Orthodontic Treatment Periodontally Compromised Patients . Regardless of the type of movement (extrusion or intrusion), there is a clear consensus that orthodontic forces in periodontally compromised patients should. The aim of this systematic review was to examine the literature on aggressive and chronic periodontitis and orthodontics to clarify. Orthodontic treatment after periodontal stabilization does not have any detrimental effect on periodontal health in adult. Orthodontic treatment of periodontal patients with a multidisciplinary approach is. Orthodontic treatment plays a crucial role in achieving optimal dental esthetics and functional occlusion.
from www.semanticscholar.org
Orthodontic treatment of periodontal patients with a multidisciplinary approach is. Regardless of the type of movement (extrusion or intrusion), there is a clear consensus that orthodontic forces in periodontally compromised patients should. The aim of this systematic review was to examine the literature on aggressive and chronic periodontitis and orthodontics to clarify. Orthodontic treatment after periodontal stabilization does not have any detrimental effect on periodontal health in adult. Orthodontic treatment plays a crucial role in achieving optimal dental esthetics and functional occlusion.
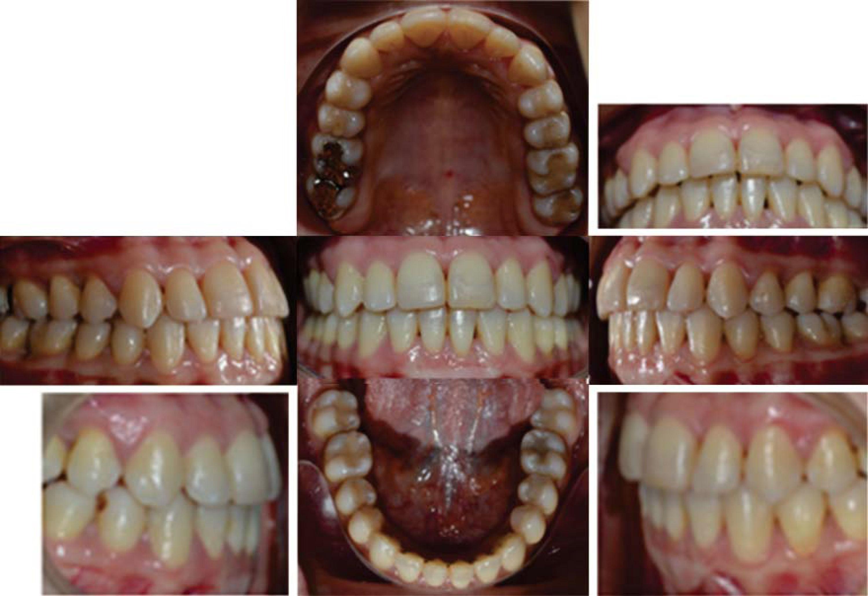
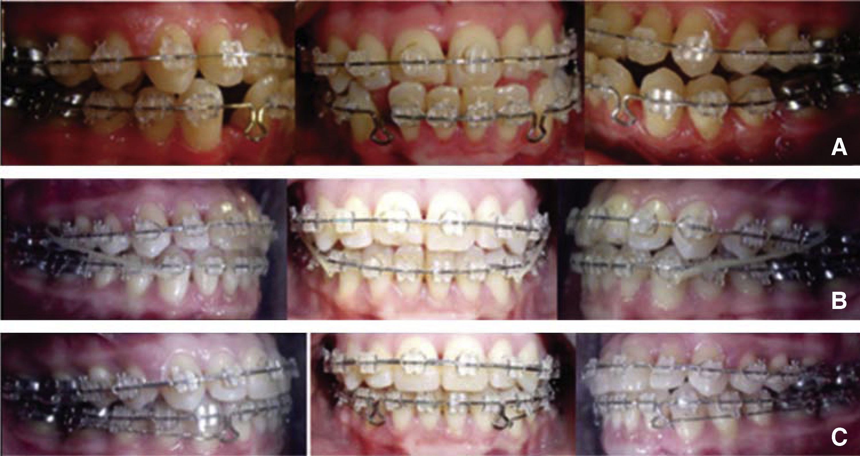
Figure 1 from Management of periodontally compromised patient by
Orthodontic Treatment Periodontally Compromised Patients Orthodontic treatment after periodontal stabilization does not have any detrimental effect on periodontal health in adult. Orthodontic treatment plays a crucial role in achieving optimal dental esthetics and functional occlusion. Regardless of the type of movement (extrusion or intrusion), there is a clear consensus that orthodontic forces in periodontally compromised patients should. Orthodontic treatment after periodontal stabilization does not have any detrimental effect on periodontal health in adult. The aim of this systematic review was to examine the literature on aggressive and chronic periodontitis and orthodontics to clarify. Orthodontic treatment of periodontal patients with a multidisciplinary approach is.
