Can Elbow Arthritis Be Cured . How is arthritis of the elbow treated? Read on to learn more about what you can do to help manage pain caused by arthritis in elbows, including exercises from hinge health physical therapists so you can. If you have previously broken a bone at the elbow, it can increase the chance of developing osteoarthritis in the joint. Learn about the common causes of elbow pain, such as strained or inflamed soft tissues, and how to treat it yourself at home. There is no cure for osteoarthritis of the elbow, but medications, exercise, and surgery can help an individual live with minimal pain and optimal joint function. Find out when to see a doctor and what exercises can help prevent or. It could be elbow arthritis. Learn about the causes, symptoms, and treatment options for osteoarthritis of the elbow, a condition that affects the cartilage and joint surfaces of the elbow. Learn more about the symptoms, home remedies and treatments. Find out how to prevent. Pain in one or both elbows? The elbow can be affected by osteoarthritis but it is less common than in other joints. The first treatments used for elbow arthritis include:
from gioqvuehk.blob.core.windows.net
It could be elbow arthritis. The elbow can be affected by osteoarthritis but it is less common than in other joints. Find out how to prevent. Read on to learn more about what you can do to help manage pain caused by arthritis in elbows, including exercises from hinge health physical therapists so you can. How is arthritis of the elbow treated? There is no cure for osteoarthritis of the elbow, but medications, exercise, and surgery can help an individual live with minimal pain and optimal joint function. Learn about the common causes of elbow pain, such as strained or inflamed soft tissues, and how to treat it yourself at home. If you have previously broken a bone at the elbow, it can increase the chance of developing osteoarthritis in the joint. Learn about the causes, symptoms, and treatment options for osteoarthritis of the elbow, a condition that affects the cartilage and joint surfaces of the elbow. Learn more about the symptoms, home remedies and treatments.
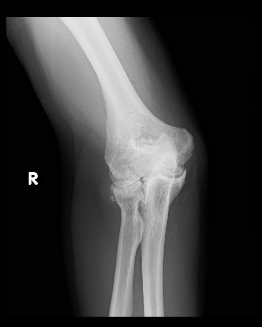
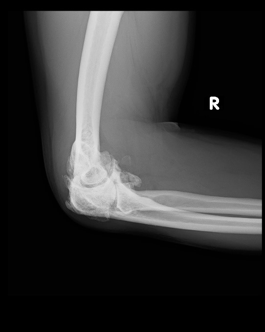
Arthritis Elbow Treatment at Jose Norman blog
Can Elbow Arthritis Be Cured The first treatments used for elbow arthritis include: How is arthritis of the elbow treated? There is no cure for osteoarthritis of the elbow, but medications, exercise, and surgery can help an individual live with minimal pain and optimal joint function. Find out when to see a doctor and what exercises can help prevent or. If you have previously broken a bone at the elbow, it can increase the chance of developing osteoarthritis in the joint. Pain in one or both elbows? The elbow can be affected by osteoarthritis but it is less common than in other joints. Learn about the common causes of elbow pain, such as strained or inflamed soft tissues, and how to treat it yourself at home. Learn more about the symptoms, home remedies and treatments. It could be elbow arthritis. The first treatments used for elbow arthritis include: Find out how to prevent. Learn about the causes, symptoms, and treatment options for osteoarthritis of the elbow, a condition that affects the cartilage and joint surfaces of the elbow. Read on to learn more about what you can do to help manage pain caused by arthritis in elbows, including exercises from hinge health physical therapists so you can.
From www.youtube.com
Cure Arthritis Naturally Tips and Remedies for Rheumatoid Arthritis Can Elbow Arthritis Be Cured How is arthritis of the elbow treated? Learn about the causes, symptoms, and treatment options for osteoarthritis of the elbow, a condition that affects the cartilage and joint surfaces of the elbow. There is no cure for osteoarthritis of the elbow, but medications, exercise, and surgery can help an individual live with minimal pain and optimal joint function. The elbow. Can Elbow Arthritis Be Cured.
