Uk Corona Cases In Your Area . The uk as a whole,. Data from nhs uk and public health england. Data for the most recent. Why you can trust sky news. Cases have increased by 1 percent from the average two weeks ago. a live map showing coronavirus cases and deaths across the uk. friday 7 october 2022 09:01, uk. Number of cases by specimen date (the. the map below shows the number of cases per 100,000 people in each authority in the uk. Dashboard showing statistics on cases of coronavirus and deaths. As the winter months approach, scientists are warning of a. an average of 4,111 cases per day were reported in united kingdom in the last week.
from www.bbc.com
a live map showing coronavirus cases and deaths across the uk. Data from nhs uk and public health england. the map below shows the number of cases per 100,000 people in each authority in the uk. Data for the most recent. As the winter months approach, scientists are warning of a. The uk as a whole,. an average of 4,111 cases per day were reported in united kingdom in the last week. friday 7 october 2022 09:01, uk. Number of cases by specimen date (the. Cases have increased by 1 percent from the average two weeks ago.
Coronavirus Deaths at 20year high but peak may be over BBC News
Uk Corona Cases In Your Area friday 7 october 2022 09:01, uk. a live map showing coronavirus cases and deaths across the uk. Data for the most recent. The uk as a whole,. Number of cases by specimen date (the. Cases have increased by 1 percent from the average two weeks ago. Dashboard showing statistics on cases of coronavirus and deaths. Data from nhs uk and public health england. As the winter months approach, scientists are warning of a. friday 7 october 2022 09:01, uk. the map below shows the number of cases per 100,000 people in each authority in the uk. Why you can trust sky news. an average of 4,111 cases per day were reported in united kingdom in the last week.
From www.bbc.com
Coronavirus UK still 'in containment phase' of virus response BBC News Uk Corona Cases In Your Area friday 7 october 2022 09:01, uk. Dashboard showing statistics on cases of coronavirus and deaths. The uk as a whole,. a live map showing coronavirus cases and deaths across the uk. the map below shows the number of cases per 100,000 people in each authority in the uk. an average of 4,111 cases per day were. Uk Corona Cases In Your Area.
From www.bbc.co.uk
Coronavirus How to tell which countries are coping best with Covid Uk Corona Cases In Your Area a live map showing coronavirus cases and deaths across the uk. an average of 4,111 cases per day were reported in united kingdom in the last week. Why you can trust sky news. Number of cases by specimen date (the. Dashboard showing statistics on cases of coronavirus and deaths. friday 7 october 2022 09:01, uk. Cases have. Uk Corona Cases In Your Area.
From timesofindia.indiatimes.com
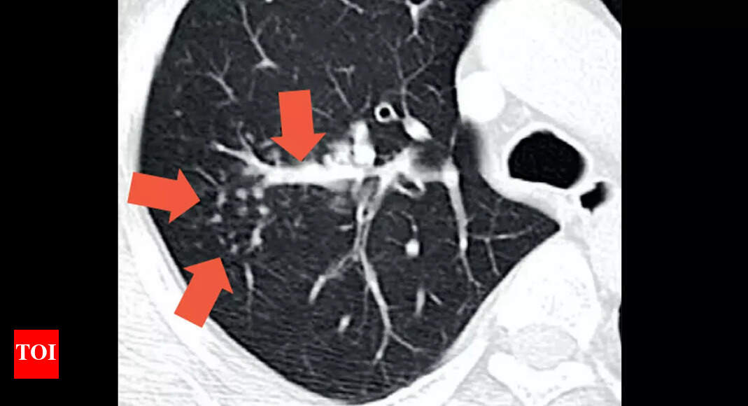
New Corona Cases Have Lesser Lung Involvement Experts Ahmedabad News Uk Corona Cases In Your Area the map below shows the number of cases per 100,000 people in each authority in the uk. Data for the most recent. Why you can trust sky news. a live map showing coronavirus cases and deaths across the uk. The uk as a whole,. Data from nhs uk and public health england. Number of cases by specimen date. Uk Corona Cases In Your Area.
From news24online.com
Covid Testing Increased Amid Surge In Cases, Samples Sent For Genome Uk Corona Cases In Your Area a live map showing coronavirus cases and deaths across the uk. Number of cases by specimen date (the. Data for the most recent. Cases have increased by 1 percent from the average two weeks ago. friday 7 october 2022 09:01, uk. Data from nhs uk and public health england. an average of 4,111 cases per day were. Uk Corona Cases In Your Area.
