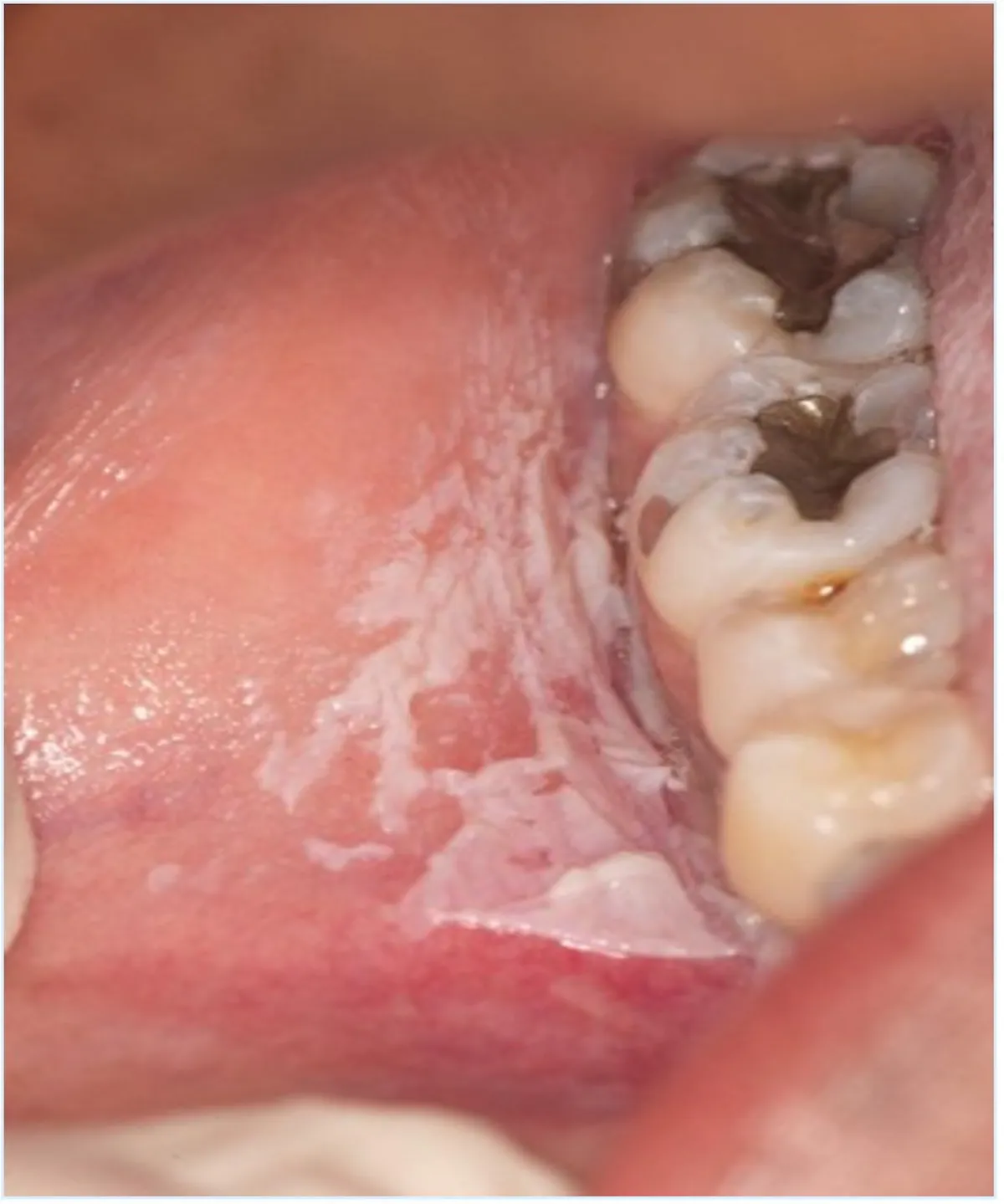
Aspirin Burn In Mouth Treatment . various treatment options may be offered to patients with. Saliva substitutes, or artificial saliva, have the. treatment is aimed at increasing secretions or moisturizing the mouth. most cases of chemical burns are encountered by aspirin, also known as acid burn, and its derivatives when sucked, applied as a gel, mouthwash, powder, or as a tablet next to an aching tooth in an attempt to relive pain. treat these lesions with saline mouthwashes and topical application of diphenhydramine syrup. the oral ulceration was initially treated with systemic corticosteroids (betamethasone, 4 mg once a day for. Aspirin, if left on the mucosa for an extended period, has a caustic effect. patients experiencing toothache may place an aspirin tablet adjacent to the affected tooth in an. aspirin tablets can be directly placed on the painful tooth and adjunct mucosa to relieve pain and avoid dental.
