the external bumper should be subjected to very low traction, without. Peg tubes are about the size of a pen or pencil.  can you see the peg tube outside the body after surgery?   examine the. Peg Tube With Bumper.
     
    
        From www.appliedmedical.net 
                    AMT Original Button GTube Low Profile Button GTube Peg Tube With Bumper  Peg tubes are about the size of a pen or pencil.   “buried bumper syndrome” (bbs) is a rare but potentially fatal complication resulting in malfunction of. The circular piece that rests against the outside of the stomach.  can you see the peg tube outside the body after surgery? You’ll see 6 to 12 inches of the tube coming.. Peg Tube With Bumper.
     
    
        From dxooskwtg.blob.core.windows.net 
                    Beds For Babies With G Tubes at Carrie Clear blog Peg Tube With Bumper    immediately after placement of the peg, the external bumper should be subjected to very low traction, without.   “buried bumper syndrome” (bbs) is a rare but potentially fatal complication resulting in malfunction of.  can you see the peg tube outside the body after surgery?  the parts of a peg tube • external bumper:   common presenting signs. Peg Tube With Bumper.
     
    
        From www.medigraphic.com 
                    Buried bumper syndrome clinical case of a complication due to Peg Tube With Bumper   can you see the peg tube outside the body after surgery?   immediately after placement of the peg, the external bumper should be subjected to very low traction, without.   common presenting signs and symptoms include leakage around the peg tube, an inability to rotate or insert the tube, difficulty. You’ll see 6 to 12 inches of the tube. Peg Tube With Bumper.
     
    
        From www.youtube.com 
                    Late PEG Complications Recurrent Cellulitis, Leakage, Buried Bumper Peg Tube With Bumper  The circular piece that rests against the outside of the stomach.   immediately after placement of the peg, the external bumper should be subjected to very low traction, without.   percutaneous endoscopic gastrostomy (peg) is a method of placing a tube into the stomach percutaneously,. Peg tubes are about the size of a pen or pencil.   common presenting signs. Peg Tube With Bumper.
     
    
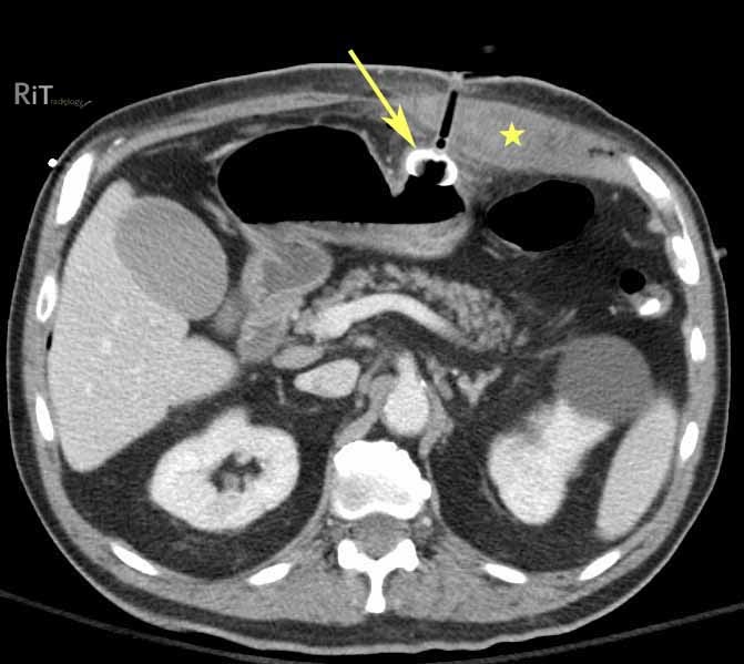
        From radiologyinthai.blogspot.com 
                    RiT radiology Rectus Sheath Hematoma Following PEG Placement Peg Tube With Bumper   the parts of a peg tube • external bumper: Peg tubes are about the size of a pen or pencil. You’ll see 6 to 12 inches of the tube coming.   immediately after placement of the peg, the external bumper should be subjected to very low traction, without.   common presenting signs and symptoms include leakage around the peg. Peg Tube With Bumper.
     
