Horseshoe Shaped Kidney In Adults . However, it's not just the shape and. As the name suggests, a horseshoe kidney is an abnormality where the two kidneys get fused together to form a horseshoe. Horseshoe kidneys are the most common fusion defect of the kidneys occurring in approximately 1:500 individuals. Seven in ten people with this condition experience symptoms, which can include. The vast majority of cases are sporadic, except. This can also cause blockages to the ureters, the tubes that allow the passage of. Horseshoe kidney (renal fusion) is when a person is born with the kidneys fused together. They are characterized by abnormalities.
from www.cureus.com
The vast majority of cases are sporadic, except. They are characterized by abnormalities. Seven in ten people with this condition experience symptoms, which can include. Horseshoe kidneys are the most common fusion defect of the kidneys occurring in approximately 1:500 individuals. As the name suggests, a horseshoe kidney is an abnormality where the two kidneys get fused together to form a horseshoe. However, it's not just the shape and. This can also cause blockages to the ureters, the tubes that allow the passage of. Horseshoe kidney (renal fusion) is when a person is born with the kidneys fused together.
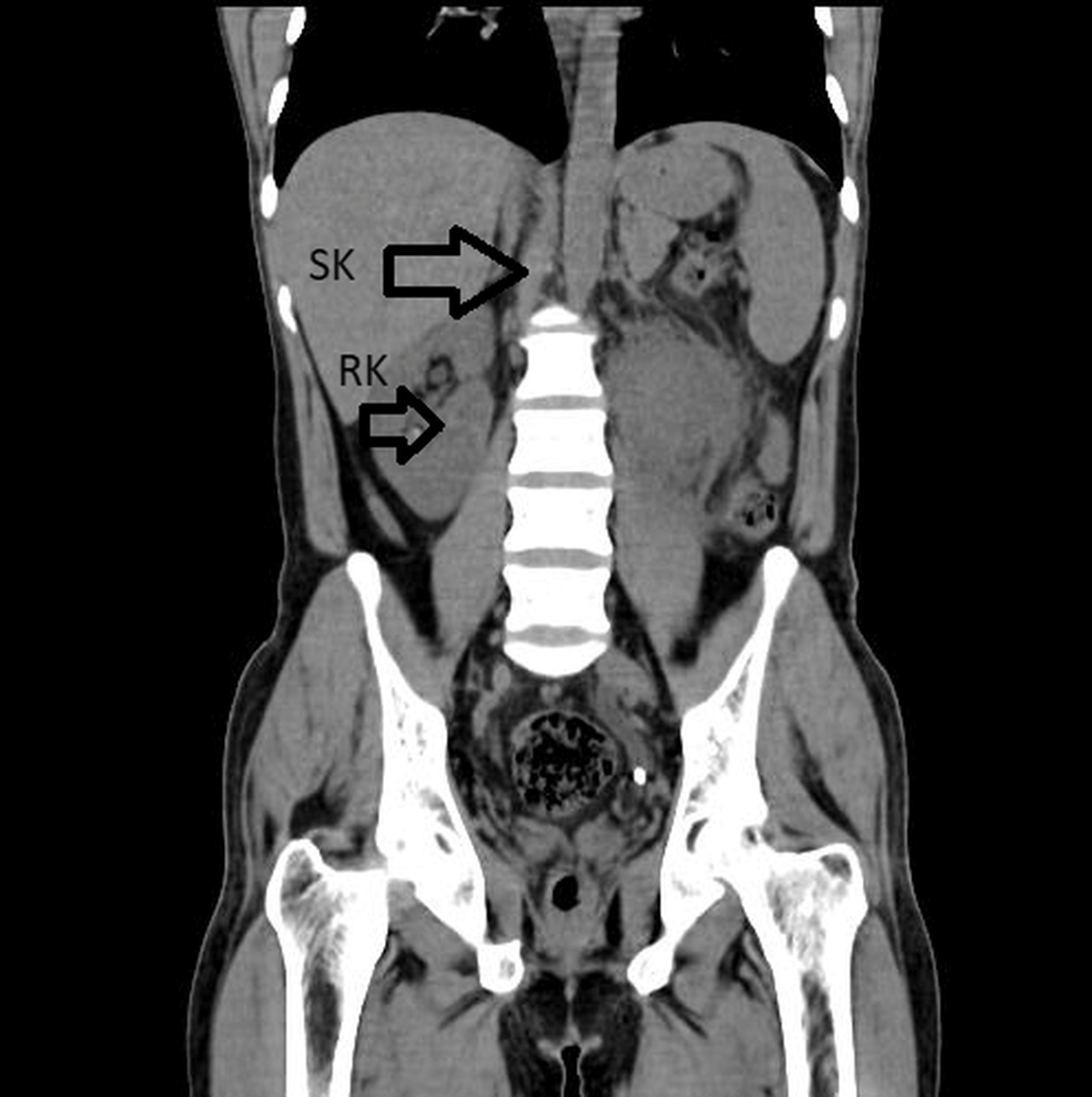
Cureus Supernumerary Kidney (Triple Kidney) With Horseshoe
Horseshoe Shaped Kidney In Adults Horseshoe kidneys are the most common fusion defect of the kidneys occurring in approximately 1:500 individuals. The vast majority of cases are sporadic, except. This can also cause blockages to the ureters, the tubes that allow the passage of. Horseshoe kidney (renal fusion) is when a person is born with the kidneys fused together. Seven in ten people with this condition experience symptoms, which can include. As the name suggests, a horseshoe kidney is an abnormality where the two kidneys get fused together to form a horseshoe. However, it's not just the shape and. They are characterized by abnormalities. Horseshoe kidneys are the most common fusion defect of the kidneys occurring in approximately 1:500 individuals.
From www.jpurol.com
