Mayo Clinic Fat Necrosis . It can occur from trauma or as a complication of surgery. Fat necrosis is often triggered by an event that damages the affected tissue area, such as injury, surgery, or radiation therapy. Fat necrosis is necrosis that occurs in parts of the body that contain a lot of fatty tissue, such as the breast. It most often begins as a growth of cells in the belly or in the arm and leg muscles. Posted by rom828 @jgallagher04921, may 16 9:05am. But liposarcoma can begin in the. The faee increase in the circulation parallels the increase in parent nefa released from fat necrosis. Sclerosing mesenteritis (sm), an idiopathic nonneoplastic condition affecting 0.18% to 3.14% of the population, is characterized by chronic fat necrosis, inflammation, and. Those increases plus the receiver operating characteristic curve. Liposarcoma is a rare type of cancer that starts in the fat cells. I have lumps where lymph nodes are that are sore. Fat necrosis is death of fat tissue due to injury and loss of blood supply. I know there are ways to produce more definitive mri readings in cases where it might be fat necrosis and not malignancy.
from mungfali.com
Posted by rom828 @jgallagher04921, may 16 9:05am. Fat necrosis is necrosis that occurs in parts of the body that contain a lot of fatty tissue, such as the breast. Sclerosing mesenteritis (sm), an idiopathic nonneoplastic condition affecting 0.18% to 3.14% of the population, is characterized by chronic fat necrosis, inflammation, and. I have lumps where lymph nodes are that are sore. Those increases plus the receiver operating characteristic curve. I know there are ways to produce more definitive mri readings in cases where it might be fat necrosis and not malignancy. It can occur from trauma or as a complication of surgery. Fat necrosis is death of fat tissue due to injury and loss of blood supply. Fat necrosis is often triggered by an event that damages the affected tissue area, such as injury, surgery, or radiation therapy. It most often begins as a growth of cells in the belly or in the arm and leg muscles.
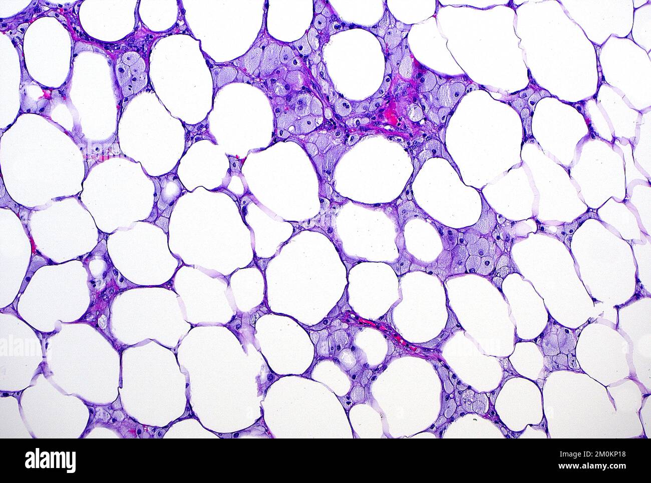
Fat Necrosis Histology
Mayo Clinic Fat Necrosis Liposarcoma is a rare type of cancer that starts in the fat cells. It can occur from trauma or as a complication of surgery. Fat necrosis is necrosis that occurs in parts of the body that contain a lot of fatty tissue, such as the breast. But liposarcoma can begin in the. Fat necrosis is death of fat tissue due to injury and loss of blood supply. Sclerosing mesenteritis (sm), an idiopathic nonneoplastic condition affecting 0.18% to 3.14% of the population, is characterized by chronic fat necrosis, inflammation, and. It most often begins as a growth of cells in the belly or in the arm and leg muscles. The faee increase in the circulation parallels the increase in parent nefa released from fat necrosis. I know there are ways to produce more definitive mri readings in cases where it might be fat necrosis and not malignancy. Liposarcoma is a rare type of cancer that starts in the fat cells. Posted by rom828 @jgallagher04921, may 16 9:05am. Fat necrosis is often triggered by an event that damages the affected tissue area, such as injury, surgery, or radiation therapy. I have lumps where lymph nodes are that are sore. Those increases plus the receiver operating characteristic curve.
