Is Zirconia Metal Free . Metal things in your mouth all have an electronic. Metal free zirconia implants pose many advantages over titanium. For people who are allergic to metal, zirconia offers a safe alternative. Many patients are concerned about metal. Since zirconia does not conduct electricity or react electronically, it will never react with other metals in your mouth. However, this zirconium undergoes an oxidization process that causes a chemical reaction, creating zirconium dioxide, or zirconia. Zirconia dental implants are also associated with fewer infections. Most dental implants are made of a titanium alloy.
from newwestlab.com
Many patients are concerned about metal. However, this zirconium undergoes an oxidization process that causes a chemical reaction, creating zirconium dioxide, or zirconia. Since zirconia does not conduct electricity or react electronically, it will never react with other metals in your mouth. Zirconia dental implants are also associated with fewer infections. For people who are allergic to metal, zirconia offers a safe alternative. Metal things in your mouth all have an electronic. Metal free zirconia implants pose many advantages over titanium. Most dental implants are made of a titanium alloy.
Zirconia Versus PFMs Which Should You Crown the Winner?
Is Zirconia Metal Free Many patients are concerned about metal. Zirconia dental implants are also associated with fewer infections. Metal free zirconia implants pose many advantages over titanium. However, this zirconium undergoes an oxidization process that causes a chemical reaction, creating zirconium dioxide, or zirconia. Most dental implants are made of a titanium alloy. Since zirconia does not conduct electricity or react electronically, it will never react with other metals in your mouth. Metal things in your mouth all have an electronic. For people who are allergic to metal, zirconia offers a safe alternative. Many patients are concerned about metal.
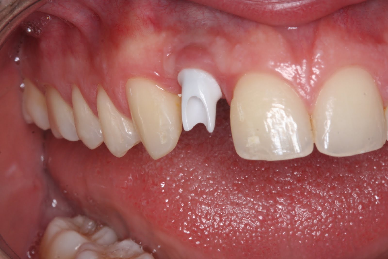
From marylandholisticdentist.com
Zirconia Implants Metal Free Ceramic Teeth Replacement Is Zirconia Metal Free Since zirconia does not conduct electricity or react electronically, it will never react with other metals in your mouth. Many patients are concerned about metal. Metal free zirconia implants pose many advantages over titanium. However, this zirconium undergoes an oxidization process that causes a chemical reaction, creating zirconium dioxide, or zirconia. For people who are allergic to metal, zirconia offers. Is Zirconia Metal Free.
From www.casavir.com
Hammered Black Zirconium Ring Casavir Jewelry Is Zirconia Metal Free Metal free zirconia implants pose many advantages over titanium. Many patients are concerned about metal. Metal things in your mouth all have an electronic. For people who are allergic to metal, zirconia offers a safe alternative. Zirconia dental implants are also associated with fewer infections. Most dental implants are made of a titanium alloy. Since zirconia does not conduct electricity. Is Zirconia Metal Free.
From marylandholisticdentist.com
Zirconia Implants Replacing Teeth With Fully Metal Free Options Is Zirconia Metal Free For people who are allergic to metal, zirconia offers a safe alternative. Metal things in your mouth all have an electronic. However, this zirconium undergoes an oxidization process that causes a chemical reaction, creating zirconium dioxide, or zirconia. Metal free zirconia implants pose many advantages over titanium. Many patients are concerned about metal. Zirconia dental implants are also associated with. Is Zirconia Metal Free.
From brooklyndentalimplantcenter.com
Zirconia MetalFree Dental Implants Broklyn Dental Implant Center Is Zirconia Metal Free Many patients are concerned about metal. For people who are allergic to metal, zirconia offers a safe alternative. Metal things in your mouth all have an electronic. Metal free zirconia implants pose many advantages over titanium. Since zirconia does not conduct electricity or react electronically, it will never react with other metals in your mouth. Most dental implants are made. Is Zirconia Metal Free.
From dream-inuyasha.blogspot.com
Pfm Crowns Vs Zirconia dreaminuyasha Is Zirconia Metal Free Metal things in your mouth all have an electronic. However, this zirconium undergoes an oxidization process that causes a chemical reaction, creating zirconium dioxide, or zirconia. Many patients are concerned about metal. Most dental implants are made of a titanium alloy. For people who are allergic to metal, zirconia offers a safe alternative. Zirconia dental implants are also associated with. Is Zirconia Metal Free.
From zeramexusa.com
Zirconia vs Titanium Implants The Differences Zeramex USA Is Zirconia Metal Free For people who are allergic to metal, zirconia offers a safe alternative. However, this zirconium undergoes an oxidization process that causes a chemical reaction, creating zirconium dioxide, or zirconia. Since zirconia does not conduct electricity or react electronically, it will never react with other metals in your mouth. Zirconia dental implants are also associated with fewer infections. Metal things in. Is Zirconia Metal Free.