From periobasics.com
Orthodonticperiodontal interrelationship Orthodontic Treatment Periodontally Compromised Patients Regardless of the type of movement (extrusion or intrusion), there is a clear consensus that orthodontic forces in periodontally compromised patients should. Orthodontic treatment plays a crucial role in achieving optimal dental esthetics and functional occlusion. Orthodontic treatment after periodontal stabilization does not have any detrimental effect on periodontal health in adult. The aim of this systematic review was to. Orthodontic Treatment Periodontally Compromised Patients.
From www.smilesnbraces.info
Periodontally Compromised Patient With Generalized Spacing Treated Orthodontic Treatment Periodontally Compromised Patients Regardless of the type of movement (extrusion or intrusion), there is a clear consensus that orthodontic forces in periodontally compromised patients should. Orthodontic treatment plays a crucial role in achieving optimal dental esthetics and functional occlusion. Orthodontic treatment of periodontal patients with a multidisciplinary approach is. The aim of this systematic review was to examine the literature on aggressive and. Orthodontic Treatment Periodontally Compromised Patients.
From www.semanticscholar.org
Figure 1 from Orthodontic treatment in the periodontally compromised Orthodontic Treatment Periodontally Compromised Patients The aim of this systematic review was to examine the literature on aggressive and chronic periodontitis and orthodontics to clarify. Orthodontic treatment plays a crucial role in achieving optimal dental esthetics and functional occlusion. Orthodontic treatment of periodontal patients with a multidisciplinary approach is. Orthodontic treatment after periodontal stabilization does not have any detrimental effect on periodontal health in adult.. Orthodontic Treatment Periodontally Compromised Patients.
From www.researchgate.net
(PDF) Orthodontic, periodontal and prosthodontic treatment for a Orthodontic Treatment Periodontally Compromised Patients The aim of this systematic review was to examine the literature on aggressive and chronic periodontitis and orthodontics to clarify. Regardless of the type of movement (extrusion or intrusion), there is a clear consensus that orthodontic forces in periodontally compromised patients should. Orthodontic treatment of periodontal patients with a multidisciplinary approach is. Orthodontic treatment after periodontal stabilization does not have. Orthodontic Treatment Periodontally Compromised Patients.
From www.slideshare.net
Fixed prosthodontics with periodontally compromised dentition PPT Orthodontic Treatment Periodontally Compromised Patients Regardless of the type of movement (extrusion or intrusion), there is a clear consensus that orthodontic forces in periodontally compromised patients should. Orthodontic treatment plays a crucial role in achieving optimal dental esthetics and functional occlusion. Orthodontic treatment of periodontal patients with a multidisciplinary approach is. Orthodontic treatment after periodontal stabilization does not have any detrimental effect on periodontal health. Orthodontic Treatment Periodontally Compromised Patients.
From apospublications.com
Orthodontic management of a periodontally compromised dentition APOS Orthodontic Treatment Periodontally Compromised Patients The aim of this systematic review was to examine the literature on aggressive and chronic periodontitis and orthodontics to clarify. Orthodontic treatment of periodontal patients with a multidisciplinary approach is. Orthodontic treatment plays a crucial role in achieving optimal dental esthetics and functional occlusion. Orthodontic treatment after periodontal stabilization does not have any detrimental effect on periodontal health in adult.. Orthodontic Treatment Periodontally Compromised Patients.
