Synovial Sarcoma Elbow . A synovial sarcoma is a rare type of soft tissue sarcoma that develops most frequently in tissues deep within the arms, legs, and feet. In the upper extremity these sarcomas have and incidence rate of. Synovial sarcoma is a rare type of cancer that tends to occur near large joints, mainly the knees. Synovial sarcoma is a cancer that can come from different types of soft tissue, such as muscle or ligaments. Synovial sarcoma is one of the most common soft tissue sarcomas in the elbow. It is often found in the arm, leg, or foot,. Synovial sarcoma most commonly occurs in the extremities, particularly in the thighs, knees, feet and forearms.
from pubs.rsna.org
In the upper extremity these sarcomas have and incidence rate of. Synovial sarcoma is a cancer that can come from different types of soft tissue, such as muscle or ligaments. Synovial sarcoma is a rare type of cancer that tends to occur near large joints, mainly the knees. A synovial sarcoma is a rare type of soft tissue sarcoma that develops most frequently in tissues deep within the arms, legs, and feet. Synovial sarcoma is one of the most common soft tissue sarcomas in the elbow. Synovial sarcoma most commonly occurs in the extremities, particularly in the thighs, knees, feet and forearms. It is often found in the arm, leg, or foot,.
Imaging of Synovial with RadiologicPathologic Correlation
Synovial Sarcoma Elbow In the upper extremity these sarcomas have and incidence rate of. Synovial sarcoma is one of the most common soft tissue sarcomas in the elbow. Synovial sarcoma most commonly occurs in the extremities, particularly in the thighs, knees, feet and forearms. In the upper extremity these sarcomas have and incidence rate of. Synovial sarcoma is a cancer that can come from different types of soft tissue, such as muscle or ligaments. It is often found in the arm, leg, or foot,. A synovial sarcoma is a rare type of soft tissue sarcoma that develops most frequently in tissues deep within the arms, legs, and feet. Synovial sarcoma is a rare type of cancer that tends to occur near large joints, mainly the knees.
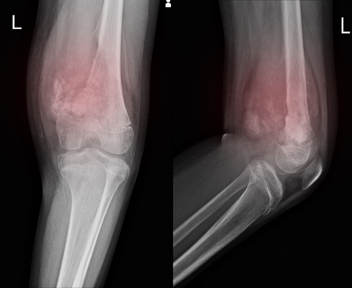
From pubs.rsna.org
Imaging of Synovial with RadiologicPathologic Correlation Synovial Sarcoma Elbow Synovial sarcoma is one of the most common soft tissue sarcomas in the elbow. Synovial sarcoma is a cancer that can come from different types of soft tissue, such as muscle or ligaments. Synovial sarcoma is a rare type of cancer that tends to occur near large joints, mainly the knees. In the upper extremity these sarcomas have and incidence. Synovial Sarcoma Elbow.
From www.arthroscopytechniques.org
Arthroscopic Management of Synovial Osteochondromatosis of the Elbow Synovial Sarcoma Elbow Synovial sarcoma is a rare type of cancer that tends to occur near large joints, mainly the knees. A synovial sarcoma is a rare type of soft tissue sarcoma that develops most frequently in tissues deep within the arms, legs, and feet. Synovial sarcoma most commonly occurs in the extremities, particularly in the thighs, knees, feet and forearms. Synovial sarcoma. Synovial Sarcoma Elbow.
From journals.sagepub.com
The Imaging Spectrum of Synovial A Pictorial Review From a Synovial Sarcoma Elbow Synovial sarcoma is a rare type of cancer that tends to occur near large joints, mainly the knees. Synovial sarcoma most commonly occurs in the extremities, particularly in the thighs, knees, feet and forearms. A synovial sarcoma is a rare type of soft tissue sarcoma that develops most frequently in tissues deep within the arms, legs, and feet. Synovial sarcoma. Synovial Sarcoma Elbow.
From pubs.rsna.org
Imaging of Synovial with RadiologicPathologic Correlation Synovial Sarcoma Elbow It is often found in the arm, leg, or foot,. In the upper extremity these sarcomas have and incidence rate of. Synovial sarcoma is one of the most common soft tissue sarcomas in the elbow. A synovial sarcoma is a rare type of soft tissue sarcoma that develops most frequently in tissues deep within the arms, legs, and feet. Synovial. Synovial Sarcoma Elbow.
From www.superstock.com
Synovial Sagittal side view MRI of the elbow showing the Synovial Sarcoma Elbow It is often found in the arm, leg, or foot,. A synovial sarcoma is a rare type of soft tissue sarcoma that develops most frequently in tissues deep within the arms, legs, and feet. Synovial sarcoma most commonly occurs in the extremities, particularly in the thighs, knees, feet and forearms. In the upper extremity these sarcomas have and incidence rate. Synovial Sarcoma Elbow.
