How To Treat Perforation In Rct . Perforation can be of two types, one that results from a resorptive process and the other, that is iatrogenically produced, which can occur during access cavity preparation and location of canal orifices or biomechanical preparation of the root canal or during a postendodontic procedure. Root perforation is an artificial communication between the root canal. Explains the aetiology of root perforations. A perforation is a communication that arises between the periodontium and the root canal space. The three most widely recommended materials to seal root perforations have been calcium hydroxide, mineral trioxide. Reviews factors associated with the success of perforation. When you see a root perforation, you may not even be thinking about how to treat that perforated root canal. Regardless of etiology, a perforation should be repaired as soon as possible to discourage further loss of attachment and prevent sulcular. Sonia chopra on december 17, 2023.
from tdouniversity.tdo4endo.com
Sonia chopra on december 17, 2023. Explains the aetiology of root perforations. When you see a root perforation, you may not even be thinking about how to treat that perforated root canal. A perforation is a communication that arises between the periodontium and the root canal space. Root perforation is an artificial communication between the root canal. Regardless of etiology, a perforation should be repaired as soon as possible to discourage further loss of attachment and prevent sulcular. The three most widely recommended materials to seal root perforations have been calcium hydroxide, mineral trioxide. Perforation can be of two types, one that results from a resorptive process and the other, that is iatrogenically produced, which can occur during access cavity preparation and location of canal orifices or biomechanical preparation of the root canal or during a postendodontic procedure. Reviews factors associated with the success of perforation.
Perforation management TDO University
How To Treat Perforation In Rct Perforation can be of two types, one that results from a resorptive process and the other, that is iatrogenically produced, which can occur during access cavity preparation and location of canal orifices or biomechanical preparation of the root canal or during a postendodontic procedure. Perforation can be of two types, one that results from a resorptive process and the other, that is iatrogenically produced, which can occur during access cavity preparation and location of canal orifices or biomechanical preparation of the root canal or during a postendodontic procedure. The three most widely recommended materials to seal root perforations have been calcium hydroxide, mineral trioxide. Sonia chopra on december 17, 2023. Regardless of etiology, a perforation should be repaired as soon as possible to discourage further loss of attachment and prevent sulcular. Explains the aetiology of root perforations. Reviews factors associated with the success of perforation. A perforation is a communication that arises between the periodontium and the root canal space. Root perforation is an artificial communication between the root canal. When you see a root perforation, you may not even be thinking about how to treat that perforated root canal.
From endodontics.styleitaliano.org
The Sandwich Technique A Convenient and Predictable method for Root Perforation Repair Style How To Treat Perforation In Rct The three most widely recommended materials to seal root perforations have been calcium hydroxide, mineral trioxide. Reviews factors associated with the success of perforation. Explains the aetiology of root perforations. Sonia chopra on december 17, 2023. Regardless of etiology, a perforation should be repaired as soon as possible to discourage further loss of attachment and prevent sulcular. When you see. How To Treat Perforation In Rct.
