Hemothorax X-Ray . A chest ct or further testing may then be considered. Radiopaedia.org provides detailed information on hemothorax, a condition where blood accumulates in the chest cavity. Signs of hemothorax at radiography include blunting of the costophrenic angle, obscuration of the hemidiaphragm, homogeneous opacity of the hemithorax, fluid within the interlobar fissures, or an apical cap. When a chest tube is placed, the fluid may be evaluated to confirm the presence of blood in the pleural cavity and further look for possible causes. Additional imaging studies, such as ultrasonography (us) and. Les personnes peuvent se sentir étourdies et essoufflées,. L’hémothorax est une accumulation de sang entre le poumon et la paroi thoracique. Upright chest radiography is the ideal primary diagnostic study in the evaluation of hemothorax. Hemothorax is a collection of blood in the space between the visceral and parietal pleura (pleural space). The clinical findings in such patients include respiratory distress.
from www.topdoctors.co.uk
Radiopaedia.org provides detailed information on hemothorax, a condition where blood accumulates in the chest cavity. The clinical findings in such patients include respiratory distress. Signs of hemothorax at radiography include blunting of the costophrenic angle, obscuration of the hemidiaphragm, homogeneous opacity of the hemithorax, fluid within the interlobar fissures, or an apical cap. Upright chest radiography is the ideal primary diagnostic study in the evaluation of hemothorax. L’hémothorax est une accumulation de sang entre le poumon et la paroi thoracique. When a chest tube is placed, the fluid may be evaluated to confirm the presence of blood in the pleural cavity and further look for possible causes. Hemothorax is a collection of blood in the space between the visceral and parietal pleura (pleural space). Les personnes peuvent se sentir étourdies et essoufflées,. Additional imaging studies, such as ultrasonography (us) and. A chest ct or further testing may then be considered.
Hemothorax what is it, symptoms and treatment Top Doctors
Hemothorax X-Ray Additional imaging studies, such as ultrasonography (us) and. Les personnes peuvent se sentir étourdies et essoufflées,. Radiopaedia.org provides detailed information on hemothorax, a condition where blood accumulates in the chest cavity. Upright chest radiography is the ideal primary diagnostic study in the evaluation of hemothorax. Additional imaging studies, such as ultrasonography (us) and. A chest ct or further testing may then be considered. Signs of hemothorax at radiography include blunting of the costophrenic angle, obscuration of the hemidiaphragm, homogeneous opacity of the hemithorax, fluid within the interlobar fissures, or an apical cap. L’hémothorax est une accumulation de sang entre le poumon et la paroi thoracique. The clinical findings in such patients include respiratory distress. When a chest tube is placed, the fluid may be evaluated to confirm the presence of blood in the pleural cavity and further look for possible causes. Hemothorax is a collection of blood in the space between the visceral and parietal pleura (pleural space).
From www.vrogue.co
Chest Radiograph Showing A Massive Right Hemothorax D vrogue.co Hemothorax X-Ray When a chest tube is placed, the fluid may be evaluated to confirm the presence of blood in the pleural cavity and further look for possible causes. Hemothorax is a collection of blood in the space between the visceral and parietal pleura (pleural space). Upright chest radiography is the ideal primary diagnostic study in the evaluation of hemothorax. The clinical. Hemothorax X-Ray.
