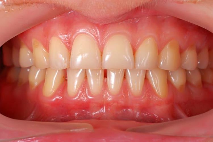
How To Get Bright Pink Gums . They may range from light pink in some people to dark pink and brown in others. Are your gums looking paler than usual? Seek medical advice if symptoms of. The colour of healthy gums should be in a relatively consistent shade of light pink. Healthy gums are firm and pale pink. Receiving treatment early can reduce the risk of complications. Gingivitis can cause bright or dark red, swollen, tender gums that bleed easily, especially when you brush your teeth. They are of a lighter pink shade around the teeth and darker around the sides of the. Red gums, or gums that are deeply pink, often indicate an infection. The color of healthy gums can vary. Speak with a doctor or dentist about pale gums as soon as possible. Find out what can cause pale gums and how to get your gums looking healthy and pink again. Bright red gums may be highly sensitive, and they may bleed when you brush and floss. Symptoms of periodontitis can include:
from ainacollege.blogspot.com
Symptoms of periodontitis can include: Find out what can cause pale gums and how to get your gums looking healthy and pink again. The color of healthy gums can vary. Seek medical advice if symptoms of. They may range from light pink in some people to dark pink and brown in others. Red gums, or gums that are deeply pink, often indicate an infection. Bright red gums may be highly sensitive, and they may bleed when you brush and floss. The colour of healthy gums should be in a relatively consistent shade of light pink. Speak with a doctor or dentist about pale gums as soon as possible. Receiving treatment early can reduce the risk of complications.
healthy gums Keep your gums healthy with your dentist in el reno anacollege
How To Get Bright Pink Gums They may range from light pink in some people to dark pink and brown in others. They may range from light pink in some people to dark pink and brown in others. Healthy gums are firm and pale pink. Bright red gums may be highly sensitive, and they may bleed when you brush and floss. Gingivitis can cause bright or dark red, swollen, tender gums that bleed easily, especially when you brush your teeth. Red gums, or gums that are deeply pink, often indicate an infection. The colour of healthy gums should be in a relatively consistent shade of light pink. Speak with a doctor or dentist about pale gums as soon as possible. Are your gums looking paler than usual? They are of a lighter pink shade around the teeth and darker around the sides of the. Receiving treatment early can reduce the risk of complications. Symptoms of periodontitis can include: Seek medical advice if symptoms of. The color of healthy gums can vary. Find out what can cause pale gums and how to get your gums looking healthy and pink again.
From www.youtube.com
How to Get Pink Gums with Rosewater and Coconut oil YouTube How To Get Bright Pink Gums They are of a lighter pink shade around the teeth and darker around the sides of the. The colour of healthy gums should be in a relatively consistent shade of light pink. Are your gums looking paler than usual? Seek medical advice if symptoms of. Gingivitis can cause bright or dark red, swollen, tender gums that bleed easily, especially when. How To Get Bright Pink Gums.
From medium.com
Gum Brightening 5 Tips to Lighten Your Gums Naturally? by BrtiteGums Medium How To Get Bright Pink Gums Receiving treatment early can reduce the risk of complications. Healthy gums are firm and pale pink. Symptoms of periodontitis can include: Speak with a doctor or dentist about pale gums as soon as possible. The color of healthy gums can vary. Bright red gums may be highly sensitive, and they may bleed when you brush and floss. Are your gums. How To Get Bright Pink Gums.
From thefrisky.com
How to Get Back Your Pink Gums? The Frisky How To Get Bright Pink Gums Seek medical advice if symptoms of. Gingivitis can cause bright or dark red, swollen, tender gums that bleed easily, especially when you brush your teeth. Healthy gums are firm and pale pink. They may range from light pink in some people to dark pink and brown in others. The colour of healthy gums should be in a relatively consistent shade. How To Get Bright Pink Gums.
From www.wikihow.com
How to Get Pink Gums (with Pictures) wikiHow How To Get Bright Pink Gums Find out what can cause pale gums and how to get your gums looking healthy and pink again. They are of a lighter pink shade around the teeth and darker around the sides of the. Gingivitis can cause bright or dark red, swollen, tender gums that bleed easily, especially when you brush your teeth. The colour of healthy gums should. How To Get Bright Pink Gums.
From www.wikihow.com
How to Get Pink Gums (with Pictures) wikiHow How To Get Bright Pink Gums Speak with a doctor or dentist about pale gums as soon as possible. The color of healthy gums can vary. They are of a lighter pink shade around the teeth and darker around the sides of the. Symptoms of periodontitis can include: Receiving treatment early can reduce the risk of complications. Seek medical advice if symptoms of. Gingivitis can cause. How To Get Bright Pink Gums.
