Spongiotic Gingivitis Treatment . we propose in this publication the use of the nd:yag laser for surface deepithelilization and selective treatment of underlying inflammatory. the first intention treatment approach was personal and professional. several treatment modalities to treat ljsgh have been suggested including surgical excision by scalpel or laser, cryotherapy, mild surface cauterization, followed by topical application of clobetasol, photodynamic therapy (pdt), and scaling and root planning (sc/rp) with chlorhexidine (chx) mouthwash.[1 4 5 6 7] however, a gap in the available. treatment options vary, with excision by scalpel or laser ablation previously seen as the gold standard.1,2 however, a. treatment of this condition has varied from surgical excision to no treatment followed by spontaneous. treatment options vary, with excision by scalpel or laser ablation previously seen as the gold standard. the most common treatment for ljsgh was surgical excision (71%, n=87) followed by biofilm control and. palliative treatment options included chlorhexidine mouthwash, topical steroids (clobetasol propionate 0.05% and.
from aap.onlinelibrary.wiley.com
the most common treatment for ljsgh was surgical excision (71%, n=87) followed by biofilm control and. the first intention treatment approach was personal and professional. treatment options vary, with excision by scalpel or laser ablation previously seen as the gold standard.1,2 however, a. treatment options vary, with excision by scalpel or laser ablation previously seen as the gold standard. palliative treatment options included chlorhexidine mouthwash, topical steroids (clobetasol propionate 0.05% and. we propose in this publication the use of the nd:yag laser for surface deepithelilization and selective treatment of underlying inflammatory. treatment of this condition has varied from surgical excision to no treatment followed by spontaneous. several treatment modalities to treat ljsgh have been suggested including surgical excision by scalpel or laser, cryotherapy, mild surface cauterization, followed by topical application of clobetasol, photodynamic therapy (pdt), and scaling and root planning (sc/rp) with chlorhexidine (chx) mouthwash.[1 4 5 6 7] however, a gap in the available.
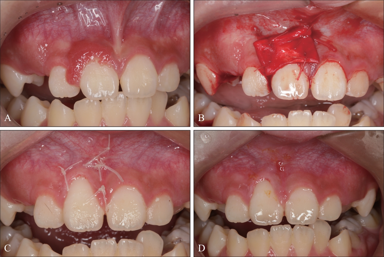
Novel treatment approach of localized juvenile spongiotic gingival
Spongiotic Gingivitis Treatment the first intention treatment approach was personal and professional. palliative treatment options included chlorhexidine mouthwash, topical steroids (clobetasol propionate 0.05% and. we propose in this publication the use of the nd:yag laser for surface deepithelilization and selective treatment of underlying inflammatory. treatment options vary, with excision by scalpel or laser ablation previously seen as the gold standard. the first intention treatment approach was personal and professional. treatment options vary, with excision by scalpel or laser ablation previously seen as the gold standard.1,2 however, a. several treatment modalities to treat ljsgh have been suggested including surgical excision by scalpel or laser, cryotherapy, mild surface cauterization, followed by topical application of clobetasol, photodynamic therapy (pdt), and scaling and root planning (sc/rp) with chlorhexidine (chx) mouthwash.[1 4 5 6 7] however, a gap in the available. the most common treatment for ljsgh was surgical excision (71%, n=87) followed by biofilm control and. treatment of this condition has varied from surgical excision to no treatment followed by spontaneous.
From www.semanticscholar.org
Figure 1 from Cryotherapy for localized juvenile spongiotic gingival Spongiotic Gingivitis Treatment the first intention treatment approach was personal and professional. several treatment modalities to treat ljsgh have been suggested including surgical excision by scalpel or laser, cryotherapy, mild surface cauterization, followed by topical application of clobetasol, photodynamic therapy (pdt), and scaling and root planning (sc/rp) with chlorhexidine (chx) mouthwash.[1 4 5 6 7] however, a gap in the available.. Spongiotic Gingivitis Treatment.
From aap.onlinelibrary.wiley.com
Localized Juvenile Spongiotic Gingival Hyperplasia A Report of Four Spongiotic Gingivitis Treatment several treatment modalities to treat ljsgh have been suggested including surgical excision by scalpel or laser, cryotherapy, mild surface cauterization, followed by topical application of clobetasol, photodynamic therapy (pdt), and scaling and root planning (sc/rp) with chlorhexidine (chx) mouthwash.[1 4 5 6 7] however, a gap in the available. treatment options vary, with excision by scalpel or laser. Spongiotic Gingivitis Treatment.