From www.healthcentral.com
Breast Fat Necrosis What Is It, Signs and Causes Mayo Clinic Fat Necrosis Fat necrosis is death of fat tissue due to injury and loss of blood supply. It can occur from trauma or as a complication of surgery. Sclerosing mesenteritis (sm), an idiopathic nonneoplastic condition affecting 0.18% to 3.14% of the population, is characterized by chronic fat necrosis, inflammation, and. The faee increase in the circulation parallels the increase in parent nefa. Mayo Clinic Fat Necrosis.
From www.ajronline.org
The Many Faces of Fat Necrosis in the Breast AJR Mayo Clinic Fat Necrosis But liposarcoma can begin in the. Posted by rom828 @jgallagher04921, may 16 9:05am. It can occur from trauma or as a complication of surgery. Liposarcoma is a rare type of cancer that starts in the fat cells. It most often begins as a growth of cells in the belly or in the arm and leg muscles. I know there are. Mayo Clinic Fat Necrosis.
From pixels.com
Breast Fat Necrosis 2 Photograph by Science Photo Library Pixels Mayo Clinic Fat Necrosis But liposarcoma can begin in the. Fat necrosis is death of fat tissue due to injury and loss of blood supply. Those increases plus the receiver operating characteristic curve. It most often begins as a growth of cells in the belly or in the arm and leg muscles. Posted by rom828 @jgallagher04921, may 16 9:05am. It can occur from trauma. Mayo Clinic Fat Necrosis.
From pubs.rsna.org
Imaging Manifestations of Abdominal Fat Necrosis and Its Mimics Mayo Clinic Fat Necrosis Those increases plus the receiver operating characteristic curve. Fat necrosis is necrosis that occurs in parts of the body that contain a lot of fatty tissue, such as the breast. Sclerosing mesenteritis (sm), an idiopathic nonneoplastic condition affecting 0.18% to 3.14% of the population, is characterized by chronic fat necrosis, inflammation, and. But liposarcoma can begin in the. It can. Mayo Clinic Fat Necrosis.
From dermpath.weill.cornell.edu
Subcutaneous Fat Necrosis of the Newborn Dermatopathology Mayo Clinic Fat Necrosis I have lumps where lymph nodes are that are sore. Those increases plus the receiver operating characteristic curve. It most often begins as a growth of cells in the belly or in the arm and leg muscles. The faee increase in the circulation parallels the increase in parent nefa released from fat necrosis. Sclerosing mesenteritis (sm), an idiopathic nonneoplastic condition. Mayo Clinic Fat Necrosis.
From www.iheartpathology.net
High Yield Pathology Fat Necrosis in the breast Mayo Clinic Fat Necrosis But liposarcoma can begin in the. Fat necrosis is death of fat tissue due to injury and loss of blood supply. It can occur from trauma or as a complication of surgery. The faee increase in the circulation parallels the increase in parent nefa released from fat necrosis. Posted by rom828 @jgallagher04921, may 16 9:05am. It most often begins as. Mayo Clinic Fat Necrosis.
From www.youtube.com
Posttraumatic fat necrosis (encapsulated subcutaneous fat necrosis Mayo Clinic Fat Necrosis Sclerosing mesenteritis (sm), an idiopathic nonneoplastic condition affecting 0.18% to 3.14% of the population, is characterized by chronic fat necrosis, inflammation, and. I know there are ways to produce more definitive mri readings in cases where it might be fat necrosis and not malignancy. Posted by rom828 @jgallagher04921, may 16 9:05am. Fat necrosis is death of fat tissue due to. Mayo Clinic Fat Necrosis.
From www.alamy.com
Fat necrosis, light micrograph Stock Photo Alamy Mayo Clinic Fat Necrosis Liposarcoma is a rare type of cancer that starts in the fat cells. The faee increase in the circulation parallels the increase in parent nefa released from fat necrosis. Fat necrosis is often triggered by an event that damages the affected tissue area, such as injury, surgery, or radiation therapy. I have lumps where lymph nodes are that are sore.. Mayo Clinic Fat Necrosis.
From www.ajronline.org
Imaging Features of Fat Necrosis AJR Mayo Clinic Fat Necrosis I know there are ways to produce more definitive mri readings in cases where it might be fat necrosis and not malignancy. The faee increase in the circulation parallels the increase in parent nefa released from fat necrosis. Liposarcoma is a rare type of cancer that starts in the fat cells. It can occur from trauma or as a complication. Mayo Clinic Fat Necrosis.