From thejointinjectionclinic.com
Elbow Arthritis Causes, Symptoms and Treatments Options Can Elbow Arthritis Be Cured Read on to learn more about what you can do to help manage pain caused by arthritis in elbows, including exercises from hinge health physical therapists so you can. Learn more about the symptoms, home remedies and treatments. There is no cure for osteoarthritis of the elbow, but medications, exercise, and surgery can help an individual live with minimal pain. Can Elbow Arthritis Be Cured.
From feelrecovery.com
ARTHRITIS > Causes > Symptoms > Types > Prevention Feel Recovery Can Elbow Arthritis Be Cured Find out how to prevent. Pain in one or both elbows? Learn about the causes, symptoms, and treatment options for osteoarthritis of the elbow, a condition that affects the cartilage and joint surfaces of the elbow. Learn about the common causes of elbow pain, such as strained or inflamed soft tissues, and how to treat it yourself at home. How. Can Elbow Arthritis Be Cured.
From shoulderelbow.org
Elbow Rheumatoid Arthritis Any Good Treatment Options? Shoulder & Elbow Can Elbow Arthritis Be Cured Read on to learn more about what you can do to help manage pain caused by arthritis in elbows, including exercises from hinge health physical therapists so you can. Find out when to see a doctor and what exercises can help prevent or. The first treatments used for elbow arthritis include: It could be elbow arthritis. Learn about the common. Can Elbow Arthritis Be Cured.
From www.youtube.com
How To Treat Arthritis In The Elbow Naturally End Elbow Arthritis Can Elbow Arthritis Be Cured Pain in one or both elbows? Read on to learn more about what you can do to help manage pain caused by arthritis in elbows, including exercises from hinge health physical therapists so you can. Find out how to prevent. Find out when to see a doctor and what exercises can help prevent or. The first treatments used for elbow. Can Elbow Arthritis Be Cured.
From www.voltarengel.com
Elbow Arthritis Symptoms and Treatment Voltaren Can Elbow Arthritis Be Cured Find out how to prevent. There is no cure for osteoarthritis of the elbow, but medications, exercise, and surgery can help an individual live with minimal pain and optimal joint function. Learn more about the symptoms, home remedies and treatments. Learn about the common causes of elbow pain, such as strained or inflamed soft tissues, and how to treat it. Can Elbow Arthritis Be Cured.
From christophercschmidtmd.com
Arthroscopic Treatment Elbow Arthritis Pittsburgh PA Dr. Schmidt Can Elbow Arthritis Be Cured Learn about the causes, symptoms, and treatment options for osteoarthritis of the elbow, a condition that affects the cartilage and joint surfaces of the elbow. Read on to learn more about what you can do to help manage pain caused by arthritis in elbows, including exercises from hinge health physical therapists so you can. Find out when to see a. Can Elbow Arthritis Be Cured.
From www.poadocs.com
5 Ways to Manage Elbow Arthritis Peninsula Orthopedic Associates Can Elbow Arthritis Be Cured Learn more about the symptoms, home remedies and treatments. How is arthritis of the elbow treated? There is no cure for osteoarthritis of the elbow, but medications, exercise, and surgery can help an individual live with minimal pain and optimal joint function. If you have previously broken a bone at the elbow, it can increase the chance of developing osteoarthritis. Can Elbow Arthritis Be Cured.
From hartfordsportsorthopedics.com
Arthroscopic Treatment of Elbow Osteoarthritis and Posttraumatic Can Elbow Arthritis Be Cured Find out when to see a doctor and what exercises can help prevent or. If you have previously broken a bone at the elbow, it can increase the chance of developing osteoarthritis in the joint. Find out how to prevent. There is no cure for osteoarthritis of the elbow, but medications, exercise, and surgery can help an individual live with. Can Elbow Arthritis Be Cured.
