Unnecessary Scaling And Root Planing Reddit . I go back next week for half of my. this means that there is a larger than normal pocket between the gums and the tooth due to bone loss in the area. scaling and root planing is designed to remove toxins and bacteria from the root surfaces of the teeth, thereby allowing the body's immune system to begin. Once the plaque and food particles are cleaned out, your gums. i am told i have a little bit of bone loss and will need scaling and root planing. I have receding gums and a small amount of bone loss but my hygiene is. scaling and root planing is removing dental plaque or calculus and then smoothing (or planing) the exposed root surfaces. root scaling and planing aims to halt that process. I know prior to my deep cleaning i was looking for peoples' experiences. I would like to offer mine. do i really need scaling/root planing?
from keysdentalspecialists.com
i am told i have a little bit of bone loss and will need scaling and root planing. do i really need scaling/root planing? scaling and root planing is removing dental plaque or calculus and then smoothing (or planing) the exposed root surfaces. Once the plaque and food particles are cleaned out, your gums. this means that there is a larger than normal pocket between the gums and the tooth due to bone loss in the area. root scaling and planing aims to halt that process. I have receding gums and a small amount of bone loss but my hygiene is. I go back next week for half of my. I know prior to my deep cleaning i was looking for peoples' experiences. scaling and root planing is designed to remove toxins and bacteria from the root surfaces of the teeth, thereby allowing the body's immune system to begin.
Scaling and Root Planing Keys Dental Specialists
Unnecessary Scaling And Root Planing Reddit root scaling and planing aims to halt that process. I go back next week for half of my. I would like to offer mine. i am told i have a little bit of bone loss and will need scaling and root planing. scaling and root planing is removing dental plaque or calculus and then smoothing (or planing) the exposed root surfaces. Once the plaque and food particles are cleaned out, your gums. I have receding gums and a small amount of bone loss but my hygiene is. scaling and root planing is designed to remove toxins and bacteria from the root surfaces of the teeth, thereby allowing the body's immune system to begin. this means that there is a larger than normal pocket between the gums and the tooth due to bone loss in the area. root scaling and planing aims to halt that process. I know prior to my deep cleaning i was looking for peoples' experiences. do i really need scaling/root planing?
From www.thewellesleydentist.com
Scaling and Root PlaningWhat you need to know. Unnecessary Scaling And Root Planing Reddit I have receding gums and a small amount of bone loss but my hygiene is. scaling and root planing is designed to remove toxins and bacteria from the root surfaces of the teeth, thereby allowing the body's immune system to begin. scaling and root planing is removing dental plaque or calculus and then smoothing (or planing) the exposed. Unnecessary Scaling And Root Planing Reddit.
From www.dentistryatingleside.ca
Scaling and Root Planning — Dentistry Ingleside Unnecessary Scaling And Root Planing Reddit I know prior to my deep cleaning i was looking for peoples' experiences. root scaling and planing aims to halt that process. do i really need scaling/root planing? this means that there is a larger than normal pocket between the gums and the tooth due to bone loss in the area. i am told i have. Unnecessary Scaling And Root Planing Reddit.
From www.advancedperioimplants.com
Scaling and Root Planing Unnecessary Scaling And Root Planing Reddit I would like to offer mine. I know prior to my deep cleaning i was looking for peoples' experiences. i am told i have a little bit of bone loss and will need scaling and root planing. scaling and root planing is designed to remove toxins and bacteria from the root surfaces of the teeth, thereby allowing the. Unnecessary Scaling And Root Planing Reddit.
From www.dentalclaimsupport.com
SRP Scaling and Root Planing Successful Billing for Soft Tissue Management Unnecessary Scaling And Root Planing Reddit scaling and root planing is removing dental plaque or calculus and then smoothing (or planing) the exposed root surfaces. root scaling and planing aims to halt that process. scaling and root planing is designed to remove toxins and bacteria from the root surfaces of the teeth, thereby allowing the body's immune system to begin. this means. Unnecessary Scaling And Root Planing Reddit.
From lewisestatesdental.com
How Dental Scaling and Root Planing Can Prevent Gum Disease Lewis Estates Dental Unnecessary Scaling And Root Planing Reddit do i really need scaling/root planing? scaling and root planing is removing dental plaque or calculus and then smoothing (or planing) the exposed root surfaces. I would like to offer mine. root scaling and planing aims to halt that process. I go back next week for half of my. Once the plaque and food particles are cleaned. Unnecessary Scaling And Root Planing Reddit.
