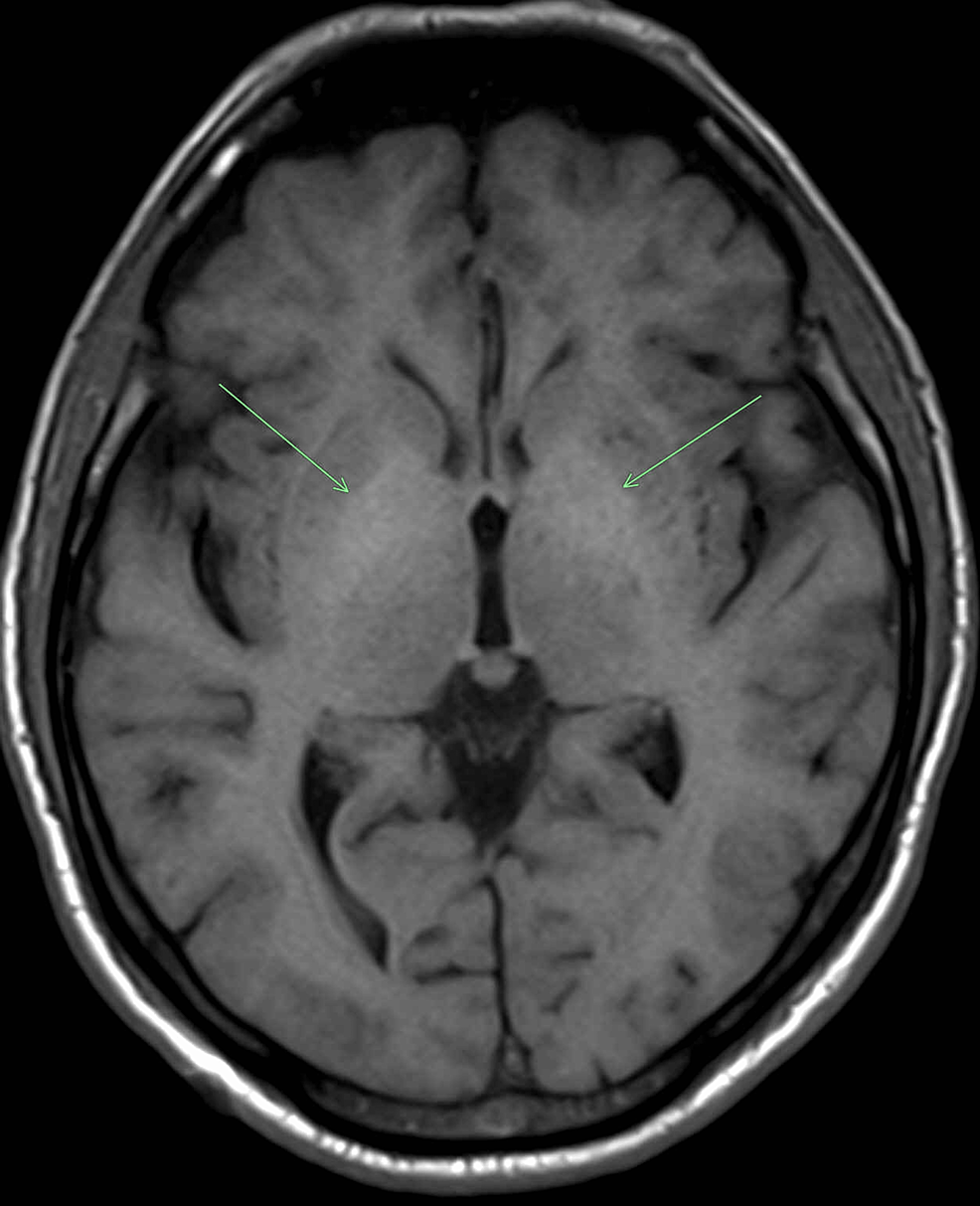
Basal Ganglia T1 Hyperintensity . various substances, including methemoglobin, melanin, lipid, protein, calcium, iron, copper, and manganese, are. basal ganglia and thalamus signal abnormalities occur in a wide variety of conditions. Hyperintense basal ganglia ( a ). a mri 2 days later demonstrates bilateral symmetric swelling and hyperintensity in the basal ganglia. t1 hyperintensity of the basal ganglia may be related to a minor hemorrhage resulting from rbc diapedesis after reperfusion.
from www.researchgate.net
various substances, including methemoglobin, melanin, lipid, protein, calcium, iron, copper, and manganese, are. a mri 2 days later demonstrates bilateral symmetric swelling and hyperintensity in the basal ganglia. basal ganglia and thalamus signal abnormalities occur in a wide variety of conditions. Hyperintense basal ganglia ( a ). t1 hyperintensity of the basal ganglia may be related to a minor hemorrhage resulting from rbc diapedesis after reperfusion.
