What Is A Dens Fracture . Type i, type ii, and type iii, depending on the location and morphology of the fracture.[1]. The c2 vertebra, also known as the axis, is one of three atypical vertebrae. A fracture of the odontoid bone (also called the dens), is an upward extension of c2 cervical vertebrae (i.e., axis) up into the c1 cervical vertebrae (i.e., atlas) and is held in place partially by the alar, apical. The odontoid process, also called the dens, is a protuberance of the axis. It can be fractured, dislocated or compressed by trauma, causing serious complications such as brain stem damage or spinal cord injury. Fractures of the odontoid process are categorized into 3 types: Odontoid process fracture, also known as a peg or dens fracture, occurs where there is a fracture through the odontoid process of c2. A den's fracture is a break in the second vertebra of the neck, caused by a whiplash type injury. Odontoid fractures, also known as dens fractures or peg fractures, are a specific type of cervical spine fracture that involves the second. Odontoid fractures are relatively common fractures of the c2 (axis) dens that can be seen in low energy falls in elderly patients and. The odontoid process, or dens, is a bone that connects the atlas and axis vertebrae in the neck.
from www.physio-pedia.com
The odontoid process, also called the dens, is a protuberance of the axis. The odontoid process, or dens, is a bone that connects the atlas and axis vertebrae in the neck. It can be fractured, dislocated or compressed by trauma, causing serious complications such as brain stem damage or spinal cord injury. A den's fracture is a break in the second vertebra of the neck, caused by a whiplash type injury. A fracture of the odontoid bone (also called the dens), is an upward extension of c2 cervical vertebrae (i.e., axis) up into the c1 cervical vertebrae (i.e., atlas) and is held in place partially by the alar, apical. The c2 vertebra, also known as the axis, is one of three atypical vertebrae. Odontoid fractures, also known as dens fractures or peg fractures, are a specific type of cervical spine fracture that involves the second. Fractures of the odontoid process are categorized into 3 types: Type i, type ii, and type iii, depending on the location and morphology of the fracture.[1]. Odontoid process fracture, also known as a peg or dens fracture, occurs where there is a fracture through the odontoid process of c2.
Odontoid fractures Physiopedia
What Is A Dens Fracture Odontoid fractures, also known as dens fractures or peg fractures, are a specific type of cervical spine fracture that involves the second. A fracture of the odontoid bone (also called the dens), is an upward extension of c2 cervical vertebrae (i.e., axis) up into the c1 cervical vertebrae (i.e., atlas) and is held in place partially by the alar, apical. Odontoid fractures are relatively common fractures of the c2 (axis) dens that can be seen in low energy falls in elderly patients and. Type i, type ii, and type iii, depending on the location and morphology of the fracture.[1]. Odontoid fractures, also known as dens fractures or peg fractures, are a specific type of cervical spine fracture that involves the second. A den's fracture is a break in the second vertebra of the neck, caused by a whiplash type injury. The odontoid process, or dens, is a bone that connects the atlas and axis vertebrae in the neck. Fractures of the odontoid process are categorized into 3 types: Odontoid process fracture, also known as a peg or dens fracture, occurs where there is a fracture through the odontoid process of c2. The c2 vertebra, also known as the axis, is one of three atypical vertebrae. The odontoid process, also called the dens, is a protuberance of the axis. It can be fractured, dislocated or compressed by trauma, causing serious complications such as brain stem damage or spinal cord injury.
From www.globalradiologycme.com
Type 2 Dens Fracture What Is A Dens Fracture The c2 vertebra, also known as the axis, is one of three atypical vertebrae. A den's fracture is a break in the second vertebra of the neck, caused by a whiplash type injury. Odontoid process fracture, also known as a peg or dens fracture, occurs where there is a fracture through the odontoid process of c2. Odontoid fractures are relatively. What Is A Dens Fracture.
