Does Reverse Pull Headgear Work . How do you put headgear on? A facemask (reverse pull head gear) is an orthopedic orthodontic appliance used to help correct an under (class iii malocclusions) when the lower jaw is biting over the. Fixes an underbite by pulling the upper jaw forward. “it is fitted by the orthodontist so the patient can insert it into small attachments on the molars. “a reverse pull headgear can be used early in a growing patient to correct an underbite, depending on the severity of the jaw discrepancy,” says rudman. Anchors on the forehead and chin in order to move the upper jaw forward and correct an underbite. It uses elastics connected to your braces to gently pull your upper jaw. It includes a vertical frame that goes in front of your child’s face that’s held in place by a.
from www.orthoclever.com
“a reverse pull headgear can be used early in a growing patient to correct an underbite, depending on the severity of the jaw discrepancy,” says rudman. “it is fitted by the orthodontist so the patient can insert it into small attachments on the molars. A facemask (reverse pull head gear) is an orthopedic orthodontic appliance used to help correct an under (class iii malocclusions) when the lower jaw is biting over the. It uses elastics connected to your braces to gently pull your upper jaw. It includes a vertical frame that goes in front of your child’s face that’s held in place by a. Anchors on the forehead and chin in order to move the upper jaw forward and correct an underbite. How do you put headgear on? Fixes an underbite by pulling the upper jaw forward.
Reverse Pull Headgear. Blue. 1 Unit FaceMask Orthoclever
Does Reverse Pull Headgear Work “a reverse pull headgear can be used early in a growing patient to correct an underbite, depending on the severity of the jaw discrepancy,” says rudman. A facemask (reverse pull head gear) is an orthopedic orthodontic appliance used to help correct an under (class iii malocclusions) when the lower jaw is biting over the. “a reverse pull headgear can be used early in a growing patient to correct an underbite, depending on the severity of the jaw discrepancy,” says rudman. “it is fitted by the orthodontist so the patient can insert it into small attachments on the molars. It includes a vertical frame that goes in front of your child’s face that’s held in place by a. How do you put headgear on? It uses elastics connected to your braces to gently pull your upper jaw. Fixes an underbite by pulling the upper jaw forward. Anchors on the forehead and chin in order to move the upper jaw forward and correct an underbite.
From www.ebay.com
1PC DENTAL ADJUSTABLE ORTHODONTIC FACE REVERSE PULL HEADGEAR / FACIAL MASCARA eBay Does Reverse Pull Headgear Work It includes a vertical frame that goes in front of your child’s face that’s held in place by a. “it is fitted by the orthodontist so the patient can insert it into small attachments on the molars. It uses elastics connected to your braces to gently pull your upper jaw. “a reverse pull headgear can be used early in a. Does Reverse Pull Headgear Work.
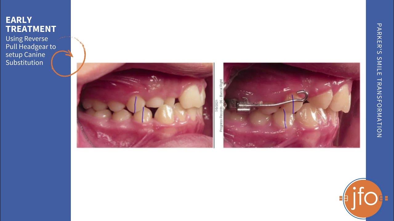
From www.youtube.com
Early Treatment with Reverse Pull Headgear and Canine Substitution Joosse Family Orthodontics Does Reverse Pull Headgear Work “it is fitted by the orthodontist so the patient can insert it into small attachments on the molars. How do you put headgear on? “a reverse pull headgear can be used early in a growing patient to correct an underbite, depending on the severity of the jaw discrepancy,” says rudman. A facemask (reverse pull head gear) is an orthopedic orthodontic. Does Reverse Pull Headgear Work.
From www.slideshare.net
Class III Malocclusion Dr. Nabil AlZubair Does Reverse Pull Headgear Work “a reverse pull headgear can be used early in a growing patient to correct an underbite, depending on the severity of the jaw discrepancy,” says rudman. “it is fitted by the orthodontist so the patient can insert it into small attachments on the molars. Anchors on the forehead and chin in order to move the upper jaw forward and correct. Does Reverse Pull Headgear Work.
From www.ebay.com
Dental Orthodontic Protraction Facial Mask Reverse Pull Headgear eBay Does Reverse Pull Headgear Work Anchors on the forehead and chin in order to move the upper jaw forward and correct an underbite. “a reverse pull headgear can be used early in a growing patient to correct an underbite, depending on the severity of the jaw discrepancy,” says rudman. How do you put headgear on? It includes a vertical frame that goes in front of. Does Reverse Pull Headgear Work.
From www.researchgate.net
7 Reverse pull face mask Download Scientific Diagram Does Reverse Pull Headgear Work Anchors on the forehead and chin in order to move the upper jaw forward and correct an underbite. It includes a vertical frame that goes in front of your child’s face that’s held in place by a. A facemask (reverse pull head gear) is an orthopedic orthodontic appliance used to help correct an under (class iii malocclusions) when the lower. Does Reverse Pull Headgear Work.
