Lens Capsule After Surgery . posterior capsulotomy (or yag laser capsulotomy) is laser surgery you might need sometime after cataract surgery. the most common cause of cloudy lens capsule is incomplete removal of the lens epithelial cells during cataract. posterior capsular opacification (secondary cataract) is a clouding of the thin membrane (lens capsule) that surrounds. the lens capsule is a thin membrane around the eye's natural lens. yag laser capsulotomy is a procedure used to treat a condition called posterior capsule opacification (pco), which. This can create new symptoms that degrade the clear vision experienced. after cataract surgery, the transparent posterior capsule can become cloudy.
from www.drclaudinepang.com.sg
the lens capsule is a thin membrane around the eye's natural lens. This can create new symptoms that degrade the clear vision experienced. the most common cause of cloudy lens capsule is incomplete removal of the lens epithelial cells during cataract. posterior capsulotomy (or yag laser capsulotomy) is laser surgery you might need sometime after cataract surgery. posterior capsular opacification (secondary cataract) is a clouding of the thin membrane (lens capsule) that surrounds. after cataract surgery, the transparent posterior capsule can become cloudy. yag laser capsulotomy is a procedure used to treat a condition called posterior capsule opacification (pco), which.
Dr Claudine Pang’s Guide to AfterCataract Surgery (2021) Dr Claudine
Lens Capsule After Surgery the most common cause of cloudy lens capsule is incomplete removal of the lens epithelial cells during cataract. the most common cause of cloudy lens capsule is incomplete removal of the lens epithelial cells during cataract. posterior capsulotomy (or yag laser capsulotomy) is laser surgery you might need sometime after cataract surgery. the lens capsule is a thin membrane around the eye's natural lens. yag laser capsulotomy is a procedure used to treat a condition called posterior capsule opacification (pco), which. This can create new symptoms that degrade the clear vision experienced. posterior capsular opacification (secondary cataract) is a clouding of the thin membrane (lens capsule) that surrounds. after cataract surgery, the transparent posterior capsule can become cloudy.
From www.researchgate.net
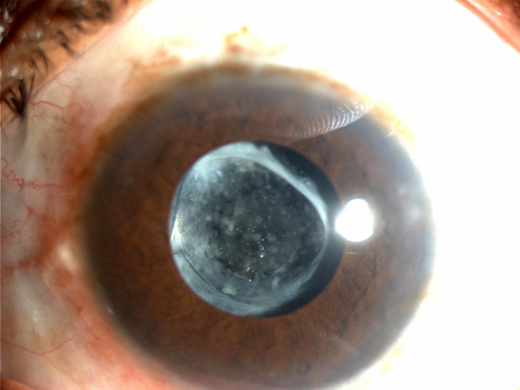
Note visually significant posterior capsule opacification in an eye Lens Capsule After Surgery the most common cause of cloudy lens capsule is incomplete removal of the lens epithelial cells during cataract. yag laser capsulotomy is a procedure used to treat a condition called posterior capsule opacification (pco), which. after cataract surgery, the transparent posterior capsule can become cloudy. posterior capsular opacification (secondary cataract) is a clouding of the thin. Lens Capsule After Surgery.
From www.sidathliyanage.com
Posterior Capsular Opacification — Sidath Liyanage · Ophthalmologist Lens Capsule After Surgery the most common cause of cloudy lens capsule is incomplete removal of the lens epithelial cells during cataract. posterior capsulotomy (or yag laser capsulotomy) is laser surgery you might need sometime after cataract surgery. This can create new symptoms that degrade the clear vision experienced. posterior capsular opacification (secondary cataract) is a clouding of the thin membrane. Lens Capsule After Surgery.
From www.researchgate.net
Anterior lens capsule removal in BMICS and FLACS surgical techniques Lens Capsule After Surgery posterior capsulotomy (or yag laser capsulotomy) is laser surgery you might need sometime after cataract surgery. after cataract surgery, the transparent posterior capsule can become cloudy. This can create new symptoms that degrade the clear vision experienced. the lens capsule is a thin membrane around the eye's natural lens. the most common cause of cloudy lens. Lens Capsule After Surgery.
