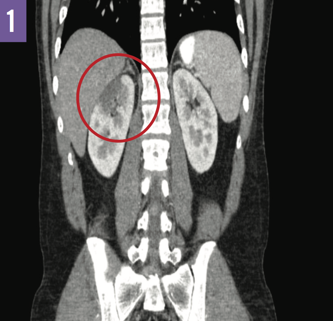
Ehlers-Danlos And Kidney Problems . Eds is characterized by hypermobile joints and a deficiency in collagen (connective tissue) that results. A typical scenario is when someone has heart disease,. At 3‐month follow‐up, her abdominal pain resolved, renal function remains stable, and no further vascular accidents occurred. Whenever the blood circulation to the kidneys is stopped, it is referred to as a renal infarction (or kidney failure). Reported complications included urinary (41%), gynecological (36%), obstetrical (25%), renal (9%), and. Eds is most often an autosomal. Srad is an emerging cause of kidney infarction that accounts for a relevant portion, if not the majority, of the cases occurring in the absence of the classic risk factors for kidney infarction. Some studies looked at multiple subtypes (11%) or did not report subtype (33%).
from www.paramedicine.education
Srad is an emerging cause of kidney infarction that accounts for a relevant portion, if not the majority, of the cases occurring in the absence of the classic risk factors for kidney infarction. Some studies looked at multiple subtypes (11%) or did not report subtype (33%). Whenever the blood circulation to the kidneys is stopped, it is referred to as a renal infarction (or kidney failure). Eds is most often an autosomal. Reported complications included urinary (41%), gynecological (36%), obstetrical (25%), renal (9%), and. A typical scenario is when someone has heart disease,. At 3‐month follow‐up, her abdominal pain resolved, renal function remains stable, and no further vascular accidents occurred. Eds is characterized by hypermobile joints and a deficiency in collagen (connective tissue) that results.
EhlersDanlos Syndrome PaReflectionEd
Ehlers-Danlos And Kidney Problems Eds is characterized by hypermobile joints and a deficiency in collagen (connective tissue) that results. A typical scenario is when someone has heart disease,. Reported complications included urinary (41%), gynecological (36%), obstetrical (25%), renal (9%), and. Eds is most often an autosomal. Srad is an emerging cause of kidney infarction that accounts for a relevant portion, if not the majority, of the cases occurring in the absence of the classic risk factors for kidney infarction. At 3‐month follow‐up, her abdominal pain resolved, renal function remains stable, and no further vascular accidents occurred. Eds is characterized by hypermobile joints and a deficiency in collagen (connective tissue) that results. Whenever the blood circulation to the kidneys is stopped, it is referred to as a renal infarction (or kidney failure). Some studies looked at multiple subtypes (11%) or did not report subtype (33%).
From www.pinterest.ca
Infographic Ehlers danlos syndrome symptoms, Ehlers danlos syndrome Ehlers-Danlos And Kidney Problems At 3‐month follow‐up, her abdominal pain resolved, renal function remains stable, and no further vascular accidents occurred. Eds is characterized by hypermobile joints and a deficiency in collagen (connective tissue) that results. A typical scenario is when someone has heart disease,. Some studies looked at multiple subtypes (11%) or did not report subtype (33%). Eds is most often an autosomal.. Ehlers-Danlos And Kidney Problems.
From www.consultant360.com
Renal Infarction in EhlersDanlos Syndrome Consultant360 Ehlers-Danlos And Kidney Problems Eds is characterized by hypermobile joints and a deficiency in collagen (connective tissue) that results. Whenever the blood circulation to the kidneys is stopped, it is referred to as a renal infarction (or kidney failure). Srad is an emerging cause of kidney infarction that accounts for a relevant portion, if not the majority, of the cases occurring in the absence. Ehlers-Danlos And Kidney Problems.
From ar.inspiredpencil.com
Vascular Ehlers Danlos Syndrome Ehlers-Danlos And Kidney Problems At 3‐month follow‐up, her abdominal pain resolved, renal function remains stable, and no further vascular accidents occurred. Eds is most often an autosomal. Eds is characterized by hypermobile joints and a deficiency in collagen (connective tissue) that results. Reported complications included urinary (41%), gynecological (36%), obstetrical (25%), renal (9%), and. Srad is an emerging cause of kidney infarction that accounts. Ehlers-Danlos And Kidney Problems.