The horseshoe kidney Surgical anatomy and embryology Journal of Horseshoe Shaped Kidney In Adults Seven in ten people with this condition experience symptoms, which can include. The vast majority of cases are sporadic, except. Horseshoe kidneys are the most common fusion defect of the kidneys occurring in approximately 1:500 individuals. Horseshoe kidney (renal fusion) is when a person is born with the kidneys fused together. They are characterized by abnormalities. This can also cause. Horseshoe Shaped Kidney In Adults.
From slidetodoc.com
Fetal Abnormalities and Anomalies Fetal Abnormalities Detectable by Horseshoe Shaped Kidney In Adults Seven in ten people with this condition experience symptoms, which can include. As the name suggests, a horseshoe kidney is an abnormality where the two kidneys get fused together to form a horseshoe. They are characterized by abnormalities. The vast majority of cases are sporadic, except. Horseshoe kidneys are the most common fusion defect of the kidneys occurring in approximately. Horseshoe Shaped Kidney In Adults.
From kriznanultrasoundimages.com
HORSE SHOE KIDNEY IN AN ADULT INCIDENTAL Looking Through a Transducer Horseshoe Shaped Kidney In Adults Horseshoe kidney (renal fusion) is when a person is born with the kidneys fused together. They are characterized by abnormalities. However, it's not just the shape and. Horseshoe kidneys are the most common fusion defect of the kidneys occurring in approximately 1:500 individuals. The vast majority of cases are sporadic, except. Seven in ten people with this condition experience symptoms,. Horseshoe Shaped Kidney In Adults.
From www.facebook.com
Horseshoe kidney Horseshoe kidneys are the most common type of renal Horseshoe Shaped Kidney In Adults Horseshoe kidney (renal fusion) is when a person is born with the kidneys fused together. Horseshoe kidneys are the most common fusion defect of the kidneys occurring in approximately 1:500 individuals. As the name suggests, a horseshoe kidney is an abnormality where the two kidneys get fused together to form a horseshoe. This can also cause blockages to the ureters,. Horseshoe Shaped Kidney In Adults.