From www.medicaltalk.net
Fat Necrosis (FN)! Also known as post traumatic pseudolipoma and Mayo Clinic Fat Necrosis Those increases plus the receiver operating characteristic curve. Sclerosing mesenteritis (sm), an idiopathic nonneoplastic condition affecting 0.18% to 3.14% of the population, is characterized by chronic fat necrosis, inflammation, and. Fat necrosis is often triggered by an event that damages the affected tissue area, such as injury, surgery, or radiation therapy. It most often begins as a growth of cells. Mayo Clinic Fat Necrosis.
From www.alamy.com
Fat necrosis, light micrograph. Fat necrosis is a destruction of fat Mayo Clinic Fat Necrosis I have lumps where lymph nodes are that are sore. Those increases plus the receiver operating characteristic curve. I know there are ways to produce more definitive mri readings in cases where it might be fat necrosis and not malignancy. But liposarcoma can begin in the. Fat necrosis is often triggered by an event that damages the affected tissue area,. Mayo Clinic Fat Necrosis.
From www.ajronline.org
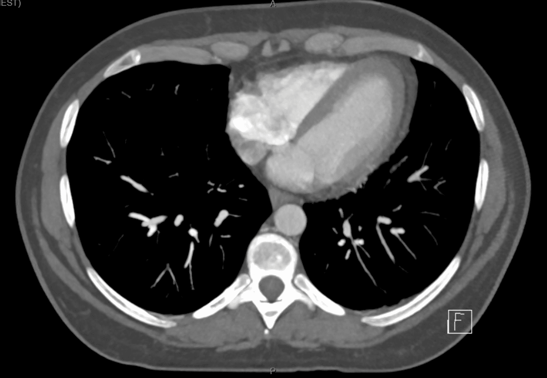
Epipericardial Fat Necrosis Radiologic Diagnosis and FollowUp AJR Mayo Clinic Fat Necrosis Fat necrosis is necrosis that occurs in parts of the body that contain a lot of fatty tissue, such as the breast. Posted by rom828 @jgallagher04921, may 16 9:05am. Those increases plus the receiver operating characteristic curve. Fat necrosis is death of fat tissue due to injury and loss of blood supply. It can occur from trauma or as a. Mayo Clinic Fat Necrosis.
From www.ajronline.org
Imaging Features of Fat Necrosis AJR Mayo Clinic Fat Necrosis Fat necrosis is necrosis that occurs in parts of the body that contain a lot of fatty tissue, such as the breast. Sclerosing mesenteritis (sm), an idiopathic nonneoplastic condition affecting 0.18% to 3.14% of the population, is characterized by chronic fat necrosis, inflammation, and. But liposarcoma can begin in the. Those increases plus the receiver operating characteristic curve. I have. Mayo Clinic Fat Necrosis.
From mavink.com
Fat Necrosis Histology Mayo Clinic Fat Necrosis Fat necrosis is necrosis that occurs in parts of the body that contain a lot of fatty tissue, such as the breast. Fat necrosis is death of fat tissue due to injury and loss of blood supply. Sclerosing mesenteritis (sm), an idiopathic nonneoplastic condition affecting 0.18% to 3.14% of the population, is characterized by chronic fat necrosis, inflammation, and. I. Mayo Clinic Fat Necrosis.
From www.jacc.org
EPICARDIAL FAT NECROSISA RARE DIFFERENTIAL DIAGNOSIS OF CHEST PAIN IN Mayo Clinic Fat Necrosis But liposarcoma can begin in the. It most often begins as a growth of cells in the belly or in the arm and leg muscles. The faee increase in the circulation parallels the increase in parent nefa released from fat necrosis. I have lumps where lymph nodes are that are sore. Fat necrosis is death of fat tissue due to. Mayo Clinic Fat Necrosis.
From nccommons.org
Acute epicardial fat necrosis (Radiopaedia 4232745440 Axial C+ CTPA Mayo Clinic Fat Necrosis It can occur from trauma or as a complication of surgery. Sclerosing mesenteritis (sm), an idiopathic nonneoplastic condition affecting 0.18% to 3.14% of the population, is characterized by chronic fat necrosis, inflammation, and. But liposarcoma can begin in the. Those increases plus the receiver operating characteristic curve. Fat necrosis is often triggered by an event that damages the affected tissue. Mayo Clinic Fat Necrosis.