Figure.Hyperintensity over right basal ganglia on T1 weighted MRI
Basal Ganglia T1 Hyperintensity a mri 2 days later demonstrates bilateral symmetric swelling and hyperintensity in the basal ganglia. Hyperintense basal ganglia ( a ). various substances, including methemoglobin, melanin, lipid, protein, calcium, iron, copper, and manganese, are. t1 hyperintensity of the basal ganglia may be related to a minor hemorrhage resulting from rbc diapedesis after reperfusion. basal ganglia and thalamus signal abnormalities occur in a wide variety of conditions. a mri 2 days later demonstrates bilateral symmetric swelling and hyperintensity in the basal ganglia.
From onlinelibrary.wiley.com
Basal ganglia hyperintensity on T1‐weighted MRI in renduoslerweber Basal Ganglia T1 Hyperintensity t1 hyperintensity of the basal ganglia may be related to a minor hemorrhage resulting from rbc diapedesis after reperfusion. a mri 2 days later demonstrates bilateral symmetric swelling and hyperintensity in the basal ganglia. Hyperintense basal ganglia ( a ). various substances, including methemoglobin, melanin, lipid, protein, calcium, iron, copper, and manganese, are. basal ganglia and. Basal Ganglia T1 Hyperintensity.
From www.researchgate.net
Axial T1weighted sequence depicts right basal ganglia hyperintensity Basal Ganglia T1 Hyperintensity a mri 2 days later demonstrates bilateral symmetric swelling and hyperintensity in the basal ganglia. various substances, including methemoglobin, melanin, lipid, protein, calcium, iron, copper, and manganese, are. Hyperintense basal ganglia ( a ). basal ganglia and thalamus signal abnormalities occur in a wide variety of conditions. t1 hyperintensity of the basal ganglia may be related. Basal Ganglia T1 Hyperintensity.
From www.semanticscholar.org
Figure 1 from Basal ganglia T1 hyperintensity in LGI1autoantibody Basal Ganglia T1 Hyperintensity t1 hyperintensity of the basal ganglia may be related to a minor hemorrhage resulting from rbc diapedesis after reperfusion. Hyperintense basal ganglia ( a ). a mri 2 days later demonstrates bilateral symmetric swelling and hyperintensity in the basal ganglia. basal ganglia and thalamus signal abnormalities occur in a wide variety of conditions. various substances, including. Basal Ganglia T1 Hyperintensity.
From www.neuroradiologycases.com
Dr Balaji Anvekar FRCR UL Basal ganglia T1 hyperintensity Basal Ganglia T1 Hyperintensity Hyperintense basal ganglia ( a ). basal ganglia and thalamus signal abnormalities occur in a wide variety of conditions. various substances, including methemoglobin, melanin, lipid, protein, calcium, iron, copper, and manganese, are. a mri 2 days later demonstrates bilateral symmetric swelling and hyperintensity in the basal ganglia. t1 hyperintensity of the basal ganglia may be related. Basal Ganglia T1 Hyperintensity.
From www.semanticscholar.org
Table 2 from Basal ganglia T1 hyperintensity in LGI1autoantibody Basal Ganglia T1 Hyperintensity basal ganglia and thalamus signal abnormalities occur in a wide variety of conditions. Hyperintense basal ganglia ( a ). various substances, including methemoglobin, melanin, lipid, protein, calcium, iron, copper, and manganese, are. a mri 2 days later demonstrates bilateral symmetric swelling and hyperintensity in the basal ganglia. t1 hyperintensity of the basal ganglia may be related. Basal Ganglia T1 Hyperintensity.