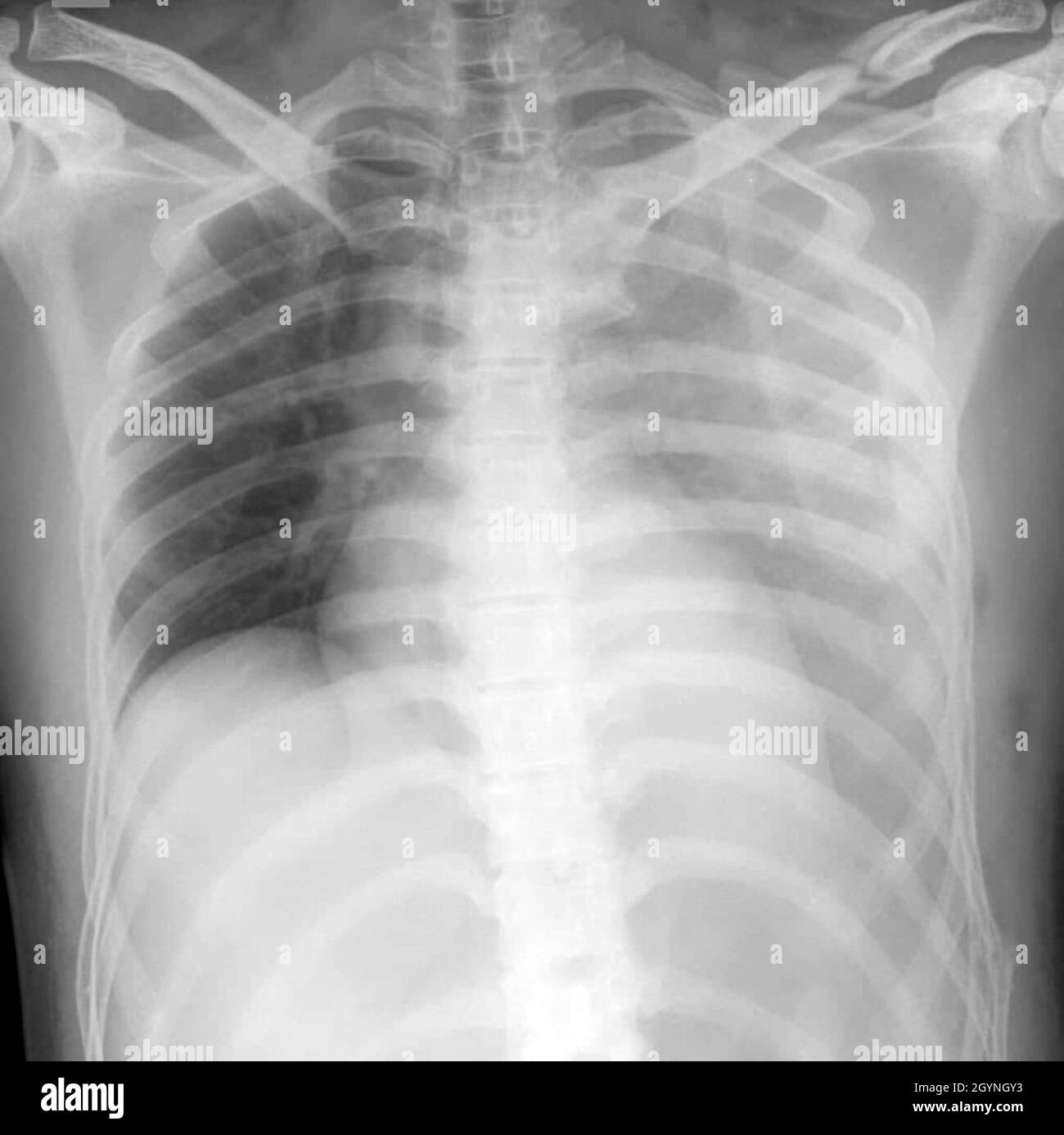
From www.myamericannurse.com
Hemothorax Hemothorax X-Ray Les personnes peuvent se sentir étourdies et essoufflées,. The clinical findings in such patients include respiratory distress. Hemothorax is a collection of blood in the space between the visceral and parietal pleura (pleural space). When a chest tube is placed, the fluid may be evaluated to confirm the presence of blood in the pleural cavity and further look for possible. Hemothorax X-Ray.
From www.wikidoc.org
Hemothorax chest x ray wikidoc Hemothorax X-Ray Upright chest radiography is the ideal primary diagnostic study in the evaluation of hemothorax. Signs of hemothorax at radiography include blunting of the costophrenic angle, obscuration of the hemidiaphragm, homogeneous opacity of the hemithorax, fluid within the interlobar fissures, or an apical cap. A chest ct or further testing may then be considered. When a chest tube is placed, the. Hemothorax X-Ray.