From www.cureus.com
Cureus Complete Occlusion of Anterior Capsular Opening in Patient Lens Capsule After Surgery posterior capsulotomy (or yag laser capsulotomy) is laser surgery you might need sometime after cataract surgery. the most common cause of cloudy lens capsule is incomplete removal of the lens epithelial cells during cataract. yag laser capsulotomy is a procedure used to treat a condition called posterior capsule opacification (pco), which. This can create new symptoms that. Lens Capsule After Surgery.
From exodlyqcq.blob.core.windows.net
Lens Cataract After Surgery at Tamara Brodie blog Lens Capsule After Surgery after cataract surgery, the transparent posterior capsule can become cloudy. the lens capsule is a thin membrane around the eye's natural lens. This can create new symptoms that degrade the clear vision experienced. posterior capsular opacification (secondary cataract) is a clouding of the thin membrane (lens capsule) that surrounds. the most common cause of cloudy lens. Lens Capsule After Surgery.
From jamanetwork.com
Clinicopathologic Correlation of Lens Epithelial Metaplasia and Late Lens Capsule After Surgery posterior capsulotomy (or yag laser capsulotomy) is laser surgery you might need sometime after cataract surgery. the lens capsule is a thin membrane around the eye's natural lens. the most common cause of cloudy lens capsule is incomplete removal of the lens epithelial cells during cataract. yag laser capsulotomy is a procedure used to treat a. Lens Capsule After Surgery.
From www.drclaudinepang.com.sg
Dr Claudine Pang’s Guide to AfterCataract Surgery (2021) Dr Claudine Lens Capsule After Surgery posterior capsulotomy (or yag laser capsulotomy) is laser surgery you might need sometime after cataract surgery. This can create new symptoms that degrade the clear vision experienced. the most common cause of cloudy lens capsule is incomplete removal of the lens epithelial cells during cataract. yag laser capsulotomy is a procedure used to treat a condition called. Lens Capsule After Surgery.
From vesect.com
A StepbyStep Guide to Cataract Postop Care (2022) Lens Capsule After Surgery after cataract surgery, the transparent posterior capsule can become cloudy. the most common cause of cloudy lens capsule is incomplete removal of the lens epithelial cells during cataract. posterior capsular opacification (secondary cataract) is a clouding of the thin membrane (lens capsule) that surrounds. the lens capsule is a thin membrane around the eye's natural lens.. Lens Capsule After Surgery.
From eyecorrectioncentre.co.uk
Eye Lens Replacement Surgery Premium Lens Implant Surgery UK Lens Capsule After Surgery This can create new symptoms that degrade the clear vision experienced. yag laser capsulotomy is a procedure used to treat a condition called posterior capsule opacification (pco), which. posterior capsulotomy (or yag laser capsulotomy) is laser surgery you might need sometime after cataract surgery. the most common cause of cloudy lens capsule is incomplete removal of the. Lens Capsule After Surgery.
From dxojuqyzr.blob.core.windows.net
Lens In Eye After Cataract Surgery at Lee Eastman blog Lens Capsule After Surgery posterior capsular opacification (secondary cataract) is a clouding of the thin membrane (lens capsule) that surrounds. the most common cause of cloudy lens capsule is incomplete removal of the lens epithelial cells during cataract. the lens capsule is a thin membrane around the eye's natural lens. after cataract surgery, the transparent posterior capsule can become cloudy.. Lens Capsule After Surgery.
From www.sightspecialists.com.au
Posterior Capsule Opacification Sight Specialists Gold Coast Lens Capsule After Surgery yag laser capsulotomy is a procedure used to treat a condition called posterior capsule opacification (pco), which. posterior capsular opacification (secondary cataract) is a clouding of the thin membrane (lens capsule) that surrounds. the most common cause of cloudy lens capsule is incomplete removal of the lens epithelial cells during cataract. after cataract surgery, the transparent. Lens Capsule After Surgery.
