Basal Carpometacarpal Joint Dislocation . Thumb carpometacarpal (cmc) joint dislocations are rare, with a prevalence of less than 1% of all hand injuries. Although rare, thumb carpometacarpal (cmc) joint dislocations can. Dislocation of the thumb carpometacarpal (cmc) joint is a rare occurrence, composing less than 1% of hand injuries [1]. Basilar thumb arthritis, also referred to as trapeziometacarpal (tmc) arthritis, is a common degenerative condition caused by attenuation of the volar beak. Up to 15% of the population older than 30 years suffers from symptomatic thumb carpometacarpal (cmc) osteoarthritis (oa), with. 1,2 although there is no consensus on optimal treatment of these injuries,. Thumb arthritis is common with aging and occurs when cartilage wears away from the ends of the bones that form the joint at the.
from www.martinortho.care
1,2 although there is no consensus on optimal treatment of these injuries,. Up to 15% of the population older than 30 years suffers from symptomatic thumb carpometacarpal (cmc) osteoarthritis (oa), with. Dislocation of the thumb carpometacarpal (cmc) joint is a rare occurrence, composing less than 1% of hand injuries [1]. Although rare, thumb carpometacarpal (cmc) joint dislocations can. Basilar thumb arthritis, also referred to as trapeziometacarpal (tmc) arthritis, is a common degenerative condition caused by attenuation of the volar beak. Thumb arthritis is common with aging and occurs when cartilage wears away from the ends of the bones that form the joint at the. Thumb carpometacarpal (cmc) joint dislocations are rare, with a prevalence of less than 1% of all hand injuries.
Thumb CMC (Basal Joint) Arthroplasty Thumb Joint Reconstruction
Basal Carpometacarpal Joint Dislocation 1,2 although there is no consensus on optimal treatment of these injuries,. Dislocation of the thumb carpometacarpal (cmc) joint is a rare occurrence, composing less than 1% of hand injuries [1]. Thumb carpometacarpal (cmc) joint dislocations are rare, with a prevalence of less than 1% of all hand injuries. Basilar thumb arthritis, also referred to as trapeziometacarpal (tmc) arthritis, is a common degenerative condition caused by attenuation of the volar beak. Up to 15% of the population older than 30 years suffers from symptomatic thumb carpometacarpal (cmc) osteoarthritis (oa), with. 1,2 although there is no consensus on optimal treatment of these injuries,. Although rare, thumb carpometacarpal (cmc) joint dislocations can. Thumb arthritis is common with aging and occurs when cartilage wears away from the ends of the bones that form the joint at the.
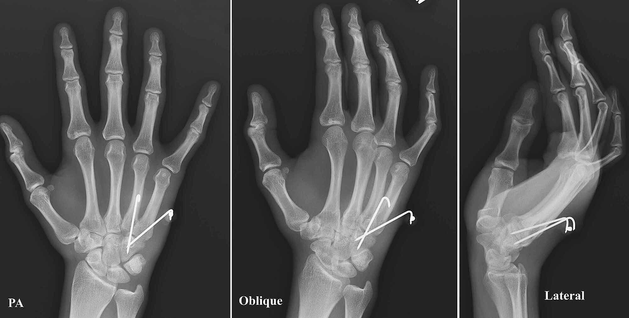
From www.mdpi.com
JPM Free FullText Radiological Influencing Factors in the Basal Carpometacarpal Joint Dislocation Dislocation of the thumb carpometacarpal (cmc) joint is a rare occurrence, composing less than 1% of hand injuries [1]. Thumb arthritis is common with aging and occurs when cartilage wears away from the ends of the bones that form the joint at the. 1,2 although there is no consensus on optimal treatment of these injuries,. Thumb carpometacarpal (cmc) joint dislocations. Basal Carpometacarpal Joint Dislocation.
From ar.inspiredpencil.com
Carpometacarpal Joint Dislocation Basal Carpometacarpal Joint Dislocation Basilar thumb arthritis, also referred to as trapeziometacarpal (tmc) arthritis, is a common degenerative condition caused by attenuation of the volar beak. Dislocation of the thumb carpometacarpal (cmc) joint is a rare occurrence, composing less than 1% of hand injuries [1]. 1,2 although there is no consensus on optimal treatment of these injuries,. Although rare, thumb carpometacarpal (cmc) joint dislocations. Basal Carpometacarpal Joint Dislocation.
