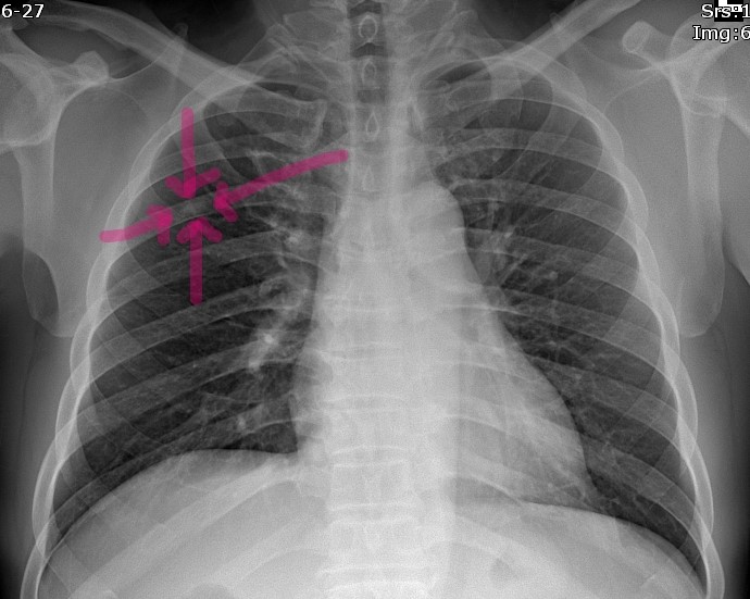
What Is A Bone Island In The Neck . a bone island is cortical bone found along the surface of the bone located within the shaft or central cavity of the bone. bone islands, previously known as enostoses, are common benign sclerotic bone lesions that usually represent an incidental finding. It appears as a small, circular,. This is a benign entity that is. a bone island, also known as an enostosis, is a focus of compact bone located in cancellous bone (see the images below). enostosis, also known as bone island (bi), is a common benign osseous lesion that consists of a focus of compact. bone island, also known as enostosis, is a benign bone lesion commonly found on radiographs. bone island, also called an enostosis, is a benign bone tumor mostly encountered as an incidental and asymptomatic finding. a bone island or enostosis is a very common benign bone lesion, that is mostly asymptomatic and typically 1 mm to.
from www.bjmp.org
bone island, also called an enostosis, is a benign bone tumor mostly encountered as an incidental and asymptomatic finding. bone islands, previously known as enostoses, are common benign sclerotic bone lesions that usually represent an incidental finding. It appears as a small, circular,. a bone island or enostosis is a very common benign bone lesion, that is mostly asymptomatic and typically 1 mm to. a bone island is cortical bone found along the surface of the bone located within the shaft or central cavity of the bone. a bone island, also known as an enostosis, is a focus of compact bone located in cancellous bone (see the images below). enostosis, also known as bone island (bi), is a common benign osseous lesion that consists of a focus of compact. This is a benign entity that is. bone island, also known as enostosis, is a benign bone lesion commonly found on radiographs.