From newwestlab.com
Zirconia Versus PFMs Which Should You Crown the Winner? Is Zirconia Metal Free Many patients are concerned about metal. However, this zirconium undergoes an oxidization process that causes a chemical reaction, creating zirconium dioxide, or zirconia. For people who are allergic to metal, zirconia offers a safe alternative. Zirconia dental implants are also associated with fewer infections. Most dental implants are made of a titanium alloy. Since zirconia does not conduct electricity or. Is Zirconia Metal Free.
From www.indiamart.com
Dental Zirconia Crown at Rs 3000/unit ज़िरकोनिया क्राउन किट in Mumbai Is Zirconia Metal Free For people who are allergic to metal, zirconia offers a safe alternative. Most dental implants are made of a titanium alloy. Many patients are concerned about metal. Metal things in your mouth all have an electronic. Zirconia dental implants are also associated with fewer infections. However, this zirconium undergoes an oxidization process that causes a chemical reaction, creating zirconium dioxide,. Is Zirconia Metal Free.
From protesedentariajw.blogspot.com
Protético Dentario PRÓTESE SOBRE IMPLANTE METAL FREE ZIRCÓNIA Is Zirconia Metal Free Most dental implants are made of a titanium alloy. Many patients are concerned about metal. Zirconia dental implants are also associated with fewer infections. Metal things in your mouth all have an electronic. For people who are allergic to metal, zirconia offers a safe alternative. However, this zirconium undergoes an oxidization process that causes a chemical reaction, creating zirconium dioxide,. Is Zirconia Metal Free.
From dentatur.com
Zirconia Dental Implant Aesthetic Dentistry in Turkey Is Zirconia Metal Free Since zirconia does not conduct electricity or react electronically, it will never react with other metals in your mouth. Most dental implants are made of a titanium alloy. Metal things in your mouth all have an electronic. However, this zirconium undergoes an oxidization process that causes a chemical reaction, creating zirconium dioxide, or zirconia. For people who are allergic to. Is Zirconia Metal Free.
From www.dentalproductshopper.com
Prettau Zirconia Implant Bridge Teeth Tomorrow Dental Lab Is Zirconia Metal Free Metal free zirconia implants pose many advantages over titanium. Metal things in your mouth all have an electronic. Many patients are concerned about metal. However, this zirconium undergoes an oxidization process that causes a chemical reaction, creating zirconium dioxide, or zirconia. For people who are allergic to metal, zirconia offers a safe alternative. Most dental implants are made of a. Is Zirconia Metal Free.
From www.cha2875.com
LAVA ZIRCONIA METAL FREE CROWN*금속 없는 보철* 차호성치과 _ Andrew Cha Dentistry Is Zirconia Metal Free Since zirconia does not conduct electricity or react electronically, it will never react with other metals in your mouth. Most dental implants are made of a titanium alloy. Many patients are concerned about metal. Metal things in your mouth all have an electronic. Zirconia dental implants are also associated with fewer infections. Metal free zirconia implants pose many advantages over. Is Zirconia Metal Free.
From www.prachipatilspdc.com
Zirconia Metalfree crowns for better aesthetics at NIBM road by Dr Is Zirconia Metal Free Metal free zirconia implants pose many advantages over titanium. Many patients are concerned about metal. Most dental implants are made of a titanium alloy. For people who are allergic to metal, zirconia offers a safe alternative. Zirconia dental implants are also associated with fewer infections. Metal things in your mouth all have an electronic. However, this zirconium undergoes an oxidization. Is Zirconia Metal Free.
From stomadentlab.com
Zirconia Crowns What Are The Options? STOMADENT Is Zirconia Metal Free However, this zirconium undergoes an oxidization process that causes a chemical reaction, creating zirconium dioxide, or zirconia. Since zirconia does not conduct electricity or react electronically, it will never react with other metals in your mouth. Zirconia dental implants are also associated with fewer infections. Metal things in your mouth all have an electronic. Metal free zirconia implants pose many. Is Zirconia Metal Free.
From www.studiodentisticosenatore.it
Impianti in zirconia metal free Nocera (Salerno) Studio Dentistico Is Zirconia Metal Free Zirconia dental implants are also associated with fewer infections. Since zirconia does not conduct electricity or react electronically, it will never react with other metals in your mouth. For people who are allergic to metal, zirconia offers a safe alternative. Many patients are concerned about metal. Metal free zirconia implants pose many advantages over titanium. Most dental implants are made. Is Zirconia Metal Free.
From www.novaelements.com
Buy Zirconium metal NovaElements Is Zirconia Metal Free Zirconia dental implants are also associated with fewer infections. Since zirconia does not conduct electricity or react electronically, it will never react with other metals in your mouth. Metal free zirconia implants pose many advantages over titanium. Most dental implants are made of a titanium alloy. However, this zirconium undergoes an oxidization process that causes a chemical reaction, creating zirconium. Is Zirconia Metal Free.