From www.pinterest.com
Pin on RN...Kidney...Renal Horseshoe Shaped Kidney In Adults Horseshoe kidney (renal fusion) is when a person is born with the kidneys fused together. They are characterized by abnormalities. However, it's not just the shape and. The vast majority of cases are sporadic, except. This can also cause blockages to the ureters, the tubes that allow the passage of. Seven in ten people with this condition experience symptoms, which. Horseshoe Shaped Kidney In Adults.
From exobsegqz.blob.core.windows.net
Horseshoe Kidney Adults at Lucinda Murphy blog Horseshoe Shaped Kidney In Adults As the name suggests, a horseshoe kidney is an abnormality where the two kidneys get fused together to form a horseshoe. This can also cause blockages to the ureters, the tubes that allow the passage of. They are characterized by abnormalities. Seven in ten people with this condition experience symptoms, which can include. Horseshoe kidney (renal fusion) is when a. Horseshoe Shaped Kidney In Adults.
From www.mediconotebook.com
MedicoNotebook April 2013 Horseshoe Shaped Kidney In Adults This can also cause blockages to the ureters, the tubes that allow the passage of. As the name suggests, a horseshoe kidney is an abnormality where the two kidneys get fused together to form a horseshoe. Horseshoe kidneys are the most common fusion defect of the kidneys occurring in approximately 1:500 individuals. The vast majority of cases are sporadic, except.. Horseshoe Shaped Kidney In Adults.
From www.researchgate.net
Pelviureteric junction obstruction of right renal moiety of a horseshoe Horseshoe Shaped Kidney In Adults Horseshoe kidney (renal fusion) is when a person is born with the kidneys fused together. Seven in ten people with this condition experience symptoms, which can include. The vast majority of cases are sporadic, except. However, it's not just the shape and. Horseshoe kidneys are the most common fusion defect of the kidneys occurring in approximately 1:500 individuals. This can. Horseshoe Shaped Kidney In Adults.
From vedanayagamhospital.com
Twisted Twins The Tale of Horseshoe Kidney VNH Horseshoe Shaped Kidney In Adults However, it's not just the shape and. Horseshoe kidneys are the most common fusion defect of the kidneys occurring in approximately 1:500 individuals. They are characterized by abnormalities. The vast majority of cases are sporadic, except. Horseshoe kidney (renal fusion) is when a person is born with the kidneys fused together. This can also cause blockages to the ureters, the. Horseshoe Shaped Kidney In Adults.
From www.cureus.com
Cureus Supernumerary Kidney (Triple Kidney) With Horseshoe Horseshoe Shaped Kidney In Adults However, it's not just the shape and. As the name suggests, a horseshoe kidney is an abnormality where the two kidneys get fused together to form a horseshoe. They are characterized by abnormalities. Seven in ten people with this condition experience symptoms, which can include. The vast majority of cases are sporadic, except. Horseshoe kidney (renal fusion) is when a. Horseshoe Shaped Kidney In Adults.
From www.slideserve.com
PPT Congenital anomalies of the kidney and the urinary tract Horseshoe Shaped Kidney In Adults The vast majority of cases are sporadic, except. As the name suggests, a horseshoe kidney is an abnormality where the two kidneys get fused together to form a horseshoe. However, it's not just the shape and. Seven in ten people with this condition experience symptoms, which can include. Horseshoe kidneys are the most common fusion defect of the kidneys occurring. Horseshoe Shaped Kidney In Adults.
From www.slideserve.com
PPT Horseshoe Kidney PowerPoint Presentation ID3008130 Horseshoe Shaped Kidney In Adults This can also cause blockages to the ureters, the tubes that allow the passage of. They are characterized by abnormalities. Horseshoe kidney (renal fusion) is when a person is born with the kidneys fused together. As the name suggests, a horseshoe kidney is an abnormality where the two kidneys get fused together to form a horseshoe. Seven in ten people. Horseshoe Shaped Kidney In Adults.