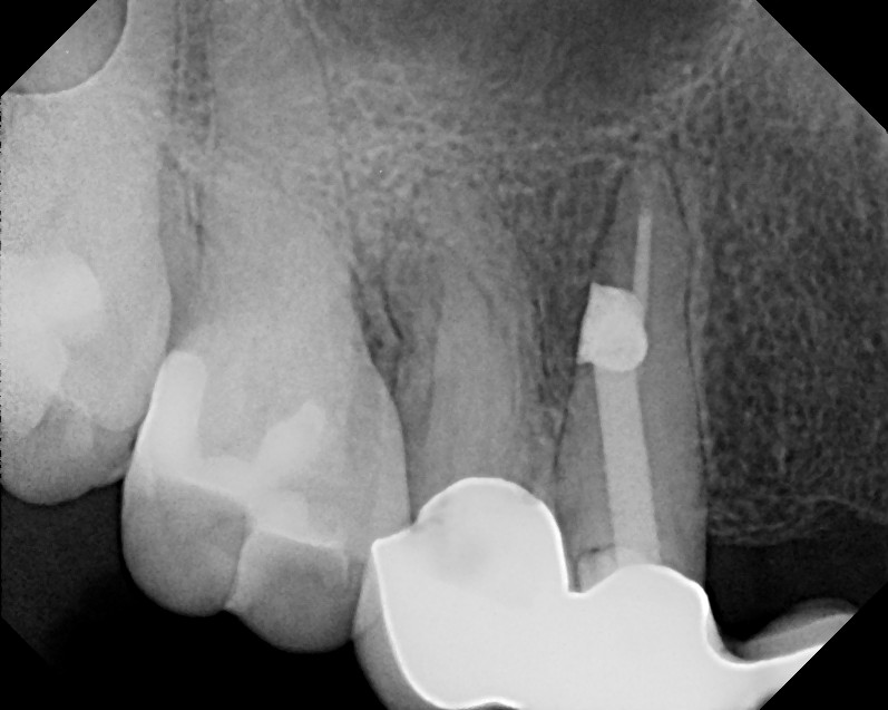
From www.drcameroncurrie.com
UR6 RCT with perforation repair — Cameron Currie Endodontics How To Treat Perforation In Rct Explains the aetiology of root perforations. Sonia chopra on december 17, 2023. When you see a root perforation, you may not even be thinking about how to treat that perforated root canal. Regardless of etiology, a perforation should be repaired as soon as possible to discourage further loss of attachment and prevent sulcular. Reviews factors associated with the success of. How To Treat Perforation In Rct.
From www.midentalclinic.com
What is a Root Canal Therapy? Mi DENTAL How To Treat Perforation In Rct Explains the aetiology of root perforations. When you see a root perforation, you may not even be thinking about how to treat that perforated root canal. The three most widely recommended materials to seal root perforations have been calcium hydroxide, mineral trioxide. Perforation can be of two types, one that results from a resorptive process and the other, that is. How To Treat Perforation In Rct.
From www.youtube.com
Root perforation extraction vs restoring YouTube How To Treat Perforation In Rct The three most widely recommended materials to seal root perforations have been calcium hydroxide, mineral trioxide. Sonia chopra on december 17, 2023. Explains the aetiology of root perforations. A perforation is a communication that arises between the periodontium and the root canal space. Perforation can be of two types, one that results from a resorptive process and the other, that. How To Treat Perforation In Rct.
From www.theendoblog.com
The Endo Blog Microscopes & Management of Root Canal Perforation How To Treat Perforation In Rct Regardless of etiology, a perforation should be repaired as soon as possible to discourage further loss of attachment and prevent sulcular. Sonia chopra on december 17, 2023. A perforation is a communication that arises between the periodontium and the root canal space. Root perforation is an artificial communication between the root canal. Reviews factors associated with the success of perforation.. How To Treat Perforation In Rct.
From www.semanticscholar.org
Figure 1 from Diagnosis and treatment of accidental root perforations Semantic Scholar How To Treat Perforation In Rct A perforation is a communication that arises between the periodontium and the root canal space. Regardless of etiology, a perforation should be repaired as soon as possible to discourage further loss of attachment and prevent sulcular. Root perforation is an artificial communication between the root canal. Sonia chopra on december 17, 2023. Perforation can be of two types, one that. How To Treat Perforation In Rct.
From tdouniversity.tdo4endo.com
Perforation management TDO University How To Treat Perforation In Rct A perforation is a communication that arises between the periodontium and the root canal space. Sonia chopra on december 17, 2023. Reviews factors associated with the success of perforation. The three most widely recommended materials to seal root perforations have been calcium hydroxide, mineral trioxide. Regardless of etiology, a perforation should be repaired as soon as possible to discourage further. How To Treat Perforation In Rct.
From www.theendoblog.com
The Endo Blog Root Canal Surgery to Repair Post Perforation How To Treat Perforation In Rct Explains the aetiology of root perforations. Regardless of etiology, a perforation should be repaired as soon as possible to discourage further loss of attachment and prevent sulcular. Perforation can be of two types, one that results from a resorptive process and the other, that is iatrogenically produced, which can occur during access cavity preparation and location of canal orifices or. How To Treat Perforation In Rct.