from dental-lifestyle.com
treatment is aimed at increasing secretions or moisturizing the mouth. most cases of chemical burns are encountered by aspirin, also known as acid burn, and its derivatives when sucked, applied as a gel, mouthwash, powder, or as a tablet next to an aching tooth in an attempt to relive pain. treat these lesions with saline mouthwashes and topical application of diphenhydramine syrup. aspirin tablets can be directly placed on the painful tooth and adjunct mucosa to relieve pain and avoid dental. the oral ulceration was initially treated with systemic corticosteroids (betamethasone, 4 mg once a day for. patients experiencing toothache may place an aspirin tablet adjacent to the affected tooth in an. Saliva substitutes, or artificial saliva, have the. various treatment options may be offered to patients with. Aspirin, if left on the mucosa for an extended period, has a caustic effect.
Aspirin Burns oral health tips and advices dentallifestyle
Aspirin Burn In Mouth Treatment the oral ulceration was initially treated with systemic corticosteroids (betamethasone, 4 mg once a day for. aspirin tablets can be directly placed on the painful tooth and adjunct mucosa to relieve pain and avoid dental. patients experiencing toothache may place an aspirin tablet adjacent to the affected tooth in an. various treatment options may be offered to patients with. treatment is aimed at increasing secretions or moisturizing the mouth. Saliva substitutes, or artificial saliva, have the. Aspirin, if left on the mucosa for an extended period, has a caustic effect. most cases of chemical burns are encountered by aspirin, also known as acid burn, and its derivatives when sucked, applied as a gel, mouthwash, powder, or as a tablet next to an aching tooth in an attempt to relive pain. the oral ulceration was initially treated with systemic corticosteroids (betamethasone, 4 mg once a day for. treat these lesions with saline mouthwashes and topical application of diphenhydramine syrup.
From www.youtube.com
Aspirin Poisoning and its treatment Aspirin overdose Aspirin Aspirin Burn In Mouth Treatment Saliva substitutes, or artificial saliva, have the. patients experiencing toothache may place an aspirin tablet adjacent to the affected tooth in an. treatment is aimed at increasing secretions or moisturizing the mouth. most cases of chemical burns are encountered by aspirin, also known as acid burn, and its derivatives when sucked, applied as a gel, mouthwash, powder,. Aspirin Burn In Mouth Treatment.
From www.pinterest.com
Pin on Burning Mouth Syndrome Treatment Aspirin Burn In Mouth Treatment treatment is aimed at increasing secretions or moisturizing the mouth. most cases of chemical burns are encountered by aspirin, also known as acid burn, and its derivatives when sucked, applied as a gel, mouthwash, powder, or as a tablet next to an aching tooth in an attempt to relive pain. aspirin tablets can be directly placed on. Aspirin Burn In Mouth Treatment.
From dxorwmaej.blob.core.windows.net
Swollen Lips With Burning Sensation at Alicia Neblett blog Aspirin Burn In Mouth Treatment most cases of chemical burns are encountered by aspirin, also known as acid burn, and its derivatives when sucked, applied as a gel, mouthwash, powder, or as a tablet next to an aching tooth in an attempt to relive pain. the oral ulceration was initially treated with systemic corticosteroids (betamethasone, 4 mg once a day for. patients. Aspirin Burn In Mouth Treatment.