From medizzy.com
EHLERS DANLOS SYNDROME (EDS) MEDizzy Ehlers-Danlos And Kidney Problems Whenever the blood circulation to the kidneys is stopped, it is referred to as a renal infarction (or kidney failure). At 3‐month follow‐up, her abdominal pain resolved, renal function remains stable, and no further vascular accidents occurred. Some studies looked at multiple subtypes (11%) or did not report subtype (33%). A typical scenario is when someone has heart disease,. Eds. Ehlers-Danlos And Kidney Problems.
From www.slideshare.net
EhlersDanlos Syndrome & Hypermobility Ehlers-Danlos And Kidney Problems Srad is an emerging cause of kidney infarction that accounts for a relevant portion, if not the majority, of the cases occurring in the absence of the classic risk factors for kidney infarction. At 3‐month follow‐up, her abdominal pain resolved, renal function remains stable, and no further vascular accidents occurred. Eds is most often an autosomal. Reported complications included urinary. Ehlers-Danlos And Kidney Problems.
From www.pinterest.com
Signs & Symptoms of Vascular EhlersDanlos Syndrome vEDS Vascular Ehlers-Danlos And Kidney Problems A typical scenario is when someone has heart disease,. Srad is an emerging cause of kidney infarction that accounts for a relevant portion, if not the majority, of the cases occurring in the absence of the classic risk factors for kidney infarction. Reported complications included urinary (41%), gynecological (36%), obstetrical (25%), renal (9%), and. Some studies looked at multiple subtypes. Ehlers-Danlos And Kidney Problems.
From www.medicalnewstoday.com
EhlersDanlos syndrome Symptoms, causes, and treatment Ehlers-Danlos And Kidney Problems A typical scenario is when someone has heart disease,. Eds is characterized by hypermobile joints and a deficiency in collagen (connective tissue) that results. Whenever the blood circulation to the kidneys is stopped, it is referred to as a renal infarction (or kidney failure). Some studies looked at multiple subtypes (11%) or did not report subtype (33%). Srad is an. Ehlers-Danlos And Kidney Problems.
From www.slideserve.com
PPT EHLERSDANLOS SYNDROME PowerPoint Presentation ID266473 Ehlers-Danlos And Kidney Problems Eds is characterized by hypermobile joints and a deficiency in collagen (connective tissue) that results. At 3‐month follow‐up, her abdominal pain resolved, renal function remains stable, and no further vascular accidents occurred. Eds is most often an autosomal. Whenever the blood circulation to the kidneys is stopped, it is referred to as a renal infarction (or kidney failure). Srad is. Ehlers-Danlos And Kidney Problems.
From www.slideserve.com
PPT Urology Syndrome PowerPoint Presentation ID509321 Ehlers-Danlos And Kidney Problems A typical scenario is when someone has heart disease,. At 3‐month follow‐up, her abdominal pain resolved, renal function remains stable, and no further vascular accidents occurred. Eds is most often an autosomal. Some studies looked at multiple subtypes (11%) or did not report subtype (33%). Reported complications included urinary (41%), gynecological (36%), obstetrical (25%), renal (9%), and. Eds is characterized. Ehlers-Danlos And Kidney Problems.
From www.pinterest.co.kr
Check out 24 Surprising Symptoms of EhlersDanlos Syndrome on TheMighty Ehlers-Danlos And Kidney Problems Srad is an emerging cause of kidney infarction that accounts for a relevant portion, if not the majority, of the cases occurring in the absence of the classic risk factors for kidney infarction. Whenever the blood circulation to the kidneys is stopped, it is referred to as a renal infarction (or kidney failure). Some studies looked at multiple subtypes (11%). Ehlers-Danlos And Kidney Problems.
From www.compleowaco.com
Ehlers Danlos Syndrome Compleo Waco, LLC Ehlers-Danlos And Kidney Problems At 3‐month follow‐up, her abdominal pain resolved, renal function remains stable, and no further vascular accidents occurred. A typical scenario is when someone has heart disease,. Reported complications included urinary (41%), gynecological (36%), obstetrical (25%), renal (9%), and. Eds is characterized by hypermobile joints and a deficiency in collagen (connective tissue) that results. Whenever the blood circulation to the kidneys. Ehlers-Danlos And Kidney Problems.
