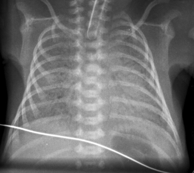
Chest X Ray Findings In Rds . Respiratory distress syndrome is caused by pulmonary surfactant deficiency in the lungs of neonates, most commonly in. chest radiography, being the most widely available imaging modality with a high degree of sensitivity and relatively. in respiratory distress syndrome (rds), the classic chest radiographic findings consist of pronounced hypoaeration, bilateral fine granular opacities in the.
from lusomentepalavras.blogspot.com
Respiratory distress syndrome is caused by pulmonary surfactant deficiency in the lungs of neonates, most commonly in. chest radiography, being the most widely available imaging modality with a high degree of sensitivity and relatively. in respiratory distress syndrome (rds), the classic chest radiographic findings consist of pronounced hypoaeration, bilateral fine granular opacities in the.
Ards Chest X Ray lusomentepalavras
Chest X Ray Findings In Rds chest radiography, being the most widely available imaging modality with a high degree of sensitivity and relatively. chest radiography, being the most widely available imaging modality with a high degree of sensitivity and relatively. in respiratory distress syndrome (rds), the classic chest radiographic findings consist of pronounced hypoaeration, bilateral fine granular opacities in the. Respiratory distress syndrome is caused by pulmonary surfactant deficiency in the lungs of neonates, most commonly in.
From www.cureus.com
Cureus ThyrotoxicosisInduced Cardiogenic Shock with Encephalopathy Chest X Ray Findings In Rds chest radiography, being the most widely available imaging modality with a high degree of sensitivity and relatively. in respiratory distress syndrome (rds), the classic chest radiographic findings consist of pronounced hypoaeration, bilateral fine granular opacities in the. Respiratory distress syndrome is caused by pulmonary surfactant deficiency in the lungs of neonates, most commonly in. Chest X Ray Findings In Rds.
From medilinks.blogspot.com
Identification of Chest Xrays of Common Lung Diseases YOUNG DOCTORS Chest X Ray Findings In Rds Respiratory distress syndrome is caused by pulmonary surfactant deficiency in the lungs of neonates, most commonly in. chest radiography, being the most widely available imaging modality with a high degree of sensitivity and relatively. in respiratory distress syndrome (rds), the classic chest radiographic findings consist of pronounced hypoaeration, bilateral fine granular opacities in the. Chest X Ray Findings In Rds.
From www.slideshare.net
Chest xray Chest X Ray Findings In Rds Respiratory distress syndrome is caused by pulmonary surfactant deficiency in the lungs of neonates, most commonly in. chest radiography, being the most widely available imaging modality with a high degree of sensitivity and relatively. in respiratory distress syndrome (rds), the classic chest radiographic findings consist of pronounced hypoaeration, bilateral fine granular opacities in the. Chest X Ray Findings In Rds.
From www.pinterest.com
cxr neonate hyperinflation rds meconium effusion Google Search Chest X Ray Findings In Rds Respiratory distress syndrome is caused by pulmonary surfactant deficiency in the lungs of neonates, most commonly in. in respiratory distress syndrome (rds), the classic chest radiographic findings consist of pronounced hypoaeration, bilateral fine granular opacities in the. chest radiography, being the most widely available imaging modality with a high degree of sensitivity and relatively. Chest X Ray Findings In Rds.
From lusomentepalavras.blogspot.com
Ards Chest X Ray lusomentepalavras Chest X Ray Findings In Rds chest radiography, being the most widely available imaging modality with a high degree of sensitivity and relatively. Respiratory distress syndrome is caused by pulmonary surfactant deficiency in the lungs of neonates, most commonly in. in respiratory distress syndrome (rds), the classic chest radiographic findings consist of pronounced hypoaeration, bilateral fine granular opacities in the. Chest X Ray Findings In Rds.
From www.vrogue.co
Chest X Ray Of Second Patient Showing Features Of Ard vrogue.co Chest X Ray Findings In Rds in respiratory distress syndrome (rds), the classic chest radiographic findings consist of pronounced hypoaeration, bilateral fine granular opacities in the. chest radiography, being the most widely available imaging modality with a high degree of sensitivity and relatively. Respiratory distress syndrome is caused by pulmonary surfactant deficiency in the lungs of neonates, most commonly in. Chest X Ray Findings In Rds.
From ar.inspiredpencil.com
Ards Chest X Ray Chest X Ray Findings In Rds Respiratory distress syndrome is caused by pulmonary surfactant deficiency in the lungs of neonates, most commonly in. in respiratory distress syndrome (rds), the classic chest radiographic findings consist of pronounced hypoaeration, bilateral fine granular opacities in the. chest radiography, being the most widely available imaging modality with a high degree of sensitivity and relatively. Chest X Ray Findings In Rds.