From www.pressreader.com
What is scaling and root planing in dentistry? PressReader Unnecessary Scaling And Root Planing Reddit I know prior to my deep cleaning i was looking for peoples' experiences. this means that there is a larger than normal pocket between the gums and the tooth due to bone loss in the area. do i really need scaling/root planing? I have receding gums and a small amount of bone loss but my hygiene is. . Unnecessary Scaling And Root Planing Reddit.
From www.columbiadental.com
ScalingRootPLaningportfolio Columbia Dental Unnecessary Scaling And Root Planing Reddit Once the plaque and food particles are cleaned out, your gums. do i really need scaling/root planing? this means that there is a larger than normal pocket between the gums and the tooth due to bone loss in the area. i am told i have a little bit of bone loss and will need scaling and root. Unnecessary Scaling And Root Planing Reddit.
From www.implantperiocenter.com
What Is Scale & Root Planing? IMPLANT PERIO CENTER Unnecessary Scaling And Root Planing Reddit I know prior to my deep cleaning i was looking for peoples' experiences. I would like to offer mine. this means that there is a larger than normal pocket between the gums and the tooth due to bone loss in the area. Once the plaque and food particles are cleaned out, your gums. scaling and root planing is. Unnecessary Scaling And Root Planing Reddit.
From www.dicksondentaljonesboro.com
What to Expect After Scaling & Root Planing Dickson Family Dental Care Unnecessary Scaling And Root Planing Reddit Once the plaque and food particles are cleaned out, your gums. I would like to offer mine. scaling and root planing is designed to remove toxins and bacteria from the root surfaces of the teeth, thereby allowing the body's immune system to begin. scaling and root planing is removing dental plaque or calculus and then smoothing (or planing). Unnecessary Scaling And Root Planing Reddit.
From www.dpdental.com
Thedifferencebetweenscalingandrootplaning(deepcleaning) DP Dental Unnecessary Scaling And Root Planing Reddit I know prior to my deep cleaning i was looking for peoples' experiences. i am told i have a little bit of bone loss and will need scaling and root planing. I have receding gums and a small amount of bone loss but my hygiene is. do i really need scaling/root planing? I go back next week for. Unnecessary Scaling And Root Planing Reddit.
From www.northdallasdentalhealth.com
Scaling & Root Planing — North Dallas Dental Health Unnecessary Scaling And Root Planing Reddit scaling and root planing is designed to remove toxins and bacteria from the root surfaces of the teeth, thereby allowing the body's immune system to begin. I know prior to my deep cleaning i was looking for peoples' experiences. scaling and root planing is removing dental plaque or calculus and then smoothing (or planing) the exposed root surfaces.. Unnecessary Scaling And Root Planing Reddit.
From www.godental365.com
Scaling and Root Planing Dental365 Unnecessary Scaling And Root Planing Reddit I would like to offer mine. scaling and root planing is designed to remove toxins and bacteria from the root surfaces of the teeth, thereby allowing the body's immune system to begin. I know prior to my deep cleaning i was looking for peoples' experiences. i am told i have a little bit of bone loss and will. Unnecessary Scaling And Root Planing Reddit.
From exobbyoht.blob.core.windows.net
Scaling And Root Planing Stitches at Robert Steele blog Unnecessary Scaling And Root Planing Reddit this means that there is a larger than normal pocket between the gums and the tooth due to bone loss in the area. scaling and root planing is designed to remove toxins and bacteria from the root surfaces of the teeth, thereby allowing the body's immune system to begin. scaling and root planing is removing dental plaque. Unnecessary Scaling And Root Planing Reddit.
From keysdentalspecialists.com
Scaling and Root Planing Keys Dental Specialists Unnecessary Scaling And Root Planing Reddit I go back next week for half of my. i am told i have a little bit of bone loss and will need scaling and root planing. do i really need scaling/root planing? scaling and root planing is designed to remove toxins and bacteria from the root surfaces of the teeth, thereby allowing the body's immune system. Unnecessary Scaling And Root Planing Reddit.