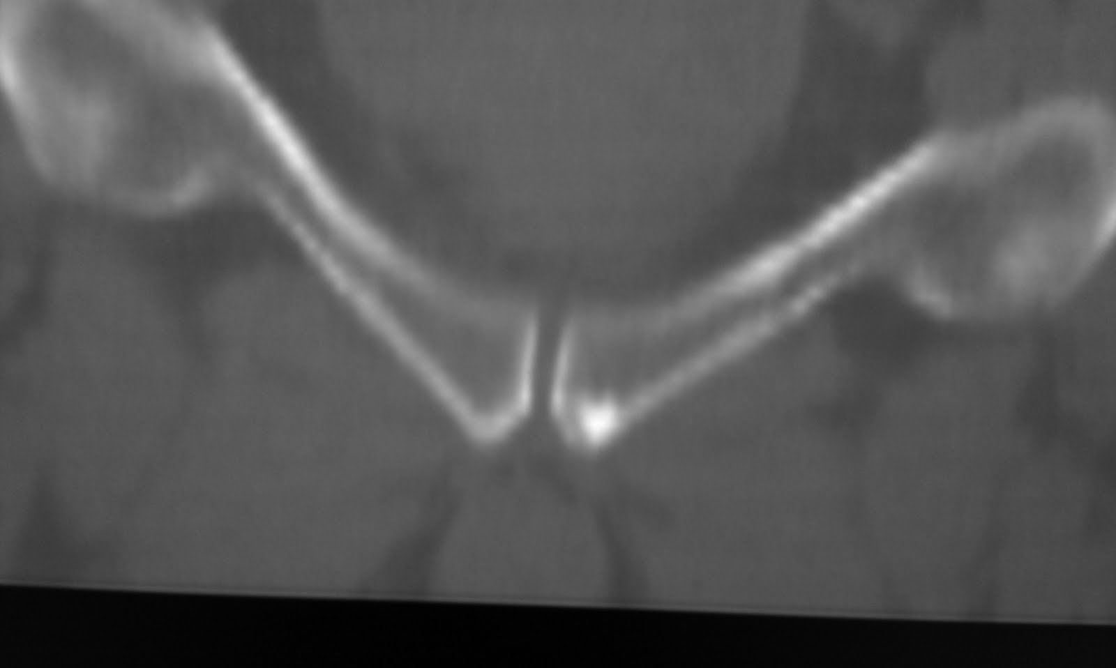
Spotted Bone A Spot Diagnosis British Journal of Medical Practitioners
What Is A Bone Island In The Neck enostosis, also known as bone island (bi), is a common benign osseous lesion that consists of a focus of compact. a bone island or enostosis is a very common benign bone lesion, that is mostly asymptomatic and typically 1 mm to. a bone island is cortical bone found along the surface of the bone located within the shaft or central cavity of the bone. bone island, also called an enostosis, is a benign bone tumor mostly encountered as an incidental and asymptomatic finding. enostosis, also known as bone island (bi), is a common benign osseous lesion that consists of a focus of compact. This is a benign entity that is. It appears as a small, circular,. bone island, also known as enostosis, is a benign bone lesion commonly found on radiographs. a bone island, also known as an enostosis, is a focus of compact bone located in cancellous bone (see the images below). bone islands, previously known as enostoses, are common benign sclerotic bone lesions that usually represent an incidental finding.
From www.slideserve.com
PPT How Common are Bone Islands on Abdominal and Pelvic CT What Is A Bone Island In The Neck This is a benign entity that is. enostosis, also known as bone island (bi), is a common benign osseous lesion that consists of a focus of compact. bone island, also called an enostosis, is a benign bone tumor mostly encountered as an incidental and asymptomatic finding. a bone island, also known as an enostosis, is a focus. What Is A Bone Island In The Neck.
From www.researchgate.net
Bone island in the middle phalanx. Download Scientific Diagram What Is A Bone Island In The Neck a bone island is cortical bone found along the surface of the bone located within the shaft or central cavity of the bone. bone islands, previously known as enostoses, are common benign sclerotic bone lesions that usually represent an incidental finding. a bone island, also known as an enostosis, is a focus of compact bone located in. What Is A Bone Island In The Neck.
From www.youtube.com
Bone Island Full Song 4.3 (My Singing Monsters) YouTube What Is A Bone Island In The Neck enostosis, also known as bone island (bi), is a common benign osseous lesion that consists of a focus of compact. bone island, also known as enostosis, is a benign bone lesion commonly found on radiographs. bone islands, previously known as enostoses, are common benign sclerotic bone lesions that usually represent an incidental finding. a bone island,. What Is A Bone Island In The Neck.
From atlas.mudr.org
Radiology case Bone island, metacarpal bone What Is A Bone Island In The Neck enostosis, also known as bone island (bi), is a common benign osseous lesion that consists of a focus of compact. This is a benign entity that is. bone islands, previously known as enostoses, are common benign sclerotic bone lesions that usually represent an incidental finding. bone island, also known as enostosis, is a benign bone lesion commonly. What Is A Bone Island In The Neck.
From slidesharetrick.blogspot.com
What Is A Bone Island slidesharetrick What Is A Bone Island In The Neck a bone island, also known as an enostosis, is a focus of compact bone located in cancellous bone (see the images below). It appears as a small, circular,. a bone island is cortical bone found along the surface of the bone located within the shaft or central cavity of the bone. a bone island or enostosis is. What Is A Bone Island In The Neck.