From www.pennmedicine.org
How to Treat Elbow Arthritis Penn Medicine Can Elbow Arthritis Be Cured How is arthritis of the elbow treated? It could be elbow arthritis. If you have previously broken a bone at the elbow, it can increase the chance of developing osteoarthritis in the joint. Learn about the causes, symptoms, and treatment options for osteoarthritis of the elbow, a condition that affects the cartilage and joint surfaces of the elbow. Learn more. Can Elbow Arthritis Be Cured.
From oneorth.co.uk
Elbow Arthritis Treatment Elbow Conditions One Orthopaedics Can Elbow Arthritis Be Cured Find out how to prevent. Learn about the causes, symptoms, and treatment options for osteoarthritis of the elbow, a condition that affects the cartilage and joint surfaces of the elbow. Find out when to see a doctor and what exercises can help prevent or. Learn about the common causes of elbow pain, such as strained or inflamed soft tissues, and. Can Elbow Arthritis Be Cured.
From thejointinjectionclinic.com
Elbow Arthritis Causes, Symptoms and Treatments Options Can Elbow Arthritis Be Cured Read on to learn more about what you can do to help manage pain caused by arthritis in elbows, including exercises from hinge health physical therapists so you can. The first treatments used for elbow arthritis include: Find out when to see a doctor and what exercises can help prevent or. There is no cure for osteoarthritis of the elbow,. Can Elbow Arthritis Be Cured.
From www.mdpi.com
JFMK Free FullText An Overview of the Pathogenesis and Treatment Can Elbow Arthritis Be Cured Read on to learn more about what you can do to help manage pain caused by arthritis in elbows, including exercises from hinge health physical therapists so you can. It could be elbow arthritis. Find out when to see a doctor and what exercises can help prevent or. Learn about the causes, symptoms, and treatment options for osteoarthritis of the. Can Elbow Arthritis Be Cured.
From www.top10homeremedies.com
Home Remedies for Arthritis Top 10 Home Remedies Can Elbow Arthritis Be Cured It could be elbow arthritis. Find out when to see a doctor and what exercises can help prevent or. Learn about the causes, symptoms, and treatment options for osteoarthritis of the elbow, a condition that affects the cartilage and joint surfaces of the elbow. There is no cure for osteoarthritis of the elbow, but medications, exercise, and surgery can help. Can Elbow Arthritis Be Cured.
From www.verywellhealth.com
Elbow Pain Causes, Treatment, and When to See a Healthcare Provider Can Elbow Arthritis Be Cured Learn about the common causes of elbow pain, such as strained or inflamed soft tissues, and how to treat it yourself at home. If you have previously broken a bone at the elbow, it can increase the chance of developing osteoarthritis in the joint. Pain in one or both elbows? The elbow can be affected by osteoarthritis but it is. Can Elbow Arthritis Be Cured.
From www.palmharborortho.com
Elbow Arthritis Specialist Palm Harbor, FL Orthopedic Specialists Can Elbow Arthritis Be Cured How is arthritis of the elbow treated? If you have previously broken a bone at the elbow, it can increase the chance of developing osteoarthritis in the joint. Find out when to see a doctor and what exercises can help prevent or. The first treatments used for elbow arthritis include: Pain in one or both elbows? Find out how to. Can Elbow Arthritis Be Cured.
From doron.com.au
Elbow Osteoarthritis Dr Doron Sher Can Elbow Arthritis Be Cured The elbow can be affected by osteoarthritis but it is less common than in other joints. Learn about the causes, symptoms, and treatment options for osteoarthritis of the elbow, a condition that affects the cartilage and joint surfaces of the elbow. Read on to learn more about what you can do to help manage pain caused by arthritis in elbows,. Can Elbow Arthritis Be Cured.
From ahpconnect.com.au
Is Hydrotherapy Good for Arthritis Pain? AHP Connect Can Elbow Arthritis Be Cured It could be elbow arthritis. Learn more about the symptoms, home remedies and treatments. The first treatments used for elbow arthritis include: Find out how to prevent. There is no cure for osteoarthritis of the elbow, but medications, exercise, and surgery can help an individual live with minimal pain and optimal joint function. Learn about the causes, symptoms, and treatment. Can Elbow Arthritis Be Cured.