From www.orthodontic-update.co.uk
Orthodontic Update A modified intrusion approach for a periodontally Orthodontic Treatment Periodontally Compromised Patients Orthodontic treatment of periodontal patients with a multidisciplinary approach is. Orthodontic treatment after periodontal stabilization does not have any detrimental effect on periodontal health in adult. The aim of this systematic review was to examine the literature on aggressive and chronic periodontitis and orthodontics to clarify. Regardless of the type of movement (extrusion or intrusion), there is a clear consensus. Orthodontic Treatment Periodontally Compromised Patients.
From www.elsevier.es
Orthodontic treatment in a periodontally compromised class III patient Orthodontic Treatment Periodontally Compromised Patients The aim of this systematic review was to examine the literature on aggressive and chronic periodontitis and orthodontics to clarify. Orthodontic treatment after periodontal stabilization does not have any detrimental effect on periodontal health in adult. Orthodontic treatment of periodontal patients with a multidisciplinary approach is. Regardless of the type of movement (extrusion or intrusion), there is a clear consensus. Orthodontic Treatment Periodontally Compromised Patients.
From www.orthodontic-update.co.uk
Orthodontic Update A modified intrusion approach for a periodontally Orthodontic Treatment Periodontally Compromised Patients Regardless of the type of movement (extrusion or intrusion), there is a clear consensus that orthodontic forces in periodontally compromised patients should. Orthodontic treatment plays a crucial role in achieving optimal dental esthetics and functional occlusion. The aim of this systematic review was to examine the literature on aggressive and chronic periodontitis and orthodontics to clarify. Orthodontic treatment of periodontal. Orthodontic Treatment Periodontally Compromised Patients.
From www.semanticscholar.org
Figure 1 from Orthodontic treatment in the periodontally compromised Orthodontic Treatment Periodontally Compromised Patients Orthodontic treatment after periodontal stabilization does not have any detrimental effect on periodontal health in adult. Orthodontic treatment plays a crucial role in achieving optimal dental esthetics and functional occlusion. The aim of this systematic review was to examine the literature on aggressive and chronic periodontitis and orthodontics to clarify. Regardless of the type of movement (extrusion or intrusion), there. Orthodontic Treatment Periodontally Compromised Patients.
From apospublications.com
Orthodontic management of a periodontally compromised dentition APOS Orthodontic Treatment Periodontally Compromised Patients Orthodontic treatment after periodontal stabilization does not have any detrimental effect on periodontal health in adult. Regardless of the type of movement (extrusion or intrusion), there is a clear consensus that orthodontic forces in periodontally compromised patients should. Orthodontic treatment of periodontal patients with a multidisciplinary approach is. Orthodontic treatment plays a crucial role in achieving optimal dental esthetics and. Orthodontic Treatment Periodontally Compromised Patients.
From www.elsevier.es
Orthodontic treatment in a periodontally compromised class III patient Orthodontic Treatment Periodontally Compromised Patients Orthodontic treatment of periodontal patients with a multidisciplinary approach is. The aim of this systematic review was to examine the literature on aggressive and chronic periodontitis and orthodontics to clarify. Regardless of the type of movement (extrusion or intrusion), there is a clear consensus that orthodontic forces in periodontally compromised patients should. Orthodontic treatment after periodontal stabilization does not have. Orthodontic Treatment Periodontally Compromised Patients.
From www.orthodontic-update.co.uk
Orthodontic Update A modified intrusion approach for a periodontally Orthodontic Treatment Periodontally Compromised Patients Regardless of the type of movement (extrusion or intrusion), there is a clear consensus that orthodontic forces in periodontally compromised patients should. Orthodontic treatment plays a crucial role in achieving optimal dental esthetics and functional occlusion. Orthodontic treatment of periodontal patients with a multidisciplinary approach is. The aim of this systematic review was to examine the literature on aggressive and. Orthodontic Treatment Periodontally Compromised Patients.