From radiologyimages.blogspot.com
Daily Dose Bone island What Is A Bone Island In The Neck bone islands, previously known as enostoses, are common benign sclerotic bone lesions that usually represent an incidental finding. a bone island is cortical bone found along the surface of the bone located within the shaft or central cavity of the bone. bone island, also known as enostosis, is a benign bone lesion commonly found on radiographs. This. What Is A Bone Island In The Neck.
From ar.inspiredpencil.com
Bone Island Mri What Is A Bone Island In The Neck bone island, also known as enostosis, is a benign bone lesion commonly found on radiographs. a bone island, also known as an enostosis, is a focus of compact bone located in cancellous bone (see the images below). It appears as a small, circular,. bone island, also called an enostosis, is a benign bone tumor mostly encountered as. What Is A Bone Island In The Neck.
From slidesharetrick.blogspot.com
What Is A Bone Island slidesharetrick What Is A Bone Island In The Neck bone island, also known as enostosis, is a benign bone lesion commonly found on radiographs. It appears as a small, circular,. a bone island or enostosis is a very common benign bone lesion, that is mostly asymptomatic and typically 1 mm to. a bone island is cortical bone found along the surface of the bone located within. What Is A Bone Island In The Neck.
From www.wikidoc.org
Bone island wikidoc What Is A Bone Island In The Neck bone islands, previously known as enostoses, are common benign sclerotic bone lesions that usually represent an incidental finding. It appears as a small, circular,. a bone island is cortical bone found along the surface of the bone located within the shaft or central cavity of the bone. enostosis, also known as bone island (bi), is a common. What Is A Bone Island In The Neck.
From ar.inspiredpencil.com
Bone Island Mri What Is A Bone Island In The Neck bone islands, previously known as enostoses, are common benign sclerotic bone lesions that usually represent an incidental finding. a bone island is cortical bone found along the surface of the bone located within the shaft or central cavity of the bone. It appears as a small, circular,. bone island, also known as enostosis, is a benign bone. What Is A Bone Island In The Neck.
From www.bonetumor.org
Bone island What Is A Bone Island In The Neck bone island, also called an enostosis, is a benign bone tumor mostly encountered as an incidental and asymptomatic finding. bone islands, previously known as enostoses, are common benign sclerotic bone lesions that usually represent an incidental finding. It appears as a small, circular,. a bone island or enostosis is a very common benign bone lesion, that is. What Is A Bone Island In The Neck.
From www.researchgate.net
Bone island in the middle phalanx. Download Scientific Diagram What Is A Bone Island In The Neck enostosis, also known as bone island (bi), is a common benign osseous lesion that consists of a focus of compact. It appears as a small, circular,. a bone island is cortical bone found along the surface of the bone located within the shaft or central cavity of the bone. a bone island, also known as an enostosis,. What Is A Bone Island In The Neck.
From www.youtube.com
Dense Bone Island Intraoral Radiographic Interpretation YouTube What Is A Bone Island In The Neck bone islands, previously known as enostoses, are common benign sclerotic bone lesions that usually represent an incidental finding. It appears as a small, circular,. a bone island or enostosis is a very common benign bone lesion, that is mostly asymptomatic and typically 1 mm to. bone island, also known as enostosis, is a benign bone lesion commonly. What Is A Bone Island In The Neck.
From www.bonetumor.org
Bone island What Is A Bone Island In The Neck enostosis, also known as bone island (bi), is a common benign osseous lesion that consists of a focus of compact. a bone island, also known as an enostosis, is a focus of compact bone located in cancellous bone (see the images below). bone island, also known as enostosis, is a benign bone lesion commonly found on radiographs.. What Is A Bone Island In The Neck.
From ceonmxpr.blob.core.windows.net
Ribs Location And Function at Suzanne Coakley blog What Is A Bone Island In The Neck This is a benign entity that is. enostosis, also known as bone island (bi), is a common benign osseous lesion that consists of a focus of compact. a bone island or enostosis is a very common benign bone lesion, that is mostly asymptomatic and typically 1 mm to. bone islands, previously known as enostoses, are common benign. What Is A Bone Island In The Neck.