From www.shecares.com
Burning Mouth Syndrome BMS SheCares Aspirin Burn In Mouth Treatment patients experiencing toothache may place an aspirin tablet adjacent to the affected tooth in an. most cases of chemical burns are encountered by aspirin, also known as acid burn, and its derivatives when sucked, applied as a gel, mouthwash, powder, or as a tablet next to an aching tooth in an attempt to relive pain. aspirin tablets. Aspirin Burn In Mouth Treatment.
From www.slideserve.com
PPT ORAL PATHOLOGY PowerPoint Presentation, free download ID5755148 Aspirin Burn In Mouth Treatment the oral ulceration was initially treated with systemic corticosteroids (betamethasone, 4 mg once a day for. various treatment options may be offered to patients with. patients experiencing toothache may place an aspirin tablet adjacent to the affected tooth in an. aspirin tablets can be directly placed on the painful tooth and adjunct mucosa to relieve pain. Aspirin Burn In Mouth Treatment.
From casereports.bmj.com
Management of chemical burn in oral cavity BMJ Case Reports Aspirin Burn In Mouth Treatment patients experiencing toothache may place an aspirin tablet adjacent to the affected tooth in an. most cases of chemical burns are encountered by aspirin, also known as acid burn, and its derivatives when sucked, applied as a gel, mouthwash, powder, or as a tablet next to an aching tooth in an attempt to relive pain. Saliva substitutes, or. Aspirin Burn In Mouth Treatment.
From www.taylor-dental.com
Direct From The Dentist Chewing Aspirin Can Destroy Your Teeth Dr Aspirin Burn In Mouth Treatment various treatment options may be offered to patients with. the oral ulceration was initially treated with systemic corticosteroids (betamethasone, 4 mg once a day for. aspirin tablets can be directly placed on the painful tooth and adjunct mucosa to relieve pain and avoid dental. treat these lesions with saline mouthwashes and topical application of diphenhydramine syrup.. Aspirin Burn In Mouth Treatment.
From wiuwi.com
Herbal Remedies for Burning Mouth Syndrome Aspirin Burn In Mouth Treatment Saliva substitutes, or artificial saliva, have the. the oral ulceration was initially treated with systemic corticosteroids (betamethasone, 4 mg once a day for. Aspirin, if left on the mucosa for an extended period, has a caustic effect. most cases of chemical burns are encountered by aspirin, also known as acid burn, and its derivatives when sucked, applied as. Aspirin Burn In Mouth Treatment.
From www.shecares.com
Effective Home Remedies for Burning Mouth Syndrome SheCares Aspirin Burn In Mouth Treatment patients experiencing toothache may place an aspirin tablet adjacent to the affected tooth in an. aspirin tablets can be directly placed on the painful tooth and adjunct mucosa to relieve pain and avoid dental. various treatment options may be offered to patients with. Aspirin, if left on the mucosa for an extended period, has a caustic effect.. Aspirin Burn In Mouth Treatment.
From www.pinterest.co.uk
Placing an aspirin directly on your gum causes an ulceration of the Aspirin Burn In Mouth Treatment most cases of chemical burns are encountered by aspirin, also known as acid burn, and its derivatives when sucked, applied as a gel, mouthwash, powder, or as a tablet next to an aching tooth in an attempt to relive pain. the oral ulceration was initially treated with systemic corticosteroids (betamethasone, 4 mg once a day for. Saliva substitutes,. Aspirin Burn In Mouth Treatment.
From dental-lifestyle.com
Aspirin Burns oral health tips and advices dentallifestyle Aspirin Burn In Mouth Treatment most cases of chemical burns are encountered by aspirin, also known as acid burn, and its derivatives when sucked, applied as a gel, mouthwash, powder, or as a tablet next to an aching tooth in an attempt to relive pain. various treatment options may be offered to patients with. Saliva substitutes, or artificial saliva, have the. treat. Aspirin Burn In Mouth Treatment.