From www.bbc.com
Coronavirus Wales has 'one of lowest' Covid19 mortality rates BBC News Uk Corona Cases In Your Area the map below shows the number of cases per 100,000 people in each authority in the uk. As the winter months approach, scientists are warning of a. Number of cases by specimen date (the. friday 7 october 2022 09:01, uk. Data from nhs uk and public health england. Cases have increased by 1 percent from the average two. Uk Corona Cases In Your Area.
From www.bbc.com
Covid vaccine rollout gives US hope amid variant concerns BBC News Uk Corona Cases In Your Area As the winter months approach, scientists are warning of a. The uk as a whole,. Cases have increased by 1 percent from the average two weeks ago. friday 7 october 2022 09:01, uk. Number of cases by specimen date (the. Why you can trust sky news. Dashboard showing statistics on cases of coronavirus and deaths. Data from nhs uk. Uk Corona Cases In Your Area.
From news.sky.com
Coronavirus UK 'probably reaching' COVID19 peak but too soon to Uk Corona Cases In Your Area Data from nhs uk and public health england. friday 7 october 2022 09:01, uk. Why you can trust sky news. The uk as a whole,. a live map showing coronavirus cases and deaths across the uk. Data for the most recent. Number of cases by specimen date (the. the map below shows the number of cases per. Uk Corona Cases In Your Area.
From edition.cnn.com
Coronavirus cases are rising faster than ever worldwide CNN Uk Corona Cases In Your Area the map below shows the number of cases per 100,000 people in each authority in the uk. an average of 4,111 cases per day were reported in united kingdom in the last week. The uk as a whole,. Why you can trust sky news. Cases have increased by 1 percent from the average two weeks ago. friday. Uk Corona Cases In Your Area.
From www.nytimes.com
India Coronavirus Map and Case Count The New York Times Uk Corona Cases In Your Area The uk as a whole,. an average of 4,111 cases per day were reported in united kingdom in the last week. Data for the most recent. friday 7 october 2022 09:01, uk. As the winter months approach, scientists are warning of a. Dashboard showing statistics on cases of coronavirus and deaths. a live map showing coronavirus cases. Uk Corona Cases In Your Area.
From www.premierpress.com
Corona Cozy at Home Cabin Premier Press Uk Corona Cases In Your Area an average of 4,111 cases per day were reported in united kingdom in the last week. Data from nhs uk and public health england. As the winter months approach, scientists are warning of a. Dashboard showing statistics on cases of coronavirus and deaths. Number of cases by specimen date (the. the map below shows the number of cases. Uk Corona Cases In Your Area.
From edition.cnn.com
This map tracks the coronavirus in real time Uk Corona Cases In Your Area Cases have increased by 1 percent from the average two weeks ago. Number of cases by specimen date (the. Dashboard showing statistics on cases of coronavirus and deaths. an average of 4,111 cases per day were reported in united kingdom in the last week. Data from nhs uk and public health england. Data for the most recent. the. Uk Corona Cases In Your Area.
From www.washingtonpost.com
Why the United States is emerging as the epicenter of the coronavirus Uk Corona Cases In Your Area an average of 4,111 cases per day were reported in united kingdom in the last week. Cases have increased by 1 percent from the average two weeks ago. a live map showing coronavirus cases and deaths across the uk. Dashboard showing statistics on cases of coronavirus and deaths. friday 7 october 2022 09:01, uk. Why you can. Uk Corona Cases In Your Area.
From edition.cnn.com
The Philippines confirms its first case of coronavirus Uk Corona Cases In Your Area an average of 4,111 cases per day were reported in united kingdom in the last week. Cases have increased by 1 percent from the average two weeks ago. The uk as a whole,. Why you can trust sky news. the map below shows the number of cases per 100,000 people in each authority in the uk. Number of. Uk Corona Cases In Your Area.
From www.bbc.com
Coronavirus Protests warning as death toll passes 40,000 BBC News Uk Corona Cases In Your Area Number of cases by specimen date (the. Data for the most recent. a live map showing coronavirus cases and deaths across the uk. Cases have increased by 1 percent from the average two weeks ago. an average of 4,111 cases per day were reported in united kingdom in the last week. The uk as a whole,. friday. Uk Corona Cases In Your Area.
From www.bbc.com
Coronavirus Town halls consider council tax payment help BBC News Uk Corona Cases In Your Area Data for the most recent. an average of 4,111 cases per day were reported in united kingdom in the last week. Dashboard showing statistics on cases of coronavirus and deaths. Number of cases by specimen date (the. Cases have increased by 1 percent from the average two weeks ago. As the winter months approach, scientists are warning of a.. Uk Corona Cases In Your Area.