From tanyo-nursingbooks.blogspot.com
NursingBook`S Chest X Ray Findings In Rds chest radiography, being the most widely available imaging modality with a high degree of sensitivity and relatively. Respiratory distress syndrome is caused by pulmonary surfactant deficiency in the lungs of neonates, most commonly in. in respiratory distress syndrome (rds), the classic chest radiographic findings consist of pronounced hypoaeration, bilateral fine granular opacities in the. Chest X Ray Findings In Rds.
From www.svuhradiology.ie
Acute respiratory distress syndrome (ARDS) chest xray Radiology at Chest X Ray Findings In Rds Respiratory distress syndrome is caused by pulmonary surfactant deficiency in the lungs of neonates, most commonly in. in respiratory distress syndrome (rds), the classic chest radiographic findings consist of pronounced hypoaeration, bilateral fine granular opacities in the. chest radiography, being the most widely available imaging modality with a high degree of sensitivity and relatively. Chest X Ray Findings In Rds.
From mavink.com
Ards Chest X Ray Findings Chest X Ray Findings In Rds in respiratory distress syndrome (rds), the classic chest radiographic findings consist of pronounced hypoaeration, bilateral fine granular opacities in the. chest radiography, being the most widely available imaging modality with a high degree of sensitivity and relatively. Respiratory distress syndrome is caused by pulmonary surfactant deficiency in the lungs of neonates, most commonly in. Chest X Ray Findings In Rds.
From ar.inspiredpencil.com
Normal Infant Chest Xray Chest X Ray Findings In Rds in respiratory distress syndrome (rds), the classic chest radiographic findings consist of pronounced hypoaeration, bilateral fine granular opacities in the. chest radiography, being the most widely available imaging modality with a high degree of sensitivity and relatively. Respiratory distress syndrome is caused by pulmonary surfactant deficiency in the lungs of neonates, most commonly in. Chest X Ray Findings In Rds.
From pc.jksronline.org
Interpretation of Neonatal Chest Radiography Chest X Ray Findings In Rds in respiratory distress syndrome (rds), the classic chest radiographic findings consist of pronounced hypoaeration, bilateral fine granular opacities in the. chest radiography, being the most widely available imaging modality with a high degree of sensitivity and relatively. Respiratory distress syndrome is caused by pulmonary surfactant deficiency in the lungs of neonates, most commonly in. Chest X Ray Findings In Rds.
From sars-transmission.blogspot.com
“Diagnosis and management of acute respiratory distress syndrome CMAJ Chest X Ray Findings In Rds in respiratory distress syndrome (rds), the classic chest radiographic findings consist of pronounced hypoaeration, bilateral fine granular opacities in the. chest radiography, being the most widely available imaging modality with a high degree of sensitivity and relatively. Respiratory distress syndrome is caused by pulmonary surfactant deficiency in the lungs of neonates, most commonly in. Chest X Ray Findings In Rds.
From mavink.com
Ards Chest X Ray Findings Chest X Ray Findings In Rds chest radiography, being the most widely available imaging modality with a high degree of sensitivity and relatively. in respiratory distress syndrome (rds), the classic chest radiographic findings consist of pronounced hypoaeration, bilateral fine granular opacities in the. Respiratory distress syndrome is caused by pulmonary surfactant deficiency in the lungs of neonates, most commonly in. Chest X Ray Findings In Rds.
From lusomentepalavras.blogspot.com
Ards Chest X Ray lusomentepalavras Chest X Ray Findings In Rds chest radiography, being the most widely available imaging modality with a high degree of sensitivity and relatively. in respiratory distress syndrome (rds), the classic chest radiographic findings consist of pronounced hypoaeration, bilateral fine granular opacities in the. Respiratory distress syndrome is caused by pulmonary surfactant deficiency in the lungs of neonates, most commonly in. Chest X Ray Findings In Rds.
From err.ersjournals.com
Overview of current lung imaging in acute respiratory distress syndrome Chest X Ray Findings In Rds in respiratory distress syndrome (rds), the classic chest radiographic findings consist of pronounced hypoaeration, bilateral fine granular opacities in the. Respiratory distress syndrome is caused by pulmonary surfactant deficiency in the lungs of neonates, most commonly in. chest radiography, being the most widely available imaging modality with a high degree of sensitivity and relatively. Chest X Ray Findings In Rds.