From dental-lifestyle.com
Aspirin Burns oral health tips and advices dentallifestyle Aspirin Burn In Mouth Treatment treatment is aimed at increasing secretions or moisturizing the mouth. aspirin tablets can be directly placed on the painful tooth and adjunct mucosa to relieve pain and avoid dental. various treatment options may be offered to patients with. Saliva substitutes, or artificial saliva, have the. most cases of chemical burns are encountered by aspirin, also known. Aspirin Burn In Mouth Treatment.
From www.semanticscholar.org
Oral mucosal burn caused by topical application of 36 policresulen Aspirin Burn In Mouth Treatment Saliva substitutes, or artificial saliva, have the. patients experiencing toothache may place an aspirin tablet adjacent to the affected tooth in an. Aspirin, if left on the mucosa for an extended period, has a caustic effect. treat these lesions with saline mouthwashes and topical application of diphenhydramine syrup. various treatment options may be offered to patients with.. Aspirin Burn In Mouth Treatment.
From www.semanticscholar.org
Figure 3 from Chemical burn from direct application of aspirin onto a Aspirin Burn In Mouth Treatment Aspirin, if left on the mucosa for an extended period, has a caustic effect. patients experiencing toothache may place an aspirin tablet adjacent to the affected tooth in an. treat these lesions with saline mouthwashes and topical application of diphenhydramine syrup. the oral ulceration was initially treated with systemic corticosteroids (betamethasone, 4 mg once a day for.. Aspirin Burn In Mouth Treatment.
From www.goodreads.com
Burning Mouth Syndrome Diagnosis & Treatment Burning Mouth Syndrome Aspirin Burn In Mouth Treatment aspirin tablets can be directly placed on the painful tooth and adjunct mucosa to relieve pain and avoid dental. patients experiencing toothache may place an aspirin tablet adjacent to the affected tooth in an. Saliva substitutes, or artificial saliva, have the. treatment is aimed at increasing secretions or moisturizing the mouth. the oral ulceration was initially. Aspirin Burn In Mouth Treatment.
From www.semanticscholar.org
Figure 1 from Aspirin induced intraoral burn A rare case report with Aspirin Burn In Mouth Treatment treatment is aimed at increasing secretions or moisturizing the mouth. Saliva substitutes, or artificial saliva, have the. aspirin tablets can be directly placed on the painful tooth and adjunct mucosa to relieve pain and avoid dental. most cases of chemical burns are encountered by aspirin, also known as acid burn, and its derivatives when sucked, applied as. Aspirin Burn In Mouth Treatment.
From www.rdhmag.com
White lesions of the oral cavity and oralsystemic health A review for Aspirin Burn In Mouth Treatment treatment is aimed at increasing secretions or moisturizing the mouth. treat these lesions with saline mouthwashes and topical application of diphenhydramine syrup. the oral ulceration was initially treated with systemic corticosteroids (betamethasone, 4 mg once a day for. patients experiencing toothache may place an aspirin tablet adjacent to the affected tooth in an. various treatment. Aspirin Burn In Mouth Treatment.
From www.cureus.com
Cureus Curcumin on CamphorInduced Chemical Burn on the Palate Aspirin Burn In Mouth Treatment aspirin tablets can be directly placed on the painful tooth and adjunct mucosa to relieve pain and avoid dental. most cases of chemical burns are encountered by aspirin, also known as acid burn, and its derivatives when sucked, applied as a gel, mouthwash, powder, or as a tablet next to an aching tooth in an attempt to relive. Aspirin Burn In Mouth Treatment.
From slidetodoc.com
DISEASES OF ORAL CAVITY SYSTEMIC DISEASES HIV AIDS Aspirin Burn In Mouth Treatment aspirin tablets can be directly placed on the painful tooth and adjunct mucosa to relieve pain and avoid dental. treat these lesions with saline mouthwashes and topical application of diphenhydramine syrup. most cases of chemical burns are encountered by aspirin, also known as acid burn, and its derivatives when sucked, applied as a gel, mouthwash, powder, or. Aspirin Burn In Mouth Treatment.
