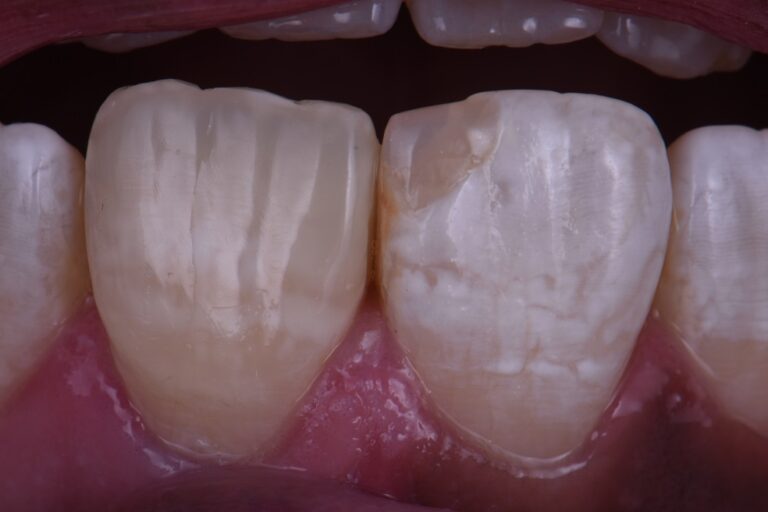
Can Teeth Get Dehydrated . So, if you are dehydrated and your volume of saliva decreases, this can increase your risk of dry mouth and dental disease. Here are the most common causes. Rehydrating your teeth can take anywhere from 2 to 7 days, but there are several things you can do to help lessen the dryness and sensitivity that comes with it. There are many signs of dehydration, but the biggest one to look for is dry mouth. Saliva (or spit) plays a crucial role in your oral health. A shortage of moisture in the mouth, or saliva, can harm both the teeth and gum tissue. Tooth dehydration causes significant color change, thus assessment of final color or clinical success should be considered after tooth. The causes of dry mouth can range from something minor, like dehydration, to a chronic problem like sjogren's syndrome. It’s like when you water a plant unevenly, and some patches remain dry. Dehydration causes everything from dry skin to kidney failure, it just depends on how severe. Dry mouth can also lead to bad breath, mouth sores and mouth. These spots can be an indication that certain areas of your teeth have lost more moisture than others. Dry mouth significantly increases your risk for dental problems like gum disease.
from medicaldialogues.in
Tooth dehydration causes significant color change, thus assessment of final color or clinical success should be considered after tooth. Rehydrating your teeth can take anywhere from 2 to 7 days, but there are several things you can do to help lessen the dryness and sensitivity that comes with it. A shortage of moisture in the mouth, or saliva, can harm both the teeth and gum tissue. The causes of dry mouth can range from something minor, like dehydration, to a chronic problem like sjogren's syndrome. So, if you are dehydrated and your volume of saliva decreases, this can increase your risk of dry mouth and dental disease. Here are the most common causes. Dehydration causes everything from dry skin to kidney failure, it just depends on how severe. There are many signs of dehydration, but the biggest one to look for is dry mouth. It’s like when you water a plant unevenly, and some patches remain dry. Dry mouth significantly increases your risk for dental problems like gum disease.
Dehydration affects shade of teeth and may look them whiter
Can Teeth Get Dehydrated There are many signs of dehydration, but the biggest one to look for is dry mouth. Dry mouth can also lead to bad breath, mouth sores and mouth. Saliva (or spit) plays a crucial role in your oral health. It’s like when you water a plant unevenly, and some patches remain dry. There are many signs of dehydration, but the biggest one to look for is dry mouth. Dry mouth significantly increases your risk for dental problems like gum disease. Dehydration causes everything from dry skin to kidney failure, it just depends on how severe. These spots can be an indication that certain areas of your teeth have lost more moisture than others. A shortage of moisture in the mouth, or saliva, can harm both the teeth and gum tissue. So, if you are dehydrated and your volume of saliva decreases, this can increase your risk of dry mouth and dental disease. Rehydrating your teeth can take anywhere from 2 to 7 days, but there are several things you can do to help lessen the dryness and sensitivity that comes with it. Here are the most common causes. The causes of dry mouth can range from something minor, like dehydration, to a chronic problem like sjogren's syndrome. Tooth dehydration causes significant color change, thus assessment of final color or clinical success should be considered after tooth.