From www.researchgate.net
MRI showing bilateral basal ganglia lesions with hypointensity on Basal Ganglia T1 Hyperintensity a mri 2 days later demonstrates bilateral symmetric swelling and hyperintensity in the basal ganglia. t1 hyperintensity of the basal ganglia may be related to a minor hemorrhage resulting from rbc diapedesis after reperfusion. various substances, including methemoglobin, melanin, lipid, protein, calcium, iron, copper, and manganese, are. Hyperintense basal ganglia ( a ). basal ganglia and. Basal Ganglia T1 Hyperintensity.
From exyzdolhe.blob.core.windows.net
Basal Ganglia Hyperintensity at Sean Martin blog Basal Ganglia T1 Hyperintensity various substances, including methemoglobin, melanin, lipid, protein, calcium, iron, copper, and manganese, are. a mri 2 days later demonstrates bilateral symmetric swelling and hyperintensity in the basal ganglia. t1 hyperintensity of the basal ganglia may be related to a minor hemorrhage resulting from rbc diapedesis after reperfusion. basal ganglia and thalamus signal abnormalities occur in a. Basal Ganglia T1 Hyperintensity.
From www.ajnr.org
Fig 2. T1 Hyperintensity in the Pulvinar Key Imaging Feature for Basal Ganglia T1 Hyperintensity various substances, including methemoglobin, melanin, lipid, protein, calcium, iron, copper, and manganese, are. a mri 2 days later demonstrates bilateral symmetric swelling and hyperintensity in the basal ganglia. t1 hyperintensity of the basal ganglia may be related to a minor hemorrhage resulting from rbc diapedesis after reperfusion. Hyperintense basal ganglia ( a ). basal ganglia and. Basal Ganglia T1 Hyperintensity.
From www.researchgate.net
Axial T1 weighted image at the level of basal ganglia shows Basal Ganglia T1 Hyperintensity basal ganglia and thalamus signal abnormalities occur in a wide variety of conditions. t1 hyperintensity of the basal ganglia may be related to a minor hemorrhage resulting from rbc diapedesis after reperfusion. Hyperintense basal ganglia ( a ). a mri 2 days later demonstrates bilateral symmetric swelling and hyperintensity in the basal ganglia. various substances, including. Basal Ganglia T1 Hyperintensity.
From www.ajnr.org
Basal Ganglia T1 Hyperintensity in Hereditary Hemorrhagic Basal Ganglia T1 Hyperintensity t1 hyperintensity of the basal ganglia may be related to a minor hemorrhage resulting from rbc diapedesis after reperfusion. various substances, including methemoglobin, melanin, lipid, protein, calcium, iron, copper, and manganese, are. a mri 2 days later demonstrates bilateral symmetric swelling and hyperintensity in the basal ganglia. Hyperintense basal ganglia ( a ). basal ganglia and. Basal Ganglia T1 Hyperintensity.
From www.researchgate.net
is showing bilateral hyperintensity in basal ganglia more on the right Basal Ganglia T1 Hyperintensity basal ganglia and thalamus signal abnormalities occur in a wide variety of conditions. Hyperintense basal ganglia ( a ). a mri 2 days later demonstrates bilateral symmetric swelling and hyperintensity in the basal ganglia. t1 hyperintensity of the basal ganglia may be related to a minor hemorrhage resulting from rbc diapedesis after reperfusion. various substances, including. Basal Ganglia T1 Hyperintensity.
From www.cureus.com
Cureus A Case of Noncirrhotic Hyperammonemic Encephalopathy in a Basal Ganglia T1 Hyperintensity basal ganglia and thalamus signal abnormalities occur in a wide variety of conditions. various substances, including methemoglobin, melanin, lipid, protein, calcium, iron, copper, and manganese, are. Hyperintense basal ganglia ( a ). t1 hyperintensity of the basal ganglia may be related to a minor hemorrhage resulting from rbc diapedesis after reperfusion. a mri 2 days later. Basal Ganglia T1 Hyperintensity.
From www.elsevier.es
Corea/balismo secundaria a hiperglucemia no cetósica serie de 4 casos Basal Ganglia T1 Hyperintensity t1 hyperintensity of the basal ganglia may be related to a minor hemorrhage resulting from rbc diapedesis after reperfusion. a mri 2 days later demonstrates bilateral symmetric swelling and hyperintensity in the basal ganglia. various substances, including methemoglobin, melanin, lipid, protein, calcium, iron, copper, and manganese, are. basal ganglia and thalamus signal abnormalities occur in a. Basal Ganglia T1 Hyperintensity.