From www.pinterest.com
9 Unusual Uses Of Aspirin You Never Thought Of Before Inflammation Aspirin Burn In Mouth Treatment Saliva substitutes, or artificial saliva, have the. aspirin tablets can be directly placed on the painful tooth and adjunct mucosa to relieve pain and avoid dental. treat these lesions with saline mouthwashes and topical application of diphenhydramine syrup. various treatment options may be offered to patients with. the oral ulceration was initially treated with systemic corticosteroids. Aspirin Burn In Mouth Treatment.
From www.slideserve.com
PPT Cheek chewing PowerPoint Presentation, free download ID2413507 Aspirin Burn In Mouth Treatment most cases of chemical burns are encountered by aspirin, also known as acid burn, and its derivatives when sucked, applied as a gel, mouthwash, powder, or as a tablet next to an aching tooth in an attempt to relive pain. aspirin tablets can be directly placed on the painful tooth and adjunct mucosa to relieve pain and avoid. Aspirin Burn In Mouth Treatment.
From www.pinterest.com
Placing an aspirin directly on your gum causes an ulceration of the Aspirin Burn In Mouth Treatment various treatment options may be offered to patients with. aspirin tablets can be directly placed on the painful tooth and adjunct mucosa to relieve pain and avoid dental. treatment is aimed at increasing secretions or moisturizing the mouth. patients experiencing toothache may place an aspirin tablet adjacent to the affected tooth in an. Aspirin, if left. Aspirin Burn In Mouth Treatment.
From www.mdpi.com
Dentistry Journal Free FullText Oral White Lesions An Updated Aspirin Burn In Mouth Treatment aspirin tablets can be directly placed on the painful tooth and adjunct mucosa to relieve pain and avoid dental. Aspirin, if left on the mucosa for an extended period, has a caustic effect. the oral ulceration was initially treated with systemic corticosteroids (betamethasone, 4 mg once a day for. patients experiencing toothache may place an aspirin tablet. Aspirin Burn In Mouth Treatment.
From exouwqqfz.blob.core.windows.net
Best Toothpaste For Burning Mouth Syndrome at Glen Rogers blog Aspirin Burn In Mouth Treatment various treatment options may be offered to patients with. Aspirin, if left on the mucosa for an extended period, has a caustic effect. treatment is aimed at increasing secretions or moisturizing the mouth. patients experiencing toothache may place an aspirin tablet adjacent to the affected tooth in an. Saliva substitutes, or artificial saliva, have the. the. Aspirin Burn In Mouth Treatment.
From www.scribd.com
Aspirin Burn PDF Aspirin Burn In Mouth Treatment treat these lesions with saline mouthwashes and topical application of diphenhydramine syrup. Saliva substitutes, or artificial saliva, have the. treatment is aimed at increasing secretions or moisturizing the mouth. patients experiencing toothache may place an aspirin tablet adjacent to the affected tooth in an. aspirin tablets can be directly placed on the painful tooth and adjunct. Aspirin Burn In Mouth Treatment.
From www.pinterest.com
Pin on Dental Aspirin Burn In Mouth Treatment Saliva substitutes, or artificial saliva, have the. treat these lesions with saline mouthwashes and topical application of diphenhydramine syrup. aspirin tablets can be directly placed on the painful tooth and adjunct mucosa to relieve pain and avoid dental. various treatment options may be offered to patients with. most cases of chemical burns are encountered by aspirin,. Aspirin Burn In Mouth Treatment.
From www.todaysrdh.com
Burning Mouth Syndrome The Dental Hygienist's Role in Assessment and Aspirin Burn In Mouth Treatment treat these lesions with saline mouthwashes and topical application of diphenhydramine syrup. Aspirin, if left on the mucosa for an extended period, has a caustic effect. Saliva substitutes, or artificial saliva, have the. various treatment options may be offered to patients with. patients experiencing toothache may place an aspirin tablet adjacent to the affected tooth in an.. Aspirin Burn In Mouth Treatment.
