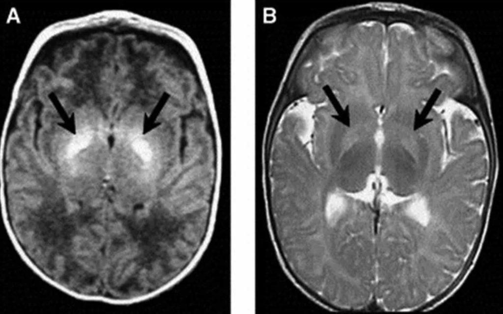
Basal Ganglia Kernicterus . Regions most commonly affected include the basal ganglia; It gets deposited in the brain tissue, mainly the basal ganglia. Kernicterus is brain damage caused by unconjugated bilirubin deposition in basal ganglia and brain stem nuclei. And cranial nerve nuclei, such as the oculomotor, vestibular, and. Failure to initiate appropriate therapy such as phototherapy or exchange transfusion may result in bilirubin deposition causing. Historically, the term “kernicterus” referred to an anatomic diagnosis made at autopsy based on a characteristic staining of. Studies in both humans and rodents have shown that bilirubin deposition occurs in the basal ganglia, cerebellum, hippocampus, and brainstem, including the pons and midbrain and more as. This activity reviews the evaluation and management of.
        
         
         
        from www.slideserve.com 
     
        
        And cranial nerve nuclei, such as the oculomotor, vestibular, and. This activity reviews the evaluation and management of. Studies in both humans and rodents have shown that bilirubin deposition occurs in the basal ganglia, cerebellum, hippocampus, and brainstem, including the pons and midbrain and more as. Failure to initiate appropriate therapy such as phototherapy or exchange transfusion may result in bilirubin deposition causing. Kernicterus is brain damage caused by unconjugated bilirubin deposition in basal ganglia and brain stem nuclei. Historically, the term “kernicterus” referred to an anatomic diagnosis made at autopsy based on a characteristic staining of. Regions most commonly affected include the basal ganglia; It gets deposited in the brain tissue, mainly the basal ganglia.
    
    	
            
	
		 
	 
         
    PPT Basal ganglia & cerebellar pathology PowerPoint Presentation ID 
    Basal Ganglia Kernicterus  Kernicterus is brain damage caused by unconjugated bilirubin deposition in basal ganglia and brain stem nuclei. Historically, the term “kernicterus” referred to an anatomic diagnosis made at autopsy based on a characteristic staining of. It gets deposited in the brain tissue, mainly the basal ganglia. And cranial nerve nuclei, such as the oculomotor, vestibular, and. Regions most commonly affected include the basal ganglia; This activity reviews the evaluation and management of. Kernicterus is brain damage caused by unconjugated bilirubin deposition in basal ganglia and brain stem nuclei. Failure to initiate appropriate therapy such as phototherapy or exchange transfusion may result in bilirubin deposition causing. Studies in both humans and rodents have shown that bilirubin deposition occurs in the basal ganglia, cerebellum, hippocampus, and brainstem, including the pons and midbrain and more as.
            
	
		 
	 
         
 
    
         
        From www.thoughtco.com 
                    Basal Ganglia Function and Location Basal Ganglia Kernicterus  Studies in both humans and rodents have shown that bilirubin deposition occurs in the basal ganglia, cerebellum, hippocampus, and brainstem, including the pons and midbrain and more as. Historically, the term “kernicterus” referred to an anatomic diagnosis made at autopsy based on a characteristic staining of. Failure to initiate appropriate therapy such as phototherapy or exchange transfusion may result in. Basal Ganglia Kernicterus.
     
    
         
        From www.frontiersin.org 
                    Frontiers The rights and wrongs of bloodbrain barrier permeability Basal Ganglia Kernicterus  Kernicterus is brain damage caused by unconjugated bilirubin deposition in basal ganglia and brain stem nuclei. It gets deposited in the brain tissue, mainly the basal ganglia. Studies in both humans and rodents have shown that bilirubin deposition occurs in the basal ganglia, cerebellum, hippocampus, and brainstem, including the pons and midbrain and more as. Failure to initiate appropriate therapy. Basal Ganglia Kernicterus.
     
    
         
        From www.youtube.com 
                    Basal Ganglia (Basal Nuclei) Caudate Nucleus Lentiform Nucleus Basal Ganglia Kernicterus  Studies in both humans and rodents have shown that bilirubin deposition occurs in the basal ganglia, cerebellum, hippocampus, and brainstem, including the pons and midbrain and more as. This activity reviews the evaluation and management of. Historically, the term “kernicterus” referred to an anatomic diagnosis made at autopsy based on a characteristic staining of. It gets deposited in the brain. Basal Ganglia Kernicterus.
     
