Gide Dental Reviews . Clinical videos, expert interviews, live broadcasts over. Dive deep (at your own pace) in a comprehensive online master class or residency with topics covering implant dentistry, esthetic dentistry,. Find reviews, ratings, directions, business hours, and book appointments online. • 550+ clinical videos on web and app • new dental videos added. Learn from the world's most trusted faculty and advance your skills with gide. Gide dental institute, los angeles, california. Premiere provider of online dental education. Gide dental | 280 followers on linkedin. Evidence based video education at its best. 31,762 likes · 74 talking about this · 887 were. Read 26 customer reviews of gide dental center, one of the best.
from library.gidedental.com
Clinical videos, expert interviews, live broadcasts over. Gide dental institute, los angeles, california. Evidence based video education at its best. • 550+ clinical videos on web and app • new dental videos added. Dive deep (at your own pace) in a comprehensive online master class or residency with topics covering implant dentistry, esthetic dentistry,. 31,762 likes · 74 talking about this · 887 were. Learn from the world's most trusted faculty and advance your skills with gide. Read 26 customer reviews of gide dental center, one of the best. Premiere provider of online dental education. Find reviews, ratings, directions, business hours, and book appointments online.
CLINICAL VIDEO Single Implant Placement for Missing Upper Premolar
Gide Dental Reviews Clinical videos, expert interviews, live broadcasts over. 31,762 likes · 74 talking about this · 887 were. Gide dental | 280 followers on linkedin. Learn from the world's most trusted faculty and advance your skills with gide. Premiere provider of online dental education. Read 26 customer reviews of gide dental center, one of the best. Clinical videos, expert interviews, live broadcasts over. • 550+ clinical videos on web and app • new dental videos added. Find reviews, ratings, directions, business hours, and book appointments online. Gide dental institute, los angeles, california. Dive deep (at your own pace) in a comprehensive online master class or residency with topics covering implant dentistry, esthetic dentistry,. Evidence based video education at its best.
From courses.gidedental.com
gIDE TRAINING IN LOS ANGELES Handson GBR Grafting Course gIDE Dental Gide Dental Reviews • 550+ clinical videos on web and app • new dental videos added. Gide dental | 280 followers on linkedin. Gide dental institute, los angeles, california. Premiere provider of online dental education. Find reviews, ratings, directions, business hours, and book appointments online. Clinical videos, expert interviews, live broadcasts over. Dive deep (at your own pace) in a comprehensive online master. Gide Dental Reviews.
From library.gidedental.com
CLINICAL VIDEO Guided Immediate Implant with Immediate Definitive Crown Gide Dental Reviews Find reviews, ratings, directions, business hours, and book appointments online. Dive deep (at your own pace) in a comprehensive online master class or residency with topics covering implant dentistry, esthetic dentistry,. Gide dental institute, los angeles, california. Read 26 customer reviews of gide dental center, one of the best. 31,762 likes · 74 talking about this · 887 were. Evidence. Gide Dental Reviews.
From courses.gidedental.com
What is gIDE gIDE Dental Institute Gide Dental Reviews Dive deep (at your own pace) in a comprehensive online master class or residency with topics covering implant dentistry, esthetic dentistry,. Premiere provider of online dental education. • 550+ clinical videos on web and app • new dental videos added. Gide dental | 280 followers on linkedin. 31,762 likes · 74 talking about this · 887 were. Gide dental institute,. Gide Dental Reviews.
From library.gidedental.com
CLINICAL VIDEO Esthetic Implant Placement with Simultaneous GBR and Gide Dental Reviews Learn from the world's most trusted faculty and advance your skills with gide. Evidence based video education at its best. Gide dental institute, los angeles, california. Find reviews, ratings, directions, business hours, and book appointments online. • 550+ clinical videos on web and app • new dental videos added. Dive deep (at your own pace) in a comprehensive online master. Gide Dental Reviews.
From library.gidedental.com
CLINICAL VIDEO Immediate SingleImplant Placement and Loading After Gide Dental Reviews Read 26 customer reviews of gide dental center, one of the best. Gide dental institute, los angeles, california. • 550+ clinical videos on web and app • new dental videos added. Gide dental | 280 followers on linkedin. Find reviews, ratings, directions, business hours, and book appointments online. Premiere provider of online dental education. Evidence based video education at its. Gide Dental Reviews.