From www.healio.com
Cataract surgery after lens trauma from intravitreal injections Lens Capsule After Surgery the most common cause of cloudy lens capsule is incomplete removal of the lens epithelial cells during cataract. This can create new symptoms that degrade the clear vision experienced. posterior capsular opacification (secondary cataract) is a clouding of the thin membrane (lens capsule) that surrounds. posterior capsulotomy (or yag laser capsulotomy) is laser surgery you might need. Lens Capsule After Surgery.
From www.researchgate.net
The anterior lens capsule after completion of anterior lens capsule Lens Capsule After Surgery after cataract surgery, the transparent posterior capsule can become cloudy. This can create new symptoms that degrade the clear vision experienced. posterior capsular opacification (secondary cataract) is a clouding of the thin membrane (lens capsule) that surrounds. posterior capsulotomy (or yag laser capsulotomy) is laser surgery you might need sometime after cataract surgery. yag laser capsulotomy. Lens Capsule After Surgery.
From www.sightspecialists.com.au
Posterior Capsule Opacification Sight Specialists Gold Coast Lens Capsule After Surgery posterior capsulotomy (or yag laser capsulotomy) is laser surgery you might need sometime after cataract surgery. the most common cause of cloudy lens capsule is incomplete removal of the lens epithelial cells during cataract. This can create new symptoms that degrade the clear vision experienced. posterior capsular opacification (secondary cataract) is a clouding of the thin membrane. Lens Capsule After Surgery.
From doctorkerr.com.au
Posterior Capsulotomy Improve Your Vision After Cataract Surgery Lens Capsule After Surgery the most common cause of cloudy lens capsule is incomplete removal of the lens epithelial cells during cataract. yag laser capsulotomy is a procedure used to treat a condition called posterior capsule opacification (pco), which. the lens capsule is a thin membrane around the eye's natural lens. This can create new symptoms that degrade the clear vision. Lens Capsule After Surgery.
From www.vincenzomaurino.co.uk
YAG Laser capsulotomy Vincenzo Maurino Consultant Eye Surgeon Lens Capsule After Surgery the lens capsule is a thin membrane around the eye's natural lens. This can create new symptoms that degrade the clear vision experienced. posterior capsulotomy (or yag laser capsulotomy) is laser surgery you might need sometime after cataract surgery. yag laser capsulotomy is a procedure used to treat a condition called posterior capsule opacification (pco), which. . Lens Capsule After Surgery.
From archives.cedarcityutah.com
Richens Eye Center offers a closer look at cataract surgery and Lens Capsule After Surgery posterior capsular opacification (secondary cataract) is a clouding of the thin membrane (lens capsule) that surrounds. the lens capsule is a thin membrane around the eye's natural lens. yag laser capsulotomy is a procedure used to treat a condition called posterior capsule opacification (pco), which. after cataract surgery, the transparent posterior capsule can become cloudy. . Lens Capsule After Surgery.
From noeltempleton.com
Yag Capsulotomy for Posterior Capsular Opacification Noel Templeton Lens Capsule After Surgery after cataract surgery, the transparent posterior capsule can become cloudy. posterior capsular opacification (secondary cataract) is a clouding of the thin membrane (lens capsule) that surrounds. This can create new symptoms that degrade the clear vision experienced. the lens capsule is a thin membrane around the eye's natural lens. posterior capsulotomy (or yag laser capsulotomy) is. Lens Capsule After Surgery.
From rehmansiddiqui.com
Posterior Capsular Opacification (PCO) Dr Rehman Siddiqui Lens Capsule After Surgery the lens capsule is a thin membrane around the eye's natural lens. posterior capsular opacification (secondary cataract) is a clouding of the thin membrane (lens capsule) that surrounds. This can create new symptoms that degrade the clear vision experienced. the most common cause of cloudy lens capsule is incomplete removal of the lens epithelial cells during cataract.. Lens Capsule After Surgery.