From www.ochsnerjournal.org
Isolated Volar Dislocation of the Fifth Carpometacarpal Joint Ochsner Basal Carpometacarpal Joint Dislocation 1,2 although there is no consensus on optimal treatment of these injuries,. Although rare, thumb carpometacarpal (cmc) joint dislocations can. Thumb arthritis is common with aging and occurs when cartilage wears away from the ends of the bones that form the joint at the. Dislocation of the thumb carpometacarpal (cmc) joint is a rare occurrence, composing less than 1% of. Basal Carpometacarpal Joint Dislocation.
From www.semanticscholar.org
Figure 2 from Fourth and fifth carpometacarpal fracture dislocations Basal Carpometacarpal Joint Dislocation Basilar thumb arthritis, also referred to as trapeziometacarpal (tmc) arthritis, is a common degenerative condition caused by attenuation of the volar beak. Dislocation of the thumb carpometacarpal (cmc) joint is a rare occurrence, composing less than 1% of hand injuries [1]. Although rare, thumb carpometacarpal (cmc) joint dislocations can. 1,2 although there is no consensus on optimal treatment of these. Basal Carpometacarpal Joint Dislocation.
From casereports.bmj.com
Posttraumatic wind swept deformity five volar carpometacarpal Basal Carpometacarpal Joint Dislocation 1,2 although there is no consensus on optimal treatment of these injuries,. Thumb arthritis is common with aging and occurs when cartilage wears away from the ends of the bones that form the joint at the. Although rare, thumb carpometacarpal (cmc) joint dislocations can. Basilar thumb arthritis, also referred to as trapeziometacarpal (tmc) arthritis, is a common degenerative condition caused. Basal Carpometacarpal Joint Dislocation.
From www.wjgnet.com
Unusual capitate fracture with dorsal shearing pattern and Basal Carpometacarpal Joint Dislocation Basilar thumb arthritis, also referred to as trapeziometacarpal (tmc) arthritis, is a common degenerative condition caused by attenuation of the volar beak. Dislocation of the thumb carpometacarpal (cmc) joint is a rare occurrence, composing less than 1% of hand injuries [1]. Thumb carpometacarpal (cmc) joint dislocations are rare, with a prevalence of less than 1% of all hand injuries. Although. Basal Carpometacarpal Joint Dislocation.
From www.physiocheck.ca
Base of thumb arthritis Physio Check Basal Carpometacarpal Joint Dislocation Thumb carpometacarpal (cmc) joint dislocations are rare, with a prevalence of less than 1% of all hand injuries. Up to 15% of the population older than 30 years suffers from symptomatic thumb carpometacarpal (cmc) osteoarthritis (oa), with. Although rare, thumb carpometacarpal (cmc) joint dislocations can. Thumb arthritis is common with aging and occurs when cartilage wears away from the ends. Basal Carpometacarpal Joint Dislocation.
From www.semanticscholar.org
Figure 1 from Fracturedislocations of the carpometacarpal joints of Basal Carpometacarpal Joint Dislocation Basilar thumb arthritis, also referred to as trapeziometacarpal (tmc) arthritis, is a common degenerative condition caused by attenuation of the volar beak. Although rare, thumb carpometacarpal (cmc) joint dislocations can. Thumb arthritis is common with aging and occurs when cartilage wears away from the ends of the bones that form the joint at the. Dislocation of the thumb carpometacarpal (cmc). Basal Carpometacarpal Joint Dislocation.
From www.schreibermd.com
Thumb Arthritis Raleigh Hand Surgery — Joseph J. Schreiber, MD Basal Carpometacarpal Joint Dislocation Thumb arthritis is common with aging and occurs when cartilage wears away from the ends of the bones that form the joint at the. 1,2 although there is no consensus on optimal treatment of these injuries,. Up to 15% of the population older than 30 years suffers from symptomatic thumb carpometacarpal (cmc) osteoarthritis (oa), with. Although rare, thumb carpometacarpal (cmc). Basal Carpometacarpal Joint Dislocation.
From ar.inspiredpencil.com
Carpometacarpal Joint Dislocation Basal Carpometacarpal Joint Dislocation Up to 15% of the population older than 30 years suffers from symptomatic thumb carpometacarpal (cmc) osteoarthritis (oa), with. 1,2 although there is no consensus on optimal treatment of these injuries,. Thumb arthritis is common with aging and occurs when cartilage wears away from the ends of the bones that form the joint at the. Thumb carpometacarpal (cmc) joint dislocations. Basal Carpometacarpal Joint Dislocation.
From ar.inspiredpencil.com
Carpometacarpal Joint Dislocation Basal Carpometacarpal Joint Dislocation Although rare, thumb carpometacarpal (cmc) joint dislocations can. Dislocation of the thumb carpometacarpal (cmc) joint is a rare occurrence, composing less than 1% of hand injuries [1]. Up to 15% of the population older than 30 years suffers from symptomatic thumb carpometacarpal (cmc) osteoarthritis (oa), with. Basilar thumb arthritis, also referred to as trapeziometacarpal (tmc) arthritis, is a common degenerative. Basal Carpometacarpal Joint Dislocation.