From www.vigorblog.com
Gingivitis Treatments and Medications Spongiotic Gingivitis Treatment palliative treatment options included chlorhexidine mouthwash, topical steroids (clobetasol propionate 0.05% and. the first intention treatment approach was personal and professional. treatment options vary, with excision by scalpel or laser ablation previously seen as the gold standard.1,2 however, a. treatment of this condition has varied from surgical excision to no treatment followed by spontaneous. treatment. Spongiotic Gingivitis Treatment.
From www.dental-update.co.uk
Dental Update Localized Juvenile Spongiotic Gingival Hyperplasia a Spongiotic Gingivitis Treatment the first intention treatment approach was personal and professional. several treatment modalities to treat ljsgh have been suggested including surgical excision by scalpel or laser, cryotherapy, mild surface cauterization, followed by topical application of clobetasol, photodynamic therapy (pdt), and scaling and root planning (sc/rp) with chlorhexidine (chx) mouthwash.[1 4 5 6 7] however, a gap in the available.. Spongiotic Gingivitis Treatment.
From mydentaladvocate.com
Gingivitis (The Ultimate Guide) 2024 MDA Spongiotic Gingivitis Treatment treatment of this condition has varied from surgical excision to no treatment followed by spontaneous. treatment options vary, with excision by scalpel or laser ablation previously seen as the gold standard.1,2 however, a. palliative treatment options included chlorhexidine mouthwash, topical steroids (clobetasol propionate 0.05% and. the most common treatment for ljsgh was surgical excision (71%, n=87). Spongiotic Gingivitis Treatment.
From aap.onlinelibrary.wiley.com
Novel treatment approach of localized juvenile spongiotic gingival Spongiotic Gingivitis Treatment treatment options vary, with excision by scalpel or laser ablation previously seen as the gold standard. the most common treatment for ljsgh was surgical excision (71%, n=87) followed by biofilm control and. palliative treatment options included chlorhexidine mouthwash, topical steroids (clobetasol propionate 0.05% and. several treatment modalities to treat ljsgh have been suggested including surgical excision. Spongiotic Gingivitis Treatment.
From facesurgeon.in
Gingivitis Treatment Causes, Treatment Options, Cost Richardson's Spongiotic Gingivitis Treatment palliative treatment options included chlorhexidine mouthwash, topical steroids (clobetasol propionate 0.05% and. treatment of this condition has varied from surgical excision to no treatment followed by spontaneous. treatment options vary, with excision by scalpel or laser ablation previously seen as the gold standard. we propose in this publication the use of the nd:yag laser for surface. Spongiotic Gingivitis Treatment.
From aap.onlinelibrary.wiley.com
Novel treatment approach of localized juvenile spongiotic gingival Spongiotic Gingivitis Treatment treatment options vary, with excision by scalpel or laser ablation previously seen as the gold standard. several treatment modalities to treat ljsgh have been suggested including surgical excision by scalpel or laser, cryotherapy, mild surface cauterization, followed by topical application of clobetasol, photodynamic therapy (pdt), and scaling and root planning (sc/rp) with chlorhexidine (chx) mouthwash.[1 4 5 6. Spongiotic Gingivitis Treatment.
From www.slideserve.com
PPT What is the treatment for gingivitis? PowerPoint Presentation Spongiotic Gingivitis Treatment treatment options vary, with excision by scalpel or laser ablation previously seen as the gold standard. palliative treatment options included chlorhexidine mouthwash, topical steroids (clobetasol propionate 0.05% and. treatment options vary, with excision by scalpel or laser ablation previously seen as the gold standard.1,2 however, a. several treatment modalities to treat ljsgh have been suggested including. Spongiotic Gingivitis Treatment.
From www.researchgate.net
(PDF) A Conservative Approach for Localized Spongiotic Gingivitis Spongiotic Gingivitis Treatment treatment options vary, with excision by scalpel or laser ablation previously seen as the gold standard. the most common treatment for ljsgh was surgical excision (71%, n=87) followed by biofilm control and. palliative treatment options included chlorhexidine mouthwash, topical steroids (clobetasol propionate 0.05% and. the first intention treatment approach was personal and professional. we propose. Spongiotic Gingivitis Treatment.