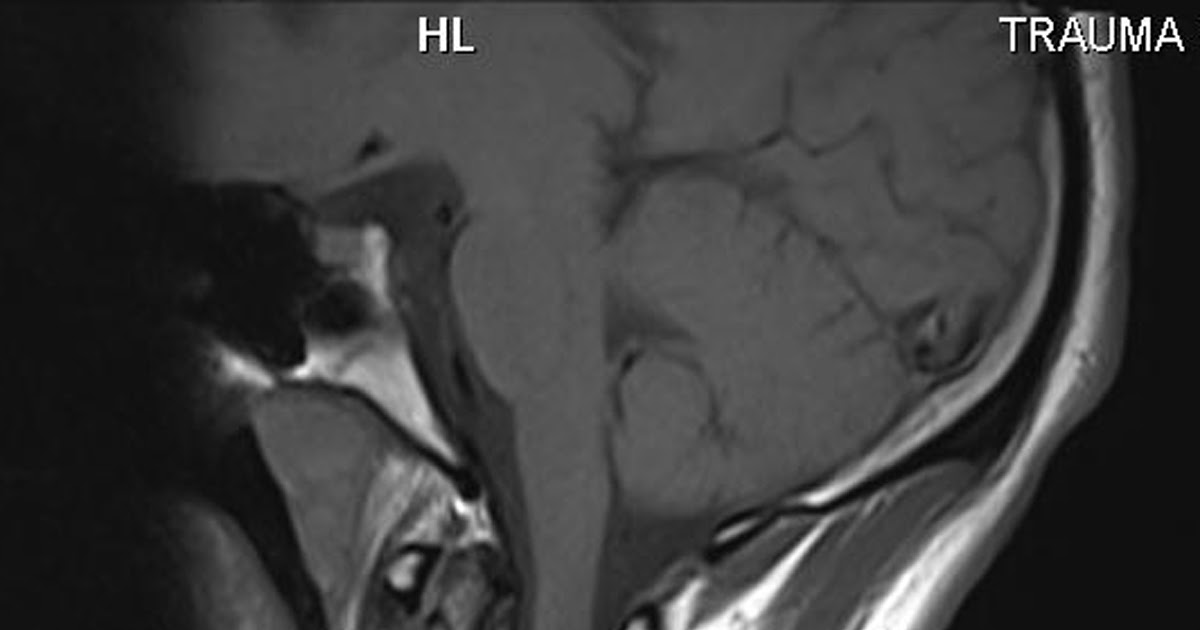
From boneschool.com
Dens / Odontoid Fracture The Bone School What Is A Dens Fracture Odontoid fractures are relatively common fractures of the c2 (axis) dens that can be seen in low energy falls in elderly patients and. A fracture of the odontoid bone (also called the dens), is an upward extension of c2 cervical vertebrae (i.e., axis) up into the c1 cervical vertebrae (i.e., atlas) and is held in place partially by the alar,. What Is A Dens Fracture.
From manju-imagingxpert.blogspot.com
Radiodiagnosis Imaging is AmazingInteresting cases Fracture of the What Is A Dens Fracture The odontoid process, also called the dens, is a protuberance of the axis. Odontoid fractures, also known as dens fractures or peg fractures, are a specific type of cervical spine fracture that involves the second. A den's fracture is a break in the second vertebra of the neck, caused by a whiplash type injury. A fracture of the odontoid bone. What Is A Dens Fracture.
From atlas.mudr.org
Radiology case Transverse fracture of the dens axis What Is A Dens Fracture It can be fractured, dislocated or compressed by trauma, causing serious complications such as brain stem damage or spinal cord injury. A fracture of the odontoid bone (also called the dens), is an upward extension of c2 cervical vertebrae (i.e., axis) up into the c1 cervical vertebrae (i.e., atlas) and is held in place partially by the alar, apical. Type. What Is A Dens Fracture.
From fineartamerica.com
Dens Fracture. Cervical Spine Xray Photograph by Photostockisrael What Is A Dens Fracture Type i, type ii, and type iii, depending on the location and morphology of the fracture.[1]. The odontoid process, also called the dens, is a protuberance of the axis. Odontoid fractures are relatively common fractures of the c2 (axis) dens that can be seen in low energy falls in elderly patients and. Fractures of the odontoid process are categorized into. What Is A Dens Fracture.
From ar.inspiredpencil.com
Dens Fracture Ct What Is A Dens Fracture It can be fractured, dislocated or compressed by trauma, causing serious complications such as brain stem damage or spinal cord injury. Fractures of the odontoid process are categorized into 3 types: The odontoid process, also called the dens, is a protuberance of the axis. A fracture of the odontoid bone (also called the dens), is an upward extension of c2. What Is A Dens Fracture.