From www.sdai.com.au
Metalfree Dental Implants Ceramic and Zirconia Sydney Dental Is Zirconia Metal Free For people who are allergic to metal, zirconia offers a safe alternative. However, this zirconium undergoes an oxidization process that causes a chemical reaction, creating zirconium dioxide, or zirconia. Metal free zirconia implants pose many advantages over titanium. Metal things in your mouth all have an electronic. Most dental implants are made of a titanium alloy. Zirconia dental implants are. Is Zirconia Metal Free.
From www.thefunkidsdentist.com
Zirconia Crowns The Fun Kid’s Dentist Brookfield WI Is Zirconia Metal Free However, this zirconium undergoes an oxidization process that causes a chemical reaction, creating zirconium dioxide, or zirconia. Metal free zirconia implants pose many advantages over titanium. Many patients are concerned about metal. Metal things in your mouth all have an electronic. Most dental implants are made of a titanium alloy. For people who are allergic to metal, zirconia offers a. Is Zirconia Metal Free.
From stomadentlab.com
Zirconia Crowns The Facts that You Need to Know STOMADENT Is Zirconia Metal Free Many patients are concerned about metal. For people who are allergic to metal, zirconia offers a safe alternative. However, this zirconium undergoes an oxidization process that causes a chemical reaction, creating zirconium dioxide, or zirconia. Most dental implants are made of a titanium alloy. Metal free zirconia implants pose many advantages over titanium. Zirconia dental implants are also associated with. Is Zirconia Metal Free.
From velezylozano.com
¿Coronas de zirconio o de metalcerámica? ¿Cuándo debemos renovarlas Is Zirconia Metal Free Metal free zirconia implants pose many advantages over titanium. Many patients are concerned about metal. For people who are allergic to metal, zirconia offers a safe alternative. Since zirconia does not conduct electricity or react electronically, it will never react with other metals in your mouth. Most dental implants are made of a titanium alloy. Zirconia dental implants are also. Is Zirconia Metal Free.
From www.indiamart.com
Zirconia Full Ceramic at Rs 6000/unit Zirconia Ceramics in Kolkata Is Zirconia Metal Free Metal free zirconia implants pose many advantages over titanium. Metal things in your mouth all have an electronic. Many patients are concerned about metal. For people who are allergic to metal, zirconia offers a safe alternative. Since zirconia does not conduct electricity or react electronically, it will never react with other metals in your mouth. Most dental implants are made. Is Zirconia Metal Free.
From newwestlab.com
Zirconia Versus PFMs Which Should You Crown the Winner? Is Zirconia Metal Free Zirconia dental implants are also associated with fewer infections. Metal free zirconia implants pose many advantages over titanium. However, this zirconium undergoes an oxidization process that causes a chemical reaction, creating zirconium dioxide, or zirconia. Since zirconia does not conduct electricity or react electronically, it will never react with other metals in your mouth. For people who are allergic to. Is Zirconia Metal Free.
From www.zirconiumworld.com
3 Methods to Separate Zirconium & Hafnium Zirconium Metal Is Zirconia Metal Free Since zirconia does not conduct electricity or react electronically, it will never react with other metals in your mouth. However, this zirconium undergoes an oxidization process that causes a chemical reaction, creating zirconium dioxide, or zirconia. Metal free zirconia implants pose many advantages over titanium. Many patients are concerned about metal. Most dental implants are made of a titanium alloy.. Is Zirconia Metal Free.
From emeralddental.in
ZIRCONIA DENTAL CROWNS EMERALD DENTAL Is Zirconia Metal Free Metal things in your mouth all have an electronic. Zirconia dental implants are also associated with fewer infections. Most dental implants are made of a titanium alloy. However, this zirconium undergoes an oxidization process that causes a chemical reaction, creating zirconium dioxide, or zirconia. Many patients are concerned about metal. For people who are allergic to metal, zirconia offers a. Is Zirconia Metal Free.
From www.drbhutanidentalclinic.com
Metal Free All Ceramic Zirconia Crowns Dr Bhutani Dental Clinic In Is Zirconia Metal Free Most dental implants are made of a titanium alloy. Metal free zirconia implants pose many advantages over titanium. Many patients are concerned about metal. However, this zirconium undergoes an oxidization process that causes a chemical reaction, creating zirconium dioxide, or zirconia. For people who are allergic to metal, zirconia offers a safe alternative. Zirconia dental implants are also associated with. Is Zirconia Metal Free.