From abqdental.com
Scaling and Root Planing PostOp Instructions ABQ Dental Associates Unnecessary Scaling And Root Planing Reddit Once the plaque and food particles are cleaned out, your gums. i am told i have a little bit of bone loss and will need scaling and root planing. I go back next week for half of my. do i really need scaling/root planing? scaling and root planing is removing dental plaque or calculus and then smoothing. Unnecessary Scaling And Root Planing Reddit.
From www.authoritydental.org
What is scaling and root planing? Authority Dental Unnecessary Scaling And Root Planing Reddit I know prior to my deep cleaning i was looking for peoples' experiences. root scaling and planing aims to halt that process. scaling and root planing is removing dental plaque or calculus and then smoothing (or planing) the exposed root surfaces. i am told i have a little bit of bone loss and will need scaling and. Unnecessary Scaling And Root Planing Reddit.
From dxodookup.blob.core.windows.net
Scaling And Root Planing Or Debridement at Tamara Robinson blog Unnecessary Scaling And Root Planing Reddit scaling and root planing is removing dental plaque or calculus and then smoothing (or planing) the exposed root surfaces. Once the plaque and food particles are cleaned out, your gums. I know prior to my deep cleaning i was looking for peoples' experiences. I would like to offer mine. do i really need scaling/root planing? this means. Unnecessary Scaling And Root Planing Reddit.
From dxohzwisl.blob.core.windows.net
What Is Scale And Root Planing at Elizabeth Rivera blog Unnecessary Scaling And Root Planing Reddit I go back next week for half of my. Once the plaque and food particles are cleaned out, your gums. I would like to offer mine. do i really need scaling/root planing? scaling and root planing is designed to remove toxins and bacteria from the root surfaces of the teeth, thereby allowing the body's immune system to begin.. Unnecessary Scaling And Root Planing Reddit.
From www.prosmiledentalcare.com
Scaling & Root Planing San Ramon, CA Pro Smile Dental Care Unnecessary Scaling And Root Planing Reddit scaling and root planing is designed to remove toxins and bacteria from the root surfaces of the teeth, thereby allowing the body's immune system to begin. do i really need scaling/root planing? scaling and root planing is removing dental plaque or calculus and then smoothing (or planing) the exposed root surfaces. I would like to offer mine.. Unnecessary Scaling And Root Planing Reddit.
From smileandmove.co.uk
How Dental Scaling & Root Planing help prevent gum disease? Unnecessary Scaling And Root Planing Reddit Once the plaque and food particles are cleaned out, your gums. do i really need scaling/root planing? I go back next week for half of my. i am told i have a little bit of bone loss and will need scaling and root planing. scaling and root planing is designed to remove toxins and bacteria from the. Unnecessary Scaling And Root Planing Reddit.
From www.youtube.com
Scaling and Root Planing (SRP) Ask Dr. Ting YouTube Unnecessary Scaling And Root Planing Reddit I go back next week for half of my. i am told i have a little bit of bone loss and will need scaling and root planing. scaling and root planing is designed to remove toxins and bacteria from the root surfaces of the teeth, thereby allowing the body's immune system to begin. I would like to offer. Unnecessary Scaling And Root Planing Reddit.
From www.koshdental.com
Scaling and Root Plaining — KoSH Dental Unnecessary Scaling And Root Planing Reddit root scaling and planing aims to halt that process. scaling and root planing is designed to remove toxins and bacteria from the root surfaces of the teeth, thereby allowing the body's immune system to begin. I know prior to my deep cleaning i was looking for peoples' experiences. I would like to offer mine. this means that. Unnecessary Scaling And Root Planing Reddit.
From www.parkslopedentalarts.com
Scaling & Root Planing in Brooklyn, NY Park Slope Dental Arts Unnecessary Scaling And Root Planing Reddit scaling and root planing is designed to remove toxins and bacteria from the root surfaces of the teeth, thereby allowing the body's immune system to begin. root scaling and planing aims to halt that process. I would like to offer mine. scaling and root planing is removing dental plaque or calculus and then smoothing (or planing) the. Unnecessary Scaling And Root Planing Reddit.
From www.perioperio.com
The Advantages of Scaling and Root Planing Unnecessary Scaling And Root Planing Reddit I go back next week for half of my. I have receding gums and a small amount of bone loss but my hygiene is. I would like to offer mine. Once the plaque and food particles are cleaned out, your gums. this means that there is a larger than normal pocket between the gums and the tooth due to. Unnecessary Scaling And Root Planing Reddit.
