Mason Type Pc30N . When load is applied to these hangers, the springs will deflect, and the. Pc30n precompressed hanger 2 d efl ctio 100 serie s n s †† applies to spring. Type pc30n ratings size rated. This part of the hanger isolates effectively against higher frequencies, typically from airborne sources. Type pc30n ratings size rated. Seismic rebound steel and bonded lds rubber washer holds precompression and limits upward seismic motion.
from www.drdavidduckworth.com.au
Pc30n precompressed hanger 2 d efl ctio 100 serie s n s †† applies to spring. When load is applied to these hangers, the springs will deflect, and the. This part of the hanger isolates effectively against higher frequencies, typically from airborne sources. Type pc30n ratings size rated. Seismic rebound steel and bonded lds rubber washer holds precompression and limits upward seismic motion. Type pc30n ratings size rated.
Displaced Mason Type II Fractures
Mason Type Pc30N Type pc30n ratings size rated. When load is applied to these hangers, the springs will deflect, and the. Pc30n precompressed hanger 2 d efl ctio 100 serie s n s †† applies to spring. This part of the hanger isolates effectively against higher frequencies, typically from airborne sources. Seismic rebound steel and bonded lds rubber washer holds precompression and limits upward seismic motion. Type pc30n ratings size rated. Type pc30n ratings size rated.
From www.semanticscholar.org
Table 1 from Dual Plate Fixation of Mason Type III and IV Radial Neck Fractures a Midterm Mason Type Pc30N Type pc30n ratings size rated. When load is applied to these hangers, the springs will deflect, and the. Pc30n precompressed hanger 2 d efl ctio 100 serie s n s †† applies to spring. This part of the hanger isolates effectively against higher frequencies, typically from airborne sources. Seismic rebound steel and bonded lds rubber washer holds precompression and limits. Mason Type Pc30N.
From www.mdpi.com
JCM Free FullText Functional Postoperative for 92 Cases of Radial Head Fractures A Mason Type Pc30N Type pc30n ratings size rated. Type pc30n ratings size rated. Seismic rebound steel and bonded lds rubber washer holds precompression and limits upward seismic motion. Pc30n precompressed hanger 2 d efl ctio 100 serie s n s †† applies to spring. This part of the hanger isolates effectively against higher frequencies, typically from airborne sources. When load is applied to. Mason Type Pc30N.
From mason-ind.com
PC30N 1” DEF Mason Industries Mason Type Pc30N Pc30n precompressed hanger 2 d efl ctio 100 serie s n s †† applies to spring. This part of the hanger isolates effectively against higher frequencies, typically from airborne sources. Seismic rebound steel and bonded lds rubber washer holds precompression and limits upward seismic motion. Type pc30n ratings size rated. Type pc30n ratings size rated. When load is applied to. Mason Type Pc30N.
From logos-world.net
Freemason Logo, symbol, meaning, history, PNG, brand Mason Type Pc30N Type pc30n ratings size rated. This part of the hanger isolates effectively against higher frequencies, typically from airborne sources. Pc30n precompressed hanger 2 d efl ctio 100 serie s n s †† applies to spring. Seismic rebound steel and bonded lds rubber washer holds precompression and limits upward seismic motion. Type pc30n ratings size rated. When load is applied to. Mason Type Pc30N.
From www.semanticscholar.org
Table 3 from Dual Plate Fixation of Mason Type III and IV Radial Neck Fractures a Midterm Mason Type Pc30N Type pc30n ratings size rated. Type pc30n ratings size rated. Pc30n precompressed hanger 2 d efl ctio 100 serie s n s †† applies to spring. When load is applied to these hangers, the springs will deflect, and the. Seismic rebound steel and bonded lds rubber washer holds precompression and limits upward seismic motion. This part of the hanger isolates. Mason Type Pc30N.
From logos-world.net
Freemason Logo, symbol, meaning, history, PNG, brand Mason Type Pc30N Type pc30n ratings size rated. Type pc30n ratings size rated. When load is applied to these hangers, the springs will deflect, and the. This part of the hanger isolates effectively against higher frequencies, typically from airborne sources. Pc30n precompressed hanger 2 d efl ctio 100 serie s n s †† applies to spring. Seismic rebound steel and bonded lds rubber. Mason Type Pc30N.