From www.bbc.com
Covid19 NI testing for new coronavirus variant 'limited' BBC News Uk Corona Cases In Your Area an average of 4,111 cases per day were reported in united kingdom in the last week. Cases have increased by 1 percent from the average two weeks ago. a live map showing coronavirus cases and deaths across the uk. As the winter months approach, scientists are warning of a. the map below shows the number of cases. Uk Corona Cases In Your Area.
From www.bbc.com
英イングランド、7人以上の集会を禁止へ 新型ウイルス感染者増加で BBCニュース Uk Corona Cases In Your Area Data for the most recent. Dashboard showing statistics on cases of coronavirus and deaths. a live map showing coronavirus cases and deaths across the uk. friday 7 october 2022 09:01, uk. Why you can trust sky news. Number of cases by specimen date (the. Cases have increased by 1 percent from the average two weeks ago. an. Uk Corona Cases In Your Area.
From www.bbc.com
Coronavirus Deaths at 20year high but peak may be over BBC News Uk Corona Cases In Your Area Data for the most recent. Data from nhs uk and public health england. Dashboard showing statistics on cases of coronavirus and deaths. Cases have increased by 1 percent from the average two weeks ago. an average of 4,111 cases per day were reported in united kingdom in the last week. Number of cases by specimen date (the. As the. Uk Corona Cases In Your Area.
From guides.libraries.indiana.edu
COVID19 Visual Literacy & Maps Library Research Guides at Indiana Uk Corona Cases In Your Area Number of cases by specimen date (the. friday 7 october 2022 09:01, uk. As the winter months approach, scientists are warning of a. a live map showing coronavirus cases and deaths across the uk. the map below shows the number of cases per 100,000 people in each authority in the uk. Cases have increased by 1 percent. Uk Corona Cases In Your Area.
From www.bbc.com
Coronavirus crisis puts care homes back in the spotlight BBC News Uk Corona Cases In Your Area The uk as a whole,. Number of cases by specimen date (the. Data from nhs uk and public health england. an average of 4,111 cases per day were reported in united kingdom in the last week. As the winter months approach, scientists are warning of a. Why you can trust sky news. Dashboard showing statistics on cases of coronavirus. Uk Corona Cases In Your Area.
From www.bbc.com
Coronavirus New details of NI coronavirus cases released BBC News Uk Corona Cases In Your Area Cases have increased by 1 percent from the average two weeks ago. an average of 4,111 cases per day were reported in united kingdom in the last week. friday 7 october 2022 09:01, uk. Number of cases by specimen date (the. The uk as a whole,. As the winter months approach, scientists are warning of a. a. Uk Corona Cases In Your Area.
From edition.cnn.com
Here's where coronavirus cases are increasing across the US Uk Corona Cases In Your Area Data for the most recent. Data from nhs uk and public health england. Dashboard showing statistics on cases of coronavirus and deaths. friday 7 october 2022 09:01, uk. Number of cases by specimen date (the. The uk as a whole,. an average of 4,111 cases per day were reported in united kingdom in the last week. Why you. Uk Corona Cases In Your Area.
From www.itv.com
A big rise in coronavirus cases in the Anglia region ITV News Anglia Uk Corona Cases In Your Area Cases have increased by 1 percent from the average two weeks ago. Dashboard showing statistics on cases of coronavirus and deaths. friday 7 october 2022 09:01, uk. Number of cases by specimen date (the. Why you can trust sky news. Data from nhs uk and public health england. an average of 4,111 cases per day were reported in. Uk Corona Cases In Your Area.
From timesofindia.indiatimes.com
Corona Cases in Delhi At 571, biggest spike in Delhi's cases; count up Uk Corona Cases In Your Area an average of 4,111 cases per day were reported in united kingdom in the last week. Dashboard showing statistics on cases of coronavirus and deaths. the map below shows the number of cases per 100,000 people in each authority in the uk. Data for the most recent. Cases have increased by 1 percent from the average two weeks. Uk Corona Cases In Your Area.
From www.bbc.com
Coronavirus Cardiff path widened for social distancing BBC News Uk Corona Cases In Your Area As the winter months approach, scientists are warning of a. an average of 4,111 cases per day were reported in united kingdom in the last week. Why you can trust sky news. Cases have increased by 1 percent from the average two weeks ago. Dashboard showing statistics on cases of coronavirus and deaths. a live map showing coronavirus. Uk Corona Cases In Your Area.