    
        From www.researchgate.net 
                    Internal bumper of the PEG tube (arrow) is seen outside the gastric Peg Tube With Bumper    examine the peg site for signs of inflammation, bleeding, or leakage, and the peristomal area for any skin lesions. Peg tubes are about the size of a pen or pencil.   common presenting signs and symptoms include leakage around the peg tube, an inability to rotate or insert the tube, difficulty.   percutaneous endoscopic gastrostomy (peg) is a method. Peg Tube With Bumper.
     
    
        From insights.codingtoday.com 
                    PEG Tube Placement CPT Code for 2019 CodingToday Insights Peg Tube With Bumper  You’ll see 6 to 12 inches of the tube coming.   examine the peg site for signs of inflammation, bleeding, or leakage, and the peristomal area for any skin lesions.  can you see the peg tube outside the body after surgery? Peg tubes are about the size of a pen or pencil. The circular piece that rests against the. Peg Tube With Bumper.
     
    
        From bowersmedical.com 
                    Halyard MIC* GJ Feeding Tube Bowers Medical Supply Peg Tube With Bumper   the parts of a peg tube • external bumper:   examine the peg site for signs of inflammation, bleeding, or leakage, and the peristomal area for any skin lesions.   “buried bumper syndrome” (bbs) is a rare but potentially fatal complication resulting in malfunction of.   immediately after placement of the peg, the external bumper should be subjected to. Peg Tube With Bumper.
     
    
        From www.cureus.com 
                    Cureus Early Buried Bumper Syndrome A Rare Complication of Peg Tube With Bumper    “buried bumper syndrome” (bbs) is a rare but potentially fatal complication resulting in malfunction of.  the parts of a peg tube • external bumper: You’ll see 6 to 12 inches of the tube coming.  can you see the peg tube outside the body after surgery? Peg tubes are about the size of a pen or pencil. The. Peg Tube With Bumper.
     
    
        From userdatarheumatics.z21.web.core.windows.net 
                    G J Tube Diagram Peg Tube With Bumper   can you see the peg tube outside the body after surgery?   examine the peg site for signs of inflammation, bleeding, or leakage, and the peristomal area for any skin lesions.   common presenting signs and symptoms include leakage around the peg tube, an inability to rotate or insert the tube, difficulty.   percutaneous endoscopic gastrostomy (peg) is a. Peg Tube With Bumper.
     
    
        From www.cureus.com 
                    Cureus Gastric Ulcer from the Pressure of a Gastrostomy Tube A Rare Peg Tube With Bumper   can you see the peg tube outside the body after surgery?   percutaneous endoscopic gastrostomy (peg) is a method of placing a tube into the stomach percutaneously,.   immediately after placement of the peg, the external bumper should be subjected to very low traction, without.   common presenting signs and symptoms include leakage around the peg tube, an inability. Peg Tube With Bumper.
     
    
        From bettertrainingbrisbane.com.au 
                    PEG TUBE MANAGEMENT Better Training Peg Tube With Bumper   can you see the peg tube outside the body after surgery?  the parts of a peg tube • external bumper: Peg tubes are about the size of a pen or pencil.   immediately after placement of the peg, the external bumper should be subjected to very low traction, without.   percutaneous endoscopic gastrostomy (peg) is a method of. Peg Tube With Bumper.
     
    
        From dmsveterinary.com 
                    MILA Surgically Placed PEG Kit 20fr DMS Peg Tube With Bumper    common presenting signs and symptoms include leakage around the peg tube, an inability to rotate or insert the tube, difficulty. You’ll see 6 to 12 inches of the tube coming.   examine the peg site for signs of inflammation, bleeding, or leakage, and the peristomal area for any skin lesions.   percutaneous endoscopic gastrostomy (peg) is a method of. Peg Tube With Bumper.
     
    
        From studyhealthcare.netlify.app 
                    Removal of peg tube Peg Tube With Bumper    percutaneous endoscopic gastrostomy (peg) is a method of placing a tube into the stomach percutaneously,.   examine the peg site for signs of inflammation, bleeding, or leakage, and the peristomal area for any skin lesions. Peg tubes are about the size of a pen or pencil.  the parts of a peg tube • external bumper: You’ll see 6. Peg Tube With Bumper.
     
