Ischemic Colitis Fatal . If you have ischemic colitis along with pain on your right side, or sudden belly pain that’s so severe you can’t find a comfortable position, head to. Ischemic colitis is a transient reduction in blood flow to the colon. Ischemic colitis usually gets better on its own within 2 to 3 days. The colon receives less blood flow than any other portion of the. Tissue death, also called gangrene, resulting. Less commonly, it can be a more serious problem. Diagnosis is by ct or colonoscopy. Fortunately, with proper medical care, most people diagnosed with ischemic colitis typically recover in a day or two, and never have another episode. Some people have repeat or chronic episodes of ischemic colitis in one. The prognosis of patients with nomi or ischemic colitis depends on the etiology, severity, and distribution of the disease. Ischemic colitis is the most common form of intestinal ischemia. Inflammation causes temporary discomfort, but it clears up on its own when the cause of the ischemia resolves. Symptoms are left lower quadrant pain and rectal bleeding.
from www.studypool.com
Ischemic colitis is the most common form of intestinal ischemia. Fortunately, with proper medical care, most people diagnosed with ischemic colitis typically recover in a day or two, and never have another episode. Less commonly, it can be a more serious problem. Diagnosis is by ct or colonoscopy. If you have ischemic colitis along with pain on your right side, or sudden belly pain that’s so severe you can’t find a comfortable position, head to. Inflammation causes temporary discomfort, but it clears up on its own when the cause of the ischemia resolves. Ischemic colitis usually gets better on its own within 2 to 3 days. Symptoms are left lower quadrant pain and rectal bleeding. The prognosis of patients with nomi or ischemic colitis depends on the etiology, severity, and distribution of the disease. The colon receives less blood flow than any other portion of the.
SOLUTION Ischaemic colitis ischaemic colitis causes and clinical features ischaemic diagnosis
Ischemic Colitis Fatal Some people have repeat or chronic episodes of ischemic colitis in one. Ischemic colitis is the most common form of intestinal ischemia. Fortunately, with proper medical care, most people diagnosed with ischemic colitis typically recover in a day or two, and never have another episode. Tissue death, also called gangrene, resulting. The colon receives less blood flow than any other portion of the. Symptoms are left lower quadrant pain and rectal bleeding. Diagnosis is by ct or colonoscopy. If you have ischemic colitis along with pain on your right side, or sudden belly pain that’s so severe you can’t find a comfortable position, head to. Some people have repeat or chronic episodes of ischemic colitis in one. Less commonly, it can be a more serious problem. The prognosis of patients with nomi or ischemic colitis depends on the etiology, severity, and distribution of the disease. Ischemic colitis usually gets better on its own within 2 to 3 days. Ischemic colitis is a transient reduction in blood flow to the colon. Inflammation causes temporary discomfort, but it clears up on its own when the cause of the ischemia resolves.
From www.cureus.com
Cureus A Case of Stercoral Colitis Complicated by Ischemic Colitis in a Young Patient Ischemic Colitis Fatal Ischemic colitis usually gets better on its own within 2 to 3 days. Ischemic colitis is a transient reduction in blood flow to the colon. Less commonly, it can be a more serious problem. If you have ischemic colitis along with pain on your right side, or sudden belly pain that’s so severe you can’t find a comfortable position, head. Ischemic Colitis Fatal.