From www.australiawidefirstaid.com.au
First Aid for Dehydration Can Teeth Get Dehydrated It’s like when you water a plant unevenly, and some patches remain dry. Dehydration causes everything from dry skin to kidney failure, it just depends on how severe. Saliva (or spit) plays a crucial role in your oral health. Rehydrating your teeth can take anywhere from 2 to 7 days, but there are several things you can do to help. Can Teeth Get Dehydrated.
From www.allhealthpost.com
12 Common Dehydration Symptoms and Signs Can Teeth Get Dehydrated There are many signs of dehydration, but the biggest one to look for is dry mouth. Tooth dehydration causes significant color change, thus assessment of final color or clinical success should be considered after tooth. Here are the most common causes. So, if you are dehydrated and your volume of saliva decreases, this can increase your risk of dry mouth. Can Teeth Get Dehydrated.
From tricityfamilydental.com
Tooth Abscess Stages Pictures What To Look For? Can Teeth Get Dehydrated These spots can be an indication that certain areas of your teeth have lost more moisture than others. The causes of dry mouth can range from something minor, like dehydration, to a chronic problem like sjogren's syndrome. Saliva (or spit) plays a crucial role in your oral health. A shortage of moisture in the mouth, or saliva, can harm both. Can Teeth Get Dehydrated.
From shine365.marshfieldclinic.org
Dehydration Stay hydrated when in the heat Shine365 Can Teeth Get Dehydrated Dry mouth significantly increases your risk for dental problems like gum disease. It’s like when you water a plant unevenly, and some patches remain dry. Rehydrating your teeth can take anywhere from 2 to 7 days, but there are several things you can do to help lessen the dryness and sensitivity that comes with it. Dehydration causes everything from dry. Can Teeth Get Dehydrated.
From www.informationhospitaliere.com
Déshydratation quelles en sont les conséquences Can Teeth Get Dehydrated A shortage of moisture in the mouth, or saliva, can harm both the teeth and gum tissue. Saliva (or spit) plays a crucial role in your oral health. These spots can be an indication that certain areas of your teeth have lost more moisture than others. So, if you are dehydrated and your volume of saliva decreases, this can increase. Can Teeth Get Dehydrated.
From medicaldialogues.in
Dehydration affects shade of teeth and may look them whiter Can Teeth Get Dehydrated Dehydration causes everything from dry skin to kidney failure, it just depends on how severe. The causes of dry mouth can range from something minor, like dehydration, to a chronic problem like sjogren's syndrome. Tooth dehydration causes significant color change, thus assessment of final color or clinical success should be considered after tooth. Dry mouth can also lead to bad. Can Teeth Get Dehydrated.
From www.researchgate.net
A) Dehydrated teeth right after the rubber dam isolation. B Can Teeth Get Dehydrated Dry mouth significantly increases your risk for dental problems like gum disease. Dry mouth can also lead to bad breath, mouth sores and mouth. There are many signs of dehydration, but the biggest one to look for is dry mouth. Rehydrating your teeth can take anywhere from 2 to 7 days, but there are several things you can do to. Can Teeth Get Dehydrated.
From mysportsd.com
How can I Tell if I’m Hydrated? Sports Dietitian Can Teeth Get Dehydrated The causes of dry mouth can range from something minor, like dehydration, to a chronic problem like sjogren's syndrome. These spots can be an indication that certain areas of your teeth have lost more moisture than others. Dry mouth significantly increases your risk for dental problems like gum disease. It’s like when you water a plant unevenly, and some patches. Can Teeth Get Dehydrated.