From calgaryguide.ucalgary.ca
COPD Findings on PosteriorAnterior and Lateral Chest Xray Findings Chest X Ray Findings In Rds Respiratory distress syndrome is caused by pulmonary surfactant deficiency in the lungs of neonates, most commonly in. in respiratory distress syndrome (rds), the classic chest radiographic findings consist of pronounced hypoaeration, bilateral fine granular opacities in the. chest radiography, being the most widely available imaging modality with a high degree of sensitivity and relatively. Chest X Ray Findings In Rds.
From ar.inspiredpencil.com
Ards Lungs Chest X Ray Findings In Rds Respiratory distress syndrome is caused by pulmonary surfactant deficiency in the lungs of neonates, most commonly in. in respiratory distress syndrome (rds), the classic chest radiographic findings consist of pronounced hypoaeration, bilateral fine granular opacities in the. chest radiography, being the most widely available imaging modality with a high degree of sensitivity and relatively. Chest X Ray Findings In Rds.
From www.slideserve.com
PPT Reading a Neonatal Chest Xray PowerPoint Presentation, free Chest X Ray Findings In Rds Respiratory distress syndrome is caused by pulmonary surfactant deficiency in the lungs of neonates, most commonly in. chest radiography, being the most widely available imaging modality with a high degree of sensitivity and relatively. in respiratory distress syndrome (rds), the classic chest radiographic findings consist of pronounced hypoaeration, bilateral fine granular opacities in the. Chest X Ray Findings In Rds.
From mavink.com
Ards Chest X Ray Findings Chest X Ray Findings In Rds Respiratory distress syndrome is caused by pulmonary surfactant deficiency in the lungs of neonates, most commonly in. in respiratory distress syndrome (rds), the classic chest radiographic findings consist of pronounced hypoaeration, bilateral fine granular opacities in the. chest radiography, being the most widely available imaging modality with a high degree of sensitivity and relatively. Chest X Ray Findings In Rds.
From calgaryguide.ucalgary.ca
Acute Respiratory Distress Syndrome (ARDS) Chest XRay Findings Chest X Ray Findings In Rds Respiratory distress syndrome is caused by pulmonary surfactant deficiency in the lungs of neonates, most commonly in. chest radiography, being the most widely available imaging modality with a high degree of sensitivity and relatively. in respiratory distress syndrome (rds), the classic chest radiographic findings consist of pronounced hypoaeration, bilateral fine granular opacities in the. Chest X Ray Findings In Rds.
From www.ebmconsult.com
Radiology Chest Xray Normal Chest X Ray Findings In Rds Respiratory distress syndrome is caused by pulmonary surfactant deficiency in the lungs of neonates, most commonly in. chest radiography, being the most widely available imaging modality with a high degree of sensitivity and relatively. in respiratory distress syndrome (rds), the classic chest radiographic findings consist of pronounced hypoaeration, bilateral fine granular opacities in the. Chest X Ray Findings In Rds.
From www.learningradiology.com
LearningRadiology Respiratory Distress Syndrome of the Newborn Chest X Ray Findings In Rds chest radiography, being the most widely available imaging modality with a high degree of sensitivity and relatively. in respiratory distress syndrome (rds), the classic chest radiographic findings consist of pronounced hypoaeration, bilateral fine granular opacities in the. Respiratory distress syndrome is caused by pulmonary surfactant deficiency in the lungs of neonates, most commonly in. Chest X Ray Findings In Rds.
From www.researchgate.net
Chest Xray showing homogenous infiltrates (ARDS) of the nonoperated Chest X Ray Findings In Rds Respiratory distress syndrome is caused by pulmonary surfactant deficiency in the lungs of neonates, most commonly in. in respiratory distress syndrome (rds), the classic chest radiographic findings consist of pronounced hypoaeration, bilateral fine granular opacities in the. chest radiography, being the most widely available imaging modality with a high degree of sensitivity and relatively. Chest X Ray Findings In Rds.
From lusomentepalavras.blogspot.com
Ards Chest X Ray lusomentepalavras Chest X Ray Findings In Rds Respiratory distress syndrome is caused by pulmonary surfactant deficiency in the lungs of neonates, most commonly in. in respiratory distress syndrome (rds), the classic chest radiographic findings consist of pronounced hypoaeration, bilateral fine granular opacities in the. chest radiography, being the most widely available imaging modality with a high degree of sensitivity and relatively. Chest X Ray Findings In Rds.
From jmeserve3otes.blogspot.com
Rds X Ray In Newborn Respiratory Distress Syndrome Radiology Chest X Ray Findings In Rds in respiratory distress syndrome (rds), the classic chest radiographic findings consist of pronounced hypoaeration, bilateral fine granular opacities in the. chest radiography, being the most widely available imaging modality with a high degree of sensitivity and relatively. Respiratory distress syndrome is caused by pulmonary surfactant deficiency in the lungs of neonates, most commonly in. Chest X Ray Findings In Rds.