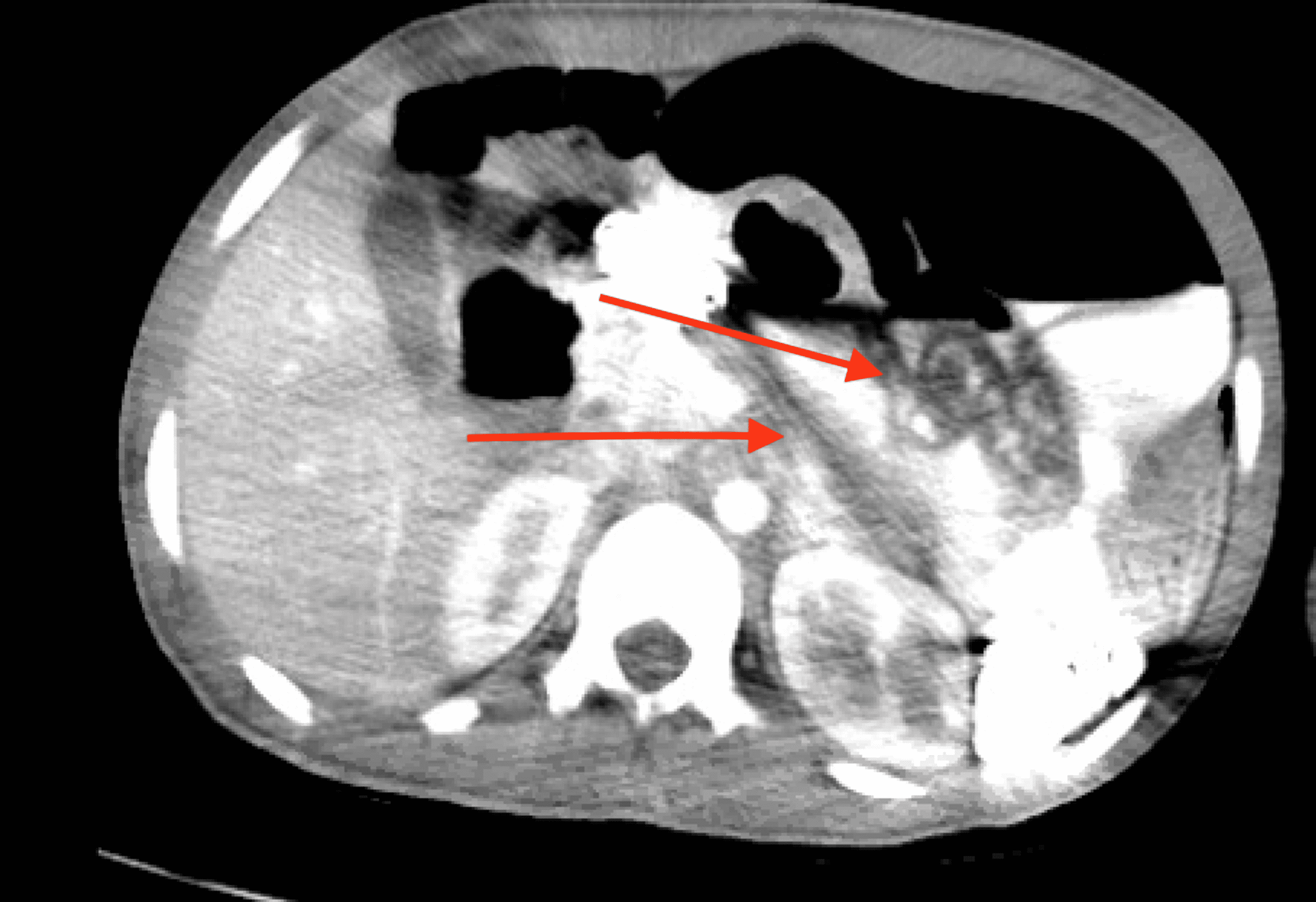
From radiopaedia.org
Ischemic colitis Image Ischemic Colitis Fatal Diagnosis is by ct or colonoscopy. Symptoms are left lower quadrant pain and rectal bleeding. Ischemic colitis usually gets better on its own within 2 to 3 days. The prognosis of patients with nomi or ischemic colitis depends on the etiology, severity, and distribution of the disease. Fortunately, with proper medical care, most people diagnosed with ischemic colitis typically recover. Ischemic Colitis Fatal.
From www.slideserve.com
PPT Bowel Ischemia PowerPoint Presentation ID5787723 Ischemic Colitis Fatal The prognosis of patients with nomi or ischemic colitis depends on the etiology, severity, and distribution of the disease. If you have ischemic colitis along with pain on your right side, or sudden belly pain that’s so severe you can’t find a comfortable position, head to. Ischemic colitis usually gets better on its own within 2 to 3 days. Ischemic. Ischemic Colitis Fatal.
From radiologykey.com
Ischemic Colitis Radiology Key Ischemic Colitis Fatal Ischemic colitis is the most common form of intestinal ischemia. Tissue death, also called gangrene, resulting. If you have ischemic colitis along with pain on your right side, or sudden belly pain that’s so severe you can’t find a comfortable position, head to. The colon receives less blood flow than any other portion of the. Inflammation causes temporary discomfort, but. Ischemic Colitis Fatal.
From librepathology.org
Ischemic colitis Libre Pathology Ischemic Colitis Fatal Less commonly, it can be a more serious problem. Inflammation causes temporary discomfort, but it clears up on its own when the cause of the ischemia resolves. The colon receives less blood flow than any other portion of the. Some people have repeat or chronic episodes of ischemic colitis in one. The prognosis of patients with nomi or ischemic colitis. Ischemic Colitis Fatal.
