Compression Fracture Finger Treatment . The aims of treatment of hand fractures should be to restore prehension and avoid complications such as stiffness and deformity. Treatment for a compression fracture depends on the nature of the break and the likely cause. If you suspect you have a finger fracture, seek treatment as soon as possible. In many cases, a hand fracture will heal well with nonsurgical treatment. The sooner a fracture is addressed by a doctor, the better the outcome will likely be. A broken finger is a common bone break. Phalanx fractures are common hand injuries that involve the proximal, middle or distal phalanx. Treatments for a broken finger or thumb. Diagnosis can be confirmed with. A broken hand can be caused by a fall, crush injury, or twisting injury, or through direct contact in sports. It occurs due to injury or weakened bones. A doctor or nurse might:
from www.verywellhealth.com
If you suspect you have a finger fracture, seek treatment as soon as possible. It occurs due to injury or weakened bones. The sooner a fracture is addressed by a doctor, the better the outcome will likely be. Phalanx fractures are common hand injuries that involve the proximal, middle or distal phalanx. A broken hand can be caused by a fall, crush injury, or twisting injury, or through direct contact in sports. A doctor or nurse might: In many cases, a hand fracture will heal well with nonsurgical treatment. Treatment for a compression fracture depends on the nature of the break and the likely cause. Treatments for a broken finger or thumb. The aims of treatment of hand fractures should be to restore prehension and avoid complications such as stiffness and deformity.
Broken Finger Causes, Symptoms, Diagnosis and Treatment
Compression Fracture Finger Treatment Diagnosis can be confirmed with. It occurs due to injury or weakened bones. The aims of treatment of hand fractures should be to restore prehension and avoid complications such as stiffness and deformity. If you suspect you have a finger fracture, seek treatment as soon as possible. A broken finger is a common bone break. Treatments for a broken finger or thumb. Treatment for a compression fracture depends on the nature of the break and the likely cause. The sooner a fracture is addressed by a doctor, the better the outcome will likely be. In many cases, a hand fracture will heal well with nonsurgical treatment. A broken hand can be caused by a fall, crush injury, or twisting injury, or through direct contact in sports. Diagnosis can be confirmed with. A doctor or nurse might: Phalanx fractures are common hand injuries that involve the proximal, middle or distal phalanx.
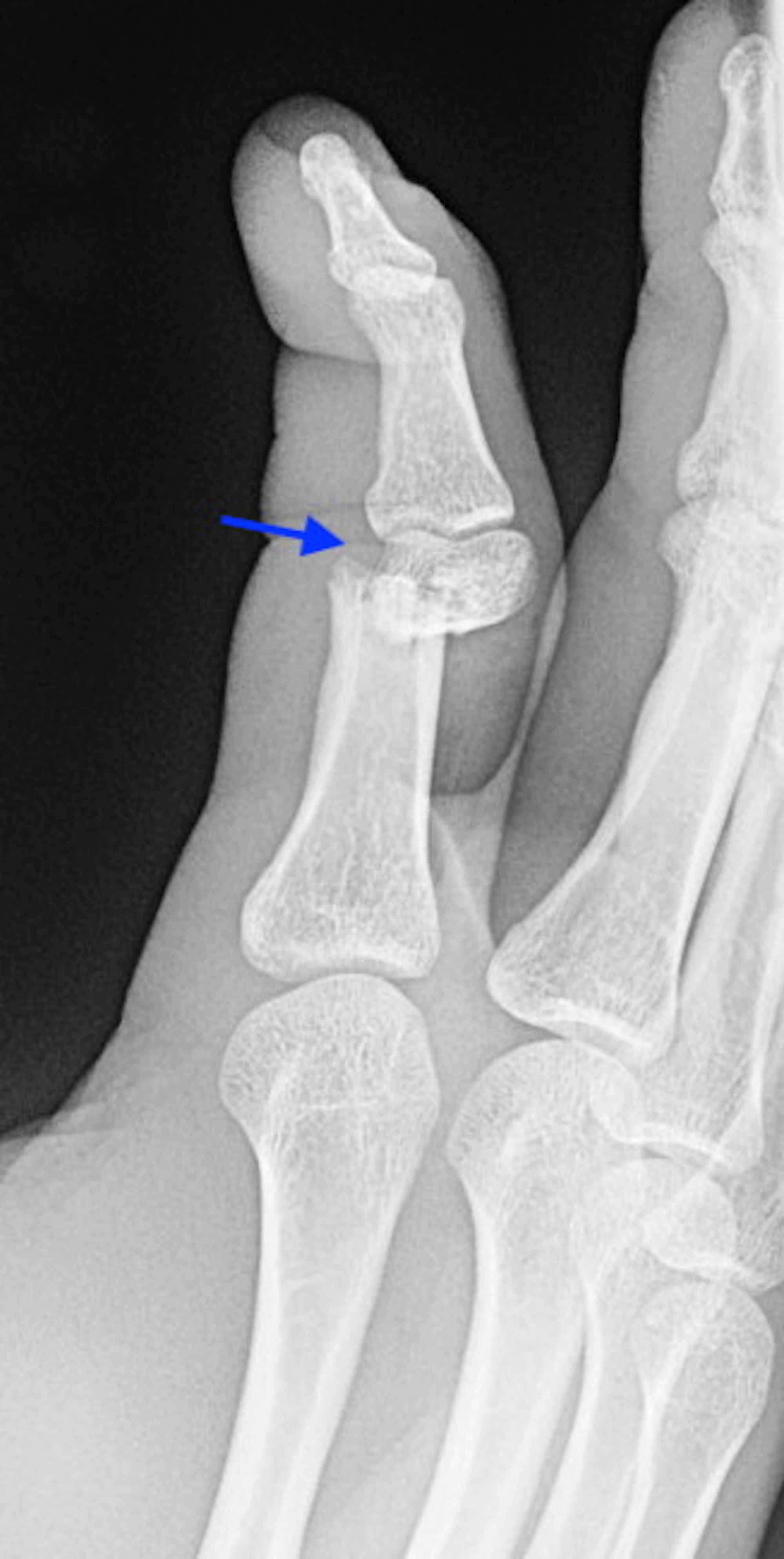
From hughston.com