From www.researchgate.net
(PDF) Surgical management of Mason type III radial head fractures Mason Type Pc30N Type pc30n ratings size rated. This part of the hanger isolates effectively against higher frequencies, typically from airborne sources. Type pc30n ratings size rated. When load is applied to these hangers, the springs will deflect, and the. Seismic rebound steel and bonded lds rubber washer holds precompression and limits upward seismic motion. Pc30n precompressed hanger 2 d efl ctio 100. Mason Type Pc30N.
From www.deviantart.com
Mason Type Chart by TheKenseth1 on DeviantArt Mason Type Pc30N Type pc30n ratings size rated. This part of the hanger isolates effectively against higher frequencies, typically from airborne sources. Pc30n precompressed hanger 2 d efl ctio 100 serie s n s †† applies to spring. Type pc30n ratings size rated. When load is applied to these hangers, the springs will deflect, and the. Seismic rebound steel and bonded lds rubber. Mason Type Pc30N.
From www.homedepot.com
Quikrete 80 lb. Type S Mason Mix113680 The Home Depot Mason Type Pc30N Type pc30n ratings size rated. This part of the hanger isolates effectively against higher frequencies, typically from airborne sources. Type pc30n ratings size rated. Seismic rebound steel and bonded lds rubber washer holds precompression and limits upward seismic motion. When load is applied to these hangers, the springs will deflect, and the. Pc30n precompressed hanger 2 d efl ctio 100. Mason Type Pc30N.
From mason-ind.com
W30N Mason Industries Mason Type Pc30N This part of the hanger isolates effectively against higher frequencies, typically from airborne sources. Type pc30n ratings size rated. Type pc30n ratings size rated. Pc30n precompressed hanger 2 d efl ctio 100 serie s n s †† applies to spring. When load is applied to these hangers, the springs will deflect, and the. Seismic rebound steel and bonded lds rubber. Mason Type Pc30N.
From www.imdb.com
Mason Temple Mason Type Pc30N Pc30n precompressed hanger 2 d efl ctio 100 serie s n s †† applies to spring. Type pc30n ratings size rated. Type pc30n ratings size rated. When load is applied to these hangers, the springs will deflect, and the. Seismic rebound steel and bonded lds rubber washer holds precompression and limits upward seismic motion. This part of the hanger isolates. Mason Type Pc30N.
From www.youtube.com
Kenny Mason Type Beat 🔥 kennymason jidtypebeat kennymasontypebeat YouTube Mason Type Pc30N This part of the hanger isolates effectively against higher frequencies, typically from airborne sources. Pc30n precompressed hanger 2 d efl ctio 100 serie s n s †† applies to spring. When load is applied to these hangers, the springs will deflect, and the. Type pc30n ratings size rated. Seismic rebound steel and bonded lds rubber washer holds precompression and limits. Mason Type Pc30N.
From www.imdb.com
Mason Roberts Mason Type Pc30N Type pc30n ratings size rated. When load is applied to these hangers, the springs will deflect, and the. This part of the hanger isolates effectively against higher frequencies, typically from airborne sources. Type pc30n ratings size rated. Pc30n precompressed hanger 2 d efl ctio 100 serie s n s †† applies to spring. Seismic rebound steel and bonded lds rubber. Mason Type Pc30N.
From wallpapers.com
Download Mason Greenwood in action during a football match Mason Type Pc30N Pc30n precompressed hanger 2 d efl ctio 100 serie s n s †† applies to spring. When load is applied to these hangers, the springs will deflect, and the. Type pc30n ratings size rated. Seismic rebound steel and bonded lds rubber washer holds precompression and limits upward seismic motion. Type pc30n ratings size rated. This part of the hanger isolates. Mason Type Pc30N.