From journals.lww.com
Diagnosis and Management of Ischemic Colitis Diseases of the Colon & Rectum Ischemic Colitis Fatal Some people have repeat or chronic episodes of ischemic colitis in one. Ischemic colitis is a transient reduction in blood flow to the colon. Diagnosis is by ct or colonoscopy. If you have ischemic colitis along with pain on your right side, or sudden belly pain that’s so severe you can’t find a comfortable position, head to. Less commonly, it. Ischemic Colitis Fatal.
From www.epharmapedia.com
Ischemic Colitis Digestive diseases ePharmaPedia Ischemic Colitis Fatal Some people have repeat or chronic episodes of ischemic colitis in one. Tissue death, also called gangrene, resulting. Less commonly, it can be a more serious problem. Ischemic colitis usually gets better on its own within 2 to 3 days. The prognosis of patients with nomi or ischemic colitis depends on the etiology, severity, and distribution of the disease. The. Ischemic Colitis Fatal.
From pacs.de
ischämische Kolitis pacs Ischemic Colitis Fatal Inflammation causes temporary discomfort, but it clears up on its own when the cause of the ischemia resolves. Some people have repeat or chronic episodes of ischemic colitis in one. Ischemic colitis is the most common form of intestinal ischemia. Less commonly, it can be a more serious problem. Tissue death, also called gangrene, resulting. Fortunately, with proper medical care,. Ischemic Colitis Fatal.
From www.jem-journal.com
Ischemic Colitis Journal of Emergency Medicine Ischemic Colitis Fatal Tissue death, also called gangrene, resulting. Inflammation causes temporary discomfort, but it clears up on its own when the cause of the ischemia resolves. The colon receives less blood flow than any other portion of the. Some people have repeat or chronic episodes of ischemic colitis in one. The prognosis of patients with nomi or ischemic colitis depends on the. Ischemic Colitis Fatal.
From radiopaedia.org
Ischemic colitis Image Ischemic Colitis Fatal Ischemic colitis usually gets better on its own within 2 to 3 days. Less commonly, it can be a more serious problem. Diagnosis is by ct or colonoscopy. Ischemic colitis is the most common form of intestinal ischemia. If you have ischemic colitis along with pain on your right side, or sudden belly pain that’s so severe you can’t find. Ischemic Colitis Fatal.
From radiologycases.my
Ischaemic colitis Radiology Cases Ischemic Colitis Fatal Symptoms are left lower quadrant pain and rectal bleeding. If you have ischemic colitis along with pain on your right side, or sudden belly pain that’s so severe you can’t find a comfortable position, head to. The colon receives less blood flow than any other portion of the. Less commonly, it can be a more serious problem. The prognosis of. Ischemic Colitis Fatal.
From www.semanticscholar.org
Figure 1 from Recurrent ischemic colitis in a patient with leiden factor V mutation and systemic Ischemic Colitis Fatal Some people have repeat or chronic episodes of ischemic colitis in one. The prognosis of patients with nomi or ischemic colitis depends on the etiology, severity, and distribution of the disease. If you have ischemic colitis along with pain on your right side, or sudden belly pain that’s so severe you can’t find a comfortable position, head to. The colon. Ischemic Colitis Fatal.
From www.slideshare.net
Ischemic Colitis Ischemic Colitis Fatal Less commonly, it can be a more serious problem. Ischemic colitis usually gets better on its own within 2 to 3 days. Some people have repeat or chronic episodes of ischemic colitis in one. The colon receives less blood flow than any other portion of the. The prognosis of patients with nomi or ischemic colitis depends on the etiology, severity,. Ischemic Colitis Fatal.
From www.osmosis.org
Ischemic colitis Clinical sciences Osmosis Video Library Ischemic Colitis Fatal Fortunately, with proper medical care, most people diagnosed with ischemic colitis typically recover in a day or two, and never have another episode. If you have ischemic colitis along with pain on your right side, or sudden belly pain that’s so severe you can’t find a comfortable position, head to. Ischemic colitis usually gets better on its own within 2. Ischemic Colitis Fatal.
From www.cureus.com
The Colonic Single Stripe Sign A Case of Ischemic Colitis Cureus Ischemic Colitis Fatal Less commonly, it can be a more serious problem. Fortunately, with proper medical care, most people diagnosed with ischemic colitis typically recover in a day or two, and never have another episode. The prognosis of patients with nomi or ischemic colitis depends on the etiology, severity, and distribution of the disease. If you have ischemic colitis along with pain on. Ischemic Colitis Fatal.