From thefrisky.com
How to Get Back Your Pink Gums? The Frisky How To Get Bright Pink Gums Red gums, or gums that are deeply pink, often indicate an infection. Seek medical advice if symptoms of. Are your gums looking paler than usual? Find out what can cause pale gums and how to get your gums looking healthy and pink again. Gingivitis can cause bright or dark red, swollen, tender gums that bleed easily, especially when you brush. How To Get Bright Pink Gums.
From www.wikihow.com
How to Get Pink Gums (with Pictures) wikiHow How To Get Bright Pink Gums Healthy gums are firm and pale pink. Find out what can cause pale gums and how to get your gums looking healthy and pink again. Seek medical advice if symptoms of. Gingivitis can cause bright or dark red, swollen, tender gums that bleed easily, especially when you brush your teeth. Bright red gums may be highly sensitive, and they may. How To Get Bright Pink Gums.
From www.wikihow.com
How to Get Pink Gums (with Pictures) wikiHow How To Get Bright Pink Gums Symptoms of periodontitis can include: They may range from light pink in some people to dark pink and brown in others. Are your gums looking paler than usual? Gingivitis can cause bright or dark red, swollen, tender gums that bleed easily, especially when you brush your teeth. Receiving treatment early can reduce the risk of complications. Find out what can. How To Get Bright Pink Gums.
From theoaksdentalcenter.com
Tips for Pink Gums & Keeping Them Healthy The Oaks Dental Center How To Get Bright Pink Gums Bright red gums may be highly sensitive, and they may bleed when you brush and floss. Gingivitis can cause bright or dark red, swollen, tender gums that bleed easily, especially when you brush your teeth. Seek medical advice if symptoms of. They may range from light pink in some people to dark pink and brown in others. Find out what. How To Get Bright Pink Gums.
From www.wikihow.com
How to Get Pink Gums (with Pictures) wikiHow How To Get Bright Pink Gums Red gums, or gums that are deeply pink, often indicate an infection. Bright red gums may be highly sensitive, and they may bleed when you brush and floss. Find out what can cause pale gums and how to get your gums looking healthy and pink again. Healthy gums are firm and pale pink. Seek medical advice if symptoms of. Speak. How To Get Bright Pink Gums.
From www.wikihow.com
How to Get Pink Gums (with Pictures) wikiHow How To Get Bright Pink Gums Gingivitis can cause bright or dark red, swollen, tender gums that bleed easily, especially when you brush your teeth. Healthy gums are firm and pale pink. Are your gums looking paler than usual? Symptoms of periodontitis can include: Speak with a doctor or dentist about pale gums as soon as possible. They are of a lighter pink shade around the. How To Get Bright Pink Gums.
From www.wikihow.com
How to Get Pink Gums (with Pictures) wikiHow How To Get Bright Pink Gums Gingivitis can cause bright or dark red, swollen, tender gums that bleed easily, especially when you brush your teeth. Symptoms of periodontitis can include: They are of a lighter pink shade around the teeth and darker around the sides of the. The colour of healthy gums should be in a relatively consistent shade of light pink. Seek medical advice if. How To Get Bright Pink Gums.
From www.ideahacks.com
10 Home Remedies For Receding Gums That Help Them Grow Back Fast How To Get Bright Pink Gums The colour of healthy gums should be in a relatively consistent shade of light pink. They may range from light pink in some people to dark pink and brown in others. Bright red gums may be highly sensitive, and they may bleed when you brush and floss. Are your gums looking paler than usual? Receiving treatment early can reduce the. How To Get Bright Pink Gums.
From www.wikihow.com
How to Get Pink Gums (with Pictures) wikiHow How To Get Bright Pink Gums Are your gums looking paler than usual? Healthy gums are firm and pale pink. Red gums, or gums that are deeply pink, often indicate an infection. They may range from light pink in some people to dark pink and brown in others. Gingivitis can cause bright or dark red, swollen, tender gums that bleed easily, especially when you brush your. How To Get Bright Pink Gums.
From www.wikihow.com
How to Get Pink Gums (with Pictures) wikiHow How To Get Bright Pink Gums The color of healthy gums can vary. Healthy gums are firm and pale pink. Find out what can cause pale gums and how to get your gums looking healthy and pink again. Red gums, or gums that are deeply pink, often indicate an infection. Receiving treatment early can reduce the risk of complications. Bright red gums may be highly sensitive,. How To Get Bright Pink Gums.