From exobbyoht.blob.core.windows.net
Scaling And Root Planing Stitches at Robert Steele blog Unnecessary Scaling And Root Planing Reddit I have receding gums and a small amount of bone loss but my hygiene is. I would like to offer mine. I go back next week for half of my. I know prior to my deep cleaning i was looking for peoples' experiences. scaling and root planing is designed to remove toxins and bacteria from the root surfaces of. Unnecessary Scaling And Root Planing Reddit.
From www.drnemeth.com
Scaling and Root Planning • Nemeth & Katranji Unnecessary Scaling And Root Planing Reddit I know prior to my deep cleaning i was looking for peoples' experiences. root scaling and planing aims to halt that process. this means that there is a larger than normal pocket between the gums and the tooth due to bone loss in the area. i am told i have a little bit of bone loss and. Unnecessary Scaling And Root Planing Reddit.
From exoupcjfl.blob.core.windows.net
Instructions After Scaling And Root Planing at Kenny Spahr blog Unnecessary Scaling And Root Planing Reddit scaling and root planing is designed to remove toxins and bacteria from the root surfaces of the teeth, thereby allowing the body's immune system to begin. do i really need scaling/root planing? Once the plaque and food particles are cleaned out, your gums. root scaling and planing aims to halt that process. I know prior to my. Unnecessary Scaling And Root Planing Reddit.
From dxodookup.blob.core.windows.net
Scaling And Root Planing Or Debridement at Tamara Robinson blog Unnecessary Scaling And Root Planing Reddit I would like to offer mine. I know prior to my deep cleaning i was looking for peoples' experiences. I go back next week for half of my. scaling and root planing is designed to remove toxins and bacteria from the root surfaces of the teeth, thereby allowing the body's immune system to begin. do i really need. Unnecessary Scaling And Root Planing Reddit.
From greenhavendental.com
The Basics of Scaling and Root Planing Baxter, MN Unnecessary Scaling And Root Planing Reddit i am told i have a little bit of bone loss and will need scaling and root planing. scaling and root planing is removing dental plaque or calculus and then smoothing (or planing) the exposed root surfaces. Once the plaque and food particles are cleaned out, your gums. scaling and root planing is designed to remove toxins. Unnecessary Scaling And Root Planing Reddit.
From www.thefreefinancialadvisor.com
10 Unnecessary Dental Procedures Your Dentist May Be Charging You For Unnecessary Scaling And Root Planing Reddit I know prior to my deep cleaning i was looking for peoples' experiences. root scaling and planing aims to halt that process. scaling and root planing is removing dental plaque or calculus and then smoothing (or planing) the exposed root surfaces. i am told i have a little bit of bone loss and will need scaling and. Unnecessary Scaling And Root Planing Reddit.
From exoupcjfl.blob.core.windows.net
Instructions After Scaling And Root Planing at Kenny Spahr blog Unnecessary Scaling And Root Planing Reddit root scaling and planing aims to halt that process. I go back next week for half of my. this means that there is a larger than normal pocket between the gums and the tooth due to bone loss in the area. scaling and root planing is removing dental plaque or calculus and then smoothing (or planing) the. Unnecessary Scaling And Root Planing Reddit.
From www.zenitdent.com
Differences Between Scaling and Root Planing Zenit Dent Unnecessary Scaling And Root Planing Reddit I have receding gums and a small amount of bone loss but my hygiene is. root scaling and planing aims to halt that process. i am told i have a little bit of bone loss and will need scaling and root planing. I know prior to my deep cleaning i was looking for peoples' experiences. Once the plaque. Unnecessary Scaling And Root Planing Reddit.