From curofy.com
Sir what will be prognosis and treatment of tooth with large furcation perforation during rct How To Treat Perforation In Rct Root perforation is an artificial communication between the root canal. Perforation can be of two types, one that results from a resorptive process and the other, that is iatrogenically produced, which can occur during access cavity preparation and location of canal orifices or biomechanical preparation of the root canal or during a postendodontic procedure. The three most widely recommended materials. How To Treat Perforation In Rct.
From www.researchgate.net
(PDF) Treatment of root perforations with calcium hydroxide and SuperEBA cement How To Treat Perforation In Rct Explains the aetiology of root perforations. A perforation is a communication that arises between the periodontium and the root canal space. When you see a root perforation, you may not even be thinking about how to treat that perforated root canal. Root perforation is an artificial communication between the root canal. Reviews factors associated with the success of perforation. Sonia. How To Treat Perforation In Rct.
From www.semanticscholar.org
Figure 1 from Diagnosis and treatment of accidental root perforations Semantic Scholar How To Treat Perforation In Rct The three most widely recommended materials to seal root perforations have been calcium hydroxide, mineral trioxide. When you see a root perforation, you may not even be thinking about how to treat that perforated root canal. Perforation can be of two types, one that results from a resorptive process and the other, that is iatrogenically produced, which can occur during. How To Treat Perforation In Rct.
From www.youtube.com
Fear of Furcation Perforation during root canal treatment How to deal with perforation in RCT How To Treat Perforation In Rct Explains the aetiology of root perforations. When you see a root perforation, you may not even be thinking about how to treat that perforated root canal. Regardless of etiology, a perforation should be repaired as soon as possible to discourage further loss of attachment and prevent sulcular. Reviews factors associated with the success of perforation. A perforation is a communication. How To Treat Perforation In Rct.
From www.theendoblog.com
The Endo Blog Microscopes & Management of Root Canal Perforation How To Treat Perforation In Rct Regardless of etiology, a perforation should be repaired as soon as possible to discourage further loss of attachment and prevent sulcular. Perforation can be of two types, one that results from a resorptive process and the other, that is iatrogenically produced, which can occur during access cavity preparation and location of canal orifices or biomechanical preparation of the root canal. How To Treat Perforation In Rct.
From www.theendoblog.com
The Endo Blog Microscopes & Management of Root Canal Perforation How To Treat Perforation In Rct Explains the aetiology of root perforations. Sonia chopra on december 17, 2023. When you see a root perforation, you may not even be thinking about how to treat that perforated root canal. Reviews factors associated with the success of perforation. Perforation can be of two types, one that results from a resorptive process and the other, that is iatrogenically produced,. How To Treat Perforation In Rct.
From dev.edentalportal.com
Step by Step Root Canal Treatment (RCT) using Protaper® How To Treat Perforation In Rct Perforation can be of two types, one that results from a resorptive process and the other, that is iatrogenically produced, which can occur during access cavity preparation and location of canal orifices or biomechanical preparation of the root canal or during a postendodontic procedure. Root perforation is an artificial communication between the root canal. When you see a root perforation,. How To Treat Perforation In Rct.
From www.theendoblog.com
The Endo Blog Root Canal Surgery to Repair Post Perforation How To Treat Perforation In Rct Regardless of etiology, a perforation should be repaired as soon as possible to discourage further loss of attachment and prevent sulcular. The three most widely recommended materials to seal root perforations have been calcium hydroxide, mineral trioxide. Explains the aetiology of root perforations. When you see a root perforation, you may not even be thinking about how to treat that. How To Treat Perforation In Rct.
From www.theendoblog.com
The Endo Blog Root Canal Treatment Saves a Perforated Tooth How To Treat Perforation In Rct Root perforation is an artificial communication between the root canal. When you see a root perforation, you may not even be thinking about how to treat that perforated root canal. Regardless of etiology, a perforation should be repaired as soon as possible to discourage further loss of attachment and prevent sulcular. Sonia chopra on december 17, 2023. Reviews factors associated. How To Treat Perforation In Rct.