From www.shutterstock.com
18 Horseshoe kidney Images, Stock Photos & Vectors Shutterstock Horseshoe Shaped Kidney In Adults They are characterized by abnormalities. Seven in ten people with this condition experience symptoms, which can include. However, it's not just the shape and. As the name suggests, a horseshoe kidney is an abnormality where the two kidneys get fused together to form a horseshoe. Horseshoe kidney (renal fusion) is when a person is born with the kidneys fused together.. Horseshoe Shaped Kidney In Adults.
From radiopaedia.org
Horseshoe kidney Image Horseshoe Shaped Kidney In Adults Horseshoe kidneys are the most common fusion defect of the kidneys occurring in approximately 1:500 individuals. However, it's not just the shape and. This can also cause blockages to the ureters, the tubes that allow the passage of. Seven in ten people with this condition experience symptoms, which can include. The vast majority of cases are sporadic, except. They are. Horseshoe Shaped Kidney In Adults.
From www.thelancet.com
Horseshoe kidney in a deceased organ donor a rare glimpse at an Horseshoe Shaped Kidney In Adults The vast majority of cases are sporadic, except. This can also cause blockages to the ureters, the tubes that allow the passage of. Horseshoe kidneys are the most common fusion defect of the kidneys occurring in approximately 1:500 individuals. As the name suggests, a horseshoe kidney is an abnormality where the two kidneys get fused together to form a horseshoe.. Horseshoe Shaped Kidney In Adults.
From www.alamy.com
Horseshoe kidney hires stock photography and images Alamy Horseshoe Shaped Kidney In Adults Horseshoe kidney (renal fusion) is when a person is born with the kidneys fused together. The vast majority of cases are sporadic, except. They are characterized by abnormalities. Seven in ten people with this condition experience symptoms, which can include. This can also cause blockages to the ureters, the tubes that allow the passage of. As the name suggests, a. Horseshoe Shaped Kidney In Adults.
From www.researchgate.net
Computed tomography scan of abdomen and pelvis demonstrates horseshoe Horseshoe Shaped Kidney In Adults As the name suggests, a horseshoe kidney is an abnormality where the two kidneys get fused together to form a horseshoe. This can also cause blockages to the ureters, the tubes that allow the passage of. The vast majority of cases are sporadic, except. Horseshoe kidney (renal fusion) is when a person is born with the kidneys fused together. They. Horseshoe Shaped Kidney In Adults.
From exovfbrka.blob.core.windows.net
What Causes Horseshoe Kidney In Adults at Benny Garrity blog Horseshoe Shaped Kidney In Adults Horseshoe kidney (renal fusion) is when a person is born with the kidneys fused together. As the name suggests, a horseshoe kidney is an abnormality where the two kidneys get fused together to form a horseshoe. They are characterized by abnormalities. Horseshoe kidneys are the most common fusion defect of the kidneys occurring in approximately 1:500 individuals. The vast majority. Horseshoe Shaped Kidney In Adults.
From www.pinterest.de
Beautiful multimodality imaging of a horseshoe kidney. http Horseshoe Shaped Kidney In Adults Horseshoe kidneys are the most common fusion defect of the kidneys occurring in approximately 1:500 individuals. As the name suggests, a horseshoe kidney is an abnormality where the two kidneys get fused together to form a horseshoe. Horseshoe kidney (renal fusion) is when a person is born with the kidneys fused together. The vast majority of cases are sporadic, except.. Horseshoe Shaped Kidney In Adults.
From radiopaedia.org
Horseshoe kidney with bilateral renal stones and hydronephrosis Image Horseshoe Shaped Kidney In Adults Horseshoe kidney (renal fusion) is when a person is born with the kidneys fused together. However, it's not just the shape and. They are characterized by abnormalities. Seven in ten people with this condition experience symptoms, which can include. The vast majority of cases are sporadic, except. Horseshoe kidneys are the most common fusion defect of the kidneys occurring in. Horseshoe Shaped Kidney In Adults.