From www.pinterest.com
Bone islands/ multiple enchonromas Poster, Image, Art What Is A Bone Island In The Neck bone islands, previously known as enostoses, are common benign sclerotic bone lesions that usually represent an incidental finding. a bone island, also known as an enostosis, is a focus of compact bone located in cancellous bone (see the images below). a bone island or enostosis is a very common benign bone lesion, that is mostly asymptomatic and. What Is A Bone Island In The Neck.
From www.slideserve.com
PPT How Common are Bone Islands on Abdominal and Pelvic CT What Is A Bone Island In The Neck a bone island or enostosis is a very common benign bone lesion, that is mostly asymptomatic and typically 1 mm to. bone island, also called an enostosis, is a benign bone tumor mostly encountered as an incidental and asymptomatic finding. enostosis, also known as bone island (bi), is a common benign osseous lesion that consists of a. What Is A Bone Island In The Neck.
From www.reddit.com
OMG GUYS BONE ISLAND IS INSIDE OF US!!!1!!1111!1!!!1!11!!!! r What Is A Bone Island In The Neck bone islands, previously known as enostoses, are common benign sclerotic bone lesions that usually represent an incidental finding. enostosis, also known as bone island (bi), is a common benign osseous lesion that consists of a focus of compact. bone island, also called an enostosis, is a benign bone tumor mostly encountered as an incidental and asymptomatic finding.. What Is A Bone Island In The Neck.
From boneandspine.com
Bone Island or Enostosis Bone and Spine What Is A Bone Island In The Neck bone islands, previously known as enostoses, are common benign sclerotic bone lesions that usually represent an incidental finding. a bone island or enostosis is a very common benign bone lesion, that is mostly asymptomatic and typically 1 mm to. bone island, also called an enostosis, is a benign bone tumor mostly encountered as an incidental and asymptomatic. What Is A Bone Island In The Neck.
From www.pathologyoutlines.com
Pathology Outlines Bone island What Is A Bone Island In The Neck This is a benign entity that is. bone island, also called an enostosis, is a benign bone tumor mostly encountered as an incidental and asymptomatic finding. bone island, also known as enostosis, is a benign bone lesion commonly found on radiographs. bone islands, previously known as enostoses, are common benign sclerotic bone lesions that usually represent an. What Is A Bone Island In The Neck.
From slidesharetrick.blogspot.com
What Is A Bone Island slidesharetrick What Is A Bone Island In The Neck It appears as a small, circular,. a bone island, also known as an enostosis, is a focus of compact bone located in cancellous bone (see the images below). enostosis, also known as bone island (bi), is a common benign osseous lesion that consists of a focus of compact. a bone island is cortical bone found along the. What Is A Bone Island In The Neck.
From mavink.com
Bone Marrow Iliac Crest What Is A Bone Island In The Neck a bone island, also known as an enostosis, is a focus of compact bone located in cancellous bone (see the images below). This is a benign entity that is. It appears as a small, circular,. bone islands, previously known as enostoses, are common benign sclerotic bone lesions that usually represent an incidental finding. bone island, also called. What Is A Bone Island In The Neck.
From 52.62.202.235
Bone island The Bone School What Is A Bone Island In The Neck It appears as a small, circular,. bone island, also called an enostosis, is a benign bone tumor mostly encountered as an incidental and asymptomatic finding. This is a benign entity that is. bone islands, previously known as enostoses, are common benign sclerotic bone lesions that usually represent an incidental finding. a bone island or enostosis is a. What Is A Bone Island In The Neck.
From www.youtube.com
BONE ISLAND MYTHICAL (my singing monsters) YouTube What Is A Bone Island In The Neck enostosis, also known as bone island (bi), is a common benign osseous lesion that consists of a focus of compact. It appears as a small, circular,. a bone island or enostosis is a very common benign bone lesion, that is mostly asymptomatic and typically 1 mm to. a bone island is cortical bone found along the surface. What Is A Bone Island In The Neck.
From www.slideserve.com
PPT How Common are Bone Islands on Abdominal and Pelvic CT What Is A Bone Island In The Neck a bone island, also known as an enostosis, is a focus of compact bone located in cancellous bone (see the images below). This is a benign entity that is. bone islands, previously known as enostoses, are common benign sclerotic bone lesions that usually represent an incidental finding. It appears as a small, circular,. a bone island or. What Is A Bone Island In The Neck.