From www.ajodo.org
Interdisciplinary treatment of a periodontally compromised adult Orthodontic Treatment Periodontally Compromised Patients Orthodontic treatment after periodontal stabilization does not have any detrimental effect on periodontal health in adult. Regardless of the type of movement (extrusion or intrusion), there is a clear consensus that orthodontic forces in periodontally compromised patients should. Orthodontic treatment plays a crucial role in achieving optimal dental esthetics and functional occlusion. Orthodontic treatment of periodontal patients with a multidisciplinary. Orthodontic Treatment Periodontally Compromised Patients.
From www.semanticscholar.org
Figure 1 from Orthodontic, periodontal and prosthodontic treatment for Orthodontic Treatment Periodontally Compromised Patients Orthodontic treatment plays a crucial role in achieving optimal dental esthetics and functional occlusion. Regardless of the type of movement (extrusion or intrusion), there is a clear consensus that orthodontic forces in periodontally compromised patients should. Orthodontic treatment after periodontal stabilization does not have any detrimental effect on periodontal health in adult. The aim of this systematic review was to. Orthodontic Treatment Periodontally Compromised Patients.
From www.ajodo.org
Interdisciplinary treatment of a periodontally compromised adult Orthodontic Treatment Periodontally Compromised Patients Orthodontic treatment after periodontal stabilization does not have any detrimental effect on periodontal health in adult. Regardless of the type of movement (extrusion or intrusion), there is a clear consensus that orthodontic forces in periodontally compromised patients should. The aim of this systematic review was to examine the literature on aggressive and chronic periodontitis and orthodontics to clarify. Orthodontic treatment. Orthodontic Treatment Periodontally Compromised Patients.
From www.semanticscholar.org
Figure 1 from Management of periodontally compromised patient by Orthodontic Treatment Periodontally Compromised Patients Orthodontic treatment plays a crucial role in achieving optimal dental esthetics and functional occlusion. The aim of this systematic review was to examine the literature on aggressive and chronic periodontitis and orthodontics to clarify. Orthodontic treatment of periodontal patients with a multidisciplinary approach is. Orthodontic treatment after periodontal stabilization does not have any detrimental effect on periodontal health in adult.. Orthodontic Treatment Periodontally Compromised Patients.
From periobasics.com
Orthodonticperiodontal interrelationship Orthodontic Treatment Periodontally Compromised Patients Orthodontic treatment after periodontal stabilization does not have any detrimental effect on periodontal health in adult. Orthodontic treatment of periodontal patients with a multidisciplinary approach is. Orthodontic treatment plays a crucial role in achieving optimal dental esthetics and functional occlusion. The aim of this systematic review was to examine the literature on aggressive and chronic periodontitis and orthodontics to clarify.. Orthodontic Treatment Periodontally Compromised Patients.
From www.researchgate.net
(PDF) Orthodontic treatment in the periodontally compromised patient A Orthodontic Treatment Periodontally Compromised Patients Orthodontic treatment plays a crucial role in achieving optimal dental esthetics and functional occlusion. Orthodontic treatment after periodontal stabilization does not have any detrimental effect on periodontal health in adult. The aim of this systematic review was to examine the literature on aggressive and chronic periodontitis and orthodontics to clarify. Orthodontic treatment of periodontal patients with a multidisciplinary approach is.. Orthodontic Treatment Periodontally Compromised Patients.
From www.elsevier.es
Orthodontic treatment in a periodontally compromised class III patient Orthodontic Treatment Periodontally Compromised Patients Orthodontic treatment after periodontal stabilization does not have any detrimental effect on periodontal health in adult. Regardless of the type of movement (extrusion or intrusion), there is a clear consensus that orthodontic forces in periodontally compromised patients should. Orthodontic treatment plays a crucial role in achieving optimal dental esthetics and functional occlusion. The aim of this systematic review was to. Orthodontic Treatment Periodontally Compromised Patients.