From www.youtube.com
METALFREE ZIRCONIA IMPLANTS AND COMPUTERGUIDED ZIRCONIA IMPLANT Is Zirconia Metal Free Most dental implants are made of a titanium alloy. Since zirconia does not conduct electricity or react electronically, it will never react with other metals in your mouth. Metal free zirconia implants pose many advantages over titanium. However, this zirconium undergoes an oxidization process that causes a chemical reaction, creating zirconium dioxide, or zirconia. Zirconia dental implants are also associated. Is Zirconia Metal Free.
From www.theodoregray.com
Facts, pictures, stories about the element Zirconium in the Periodic Table Is Zirconia Metal Free Most dental implants are made of a titanium alloy. Many patients are concerned about metal. However, this zirconium undergoes an oxidization process that causes a chemical reaction, creating zirconium dioxide, or zirconia. For people who are allergic to metal, zirconia offers a safe alternative. Zirconia dental implants are also associated with fewer infections. Metal things in your mouth all have. Is Zirconia Metal Free.
From zirconiadentalcrowndelhiindia.blogspot.com
Zirconia Dental Crowns Cost In India Prices from 150 to 277 Is Zirconia Metal Free Since zirconia does not conduct electricity or react electronically, it will never react with other metals in your mouth. Metal things in your mouth all have an electronic. Many patients are concerned about metal. Metal free zirconia implants pose many advantages over titanium. However, this zirconium undergoes an oxidization process that causes a chemical reaction, creating zirconium dioxide, or zirconia.. Is Zirconia Metal Free.
From www.infodentis.com
Are zirconia crowns the right choice? Is Zirconia Metal Free Metal free zirconia implants pose many advantages over titanium. Zirconia dental implants are also associated with fewer infections. For people who are allergic to metal, zirconia offers a safe alternative. Metal things in your mouth all have an electronic. However, this zirconium undergoes an oxidization process that causes a chemical reaction, creating zirconium dioxide, or zirconia. Most dental implants are. Is Zirconia Metal Free.
From drnazeerdentalclinic.com
Zirconia Crown in Dubai Dental Crown Cost Orthodontix Dental Clinic Is Zirconia Metal Free Most dental implants are made of a titanium alloy. However, this zirconium undergoes an oxidization process that causes a chemical reaction, creating zirconium dioxide, or zirconia. Metal things in your mouth all have an electronic. Zirconia dental implants are also associated with fewer infections. Many patients are concerned about metal. Since zirconia does not conduct electricity or react electronically, it. Is Zirconia Metal Free.
From www.novaelements.com
Buy Zirconium metal NovaElements Is Zirconia Metal Free Since zirconia does not conduct electricity or react electronically, it will never react with other metals in your mouth. Zirconia dental implants are also associated with fewer infections. For people who are allergic to metal, zirconia offers a safe alternative. Many patients are concerned about metal. Metal free zirconia implants pose many advantages over titanium. Metal things in your mouth. Is Zirconia Metal Free.
From www.benco.com
Dental Crowns What You Need to Know About Zirconia Benco Dental Is Zirconia Metal Free Since zirconia does not conduct electricity or react electronically, it will never react with other metals in your mouth. Zirconia dental implants are also associated with fewer infections. Metal free zirconia implants pose many advantages over titanium. However, this zirconium undergoes an oxidization process that causes a chemical reaction, creating zirconium dioxide, or zirconia. Metal things in your mouth all. Is Zirconia Metal Free.
From estudidentalbarcelona.com
¿Zirconio o metal en coronas sobre implantes? Estudi Dental Barcelona Is Zirconia Metal Free However, this zirconium undergoes an oxidization process that causes a chemical reaction, creating zirconium dioxide, or zirconia. Metal free zirconia implants pose many advantages over titanium. Zirconia dental implants are also associated with fewer infections. Metal things in your mouth all have an electronic. Many patients are concerned about metal. For people who are allergic to metal, zirconia offers a. Is Zirconia Metal Free.
From www.dentistaimplantologiaprezzi.it
Corona in zirconio ceramica Dentista Implantologia Prezzi Is Zirconia Metal Free Metal things in your mouth all have an electronic. Most dental implants are made of a titanium alloy. Metal free zirconia implants pose many advantages over titanium. Since zirconia does not conduct electricity or react electronically, it will never react with other metals in your mouth. However, this zirconium undergoes an oxidization process that causes a chemical reaction, creating zirconium. Is Zirconia Metal Free.
From naturaldentistrycenter.com
Zirconia Dental Implants Ceramic Implants MetalFree Dental Implants Is Zirconia Metal Free For people who are allergic to metal, zirconia offers a safe alternative. Many patients are concerned about metal. Metal things in your mouth all have an electronic. Most dental implants are made of a titanium alloy. Since zirconia does not conduct electricity or react electronically, it will never react with other metals in your mouth. Metal free zirconia implants pose. Is Zirconia Metal Free.