Video Finger Fractures Hughston Clinic Compression Fracture Finger Treatment Treatment for a compression fracture depends on the nature of the break and the likely cause. The sooner a fracture is addressed by a doctor, the better the outcome will likely be. If you suspect you have a finger fracture, seek treatment as soon as possible. Diagnosis can be confirmed with. In many cases, a hand fracture will heal well. Compression Fracture Finger Treatment.
From www.vrogue.co
Avulsion Fracture Finger vrogue.co Compression Fracture Finger Treatment A broken hand can be caused by a fall, crush injury, or twisting injury, or through direct contact in sports. Diagnosis can be confirmed with. If you suspect you have a finger fracture, seek treatment as soon as possible. In many cases, a hand fracture will heal well with nonsurgical treatment. The aims of treatment of hand fractures should be. Compression Fracture Finger Treatment.
From diagnosketch.substack.com
What is a compression fracture? by Sapana Adhikari, MD Compression Fracture Finger Treatment Treatments for a broken finger or thumb. Treatment for a compression fracture depends on the nature of the break and the likely cause. In many cases, a hand fracture will heal well with nonsurgical treatment. A broken hand can be caused by a fall, crush injury, or twisting injury, or through direct contact in sports. It occurs due to injury. Compression Fracture Finger Treatment.
From www.youtube.com
tuft fracture fracture of the distal finger tip YouTube Compression Fracture Finger Treatment A broken finger is a common bone break. A broken hand can be caused by a fall, crush injury, or twisting injury, or through direct contact in sports. The sooner a fracture is addressed by a doctor, the better the outcome will likely be. In many cases, a hand fracture will heal well with nonsurgical treatment. A doctor or nurse. Compression Fracture Finger Treatment.
From www.johnericksonmd.com
LessInvasive Finger Fracture Treatment John Erickson, MD Compression Fracture Finger Treatment It occurs due to injury or weakened bones. Treatments for a broken finger or thumb. In many cases, a hand fracture will heal well with nonsurgical treatment. A broken finger is a common bone break. Phalanx fractures are common hand injuries that involve the proximal, middle or distal phalanx. Diagnosis can be confirmed with. A doctor or nurse might: A. Compression Fracture Finger Treatment.
From fractureus.netlify.app
Lumbar Pedicle Fracture Treatment Therapy FRACTURE Compression Fracture Finger Treatment Treatments for a broken finger or thumb. It occurs due to injury or weakened bones. A broken finger is a common bone break. A broken hand can be caused by a fall, crush injury, or twisting injury, or through direct contact in sports. In many cases, a hand fracture will heal well with nonsurgical treatment. Diagnosis can be confirmed with.. Compression Fracture Finger Treatment.