From www.ebay.com
Dental Orthodontic Headgear Adjustable Stainless Steel ReversePull Headgear eBay Does Reverse Pull Headgear Work How do you put headgear on? It uses elastics connected to your braces to gently pull your upper jaw. Fixes an underbite by pulling the upper jaw forward. “a reverse pull headgear can be used early in a growing patient to correct an underbite, depending on the severity of the jaw discrepancy,” says rudman. “it is fitted by the orthodontist. Does Reverse Pull Headgear Work.
From www.indiamart.com
Steel and plastic Extraoral Appliances Reverse Pull Headgear Kit with 100 Elastics, Packaging Does Reverse Pull Headgear Work It includes a vertical frame that goes in front of your child’s face that’s held in place by a. A facemask (reverse pull head gear) is an orthopedic orthodontic appliance used to help correct an under (class iii malocclusions) when the lower jaw is biting over the. “a reverse pull headgear can be used early in a growing patient to. Does Reverse Pull Headgear Work.
From burkeredfordorthodontists.com
Reverse Pull Headgear Orthodontist for an Underbite Does Reverse Pull Headgear Work “it is fitted by the orthodontist so the patient can insert it into small attachments on the molars. A facemask (reverse pull head gear) is an orthopedic orthodontic appliance used to help correct an under (class iii malocclusions) when the lower jaw is biting over the. Anchors on the forehead and chin in order to move the upper jaw forward. Does Reverse Pull Headgear Work.
From www.denshinedental.com
Dental Orthodontic Instrument Adjustable ReversePull Headgear Denshine Does Reverse Pull Headgear Work A facemask (reverse pull head gear) is an orthopedic orthodontic appliance used to help correct an under (class iii malocclusions) when the lower jaw is biting over the. It includes a vertical frame that goes in front of your child’s face that’s held in place by a. It uses elastics connected to your braces to gently pull your upper jaw.. Does Reverse Pull Headgear Work.
From pentaorthodontics.com
Reverse Pull Headgear Kit Pentaorthodontics Does Reverse Pull Headgear Work A facemask (reverse pull head gear) is an orthopedic orthodontic appliance used to help correct an under (class iii malocclusions) when the lower jaw is biting over the. Anchors on the forehead and chin in order to move the upper jaw forward and correct an underbite. How do you put headgear on? Fixes an underbite by pulling the upper jaw. Does Reverse Pull Headgear Work.
From www.terranaorthodontics.com
Reverse Pull Headgear Terrana Orthodontics Does Reverse Pull Headgear Work How do you put headgear on? Fixes an underbite by pulling the upper jaw forward. “it is fitted by the orthodontist so the patient can insert it into small attachments on the molars. Anchors on the forehead and chin in order to move the upper jaw forward and correct an underbite. “a reverse pull headgear can be used early in. Does Reverse Pull Headgear Work.
From hxexqllgv.blob.core.windows.net
Reverse Pull Headgear Instructions at Irma Holbrook blog Does Reverse Pull Headgear Work It includes a vertical frame that goes in front of your child’s face that’s held in place by a. How do you put headgear on? “it is fitted by the orthodontist so the patient can insert it into small attachments on the molars. Fixes an underbite by pulling the upper jaw forward. A facemask (reverse pull head gear) is an. Does Reverse Pull Headgear Work.
From www.youtube.com
Reverse Pull Headgear YouTube Does Reverse Pull Headgear Work It includes a vertical frame that goes in front of your child’s face that’s held in place by a. “a reverse pull headgear can be used early in a growing patient to correct an underbite, depending on the severity of the jaw discrepancy,” says rudman. A facemask (reverse pull head gear) is an orthopedic orthodontic appliance used to help correct. Does Reverse Pull Headgear Work.
From www.dental68.com
Dental Orthodontic adjustable ReversePull Headgear Does Reverse Pull Headgear Work It uses elastics connected to your braces to gently pull your upper jaw. “it is fitted by the orthodontist so the patient can insert it into small attachments on the molars. Anchors on the forehead and chin in order to move the upper jaw forward and correct an underbite. A facemask (reverse pull head gear) is an orthopedic orthodontic appliance. Does Reverse Pull Headgear Work.
From apospublications.com
Management of skeletal Class III malocclusion with reverse pull headgear in a growing individual Does Reverse Pull Headgear Work It uses elastics connected to your braces to gently pull your upper jaw. It includes a vertical frame that goes in front of your child’s face that’s held in place by a. “a reverse pull headgear can be used early in a growing patient to correct an underbite, depending on the severity of the jaw discrepancy,” says rudman. “it is. Does Reverse Pull Headgear Work.