From www.researchgate.net
Axial T1weighted sequence depicts right basal ganglia hyperintensity Basal Ganglia T1 Hyperintensity basal ganglia and thalamus signal abnormalities occur in a wide variety of conditions. t1 hyperintensity of the basal ganglia may be related to a minor hemorrhage resulting from rbc diapedesis after reperfusion. Hyperintense basal ganglia ( a ). various substances, including methemoglobin, melanin, lipid, protein, calcium, iron, copper, and manganese, are. a mri 2 days later. Basal Ganglia T1 Hyperintensity.
From www.semanticscholar.org
Figure 2 from Basal ganglia T1 hyperintensity in LGI1autoantibody Basal Ganglia T1 Hyperintensity Hyperintense basal ganglia ( a ). a mri 2 days later demonstrates bilateral symmetric swelling and hyperintensity in the basal ganglia. t1 hyperintensity of the basal ganglia may be related to a minor hemorrhage resulting from rbc diapedesis after reperfusion. basal ganglia and thalamus signal abnormalities occur in a wide variety of conditions. various substances, including. Basal Ganglia T1 Hyperintensity.
From www.semanticscholar.org
Figure 1 from Hyperintense basal ganglia on T1weighted MR images in a Basal Ganglia T1 Hyperintensity various substances, including methemoglobin, melanin, lipid, protein, calcium, iron, copper, and manganese, are. t1 hyperintensity of the basal ganglia may be related to a minor hemorrhage resulting from rbc diapedesis after reperfusion. basal ganglia and thalamus signal abnormalities occur in a wide variety of conditions. a mri 2 days later demonstrates bilateral symmetric swelling and hyperintensity. Basal Ganglia T1 Hyperintensity.
From www.researchgate.net
T1 showing hyperintensity in bilateral basal ganglia more on the right Basal Ganglia T1 Hyperintensity various substances, including methemoglobin, melanin, lipid, protein, calcium, iron, copper, and manganese, are. a mri 2 days later demonstrates bilateral symmetric swelling and hyperintensity in the basal ganglia. Hyperintense basal ganglia ( a ). basal ganglia and thalamus signal abnormalities occur in a wide variety of conditions. t1 hyperintensity of the basal ganglia may be related. Basal Ganglia T1 Hyperintensity.
From www.ajronline.org
Radiological Reasoning Hyperintensity of the Basal Ganglia and Cortex Basal Ganglia T1 Hyperintensity Hyperintense basal ganglia ( a ). t1 hyperintensity of the basal ganglia may be related to a minor hemorrhage resulting from rbc diapedesis after reperfusion. various substances, including methemoglobin, melanin, lipid, protein, calcium, iron, copper, and manganese, are. basal ganglia and thalamus signal abnormalities occur in a wide variety of conditions. a mri 2 days later. Basal Ganglia T1 Hyperintensity.
From ultimate-radiology.blogspot.com
Ultimate Radiology Bilateral basal ganglia T1 hyperintensity Basal Ganglia T1 Hyperintensity basal ganglia and thalamus signal abnormalities occur in a wide variety of conditions. t1 hyperintensity of the basal ganglia may be related to a minor hemorrhage resulting from rbc diapedesis after reperfusion. a mri 2 days later demonstrates bilateral symmetric swelling and hyperintensity in the basal ganglia. Hyperintense basal ganglia ( a ). various substances, including. Basal Ganglia T1 Hyperintensity.
From www.researchgate.net
Severe basal gangliathalamus pattern of HII in an 11dayold infant Basal Ganglia T1 Hyperintensity Hyperintense basal ganglia ( a ). basal ganglia and thalamus signal abnormalities occur in a wide variety of conditions. various substances, including methemoglobin, melanin, lipid, protein, calcium, iron, copper, and manganese, are. a mri 2 days later demonstrates bilateral symmetric swelling and hyperintensity in the basal ganglia. t1 hyperintensity of the basal ganglia may be related. Basal Ganglia T1 Hyperintensity.