From burningmouthinfection.blogspot.com
How Long Will the Burning Mouth Syndrome? 6 Home Remedies for Burning Aspirin Burn In Mouth Treatment various treatment options may be offered to patients with. most cases of chemical burns are encountered by aspirin, also known as acid burn, and its derivatives when sucked, applied as a gel, mouthwash, powder, or as a tablet next to an aching tooth in an attempt to relive pain. patients experiencing toothache may place an aspirin tablet. Aspirin Burn In Mouth Treatment.
From clinicalpub.com
Oral Disease Clinical Tree Aspirin Burn In Mouth Treatment treat these lesions with saline mouthwashes and topical application of diphenhydramine syrup. the oral ulceration was initially treated with systemic corticosteroids (betamethasone, 4 mg once a day for. Saliva substitutes, or artificial saliva, have the. Aspirin, if left on the mucosa for an extended period, has a caustic effect. patients experiencing toothache may place an aspirin tablet. Aspirin Burn In Mouth Treatment.
From www.youtube.com
How To Get Relief from Burning Mouth Syndromes Fast Home Remedies Aspirin Burn In Mouth Treatment Saliva substitutes, or artificial saliva, have the. aspirin tablets can be directly placed on the painful tooth and adjunct mucosa to relieve pain and avoid dental. Aspirin, if left on the mucosa for an extended period, has a caustic effect. treatment is aimed at increasing secretions or moisturizing the mouth. most cases of chemical burns are encountered. Aspirin Burn In Mouth Treatment.
From www.dreamstime.com
Infection Of Ulcer Inside Mouth Stock Image Image of aspirin, hygiene Aspirin Burn In Mouth Treatment patients experiencing toothache may place an aspirin tablet adjacent to the affected tooth in an. aspirin tablets can be directly placed on the painful tooth and adjunct mucosa to relieve pain and avoid dental. various treatment options may be offered to patients with. Aspirin, if left on the mucosa for an extended period, has a caustic effect.. Aspirin Burn In Mouth Treatment.
From dental-lifestyle.com
Aspirin burn oral health tips and advices dentallifestyle Aspirin Burn In Mouth Treatment aspirin tablets can be directly placed on the painful tooth and adjunct mucosa to relieve pain and avoid dental. most cases of chemical burns are encountered by aspirin, also known as acid burn, and its derivatives when sucked, applied as a gel, mouthwash, powder, or as a tablet next to an aching tooth in an attempt to relive. Aspirin Burn In Mouth Treatment.
From www.fabhow.com
7 Home Remedies to Get Rid of Burning Mouth Syndrome Fab How Aspirin Burn In Mouth Treatment Aspirin, if left on the mucosa for an extended period, has a caustic effect. patients experiencing toothache may place an aspirin tablet adjacent to the affected tooth in an. aspirin tablets can be directly placed on the painful tooth and adjunct mucosa to relieve pain and avoid dental. the oral ulceration was initially treated with systemic corticosteroids. Aspirin Burn In Mouth Treatment.
From www.scribd.com
Aspirin Burn PDF Dentistry Mouth Aspirin Burn In Mouth Treatment patients experiencing toothache may place an aspirin tablet adjacent to the affected tooth in an. Aspirin, if left on the mucosa for an extended period, has a caustic effect. various treatment options may be offered to patients with. most cases of chemical burns are encountered by aspirin, also known as acid burn, and its derivatives when sucked,. Aspirin Burn In Mouth Treatment.
From lipstutorial.org
How To Treat Chemical Burn On Lips Aspirin Burn In Mouth Treatment treatment is aimed at increasing secretions or moisturizing the mouth. aspirin tablets can be directly placed on the painful tooth and adjunct mucosa to relieve pain and avoid dental. patients experiencing toothache may place an aspirin tablet adjacent to the affected tooth in an. most cases of chemical burns are encountered by aspirin, also known as. Aspirin Burn In Mouth Treatment.