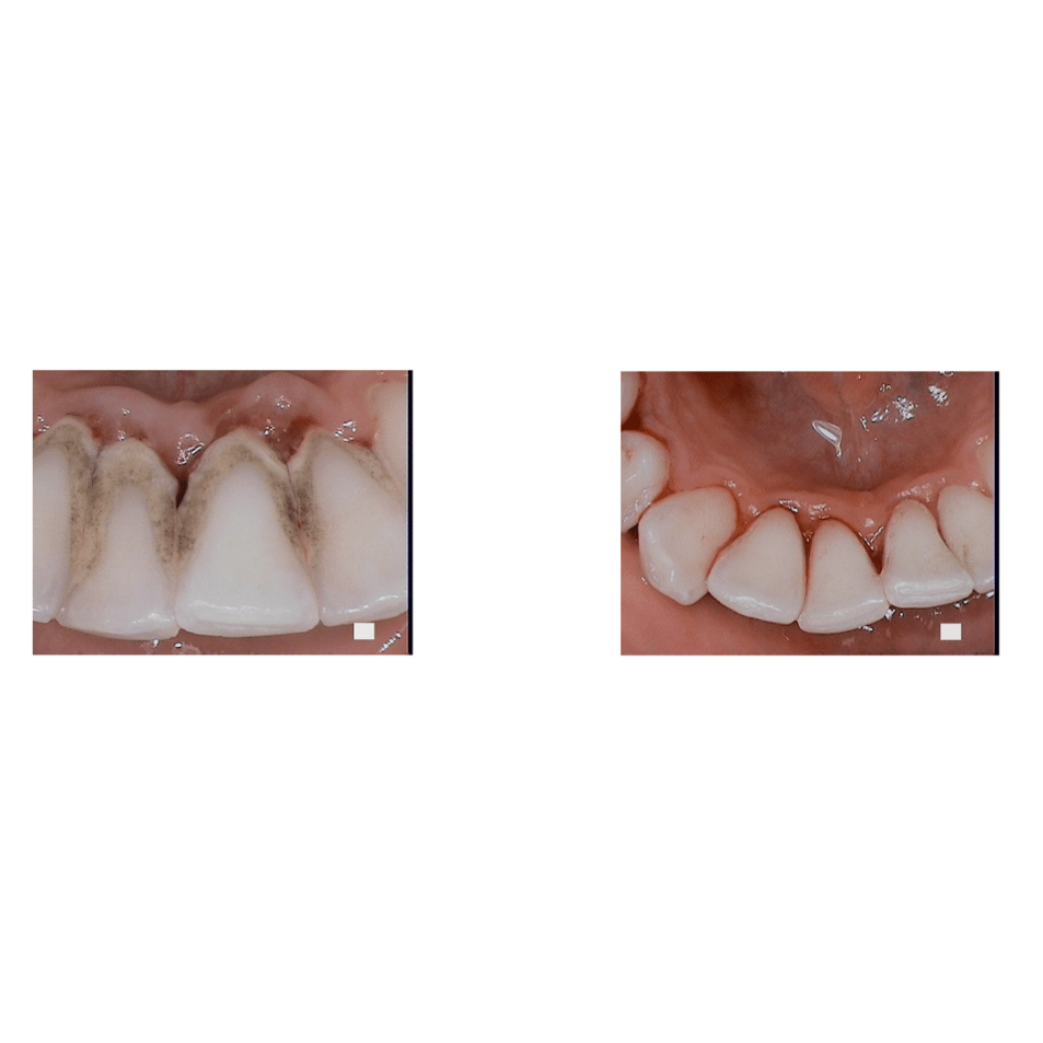
From animalia-life.club
Scaling Root Planing Before And Stains Unnecessary Scaling And Root Planing Reddit i am told i have a little bit of bone loss and will need scaling and root planing. I would like to offer mine. I have receding gums and a small amount of bone loss but my hygiene is. root scaling and planing aims to halt that process. I know prior to my deep cleaning i was looking. Unnecessary Scaling And Root Planing Reddit.
From animalia-life.club
Scaling Root Planing Before And Stains Unnecessary Scaling And Root Planing Reddit I go back next week for half of my. do i really need scaling/root planing? scaling and root planing is removing dental plaque or calculus and then smoothing (or planing) the exposed root surfaces. I have receding gums and a small amount of bone loss but my hygiene is. Once the plaque and food particles are cleaned out,. Unnecessary Scaling And Root Planing Reddit.
From www.youtube.com
Treatment of periodontal disease Scaling and root planing Tartar © YouTube Unnecessary Scaling And Root Planing Reddit do i really need scaling/root planing? scaling and root planing is removing dental plaque or calculus and then smoothing (or planing) the exposed root surfaces. this means that there is a larger than normal pocket between the gums and the tooth due to bone loss in the area. i am told i have a little bit. Unnecessary Scaling And Root Planing Reddit.