From www.semanticscholar.org
Figure 1 from Localized Juvenile Spongiotic Gingival Hyperplasia Spongiotic Gingivitis Treatment the first intention treatment approach was personal and professional. treatment options vary, with excision by scalpel or laser ablation previously seen as the gold standard.1,2 however, a. treatment options vary, with excision by scalpel or laser ablation previously seen as the gold standard. several treatment modalities to treat ljsgh have been suggested including surgical excision by. Spongiotic Gingivitis Treatment.
From gentlesmiles.net
Treating Severe Gingivitis With Minor Perio Surgery Dallas, TX Spongiotic Gingivitis Treatment palliative treatment options included chlorhexidine mouthwash, topical steroids (clobetasol propionate 0.05% and. the most common treatment for ljsgh was surgical excision (71%, n=87) followed by biofilm control and. we propose in this publication the use of the nd:yag laser for surface deepithelilization and selective treatment of underlying inflammatory. treatment options vary, with excision by scalpel or. Spongiotic Gingivitis Treatment.
From journals.lww.com
Management of Localized Juvenile Spongiotic Gingival Hyperpl Spongiotic Gingivitis Treatment treatment options vary, with excision by scalpel or laser ablation previously seen as the gold standard.1,2 however, a. the first intention treatment approach was personal and professional. we propose in this publication the use of the nd:yag laser for surface deepithelilization and selective treatment of underlying inflammatory. palliative treatment options included chlorhexidine mouthwash, topical steroids (clobetasol. Spongiotic Gingivitis Treatment.
From www.youtube.com
Gingivitis Treatment with Home Remedies YouTube Spongiotic Gingivitis Treatment treatment of this condition has varied from surgical excision to no treatment followed by spontaneous. palliative treatment options included chlorhexidine mouthwash, topical steroids (clobetasol propionate 0.05% and. several treatment modalities to treat ljsgh have been suggested including surgical excision by scalpel or laser, cryotherapy, mild surface cauterization, followed by topical application of clobetasol, photodynamic therapy (pdt), and. Spongiotic Gingivitis Treatment.
From www.artofit.org
Gingivitis symptoms and how to treat it Artofit Spongiotic Gingivitis Treatment the first intention treatment approach was personal and professional. treatment of this condition has varied from surgical excision to no treatment followed by spontaneous. several treatment modalities to treat ljsgh have been suggested including surgical excision by scalpel or laser, cryotherapy, mild surface cauterization, followed by topical application of clobetasol, photodynamic therapy (pdt), and scaling and root. Spongiotic Gingivitis Treatment.
From www.hxkqyxzz.net
Localized juvenile spongiotic gingival hyperplasia a case report Spongiotic Gingivitis Treatment treatment options vary, with excision by scalpel or laser ablation previously seen as the gold standard. the first intention treatment approach was personal and professional. treatment of this condition has varied from surgical excision to no treatment followed by spontaneous. we propose in this publication the use of the nd:yag laser for surface deepithelilization and selective. Spongiotic Gingivitis Treatment.
From www.oooojournal.net
Localized juvenile spongiotic gingival hyperplasia Oral Surgery, Oral Spongiotic Gingivitis Treatment treatment of this condition has varied from surgical excision to no treatment followed by spontaneous. the first intention treatment approach was personal and professional. several treatment modalities to treat ljsgh have been suggested including surgical excision by scalpel or laser, cryotherapy, mild surface cauterization, followed by topical application of clobetasol, photodynamic therapy (pdt), and scaling and root. Spongiotic Gingivitis Treatment.
From www.oooojournal.net
Localized juvenile spongiotic gingival hyperplasia Microscopic Spongiotic Gingivitis Treatment treatment options vary, with excision by scalpel or laser ablation previously seen as the gold standard.1,2 however, a. treatment of this condition has varied from surgical excision to no treatment followed by spontaneous. palliative treatment options included chlorhexidine mouthwash, topical steroids (clobetasol propionate 0.05% and. the first intention treatment approach was personal and professional. the. Spongiotic Gingivitis Treatment.