From teachmesurgery.com
Haemothorax TeachMeSurgery Hemothorax X-Ray Hemothorax is a collection of blood in the space between the visceral and parietal pleura (pleural space). Les personnes peuvent se sentir étourdies et essoufflées,. Additional imaging studies, such as ultrasonography (us) and. Upright chest radiography is the ideal primary diagnostic study in the evaluation of hemothorax. When a chest tube is placed, the fluid may be evaluated to confirm. Hemothorax X-Ray.
From ar.inspiredpencil.com
Chest X Ray Hemothorax Hemothorax X-Ray Signs of hemothorax at radiography include blunting of the costophrenic angle, obscuration of the hemidiaphragm, homogeneous opacity of the hemithorax, fluid within the interlobar fissures, or an apical cap. Les personnes peuvent se sentir étourdies et essoufflées,. Additional imaging studies, such as ultrasonography (us) and. Radiopaedia.org provides detailed information on hemothorax, a condition where blood accumulates in the chest cavity.. Hemothorax X-Ray.
From www.topdoctors.co.uk
Hemothorax what is it, symptoms and treatment Top Doctors Hemothorax X-Ray Upright chest radiography is the ideal primary diagnostic study in the evaluation of hemothorax. L’hémothorax est une accumulation de sang entre le poumon et la paroi thoracique. When a chest tube is placed, the fluid may be evaluated to confirm the presence of blood in the pleural cavity and further look for possible causes. Les personnes peuvent se sentir étourdies. Hemothorax X-Ray.
From ar.inspiredpencil.com
Chest X Ray Hemothorax Hemothorax X-Ray Les personnes peuvent se sentir étourdies et essoufflées,. L’hémothorax est une accumulation de sang entre le poumon et la paroi thoracique. A chest ct or further testing may then be considered. When a chest tube is placed, the fluid may be evaluated to confirm the presence of blood in the pleural cavity and further look for possible causes. Hemothorax is. Hemothorax X-Ray.
From ar.inspiredpencil.com
Chest X Ray Hemothorax Hemothorax X-Ray Hemothorax is a collection of blood in the space between the visceral and parietal pleura (pleural space). Additional imaging studies, such as ultrasonography (us) and. A chest ct or further testing may then be considered. Upright chest radiography is the ideal primary diagnostic study in the evaluation of hemothorax. When a chest tube is placed, the fluid may be evaluated. Hemothorax X-Ray.
From ar.inspiredpencil.com
Left Hemothorax X Ray Hemothorax X-Ray Signs of hemothorax at radiography include blunting of the costophrenic angle, obscuration of the hemidiaphragm, homogeneous opacity of the hemithorax, fluid within the interlobar fissures, or an apical cap. Additional imaging studies, such as ultrasonography (us) and. The clinical findings in such patients include respiratory distress. Les personnes peuvent se sentir étourdies et essoufflées,. When a chest tube is placed,. Hemothorax X-Ray.
From www.shutterstock.com
Left Lower Lobe Hemothorax Chest Xray Stock Photo 2236502935 Shutterstock Hemothorax X-Ray L’hémothorax est une accumulation de sang entre le poumon et la paroi thoracique. Upright chest radiography is the ideal primary diagnostic study in the evaluation of hemothorax. Hemothorax is a collection of blood in the space between the visceral and parietal pleura (pleural space). Radiopaedia.org provides detailed information on hemothorax, a condition where blood accumulates in the chest cavity. Les. Hemothorax X-Ray.
From ar.inspiredpencil.com
Hemothorax Chest X Ray Hemothorax X-Ray Signs of hemothorax at radiography include blunting of the costophrenic angle, obscuration of the hemidiaphragm, homogeneous opacity of the hemithorax, fluid within the interlobar fissures, or an apical cap. Upright chest radiography is the ideal primary diagnostic study in the evaluation of hemothorax. When a chest tube is placed, the fluid may be evaluated to confirm the presence of blood. Hemothorax X-Ray.