From www.firstaidforfree.com
First Aid For Dehydration First Aid for Free Can Teeth Get Dehydrated Dehydration causes everything from dry skin to kidney failure, it just depends on how severe. Rehydrating your teeth can take anywhere from 2 to 7 days, but there are several things you can do to help lessen the dryness and sensitivity that comes with it. These spots can be an indication that certain areas of your teeth have lost more. Can Teeth Get Dehydrated.
From www.verywellhealth.com
Tooth Decay Stages, Complications, and Treatment Can Teeth Get Dehydrated A shortage of moisture in the mouth, or saliva, can harm both the teeth and gum tissue. Dehydration causes everything from dry skin to kidney failure, it just depends on how severe. Here are the most common causes. Dry mouth significantly increases your risk for dental problems like gum disease. Saliva (or spit) plays a crucial role in your oral. Can Teeth Get Dehydrated.
From www.pinterest.com
Harmful impact of dehydration on your dental health in 2020 Dental Can Teeth Get Dehydrated The causes of dry mouth can range from something minor, like dehydration, to a chronic problem like sjogren's syndrome. Rehydrating your teeth can take anywhere from 2 to 7 days, but there are several things you can do to help lessen the dryness and sensitivity that comes with it. Saliva (or spit) plays a crucial role in your oral health.. Can Teeth Get Dehydrated.
From www.infographicbee.com
What happens when you get dehydrated? Can Teeth Get Dehydrated These spots can be an indication that certain areas of your teeth have lost more moisture than others. Tooth dehydration causes significant color change, thus assessment of final color or clinical success should be considered after tooth. The causes of dry mouth can range from something minor, like dehydration, to a chronic problem like sjogren's syndrome. Dehydration causes everything from. Can Teeth Get Dehydrated.
From www.clarencetam.co.nz
Class IV sequence Direct Composite Artistry Dehydrated Tooth Class IV Can Teeth Get Dehydrated Dry mouth can also lead to bad breath, mouth sores and mouth. Dehydration causes everything from dry skin to kidney failure, it just depends on how severe. There are many signs of dehydration, but the biggest one to look for is dry mouth. These spots can be an indication that certain areas of your teeth have lost more moisture than. Can Teeth Get Dehydrated.
From faceteethsmile.com
Dull,Dry & Dehydrated Skin Treatment Face Teeth Smile Gerrards Cross Can Teeth Get Dehydrated These spots can be an indication that certain areas of your teeth have lost more moisture than others. The causes of dry mouth can range from something minor, like dehydration, to a chronic problem like sjogren's syndrome. Saliva (or spit) plays a crucial role in your oral health. Rehydrating your teeth can take anywhere from 2 to 7 days, but. Can Teeth Get Dehydrated.
From biology.openlcc.net
Tooth Decay1 Exploring Biology Can Teeth Get Dehydrated Dry mouth can also lead to bad breath, mouth sores and mouth. It’s like when you water a plant unevenly, and some patches remain dry. So, if you are dehydrated and your volume of saliva decreases, this can increase your risk of dry mouth and dental disease. Rehydrating your teeth can take anywhere from 2 to 7 days, but there. Can Teeth Get Dehydrated.
From www.indysouthportdental.com
Southport Dental 10 Facts You Should Know About Tooth Decay Can Teeth Get Dehydrated So, if you are dehydrated and your volume of saliva decreases, this can increase your risk of dry mouth and dental disease. Saliva (or spit) plays a crucial role in your oral health. Dry mouth can also lead to bad breath, mouth sores and mouth. The causes of dry mouth can range from something minor, like dehydration, to a chronic. Can Teeth Get Dehydrated.
From icloudhospital.com
How can you tell you are Dehydrated? Can Teeth Get Dehydrated It’s like when you water a plant unevenly, and some patches remain dry. Dry mouth significantly increases your risk for dental problems like gum disease. Tooth dehydration causes significant color change, thus assessment of final color or clinical success should be considered after tooth. Saliva (or spit) plays a crucial role in your oral health. Here are the most common. Can Teeth Get Dehydrated.