From www.youtube.com
How to treat main vessel coronary perforation stepbystep YouTube How To Treat Perforation In Rct Perforation can be of two types, one that results from a resorptive process and the other, that is iatrogenically produced, which can occur during access cavity preparation and location of canal orifices or biomechanical preparation of the root canal or during a postendodontic procedure. Regardless of etiology, a perforation should be repaired as soon as possible to discourage further loss. How To Treat Perforation In Rct.
From www.twinkledental.com.sg
What is a Root Canal Treatment? RCT Twinkle Dental How To Treat Perforation In Rct Sonia chopra on december 17, 2023. The three most widely recommended materials to seal root perforations have been calcium hydroxide, mineral trioxide. A perforation is a communication that arises between the periodontium and the root canal space. Reviews factors associated with the success of perforation. Regardless of etiology, a perforation should be repaired as soon as possible to discourage further. How To Treat Perforation In Rct.
From www.youtube.com
Nasal Septal Perforation Why this Occurs? How to Treat? Precautions to Prevent Septal How To Treat Perforation In Rct When you see a root perforation, you may not even be thinking about how to treat that perforated root canal. The three most widely recommended materials to seal root perforations have been calcium hydroxide, mineral trioxide. Explains the aetiology of root perforations. Sonia chopra on december 17, 2023. Reviews factors associated with the success of perforation. Root perforation is an. How To Treat Perforation In Rct.
From endopracticeus.com
Perforation repair Endodontic Practice US Dental Journal and Online Dental CE How To Treat Perforation In Rct Perforation can be of two types, one that results from a resorptive process and the other, that is iatrogenically produced, which can occur during access cavity preparation and location of canal orifices or biomechanical preparation of the root canal or during a postendodontic procedure. Sonia chopra on december 17, 2023. Explains the aetiology of root perforations. Reviews factors associated with. How To Treat Perforation In Rct.
From pocketdentistry.com
Repair of Pulp Chamber and Root Perforations Pocket Dentistry How To Treat Perforation In Rct Root perforation is an artificial communication between the root canal. Explains the aetiology of root perforations. Sonia chopra on december 17, 2023. The three most widely recommended materials to seal root perforations have been calcium hydroxide, mineral trioxide. Regardless of etiology, a perforation should be repaired as soon as possible to discourage further loss of attachment and prevent sulcular. When. How To Treat Perforation In Rct.
From pocketdentistry.com
7 Use of MTA as Root Perforation Repair Pocket Dentistry How To Treat Perforation In Rct Regardless of etiology, a perforation should be repaired as soon as possible to discourage further loss of attachment and prevent sulcular. Sonia chopra on december 17, 2023. The three most widely recommended materials to seal root perforations have been calcium hydroxide, mineral trioxide. Root perforation is an artificial communication between the root canal. A perforation is a communication that arises. How To Treat Perforation In Rct.
From citoday.com
Using Coils to Treat a Coronary Perforation Cardiac Interventions Today How To Treat Perforation In Rct Root perforation is an artificial communication between the root canal. Reviews factors associated with the success of perforation. When you see a root perforation, you may not even be thinking about how to treat that perforated root canal. Explains the aetiology of root perforations. Perforation can be of two types, one that results from a resorptive process and the other,. How To Treat Perforation In Rct.
From endopracticeus.com
CE Nonsurgical retreatment and perforation repair in a maxillary first molar How To Treat Perforation In Rct The three most widely recommended materials to seal root perforations have been calcium hydroxide, mineral trioxide. When you see a root perforation, you may not even be thinking about how to treat that perforated root canal. Regardless of etiology, a perforation should be repaired as soon as possible to discourage further loss of attachment and prevent sulcular. A perforation is. How To Treat Perforation In Rct.
From www.youtube.com
Broken file removal from a root canal of a mandibular molar Failed RCT Perforation ReRCT How To Treat Perforation In Rct Regardless of etiology, a perforation should be repaired as soon as possible to discourage further loss of attachment and prevent sulcular. Sonia chopra on december 17, 2023. Perforation can be of two types, one that results from a resorptive process and the other, that is iatrogenically produced, which can occur during access cavity preparation and location of canal orifices or. How To Treat Perforation In Rct.