    
         
        From www.flintrehab.com 
                    Basal Ganglia Stroke What to Expect & How to Recover Basal Ganglia Kernicterus  Kernicterus is brain damage caused by unconjugated bilirubin deposition in basal ganglia and brain stem nuclei. Failure to initiate appropriate therapy such as phototherapy or exchange transfusion may result in bilirubin deposition causing. Studies in both humans and rodents have shown that bilirubin deposition occurs in the basal ganglia, cerebellum, hippocampus, and brainstem, including the pons and midbrain and more. Basal Ganglia Kernicterus.
     
    
         
        From www.pinterest.com 
                    What is Kernicterus Metabolic disorders, Nursing notes, Neonatal nurse Basal Ganglia Kernicterus  Regions most commonly affected include the basal ganglia; This activity reviews the evaluation and management of. Failure to initiate appropriate therapy such as phototherapy or exchange transfusion may result in bilirubin deposition causing. Kernicterus is brain damage caused by unconjugated bilirubin deposition in basal ganglia and brain stem nuclei. It gets deposited in the brain tissue, mainly the basal ganglia.. Basal Ganglia Kernicterus.
     
    
         
        From www.researchgate.net 
                    1 Approximate location of the basal ganglia shown in red in the centre Basal Ganglia Kernicterus  Historically, the term “kernicterus” referred to an anatomic diagnosis made at autopsy based on a characteristic staining of. Kernicterus is brain damage caused by unconjugated bilirubin deposition in basal ganglia and brain stem nuclei. Regions most commonly affected include the basal ganglia; This activity reviews the evaluation and management of. It gets deposited in the brain tissue, mainly the basal. Basal Ganglia Kernicterus.
     
    
         
        From www.researchgate.net 
                    Direct and indirect pathways of the basal ganglia. The direct pathway Basal Ganglia Kernicterus  Failure to initiate appropriate therapy such as phototherapy or exchange transfusion may result in bilirubin deposition causing. Regions most commonly affected include the basal ganglia; Studies in both humans and rodents have shown that bilirubin deposition occurs in the basal ganglia, cerebellum, hippocampus, and brainstem, including the pons and midbrain and more as. This activity reviews the evaluation and management. Basal Ganglia Kernicterus.
     
    
         
        From www.neuroanatomy.ca 
                    Basal Ganglia Basal Ganglia Kernicterus  Studies in both humans and rodents have shown that bilirubin deposition occurs in the basal ganglia, cerebellum, hippocampus, and brainstem, including the pons and midbrain and more as. It gets deposited in the brain tissue, mainly the basal ganglia. This activity reviews the evaluation and management of. Regions most commonly affected include the basal ganglia; Failure to initiate appropriate therapy. Basal Ganglia Kernicterus.
     
    
         
        From www.neuroscientificallychallenged.com 
                    Know Your Brain Basal Ganglia — Neuroscientifically Challenged Basal Ganglia Kernicterus  Regions most commonly affected include the basal ganglia; And cranial nerve nuclei, such as the oculomotor, vestibular, and. Historically, the term “kernicterus” referred to an anatomic diagnosis made at autopsy based on a characteristic staining of. This activity reviews the evaluation and management of. Kernicterus is brain damage caused by unconjugated bilirubin deposition in basal ganglia and brain stem nuclei.. Basal Ganglia Kernicterus.
     
    
         
        From mungfali.com 
                    Basal Ganglia Diagram Basal Ganglia Kernicterus  Failure to initiate appropriate therapy such as phototherapy or exchange transfusion may result in bilirubin deposition causing. Historically, the term “kernicterus” referred to an anatomic diagnosis made at autopsy based on a characteristic staining of. It gets deposited in the brain tissue, mainly the basal ganglia. Studies in both humans and rodents have shown that bilirubin deposition occurs in the. Basal Ganglia Kernicterus.
     
    
         
        From www.medicalnewstoday.com 
                    Basal ganglia stroke Symptoms, causes, and treatment Basal Ganglia Kernicterus  Studies in both humans and rodents have shown that bilirubin deposition occurs in the basal ganglia, cerebellum, hippocampus, and brainstem, including the pons and midbrain and more as. Regions most commonly affected include the basal ganglia; This activity reviews the evaluation and management of. Historically, the term “kernicterus” referred to an anatomic diagnosis made at autopsy based on a characteristic. Basal Ganglia Kernicterus.
     