From www.hand2shouldercenter.com
AtHome Exercises for Elbow Arthritis Can Elbow Arthritis Be Cured How is arthritis of the elbow treated? Find out when to see a doctor and what exercises can help prevent or. The first treatments used for elbow arthritis include: Learn more about the symptoms, home remedies and treatments. There is no cure for osteoarthritis of the elbow, but medications, exercise, and surgery can help an individual live with minimal pain. Can Elbow Arthritis Be Cured.
From www.pinterest.co.uk
Use Yoga For Arthritis For Fast Relief Natural cure for arthritis Can Elbow Arthritis Be Cured The first treatments used for elbow arthritis include: Find out when to see a doctor and what exercises can help prevent or. How is arthritis of the elbow treated? If you have previously broken a bone at the elbow, it can increase the chance of developing osteoarthritis in the joint. It could be elbow arthritis. Learn more about the symptoms,. Can Elbow Arthritis Be Cured.
From gioqvuehk.blob.core.windows.net
Arthritis Elbow Treatment at Jose Norman blog Can Elbow Arthritis Be Cured It could be elbow arthritis. The elbow can be affected by osteoarthritis but it is less common than in other joints. Learn more about the symptoms, home remedies and treatments. How is arthritis of the elbow treated? Find out how to prevent. Learn about the common causes of elbow pain, such as strained or inflamed soft tissues, and how to. Can Elbow Arthritis Be Cured.
From posc.com.au
Elbow arthritis Perth Orthopaedic Specialist Centre Can Elbow Arthritis Be Cured The elbow can be affected by osteoarthritis but it is less common than in other joints. Learn about the common causes of elbow pain, such as strained or inflamed soft tissues, and how to treat it yourself at home. Pain in one or both elbows? Learn about the causes, symptoms, and treatment options for osteoarthritis of the elbow, a condition. Can Elbow Arthritis Be Cured.
From www.scripps.org
What's the Best Treatment for Tennis Elbow? Scripps Health Can Elbow Arthritis Be Cured Find out how to prevent. The first treatments used for elbow arthritis include: It could be elbow arthritis. Learn about the common causes of elbow pain, such as strained or inflamed soft tissues, and how to treat it yourself at home. Read on to learn more about what you can do to help manage pain caused by arthritis in elbows,. Can Elbow Arthritis Be Cured.
From www.verywellhealth.com
Elbow Bursitis Symptoms, Causes, and Treatment Can Elbow Arthritis Be Cured It could be elbow arthritis. How is arthritis of the elbow treated? Learn about the causes, symptoms, and treatment options for osteoarthritis of the elbow, a condition that affects the cartilage and joint surfaces of the elbow. Find out when to see a doctor and what exercises can help prevent or. Learn about the common causes of elbow pain, such. Can Elbow Arthritis Be Cured.
From thejointinjectionclinic.com
Elbow Arthritis Causes, Symptoms and Treatments Options Can Elbow Arthritis Be Cured It could be elbow arthritis. How is arthritis of the elbow treated? If you have previously broken a bone at the elbow, it can increase the chance of developing osteoarthritis in the joint. Learn about the causes, symptoms, and treatment options for osteoarthritis of the elbow, a condition that affects the cartilage and joint surfaces of the elbow. Read on. Can Elbow Arthritis Be Cured.
From sportsinortho.com
Arthritis of the Elbow SportsIn Orthopaedic Clinic Dr Bernard Lee Can Elbow Arthritis Be Cured The first treatments used for elbow arthritis include: Learn about the common causes of elbow pain, such as strained or inflamed soft tissues, and how to treat it yourself at home. Find out when to see a doctor and what exercises can help prevent or. How is arthritis of the elbow treated? The elbow can be affected by osteoarthritis but. Can Elbow Arthritis Be Cured.
From pradeepbala.com
Elbow Arthritis Symptoms, Causes, and Treatments in Abu Dhabi Can Elbow Arthritis Be Cured The elbow can be affected by osteoarthritis but it is less common than in other joints. If you have previously broken a bone at the elbow, it can increase the chance of developing osteoarthritis in the joint. Find out how to prevent. Learn about the causes, symptoms, and treatment options for osteoarthritis of the elbow, a condition that affects the. Can Elbow Arthritis Be Cured.