From www.semanticscholar.org
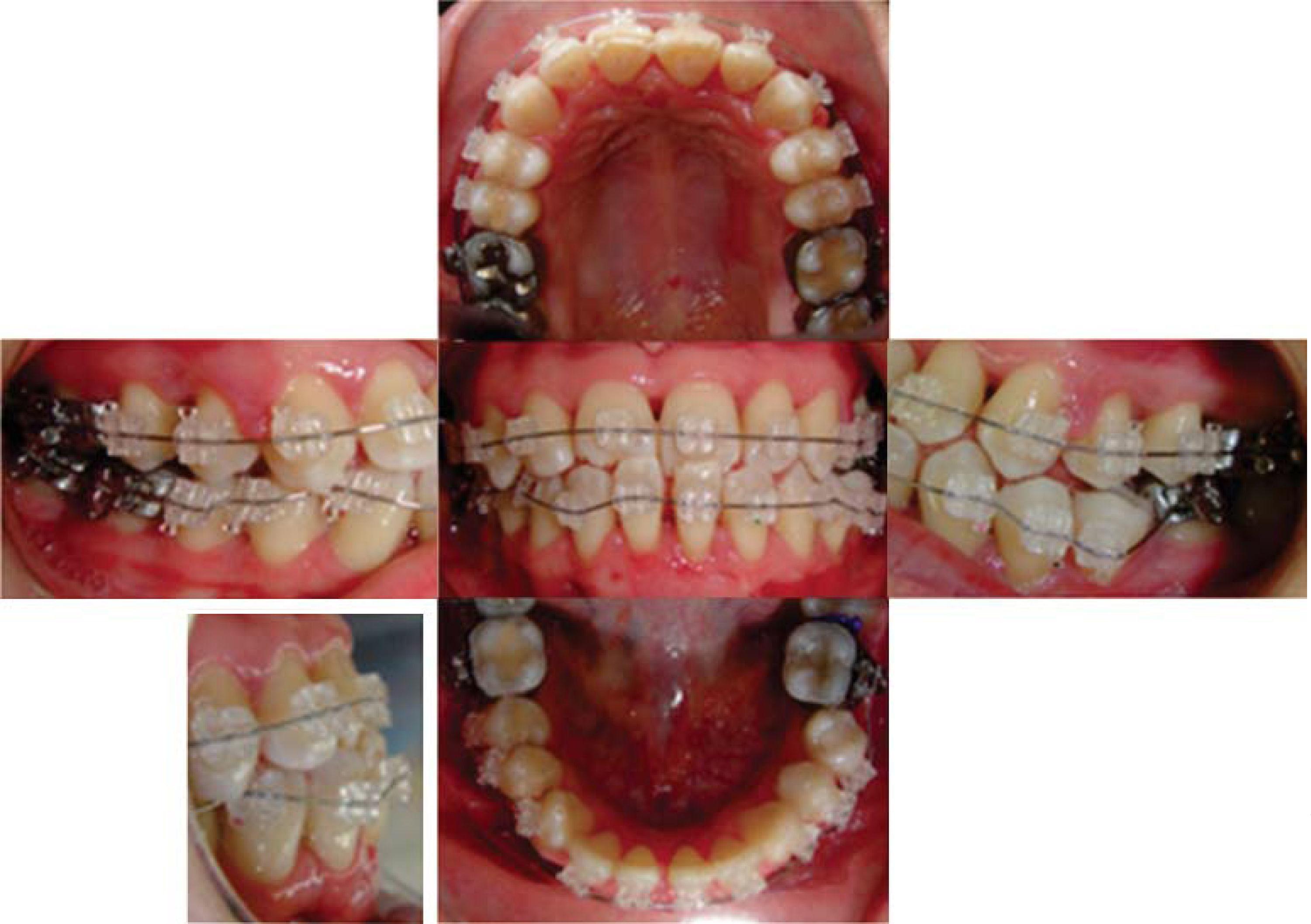
Figure 2 from Treatment of Periodontally Compromised Teeth using Orthodontic Treatment Periodontally Compromised Patients Regardless of the type of movement (extrusion or intrusion), there is a clear consensus that orthodontic forces in periodontally compromised patients should. Orthodontic treatment plays a crucial role in achieving optimal dental esthetics and functional occlusion. Orthodontic treatment of periodontal patients with a multidisciplinary approach is. Orthodontic treatment after periodontal stabilization does not have any detrimental effect on periodontal health. Orthodontic Treatment Periodontally Compromised Patients.