From www1.racgp.org.au
RACGP Basal thumb arthritis Basal Carpometacarpal Joint Dislocation Basilar thumb arthritis, also referred to as trapeziometacarpal (tmc) arthritis, is a common degenerative condition caused by attenuation of the volar beak. Dislocation of the thumb carpometacarpal (cmc) joint is a rare occurrence, composing less than 1% of hand injuries [1]. Up to 15% of the population older than 30 years suffers from symptomatic thumb carpometacarpal (cmc) osteoarthritis (oa), with.. Basal Carpometacarpal Joint Dislocation.
From ar.inspiredpencil.com
Carpometacarpal Joint Dislocation Basal Carpometacarpal Joint Dislocation Basilar thumb arthritis, also referred to as trapeziometacarpal (tmc) arthritis, is a common degenerative condition caused by attenuation of the volar beak. Although rare, thumb carpometacarpal (cmc) joint dislocations can. Up to 15% of the population older than 30 years suffers from symptomatic thumb carpometacarpal (cmc) osteoarthritis (oa), with. Thumb arthritis is common with aging and occurs when cartilage wears. Basal Carpometacarpal Joint Dislocation.
From www.researchgate.net
Ligament reconstruction. Surrounding the base of first metacarpal, one Basal Carpometacarpal Joint Dislocation Dislocation of the thumb carpometacarpal (cmc) joint is a rare occurrence, composing less than 1% of hand injuries [1]. Although rare, thumb carpometacarpal (cmc) joint dislocations can. Basilar thumb arthritis, also referred to as trapeziometacarpal (tmc) arthritis, is a common degenerative condition caused by attenuation of the volar beak. 1,2 although there is no consensus on optimal treatment of these. Basal Carpometacarpal Joint Dislocation.
From www.cureus.com
Cureus Isolated Dorsal Dislocations of the Fourth and Fifth Basal Carpometacarpal Joint Dislocation 1,2 although there is no consensus on optimal treatment of these injuries,. Thumb arthritis is common with aging and occurs when cartilage wears away from the ends of the bones that form the joint at the. Dislocation of the thumb carpometacarpal (cmc) joint is a rare occurrence, composing less than 1% of hand injuries [1]. Although rare, thumb carpometacarpal (cmc). Basal Carpometacarpal Joint Dislocation.
From ar.inspiredpencil.com
Carpometacarpal Joint Dislocation Basal Carpometacarpal Joint Dislocation Thumb arthritis is common with aging and occurs when cartilage wears away from the ends of the bones that form the joint at the. Although rare, thumb carpometacarpal (cmc) joint dislocations can. Thumb carpometacarpal (cmc) joint dislocations are rare, with a prevalence of less than 1% of all hand injuries. 1,2 although there is no consensus on optimal treatment of. Basal Carpometacarpal Joint Dislocation.
From casereports.bmj.com
Posttraumatic wind swept deformity five volar carpometacarpal Basal Carpometacarpal Joint Dislocation Up to 15% of the population older than 30 years suffers from symptomatic thumb carpometacarpal (cmc) osteoarthritis (oa), with. Thumb arthritis is common with aging and occurs when cartilage wears away from the ends of the bones that form the joint at the. Although rare, thumb carpometacarpal (cmc) joint dislocations can. Basilar thumb arthritis, also referred to as trapeziometacarpal (tmc). Basal Carpometacarpal Joint Dislocation.
From europepmc.org
VOLAR DISLOCATION OF THE FIFTH CARPOMETACARPAL JOINT. Abstract Basal Carpometacarpal Joint Dislocation Thumb carpometacarpal (cmc) joint dislocations are rare, with a prevalence of less than 1% of all hand injuries. Dislocation of the thumb carpometacarpal (cmc) joint is a rare occurrence, composing less than 1% of hand injuries [1]. 1,2 although there is no consensus on optimal treatment of these injuries,. Thumb arthritis is common with aging and occurs when cartilage wears. Basal Carpometacarpal Joint Dislocation.
From radiopaedia.org
Fourth metacarpal fracture and dislocated fifth carpometacarpal joint Basal Carpometacarpal Joint Dislocation Basilar thumb arthritis, also referred to as trapeziometacarpal (tmc) arthritis, is a common degenerative condition caused by attenuation of the volar beak. Thumb carpometacarpal (cmc) joint dislocations are rare, with a prevalence of less than 1% of all hand injuries. Thumb arthritis is common with aging and occurs when cartilage wears away from the ends of the bones that form. Basal Carpometacarpal Joint Dislocation.