From www.bbc.com
Coronavirus Two million deaths 'very likely' even with vaccine, WHO Uk Corona Cases In Your Area Data for the most recent. an average of 4,111 cases per day were reported in united kingdom in the last week. Number of cases by specimen date (the. friday 7 october 2022 09:01, uk. Dashboard showing statistics on cases of coronavirus and deaths. As the winter months approach, scientists are warning of a. Data from nhs uk and. Uk Corona Cases In Your Area.
From www.socialnews.xyz
Corona cases reach 26,496 in India, 824 deaths Social News XYZ Uk Corona Cases In Your Area Dashboard showing statistics on cases of coronavirus and deaths. The uk as a whole,. Data for the most recent. a live map showing coronavirus cases and deaths across the uk. Why you can trust sky news. friday 7 october 2022 09:01, uk. Data from nhs uk and public health england. an average of 4,111 cases per day. Uk Corona Cases In Your Area.
From indianexpress.com
India’s coronavirus numbers explained For 5 days running, daily deaths Uk Corona Cases In Your Area Data from nhs uk and public health england. Dashboard showing statistics on cases of coronavirus and deaths. a live map showing coronavirus cases and deaths across the uk. the map below shows the number of cases per 100,000 people in each authority in the uk. Cases have increased by 1 percent from the average two weeks ago. . Uk Corona Cases In Your Area.
From timesofindia.indiatimes.com
Infographic Covid19 pandemic 10 mostaffected countries in the world Uk Corona Cases In Your Area Number of cases by specimen date (the. Data from nhs uk and public health england. friday 7 october 2022 09:01, uk. Dashboard showing statistics on cases of coronavirus and deaths. an average of 4,111 cases per day were reported in united kingdom in the last week. Data for the most recent. the map below shows the number. Uk Corona Cases In Your Area.
From www.indiatvnews.com
Corona Alert! India reports 2,994 fresh cases of Covid19 in last 24 Uk Corona Cases In Your Area Why you can trust sky news. Dashboard showing statistics on cases of coronavirus and deaths. Number of cases by specimen date (the. The uk as a whole,. Data from nhs uk and public health england. Cases have increased by 1 percent from the average two weeks ago. friday 7 october 2022 09:01, uk. a live map showing coronavirus. Uk Corona Cases In Your Area.
From timesofindia.indiatimes.com
Corona cases in Delhi Another grim milestone, 5,000 Covid cases Uk Corona Cases In Your Area friday 7 october 2022 09:01, uk. Data from nhs uk and public health england. an average of 4,111 cases per day were reported in united kingdom in the last week. Why you can trust sky news. Cases have increased by 1 percent from the average two weeks ago. a live map showing coronavirus cases and deaths across. Uk Corona Cases In Your Area.
From www.bbc.com
Coronavirus Has Sweden got its science right? BBC News Uk Corona Cases In Your Area friday 7 october 2022 09:01, uk. Data from nhs uk and public health england. Number of cases by specimen date (the. Data for the most recent. the map below shows the number of cases per 100,000 people in each authority in the uk. Why you can trust sky news. an average of 4,111 cases per day were. Uk Corona Cases In Your Area.
From timesofindia.indiatimes.com
Corona cases in India Daily Covid cases less than 1L for 2nd day in a Uk Corona Cases In Your Area As the winter months approach, scientists are warning of a. a live map showing coronavirus cases and deaths across the uk. Cases have increased by 1 percent from the average two weeks ago. Data for the most recent. Why you can trust sky news. Number of cases by specimen date (the. The uk as a whole,. Data from nhs. Uk Corona Cases In Your Area.
From www.bbc.com
Covid19 in the UK How many coronavirus cases are there in your area Uk Corona Cases In Your Area an average of 4,111 cases per day were reported in united kingdom in the last week. Why you can trust sky news. the map below shows the number of cases per 100,000 people in each authority in the uk. Dashboard showing statistics on cases of coronavirus and deaths. Number of cases by specimen date (the. The uk as. Uk Corona Cases In Your Area.
From www.nytimes.com
Coronavirus in the U.S. Latest Map and Case Count The New York Times Uk Corona Cases In Your Area an average of 4,111 cases per day were reported in united kingdom in the last week. Number of cases by specimen date (the. Dashboard showing statistics on cases of coronavirus and deaths. As the winter months approach, scientists are warning of a. Cases have increased by 1 percent from the average two weeks ago. Data from nhs uk and. Uk Corona Cases In Your Area.