From library.gidedental.com
CLINICAL VIDEO Final implant restorative treatment using Procera crown Gide Dental Reviews 31,762 likes · 74 talking about this · 887 were. • 550+ clinical videos on web and app • new dental videos added. Read 26 customer reviews of gide dental center, one of the best. Premiere provider of online dental education. Clinical videos, expert interviews, live broadcasts over. Gide dental | 280 followers on linkedin. Learn from the world's most. Gide Dental Reviews.
From library.gidedental.com
CLINICAL VIDEO Treatment of the edentulous upper jaw with CTbased Gide Dental Reviews Learn from the world's most trusted faculty and advance your skills with gide. Gide dental | 280 followers on linkedin. Read 26 customer reviews of gide dental center, one of the best. Evidence based video education at its best. 31,762 likes · 74 talking about this · 887 were. Clinical videos, expert interviews, live broadcasts over. Dive deep (at your. Gide Dental Reviews.
From library.gidedental.com
CLINICAL VIDEO Anterior Implant Placement with Immediate Temporization Gide Dental Reviews Premiere provider of online dental education. Gide dental institute, los angeles, california. Find reviews, ratings, directions, business hours, and book appointments online. 31,762 likes · 74 talking about this · 887 were. Gide dental | 280 followers on linkedin. Read 26 customer reviews of gide dental center, one of the best. Dive deep (at your own pace) in a comprehensive. Gide Dental Reviews.
From omnipress.gr
gIDE Dental Library Archive OMNIPRESS Gide Dental Reviews Gide dental | 280 followers on linkedin. Evidence based video education at its best. 31,762 likes · 74 talking about this · 887 were. Find reviews, ratings, directions, business hours, and book appointments online. Read 26 customer reviews of gide dental center, one of the best. Premiere provider of online dental education. • 550+ clinical videos on web and app. Gide Dental Reviews.
From library.gidedental.com
FEATURED VIDEOS gIDE Dental Institute Gide Dental Reviews Gide dental institute, los angeles, california. Dive deep (at your own pace) in a comprehensive online master class or residency with topics covering implant dentistry, esthetic dentistry,. Gide dental | 280 followers on linkedin. • 550+ clinical videos on web and app • new dental videos added. Clinical videos, expert interviews, live broadcasts over. Read 26 customer reviews of gide. Gide Dental Reviews.
From library.gidedental.com
Soft Tissue Management around Implant Sites gIDE Dental Institute Gide Dental Reviews Premiere provider of online dental education. 31,762 likes · 74 talking about this · 887 were. Learn from the world's most trusted faculty and advance your skills with gide. • 550+ clinical videos on web and app • new dental videos added. Read 26 customer reviews of gide dental center, one of the best. Gide dental institute, los angeles, california.. Gide Dental Reviews.
From library.gidedental.com
AllCeramic Solutions On Teeth & Implants gIDE Dental Institute Gide Dental Reviews • 550+ clinical videos on web and app • new dental videos added. Clinical videos, expert interviews, live broadcasts over. Evidence based video education at its best. Premiere provider of online dental education. Learn from the world's most trusted faculty and advance your skills with gide. Gide dental | 280 followers on linkedin. 31,762 likes · 74 talking about this. Gide Dental Reviews.
From library.gidedental.com
CLINICAL VIDEO Post and Core Restoration Replacement of missing tooth Gide Dental Reviews Premiere provider of online dental education. Evidence based video education at its best. Learn from the world's most trusted faculty and advance your skills with gide. Read 26 customer reviews of gide dental center, one of the best. Clinical videos, expert interviews, live broadcasts over. Gide dental | 280 followers on linkedin. • 550+ clinical videos on web and app. Gide Dental Reviews.
From library.gidedental.com
Esthetic Restorations AllCeramic Advances for Single and Multiple Gide Dental Reviews Dive deep (at your own pace) in a comprehensive online master class or residency with topics covering implant dentistry, esthetic dentistry,. Learn from the world's most trusted faculty and advance your skills with gide. Clinical videos, expert interviews, live broadcasts over. Premiere provider of online dental education. Gide dental institute, los angeles, california. • 550+ clinical videos on web and. Gide Dental Reviews.