From mungfali.com
Covid 19 Chest X Ray Chest X Ray Findings In Rds chest radiography, being the most widely available imaging modality with a high degree of sensitivity and relatively. in respiratory distress syndrome (rds), the classic chest radiographic findings consist of pronounced hypoaeration, bilateral fine granular opacities in the. Respiratory distress syndrome is caused by pulmonary surfactant deficiency in the lungs of neonates, most commonly in. Chest X Ray Findings In Rds.
From www.cureus.com
Cureus Coronavirus (COVID19) Fulminant Myopericarditis and Acute Chest X Ray Findings In Rds Respiratory distress syndrome is caused by pulmonary surfactant deficiency in the lungs of neonates, most commonly in. chest radiography, being the most widely available imaging modality with a high degree of sensitivity and relatively. in respiratory distress syndrome (rds), the classic chest radiographic findings consist of pronounced hypoaeration, bilateral fine granular opacities in the. Chest X Ray Findings In Rds.
From jmeserve3otes.blogspot.com
Rds X Ray In Newborn Respiratory Distress Syndrome Radiology Chest X Ray Findings In Rds in respiratory distress syndrome (rds), the classic chest radiographic findings consist of pronounced hypoaeration, bilateral fine granular opacities in the. Respiratory distress syndrome is caused by pulmonary surfactant deficiency in the lungs of neonates, most commonly in. chest radiography, being the most widely available imaging modality with a high degree of sensitivity and relatively. Chest X Ray Findings In Rds.
From www.researchgate.net
Chest Xray of second patient showing features of ARDS, and resolving Chest X Ray Findings In Rds chest radiography, being the most widely available imaging modality with a high degree of sensitivity and relatively. Respiratory distress syndrome is caused by pulmonary surfactant deficiency in the lungs of neonates, most commonly in. in respiratory distress syndrome (rds), the classic chest radiographic findings consist of pronounced hypoaeration, bilateral fine granular opacities in the. Chest X Ray Findings In Rds.
From www.slideshare.net
Respiratory Distress Syndrome (Rds) Chest X Ray Findings In Rds in respiratory distress syndrome (rds), the classic chest radiographic findings consist of pronounced hypoaeration, bilateral fine granular opacities in the. chest radiography, being the most widely available imaging modality with a high degree of sensitivity and relatively. Respiratory distress syndrome is caused by pulmonary surfactant deficiency in the lungs of neonates, most commonly in. Chest X Ray Findings In Rds.
From www.youtube.com
RDS respiratory distress syndrome chest x ray YouTube Chest X Ray Findings In Rds Respiratory distress syndrome is caused by pulmonary surfactant deficiency in the lungs of neonates, most commonly in. in respiratory distress syndrome (rds), the classic chest radiographic findings consist of pronounced hypoaeration, bilateral fine granular opacities in the. chest radiography, being the most widely available imaging modality with a high degree of sensitivity and relatively. Chest X Ray Findings In Rds.
From www.robles.edu.gt
Chest Xray Findings Monitoring COVID19 Disease Course And, 50 OFF Chest X Ray Findings In Rds chest radiography, being the most widely available imaging modality with a high degree of sensitivity and relatively. Respiratory distress syndrome is caused by pulmonary surfactant deficiency in the lungs of neonates, most commonly in. in respiratory distress syndrome (rds), the classic chest radiographic findings consist of pronounced hypoaeration, bilateral fine granular opacities in the. Chest X Ray Findings In Rds.
From biochem2.umin.jp
Chest Xray of ARDS patient Chest X Ray Findings In Rds Respiratory distress syndrome is caused by pulmonary surfactant deficiency in the lungs of neonates, most commonly in. chest radiography, being the most widely available imaging modality with a high degree of sensitivity and relatively. in respiratory distress syndrome (rds), the classic chest radiographic findings consist of pronounced hypoaeration, bilateral fine granular opacities in the. Chest X Ray Findings In Rds.
From www.slideserve.com
PPT Hemodynamic Monitoring for the Respiratory Therapist PowerPoint Chest X Ray Findings In Rds Respiratory distress syndrome is caused by pulmonary surfactant deficiency in the lungs of neonates, most commonly in. in respiratory distress syndrome (rds), the classic chest radiographic findings consist of pronounced hypoaeration, bilateral fine granular opacities in the. chest radiography, being the most widely available imaging modality with a high degree of sensitivity and relatively. Chest X Ray Findings In Rds.