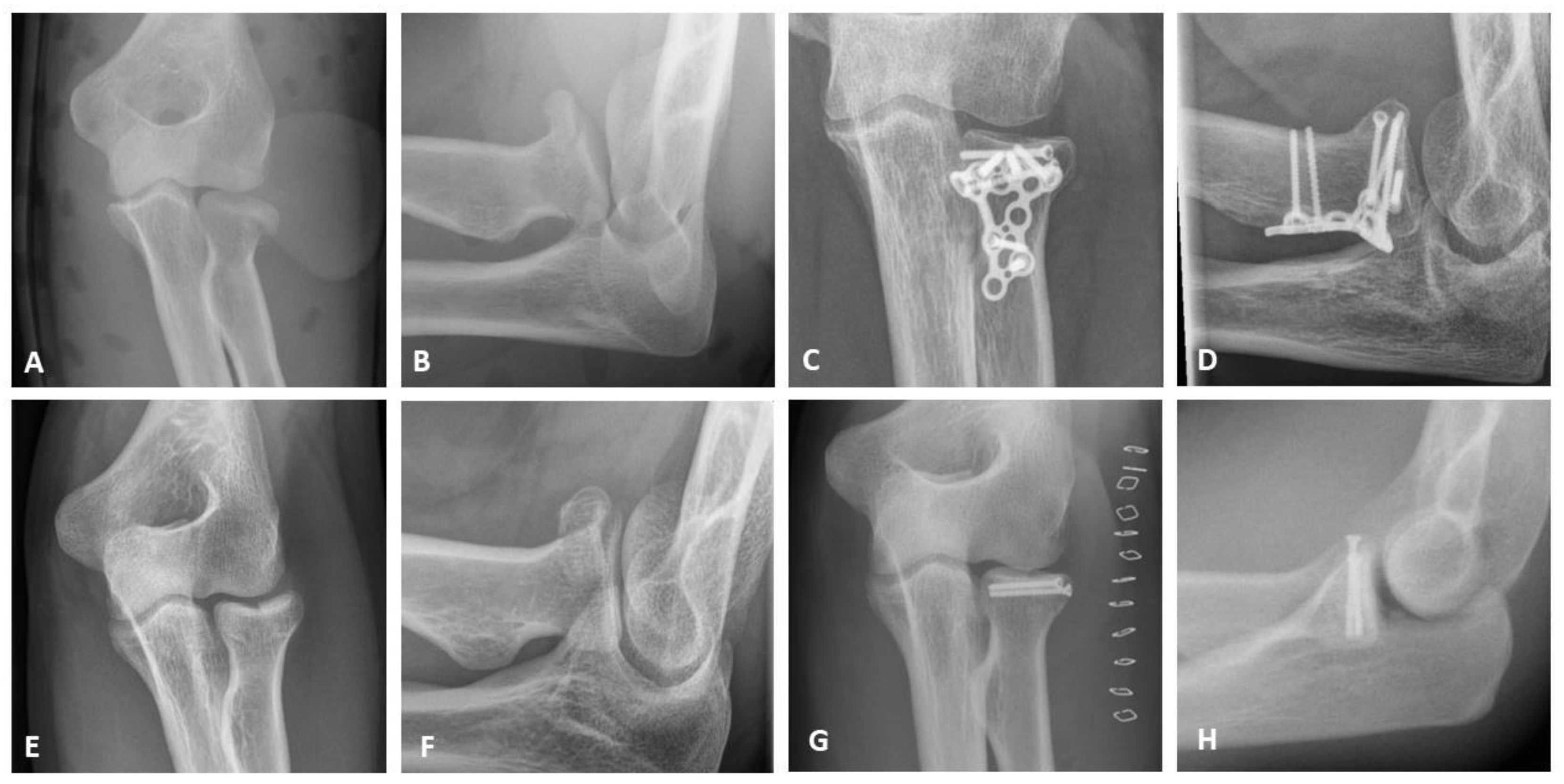
From www.researchgate.net
1. Case 3. AP radiograph of both elbows showing Mason type 3 fracture... Download Scientific Mason Type Pc30N This part of the hanger isolates effectively against higher frequencies, typically from airborne sources. Type pc30n ratings size rated. Seismic rebound steel and bonded lds rubber washer holds precompression and limits upward seismic motion. When load is applied to these hangers, the springs will deflect, and the. Type pc30n ratings size rated. Pc30n precompressed hanger 2 d efl ctio 100. Mason Type Pc30N.
From www.harveymason.net
HARVEY MASON Harvey Mason Mason Type Pc30N Pc30n precompressed hanger 2 d efl ctio 100 serie s n s †† applies to spring. Type pc30n ratings size rated. This part of the hanger isolates effectively against higher frequencies, typically from airborne sources. Type pc30n ratings size rated. When load is applied to these hangers, the springs will deflect, and the. Seismic rebound steel and bonded lds rubber. Mason Type Pc30N.
From mason-ind.com
30N 4” DEF 100 SERIES Mason Industries Mason Type Pc30N Seismic rebound steel and bonded lds rubber washer holds precompression and limits upward seismic motion. Pc30n precompressed hanger 2 d efl ctio 100 serie s n s †† applies to spring. Type pc30n ratings size rated. Type pc30n ratings size rated. This part of the hanger isolates effectively against higher frequencies, typically from airborne sources. When load is applied to. Mason Type Pc30N.