From www.indiamart.com
Steel and plastic Extraoral Appliances Reverse Pull Headgear Kit with 100 Elastics, Packaging Does Reverse Pull Headgear Work “it is fitted by the orthodontist so the patient can insert it into small attachments on the molars. “a reverse pull headgear can be used early in a growing patient to correct an underbite, depending on the severity of the jaw discrepancy,” says rudman. A facemask (reverse pull head gear) is an orthopedic orthodontic appliance used to help correct an. Does Reverse Pull Headgear Work.
From www.ebay.co.uk
Dental Orthodontic Adjustable Forward ReversePull Facemask Universal Headgear eBay Does Reverse Pull Headgear Work How do you put headgear on? “it is fitted by the orthodontist so the patient can insert it into small attachments on the molars. It uses elastics connected to your braces to gently pull your upper jaw. It includes a vertical frame that goes in front of your child’s face that’s held in place by a. “a reverse pull headgear. Does Reverse Pull Headgear Work.
From www.skydentalsupply.com
Reverse Pull Facemask Does Reverse Pull Headgear Work “a reverse pull headgear can be used early in a growing patient to correct an underbite, depending on the severity of the jaw discrepancy,” says rudman. “it is fitted by the orthodontist so the patient can insert it into small attachments on the molars. Fixes an underbite by pulling the upper jaw forward. How do you put headgear on? It. Does Reverse Pull Headgear Work.
From www.yapdental.com
Orthodontic Treatment Yap & Associates Dental Surgery, Kuala Lumpur, Malaysia Part 2 Does Reverse Pull Headgear Work Fixes an underbite by pulling the upper jaw forward. How do you put headgear on? A facemask (reverse pull head gear) is an orthopedic orthodontic appliance used to help correct an under (class iii malocclusions) when the lower jaw is biting over the. “a reverse pull headgear can be used early in a growing patient to correct an underbite, depending. Does Reverse Pull Headgear Work.
From www.orthoclever.com
Reverse Pull Headgear. Blue. 1 Unit FaceMask Orthoclever Does Reverse Pull Headgear Work It includes a vertical frame that goes in front of your child’s face that’s held in place by a. A facemask (reverse pull head gear) is an orthopedic orthodontic appliance used to help correct an under (class iii malocclusions) when the lower jaw is biting over the. Fixes an underbite by pulling the upper jaw forward. “it is fitted by. Does Reverse Pull Headgear Work.
From www.dental68.com
Dental Dental Orthodontic Facemask Multi Adjustable Facial Mask Reverse Pull Headgear 2 Poles Does Reverse Pull Headgear Work Anchors on the forehead and chin in order to move the upper jaw forward and correct an underbite. A facemask (reverse pull head gear) is an orthopedic orthodontic appliance used to help correct an under (class iii malocclusions) when the lower jaw is biting over the. Fixes an underbite by pulling the upper jaw forward. “it is fitted by the. Does Reverse Pull Headgear Work.
From www.youtube.com
J&J Orthodontics ComfortPlus™ Face Mask Reverse Pull Headgear YouTube Does Reverse Pull Headgear Work It includes a vertical frame that goes in front of your child’s face that’s held in place by a. A facemask (reverse pull head gear) is an orthopedic orthodontic appliance used to help correct an under (class iii malocclusions) when the lower jaw is biting over the. Fixes an underbite by pulling the upper jaw forward. It uses elastics connected. Does Reverse Pull Headgear Work.
From www.aliexpress.com
AdjustableDentalOrthodonticFaceMaskFacialReversePullHeadgearSinglePoleHeadCap Does Reverse Pull Headgear Work “a reverse pull headgear can be used early in a growing patient to correct an underbite, depending on the severity of the jaw discrepancy,” says rudman. It uses elastics connected to your braces to gently pull your upper jaw. It includes a vertical frame that goes in front of your child’s face that’s held in place by a. Anchors on. Does Reverse Pull Headgear Work.
From www.amazon.in
Bestlife Orthodontic High Pull Headgear Strap Jaw Traction Headgear Cap Adjustable ReversePull Does Reverse Pull Headgear Work Anchors on the forehead and chin in order to move the upper jaw forward and correct an underbite. It uses elastics connected to your braces to gently pull your upper jaw. “it is fitted by the orthodontist so the patient can insert it into small attachments on the molars. How do you put headgear on? It includes a vertical frame. Does Reverse Pull Headgear Work.
From www.centrepointeorthodontics.com
Reverse Pull Headgear Orthodontist Ottawa ON Centrepointe Orthodontics Does Reverse Pull Headgear Work Anchors on the forehead and chin in order to move the upper jaw forward and correct an underbite. A facemask (reverse pull head gear) is an orthopedic orthodontic appliance used to help correct an under (class iii malocclusions) when the lower jaw is biting over the. It includes a vertical frame that goes in front of your child’s face that’s. Does Reverse Pull Headgear Work.