From abundantdentalcare.com
How to Rehydrate Teeth After Whitening Abundant Dental Care Can Teeth Get Dehydrated So, if you are dehydrated and your volume of saliva decreases, this can increase your risk of dry mouth and dental disease. These spots can be an indication that certain areas of your teeth have lost more moisture than others. A shortage of moisture in the mouth, or saliva, can harm both the teeth and gum tissue. The causes of. Can Teeth Get Dehydrated.
From www.health.com
Dehydration Signs and Symptoms Can Teeth Get Dehydrated It’s like when you water a plant unevenly, and some patches remain dry. So, if you are dehydrated and your volume of saliva decreases, this can increase your risk of dry mouth and dental disease. These spots can be an indication that certain areas of your teeth have lost more moisture than others. Dry mouth can also lead to bad. Can Teeth Get Dehydrated.
From www.pinterest.com
Understanding Dehydration! Dehydration symptoms, Dehydrator, Signs of Can Teeth Get Dehydrated These spots can be an indication that certain areas of your teeth have lost more moisture than others. Saliva (or spit) plays a crucial role in your oral health. Dehydration causes everything from dry skin to kidney failure, it just depends on how severe. Dry mouth significantly increases your risk for dental problems like gum disease. Rehydrating your teeth can. Can Teeth Get Dehydrated.
From www.youtube.com
Shade Basics Dehydration of Teeth YouTube Can Teeth Get Dehydrated A shortage of moisture in the mouth, or saliva, can harm both the teeth and gum tissue. Dehydration causes everything from dry skin to kidney failure, it just depends on how severe. There are many signs of dehydration, but the biggest one to look for is dry mouth. Saliva (or spit) plays a crucial role in your oral health. These. Can Teeth Get Dehydrated.
From www.reddit.com
Tooth dehydration does anyone have an answer? Yes it goes away after Can Teeth Get Dehydrated Dehydration causes everything from dry skin to kidney failure, it just depends on how severe. There are many signs of dehydration, but the biggest one to look for is dry mouth. The causes of dry mouth can range from something minor, like dehydration, to a chronic problem like sjogren's syndrome. Here are the most common causes. So, if you are. Can Teeth Get Dehydrated.
From favdentistry.com
Dehydrated Teeth White Spots 5 Surprising Methods to Banish Stains Can Teeth Get Dehydrated It’s like when you water a plant unevenly, and some patches remain dry. Rehydrating your teeth can take anywhere from 2 to 7 days, but there are several things you can do to help lessen the dryness and sensitivity that comes with it. These spots can be an indication that certain areas of your teeth have lost more moisture than. Can Teeth Get Dehydrated.
From healthysmileshouston.com
Dehydration Can Hurt Your Efforts To Maintain Healthy Teeth Houston, TX Can Teeth Get Dehydrated Tooth dehydration causes significant color change, thus assessment of final color or clinical success should be considered after tooth. It’s like when you water a plant unevenly, and some patches remain dry. Rehydrating your teeth can take anywhere from 2 to 7 days, but there are several things you can do to help lessen the dryness and sensitivity that comes. Can Teeth Get Dehydrated.
From myhealthmaven.com
Here’s What Dehydration Does to Your Body (and What to do About it Can Teeth Get Dehydrated Rehydrating your teeth can take anywhere from 2 to 7 days, but there are several things you can do to help lessen the dryness and sensitivity that comes with it. It’s like when you water a plant unevenly, and some patches remain dry. Dry mouth significantly increases your risk for dental problems like gum disease. Dehydration causes everything from dry. Can Teeth Get Dehydrated.
From www.top10homeremedies.com
Home Remedies for Dehydration Top 10 Home Remedies Can Teeth Get Dehydrated Dehydration causes everything from dry skin to kidney failure, it just depends on how severe. Dry mouth significantly increases your risk for dental problems like gum disease. Saliva (or spit) plays a crucial role in your oral health. Dry mouth can also lead to bad breath, mouth sores and mouth. It’s like when you water a plant unevenly, and some. Can Teeth Get Dehydrated.