From www.cureus.com
Cureus Supernumerary Kidney (Triple Kidney) With Horseshoe Horseshoe Shaped Kidney In Adults They are characterized by abnormalities. Seven in ten people with this condition experience symptoms, which can include. As the name suggests, a horseshoe kidney is an abnormality where the two kidneys get fused together to form a horseshoe. Horseshoe kidneys are the most common fusion defect of the kidneys occurring in approximately 1:500 individuals. This can also cause blockages to. Horseshoe Shaped Kidney In Adults.
From www.ajronline.org
Incidence and Spectrum of Renal Complications and Extrarenal Diseases Horseshoe Shaped Kidney In Adults Horseshoe kidneys are the most common fusion defect of the kidneys occurring in approximately 1:500 individuals. However, it's not just the shape and. Horseshoe kidney (renal fusion) is when a person is born with the kidneys fused together. The vast majority of cases are sporadic, except. They are characterized by abnormalities. This can also cause blockages to the ureters, the. Horseshoe Shaped Kidney In Adults.
From www.slideshare.net
Horseshoe kidney & PCNL Horseshoe Shaped Kidney In Adults The vast majority of cases are sporadic, except. Horseshoe kidney (renal fusion) is when a person is born with the kidneys fused together. This can also cause blockages to the ureters, the tubes that allow the passage of. Seven in ten people with this condition experience symptoms, which can include. However, it's not just the shape and. Horseshoe kidneys are. Horseshoe Shaped Kidney In Adults.
From www.researchgate.net
Horseshoe kidney with retrocaval ureter in a 35yearold man with right Horseshoe Shaped Kidney In Adults This can also cause blockages to the ureters, the tubes that allow the passage of. Horseshoe kidney (renal fusion) is when a person is born with the kidneys fused together. Horseshoe kidneys are the most common fusion defect of the kidneys occurring in approximately 1:500 individuals. The vast majority of cases are sporadic, except. Seven in ten people with this. Horseshoe Shaped Kidney In Adults.
From www.youtube.com
Horseshoe Kidney Medical Imaging Anatomy Course YouTube Horseshoe Shaped Kidney In Adults As the name suggests, a horseshoe kidney is an abnormality where the two kidneys get fused together to form a horseshoe. Horseshoe kidneys are the most common fusion defect of the kidneys occurring in approximately 1:500 individuals. Seven in ten people with this condition experience symptoms, which can include. Horseshoe kidney (renal fusion) is when a person is born with. Horseshoe Shaped Kidney In Adults.
From www.mdpi.com
Uro Free FullText Transplantation of the Horseshoe Kidneys A Horseshoe Shaped Kidney In Adults Horseshoe kidneys are the most common fusion defect of the kidneys occurring in approximately 1:500 individuals. They are characterized by abnormalities. However, it's not just the shape and. This can also cause blockages to the ureters, the tubes that allow the passage of. Horseshoe kidney (renal fusion) is when a person is born with the kidneys fused together. As the. Horseshoe Shaped Kidney In Adults.
From nephropocus.com
Horseshoe Kidney NephroPOCUS Horseshoe Shaped Kidney In Adults Horseshoe kidneys are the most common fusion defect of the kidneys occurring in approximately 1:500 individuals. Horseshoe kidney (renal fusion) is when a person is born with the kidneys fused together. They are characterized by abnormalities. However, it's not just the shape and. The vast majority of cases are sporadic, except. This can also cause blockages to the ureters, the. Horseshoe Shaped Kidney In Adults.