From www.frontiersin.org
Frontiers Intralobar Pulmonary Sequestration Presenting as Hemothorax Hemothorax X-Ray Signs of hemothorax at radiography include blunting of the costophrenic angle, obscuration of the hemidiaphragm, homogeneous opacity of the hemithorax, fluid within the interlobar fissures, or an apical cap. L’hémothorax est une accumulation de sang entre le poumon et la paroi thoracique. Radiopaedia.org provides detailed information on hemothorax, a condition where blood accumulates in the chest cavity. A chest ct. Hemothorax X-Ray.
From www.researchgate.net
Chest Xray showing complete opacification of the left hemithorax (red Hemothorax X-Ray Signs of hemothorax at radiography include blunting of the costophrenic angle, obscuration of the hemidiaphragm, homogeneous opacity of the hemithorax, fluid within the interlobar fissures, or an apical cap. Les personnes peuvent se sentir étourdies et essoufflées,. Hemothorax is a collection of blood in the space between the visceral and parietal pleura (pleural space). The clinical findings in such patients. Hemothorax X-Ray.
From www.shutterstock.com
Xray Lungs Hemothorax Rib Fractures Left Stock Photo (Edit Now) 1283756878 Hemothorax X-Ray When a chest tube is placed, the fluid may be evaluated to confirm the presence of blood in the pleural cavity and further look for possible causes. Additional imaging studies, such as ultrasonography (us) and. Signs of hemothorax at radiography include blunting of the costophrenic angle, obscuration of the hemidiaphragm, homogeneous opacity of the hemithorax, fluid within the interlobar fissures,. Hemothorax X-Ray.
From www.researchgate.net
Chest Xray showing right hemothorax with contralateral mediastinal Hemothorax X-Ray Les personnes peuvent se sentir étourdies et essoufflées,. The clinical findings in such patients include respiratory distress. A chest ct or further testing may then be considered. Radiopaedia.org provides detailed information on hemothorax, a condition where blood accumulates in the chest cavity. Hemothorax is a collection of blood in the space between the visceral and parietal pleura (pleural space). Additional. Hemothorax X-Ray.
From www.researchgate.net
Hemothorax on chest Xray. Download Scientific Diagram Hemothorax X-Ray The clinical findings in such patients include respiratory distress. Upright chest radiography is the ideal primary diagnostic study in the evaluation of hemothorax. L’hémothorax est une accumulation de sang entre le poumon et la paroi thoracique. Radiopaedia.org provides detailed information on hemothorax, a condition where blood accumulates in the chest cavity. Signs of hemothorax at radiography include blunting of the. Hemothorax X-Ray.
From www.researchgate.net
Chest Xray showing leftsided hemothorax with left clavicle, left Hemothorax X-Ray Radiopaedia.org provides detailed information on hemothorax, a condition where blood accumulates in the chest cavity. Signs of hemothorax at radiography include blunting of the costophrenic angle, obscuration of the hemidiaphragm, homogeneous opacity of the hemithorax, fluid within the interlobar fissures, or an apical cap. Additional imaging studies, such as ultrasonography (us) and. Hemothorax is a collection of blood in the. Hemothorax X-Ray.
From www.learningradiology.com
Learning Radiology Hemothorax Hemothorax X-Ray A chest ct or further testing may then be considered. The clinical findings in such patients include respiratory distress. L’hémothorax est une accumulation de sang entre le poumon et la paroi thoracique. Hemothorax is a collection of blood in the space between the visceral and parietal pleura (pleural space). Additional imaging studies, such as ultrasonography (us) and. When a chest. Hemothorax X-Ray.
From proper-cooking.info
Chest X Ray Hemothorax Hemothorax X-Ray Radiopaedia.org provides detailed information on hemothorax, a condition where blood accumulates in the chest cavity. L’hémothorax est une accumulation de sang entre le poumon et la paroi thoracique. Signs of hemothorax at radiography include blunting of the costophrenic angle, obscuration of the hemidiaphragm, homogeneous opacity of the hemithorax, fluid within the interlobar fissures, or an apical cap. When a chest. Hemothorax X-Ray.