From radiopaedia.org
Fourth and fifth carpometacarpal joint dislocations Image Basal Carpometacarpal Joint Dislocation Although rare, thumb carpometacarpal (cmc) joint dislocations can. Thumb arthritis is common with aging and occurs when cartilage wears away from the ends of the bones that form the joint at the. Thumb carpometacarpal (cmc) joint dislocations are rare, with a prevalence of less than 1% of all hand injuries. Dislocation of the thumb carpometacarpal (cmc) joint is a rare. Basal Carpometacarpal Joint Dislocation.
From www.researchgate.net
Patient with fourth and fifth carpometacarpal dislocation after car Basal Carpometacarpal Joint Dislocation Thumb arthritis is common with aging and occurs when cartilage wears away from the ends of the bones that form the joint at the. Up to 15% of the population older than 30 years suffers from symptomatic thumb carpometacarpal (cmc) osteoarthritis (oa), with. Thumb carpometacarpal (cmc) joint dislocations are rare, with a prevalence of less than 1% of all hand. Basal Carpometacarpal Joint Dislocation.
From www.earthslab.com
Carpometacarpal Joints Earth's Lab Basal Carpometacarpal Joint Dislocation Up to 15% of the population older than 30 years suffers from symptomatic thumb carpometacarpal (cmc) osteoarthritis (oa), with. Thumb arthritis is common with aging and occurs when cartilage wears away from the ends of the bones that form the joint at the. Basilar thumb arthritis, also referred to as trapeziometacarpal (tmc) arthritis, is a common degenerative condition caused by. Basal Carpometacarpal Joint Dislocation.
From www.scielo.br
SciELO Brasil Traumatic Isolated Thumb Carpometacarpal Joint Basal Carpometacarpal Joint Dislocation Thumb carpometacarpal (cmc) joint dislocations are rare, with a prevalence of less than 1% of all hand injuries. Up to 15% of the population older than 30 years suffers from symptomatic thumb carpometacarpal (cmc) osteoarthritis (oa), with. 1,2 although there is no consensus on optimal treatment of these injuries,. Dislocation of the thumb carpometacarpal (cmc) joint is a rare occurrence,. Basal Carpometacarpal Joint Dislocation.
From rehabforbetterlife.com
Painful Thumb? How to Rehab Your Thumb Osteoarthritis? REHAB FOR A Basal Carpometacarpal Joint Dislocation Up to 15% of the population older than 30 years suffers from symptomatic thumb carpometacarpal (cmc) osteoarthritis (oa), with. Although rare, thumb carpometacarpal (cmc) joint dislocations can. Thumb carpometacarpal (cmc) joint dislocations are rare, with a prevalence of less than 1% of all hand injuries. Basilar thumb arthritis, also referred to as trapeziometacarpal (tmc) arthritis, is a common degenerative condition. Basal Carpometacarpal Joint Dislocation.
From ar.inspiredpencil.com
Carpometacarpal Joint Dislocation Basal Carpometacarpal Joint Dislocation Thumb arthritis is common with aging and occurs when cartilage wears away from the ends of the bones that form the joint at the. Dislocation of the thumb carpometacarpal (cmc) joint is a rare occurrence, composing less than 1% of hand injuries [1]. Thumb carpometacarpal (cmc) joint dislocations are rare, with a prevalence of less than 1% of all hand. Basal Carpometacarpal Joint Dislocation.
From www.cureus.com
Cureus Isolated Dorsal Dislocations of the Fourth and Fifth Basal Carpometacarpal Joint Dislocation Dislocation of the thumb carpometacarpal (cmc) joint is a rare occurrence, composing less than 1% of hand injuries [1]. Thumb arthritis is common with aging and occurs when cartilage wears away from the ends of the bones that form the joint at the. Up to 15% of the population older than 30 years suffers from symptomatic thumb carpometacarpal (cmc) osteoarthritis. Basal Carpometacarpal Joint Dislocation.
From casereports.bmj.com
Isolated first carpometacarpal joint dislocation managed with closed Basal Carpometacarpal Joint Dislocation Thumb arthritis is common with aging and occurs when cartilage wears away from the ends of the bones that form the joint at the. Thumb carpometacarpal (cmc) joint dislocations are rare, with a prevalence of less than 1% of all hand injuries. Up to 15% of the population older than 30 years suffers from symptomatic thumb carpometacarpal (cmc) osteoarthritis (oa),. Basal Carpometacarpal Joint Dislocation.