From www.youandsarcoma.com
Understanding Soft Tissue Synovial Sarcoma Elbow Synovial sarcoma most commonly occurs in the extremities, particularly in the thighs, knees, feet and forearms. In the upper extremity these sarcomas have and incidence rate of. A synovial sarcoma is a rare type of soft tissue sarcoma that develops most frequently in tissues deep within the arms, legs, and feet. It is often found in the arm, leg, or. Synovial Sarcoma Elbow.
From boneandjoint.org.uk
Variability in the presentation of synovial in children Bone Synovial Sarcoma Elbow Synovial sarcoma is one of the most common soft tissue sarcomas in the elbow. In the upper extremity these sarcomas have and incidence rate of. Synovial sarcoma most commonly occurs in the extremities, particularly in the thighs, knees, feet and forearms. Synovial sarcoma is a cancer that can come from different types of soft tissue, such as muscle or ligaments.. Synovial Sarcoma Elbow.
From www.researchgate.net
(PDF) Synovial of the elbow presenting with painful stiffness Synovial Sarcoma Elbow Synovial sarcoma most commonly occurs in the extremities, particularly in the thighs, knees, feet and forearms. A synovial sarcoma is a rare type of soft tissue sarcoma that develops most frequently in tissues deep within the arms, legs, and feet. Synovial sarcoma is one of the most common soft tissue sarcomas in the elbow. Synovial sarcoma is a cancer that. Synovial Sarcoma Elbow.
From www.mdpi.com
Current Oncology Free FullText Synovial A Clinical Review Synovial Sarcoma Elbow Synovial sarcoma most commonly occurs in the extremities, particularly in the thighs, knees, feet and forearms. It is often found in the arm, leg, or foot,. In the upper extremity these sarcomas have and incidence rate of. Synovial sarcoma is a cancer that can come from different types of soft tissue, such as muscle or ligaments. A synovial sarcoma is. Synovial Sarcoma Elbow.
From journals.sagepub.com
The Imaging Spectrum of Synovial A Pictorial Review From a Synovial Sarcoma Elbow In the upper extremity these sarcomas have and incidence rate of. Synovial sarcoma is a cancer that can come from different types of soft tissue, such as muscle or ligaments. Synovial sarcoma is one of the most common soft tissue sarcomas in the elbow. Synovial sarcoma most commonly occurs in the extremities, particularly in the thighs, knees, feet and forearms.. Synovial Sarcoma Elbow.
From www.researchgate.net
A 35yearold man with a monophasic fibrous synovial in his Synovial Sarcoma Elbow In the upper extremity these sarcomas have and incidence rate of. A synovial sarcoma is a rare type of soft tissue sarcoma that develops most frequently in tissues deep within the arms, legs, and feet. Synovial sarcoma is one of the most common soft tissue sarcomas in the elbow. Synovial sarcoma is a rare type of cancer that tends to. Synovial Sarcoma Elbow.
From www.spandidos-publications.com
Reconstruction of the elbow using pedicle joint freezing after wide Synovial Sarcoma Elbow It is often found in the arm, leg, or foot,. Synovial sarcoma is one of the most common soft tissue sarcomas in the elbow. In the upper extremity these sarcomas have and incidence rate of. Synovial sarcoma most commonly occurs in the extremities, particularly in the thighs, knees, feet and forearms. A synovial sarcoma is a rare type of soft. Synovial Sarcoma Elbow.
From www.researchgate.net
Preoperative clinical photograph of the 41year old man with a Synovial Sarcoma Elbow Synovial sarcoma is a cancer that can come from different types of soft tissue, such as muscle or ligaments. In the upper extremity these sarcomas have and incidence rate of. A synovial sarcoma is a rare type of soft tissue sarcoma that develops most frequently in tissues deep within the arms, legs, and feet. Synovial sarcoma most commonly occurs in. Synovial Sarcoma Elbow.
From pubs.rsna.org
Imaging of Synovial with RadiologicPathologic Correlation Synovial Sarcoma Elbow In the upper extremity these sarcomas have and incidence rate of. Synovial sarcoma most commonly occurs in the extremities, particularly in the thighs, knees, feet and forearms. Synovial sarcoma is a cancer that can come from different types of soft tissue, such as muscle or ligaments. A synovial sarcoma is a rare type of soft tissue sarcoma that develops most. Synovial Sarcoma Elbow.
From www.roswellpark.org
What does a lump look like? Roswell Park Comprehensive Cancer Synovial Sarcoma Elbow A synovial sarcoma is a rare type of soft tissue sarcoma that develops most frequently in tissues deep within the arms, legs, and feet. Synovial sarcoma is a rare type of cancer that tends to occur near large joints, mainly the knees. Synovial sarcoma is one of the most common soft tissue sarcomas in the elbow. In the upper extremity. Synovial Sarcoma Elbow.