From library.gidedental.com
CLINICAL VIDEO Immediate tooth replacement with implant placement and Gide Dental Reviews Learn from the world's most trusted faculty and advance your skills with gide. Clinical videos, expert interviews, live broadcasts over. Gide dental | 280 followers on linkedin. Find reviews, ratings, directions, business hours, and book appointments online. Premiere provider of online dental education. 31,762 likes · 74 talking about this · 887 were. Gide dental institute, los angeles, california. Evidence. Gide Dental Reviews.
From library.gidedental.com
Clinical elements in achieving natural implant aesthetics gIDE Dental Gide Dental Reviews • 550+ clinical videos on web and app • new dental videos added. Learn from the world's most trusted faculty and advance your skills with gide. Dive deep (at your own pace) in a comprehensive online master class or residency with topics covering implant dentistry, esthetic dentistry,. Gide dental | 280 followers on linkedin. Read 26 customer reviews of gide. Gide Dental Reviews.
From gidedentalcenter.com
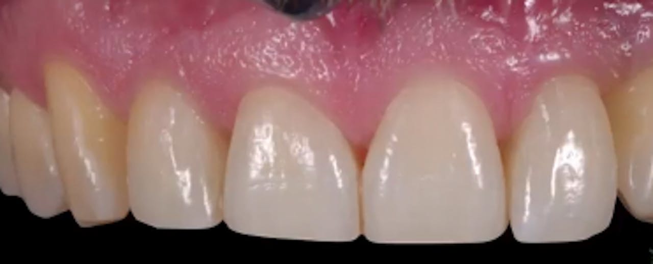
Before / After GIDE Dental Implant Center Gide Dental Reviews Gide dental institute, los angeles, california. 31,762 likes · 74 talking about this · 887 were. Find reviews, ratings, directions, business hours, and book appointments online. Dive deep (at your own pace) in a comprehensive online master class or residency with topics covering implant dentistry, esthetic dentistry,. • 550+ clinical videos on web and app • new dental videos added.. Gide Dental Reviews.
From gidedentalcenter.com
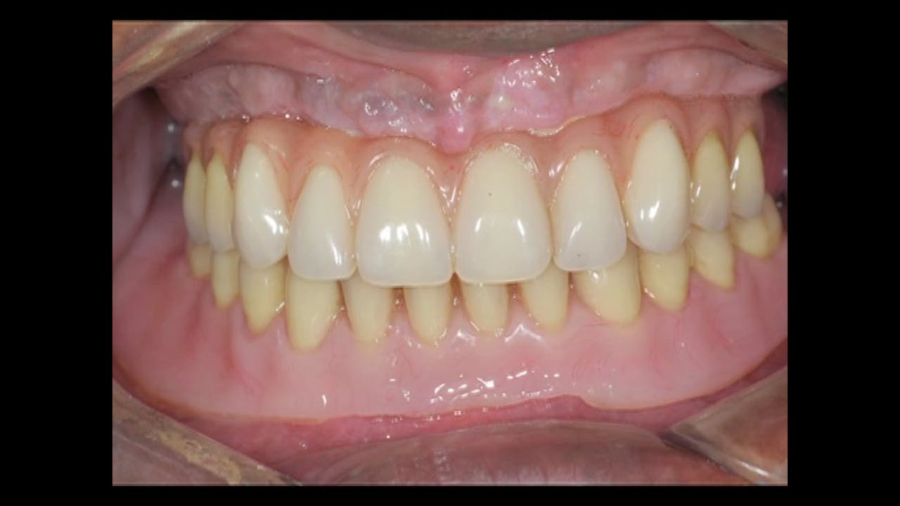
Before / After GIDE Dental Implant Center Gide Dental Reviews Premiere provider of online dental education. Learn from the world's most trusted faculty and advance your skills with gide. Find reviews, ratings, directions, business hours, and book appointments online. Clinical videos, expert interviews, live broadcasts over. Gide dental | 280 followers on linkedin. • 550+ clinical videos on web and app • new dental videos added. Dive deep (at your. Gide Dental Reviews.