From liebertpub.com
A Conservative Approach for Localized Spongiotic Gingivitis Hyperplasia Spongiotic Gingivitis Treatment palliative treatment options included chlorhexidine mouthwash, topical steroids (clobetasol propionate 0.05% and. treatment options vary, with excision by scalpel or laser ablation previously seen as the gold standard.1,2 however, a. we propose in this publication the use of the nd:yag laser for surface deepithelilization and selective treatment of underlying inflammatory. treatment of this condition has varied. Spongiotic Gingivitis Treatment.
From aap.onlinelibrary.wiley.com
Novel treatment approach of localized juvenile spongiotic gingival Spongiotic Gingivitis Treatment treatment options vary, with excision by scalpel or laser ablation previously seen as the gold standard.1,2 however, a. treatment options vary, with excision by scalpel or laser ablation previously seen as the gold standard. treatment of this condition has varied from surgical excision to no treatment followed by spontaneous. the first intention treatment approach was personal. Spongiotic Gingivitis Treatment.
From giotdtrpl.blob.core.windows.net
Juvenile Spongiotic Gingivitis Treatment at Naomi Cook blog Spongiotic Gingivitis Treatment palliative treatment options included chlorhexidine mouthwash, topical steroids (clobetasol propionate 0.05% and. treatment of this condition has varied from surgical excision to no treatment followed by spontaneous. treatment options vary, with excision by scalpel or laser ablation previously seen as the gold standard. the first intention treatment approach was personal and professional. treatment options vary,. Spongiotic Gingivitis Treatment.
From www.youtube.com
Gingivitis Natural Ayurvedic Home Remedies YouTube Spongiotic Gingivitis Treatment we propose in this publication the use of the nd:yag laser for surface deepithelilization and selective treatment of underlying inflammatory. treatment of this condition has varied from surgical excision to no treatment followed by spontaneous. the most common treatment for ljsgh was surgical excision (71%, n=87) followed by biofilm control and. treatment options vary, with excision. Spongiotic Gingivitis Treatment.
From medizzy.com
Gingivitis treatment MEDizzy Spongiotic Gingivitis Treatment palliative treatment options included chlorhexidine mouthwash, topical steroids (clobetasol propionate 0.05% and. treatment options vary, with excision by scalpel or laser ablation previously seen as the gold standard. treatment options vary, with excision by scalpel or laser ablation previously seen as the gold standard.1,2 however, a. the first intention treatment approach was personal and professional. . Spongiotic Gingivitis Treatment.
From jada.ada.org
Reappraising localized juvenile spongiotic gingival hyperplasia The Spongiotic Gingivitis Treatment palliative treatment options included chlorhexidine mouthwash, topical steroids (clobetasol propionate 0.05% and. several treatment modalities to treat ljsgh have been suggested including surgical excision by scalpel or laser, cryotherapy, mild surface cauterization, followed by topical application of clobetasol, photodynamic therapy (pdt), and scaling and root planning (sc/rp) with chlorhexidine (chx) mouthwash.[1 4 5 6 7] however, a gap. Spongiotic Gingivitis Treatment.
From jada.ada.org
Case report of spongiotic gingivitis in an adult male treated with Spongiotic Gingivitis Treatment the most common treatment for ljsgh was surgical excision (71%, n=87) followed by biofilm control and. treatment options vary, with excision by scalpel or laser ablation previously seen as the gold standard.1,2 however, a. several treatment modalities to treat ljsgh have been suggested including surgical excision by scalpel or laser, cryotherapy, mild surface cauterization, followed by topical. Spongiotic Gingivitis Treatment.
From icoi-ap.org
Treatment of Localized Juvenile Spongiotic Gingival Hyperplasia Spongiotic Gingivitis Treatment several treatment modalities to treat ljsgh have been suggested including surgical excision by scalpel or laser, cryotherapy, mild surface cauterization, followed by topical application of clobetasol, photodynamic therapy (pdt), and scaling and root planning (sc/rp) with chlorhexidine (chx) mouthwash.[1 4 5 6 7] however, a gap in the available. treatment of this condition has varied from surgical excision. Spongiotic Gingivitis Treatment.
From dmclinic.uz
Treatment of gingivitis Spongiotic Gingivitis Treatment the first intention treatment approach was personal and professional. treatment options vary, with excision by scalpel or laser ablation previously seen as the gold standard.1,2 however, a. several treatment modalities to treat ljsgh have been suggested including surgical excision by scalpel or laser, cryotherapy, mild surface cauterization, followed by topical application of clobetasol, photodynamic therapy (pdt), and. Spongiotic Gingivitis Treatment.