From www.neuroradiologycases.com
Neuroradiology Cases UL Basal ganglia T1 hyperintensity Basal Ganglia T1 Hyperintensity various substances, including methemoglobin, melanin, lipid, protein, calcium, iron, copper, and manganese, are. basal ganglia and thalamus signal abnormalities occur in a wide variety of conditions. a mri 2 days later demonstrates bilateral symmetric swelling and hyperintensity in the basal ganglia. Hyperintense basal ganglia ( a ). t1 hyperintensity of the basal ganglia may be related. Basal Ganglia T1 Hyperintensity.
From radiopaedia.org
Bilateral basal ganglia and thalamic T1 hyperintensities Image Basal Ganglia T1 Hyperintensity various substances, including methemoglobin, melanin, lipid, protein, calcium, iron, copper, and manganese, are. basal ganglia and thalamus signal abnormalities occur in a wide variety of conditions. t1 hyperintensity of the basal ganglia may be related to a minor hemorrhage resulting from rbc diapedesis after reperfusion. a mri 2 days later demonstrates bilateral symmetric swelling and hyperintensity. Basal Ganglia T1 Hyperintensity.
From fn.bmj.com
Basal ganglia damage and impaired visual function in the newborn infant Basal Ganglia T1 Hyperintensity basal ganglia and thalamus signal abnormalities occur in a wide variety of conditions. Hyperintense basal ganglia ( a ). t1 hyperintensity of the basal ganglia may be related to a minor hemorrhage resulting from rbc diapedesis after reperfusion. various substances, including methemoglobin, melanin, lipid, protein, calcium, iron, copper, and manganese, are. a mri 2 days later. Basal Ganglia T1 Hyperintensity.
From www.ajronline.org
Radiological Reasoning Hyperintensity of the Basal Ganglia and Cortex Basal Ganglia T1 Hyperintensity various substances, including methemoglobin, melanin, lipid, protein, calcium, iron, copper, and manganese, are. t1 hyperintensity of the basal ganglia may be related to a minor hemorrhage resulting from rbc diapedesis after reperfusion. basal ganglia and thalamus signal abnormalities occur in a wide variety of conditions. Hyperintense basal ganglia ( a ). a mri 2 days later. Basal Ganglia T1 Hyperintensity.
From www.researchgate.net
A, B Brain MR imaging showing basal ganglia T2 hyperintense (A) and T1 Basal Ganglia T1 Hyperintensity a mri 2 days later demonstrates bilateral symmetric swelling and hyperintensity in the basal ganglia. various substances, including methemoglobin, melanin, lipid, protein, calcium, iron, copper, and manganese, are. t1 hyperintensity of the basal ganglia may be related to a minor hemorrhage resulting from rbc diapedesis after reperfusion. Hyperintense basal ganglia ( a ). basal ganglia and. Basal Ganglia T1 Hyperintensity.
From www.neuroradiologycases.com
Dr Balaji Anvekar FRCR UL Basal ganglia T1 hyperintensity Basal Ganglia T1 Hyperintensity various substances, including methemoglobin, melanin, lipid, protein, calcium, iron, copper, and manganese, are. Hyperintense basal ganglia ( a ). basal ganglia and thalamus signal abnormalities occur in a wide variety of conditions. t1 hyperintensity of the basal ganglia may be related to a minor hemorrhage resulting from rbc diapedesis after reperfusion. a mri 2 days later. Basal Ganglia T1 Hyperintensity.
From www.ajnr.org
Basal Ganglia T1 Hyperintensity in Hereditary Hemorrhagic Basal Ganglia T1 Hyperintensity Hyperintense basal ganglia ( a ). t1 hyperintensity of the basal ganglia may be related to a minor hemorrhage resulting from rbc diapedesis after reperfusion. basal ganglia and thalamus signal abnormalities occur in a wide variety of conditions. a mri 2 days later demonstrates bilateral symmetric swelling and hyperintensity in the basal ganglia. various substances, including. Basal Ganglia T1 Hyperintensity.