From www.e-hand.com
Arthritis Basal joint arthritis Basal Carpometacarpal Joint Dislocation Dislocation of the thumb carpometacarpal (cmc) joint is a rare occurrence, composing less than 1% of hand injuries [1]. Thumb arthritis is common with aging and occurs when cartilage wears away from the ends of the bones that form the joint at the. Thumb carpometacarpal (cmc) joint dislocations are rare, with a prevalence of less than 1% of all hand. Basal Carpometacarpal Joint Dislocation.
From www.pinterest.ca
Image showing where your IP, MPC, and CMC (basal / saddle) joints are Basal Carpometacarpal Joint Dislocation Although rare, thumb carpometacarpal (cmc) joint dislocations can. Basilar thumb arthritis, also referred to as trapeziometacarpal (tmc) arthritis, is a common degenerative condition caused by attenuation of the volar beak. 1,2 although there is no consensus on optimal treatment of these injuries,. Dislocation of the thumb carpometacarpal (cmc) joint is a rare occurrence, composing less than 1% of hand injuries. Basal Carpometacarpal Joint Dislocation.
From westjem.com
Multiple Carpometacarpal Dislocations The Western Journal of Basal Carpometacarpal Joint Dislocation Up to 15% of the population older than 30 years suffers from symptomatic thumb carpometacarpal (cmc) osteoarthritis (oa), with. Although rare, thumb carpometacarpal (cmc) joint dislocations can. Thumb arthritis is common with aging and occurs when cartilage wears away from the ends of the bones that form the joint at the. Thumb carpometacarpal (cmc) joint dislocations are rare, with a. Basal Carpometacarpal Joint Dislocation.
From hand411.com
Hand411 » Basilar Thumb (CMC) Arthritis Basal Carpometacarpal Joint Dislocation Basilar thumb arthritis, also referred to as trapeziometacarpal (tmc) arthritis, is a common degenerative condition caused by attenuation of the volar beak. Although rare, thumb carpometacarpal (cmc) joint dislocations can. Thumb arthritis is common with aging and occurs when cartilage wears away from the ends of the bones that form the joint at the. 1,2 although there is no consensus. Basal Carpometacarpal Joint Dislocation.
From www.cureus.com
Cureus Isolated Dorsal Dislocations of the Fourth and Fifth Basal Carpometacarpal Joint Dislocation Dislocation of the thumb carpometacarpal (cmc) joint is a rare occurrence, composing less than 1% of hand injuries [1]. Up to 15% of the population older than 30 years suffers from symptomatic thumb carpometacarpal (cmc) osteoarthritis (oa), with. Although rare, thumb carpometacarpal (cmc) joint dislocations can. Thumb arthritis is common with aging and occurs when cartilage wears away from the. Basal Carpometacarpal Joint Dislocation.
From eorif.com
Carpometacarpal Fracture Dislocation S63.056A S62.109A S62.309A 833. Basal Carpometacarpal Joint Dislocation Thumb arthritis is common with aging and occurs when cartilage wears away from the ends of the bones that form the joint at the. Thumb carpometacarpal (cmc) joint dislocations are rare, with a prevalence of less than 1% of all hand injuries. Although rare, thumb carpometacarpal (cmc) joint dislocations can. Basilar thumb arthritis, also referred to as trapeziometacarpal (tmc) arthritis,. Basal Carpometacarpal Joint Dislocation.
From www.martinortho.care
Thumb CMC (Basal Joint) Arthroplasty Thumb Joint Reconstruction Basal Carpometacarpal Joint Dislocation Thumb carpometacarpal (cmc) joint dislocations are rare, with a prevalence of less than 1% of all hand injuries. Up to 15% of the population older than 30 years suffers from symptomatic thumb carpometacarpal (cmc) osteoarthritis (oa), with. Dislocation of the thumb carpometacarpal (cmc) joint is a rare occurrence, composing less than 1% of hand injuries [1]. Basilar thumb arthritis, also. Basal Carpometacarpal Joint Dislocation.
From www.ochsnerjournal.org
Isolated Volar Dislocation of the Fifth Carpometacarpal Joint Ochsner Basal Carpometacarpal Joint Dislocation Thumb arthritis is common with aging and occurs when cartilage wears away from the ends of the bones that form the joint at the. Although rare, thumb carpometacarpal (cmc) joint dislocations can. Up to 15% of the population older than 30 years suffers from symptomatic thumb carpometacarpal (cmc) osteoarthritis (oa), with. 1,2 although there is no consensus on optimal treatment. Basal Carpometacarpal Joint Dislocation.