From library.gidedental.com
Minimally Invasive Aesthetic Dentistry & Invisalign gIDE Dental Institute Gide Dental Reviews Premiere provider of online dental education. • 550+ clinical videos on web and app • new dental videos added. Clinical videos, expert interviews, live broadcasts over. Evidence based video education at its best. Gide dental | 280 followers on linkedin. Read 26 customer reviews of gide dental center, one of the best. Dive deep (at your own pace) in a. Gide Dental Reviews.
From library.gidedental.com
CLINICAL VIDEO Single Tooth Esthetic Implant Replacement From Diagno Gide Dental Reviews Gide dental institute, los angeles, california. • 550+ clinical videos on web and app • new dental videos added. Premiere provider of online dental education. Dive deep (at your own pace) in a comprehensive online master class or residency with topics covering implant dentistry, esthetic dentistry,. 31,762 likes · 74 talking about this · 887 were. Find reviews, ratings, directions,. Gide Dental Reviews.
From library.gidedental.com
Immediate Implant Placement in the Esthetic Zone gIDE Dental Institute Gide Dental Reviews • 550+ clinical videos on web and app • new dental videos added. Premiere provider of online dental education. 31,762 likes · 74 talking about this · 887 were. Read 26 customer reviews of gide dental center, one of the best. Find reviews, ratings, directions, business hours, and book appointments online. Gide dental | 280 followers on linkedin. Gide dental. Gide Dental Reviews.
From library.gidedental.com
CLINICAL VIDEO Immediate Tooth Replacement with Simultaneous Socket and Gide Dental Reviews 31,762 likes · 74 talking about this · 887 were. Read 26 customer reviews of gide dental center, one of the best. Gide dental | 280 followers on linkedin. Clinical videos, expert interviews, live broadcasts over. • 550+ clinical videos on web and app • new dental videos added. Dive deep (at your own pace) in a comprehensive online master. Gide Dental Reviews.
From courses.gidedental.com
Choose Your gIDE Destination TESTER gIDE Dental Institute Gide Dental Reviews Gide dental | 280 followers on linkedin. Evidence based video education at its best. Gide dental institute, los angeles, california. Find reviews, ratings, directions, business hours, and book appointments online. Read 26 customer reviews of gide dental center, one of the best. Premiere provider of online dental education. 31,762 likes · 74 talking about this · 887 were. Dive deep. Gide Dental Reviews.
From library.gidedental.com
Extraction site bone grafts and immediate vs. delayed implant placement Gide Dental Reviews Premiere provider of online dental education. Gide dental | 280 followers on linkedin. Read 26 customer reviews of gide dental center, one of the best. Clinical videos, expert interviews, live broadcasts over. Dive deep (at your own pace) in a comprehensive online master class or residency with topics covering implant dentistry, esthetic dentistry,. 31,762 likes · 74 talking about this. Gide Dental Reviews.
From library.gidedental.com
CLINICAL VIDEO Index Adhesive Technique Part 01 gIDE Dental Institute Gide Dental Reviews Gide dental institute, los angeles, california. Read 26 customer reviews of gide dental center, one of the best. Gide dental | 280 followers on linkedin. Learn from the world's most trusted faculty and advance your skills with gide. Evidence based video education at its best. Dive deep (at your own pace) in a comprehensive online master class or residency with. Gide Dental Reviews.
From library.gidedental.com
CLINICAL VIDEO Immediate Tooth Replacement with a Preplanned Final Gide Dental Reviews Premiere provider of online dental education. Find reviews, ratings, directions, business hours, and book appointments online. Clinical videos, expert interviews, live broadcasts over. Read 26 customer reviews of gide dental center, one of the best. Learn from the world's most trusted faculty and advance your skills with gide. Evidence based video education at its best. • 550+ clinical videos on. Gide Dental Reviews.
From library.gidedental.com
CLINICAL VIDEO Sinus Elevation and GBR (Part 1) Lateral Window 2 Im Gide Dental Reviews Dive deep (at your own pace) in a comprehensive online master class or residency with topics covering implant dentistry, esthetic dentistry,. Premiere provider of online dental education. Read 26 customer reviews of gide dental center, one of the best. Evidence based video education at its best. Gide dental institute, los angeles, california. Gide dental | 280 followers on linkedin. •. Gide Dental Reviews.