From pubs.rsna.org
Imaging of Synovial with RadiologicPathologic Correlation Synovial Sarcoma Elbow It is often found in the arm, leg, or foot,. Synovial sarcoma is a rare type of cancer that tends to occur near large joints, mainly the knees. Synovial sarcoma is a cancer that can come from different types of soft tissue, such as muscle or ligaments. A synovial sarcoma is a rare type of soft tissue sarcoma that develops. Synovial Sarcoma Elbow.
From tumorsurgery.org
Synovial Soft Tissue Synovial Sarcoma Elbow It is often found in the arm, leg, or foot,. Synovial sarcoma is one of the most common soft tissue sarcomas in the elbow. Synovial sarcoma is a rare type of cancer that tends to occur near large joints, mainly the knees. In the upper extremity these sarcomas have and incidence rate of. Synovial sarcoma most commonly occurs in the. Synovial Sarcoma Elbow.
From journals.sagepub.com
Synovial of the elbow presenting with painful stiffness a case Synovial Sarcoma Elbow In the upper extremity these sarcomas have and incidence rate of. It is often found in the arm, leg, or foot,. Synovial sarcoma is a rare type of cancer that tends to occur near large joints, mainly the knees. Synovial sarcoma is one of the most common soft tissue sarcomas in the elbow. A synovial sarcoma is a rare type. Synovial Sarcoma Elbow.
From www.spandidos-publications.com
Reconstruction of the elbow using pedicle joint freezing after wide Synovial Sarcoma Elbow Synovial sarcoma is a rare type of cancer that tends to occur near large joints, mainly the knees. Synovial sarcoma is one of the most common soft tissue sarcomas in the elbow. Synovial sarcoma most commonly occurs in the extremities, particularly in the thighs, knees, feet and forearms. A synovial sarcoma is a rare type of soft tissue sarcoma that. Synovial Sarcoma Elbow.
From www.ctisus.com
Synovial X Rays Case Studies CTisus CT Scanning Synovial Sarcoma Elbow Synovial sarcoma most commonly occurs in the extremities, particularly in the thighs, knees, feet and forearms. Synovial sarcoma is a rare type of cancer that tends to occur near large joints, mainly the knees. A synovial sarcoma is a rare type of soft tissue sarcoma that develops most frequently in tissues deep within the arms, legs, and feet. Synovial sarcoma. Synovial Sarcoma Elbow.
From pubs.rsna.org
Imaging of Synovial with RadiologicPathologic Correlation Synovial Sarcoma Elbow A synovial sarcoma is a rare type of soft tissue sarcoma that develops most frequently in tissues deep within the arms, legs, and feet. Synovial sarcoma is a cancer that can come from different types of soft tissue, such as muscle or ligaments. It is often found in the arm, leg, or foot,. Synovial sarcoma is one of the most. Synovial Sarcoma Elbow.
From pubs.rsna.org
Imaging of Synovial with RadiologicPathologic Correlation Synovial Sarcoma Elbow Synovial sarcoma most commonly occurs in the extremities, particularly in the thighs, knees, feet and forearms. In the upper extremity these sarcomas have and incidence rate of. A synovial sarcoma is a rare type of soft tissue sarcoma that develops most frequently in tissues deep within the arms, legs, and feet. It is often found in the arm, leg, or. Synovial Sarcoma Elbow.
From www.scielo.org.za
Synovial Synovial Sarcoma Elbow It is often found in the arm, leg, or foot,. Synovial sarcoma most commonly occurs in the extremities, particularly in the thighs, knees, feet and forearms. Synovial sarcoma is one of the most common soft tissue sarcomas in the elbow. In the upper extremity these sarcomas have and incidence rate of. Synovial sarcoma is a rare type of cancer that. Synovial Sarcoma Elbow.
From pubs.rsna.org
Imaging of Synovial with RadiologicPathologic Correlation Synovial Sarcoma Elbow Synovial sarcoma is one of the most common soft tissue sarcomas in the elbow. In the upper extremity these sarcomas have and incidence rate of. Synovial sarcoma is a cancer that can come from different types of soft tissue, such as muscle or ligaments. It is often found in the arm, leg, or foot,. Synovial sarcoma most commonly occurs in. Synovial Sarcoma Elbow.
From www.ajronline.org
Synovial in Children Imaging Features and Common Benign Mimics Synovial Sarcoma Elbow Synovial sarcoma is a cancer that can come from different types of soft tissue, such as muscle or ligaments. A synovial sarcoma is a rare type of soft tissue sarcoma that develops most frequently in tissues deep within the arms, legs, and feet. Synovial sarcoma is one of the most common soft tissue sarcomas in the elbow. In the upper. Synovial Sarcoma Elbow.