From embryology.med.unsw.edu.au
Paper Horseshoe Kidney Embryology Horseshoe Shaped Kidney In Adults Horseshoe kidney (renal fusion) is when a person is born with the kidneys fused together. They are characterized by abnormalities. Horseshoe kidneys are the most common fusion defect of the kidneys occurring in approximately 1:500 individuals. This can also cause blockages to the ureters, the tubes that allow the passage of. The vast majority of cases are sporadic, except. However,. Horseshoe Shaped Kidney In Adults.
From www.slideserve.com
PPT RAD 240 Pathology PowerPoint Presentation, free download ID2240500 Horseshoe Shaped Kidney In Adults Horseshoe kidneys are the most common fusion defect of the kidneys occurring in approximately 1:500 individuals. This can also cause blockages to the ureters, the tubes that allow the passage of. However, it's not just the shape and. As the name suggests, a horseshoe kidney is an abnormality where the two kidneys get fused together to form a horseshoe. Horseshoe. Horseshoe Shaped Kidney In Adults.
From www.scribd.com
Complication of Horseshoe Kidney Congenital Disorder Kidney Horseshoe Shaped Kidney In Adults The vast majority of cases are sporadic, except. As the name suggests, a horseshoe kidney is an abnormality where the two kidneys get fused together to form a horseshoe. This can also cause blockages to the ureters, the tubes that allow the passage of. Horseshoe kidney (renal fusion) is when a person is born with the kidneys fused together. They. Horseshoe Shaped Kidney In Adults.
From fyovvcdgp.blob.core.windows.net
Is Horseshoe Kidney Dangerous In Adults at Loren Kitt blog Horseshoe Shaped Kidney In Adults They are characterized by abnormalities. As the name suggests, a horseshoe kidney is an abnormality where the two kidneys get fused together to form a horseshoe. The vast majority of cases are sporadic, except. Horseshoe kidney (renal fusion) is when a person is born with the kidneys fused together. Horseshoe kidneys are the most common fusion defect of the kidneys. Horseshoe Shaped Kidney In Adults.
From www.cureus.com
Cureus Supernumerary Kidney (Triple Kidney) With Horseshoe Horseshoe Shaped Kidney In Adults However, it's not just the shape and. This can also cause blockages to the ureters, the tubes that allow the passage of. Horseshoe kidney (renal fusion) is when a person is born with the kidneys fused together. They are characterized by abnormalities. Seven in ten people with this condition experience symptoms, which can include. The vast majority of cases are. Horseshoe Shaped Kidney In Adults.
From www.researchgate.net
Ushaped horseshoe kidney with a parenchymal isthmus, incidentally Horseshoe Shaped Kidney In Adults However, it's not just the shape and. The vast majority of cases are sporadic, except. As the name suggests, a horseshoe kidney is an abnormality where the two kidneys get fused together to form a horseshoe. Horseshoe kidneys are the most common fusion defect of the kidneys occurring in approximately 1:500 individuals. Horseshoe kidney (renal fusion) is when a person. Horseshoe Shaped Kidney In Adults.
From www.slideserve.com
PPT Horseshoe Kidney PowerPoint Presentation ID3008130 Horseshoe Shaped Kidney In Adults Seven in ten people with this condition experience symptoms, which can include. This can also cause blockages to the ureters, the tubes that allow the passage of. They are characterized by abnormalities. Horseshoe kidney (renal fusion) is when a person is born with the kidneys fused together. The vast majority of cases are sporadic, except. Horseshoe kidneys are the most. Horseshoe Shaped Kidney In Adults.
From medicolearning.com
Horseshoe Kidney MedicoLearning Horseshoe Shaped Kidney In Adults The vast majority of cases are sporadic, except. This can also cause blockages to the ureters, the tubes that allow the passage of. Horseshoe kidneys are the most common fusion defect of the kidneys occurring in approximately 1:500 individuals. However, it's not just the shape and. They are characterized by abnormalities. As the name suggests, a horseshoe kidney is an. Horseshoe Shaped Kidney In Adults.