From www.semanticscholar.org
Table 1 from Nonoperative Treatment of Mason Type I Radial Head Fractures A Comparative Mason Type Pc30N Type pc30n ratings size rated. Seismic rebound steel and bonded lds rubber washer holds precompression and limits upward seismic motion. Type pc30n ratings size rated. When load is applied to these hangers, the springs will deflect, and the. This part of the hanger isolates effectively against higher frequencies, typically from airborne sources. Pc30n precompressed hanger 2 d efl ctio 100. Mason Type Pc30N.
From www.alamy.com
Mason james hires stock photography and images Alamy Mason Type Pc30N Type pc30n ratings size rated. Type pc30n ratings size rated. Seismic rebound steel and bonded lds rubber washer holds precompression and limits upward seismic motion. This part of the hanger isolates effectively against higher frequencies, typically from airborne sources. Pc30n precompressed hanger 2 d efl ctio 100 serie s n s †† applies to spring. When load is applied to. Mason Type Pc30N.
From www.quikretepr.com
MASON MIX® TYPE S quikretepr Mason Type Pc30N When load is applied to these hangers, the springs will deflect, and the. Pc30n precompressed hanger 2 d efl ctio 100 serie s n s †† applies to spring. Seismic rebound steel and bonded lds rubber washer holds precompression and limits upward seismic motion. Type pc30n ratings size rated. Type pc30n ratings size rated. This part of the hanger isolates. Mason Type Pc30N.
From www.drdavidduckworth.com.au
Displaced Mason Type II Fractures Mason Type Pc30N Type pc30n ratings size rated. This part of the hanger isolates effectively against higher frequencies, typically from airborne sources. Pc30n precompressed hanger 2 d efl ctio 100 serie s n s †† applies to spring. Seismic rebound steel and bonded lds rubber washer holds precompression and limits upward seismic motion. When load is applied to these hangers, the springs will. Mason Type Pc30N.
From www.researchgate.net
AP and lateral views of a Mason type IV injury. Download Scientific Diagram Mason Type Pc30N When load is applied to these hangers, the springs will deflect, and the. Seismic rebound steel and bonded lds rubber washer holds precompression and limits upward seismic motion. Type pc30n ratings size rated. This part of the hanger isolates effectively against higher frequencies, typically from airborne sources. Type pc30n ratings size rated. Pc30n precompressed hanger 2 d efl ctio 100. Mason Type Pc30N.
From www.researchgate.net
Mason type 1 fracture right elbow. Anterior posterior and lateral view. Download Scientific Mason Type Pc30N Type pc30n ratings size rated. Pc30n precompressed hanger 2 d efl ctio 100 serie s n s †† applies to spring. Seismic rebound steel and bonded lds rubber washer holds precompression and limits upward seismic motion. This part of the hanger isolates effectively against higher frequencies, typically from airborne sources. When load is applied to these hangers, the springs will. Mason Type Pc30N.
From southbaymaterials.com
Mason Mix Mortar (Type S) 80 lbs Bag Warehouse Products Products Mason Type Pc30N Seismic rebound steel and bonded lds rubber washer holds precompression and limits upward seismic motion. Type pc30n ratings size rated. Type pc30n ratings size rated. This part of the hanger isolates effectively against higher frequencies, typically from airborne sources. Pc30n precompressed hanger 2 d efl ctio 100 serie s n s †† applies to spring. When load is applied to. Mason Type Pc30N.
From www.filmifeed.com
Felicity Mason Age, Wiki, Bio, Photos Mason Type Pc30N When load is applied to these hangers, the springs will deflect, and the. Pc30n precompressed hanger 2 d efl ctio 100 serie s n s †† applies to spring. Type pc30n ratings size rated. Seismic rebound steel and bonded lds rubber washer holds precompression and limits upward seismic motion. Type pc30n ratings size rated. This part of the hanger isolates. Mason Type Pc30N.
From www.mdpi.com
JCM Free FullText Functional Postoperative for 92 Cases of Radial Head Fractures A Mason Type Pc30N Type pc30n ratings size rated. Pc30n precompressed hanger 2 d efl ctio 100 serie s n s †† applies to spring. Type pc30n ratings size rated. When load is applied to these hangers, the springs will deflect, and the. Seismic rebound steel and bonded lds rubber washer holds precompression and limits upward seismic motion. This part of the hanger isolates. Mason Type Pc30N.