From kipdental.com
How To Achieve Healthy Gums Kip Dental How To Get Bright Pink Gums Bright red gums may be highly sensitive, and they may bleed when you brush and floss. Red gums, or gums that are deeply pink, often indicate an infection. The colour of healthy gums should be in a relatively consistent shade of light pink. Find out what can cause pale gums and how to get your gums looking healthy and pink. How To Get Bright Pink Gums.
From www.dentalimplants123.com
Gum Bleaching Toronto Dental Implants Chrysalis Dental Centres Canada How To Get Bright Pink Gums They are of a lighter pink shade around the teeth and darker around the sides of the. The colour of healthy gums should be in a relatively consistent shade of light pink. Are your gums looking paler than usual? Receiving treatment early can reduce the risk of complications. Gingivitis can cause bright or dark red, swollen, tender gums that bleed. How To Get Bright Pink Gums.
From www.wikihow.com
How to Get Pink Gums (with Pictures) wikiHow How To Get Bright Pink Gums Seek medical advice if symptoms of. Speak with a doctor or dentist about pale gums as soon as possible. They are of a lighter pink shade around the teeth and darker around the sides of the. Gingivitis can cause bright or dark red, swollen, tender gums that bleed easily, especially when you brush your teeth. Find out what can cause. How To Get Bright Pink Gums.
From www.healthshots.com
What does the colour of your gums tell you about your health? HealthShots How To Get Bright Pink Gums Gingivitis can cause bright or dark red, swollen, tender gums that bleed easily, especially when you brush your teeth. They are of a lighter pink shade around the teeth and darker around the sides of the. The colour of healthy gums should be in a relatively consistent shade of light pink. Symptoms of periodontitis can include: Find out what can. How To Get Bright Pink Gums.
From aztlanunderground.com
9 Easy Facts About The 8 Best Practices For Healthy Teeth And Gums Shown Healthy Teeth and Gums How To Get Bright Pink Gums Receiving treatment early can reduce the risk of complications. Red gums, or gums that are deeply pink, often indicate an infection. Gingivitis can cause bright or dark red, swollen, tender gums that bleed easily, especially when you brush your teeth. Symptoms of periodontitis can include: They are of a lighter pink shade around the teeth and darker around the sides. How To Get Bright Pink Gums.
From www.shallowfordfamilydental.com
How to Maintain Pink, Healthy Gums How To Get Bright Pink Gums The color of healthy gums can vary. Speak with a doctor or dentist about pale gums as soon as possible. Healthy gums are firm and pale pink. Find out what can cause pale gums and how to get your gums looking healthy and pink again. They are of a lighter pink shade around the teeth and darker around the sides. How To Get Bright Pink Gums.
From westkellerdental.com
What Do Healthy Gums Look Like? West Keller Dental How To Get Bright Pink Gums Are your gums looking paler than usual? Find out what can cause pale gums and how to get your gums looking healthy and pink again. Red gums, or gums that are deeply pink, often indicate an infection. Healthy gums are firm and pale pink. Speak with a doctor or dentist about pale gums as soon as possible. Symptoms of periodontitis. How To Get Bright Pink Gums.
From www.wikihow.com
How to Get Pink Gums (with Pictures) wikiHow How To Get Bright Pink Gums Receiving treatment early can reduce the risk of complications. Speak with a doctor or dentist about pale gums as soon as possible. Are your gums looking paler than usual? The colour of healthy gums should be in a relatively consistent shade of light pink. Find out what can cause pale gums and how to get your gums looking healthy and. How To Get Bright Pink Gums.
From www.wikihow.com
How to Get Pink Gums (with Pictures) wikiHow How To Get Bright Pink Gums Healthy gums are firm and pale pink. Seek medical advice if symptoms of. Gingivitis can cause bright or dark red, swollen, tender gums that bleed easily, especially when you brush your teeth. Find out what can cause pale gums and how to get your gums looking healthy and pink again. The color of healthy gums can vary. The colour of. How To Get Bright Pink Gums.
From www.ohnuts.com
Bright Pink Shimmer Pearl Mini Gumballs Gumballs & Bubble Gum • Oh! Nuts® How To Get Bright Pink Gums They are of a lighter pink shade around the teeth and darker around the sides of the. Symptoms of periodontitis can include: Speak with a doctor or dentist about pale gums as soon as possible. Healthy gums are firm and pale pink. They may range from light pink in some people to dark pink and brown in others. The color. How To Get Bright Pink Gums.