From www.vrogue.co
Chest Radiograph A Showing Massive Left Hemothorax B vrogue.co Hemothorax X-Ray Radiopaedia.org provides detailed information on hemothorax, a condition where blood accumulates in the chest cavity. Signs of hemothorax at radiography include blunting of the costophrenic angle, obscuration of the hemidiaphragm, homogeneous opacity of the hemithorax, fluid within the interlobar fissures, or an apical cap. Les personnes peuvent se sentir étourdies et essoufflées,. Hemothorax is a collection of blood in the. Hemothorax X-Ray.
From www.researchgate.net
(A) Chest xray showing left hemothorax and chest drain. (B) CT scan of Hemothorax X-Ray Signs of hemothorax at radiography include blunting of the costophrenic angle, obscuration of the hemidiaphragm, homogeneous opacity of the hemithorax, fluid within the interlobar fissures, or an apical cap. L’hémothorax est une accumulation de sang entre le poumon et la paroi thoracique. Hemothorax is a collection of blood in the space between the visceral and parietal pleura (pleural space). Radiopaedia.org. Hemothorax X-Ray.
From teachmesurgery.com
Haemothorax TeachMeSurgery Hemothorax X-Ray Upright chest radiography is the ideal primary diagnostic study in the evaluation of hemothorax. A chest ct or further testing may then be considered. Signs of hemothorax at radiography include blunting of the costophrenic angle, obscuration of the hemidiaphragm, homogeneous opacity of the hemithorax, fluid within the interlobar fissures, or an apical cap. Additional imaging studies, such as ultrasonography (us). Hemothorax X-Ray.
From ar.inspiredpencil.com
Chest X Ray Hemothorax Hemothorax X-Ray L’hémothorax est une accumulation de sang entre le poumon et la paroi thoracique. Radiopaedia.org provides detailed information on hemothorax, a condition where blood accumulates in the chest cavity. Additional imaging studies, such as ultrasonography (us) and. Hemothorax is a collection of blood in the space between the visceral and parietal pleura (pleural space). Signs of hemothorax at radiography include blunting. Hemothorax X-Ray.
From coreem.net
Traumatic Hemothorax Core EM Hemothorax X-Ray A chest ct or further testing may then be considered. Signs of hemothorax at radiography include blunting of the costophrenic angle, obscuration of the hemidiaphragm, homogeneous opacity of the hemithorax, fluid within the interlobar fissures, or an apical cap. Radiopaedia.org provides detailed information on hemothorax, a condition where blood accumulates in the chest cavity. Hemothorax is a collection of blood. Hemothorax X-Ray.
From ar.inspiredpencil.com
Chest X Ray Hemothorax Hemothorax X-Ray When a chest tube is placed, the fluid may be evaluated to confirm the presence of blood in the pleural cavity and further look for possible causes. Upright chest radiography is the ideal primary diagnostic study in the evaluation of hemothorax. L’hémothorax est une accumulation de sang entre le poumon et la paroi thoracique. Signs of hemothorax at radiography include. Hemothorax X-Ray.
From ar.inspiredpencil.com
Hemothorax Chest X Ray Hemothorax X-Ray Upright chest radiography is the ideal primary diagnostic study in the evaluation of hemothorax. A chest ct or further testing may then be considered. Additional imaging studies, such as ultrasonography (us) and. Hemothorax is a collection of blood in the space between the visceral and parietal pleura (pleural space). L’hémothorax est une accumulation de sang entre le poumon et la. Hemothorax X-Ray.
From www.youtube.com
Hemothorax Symptoms, Causes and Treatment YouTube Hemothorax X-Ray When a chest tube is placed, the fluid may be evaluated to confirm the presence of blood in the pleural cavity and further look for possible causes. A chest ct or further testing may then be considered. The clinical findings in such patients include respiratory distress. L’hémothorax est une accumulation de sang entre le poumon et la paroi thoracique. Signs. Hemothorax X-Ray.