From www.frontiersin.org
Frontiers Case report Lingering postconcussive symptoms in a Ehlers-Danlos And Kidney Problems Whenever the blood circulation to the kidneys is stopped, it is referred to as a renal infarction (or kidney failure). Some studies looked at multiple subtypes (11%) or did not report subtype (33%). Reported complications included urinary (41%), gynecological (36%), obstetrical (25%), renal (9%), and. Srad is an emerging cause of kidney infarction that accounts for a relevant portion, if. Ehlers-Danlos And Kidney Problems.
From www.slideserve.com
PPT CONNECTIVE TISSUE PowerPoint Presentation, free download ID3787471 Ehlers-Danlos And Kidney Problems At 3‐month follow‐up, her abdominal pain resolved, renal function remains stable, and no further vascular accidents occurred. Eds is most often an autosomal. Some studies looked at multiple subtypes (11%) or did not report subtype (33%). Eds is characterized by hypermobile joints and a deficiency in collagen (connective tissue) that results. Srad is an emerging cause of kidney infarction that. Ehlers-Danlos And Kidney Problems.
From healthwatch-centralbedfordshire.org.uk
EhlersDanlos Syndrome Comorbidities Healthwatch Central Bedfordshire Ehlers-Danlos And Kidney Problems Eds is most often an autosomal. Whenever the blood circulation to the kidneys is stopped, it is referred to as a renal infarction (or kidney failure). Eds is characterized by hypermobile joints and a deficiency in collagen (connective tissue) that results. At 3‐month follow‐up, her abdominal pain resolved, renal function remains stable, and no further vascular accidents occurred. Reported complications. Ehlers-Danlos And Kidney Problems.
From healthjade.net
EhlersDanlos Syndrome Causes, Types, Symptoms, Treatment Ehlers-Danlos And Kidney Problems Eds is most often an autosomal. Some studies looked at multiple subtypes (11%) or did not report subtype (33%). A typical scenario is when someone has heart disease,. Eds is characterized by hypermobile joints and a deficiency in collagen (connective tissue) that results. Whenever the blood circulation to the kidneys is stopped, it is referred to as a renal infarction. Ehlers-Danlos And Kidney Problems.
From www.pinterest.com
161 best images about EhlersDanlos Syndrome on Pinterest Signs Ehlers-Danlos And Kidney Problems Eds is most often an autosomal. Some studies looked at multiple subtypes (11%) or did not report subtype (33%). Eds is characterized by hypermobile joints and a deficiency in collagen (connective tissue) that results. Srad is an emerging cause of kidney infarction that accounts for a relevant portion, if not the majority, of the cases occurring in the absence of. Ehlers-Danlos And Kidney Problems.
From myhealthmaven.com
What is EhlersDanlos Syndrome ? My Health Maven Ehlers-Danlos And Kidney Problems Some studies looked at multiple subtypes (11%) or did not report subtype (33%). Eds is characterized by hypermobile joints and a deficiency in collagen (connective tissue) that results. Whenever the blood circulation to the kidneys is stopped, it is referred to as a renal infarction (or kidney failure). A typical scenario is when someone has heart disease,. At 3‐month follow‐up,. Ehlers-Danlos And Kidney Problems.
From www.ehlers-danlos.com
Assessing Joint Hypermobility The Ehlers Danlos Society Ehlers-Danlos And Kidney Problems A typical scenario is when someone has heart disease,. Eds is most often an autosomal. Reported complications included urinary (41%), gynecological (36%), obstetrical (25%), renal (9%), and. At 3‐month follow‐up, her abdominal pain resolved, renal function remains stable, and no further vascular accidents occurred. Eds is characterized by hypermobile joints and a deficiency in collagen (connective tissue) that results. Srad. Ehlers-Danlos And Kidney Problems.
From ehlersdanlosawareness.com
Ehlers Danlos Kidney Problems Ehlers Danlos Awareness Ehlers-Danlos And Kidney Problems Reported complications included urinary (41%), gynecological (36%), obstetrical (25%), renal (9%), and. Whenever the blood circulation to the kidneys is stopped, it is referred to as a renal infarction (or kidney failure). At 3‐month follow‐up, her abdominal pain resolved, renal function remains stable, and no further vascular accidents occurred. A typical scenario is when someone has heart disease,. Some studies. Ehlers-Danlos And Kidney Problems.