From www.sportsmedreview.com
Management of vertebral compression fractures Sports Medicine Review Compression Fracture Finger Treatment Phalanx fractures are common hand injuries that involve the proximal, middle or distal phalanx. Treatments for a broken finger or thumb. Treatment for a compression fracture depends on the nature of the break and the likely cause. The aims of treatment of hand fractures should be to restore prehension and avoid complications such as stiffness and deformity. A broken hand. Compression Fracture Finger Treatment.
From www.animalia-life.club
Metacarpal Shaft Fracture Compression Fracture Finger Treatment Phalanx fractures are common hand injuries that involve the proximal, middle or distal phalanx. The aims of treatment of hand fractures should be to restore prehension and avoid complications such as stiffness and deformity. It occurs due to injury or weakened bones. In many cases, a hand fracture will heal well with nonsurgical treatment. A broken finger is a common. Compression Fracture Finger Treatment.
From www.schreibermd.com
Hand Fracture Raleigh Hand Surgery — Joseph J. Schreiber, MD Compression Fracture Finger Treatment A broken finger is a common bone break. Treatment for a compression fracture depends on the nature of the break and the likely cause. Treatments for a broken finger or thumb. Phalanx fractures are common hand injuries that involve the proximal, middle or distal phalanx. A doctor or nurse might: A broken hand can be caused by a fall, crush. Compression Fracture Finger Treatment.
From healthjade.net
Compression fracture spine causes, symptoms, diagnosis & treatment Compression Fracture Finger Treatment If you suspect you have a finger fracture, seek treatment as soon as possible. Diagnosis can be confirmed with. In many cases, a hand fracture will heal well with nonsurgical treatment. The aims of treatment of hand fractures should be to restore prehension and avoid complications such as stiffness and deformity. A doctor or nurse might: It occurs due to. Compression Fracture Finger Treatment.
From www.vrogue.co
Finger Distal Phalanx Fracture Hand Surgery Source vrogue.co Compression Fracture Finger Treatment Diagnosis can be confirmed with. The aims of treatment of hand fractures should be to restore prehension and avoid complications such as stiffness and deformity. It occurs due to injury or weakened bones. If you suspect you have a finger fracture, seek treatment as soon as possible. In many cases, a hand fracture will heal well with nonsurgical treatment. A. Compression Fracture Finger Treatment.
From www.schreibermd.com
Hand Fracture Raleigh Hand Surgery — Joseph J. Schreiber, MD Compression Fracture Finger Treatment Treatments for a broken finger or thumb. A broken finger is a common bone break. Treatment for a compression fracture depends on the nature of the break and the likely cause. If you suspect you have a finger fracture, seek treatment as soon as possible. Diagnosis can be confirmed with. A broken hand can be caused by a fall, crush. Compression Fracture Finger Treatment.
From www.aafp.org
Common Finger Fractures and Dislocations AAFP Compression Fracture Finger Treatment A broken hand can be caused by a fall, crush injury, or twisting injury, or through direct contact in sports. A broken finger is a common bone break. If you suspect you have a finger fracture, seek treatment as soon as possible. The aims of treatment of hand fractures should be to restore prehension and avoid complications such as stiffness. Compression Fracture Finger Treatment.
From www.semanticscholar.org
Figure 1 from A Comparison of KWire Versus Screw Fixation on the Compression Fracture Finger Treatment Treatments for a broken finger or thumb. Treatment for a compression fracture depends on the nature of the break and the likely cause. In many cases, a hand fracture will heal well with nonsurgical treatment. A broken finger is a common bone break. Phalanx fractures are common hand injuries that involve the proximal, middle or distal phalanx. If you suspect. Compression Fracture Finger Treatment.
From mavink.com
Mallet Finger Fracture Compression Fracture Finger Treatment A broken hand can be caused by a fall, crush injury, or twisting injury, or through direct contact in sports. In many cases, a hand fracture will heal well with nonsurgical treatment. Diagnosis can be confirmed with. A doctor or nurse might: The aims of treatment of hand fractures should be to restore prehension and avoid complications such as stiffness. Compression Fracture Finger Treatment.