From www.researchgate.net
Chest Xray showing a flail chest of the right haemithorax with two Hemothorax X-Ray Signs of hemothorax at radiography include blunting of the costophrenic angle, obscuration of the hemidiaphragm, homogeneous opacity of the hemithorax, fluid within the interlobar fissures, or an apical cap. Les personnes peuvent se sentir étourdies et essoufflées,. L’hémothorax est une accumulation de sang entre le poumon et la paroi thoracique. Additional imaging studies, such as ultrasonography (us) and. Hemothorax is. Hemothorax X-Ray.
From www.dxline.info
Hemothorax. Causes, symptoms, treatment Hemothorax Hemothorax X-Ray Radiopaedia.org provides detailed information on hemothorax, a condition where blood accumulates in the chest cavity. Upright chest radiography is the ideal primary diagnostic study in the evaluation of hemothorax. Les personnes peuvent se sentir étourdies et essoufflées,. Additional imaging studies, such as ultrasonography (us) and. Hemothorax is a collection of blood in the space between the visceral and parietal pleura. Hemothorax X-Ray.
From breathe.ersjournals.com
A surgical case of haemothorax European Respiratory Society Hemothorax X-Ray The clinical findings in such patients include respiratory distress. Upright chest radiography is the ideal primary diagnostic study in the evaluation of hemothorax. Radiopaedia.org provides detailed information on hemothorax, a condition where blood accumulates in the chest cavity. Hemothorax is a collection of blood in the space between the visceral and parietal pleura (pleural space). Additional imaging studies, such as. Hemothorax X-Ray.
From www.researchgate.net
Chest X ray showing homogenous opacities on right hemothorax covering Hemothorax X-Ray The clinical findings in such patients include respiratory distress. Les personnes peuvent se sentir étourdies et essoufflées,. Hemothorax is a collection of blood in the space between the visceral and parietal pleura (pleural space). Additional imaging studies, such as ultrasonography (us) and. Radiopaedia.org provides detailed information on hemothorax, a condition where blood accumulates in the chest cavity. When a chest. Hemothorax X-Ray.
From www.researchgate.net
a Chest Xray AP view. Right sided hemothorax, right lateral Hemothorax X-Ray Signs of hemothorax at radiography include blunting of the costophrenic angle, obscuration of the hemidiaphragm, homogeneous opacity of the hemithorax, fluid within the interlobar fissures, or an apical cap. Les personnes peuvent se sentir étourdies et essoufflées,. L’hémothorax est une accumulation de sang entre le poumon et la paroi thoracique. The clinical findings in such patients include respiratory distress. Hemothorax. Hemothorax X-Ray.
From www.researchgate.net
Chest radiograph showed the left side hemothorax Download Scientific Hemothorax X-Ray L’hémothorax est une accumulation de sang entre le poumon et la paroi thoracique. The clinical findings in such patients include respiratory distress. Upright chest radiography is the ideal primary diagnostic study in the evaluation of hemothorax. A chest ct or further testing may then be considered. Signs of hemothorax at radiography include blunting of the costophrenic angle, obscuration of the. Hemothorax X-Ray.
From stock.adobe.com
Xray of the lungs Hemothorax, rib fractures of the left. Stock Photo Hemothorax X-Ray The clinical findings in such patients include respiratory distress. Les personnes peuvent se sentir étourdies et essoufflées,. Hemothorax is a collection of blood in the space between the visceral and parietal pleura (pleural space). Signs of hemothorax at radiography include blunting of the costophrenic angle, obscuration of the hemidiaphragm, homogeneous opacity of the hemithorax, fluid within the interlobar fissures, or. Hemothorax X-Ray.
From www.thoracic.theclinics.com
Hemothorax Thoracic Surgery Clinics Hemothorax X-Ray L’hémothorax est une accumulation de sang entre le poumon et la paroi thoracique. Hemothorax is a collection of blood in the space between the visceral and parietal pleura (pleural space). Additional imaging studies, such as ultrasonography (us) and. Radiopaedia.org provides detailed information on hemothorax, a condition where blood accumulates in the chest cavity. Les personnes peuvent se sentir étourdies et. Hemothorax X-Ray.