From www.medicalnewstoday.com
Medullary sponge kidney Symptoms, diagnosis, and more Ehlers-Danlos And Kidney Problems Eds is characterized by hypermobile joints and a deficiency in collagen (connective tissue) that results. Srad is an emerging cause of kidney infarction that accounts for a relevant portion, if not the majority, of the cases occurring in the absence of the classic risk factors for kidney infarction. Some studies looked at multiple subtypes (11%) or did not report subtype. Ehlers-Danlos And Kidney Problems.
From draxe.com
EhlersDanlos Syndrome + Natural Ways to Help Symptoms Dr. Axe Ehlers-Danlos And Kidney Problems A typical scenario is when someone has heart disease,. Srad is an emerging cause of kidney infarction that accounts for a relevant portion, if not the majority, of the cases occurring in the absence of the classic risk factors for kidney infarction. Reported complications included urinary (41%), gynecological (36%), obstetrical (25%), renal (9%), and. Eds is most often an autosomal.. Ehlers-Danlos And Kidney Problems.
From healthjade.net
EhlersDanlos Syndrome Causes, Types, Symptoms, Treatment Ehlers-Danlos And Kidney Problems At 3‐month follow‐up, her abdominal pain resolved, renal function remains stable, and no further vascular accidents occurred. Eds is most often an autosomal. Eds is characterized by hypermobile joints and a deficiency in collagen (connective tissue) that results. A typical scenario is when someone has heart disease,. Whenever the blood circulation to the kidneys is stopped, it is referred to. Ehlers-Danlos And Kidney Problems.
From www.researchgate.net
(PDF) Classical type EhlersDanlos syndrome with autosomal dominant Ehlers-Danlos And Kidney Problems Some studies looked at multiple subtypes (11%) or did not report subtype (33%). Reported complications included urinary (41%), gynecological (36%), obstetrical (25%), renal (9%), and. Eds is characterized by hypermobile joints and a deficiency in collagen (connective tissue) that results. Eds is most often an autosomal. Srad is an emerging cause of kidney infarction that accounts for a relevant portion,. Ehlers-Danlos And Kidney Problems.
From mungfali.com
Signs Of Ehlers Danlos Syndrome Ehlers-Danlos And Kidney Problems Eds is characterized by hypermobile joints and a deficiency in collagen (connective tissue) that results. Some studies looked at multiple subtypes (11%) or did not report subtype (33%). Reported complications included urinary (41%), gynecological (36%), obstetrical (25%), renal (9%), and. Whenever the blood circulation to the kidneys is stopped, it is referred to as a renal infarction (or kidney failure).. Ehlers-Danlos And Kidney Problems.
From www.youtube.com
My Renal Artery Dissection and Kidney Infarction with VEDS (Vascular Ehlers-Danlos And Kidney Problems Eds is most often an autosomal. Reported complications included urinary (41%), gynecological (36%), obstetrical (25%), renal (9%), and. Some studies looked at multiple subtypes (11%) or did not report subtype (33%). A typical scenario is when someone has heart disease,. Srad is an emerging cause of kidney infarction that accounts for a relevant portion, if not the majority, of the. Ehlers-Danlos And Kidney Problems.
From www.youtube.com
Ehlers Danlos syndrome Causes, Diagnosis, Symptoms, Treatment Ehlers-Danlos And Kidney Problems Some studies looked at multiple subtypes (11%) or did not report subtype (33%). Reported complications included urinary (41%), gynecological (36%), obstetrical (25%), renal (9%), and. Srad is an emerging cause of kidney infarction that accounts for a relevant portion, if not the majority, of the cases occurring in the absence of the classic risk factors for kidney infarction. Whenever the. Ehlers-Danlos And Kidney Problems.
From smallbowel.com
Ehlers Danlos Syndrome with Bleeding Right Renal Artery Aneurysm and Ehlers-Danlos And Kidney Problems Some studies looked at multiple subtypes (11%) or did not report subtype (33%). A typical scenario is when someone has heart disease,. Eds is characterized by hypermobile joints and a deficiency in collagen (connective tissue) that results. Srad is an emerging cause of kidney infarction that accounts for a relevant portion, if not the majority, of the cases occurring in. Ehlers-Danlos And Kidney Problems.