From lexmedicus.com.au
Finger fractures are not insignificant injuries Lex Medicus Compression Fracture Finger Treatment The aims of treatment of hand fractures should be to restore prehension and avoid complications such as stiffness and deformity. A broken hand can be caused by a fall, crush injury, or twisting injury, or through direct contact in sports. If you suspect you have a finger fracture, seek treatment as soon as possible. Phalanx fractures are common hand injuries. Compression Fracture Finger Treatment.
From www.researchgate.net
Treatment of a mallet fracture that involved the little finger with a Compression Fracture Finger Treatment The sooner a fracture is addressed by a doctor, the better the outcome will likely be. A broken finger is a common bone break. It occurs due to injury or weakened bones. The aims of treatment of hand fractures should be to restore prehension and avoid complications such as stiffness and deformity. If you suspect you have a finger fracture,. Compression Fracture Finger Treatment.
From mavink.com
Types Of Fractures X Ray Compression Fracture Finger Treatment A doctor or nurse might: In many cases, a hand fracture will heal well with nonsurgical treatment. Treatment for a compression fracture depends on the nature of the break and the likely cause. Diagnosis can be confirmed with. A broken finger is a common bone break. The aims of treatment of hand fractures should be to restore prehension and avoid. Compression Fracture Finger Treatment.
From www.osmifw.com
Mallet Finger Compression Fracture Finger Treatment The sooner a fracture is addressed by a doctor, the better the outcome will likely be. The aims of treatment of hand fractures should be to restore prehension and avoid complications such as stiffness and deformity. Treatment for a compression fracture depends on the nature of the break and the likely cause. A broken finger is a common bone break.. Compression Fracture Finger Treatment.
From www.johnericksonmd.com
Finger Fracture Treatment with Percutaneous Pins John Erickson, MD Compression Fracture Finger Treatment Phalanx fractures are common hand injuries that involve the proximal, middle or distal phalanx. In many cases, a hand fracture will heal well with nonsurgical treatment. The sooner a fracture is addressed by a doctor, the better the outcome will likely be. The aims of treatment of hand fractures should be to restore prehension and avoid complications such as stiffness. Compression Fracture Finger Treatment.
From orthoinfo.aaos.org
Finger Fractures OrthoInfo AAOS Compression Fracture Finger Treatment In many cases, a hand fracture will heal well with nonsurgical treatment. A doctor or nurse might: It occurs due to injury or weakened bones. The aims of treatment of hand fractures should be to restore prehension and avoid complications such as stiffness and deformity. The sooner a fracture is addressed by a doctor, the better the outcome will likely. Compression Fracture Finger Treatment.
From www.rehabmypatient.com
Finger Fracture Rehab My Patient Compression Fracture Finger Treatment If you suspect you have a finger fracture, seek treatment as soon as possible. A broken hand can be caused by a fall, crush injury, or twisting injury, or through direct contact in sports. Phalanx fractures are common hand injuries that involve the proximal, middle or distal phalanx. A doctor or nurse might: It occurs due to injury or weakened. Compression Fracture Finger Treatment.
From asploro.com
Conservative Treatment of Chronic Mallet Fracture Nonunion after Compression Fracture Finger Treatment It occurs due to injury or weakened bones. Phalanx fractures are common hand injuries that involve the proximal, middle or distal phalanx. Treatment for a compression fracture depends on the nature of the break and the likely cause. In many cases, a hand fracture will heal well with nonsurgical treatment. Treatments for a broken finger or thumb. Diagnosis can be. Compression Fracture Finger Treatment.
From cirugiamanovalencia.com
Fractura Cirugía de Mano Valencia Equipo QuironSalud Compression Fracture Finger Treatment It occurs due to injury or weakened bones. In many cases, a hand fracture will heal well with nonsurgical treatment. The aims of treatment of hand fractures should be to restore prehension and avoid complications such as stiffness and deformity. Treatments for a broken finger or thumb. If you suspect you have a finger fracture, seek treatment as soon as. Compression Fracture Finger Treatment.
From www.epainassist.com
Broken Finger Treatment, Causes, Symptoms, Signs Compression Fracture Finger Treatment In many cases, a hand fracture will heal well with nonsurgical treatment. If you suspect you have a finger fracture, seek treatment as soon as possible. A broken hand can be caused by a fall, crush injury, or twisting injury, or through direct contact in sports. Diagnosis can be confirmed with. A doctor or nurse might: The sooner a fracture. Compression Fracture Finger Treatment.