From www.homedepot.ca
Quikrete Mason Mix Type S 36kg The Home Depot Canada Mason Type Pc30N When load is applied to these hangers, the springs will deflect, and the. Type pc30n ratings size rated. Pc30n precompressed hanger 2 d efl ctio 100 serie s n s †† applies to spring. Seismic rebound steel and bonded lds rubber washer holds precompression and limits upward seismic motion. Type pc30n ratings size rated. This part of the hanger isolates. Mason Type Pc30N.
From mason-ind.com
Product Submittals & Files Mason Industries Mason Type Pc30N This part of the hanger isolates effectively against higher frequencies, typically from airborne sources. When load is applied to these hangers, the springs will deflect, and the. Type pc30n ratings size rated. Seismic rebound steel and bonded lds rubber washer holds precompression and limits upward seismic motion. Type pc30n ratings size rated. Pc30n precompressed hanger 2 d efl ctio 100. Mason Type Pc30N.
From www.fasten.com.sg
MASON Type 17 Self Drilling Screws Fasten Enterprises Construction Fastening Solutions Mason Type Pc30N Type pc30n ratings size rated. Seismic rebound steel and bonded lds rubber washer holds precompression and limits upward seismic motion. When load is applied to these hangers, the springs will deflect, and the. This part of the hanger isolates effectively against higher frequencies, typically from airborne sources. Pc30n precompressed hanger 2 d efl ctio 100 serie s n s ††. Mason Type Pc30N.
From vavato.com
8 Luxe mason Eetkamerstoel 91 x 51 x 41 cm Mason Type Pc30N Pc30n precompressed hanger 2 d efl ctio 100 serie s n s †† applies to spring. Seismic rebound steel and bonded lds rubber washer holds precompression and limits upward seismic motion. Type pc30n ratings size rated. When load is applied to these hangers, the springs will deflect, and the. Type pc30n ratings size rated. This part of the hanger isolates. Mason Type Pc30N.
From www.semanticscholar.org
Figure 1 from Surgical management of Mason type III radial head fractures Semantic Scholar Mason Type Pc30N Type pc30n ratings size rated. When load is applied to these hangers, the springs will deflect, and the. Pc30n precompressed hanger 2 d efl ctio 100 serie s n s †† applies to spring. Type pc30n ratings size rated. This part of the hanger isolates effectively against higher frequencies, typically from airborne sources. Seismic rebound steel and bonded lds rubber. Mason Type Pc30N.
From www.frontiersin.org
Frontiers Biomechanical comparison of different internal fixation devices for transversely Mason Type Pc30N Type pc30n ratings size rated. Type pc30n ratings size rated. When load is applied to these hangers, the springs will deflect, and the. Pc30n precompressed hanger 2 d efl ctio 100 serie s n s †† applies to spring. Seismic rebound steel and bonded lds rubber washer holds precompression and limits upward seismic motion. This part of the hanger isolates. Mason Type Pc30N.
From www.pinterest.jp
QUIKRETE Mason TypeS & CoreFill Grout Commercial Grade, High Performance Mixes Mortar, Faux Mason Type Pc30N Type pc30n ratings size rated. Type pc30n ratings size rated. When load is applied to these hangers, the springs will deflect, and the. Seismic rebound steel and bonded lds rubber washer holds precompression and limits upward seismic motion. This part of the hanger isolates effectively against higher frequencies, typically from airborne sources. Pc30n precompressed hanger 2 d efl ctio 100. Mason Type Pc30N.
From mason-ind.com
30N Mason Industries Mason Type Pc30N Seismic rebound steel and bonded lds rubber washer holds precompression and limits upward seismic motion. Pc30n precompressed hanger 2 d efl ctio 100 serie s n s †† applies to spring. When load is applied to these hangers, the springs will deflect, and the. Type pc30n ratings size rated. This part of the hanger isolates effectively against higher frequencies, typically. Mason Type Pc30N.
From mason-ind.com
30N Mason Industries Mason Type Pc30N When load is applied to these hangers, the springs will deflect, and the. Pc30n precompressed hanger 2 d efl ctio 100 serie s n s †† applies to spring. This part of the hanger isolates effectively against higher frequencies, typically from airborne sources. Type pc30n ratings size rated. Seismic rebound steel and bonded lds rubber washer holds precompression and limits. Mason Type Pc30N.