From www.youtube.com
ROOT CANAL TREATMENT YouTube How To Treat Perforation In Rct Sonia chopra on december 17, 2023. When you see a root perforation, you may not even be thinking about how to treat that perforated root canal. Explains the aetiology of root perforations. Perforation can be of two types, one that results from a resorptive process and the other, that is iatrogenically produced, which can occur during access cavity preparation and. How To Treat Perforation In Rct.
From dentagama.com
Root canal treatment (endodontic treatment) explained News Dentagama How To Treat Perforation In Rct Reviews factors associated with the success of perforation. Regardless of etiology, a perforation should be repaired as soon as possible to discourage further loss of attachment and prevent sulcular. The three most widely recommended materials to seal root perforations have been calcium hydroxide, mineral trioxide. Sonia chopra on december 17, 2023. Root perforation is an artificial communication between the root. How To Treat Perforation In Rct.
From www.theendoblog.com
The Endo Blog Root Canal Surgery to Repair Post Perforation How To Treat Perforation In Rct Sonia chopra on december 17, 2023. Reviews factors associated with the success of perforation. The three most widely recommended materials to seal root perforations have been calcium hydroxide, mineral trioxide. Regardless of etiology, a perforation should be repaired as soon as possible to discourage further loss of attachment and prevent sulcular. Perforation can be of two types, one that results. How To Treat Perforation In Rct.
From www.youtube.com
Endodontic Perforation management Prognosis & Treatment Part 2 YouTube How To Treat Perforation In Rct The three most widely recommended materials to seal root perforations have been calcium hydroxide, mineral trioxide. Sonia chopra on december 17, 2023. Regardless of etiology, a perforation should be repaired as soon as possible to discourage further loss of attachment and prevent sulcular. Explains the aetiology of root perforations. A perforation is a communication that arises between the periodontium and. How To Treat Perforation In Rct.
From endopracticeus.com
CE Nonsurgical retreatment and perforation repair in a maxillary first molar How To Treat Perforation In Rct Explains the aetiology of root perforations. When you see a root perforation, you may not even be thinking about how to treat that perforated root canal. Root perforation is an artificial communication between the root canal. A perforation is a communication that arises between the periodontium and the root canal space. The three most widely recommended materials to seal root. How To Treat Perforation In Rct.
From pocketdentistry.com
Iatrogenic Perforations Pocket Dentistry How To Treat Perforation In Rct A perforation is a communication that arises between the periodontium and the root canal space. Perforation can be of two types, one that results from a resorptive process and the other, that is iatrogenically produced, which can occur during access cavity preparation and location of canal orifices or biomechanical preparation of the root canal or during a postendodontic procedure. Root. How To Treat Perforation In Rct.
From www.youtube.com
Prof. Hussain AlHuwaiziBypass of fractured root canal instrument YouTube How To Treat Perforation In Rct Explains the aetiology of root perforations. When you see a root perforation, you may not even be thinking about how to treat that perforated root canal. Sonia chopra on december 17, 2023. A perforation is a communication that arises between the periodontium and the root canal space. Regardless of etiology, a perforation should be repaired as soon as possible to. How To Treat Perforation In Rct.
From www.theendoblog.com
The Endo Blog Preventing Root Canal Perforation by Case Selection How To Treat Perforation In Rct Regardless of etiology, a perforation should be repaired as soon as possible to discourage further loss of attachment and prevent sulcular. Reviews factors associated with the success of perforation. Perforation can be of two types, one that results from a resorptive process and the other, that is iatrogenically produced, which can occur during access cavity preparation and location of canal. How To Treat Perforation In Rct.
From www.myzerodonto.com
Management of severe internal resorption with perforation, 8 months follow up! MyZerodonto How To Treat Perforation In Rct Root perforation is an artificial communication between the root canal. When you see a root perforation, you may not even be thinking about how to treat that perforated root canal. Explains the aetiology of root perforations. A perforation is a communication that arises between the periodontium and the root canal space. Reviews factors associated with the success of perforation. Regardless. How To Treat Perforation In Rct.