From www.pathologyoutlines.com
Pathology Outlines Synovial Synovial Sarcoma Elbow It is often found in the arm, leg, or foot,. Synovial sarcoma is a rare type of cancer that tends to occur near large joints, mainly the knees. Synovial sarcoma most commonly occurs in the extremities, particularly in the thighs, knees, feet and forearms. In the upper extremity these sarcomas have and incidence rate of. Synovial sarcoma is a cancer. Synovial Sarcoma Elbow.
From veteriankey.com
Tumors of Joints Veterian Key Synovial Sarcoma Elbow Synovial sarcoma most commonly occurs in the extremities, particularly in the thighs, knees, feet and forearms. Synovial sarcoma is a rare type of cancer that tends to occur near large joints, mainly the knees. Synovial sarcoma is a cancer that can come from different types of soft tissue, such as muscle or ligaments. It is often found in the arm,. Synovial Sarcoma Elbow.
From pubs.rsna.org
Imaging of Synovial with RadiologicPathologic Correlation Synovial Sarcoma Elbow Synovial sarcoma most commonly occurs in the extremities, particularly in the thighs, knees, feet and forearms. Synovial sarcoma is a rare type of cancer that tends to occur near large joints, mainly the knees. It is often found in the arm, leg, or foot,. In the upper extremity these sarcomas have and incidence rate of. Synovial sarcoma is a cancer. Synovial Sarcoma Elbow.
From www.semanticscholar.org
Figure 1 from Monophasic Synovial in the Elbow Misclassified Synovial Sarcoma Elbow Synovial sarcoma is a cancer that can come from different types of soft tissue, such as muscle or ligaments. It is often found in the arm, leg, or foot,. Synovial sarcoma is a rare type of cancer that tends to occur near large joints, mainly the knees. Synovial sarcoma most commonly occurs in the extremities, particularly in the thighs, knees,. Synovial Sarcoma Elbow.
From pubs.rsna.org
Imaging of Synovial with RadiologicPathologic Correlation Synovial Sarcoma Elbow Synovial sarcoma is a cancer that can come from different types of soft tissue, such as muscle or ligaments. In the upper extremity these sarcomas have and incidence rate of. Synovial sarcoma is one of the most common soft tissue sarcomas in the elbow. Synovial sarcoma is a rare type of cancer that tends to occur near large joints, mainly. Synovial Sarcoma Elbow.
From www.mdpi.com
Cancers Free FullText Synovial in the Extremity Diversity Synovial Sarcoma Elbow A synovial sarcoma is a rare type of soft tissue sarcoma that develops most frequently in tissues deep within the arms, legs, and feet. In the upper extremity these sarcomas have and incidence rate of. It is often found in the arm, leg, or foot,. Synovial sarcoma is a cancer that can come from different types of soft tissue, such. Synovial Sarcoma Elbow.
From journals.sagepub.com
The Imaging Spectrum of Synovial A Pictorial Review From a Synovial Sarcoma Elbow Synovial sarcoma is one of the most common soft tissue sarcomas in the elbow. Synovial sarcoma is a cancer that can come from different types of soft tissue, such as muscle or ligaments. Synovial sarcoma most commonly occurs in the extremities, particularly in the thighs, knees, feet and forearms. A synovial sarcoma is a rare type of soft tissue sarcoma. Synovial Sarcoma Elbow.
From www.researchgate.net
Sagittal MR image of a synovial cell in a canine elbow Synovial Sarcoma Elbow A synovial sarcoma is a rare type of soft tissue sarcoma that develops most frequently in tissues deep within the arms, legs, and feet. Synovial sarcoma is a rare type of cancer that tends to occur near large joints, mainly the knees. It is often found in the arm, leg, or foot,. In the upper extremity these sarcomas have and. Synovial Sarcoma Elbow.
From www.researchgate.net
A 23yearold female with a synovial on the left elbow joint Synovial Sarcoma Elbow Synovial sarcoma is one of the most common soft tissue sarcomas in the elbow. In the upper extremity these sarcomas have and incidence rate of. Synovial sarcoma is a rare type of cancer that tends to occur near large joints, mainly the knees. Synovial sarcoma is a cancer that can come from different types of soft tissue, such as muscle. Synovial Sarcoma Elbow.
From www.youtube.com
Treatment for Soft tissue Cancer (Synovial of Elbow Limb Synovial Sarcoma Elbow In the upper extremity these sarcomas have and incidence rate of. It is often found in the arm, leg, or foot,. Synovial sarcoma is one of the most common soft tissue sarcomas in the elbow. A synovial sarcoma is a rare type of soft tissue sarcoma that develops most frequently in tissues deep within the arms, legs, and feet. Synovial. Synovial Sarcoma Elbow.