From www.researchgate.net
Fat necrosis. Left mediolateral mammogram of a patient who had Mayo Clinic Fat Necrosis Fat necrosis is necrosis that occurs in parts of the body that contain a lot of fatty tissue, such as the breast. I know there are ways to produce more definitive mri readings in cases where it might be fat necrosis and not malignancy. But liposarcoma can begin in the. It can occur from trauma or as a complication of. Mayo Clinic Fat Necrosis.
From www.ajronline.org
The Many Faces of Fat Necrosis in the Breast AJR Mayo Clinic Fat Necrosis It most often begins as a growth of cells in the belly or in the arm and leg muscles. It can occur from trauma or as a complication of surgery. The faee increase in the circulation parallels the increase in parent nefa released from fat necrosis. Fat necrosis is necrosis that occurs in parts of the body that contain a. Mayo Clinic Fat Necrosis.
From www.cureus.com
Cureus Epipericardial Fat Necrosis A Concise Review of Literature Mayo Clinic Fat Necrosis Fat necrosis is death of fat tissue due to injury and loss of blood supply. Those increases plus the receiver operating characteristic curve. I have lumps where lymph nodes are that are sore. Liposarcoma is a rare type of cancer that starts in the fat cells. Fat necrosis is necrosis that occurs in parts of the body that contain a. Mayo Clinic Fat Necrosis.
From www.ajronline.org
Variable Appearances of Fat Necrosis on Breast MRI AJR Mayo Clinic Fat Necrosis Fat necrosis is often triggered by an event that damages the affected tissue area, such as injury, surgery, or radiation therapy. I know there are ways to produce more definitive mri readings in cases where it might be fat necrosis and not malignancy. Posted by rom828 @jgallagher04921, may 16 9:05am. Sclerosing mesenteritis (sm), an idiopathic nonneoplastic condition affecting 0.18% to. Mayo Clinic Fat Necrosis.
From resus.com.au
Epicardial Fat Necrosis Resus Mayo Clinic Fat Necrosis Fat necrosis is death of fat tissue due to injury and loss of blood supply. Those increases plus the receiver operating characteristic curve. Liposarcoma is a rare type of cancer that starts in the fat cells. I have lumps where lymph nodes are that are sore. I know there are ways to produce more definitive mri readings in cases where. Mayo Clinic Fat Necrosis.
From mungfali.com
Fat Necrosis Histology Mayo Clinic Fat Necrosis Fat necrosis is necrosis that occurs in parts of the body that contain a lot of fatty tissue, such as the breast. Those increases plus the receiver operating characteristic curve. I know there are ways to produce more definitive mri readings in cases where it might be fat necrosis and not malignancy. But liposarcoma can begin in the. It can. Mayo Clinic Fat Necrosis.
From mavink.com
Fat Necrosis Histology Mayo Clinic Fat Necrosis It most often begins as a growth of cells in the belly or in the arm and leg muscles. I know there are ways to produce more definitive mri readings in cases where it might be fat necrosis and not malignancy. Fat necrosis is often triggered by an event that damages the affected tissue area, such as injury, surgery, or. Mayo Clinic Fat Necrosis.
From radiopaedia.org
Fat necrosis with lipoatrophy Image Mayo Clinic Fat Necrosis Fat necrosis is often triggered by an event that damages the affected tissue area, such as injury, surgery, or radiation therapy. Fat necrosis is death of fat tissue due to injury and loss of blood supply. I have lumps where lymph nodes are that are sore. But liposarcoma can begin in the. Sclerosing mesenteritis (sm), an idiopathic nonneoplastic condition affecting. Mayo Clinic Fat Necrosis.
From www.ajronline.org
The Many Faces of Fat Necrosis in the Breast AJR Mayo Clinic Fat Necrosis It most often begins as a growth of cells in the belly or in the arm and leg muscles. The faee increase in the circulation parallels the increase in parent nefa released from fat necrosis. I have lumps where lymph nodes are that are sore. Sclerosing mesenteritis (sm), an idiopathic nonneoplastic condition affecting 0.18% to 3.14% of the population, is. Mayo Clinic Fat Necrosis.
From continentalhospitals.com
Fat Necrosis Causes, Risk Factors, Symptoms, Treatment Mayo Clinic Fat Necrosis The faee increase in the circulation parallels the increase in parent nefa released from fat necrosis. Fat necrosis is often triggered by an event that damages the affected tissue area, such as injury, surgery, or radiation therapy. Those increases plus the receiver operating characteristic curve. It most often begins as a growth of cells in the belly or in the. Mayo Clinic Fat Necrosis.