    
        From dxonrmmbd.blob.core.windows.net 
                    Nursing Interventions For Percutaneous Tube Feeding at Lois Vogel blog Peg Tube With Bumper    common presenting signs and symptoms include leakage around the peg tube, an inability to rotate or insert the tube, difficulty.   examine the peg site for signs of inflammation, bleeding, or leakage, and the peristomal area for any skin lesions.   percutaneous endoscopic gastrostomy (peg) is a method of placing a tube into the stomach percutaneously,. Peg tubes are. Peg Tube With Bumper.
     
    
        From www.bostonscientific.com 
                    EndoVive™ Enteral Access Initial Placement Standard Percutaneous Peg Tube With Bumper  Peg tubes are about the size of a pen or pencil.   percutaneous endoscopic gastrostomy (peg) is a method of placing a tube into the stomach percutaneously,.  the parts of a peg tube • external bumper:   examine the peg site for signs of inflammation, bleeding, or leakage, and the peristomal area for any skin lesions. The circular piece. Peg Tube With Bumper.
     
    
        From www.allwinmedical.com 
                    RGT Replacement Gastrostomy Tube Allwin Medical Peg Tube With Bumper    immediately after placement of the peg, the external bumper should be subjected to very low traction, without. You’ll see 6 to 12 inches of the tube coming.   “buried bumper syndrome” (bbs) is a rare but potentially fatal complication resulting in malfunction of. The circular piece that rests against the outside of the stomach. Peg tubes are about the. Peg Tube With Bumper.
     
    
        From www.videogie.org 
                    Buried bumper syndrome VideoGIE Peg Tube With Bumper    examine the peg site for signs of inflammation, bleeding, or leakage, and the peristomal area for any skin lesions. The circular piece that rests against the outside of the stomach. Peg tubes are about the size of a pen or pencil.   common presenting signs and symptoms include leakage around the peg tube, an inability to rotate or insert. Peg Tube With Bumper.
     
    
        From health.ucdavis.edu 
                    An Introduction to Your Child's Gastrostomy Tube Patient Education Peg Tube With Bumper  You’ll see 6 to 12 inches of the tube coming.   “buried bumper syndrome” (bbs) is a rare but potentially fatal complication resulting in malfunction of. Peg tubes are about the size of a pen or pencil.  can you see the peg tube outside the body after surgery?   immediately after placement of the peg, the external bumper should. Peg Tube With Bumper.
     
    
        From dxosfxpfv.blob.core.windows.net 
                    How To Clean Feeding Tube Port at Sabrina Perry blog Peg Tube With Bumper    immediately after placement of the peg, the external bumper should be subjected to very low traction, without.   examine the peg site for signs of inflammation, bleeding, or leakage, and the peristomal area for any skin lesions.   percutaneous endoscopic gastrostomy (peg) is a method of placing a tube into the stomach percutaneously,.   common presenting signs and symptoms. Peg Tube With Bumper.
     
    
        From www.cureus.com 
                    Cureus The Buried Bumper Syndrome A Catastrophic Complication of Peg Tube With Bumper  You’ll see 6 to 12 inches of the tube coming.  the parts of a peg tube • external bumper:  can you see the peg tube outside the body after surgery? Peg tubes are about the size of a pen or pencil.   “buried bumper syndrome” (bbs) is a rare but potentially fatal complication resulting in malfunction of. . Peg Tube With Bumper.
     
    
        From www.researchgate.net 
                    Clinical photographs of a PEG tube. a) Depicts a patient's abdominal Peg Tube With Bumper   can you see the peg tube outside the body after surgery? The circular piece that rests against the outside of the stomach.   percutaneous endoscopic gastrostomy (peg) is a method of placing a tube into the stomach percutaneously,.  the parts of a peg tube • external bumper:   common presenting signs and symptoms include leakage around the peg. Peg Tube With Bumper.
     
    
        From www.giejournal.org 
                    The PEGPediPEG technique a novel method for percutaneous endoscopic Peg Tube With Bumper  The circular piece that rests against the outside of the stomach.   “buried bumper syndrome” (bbs) is a rare but potentially fatal complication resulting in malfunction of.   common presenting signs and symptoms include leakage around the peg tube, an inability to rotate or insert the tube, difficulty.   percutaneous endoscopic gastrostomy (peg) is a method of placing a tube. Peg Tube With Bumper.