From www.studypool.com
SOLUTION Ischaemic colitis ischaemic colitis causes and clinical features ischaemic diagnosis Ischemic Colitis Fatal Ischemic colitis usually gets better on its own within 2 to 3 days. Diagnosis is by ct or colonoscopy. The colon receives less blood flow than any other portion of the. Inflammation causes temporary discomfort, but it clears up on its own when the cause of the ischemia resolves. If you have ischemic colitis along with pain on your right. Ischemic Colitis Fatal.
From www.epainassist.com
What Causes Ischemic Colitis Know its Symptoms, Pathophysiology, Etiology Ischemic Colitis Fatal Diagnosis is by ct or colonoscopy. If you have ischemic colitis along with pain on your right side, or sudden belly pain that’s so severe you can’t find a comfortable position, head to. The prognosis of patients with nomi or ischemic colitis depends on the etiology, severity, and distribution of the disease. Some people have repeat or chronic episodes of. Ischemic Colitis Fatal.
From www.cureus.com
Cureus Ischemic Colitis Secondary to Olanzapine and Clonidine Use in a Patient With a History Ischemic Colitis Fatal The prognosis of patients with nomi or ischemic colitis depends on the etiology, severity, and distribution of the disease. Less commonly, it can be a more serious problem. Ischemic colitis usually gets better on its own within 2 to 3 days. Ischemic colitis is the most common form of intestinal ischemia. If you have ischemic colitis along with pain on. Ischemic Colitis Fatal.
From www.wikidoc.org
Ischemic colitis CT wikidoc Ischemic Colitis Fatal Some people have repeat or chronic episodes of ischemic colitis in one. Ischemic colitis is the most common form of intestinal ischemia. If you have ischemic colitis along with pain on your right side, or sudden belly pain that’s so severe you can’t find a comfortable position, head to. Symptoms are left lower quadrant pain and rectal bleeding. Tissue death,. Ischemic Colitis Fatal.
From www.cureus.com
Cureus Fulminant Ischemic Pancolitis A Severe Variant of Ischemic Colitis Ischemic Colitis Fatal If you have ischemic colitis along with pain on your right side, or sudden belly pain that’s so severe you can’t find a comfortable position, head to. The colon receives less blood flow than any other portion of the. Ischemic colitis is a transient reduction in blood flow to the colon. Less commonly, it can be a more serious problem.. Ischemic Colitis Fatal.
From www.slideserve.com
PPT Gastrointestinal Bleeding PowerPoint Presentation ID547157 Ischemic Colitis Fatal The colon receives less blood flow than any other portion of the. The prognosis of patients with nomi or ischemic colitis depends on the etiology, severity, and distribution of the disease. Less commonly, it can be a more serious problem. Diagnosis is by ct or colonoscopy. Some people have repeat or chronic episodes of ischemic colitis in one. Tissue death,. Ischemic Colitis Fatal.
From www.pinkybone.com
Colite ischémique PinkyBone Ischemic Colitis Fatal Ischemic colitis is a transient reduction in blood flow to the colon. Symptoms are left lower quadrant pain and rectal bleeding. Tissue death, also called gangrene, resulting. Fortunately, with proper medical care, most people diagnosed with ischemic colitis typically recover in a day or two, and never have another episode. Some people have repeat or chronic episodes of ischemic colitis. Ischemic Colitis Fatal.
From www.bmj.com
Ischaemic colitis The BMJ Ischemic Colitis Fatal If you have ischemic colitis along with pain on your right side, or sudden belly pain that’s so severe you can’t find a comfortable position, head to. Less commonly, it can be a more serious problem. Ischemic colitis is a transient reduction in blood flow to the colon. The prognosis of patients with nomi or ischemic colitis depends on the. Ischemic Colitis Fatal.
From www.researchgate.net
(PDF) Fulminant ischemic colitis with a fatal after cocaine snorting Case report and Ischemic Colitis Fatal Ischemic colitis is a transient reduction in blood flow to the colon. Fortunately, with proper medical care, most people diagnosed with ischemic colitis typically recover in a day or two, and never have another episode. Ischemic colitis is the most common form of intestinal ischemia. If you have ischemic colitis along with pain on your right side, or sudden belly. Ischemic Colitis Fatal.
From www.semanticscholar.org
Figure 1 from A Case of Fatal Intestinal Infarct Preceded by Recurrent Ischaemic Colitis due to Ischemic Colitis Fatal If you have ischemic colitis along with pain on your right side, or sudden belly pain that’s so severe you can’t find a comfortable position, head to. Ischemic colitis is the most common form of intestinal ischemia. Inflammation causes temporary discomfort, but it clears up on its own when the cause of the ischemia resolves. Ischemic colitis usually gets better. Ischemic Colitis Fatal.