From www.dentalcity.com
Ortho Reverse Pull Headgear Does Reverse Pull Headgear Work It uses elastics connected to your braces to gently pull your upper jaw. Fixes an underbite by pulling the upper jaw forward. “a reverse pull headgear can be used early in a growing patient to correct an underbite, depending on the severity of the jaw discrepancy,” says rudman. Anchors on the forehead and chin in order to move the upper. Does Reverse Pull Headgear Work.
From www.denshinedental.com
Dental Orthodontic Instrument Adjustable ReversePull Headgear Denshine Does Reverse Pull Headgear Work Fixes an underbite by pulling the upper jaw forward. “a reverse pull headgear can be used early in a growing patient to correct an underbite, depending on the severity of the jaw discrepancy,” says rudman. A facemask (reverse pull head gear) is an orthopedic orthodontic appliance used to help correct an under (class iii malocclusions) when the lower jaw is. Does Reverse Pull Headgear Work.
From www.ebay.com
3 X Dental Orthodontic Reverse Pull Facemask Face Bow Headgear Blue eBay Does Reverse Pull Headgear Work “a reverse pull headgear can be used early in a growing patient to correct an underbite, depending on the severity of the jaw discrepancy,” says rudman. “it is fitted by the orthodontist so the patient can insert it into small attachments on the molars. Anchors on the forehead and chin in order to move the upper jaw forward and correct. Does Reverse Pull Headgear Work.
From www.ebay.com
Dental Adjustable Orthodontic Reverse Pull Headgear Facial Mascara eBay Does Reverse Pull Headgear Work It includes a vertical frame that goes in front of your child’s face that’s held in place by a. “a reverse pull headgear can be used early in a growing patient to correct an underbite, depending on the severity of the jaw discrepancy,” says rudman. How do you put headgear on? “it is fitted by the orthodontist so the patient. Does Reverse Pull Headgear Work.
From www.youtube.com
Reverse Pull Headgear YouTube Does Reverse Pull Headgear Work It includes a vertical frame that goes in front of your child’s face that’s held in place by a. “it is fitted by the orthodontist so the patient can insert it into small attachments on the molars. Fixes an underbite by pulling the upper jaw forward. Anchors on the forehead and chin in order to move the upper jaw forward. Does Reverse Pull Headgear Work.
From www.semanticscholar.org
[PDF] Infant commissural burn management with reverse pull headgear. Semantic Scholar Does Reverse Pull Headgear Work Fixes an underbite by pulling the upper jaw forward. “a reverse pull headgear can be used early in a growing patient to correct an underbite, depending on the severity of the jaw discrepancy,” says rudman. A facemask (reverse pull head gear) is an orthopedic orthodontic appliance used to help correct an under (class iii malocclusions) when the lower jaw is. Does Reverse Pull Headgear Work.
From www.youtube.com
Maxillary Protraction Animation reverse pull headgear before and after YouTube Does Reverse Pull Headgear Work Anchors on the forehead and chin in order to move the upper jaw forward and correct an underbite. Fixes an underbite by pulling the upper jaw forward. How do you put headgear on? “a reverse pull headgear can be used early in a growing patient to correct an underbite, depending on the severity of the jaw discrepancy,” says rudman. A. Does Reverse Pull Headgear Work.
From www.archwired.com
What Is Orthodontic Headgear? ArchWired Does Reverse Pull Headgear Work Fixes an underbite by pulling the upper jaw forward. A facemask (reverse pull head gear) is an orthopedic orthodontic appliance used to help correct an under (class iii malocclusions) when the lower jaw is biting over the. Anchors on the forehead and chin in order to move the upper jaw forward and correct an underbite. “it is fitted by the. Does Reverse Pull Headgear Work.
From www.pinterest.com
reverse pull head gear Morpho, Orthodontics, Orthopedics, Headgear, Dental, Reverse, Parenting Does Reverse Pull Headgear Work Fixes an underbite by pulling the upper jaw forward. “a reverse pull headgear can be used early in a growing patient to correct an underbite, depending on the severity of the jaw discrepancy,” says rudman. It uses elastics connected to your braces to gently pull your upper jaw. “it is fitted by the orthodontist so the patient can insert it. Does Reverse Pull Headgear Work.
From www.mintkidsdentistry.com
Kids Dentist Advice & Oral Health Care Mint Kids Dentistry Does Reverse Pull Headgear Work It uses elastics connected to your braces to gently pull your upper jaw. Anchors on the forehead and chin in order to move the upper jaw forward and correct an underbite. How do you put headgear on? “it is fitted by the orthodontist so the patient can insert it into small attachments on the molars. It includes a vertical frame. Does Reverse Pull Headgear Work.