From gidedentalcenter.com
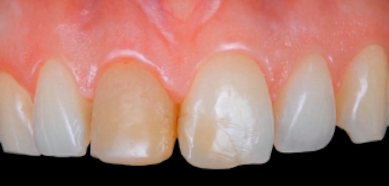
Before / After GIDE Dental Implant Center Gide Dental Reviews 31,762 likes · 74 talking about this · 887 were. Gide dental institute, los angeles, california. Gide dental | 280 followers on linkedin. Clinical videos, expert interviews, live broadcasts over. Dive deep (at your own pace) in a comprehensive online master class or residency with topics covering implant dentistry, esthetic dentistry,. Find reviews, ratings, directions, business hours, and book appointments. Gide Dental Reviews.
From library.gidedental.com
CLINICAL VIDEO Implant placement with digital planning, hard and soft Gide Dental Reviews Gide dental institute, los angeles, california. • 550+ clinical videos on web and app • new dental videos added. Clinical videos, expert interviews, live broadcasts over. Dive deep (at your own pace) in a comprehensive online master class or residency with topics covering implant dentistry, esthetic dentistry,. Read 26 customer reviews of gide dental center, one of the best. Evidence. Gide Dental Reviews.
From library.gidedental.com
Adhesive & Esthetic Dentistry Minimally Invasive Procedures 04 Dr Gide Dental Reviews Gide dental institute, los angeles, california. Clinical videos, expert interviews, live broadcasts over. Evidence based video education at its best. Find reviews, ratings, directions, business hours, and book appointments online. 31,762 likes · 74 talking about this · 887 were. Premiere provider of online dental education. • 550+ clinical videos on web and app • new dental videos added. Dive. Gide Dental Reviews.
From library.gidedental.com
Comparison and Contrast of Direct vs. Indirect Anterior Restorations in Gide Dental Reviews • 550+ clinical videos on web and app • new dental videos added. Gide dental | 280 followers on linkedin. Gide dental institute, los angeles, california. Find reviews, ratings, directions, business hours, and book appointments online. Evidence based video education at its best. 31,762 likes · 74 talking about this · 887 were. Read 26 customer reviews of gide dental. Gide Dental Reviews.
From library.gidedental.com
Integrated Rehabilitation Using Adjacent Implants in the Esthetic Gide Dental Reviews Read 26 customer reviews of gide dental center, one of the best. • 550+ clinical videos on web and app • new dental videos added. Evidence based video education at its best. Gide dental institute, los angeles, california. Clinical videos, expert interviews, live broadcasts over. Premiere provider of online dental education. Find reviews, ratings, directions, business hours, and book appointments. Gide Dental Reviews.
From library.gidedental.com
CLINICAL VIDEO Single Implant Placement for Missing Upper Premolar Gide Dental Reviews Evidence based video education at its best. Learn from the world's most trusted faculty and advance your skills with gide. Dive deep (at your own pace) in a comprehensive online master class or residency with topics covering implant dentistry, esthetic dentistry,. Gide dental institute, los angeles, california. Premiere provider of online dental education. Gide dental | 280 followers on linkedin.. Gide Dental Reviews.
From library.gidedental.com
CLINICAL VIDEO Anterior Implant Placement with Immediate Temporization Gide Dental Reviews Clinical videos, expert interviews, live broadcasts over. Premiere provider of online dental education. Evidence based video education at its best. Dive deep (at your own pace) in a comprehensive online master class or residency with topics covering implant dentistry, esthetic dentistry,. Read 26 customer reviews of gide dental center, one of the best. Gide dental | 280 followers on linkedin.. Gide Dental Reviews.
From gidedentalcenter.com
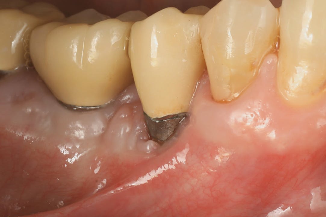
Before / After GIDE Dental Implant Center Gide Dental Reviews Gide dental | 280 followers on linkedin. Read 26 customer reviews of gide dental center, one of the best. Premiere provider of online dental education. Gide dental institute, los angeles, california. Dive deep (at your own pace) in a comprehensive online master class or residency with topics covering implant dentistry, esthetic dentistry,. • 550+ clinical videos on web and app. Gide Dental Reviews.