From www.verywellhealth.com
Broken Finger Causes, Symptoms, Diagnosis and Treatment Compression Fracture Finger Treatment A broken finger is a common bone break. In many cases, a hand fracture will heal well with nonsurgical treatment. Phalanx fractures are common hand injuries that involve the proximal, middle or distal phalanx. It occurs due to injury or weakened bones. A broken hand can be caused by a fall, crush injury, or twisting injury, or through direct contact. Compression Fracture Finger Treatment.
From www.floridaortho.com
Fractured Fingers Florida Orthopaedic Institute Compression Fracture Finger Treatment Diagnosis can be confirmed with. It occurs due to injury or weakened bones. A broken finger is a common bone break. A doctor or nurse might: Phalanx fractures are common hand injuries that involve the proximal, middle or distal phalanx. The aims of treatment of hand fractures should be to restore prehension and avoid complications such as stiffness and deformity.. Compression Fracture Finger Treatment.
From www.vrogue.co
Spiral Fracture Finger X Ray Hand And Metacarpal Frac vrogue.co Compression Fracture Finger Treatment A broken hand can be caused by a fall, crush injury, or twisting injury, or through direct contact in sports. A doctor or nurse might: Treatments for a broken finger or thumb. A broken finger is a common bone break. Phalanx fractures are common hand injuries that involve the proximal, middle or distal phalanx. The aims of treatment of hand. Compression Fracture Finger Treatment.
From www.johnericksonmd.com
LessInvasive Finger Fracture Treatment John Erickson, MD Compression Fracture Finger Treatment The sooner a fracture is addressed by a doctor, the better the outcome will likely be. In many cases, a hand fracture will heal well with nonsurgical treatment. Diagnosis can be confirmed with. If you suspect you have a finger fracture, seek treatment as soon as possible. A broken finger is a common bone break. Treatments for a broken finger. Compression Fracture Finger Treatment.
From ar.inspiredpencil.com
Avulsion Fracture Finger Compression Fracture Finger Treatment A broken hand can be caused by a fall, crush injury, or twisting injury, or through direct contact in sports. It occurs due to injury or weakened bones. Phalanx fractures are common hand injuries that involve the proximal, middle or distal phalanx. The aims of treatment of hand fractures should be to restore prehension and avoid complications such as stiffness. Compression Fracture Finger Treatment.
From www.cureus.com
Cureus Phalangeal Fracture Secondary to Hammering One’s Finger Compression Fracture Finger Treatment A broken finger is a common bone break. Treatments for a broken finger or thumb. Treatment for a compression fracture depends on the nature of the break and the likely cause. A doctor or nurse might: The aims of treatment of hand fractures should be to restore prehension and avoid complications such as stiffness and deformity. Phalanx fractures are common. Compression Fracture Finger Treatment.
From statstats.weebly.com
Compression fracture treatment finger statstats Compression Fracture Finger Treatment The sooner a fracture is addressed by a doctor, the better the outcome will likely be. Treatment for a compression fracture depends on the nature of the break and the likely cause. Treatments for a broken finger or thumb. In many cases, a hand fracture will heal well with nonsurgical treatment. Phalanx fractures are common hand injuries that involve the. Compression Fracture Finger Treatment.
From www.orthoinfo.org
Hand Fractures OrthoInfo AAOS Compression Fracture Finger Treatment Diagnosis can be confirmed with. A broken hand can be caused by a fall, crush injury, or twisting injury, or through direct contact in sports. Treatment for a compression fracture depends on the nature of the break and the likely cause. A doctor or nurse might: The aims of treatment of hand fractures should be to restore prehension and avoid. Compression Fracture Finger Treatment.
From elispot.biz
X ray of broken pinky finger Broken Finger Symptoms, XRay, Tips Compression Fracture Finger Treatment A broken finger is a common bone break. Treatments for a broken finger or thumb. The aims of treatment of hand fractures should be to restore prehension and avoid complications such as stiffness and deformity. In many cases, a hand fracture will heal well with nonsurgical treatment. A doctor or nurse might: It occurs due to injury or weakened bones.. Compression Fracture Finger Treatment.
From www.opalphysio.ca
Compression Fractures Compression Fracture Finger Treatment If you suspect you have a finger fracture, seek treatment as soon as possible. Diagnosis can be confirmed with. A broken hand can be caused by a fall, crush injury, or twisting injury, or through direct contact in sports. In many cases, a hand fracture will heal well with nonsurgical treatment. A doctor or nurse might: The sooner a fracture. Compression Fracture Finger Treatment.