From www.health.com
Gingivitis Treatment Options Spongiotic Gingivitis Treatment the most common treatment for ljsgh was surgical excision (71%, n=87) followed by biofilm control and. treatment options vary, with excision by scalpel or laser ablation previously seen as the gold standard.1,2 however, a. treatment of this condition has varied from surgical excision to no treatment followed by spontaneous. the first intention treatment approach was personal. Spongiotic Gingivitis Treatment.
From www.researchgate.net
(PDF) Trichloroacetic Acid for localized juvenile spongiotic gingival Spongiotic Gingivitis Treatment treatment options vary, with excision by scalpel or laser ablation previously seen as the gold standard.1,2 however, a. palliative treatment options included chlorhexidine mouthwash, topical steroids (clobetasol propionate 0.05% and. the first intention treatment approach was personal and professional. treatment of this condition has varied from surgical excision to no treatment followed by spontaneous. we. Spongiotic Gingivitis Treatment.
From oralb.com
What is Gingivitis? Symptoms, Causes, and Treatments OralB Spongiotic Gingivitis Treatment several treatment modalities to treat ljsgh have been suggested including surgical excision by scalpel or laser, cryotherapy, mild surface cauterization, followed by topical application of clobetasol, photodynamic therapy (pdt), and scaling and root planning (sc/rp) with chlorhexidine (chx) mouthwash.[1 4 5 6 7] however, a gap in the available. the most common treatment for ljsgh was surgical excision. Spongiotic Gingivitis Treatment.
From www.simplehouseholdtips.com
6 Natural Cures and Home Remedies For Gingivitis Spongiotic Gingivitis Treatment we propose in this publication the use of the nd:yag laser for surface deepithelilization and selective treatment of underlying inflammatory. treatment of this condition has varied from surgical excision to no treatment followed by spontaneous. several treatment modalities to treat ljsgh have been suggested including surgical excision by scalpel or laser, cryotherapy, mild surface cauterization, followed by. Spongiotic Gingivitis Treatment.
From jada.ada.org
Case report of spongiotic gingivitis in an adult male treated with Spongiotic Gingivitis Treatment treatment options vary, with excision by scalpel or laser ablation previously seen as the gold standard. several treatment modalities to treat ljsgh have been suggested including surgical excision by scalpel or laser, cryotherapy, mild surface cauterization, followed by topical application of clobetasol, photodynamic therapy (pdt), and scaling and root planning (sc/rp) with chlorhexidine (chx) mouthwash.[1 4 5 6. Spongiotic Gingivitis Treatment.
From www.homenaturalcures.com
Top 10 Home Remedies For Gingivitis Spongiotic Gingivitis Treatment the first intention treatment approach was personal and professional. the most common treatment for ljsgh was surgical excision (71%, n=87) followed by biofilm control and. several treatment modalities to treat ljsgh have been suggested including surgical excision by scalpel or laser, cryotherapy, mild surface cauterization, followed by topical application of clobetasol, photodynamic therapy (pdt), and scaling and. Spongiotic Gingivitis Treatment.
From jada.ada.org
Case report of spongiotic gingivitis in an adult male treated with Spongiotic Gingivitis Treatment we propose in this publication the use of the nd:yag laser for surface deepithelilization and selective treatment of underlying inflammatory. several treatment modalities to treat ljsgh have been suggested including surgical excision by scalpel or laser, cryotherapy, mild surface cauterization, followed by topical application of clobetasol, photodynamic therapy (pdt), and scaling and root planning (sc/rp) with chlorhexidine (chx). Spongiotic Gingivitis Treatment.
From drquadri.com
How To Know If You Have Gingivitis? Dr.quadri Clinic Spongiotic Gingivitis Treatment several treatment modalities to treat ljsgh have been suggested including surgical excision by scalpel or laser, cryotherapy, mild surface cauterization, followed by topical application of clobetasol, photodynamic therapy (pdt), and scaling and root planning (sc/rp) with chlorhexidine (chx) mouthwash.[1 4 5 6 7] however, a gap in the available. palliative treatment options included chlorhexidine mouthwash, topical steroids (clobetasol. Spongiotic Gingivitis Treatment.