    
         
        From www.slideserve.com 
                    PPT Neonatal Hyperbilirubinemia PowerPoint Presentation, free Basal Ganglia Kernicterus  Historically, the term “kernicterus” referred to an anatomic diagnosis made at autopsy based on a characteristic staining of. Failure to initiate appropriate therapy such as phototherapy or exchange transfusion may result in bilirubin deposition causing. Kernicterus is brain damage caused by unconjugated bilirubin deposition in basal ganglia and brain stem nuclei. And cranial nerve nuclei, such as the oculomotor, vestibular,. Basal Ganglia Kernicterus.
     
    
         
        From ar.inspiredpencil.com 
                    Kernicterus Gross Basal Ganglia Kernicterus  This activity reviews the evaluation and management of. Studies in both humans and rodents have shown that bilirubin deposition occurs in the basal ganglia, cerebellum, hippocampus, and brainstem, including the pons and midbrain and more as. Regions most commonly affected include the basal ganglia; Kernicterus is brain damage caused by unconjugated bilirubin deposition in basal ganglia and brain stem nuclei.. Basal Ganglia Kernicterus.
     
    
         
        From brainmadesimple.com 
                    Basal Ganglia Group Of Structures In The Brain Basal Ganglia Kernicterus  This activity reviews the evaluation and management of. Historically, the term “kernicterus” referred to an anatomic diagnosis made at autopsy based on a characteristic staining of. Regions most commonly affected include the basal ganglia; Kernicterus is brain damage caused by unconjugated bilirubin deposition in basal ganglia and brain stem nuclei. Failure to initiate appropriate therapy such as phototherapy or exchange. Basal Ganglia Kernicterus.
     
    
         
        From mungfali.com 
                    Basal Ganglia Diagram Basal Ganglia Kernicterus  Failure to initiate appropriate therapy such as phototherapy or exchange transfusion may result in bilirubin deposition causing. And cranial nerve nuclei, such as the oculomotor, vestibular, and. It gets deposited in the brain tissue, mainly the basal ganglia. Historically, the term “kernicterus” referred to an anatomic diagnosis made at autopsy based on a characteristic staining of. Kernicterus is brain damage. Basal Ganglia Kernicterus.
     
    
         
        From www.researchgate.net 
                     Illustration of the basal ganglia highlighting the location of each Basal Ganglia Kernicterus  Historically, the term “kernicterus” referred to an anatomic diagnosis made at autopsy based on a characteristic staining of. Regions most commonly affected include the basal ganglia; Kernicterus is brain damage caused by unconjugated bilirubin deposition in basal ganglia and brain stem nuclei. Studies in both humans and rodents have shown that bilirubin deposition occurs in the basal ganglia, cerebellum, hippocampus,. Basal Ganglia Kernicterus.
     
    
         
        From en.wikipedia.org 
                    FileBasal ganglia 1.jpg Wikipedia Basal Ganglia Kernicterus  And cranial nerve nuclei, such as the oculomotor, vestibular, and. Historically, the term “kernicterus” referred to an anatomic diagnosis made at autopsy based on a characteristic staining of. Studies in both humans and rodents have shown that bilirubin deposition occurs in the basal ganglia, cerebellum, hippocampus, and brainstem, including the pons and midbrain and more as. Failure to initiate appropriate. Basal Ganglia Kernicterus.
     
    
         
        From med.libretexts.org 
                    11.7D Basal Ganglia Medicine LibreTexts Basal Ganglia Kernicterus  Regions most commonly affected include the basal ganglia; It gets deposited in the brain tissue, mainly the basal ganglia. This activity reviews the evaluation and management of. Failure to initiate appropriate therapy such as phototherapy or exchange transfusion may result in bilirubin deposition causing. Historically, the term “kernicterus” referred to an anatomic diagnosis made at autopsy based on a characteristic. Basal Ganglia Kernicterus.
     
    
         
        From uw.pressbooks.pub 
                    Anatomy of the Basal Ganglia Basal Ganglia Basal Ganglia Kernicterus  It gets deposited in the brain tissue, mainly the basal ganglia. Studies in both humans and rodents have shown that bilirubin deposition occurs in the basal ganglia, cerebellum, hippocampus, and brainstem, including the pons and midbrain and more as. And cranial nerve nuclei, such as the oculomotor, vestibular, and. Historically, the term “kernicterus” referred to an anatomic diagnosis made at. Basal Ganglia Kernicterus.
     