From radiologykey.com
Ischemic Colitis Radiology Key Ischemic Colitis Fatal The prognosis of patients with nomi or ischemic colitis depends on the etiology, severity, and distribution of the disease. Ischemic colitis is a transient reduction in blood flow to the colon. Ischemic colitis usually gets better on its own within 2 to 3 days. If you have ischemic colitis along with pain on your right side, or sudden belly pain. Ischemic Colitis Fatal.
From www.msdmanuals.com
Image Ischemic Colitis on CT MSD Manual Professional Edition Ischemic Colitis Fatal Ischemic colitis is a transient reduction in blood flow to the colon. Fortunately, with proper medical care, most people diagnosed with ischemic colitis typically recover in a day or two, and never have another episode. Ischemic colitis usually gets better on its own within 2 to 3 days. Tissue death, also called gangrene, resulting. Less commonly, it can be a. Ischemic Colitis Fatal.
From www.cureus.com
Cureus A Case of Stercoral Colitis Complicated by Ischemic Colitis in a Young Patient Ischemic Colitis Fatal If you have ischemic colitis along with pain on your right side, or sudden belly pain that’s so severe you can’t find a comfortable position, head to. Some people have repeat or chronic episodes of ischemic colitis in one. Less commonly, it can be a more serious problem. The colon receives less blood flow than any other portion of the.. Ischemic Colitis Fatal.
From www.mayoclinic.org
Ischemic colitis Symptoms and causes Mayo Clinic Ischemic Colitis Fatal Ischemic colitis usually gets better on its own within 2 to 3 days. Diagnosis is by ct or colonoscopy. Ischemic colitis is the most common form of intestinal ischemia. The colon receives less blood flow than any other portion of the. Some people have repeat or chronic episodes of ischemic colitis in one. Inflammation causes temporary discomfort, but it clears. Ischemic Colitis Fatal.
From radiopaedia.org
Ischemic colitis Image Ischemic Colitis Fatal Symptoms are left lower quadrant pain and rectal bleeding. Tissue death, also called gangrene, resulting. The prognosis of patients with nomi or ischemic colitis depends on the etiology, severity, and distribution of the disease. If you have ischemic colitis along with pain on your right side, or sudden belly pain that’s so severe you can’t find a comfortable position, head. Ischemic Colitis Fatal.
From www.researchgate.net
(PDF) A fatal case of ischemic colitis during clozapine administration Ischemic Colitis Fatal Ischemic colitis is the most common form of intestinal ischemia. The prognosis of patients with nomi or ischemic colitis depends on the etiology, severity, and distribution of the disease. Tissue death, also called gangrene, resulting. Diagnosis is by ct or colonoscopy. The colon receives less blood flow than any other portion of the. Less commonly, it can be a more. Ischemic Colitis Fatal.
From www.slideshare.net
Ischemic Colitis Ischemic Colitis Fatal If you have ischemic colitis along with pain on your right side, or sudden belly pain that’s so severe you can’t find a comfortable position, head to. The colon receives less blood flow than any other portion of the. Diagnosis is by ct or colonoscopy. Tissue death, also called gangrene, resulting. Fortunately, with proper medical care, most people diagnosed with. Ischemic Colitis Fatal.
From clinicalgate.com
Ischemic Colitis Clinical Gate Ischemic Colitis Fatal Ischemic colitis is a transient reduction in blood flow to the colon. The prognosis of patients with nomi or ischemic colitis depends on the etiology, severity, and distribution of the disease. Tissue death, also called gangrene, resulting. Diagnosis is by ct or colonoscopy. Fortunately, with proper medical care, most people diagnosed with ischemic colitis typically recover in a day or. Ischemic Colitis Fatal.
From www.scribd.com
Ischemic Colitis Ischemia Anatomy Ischemic Colitis Fatal The colon receives less blood flow than any other portion of the. If you have ischemic colitis along with pain on your right side, or sudden belly pain that’s so severe you can’t find a comfortable position, head to. Tissue death, also called gangrene, resulting. Ischemic colitis is a transient reduction in blood flow to the colon. Symptoms are left. Ischemic Colitis Fatal.
From www.researchgate.net
Colonoscopy revealing ischemic colitis (severe inflammation, edema,... Download Scientific Diagram Ischemic Colitis Fatal Fortunately, with proper medical care, most people diagnosed with ischemic colitis typically recover in a day or two, and never have another episode. Ischemic colitis is the most common form of intestinal ischemia. Some people have repeat or chronic episodes of ischemic colitis in one. The colon receives less blood flow than any other portion of the. Ischemic colitis usually. Ischemic Colitis Fatal.