From www.mdpi.com
JCM Free FullText Imaging Review of Pediatric Benign Osteocytic What Is A Bone Island In The Neck bone island, also known as enostosis, is a benign bone lesion commonly found on radiographs. a bone island, also known as an enostosis, is a focus of compact bone located in cancellous bone (see the images below). bone islands, previously known as enostoses, are common benign sclerotic bone lesions that usually represent an incidental finding. a. What Is A Bone Island In The Neck.
From www.bjmp.org
Spotted Bone A Spot Diagnosis British Journal of Medical Practitioners What Is A Bone Island In The Neck enostosis, also known as bone island (bi), is a common benign osseous lesion that consists of a focus of compact. a bone island is cortical bone found along the surface of the bone located within the shaft or central cavity of the bone. bone island, also known as enostosis, is a benign bone lesion commonly found on. What Is A Bone Island In The Neck.
From www.researchgate.net
(PDF) “It’s just a big bone island… isn’t it?” Sclerotic lesions of What Is A Bone Island In The Neck a bone island, also known as an enostosis, is a focus of compact bone located in cancellous bone (see the images below). bone islands, previously known as enostoses, are common benign sclerotic bone lesions that usually represent an incidental finding. a bone island is cortical bone found along the surface of the bone located within the shaft. What Is A Bone Island In The Neck.
From mavink.com
Anatomy Of The Neck Bones What Is A Bone Island In The Neck bone island, also known as enostosis, is a benign bone lesion commonly found on radiographs. It appears as a small, circular,. a bone island or enostosis is a very common benign bone lesion, that is mostly asymptomatic and typically 1 mm to. bone islands, previously known as enostoses, are common benign sclerotic bone lesions that usually represent. What Is A Bone Island In The Neck.
From slidesharetrick.blogspot.com
What Is A Bone Island slidesharetrick What Is A Bone Island In The Neck bone islands, previously known as enostoses, are common benign sclerotic bone lesions that usually represent an incidental finding. enostosis, also known as bone island (bi), is a common benign osseous lesion that consists of a focus of compact. bone island, also called an enostosis, is a benign bone tumor mostly encountered as an incidental and asymptomatic finding.. What Is A Bone Island In The Neck.
From blog.naver.com
Bone island on Xray 네이버 블로그 What Is A Bone Island In The Neck It appears as a small, circular,. bone island, also called an enostosis, is a benign bone tumor mostly encountered as an incidental and asymptomatic finding. a bone island or enostosis is a very common benign bone lesion, that is mostly asymptomatic and typically 1 mm to. bone islands, previously known as enostoses, are common benign sclerotic bone. What Is A Bone Island In The Neck.
From www.pinterest.ph
DD between Enostosis(bone island) and sclerotic metastasis. Border What Is A Bone Island In The Neck a bone island is cortical bone found along the surface of the bone located within the shaft or central cavity of the bone. This is a benign entity that is. It appears as a small, circular,. a bone island or enostosis is a very common benign bone lesion, that is mostly asymptomatic and typically 1 mm to. . What Is A Bone Island In The Neck.
From slidesharetrick.blogspot.com
What Is A Bone Island slidesharetrick What Is A Bone Island In The Neck enostosis, also known as bone island (bi), is a common benign osseous lesion that consists of a focus of compact. It appears as a small, circular,. bone islands, previously known as enostoses, are common benign sclerotic bone lesions that usually represent an incidental finding. a bone island, also known as an enostosis, is a focus of compact. What Is A Bone Island In The Neck.
From learn-gsk.com
Design your ampere theorizing sight such highlights this dynamics What Is A Bone Island In The Neck bone island, also known as enostosis, is a benign bone lesion commonly found on radiographs. This is a benign entity that is. a bone island, also known as an enostosis, is a focus of compact bone located in cancellous bone (see the images below). enostosis, also known as bone island (bi), is a common benign osseous lesion. What Is A Bone Island In The Neck.
From www.semanticscholar.org
Case report of a rare giant bone island in a vertebral body combined What Is A Bone Island In The Neck bone islands, previously known as enostoses, are common benign sclerotic bone lesions that usually represent an incidental finding. enostosis, also known as bone island (bi), is a common benign osseous lesion that consists of a focus of compact. bone island, also known as enostosis, is a benign bone lesion commonly found on radiographs. bone island, also. What Is A Bone Island In The Neck.