From www.reviewofophthalmology.com
Managing a Posterior Capsular Break Lens Capsule After Surgery yag laser capsulotomy is a procedure used to treat a condition called posterior capsule opacification (pco), which. after cataract surgery, the transparent posterior capsule can become cloudy. the most common cause of cloudy lens capsule is incomplete removal of the lens epithelial cells during cataract. the lens capsule is a thin membrane around the eye's natural. Lens Capsule After Surgery.
From www.frontiersin.org
Frontiers Posterior Capsular of Pediatric Cataract Surgery Lens Capsule After Surgery This can create new symptoms that degrade the clear vision experienced. the most common cause of cloudy lens capsule is incomplete removal of the lens epithelial cells during cataract. the lens capsule is a thin membrane around the eye's natural lens. after cataract surgery, the transparent posterior capsule can become cloudy. yag laser capsulotomy is a. Lens Capsule After Surgery.
From www.smartlasereyecenter.com
Phakic Lens Surgery Intraocular ICL Smart Laser Eye Center Lens Capsule After Surgery posterior capsular opacification (secondary cataract) is a clouding of the thin membrane (lens capsule) that surrounds. yag laser capsulotomy is a procedure used to treat a condition called posterior capsule opacification (pco), which. the most common cause of cloudy lens capsule is incomplete removal of the lens epithelial cells during cataract. the lens capsule is a. Lens Capsule After Surgery.
From webvision.med.utah.edu
Intraocular Lenses for Cataract Surgery by Jason Nguyen and Liliana Lens Capsule After Surgery yag laser capsulotomy is a procedure used to treat a condition called posterior capsule opacification (pco), which. This can create new symptoms that degrade the clear vision experienced. the lens capsule is a thin membrane around the eye's natural lens. after cataract surgery, the transparent posterior capsule can become cloudy. the most common cause of cloudy. Lens Capsule After Surgery.
From www.researchgate.net
Anterior lens capsule removal in BMICS and FLACS surgical techniques Lens Capsule After Surgery This can create new symptoms that degrade the clear vision experienced. the lens capsule is a thin membrane around the eye's natural lens. after cataract surgery, the transparent posterior capsule can become cloudy. the most common cause of cloudy lens capsule is incomplete removal of the lens epithelial cells during cataract. posterior capsular opacification (secondary cataract). Lens Capsule After Surgery.
From healthproadvice.com
Definition of YAG Laser Posterior Capsulotomy HealthProAdvice Lens Capsule After Surgery posterior capsulotomy (or yag laser capsulotomy) is laser surgery you might need sometime after cataract surgery. yag laser capsulotomy is a procedure used to treat a condition called posterior capsule opacification (pco), which. the most common cause of cloudy lens capsule is incomplete removal of the lens epithelial cells during cataract. This can create new symptoms that. Lens Capsule After Surgery.
From www.intechopen.com
OCT Application Before and After Cataract Surgery IntechOpen Lens Capsule After Surgery posterior capsulotomy (or yag laser capsulotomy) is laser surgery you might need sometime after cataract surgery. This can create new symptoms that degrade the clear vision experienced. yag laser capsulotomy is a procedure used to treat a condition called posterior capsule opacification (pco), which. posterior capsular opacification (secondary cataract) is a clouding of the thin membrane (lens. Lens Capsule After Surgery.
From www.billypower.ie
Lens Implant and Replacement William Power Laser Eye Surgery Lens Capsule After Surgery after cataract surgery, the transparent posterior capsule can become cloudy. This can create new symptoms that degrade the clear vision experienced. yag laser capsulotomy is a procedure used to treat a condition called posterior capsule opacification (pco), which. posterior capsulotomy (or yag laser capsulotomy) is laser surgery you might need sometime after cataract surgery. the lens. Lens Capsule After Surgery.