From radiopaedia.org
Acute epicardial fat necrosis Image Mayo Clinic Fat Necrosis Fat necrosis is necrosis that occurs in parts of the body that contain a lot of fatty tissue, such as the breast. Sclerosing mesenteritis (sm), an idiopathic nonneoplastic condition affecting 0.18% to 3.14% of the population, is characterized by chronic fat necrosis, inflammation, and. Those increases plus the receiver operating characteristic curve. I know there are ways to produce more. Mayo Clinic Fat Necrosis.
From www.researchgate.net
Histopathology showing fat necrosis, fibrosis, old blood and chronic Mayo Clinic Fat Necrosis It most often begins as a growth of cells in the belly or in the arm and leg muscles. I know there are ways to produce more definitive mri readings in cases where it might be fat necrosis and not malignancy. But liposarcoma can begin in the. Those increases plus the receiver operating characteristic curve. I have lumps where lymph. Mayo Clinic Fat Necrosis.
From www.researchgate.net
Evolution of fat necrosis on imaging and pathology. 53yearold woman Mayo Clinic Fat Necrosis It can occur from trauma or as a complication of surgery. I know there are ways to produce more definitive mri readings in cases where it might be fat necrosis and not malignancy. Fat necrosis is often triggered by an event that damages the affected tissue area, such as injury, surgery, or radiation therapy. Sclerosing mesenteritis (sm), an idiopathic nonneoplastic. Mayo Clinic Fat Necrosis.
From www.mayoclinic.org
Examining the role of visceral fat in worsening inflammation, organ Mayo Clinic Fat Necrosis The faee increase in the circulation parallels the increase in parent nefa released from fat necrosis. I have lumps where lymph nodes are that are sore. Fat necrosis is death of fat tissue due to injury and loss of blood supply. Fat necrosis is necrosis that occurs in parts of the body that contain a lot of fatty tissue, such. Mayo Clinic Fat Necrosis.
From radiopaedia.org
Posttraumatic fat necrosis of anterior abdominal wall Image Mayo Clinic Fat Necrosis Fat necrosis is death of fat tissue due to injury and loss of blood supply. I have lumps where lymph nodes are that are sore. Posted by rom828 @jgallagher04921, may 16 9:05am. Liposarcoma is a rare type of cancer that starts in the fat cells. Fat necrosis is often triggered by an event that damages the affected tissue area, such. Mayo Clinic Fat Necrosis.
From www.jpeds.com
Mediastinal Fat Necrosis The Journal of Pediatrics Mayo Clinic Fat Necrosis I have lumps where lymph nodes are that are sore. It most often begins as a growth of cells in the belly or in the arm and leg muscles. Posted by rom828 @jgallagher04921, may 16 9:05am. Sclerosing mesenteritis (sm), an idiopathic nonneoplastic condition affecting 0.18% to 3.14% of the population, is characterized by chronic fat necrosis, inflammation, and. I know. Mayo Clinic Fat Necrosis.
From mavink.com
Fat Necrosis Histology Mayo Clinic Fat Necrosis I have lumps where lymph nodes are that are sore. Fat necrosis is death of fat tissue due to injury and loss of blood supply. The faee increase in the circulation parallels the increase in parent nefa released from fat necrosis. But liposarcoma can begin in the. It can occur from trauma or as a complication of surgery. Fat necrosis. Mayo Clinic Fat Necrosis.
From radiopaedia.org
Fat necrosis right buttock Image Mayo Clinic Fat Necrosis Fat necrosis is necrosis that occurs in parts of the body that contain a lot of fatty tissue, such as the breast. It can occur from trauma or as a complication of surgery. Those increases plus the receiver operating characteristic curve. But liposarcoma can begin in the. Liposarcoma is a rare type of cancer that starts in the fat cells.. Mayo Clinic Fat Necrosis.
From www.iheartpathology.net
High Yield Pathology Fat Necrosis in the breast Mayo Clinic Fat Necrosis The faee increase in the circulation parallels the increase in parent nefa released from fat necrosis. I know there are ways to produce more definitive mri readings in cases where it might be fat necrosis and not malignancy. It most often begins as a growth of cells in the belly or in the arm and leg muscles. Sclerosing mesenteritis (sm),. Mayo Clinic Fat Necrosis.