From postgad.blogspot.com
Post Gad Dens Fracture What Is A Dens Fracture It can be fractured, dislocated or compressed by trauma, causing serious complications such as brain stem damage or spinal cord injury. The odontoid process, or dens, is a bone that connects the atlas and axis vertebrae in the neck. Odontoid fractures are relatively common fractures of the c2 (axis) dens that can be seen in low energy falls in elderly. What Is A Dens Fracture.
From lookfordiagnosis.com
Cervical Vertebrae What Is A Dens Fracture The odontoid process, or dens, is a bone that connects the atlas and axis vertebrae in the neck. A den's fracture is a break in the second vertebra of the neck, caused by a whiplash type injury. The odontoid process, also called the dens, is a protuberance of the axis. Odontoid fractures are relatively common fractures of the c2 (axis). What Is A Dens Fracture.
From www.researchgate.net
(A) Sagittal CT of the patient's Cspine. She had a type II dens What Is A Dens Fracture The odontoid process, or dens, is a bone that connects the atlas and axis vertebrae in the neck. Odontoid process fracture, also known as a peg or dens fracture, occurs where there is a fracture through the odontoid process of c2. It can be fractured, dislocated or compressed by trauma, causing serious complications such as brain stem damage or spinal. What Is A Dens Fracture.
From www.globalradiologycme.com
Type 3 Dens Fracture What Is A Dens Fracture Fractures of the odontoid process are categorized into 3 types: A fracture of the odontoid bone (also called the dens), is an upward extension of c2 cervical vertebrae (i.e., axis) up into the c1 cervical vertebrae (i.e., atlas) and is held in place partially by the alar, apical. Odontoid process fracture, also known as a peg or dens fracture, occurs. What Is A Dens Fracture.
From www.pediagenosis.com
CLINICAL PROBLEMS AND CORRELATIONS OF CRANIOVERTEBRAL JUNCTION What Is A Dens Fracture Odontoid fractures are relatively common fractures of the c2 (axis) dens that can be seen in low energy falls in elderly patients and. The odontoid process, also called the dens, is a protuberance of the axis. The odontoid process, or dens, is a bone that connects the atlas and axis vertebrae in the neck. A fracture of the odontoid bone. What Is A Dens Fracture.
From step1.medbullets.com
Odontoid Fracture (Adult and Pediatric) Spine Medbullets Step 1 What Is A Dens Fracture It can be fractured, dislocated or compressed by trauma, causing serious complications such as brain stem damage or spinal cord injury. The c2 vertebra, also known as the axis, is one of three atypical vertebrae. Odontoid process fracture, also known as a peg or dens fracture, occurs where there is a fracture through the odontoid process of c2. A den's. What Is A Dens Fracture.
From sites.uw.edu
Anderson D’Alonzo Classification of Odontoid Fractures UW Emergency What Is A Dens Fracture The odontoid process, also called the dens, is a protuberance of the axis. Type i, type ii, and type iii, depending on the location and morphology of the fracture.[1]. Odontoid process fracture, also known as a peg or dens fracture, occurs where there is a fracture through the odontoid process of c2. The odontoid process, or dens, is a bone. What Is A Dens Fracture.
From rxharun.com
C2 C3 Vertebrae Fracture Symptoms, Diagnosis, Treatment Rxharun What Is A Dens Fracture A den's fracture is a break in the second vertebra of the neck, caused by a whiplash type injury. Type i, type ii, and type iii, depending on the location and morphology of the fracture.[1]. Odontoid fractures, also known as dens fractures or peg fractures, are a specific type of cervical spine fracture that involves the second. Odontoid fractures are. What Is A Dens Fracture.
From www.youtube.com
Odontoid Fracture Or Dens Fracture In Cervical Spine . YouTube What Is A Dens Fracture The odontoid process, or dens, is a bone that connects the atlas and axis vertebrae in the neck. Odontoid fractures are relatively common fractures of the c2 (axis) dens that can be seen in low energy falls in elderly patients and. Fractures of the odontoid process are categorized into 3 types: Odontoid fractures, also known as dens fractures or peg. What Is A Dens Fracture.
From sites.uw.edu
Spine Fracture Classification 2019 UW Emergency Radiology What Is A Dens Fracture Fractures of the odontoid process are categorized into 3 types: Type i, type ii, and type iii, depending on the location and morphology of the fracture.[1]. Odontoid process fracture, also known as a peg or dens fracture, occurs where there is a fracture through the odontoid process of c2. A fracture of the odontoid bone (also called the dens), is. What Is A Dens Fracture.