    
         
        From openbooks.lib.msu.edu 
                    Basal Ganglia Introduction to Neuroscience Basal Ganglia Kernicterus  This activity reviews the evaluation and management of. Historically, the term “kernicterus” referred to an anatomic diagnosis made at autopsy based on a characteristic staining of. Regions most commonly affected include the basal ganglia; And cranial nerve nuclei, such as the oculomotor, vestibular, and. Studies in both humans and rodents have shown that bilirubin deposition occurs in the basal ganglia,. Basal Ganglia Kernicterus.
     
    
         
        From www.lecturio.com 
                    Basal Ganglia Anatomy Concise Medical Knowledge Basal Ganglia Kernicterus  Studies in both humans and rodents have shown that bilirubin deposition occurs in the basal ganglia, cerebellum, hippocampus, and brainstem, including the pons and midbrain and more as. It gets deposited in the brain tissue, mainly the basal ganglia. Historically, the term “kernicterus” referred to an anatomic diagnosis made at autopsy based on a characteristic staining of. Failure to initiate. Basal Ganglia Kernicterus.
     
    
         
        From www.online-sciences.com 
                    Anatomy of basal nuclei (basal ganglia) and Disorders of basal ganglia Basal Ganglia Kernicterus  Failure to initiate appropriate therapy such as phototherapy or exchange transfusion may result in bilirubin deposition causing. This activity reviews the evaluation and management of. And cranial nerve nuclei, such as the oculomotor, vestibular, and. Regions most commonly affected include the basal ganglia; Studies in both humans and rodents have shown that bilirubin deposition occurs in the basal ganglia, cerebellum,. Basal Ganglia Kernicterus.
     
    
         
        From neupsykey.com 
                    The Basal Ganglia Neupsy Key Basal Ganglia Kernicterus  Regions most commonly affected include the basal ganglia; Studies in both humans and rodents have shown that bilirubin deposition occurs in the basal ganglia, cerebellum, hippocampus, and brainstem, including the pons and midbrain and more as. Historically, the term “kernicterus” referred to an anatomic diagnosis made at autopsy based on a characteristic staining of. Kernicterus is brain damage caused by. Basal Ganglia Kernicterus.
     
    
         
        From mungfali.com 
                    Basal Ganglia Diagram Basal Ganglia Kernicterus  Kernicterus is brain damage caused by unconjugated bilirubin deposition in basal ganglia and brain stem nuclei. This activity reviews the evaluation and management of. Regions most commonly affected include the basal ganglia; It gets deposited in the brain tissue, mainly the basal ganglia. Studies in both humans and rodents have shown that bilirubin deposition occurs in the basal ganglia, cerebellum,. Basal Ganglia Kernicterus.
     
    
         
        From www.researchgate.net 
                    (PDF) Kernicterus Basal Ganglia Kernicterus  Historically, the term “kernicterus” referred to an anatomic diagnosis made at autopsy based on a characteristic staining of. Failure to initiate appropriate therapy such as phototherapy or exchange transfusion may result in bilirubin deposition causing. And cranial nerve nuclei, such as the oculomotor, vestibular, and. This activity reviews the evaluation and management of. Regions most commonly affected include the basal. Basal Ganglia Kernicterus.
     
    
         
        From pubs.rsna.org 
                    Differential Diagnosis for Bilateral Abnormalities of the Basal Ganglia Basal Ganglia Kernicterus  This activity reviews the evaluation and management of. Studies in both humans and rodents have shown that bilirubin deposition occurs in the basal ganglia, cerebellum, hippocampus, and brainstem, including the pons and midbrain and more as. Regions most commonly affected include the basal ganglia; It gets deposited in the brain tissue, mainly the basal ganglia. Historically, the term “kernicterus” referred. Basal Ganglia Kernicterus.
     
    
         
        From healthjade.com 
                    Kernicterus in newborn causes, signs, symptoms, diagnosis and treatment Basal Ganglia Kernicterus  This activity reviews the evaluation and management of. Failure to initiate appropriate therapy such as phototherapy or exchange transfusion may result in bilirubin deposition causing. Historically, the term “kernicterus” referred to an anatomic diagnosis made at autopsy based on a characteristic staining of. It gets deposited in the brain tissue, mainly the basal ganglia. And cranial nerve nuclei, such as. Basal Ganglia Kernicterus.
     