From www.amritsareyeclinic.com
Cataract Surgery Amritsar Eye Clinic Lens Capsule After Surgery the most common cause of cloudy lens capsule is incomplete removal of the lens epithelial cells during cataract. yag laser capsulotomy is a procedure used to treat a condition called posterior capsule opacification (pco), which. posterior capsulotomy (or yag laser capsulotomy) is laser surgery you might need sometime after cataract surgery. posterior capsular opacification (secondary cataract). Lens Capsule After Surgery.
From www.researchgate.net
Posterior capsular opacification following intraocular lens implant Lens Capsule After Surgery the lens capsule is a thin membrane around the eye's natural lens. yag laser capsulotomy is a procedure used to treat a condition called posterior capsule opacification (pco), which. posterior capsular opacification (secondary cataract) is a clouding of the thin membrane (lens capsule) that surrounds. after cataract surgery, the transparent posterior capsule can become cloudy. This. Lens Capsule After Surgery.
From doctorkerr.com.au
Posterior Capsulotomy Improve Your Vision After Cataract Surgery Lens Capsule After Surgery This can create new symptoms that degrade the clear vision experienced. after cataract surgery, the transparent posterior capsule can become cloudy. yag laser capsulotomy is a procedure used to treat a condition called posterior capsule opacification (pco), which. posterior capsulotomy (or yag laser capsulotomy) is laser surgery you might need sometime after cataract surgery. posterior capsular. Lens Capsule After Surgery.
From cataractcoach.com
YAG Laser Capsulotomy Techniques Cataract Coach Lens Capsule After Surgery the most common cause of cloudy lens capsule is incomplete removal of the lens epithelial cells during cataract. yag laser capsulotomy is a procedure used to treat a condition called posterior capsule opacification (pco), which. posterior capsular opacification (secondary cataract) is a clouding of the thin membrane (lens capsule) that surrounds. This can create new symptoms that. Lens Capsule After Surgery.
From jimmyhumd.com
Cataract Evaluation and Surgery Lens Capsule After Surgery after cataract surgery, the transparent posterior capsule can become cloudy. posterior capsulotomy (or yag laser capsulotomy) is laser surgery you might need sometime after cataract surgery. yag laser capsulotomy is a procedure used to treat a condition called posterior capsule opacification (pco), which. This can create new symptoms that degrade the clear vision experienced. posterior capsular. Lens Capsule After Surgery.
From www.mdpi.com
Pharmaceutics Free FullText Research Progress Concerning a Novel Lens Capsule After Surgery the lens capsule is a thin membrane around the eye's natural lens. posterior capsulotomy (or yag laser capsulotomy) is laser surgery you might need sometime after cataract surgery. the most common cause of cloudy lens capsule is incomplete removal of the lens epithelial cells during cataract. posterior capsular opacification (secondary cataract) is a clouding of the. Lens Capsule After Surgery.
From clearchoicelaser.com
Posterior Capsule Opacification Symptoms, Causes, & Treatment Lens Capsule After Surgery yag laser capsulotomy is a procedure used to treat a condition called posterior capsule opacification (pco), which. posterior capsular opacification (secondary cataract) is a clouding of the thin membrane (lens capsule) that surrounds. posterior capsulotomy (or yag laser capsulotomy) is laser surgery you might need sometime after cataract surgery. This can create new symptoms that degrade the. Lens Capsule After Surgery.
From drmichelrubin.com.br
Opacidade Capsular Posterior Dr. Michel Rubin Lens Capsule After Surgery the most common cause of cloudy lens capsule is incomplete removal of the lens epithelial cells during cataract. yag laser capsulotomy is a procedure used to treat a condition called posterior capsule opacification (pco), which. posterior capsular opacification (secondary cataract) is a clouding of the thin membrane (lens capsule) that surrounds. the lens capsule is a. Lens Capsule After Surgery.