From www.thedesignersmile.com
Stages of Tooth Decay Troy, MI Restorative Dentistry Can Teeth Get Dehydrated Rehydrating your teeth can take anywhere from 2 to 7 days, but there are several things you can do to help lessen the dryness and sensitivity that comes with it. Tooth dehydration causes significant color change, thus assessment of final color or clinical success should be considered after tooth. There are many signs of dehydration, but the biggest one to. Can Teeth Get Dehydrated.
From www.cdhp.org
How To Rehydrate Teeth After Whitening? (Home Care) Can Teeth Get Dehydrated It’s like when you water a plant unevenly, and some patches remain dry. Dry mouth significantly increases your risk for dental problems like gum disease. Rehydrating your teeth can take anywhere from 2 to 7 days, but there are several things you can do to help lessen the dryness and sensitivity that comes with it. These spots can be an. Can Teeth Get Dehydrated.
From www.clarencetam.co.nz
Class IV sequence Direct Composite Artistry Dehydrated Tooth Class IV Can Teeth Get Dehydrated Dry mouth can also lead to bad breath, mouth sores and mouth. Dehydration causes everything from dry skin to kidney failure, it just depends on how severe. Tooth dehydration causes significant color change, thus assessment of final color or clinical success should be considered after tooth. The causes of dry mouth can range from something minor, like dehydration, to a. Can Teeth Get Dehydrated.
From community.bulksupplements.com
Dehydration Symptoms, Causes & Treatment Can Teeth Get Dehydrated There are many signs of dehydration, but the biggest one to look for is dry mouth. Dry mouth can also lead to bad breath, mouth sores and mouth. Dry mouth significantly increases your risk for dental problems like gum disease. Tooth dehydration causes significant color change, thus assessment of final color or clinical success should be considered after tooth. Saliva. Can Teeth Get Dehydrated.
From www.powerofpositivity.com
10 Early Signs You Are Dehydrated Can Teeth Get Dehydrated Dry mouth can also lead to bad breath, mouth sores and mouth. There are many signs of dehydration, but the biggest one to look for is dry mouth. A shortage of moisture in the mouth, or saliva, can harm both the teeth and gum tissue. Tooth dehydration causes significant color change, thus assessment of final color or clinical success should. Can Teeth Get Dehydrated.
From favdentistry.com
What Do Dehydrated Teeth Look Like? Unveiling the Disturbing Truth Can Teeth Get Dehydrated Dry mouth can also lead to bad breath, mouth sores and mouth. Saliva (or spit) plays a crucial role in your oral health. Dehydration causes everything from dry skin to kidney failure, it just depends on how severe. The causes of dry mouth can range from something minor, like dehydration, to a chronic problem like sjogren's syndrome. It’s like when. Can Teeth Get Dehydrated.
From themalldental.co.uk
The Truth About Teeth Dehydration The Mall Dental Can Teeth Get Dehydrated There are many signs of dehydration, but the biggest one to look for is dry mouth. These spots can be an indication that certain areas of your teeth have lost more moisture than others. The causes of dry mouth can range from something minor, like dehydration, to a chronic problem like sjogren's syndrome. Dry mouth can also lead to bad. Can Teeth Get Dehydrated.
From myhealthmaven.com
Here’s What Dehydration Does to Your Body (and What to do About it Can Teeth Get Dehydrated Tooth dehydration causes significant color change, thus assessment of final color or clinical success should be considered after tooth. There are many signs of dehydration, but the biggest one to look for is dry mouth. Dehydration causes everything from dry skin to kidney failure, it just depends on how severe. A shortage of moisture in the mouth, or saliva, can. Can Teeth Get Dehydrated.
From top-invisiblebraces.com
Why You Should Stay Hydrated for Your Teeth invisible braces Can Teeth Get Dehydrated These spots can be an indication that certain areas of your teeth have lost more moisture than others. So, if you are dehydrated and your volume of saliva decreases, this can increase your risk of dry mouth and dental disease. A shortage of moisture in the mouth, or saliva, can harm both the teeth and gum tissue. Here are the. Can Teeth Get Dehydrated.