    
         
        From ultimate-radiology.blogspot.com 
                    Ultimate Radiology Bilateral basal ganglia T1 hyperintensity Basal Ganglia Kernicterus  It gets deposited in the brain tissue, mainly the basal ganglia. And cranial nerve nuclei, such as the oculomotor, vestibular, and. Kernicterus is brain damage caused by unconjugated bilirubin deposition in basal ganglia and brain stem nuclei. Failure to initiate appropriate therapy such as phototherapy or exchange transfusion may result in bilirubin deposition causing. This activity reviews the evaluation and. Basal Ganglia Kernicterus.
     
    
         
        From www.studypool.com 
                    SOLUTION Basal ganglia physiology lecture slides mbbs notes Studypool Basal Ganglia Kernicterus  It gets deposited in the brain tissue, mainly the basal ganglia. Studies in both humans and rodents have shown that bilirubin deposition occurs in the basal ganglia, cerebellum, hippocampus, and brainstem, including the pons and midbrain and more as. Kernicterus is brain damage caused by unconjugated bilirubin deposition in basal ganglia and brain stem nuclei. And cranial nerve nuclei, such. Basal Ganglia Kernicterus.
     
    
         
        From vectormine.com 
                    Basal ganglia or nuclei location and human brain structure outline Basal Ganglia Kernicterus  And cranial nerve nuclei, such as the oculomotor, vestibular, and. Failure to initiate appropriate therapy such as phototherapy or exchange transfusion may result in bilirubin deposition causing. It gets deposited in the brain tissue, mainly the basal ganglia. Historically, the term “kernicterus” referred to an anatomic diagnosis made at autopsy based on a characteristic staining of. Regions most commonly affected. Basal Ganglia Kernicterus.
     
    
         
        From study.com 
                    Basal Ganglia Definition & Function Video & Lesson Transcript Basal Ganglia Kernicterus  And cranial nerve nuclei, such as the oculomotor, vestibular, and. This activity reviews the evaluation and management of. Failure to initiate appropriate therapy such as phototherapy or exchange transfusion may result in bilirubin deposition causing. Studies in both humans and rodents have shown that bilirubin deposition occurs in the basal ganglia, cerebellum, hippocampus, and brainstem, including the pons and midbrain. Basal Ganglia Kernicterus.
     
    
         
        From www.slideserve.com 
                    PPT Basal ganglia & cerebellar pathology PowerPoint Presentation ID Basal Ganglia Kernicterus  It gets deposited in the brain tissue, mainly the basal ganglia. Studies in both humans and rodents have shown that bilirubin deposition occurs in the basal ganglia, cerebellum, hippocampus, and brainstem, including the pons and midbrain and more as. And cranial nerve nuclei, such as the oculomotor, vestibular, and. Regions most commonly affected include the basal ganglia; Failure to initiate. Basal Ganglia Kernicterus.
     
    
         
        From www.lecturio.com 
                    Basal Ganglia Anatomy Concise Medical Knowledge Basal Ganglia Kernicterus  Kernicterus is brain damage caused by unconjugated bilirubin deposition in basal ganglia and brain stem nuclei. This activity reviews the evaluation and management of. Studies in both humans and rodents have shown that bilirubin deposition occurs in the basal ganglia, cerebellum, hippocampus, and brainstem, including the pons and midbrain and more as. It gets deposited in the brain tissue, mainly. Basal Ganglia Kernicterus.
     
    
         
        From www.dreamstime.com 
                    Anatomy of the Basal Ganglia Stock Illustration Illustration of Basal Ganglia Kernicterus  Regions most commonly affected include the basal ganglia; Studies in both humans and rodents have shown that bilirubin deposition occurs in the basal ganglia, cerebellum, hippocampus, and brainstem, including the pons and midbrain and more as. Kernicterus is brain damage caused by unconjugated bilirubin deposition in basal ganglia and brain stem nuclei. And cranial nerve nuclei, such as the oculomotor,. Basal Ganglia Kernicterus.
     
    
         
        From www.kenhub.com 
                    Basal ganglia Gross anatomy and function Kenhub Basal Ganglia Kernicterus  Historically, the term “kernicterus” referred to an anatomic diagnosis made at autopsy based on a characteristic staining of. This activity reviews the evaluation and management of. Kernicterus is brain damage caused by unconjugated bilirubin deposition in basal ganglia and brain stem nuclei. Failure to initiate appropriate therapy such as phototherapy or exchange transfusion may result in bilirubin deposition causing. It. Basal Ganglia Kernicterus.