From www.slideserve.com
PPT Traumatic Spine and Spinal Cord Injuries PowerPoint Presentation What Is A Dens Fracture A fracture of the odontoid bone (also called the dens), is an upward extension of c2 cervical vertebrae (i.e., axis) up into the c1 cervical vertebrae (i.e., atlas) and is held in place partially by the alar, apical. Odontoid fractures are relatively common fractures of the c2 (axis) dens that can be seen in low energy falls in elderly patients. What Is A Dens Fracture.
From www.physio-pedia.com
Odontoid fractures Physiopedia What Is A Dens Fracture Odontoid fractures, also known as dens fractures or peg fractures, are a specific type of cervical spine fracture that involves the second. Fractures of the odontoid process are categorized into 3 types: A den's fracture is a break in the second vertebra of the neck, caused by a whiplash type injury. Odontoid fractures are relatively common fractures of the c2. What Is A Dens Fracture.
From hughston.com
Odontoid Fractures Hughston Clinic What Is A Dens Fracture A den's fracture is a break in the second vertebra of the neck, caused by a whiplash type injury. The c2 vertebra, also known as the axis, is one of three atypical vertebrae. Odontoid fractures are relatively common fractures of the c2 (axis) dens that can be seen in low energy falls in elderly patients and. Type i, type ii,. What Is A Dens Fracture.
From teachmeanatomy.info
The Cervical Spine Features Joints Ligaments TeachMeAnatomy What Is A Dens Fracture The odontoid process, or dens, is a bone that connects the atlas and axis vertebrae in the neck. The c2 vertebra, also known as the axis, is one of three atypical vertebrae. A den's fracture is a break in the second vertebra of the neck, caused by a whiplash type injury. Odontoid fractures are relatively common fractures of the c2. What Is A Dens Fracture.
From ar.inspiredpencil.com
Dens Fracture Ct What Is A Dens Fracture Fractures of the odontoid process are categorized into 3 types: Type i, type ii, and type iii, depending on the location and morphology of the fracture.[1]. A fracture of the odontoid bone (also called the dens), is an upward extension of c2 cervical vertebrae (i.e., axis) up into the c1 cervical vertebrae (i.e., atlas) and is held in place partially. What Is A Dens Fracture.
From www.pulsus.com
Dens fracture or odontoid bone What Is A Dens Fracture Odontoid fractures, also known as dens fractures or peg fractures, are a specific type of cervical spine fracture that involves the second. The odontoid process, also called the dens, is a protuberance of the axis. The c2 vertebra, also known as the axis, is one of three atypical vertebrae. It can be fractured, dislocated or compressed by trauma, causing serious. What Is A Dens Fracture.
From www.shutterstock.com
Three Types Odontoid Fractures Fractures Axis Stock Illustration 504903109 What Is A Dens Fracture A fracture of the odontoid bone (also called the dens), is an upward extension of c2 cervical vertebrae (i.e., axis) up into the c1 cervical vertebrae (i.e., atlas) and is held in place partially by the alar, apical. The odontoid process, also called the dens, is a protuberance of the axis. Odontoid fractures are relatively common fractures of the c2. What Is A Dens Fracture.
From ec2-52-62-202-235.ap-southeast-2.compute.amazonaws.com
Dens / Odontoid Fracture The Bone School What Is A Dens Fracture Type i, type ii, and type iii, depending on the location and morphology of the fracture.[1]. It can be fractured, dislocated or compressed by trauma, causing serious complications such as brain stem damage or spinal cord injury. Odontoid fractures are relatively common fractures of the c2 (axis) dens that can be seen in low energy falls in elderly patients and.. What Is A Dens Fracture.
From www.sciencephoto.com
Dens fracture. Cervical spine xray Stock Image C019/7234 Science What Is A Dens Fracture The odontoid process, also called the dens, is a protuberance of the axis. Fractures of the odontoid process are categorized into 3 types: Type i, type ii, and type iii, depending on the location and morphology of the fracture.[1]. The c2 vertebra, also known as the axis, is one of three atypical vertebrae. A fracture of the odontoid bone (also. What Is A Dens Fracture.