From www.neuroradiologycases.com
Dr Balaji Anvekar FRCR Unilateral Basal Ganglionic T1 hyperintensity Basal Ganglia T1 Hyperintensity t1 hyperintensity of the basal ganglia may be related to a minor hemorrhage resulting from rbc diapedesis after reperfusion. basal ganglia and thalamus signal abnormalities occur in a wide variety of conditions. a mri 2 days later demonstrates bilateral symmetric swelling and hyperintensity in the basal ganglia. various substances, including methemoglobin, melanin, lipid, protein, calcium, iron,. Basal Ganglia T1 Hyperintensity.
From www.researchgate.net
(A) T1weighted axial image showing hyperintensity on basal ganglia and Basal Ganglia T1 Hyperintensity a mri 2 days later demonstrates bilateral symmetric swelling and hyperintensity in the basal ganglia. t1 hyperintensity of the basal ganglia may be related to a minor hemorrhage resulting from rbc diapedesis after reperfusion. basal ganglia and thalamus signal abnormalities occur in a wide variety of conditions. Hyperintense basal ganglia ( a ). various substances, including. Basal Ganglia T1 Hyperintensity.
From pacs.de
basal ganglia T1 hyperintensity pacs Basal Ganglia T1 Hyperintensity t1 hyperintensity of the basal ganglia may be related to a minor hemorrhage resulting from rbc diapedesis after reperfusion. various substances, including methemoglobin, melanin, lipid, protein, calcium, iron, copper, and manganese, are. basal ganglia and thalamus signal abnormalities occur in a wide variety of conditions. Hyperintense basal ganglia ( a ). a mri 2 days later. Basal Ganglia T1 Hyperintensity.
From www.researchgate.net
Figure.Hyperintensity over right basal ganglia on T1 weighted MRI Basal Ganglia T1 Hyperintensity a mri 2 days later demonstrates bilateral symmetric swelling and hyperintensity in the basal ganglia. basal ganglia and thalamus signal abnormalities occur in a wide variety of conditions. t1 hyperintensity of the basal ganglia may be related to a minor hemorrhage resulting from rbc diapedesis after reperfusion. Hyperintense basal ganglia ( a ). various substances, including. Basal Ganglia T1 Hyperintensity.
From www.pinterest.com
Pin em NEURO & HEADNECK RADIOLOGY Basal Ganglia T1 Hyperintensity a mri 2 days later demonstrates bilateral symmetric swelling and hyperintensity in the basal ganglia. various substances, including methemoglobin, melanin, lipid, protein, calcium, iron, copper, and manganese, are. Hyperintense basal ganglia ( a ). t1 hyperintensity of the basal ganglia may be related to a minor hemorrhage resulting from rbc diapedesis after reperfusion. basal ganglia and. Basal Ganglia T1 Hyperintensity.
From www.researchgate.net
Symmetrical T1hyperintensity can be seen involving the basal ganglia Basal Ganglia T1 Hyperintensity various substances, including methemoglobin, melanin, lipid, protein, calcium, iron, copper, and manganese, are. t1 hyperintensity of the basal ganglia may be related to a minor hemorrhage resulting from rbc diapedesis after reperfusion. basal ganglia and thalamus signal abnormalities occur in a wide variety of conditions. a mri 2 days later demonstrates bilateral symmetric swelling and hyperintensity. Basal Ganglia T1 Hyperintensity.
From www.ajnr.org
Basal Ganglia T1 Hyperintensity in Hereditary Hemorrhagic Basal Ganglia T1 Hyperintensity Hyperintense basal ganglia ( a ). various substances, including methemoglobin, melanin, lipid, protein, calcium, iron, copper, and manganese, are. t1 hyperintensity of the basal ganglia may be related to a minor hemorrhage resulting from rbc diapedesis after reperfusion. a mri 2 days later demonstrates bilateral symmetric swelling and hyperintensity in the basal ganglia. basal ganglia and. Basal Ganglia T1 Hyperintensity.
From www.ajronline.org
Radiological Reasoning Hyperintensity of the Basal Ganglia and Cortex Basal Ganglia T1 Hyperintensity Hyperintense basal ganglia ( a ). t1 hyperintensity of the basal ganglia may be related to a minor hemorrhage resulting from rbc diapedesis after reperfusion. basal ganglia and thalamus signal abnormalities occur in a wide variety of conditions. a mri 2 days later demonstrates bilateral symmetric swelling and hyperintensity in the basal ganglia. various substances, including. Basal Ganglia T1 Hyperintensity.