From www.youtube.com
😁 How to Get Pink Gums with Massage Black Gums to Pink Gums Healthy Pink Gums Home Remedy How To Get Bright Pink Gums Red gums, or gums that are deeply pink, often indicate an infection. Find out what can cause pale gums and how to get your gums looking healthy and pink again. The color of healthy gums can vary. They may range from light pink in some people to dark pink and brown in others. The colour of healthy gums should be. How To Get Bright Pink Gums.
From ainacollege.blogspot.com
healthy gums Keep your gums healthy with your dentist in el reno anacollege How To Get Bright Pink Gums They may range from light pink in some people to dark pink and brown in others. Receiving treatment early can reduce the risk of complications. Red gums, or gums that are deeply pink, often indicate an infection. Bright red gums may be highly sensitive, and they may bleed when you brush and floss. The color of healthy gums can vary.. How To Get Bright Pink Gums.
From www.pinterest.com
Pin on Health hacks How To Get Bright Pink Gums The colour of healthy gums should be in a relatively consistent shade of light pink. They may range from light pink in some people to dark pink and brown in others. Bright red gums may be highly sensitive, and they may bleed when you brush and floss. Seek medical advice if symptoms of. Speak with a doctor or dentist about. How To Get Bright Pink Gums.
From bruush.com
How to Get & Keep Healthy Gums Brüush Blog Brüush How To Get Bright Pink Gums Receiving treatment early can reduce the risk of complications. Speak with a doctor or dentist about pale gums as soon as possible. Healthy gums are firm and pale pink. The color of healthy gums can vary. Bright red gums may be highly sensitive, and they may bleed when you brush and floss. They may range from light pink in some. How To Get Bright Pink Gums.
From www.retterdentalcare.com
Black Gums, Pink Gums, Pale Gums Best Dentist Montreal Retter How To Get Bright Pink Gums The color of healthy gums can vary. Gingivitis can cause bright or dark red, swollen, tender gums that bleed easily, especially when you brush your teeth. Seek medical advice if symptoms of. Receiving treatment early can reduce the risk of complications. Red gums, or gums that are deeply pink, often indicate an infection. Speak with a doctor or dentist about. How To Get Bright Pink Gums.
From ainacollege.blogspot.com
healthy gums Keep your gums healthy with your dentist in el reno anacollege How To Get Bright Pink Gums Healthy gums are firm and pale pink. They may range from light pink in some people to dark pink and brown in others. Symptoms of periodontitis can include: Bright red gums may be highly sensitive, and they may bleed when you brush and floss. Find out what can cause pale gums and how to get your gums looking healthy and. How To Get Bright Pink Gums.
From drania.com
gum health Archives Dr Ania Mohelicki Site How To Get Bright Pink Gums The color of healthy gums can vary. They are of a lighter pink shade around the teeth and darker around the sides of the. Bright red gums may be highly sensitive, and they may bleed when you brush and floss. Seek medical advice if symptoms of. Are your gums looking paler than usual? Find out what can cause pale gums. How To Get Bright Pink Gums.
From medium.com
How to make/have healthy pink gum, strong teeth & keep fresh breath by Happyhealthywe Feb How To Get Bright Pink Gums The color of healthy gums can vary. Gingivitis can cause bright or dark red, swollen, tender gums that bleed easily, especially when you brush your teeth. The colour of healthy gums should be in a relatively consistent shade of light pink. Bright red gums may be highly sensitive, and they may bleed when you brush and floss. They may range. How To Get Bright Pink Gums.
From theelitedental.com
What are Receding Gums? Elite Dental Care How To Get Bright Pink Gums Speak with a doctor or dentist about pale gums as soon as possible. Healthy gums are firm and pale pink. The color of healthy gums can vary. Are your gums looking paler than usual? The colour of healthy gums should be in a relatively consistent shade of light pink. They are of a lighter pink shade around the teeth and. How To Get Bright Pink Gums.
From www.wikihow.com
How to Get Pink Gums (with Pictures) wikiHow How To Get Bright Pink Gums Bright red gums may be highly sensitive, and they may bleed when you brush and floss. Symptoms of periodontitis can include: They may range from light pink in some people to dark pink and brown in others. They are of a lighter pink shade around the teeth and darker around the sides of the. The color of healthy gums can. How To Get Bright Pink Gums.