From www.vivehealth.com
10 Best Elbow Tendonitis Braces 2018 Review Vive Health Can Elbow Arthritis Be Cured If you have previously broken a bone at the elbow, it can increase the chance of developing osteoarthritis in the joint. Read on to learn more about what you can do to help manage pain caused by arthritis in elbows, including exercises from hinge health physical therapists so you can. Learn about the common causes of elbow pain, such as. Can Elbow Arthritis Be Cured.
From www.youtube.com
Can Arthritis Be Cured Permanently? YouTube Can Elbow Arthritis Be Cured How is arthritis of the elbow treated? It could be elbow arthritis. The first treatments used for elbow arthritis include: Learn more about the symptoms, home remedies and treatments. Find out when to see a doctor and what exercises can help prevent or. Learn about the causes, symptoms, and treatment options for osteoarthritis of the elbow, a condition that affects. Can Elbow Arthritis Be Cured.
From www.youtube.com
ELBOW PAIN CAUSES AND TREATMENT Everything You Need To Know Dr Can Elbow Arthritis Be Cured Read on to learn more about what you can do to help manage pain caused by arthritis in elbows, including exercises from hinge health physical therapists so you can. Learn about the common causes of elbow pain, such as strained or inflamed soft tissues, and how to treat it yourself at home. Learn about the causes, symptoms, and treatment options. Can Elbow Arthritis Be Cured.
From www.epainassist.com
Elbow OsteoarthritisCausesSymptomsSignsTreatmentSurgeryDiagnosis Can Elbow Arthritis Be Cured Read on to learn more about what you can do to help manage pain caused by arthritis in elbows, including exercises from hinge health physical therapists so you can. How is arthritis of the elbow treated? Find out how to prevent. If you have previously broken a bone at the elbow, it can increase the chance of developing osteoarthritis in. Can Elbow Arthritis Be Cured.
From www.worldbrace.com
Elbow ArthritisSymptoms, Causes, Treatment By Arthritis Braces Can Elbow Arthritis Be Cured Learn about the common causes of elbow pain, such as strained or inflamed soft tissues, and how to treat it yourself at home. Pain in one or both elbows? Learn more about the symptoms, home remedies and treatments. Learn about the causes, symptoms, and treatment options for osteoarthritis of the elbow, a condition that affects the cartilage and joint surfaces. Can Elbow Arthritis Be Cured.
From www.upperextremityspecialists.com
Can Arthritis Affect Your Elbows? Upper Extremity Specialists Can Elbow Arthritis Be Cured Learn about the common causes of elbow pain, such as strained or inflamed soft tissues, and how to treat it yourself at home. Learn about the causes, symptoms, and treatment options for osteoarthritis of the elbow, a condition that affects the cartilage and joint surfaces of the elbow. How is arthritis of the elbow treated? The first treatments used for. Can Elbow Arthritis Be Cured.
From pradeepbala.com
Elbow Arthritis Symptoms, Causes, and Treatments in Abu Dhabi Can Elbow Arthritis Be Cured Learn about the causes, symptoms, and treatment options for osteoarthritis of the elbow, a condition that affects the cartilage and joint surfaces of the elbow. Read on to learn more about what you can do to help manage pain caused by arthritis in elbows, including exercises from hinge health physical therapists so you can. How is arthritis of the elbow. Can Elbow Arthritis Be Cured.
From issuu.com
Can rheumatoid arthritis be cured? by Kauvery Hospital Issuu Can Elbow Arthritis Be Cured It could be elbow arthritis. Learn about the common causes of elbow pain, such as strained or inflamed soft tissues, and how to treat it yourself at home. The elbow can be affected by osteoarthritis but it is less common than in other joints. If you have previously broken a bone at the elbow, it can increase the chance of. Can Elbow Arthritis Be Cured.