From www.researchgate.net
(PDF) Interdisciplinary Treatment of a Periodontally Compromised Adult Orthodontic Treatment Periodontally Compromised Patients Orthodontic treatment plays a crucial role in achieving optimal dental esthetics and functional occlusion. The aim of this systematic review was to examine the literature on aggressive and chronic periodontitis and orthodontics to clarify. Orthodontic treatment after periodontal stabilization does not have any detrimental effect on periodontal health in adult. Orthodontic treatment of periodontal patients with a multidisciplinary approach is.. Orthodontic Treatment Periodontally Compromised Patients.
From www.smilesnbraces.info
Periodontally Compromised Patient With Generalized Spacing Treated Orthodontic Treatment Periodontally Compromised Patients The aim of this systematic review was to examine the literature on aggressive and chronic periodontitis and orthodontics to clarify. Orthodontic treatment after periodontal stabilization does not have any detrimental effect on periodontal health in adult. Orthodontic treatment plays a crucial role in achieving optimal dental esthetics and functional occlusion. Orthodontic treatment of periodontal patients with a multidisciplinary approach is.. Orthodontic Treatment Periodontally Compromised Patients.
From www.researchgate.net
(PDF) Orthodontic Management of Periodontally Compromised Adult Orthodontic Treatment Periodontally Compromised Patients The aim of this systematic review was to examine the literature on aggressive and chronic periodontitis and orthodontics to clarify. Orthodontic treatment plays a crucial role in achieving optimal dental esthetics and functional occlusion. Orthodontic treatment of periodontal patients with a multidisciplinary approach is. Orthodontic treatment after periodontal stabilization does not have any detrimental effect on periodontal health in adult.. Orthodontic Treatment Periodontally Compromised Patients.
From www.researchgate.net
(PDF) Orthoperio integrated approach in periodontally compromised patients Orthodontic Treatment Periodontally Compromised Patients Regardless of the type of movement (extrusion or intrusion), there is a clear consensus that orthodontic forces in periodontally compromised patients should. Orthodontic treatment of periodontal patients with a multidisciplinary approach is. The aim of this systematic review was to examine the literature on aggressive and chronic periodontitis and orthodontics to clarify. Orthodontic treatment plays a crucial role in achieving. Orthodontic Treatment Periodontally Compromised Patients.
From www.elsevier.es
Orthodontic treatment in a periodontally compromised class III patient Orthodontic Treatment Periodontally Compromised Patients The aim of this systematic review was to examine the literature on aggressive and chronic periodontitis and orthodontics to clarify. Regardless of the type of movement (extrusion or intrusion), there is a clear consensus that orthodontic forces in periodontally compromised patients should. Orthodontic treatment of periodontal patients with a multidisciplinary approach is. Orthodontic treatment plays a crucial role in achieving. Orthodontic Treatment Periodontally Compromised Patients.
From www.ajodo.org
Interdisciplinary treatment of a periodontally compromised adult Orthodontic Treatment Periodontally Compromised Patients Regardless of the type of movement (extrusion or intrusion), there is a clear consensus that orthodontic forces in periodontally compromised patients should. The aim of this systematic review was to examine the literature on aggressive and chronic periodontitis and orthodontics to clarify. Orthodontic treatment of periodontal patients with a multidisciplinary approach is. Orthodontic treatment after periodontal stabilization does not have. Orthodontic Treatment Periodontally Compromised Patients.
From www.mdpi.com
IJMS Free FullText Levels of ProInflammatory and BoneResorptive Orthodontic Treatment Periodontally Compromised Patients The aim of this systematic review was to examine the literature on aggressive and chronic periodontitis and orthodontics to clarify. Regardless of the type of movement (extrusion or intrusion), there is a clear consensus that orthodontic forces in periodontally compromised patients should. Orthodontic treatment plays a crucial role in achieving optimal dental esthetics and functional occlusion. Orthodontic treatment of periodontal. Orthodontic Treatment Periodontally Compromised Patients.