From www.ebmconsult.com
C1 Vertebral (Jefferson) Fractures General Review What Is A Dens Fracture Type i, type ii, and type iii, depending on the location and morphology of the fracture.[1]. Odontoid process fracture, also known as a peg or dens fracture, occurs where there is a fracture through the odontoid process of c2. It can be fractured, dislocated or compressed by trauma, causing serious complications such as brain stem damage or spinal cord injury.. What Is A Dens Fracture.
From www.physio-pedia.com
Odontoid fractures Physiopedia What Is A Dens Fracture A den's fracture is a break in the second vertebra of the neck, caused by a whiplash type injury. Fractures of the odontoid process are categorized into 3 types: A fracture of the odontoid bone (also called the dens), is an upward extension of c2 cervical vertebrae (i.e., axis) up into the c1 cervical vertebrae (i.e., atlas) and is held. What Is A Dens Fracture.
From www.semanticscholar.org
Figure 2 from Surgical treatment of dens fractures in elderly patients What Is A Dens Fracture The odontoid process, also called the dens, is a protuberance of the axis. The c2 vertebra, also known as the axis, is one of three atypical vertebrae. A fracture of the odontoid bone (also called the dens), is an upward extension of c2 cervical vertebrae (i.e., axis) up into the c1 cervical vertebrae (i.e., atlas) and is held in place. What Is A Dens Fracture.
From www.globalradiologycme.com
Type 2 Dens Fracture What Is A Dens Fracture Type i, type ii, and type iii, depending on the location and morphology of the fracture.[1]. The odontoid process, or dens, is a bone that connects the atlas and axis vertebrae in the neck. The c2 vertebra, also known as the axis, is one of three atypical vertebrae. A den's fracture is a break in the second vertebra of the. What Is A Dens Fracture.
From www.youtube.com
Fracture of the dens (Odontoid process) Classification, clinical What Is A Dens Fracture Odontoid fractures, also known as dens fractures or peg fractures, are a specific type of cervical spine fracture that involves the second. Odontoid process fracture, also known as a peg or dens fracture, occurs where there is a fracture through the odontoid process of c2. A fracture of the odontoid bone (also called the dens), is an upward extension of. What Is A Dens Fracture.
From www.pinterest.com
Odontoid fracture classification diagram Radiology Case What Is A Dens Fracture Odontoid process fracture, also known as a peg or dens fracture, occurs where there is a fracture through the odontoid process of c2. Odontoid fractures, also known as dens fractures or peg fractures, are a specific type of cervical spine fracture that involves the second. Type i, type ii, and type iii, depending on the location and morphology of the. What Is A Dens Fracture.
From www.boneschool.com
Dens / Odontoid Fracture The Bone School What Is A Dens Fracture The c2 vertebra, also known as the axis, is one of three atypical vertebrae. The odontoid process, or dens, is a bone that connects the atlas and axis vertebrae in the neck. A den's fracture is a break in the second vertebra of the neck, caused by a whiplash type injury. Odontoid fractures are relatively common fractures of the c2. What Is A Dens Fracture.
From 52.62.202.235
Dens / Odontoid Fracture The Bone School What Is A Dens Fracture Fractures of the odontoid process are categorized into 3 types: Odontoid fractures are relatively common fractures of the c2 (axis) dens that can be seen in low energy falls in elderly patients and. Type i, type ii, and type iii, depending on the location and morphology of the fracture.[1]. A fracture of the odontoid bone (also called the dens), is. What Is A Dens Fracture.
From www.pinterest.com.au
Odontoid fracture (type II) Radiology Case What Is A Dens Fracture A den's fracture is a break in the second vertebra of the neck, caused by a whiplash type injury. The c2 vertebra, also known as the axis, is one of three atypical vertebrae. It can be fractured, dislocated or compressed by trauma, causing serious complications such as brain stem damage or spinal cord injury. A fracture of the odontoid bone. What Is A Dens Fracture.
From www.youtube.com
Type 2 Dens Fracture Case Report & Treatment YouTube What Is A Dens Fracture It can be fractured, dislocated or compressed by trauma, causing serious complications such as brain stem damage or spinal cord injury. Odontoid fractures are relatively common fractures of the c2 (axis) dens that can be seen in low energy falls in elderly patients and. A den's fracture is a break in the second vertebra of the neck, caused by a. What Is A Dens Fracture.