From www.paramedicine.education
EhlersDanlos Syndrome PaReflectionEd Ehlers-Danlos And Kidney Problems Some studies looked at multiple subtypes (11%) or did not report subtype (33%). Srad is an emerging cause of kidney infarction that accounts for a relevant portion, if not the majority, of the cases occurring in the absence of the classic risk factors for kidney infarction. At 3‐month follow‐up, her abdominal pain resolved, renal function remains stable, and no further. Ehlers-Danlos And Kidney Problems.
From ehlersdanlosawareness.com
Ehlers Danlos Kidney Problems Ehlers Danlos Awareness Ehlers-Danlos And Kidney Problems A typical scenario is when someone has heart disease,. Eds is characterized by hypermobile joints and a deficiency in collagen (connective tissue) that results. Srad is an emerging cause of kidney infarction that accounts for a relevant portion, if not the majority, of the cases occurring in the absence of the classic risk factors for kidney infarction. Some studies looked. Ehlers-Danlos And Kidney Problems.
From www.slideshare.net
EhlersDanlos Syndrome & Hypermobility Ehlers-Danlos And Kidney Problems Some studies looked at multiple subtypes (11%) or did not report subtype (33%). Eds is most often an autosomal. A typical scenario is when someone has heart disease,. Reported complications included urinary (41%), gynecological (36%), obstetrical (25%), renal (9%), and. At 3‐month follow‐up, her abdominal pain resolved, renal function remains stable, and no further vascular accidents occurred. Whenever the blood. Ehlers-Danlos And Kidney Problems.
From www.pinterest.co.uk
Ehlers danlos syndrome, Vascular ehlers danlos syndrome, Ehlers danlos Ehlers-Danlos And Kidney Problems Some studies looked at multiple subtypes (11%) or did not report subtype (33%). Eds is most often an autosomal. Srad is an emerging cause of kidney infarction that accounts for a relevant portion, if not the majority, of the cases occurring in the absence of the classic risk factors for kidney infarction. A typical scenario is when someone has heart. Ehlers-Danlos And Kidney Problems.
From www.xcode.life
23 Signs You Grew Up With Ehlersdanlos Syndrome [2023] Ehlers-Danlos And Kidney Problems Reported complications included urinary (41%), gynecological (36%), obstetrical (25%), renal (9%), and. Eds is most often an autosomal. Eds is characterized by hypermobile joints and a deficiency in collagen (connective tissue) that results. Some studies looked at multiple subtypes (11%) or did not report subtype (33%). Srad is an emerging cause of kidney infarction that accounts for a relevant portion,. Ehlers-Danlos And Kidney Problems.
From www.kireports.org
Spontaneous Renal Artery Dissection in EhlerDanlos Syndrome Kidney Ehlers-Danlos And Kidney Problems Reported complications included urinary (41%), gynecological (36%), obstetrical (25%), renal (9%), and. Whenever the blood circulation to the kidneys is stopped, it is referred to as a renal infarction (or kidney failure). At 3‐month follow‐up, her abdominal pain resolved, renal function remains stable, and no further vascular accidents occurred. Srad is an emerging cause of kidney infarction that accounts for. Ehlers-Danlos And Kidney Problems.
From www.pinterest.com
bindweefselaandoeningen Ehlers danlos syndrome awareness, Elhers Ehlers-Danlos And Kidney Problems Eds is characterized by hypermobile joints and a deficiency in collagen (connective tissue) that results. Srad is an emerging cause of kidney infarction that accounts for a relevant portion, if not the majority, of the cases occurring in the absence of the classic risk factors for kidney infarction. Eds is most often an autosomal. At 3‐month follow‐up, her abdominal pain. Ehlers-Danlos And Kidney Problems.
From www.pinterest.com
Pin on EhlersDanlos and Fibromyalgia Ehlers-Danlos And Kidney Problems Eds is characterized by hypermobile joints and a deficiency in collagen (connective tissue) that results. Eds is most often an autosomal. A typical scenario is when someone has heart disease,. At 3‐month follow‐up, her abdominal pain resolved, renal function remains stable, and no further vascular accidents occurred. Whenever the blood circulation to the kidneys is stopped, it is referred to. Ehlers-Danlos And Kidney Problems.