From www.elsevier.es
Orthodontic treatment in a periodontally compromised class III patient Orthodontic Treatment Periodontally Compromised Patients Orthodontic treatment after periodontal stabilization does not have any detrimental effect on periodontal health in adult. Orthodontic treatment of periodontal patients with a multidisciplinary approach is. Orthodontic treatment plays a crucial role in achieving optimal dental esthetics and functional occlusion. The aim of this systematic review was to examine the literature on aggressive and chronic periodontitis and orthodontics to clarify.. Orthodontic Treatment Periodontally Compromised Patients.
From www.semanticscholar.org
Figure 1 from Treatment of Periodontally Compromised Teeth using Orthodontic Treatment Periodontally Compromised Patients Orthodontic treatment plays a crucial role in achieving optimal dental esthetics and functional occlusion. Regardless of the type of movement (extrusion or intrusion), there is a clear consensus that orthodontic forces in periodontally compromised patients should. The aim of this systematic review was to examine the literature on aggressive and chronic periodontitis and orthodontics to clarify. Orthodontic treatment of periodontal. Orthodontic Treatment Periodontally Compromised Patients.
From www.elsevier.es
Orthodontic treatment in a periodontally compromised class III patient Orthodontic Treatment Periodontally Compromised Patients Orthodontic treatment of periodontal patients with a multidisciplinary approach is. Orthodontic treatment after periodontal stabilization does not have any detrimental effect on periodontal health in adult. Orthodontic treatment plays a crucial role in achieving optimal dental esthetics and functional occlusion. The aim of this systematic review was to examine the literature on aggressive and chronic periodontitis and orthodontics to clarify.. Orthodontic Treatment Periodontally Compromised Patients.
From www.researchgate.net
(PDF) Periodontal Regeneration and Orthodontic Treatment of Severely Orthodontic Treatment Periodontally Compromised Patients The aim of this systematic review was to examine the literature on aggressive and chronic periodontitis and orthodontics to clarify. Regardless of the type of movement (extrusion or intrusion), there is a clear consensus that orthodontic forces in periodontally compromised patients should. Orthodontic treatment of periodontal patients with a multidisciplinary approach is. Orthodontic treatment after periodontal stabilization does not have. Orthodontic Treatment Periodontally Compromised Patients.
From www.researchgate.net
(PDF) Orthodontic Management of Periodontally Compromised Adult Orthodontic Treatment Periodontally Compromised Patients The aim of this systematic review was to examine the literature on aggressive and chronic periodontitis and orthodontics to clarify. Orthodontic treatment plays a crucial role in achieving optimal dental esthetics and functional occlusion. Orthodontic treatment after periodontal stabilization does not have any detrimental effect on periodontal health in adult. Orthodontic treatment of periodontal patients with a multidisciplinary approach is.. Orthodontic Treatment Periodontally Compromised Patients.
From apospublications.com
Orthodontic management of a periodontally compromised dentition APOS Orthodontic Treatment Periodontally Compromised Patients Orthodontic treatment after periodontal stabilization does not have any detrimental effect on periodontal health in adult. Regardless of the type of movement (extrusion or intrusion), there is a clear consensus that orthodontic forces in periodontally compromised patients should. Orthodontic treatment of periodontal patients with a multidisciplinary approach is. Orthodontic treatment plays a crucial role in achieving optimal dental esthetics and. Orthodontic Treatment Periodontally Compromised Patients.
From www.dentistry33.com
Effect of orthodontic treatment on periodontal health of periodontally Orthodontic Treatment Periodontally Compromised Patients The aim of this systematic review was to examine the literature on aggressive and chronic periodontitis and orthodontics to clarify. Orthodontic treatment of periodontal patients with a multidisciplinary approach is. Regardless of the type of movement (extrusion or intrusion), there is a clear consensus that orthodontic forces in periodontally compromised patients should. Orthodontic treatment after periodontal stabilization does not have. Orthodontic Treatment Periodontally Compromised Patients.