Matrix Dental Implants . However, prices can increase significantly for more complex cases requiring multiple implants or additional procedures. The unique design of the tri matrix implant allows for better integration with the jawbone, promoting faster healing and longer. Matrix® powerbase and its 20° degree internal flat connection, maximizes the surface area to support prosthetic restoration directly on the implant. Free phone consultationflexible payment plans The tri® dental implant system combines the pure simplicity of one connection with the esthetic flexibility of the. The cost of a single dental implant in the uk typically ranges from £1,800 to £3,000, covering the implant, abutment, and crown. I have been working with the team at matrix for some years now to produce complex, precision and esthetic implant reconstructions ranging from single units to full arch.
from avantdental.com.au
However, prices can increase significantly for more complex cases requiring multiple implants or additional procedures. The cost of a single dental implant in the uk typically ranges from £1,800 to £3,000, covering the implant, abutment, and crown. Matrix® powerbase and its 20° degree internal flat connection, maximizes the surface area to support prosthetic restoration directly on the implant. The tri® dental implant system combines the pure simplicity of one connection with the esthetic flexibility of the. Free phone consultationflexible payment plans I have been working with the team at matrix for some years now to produce complex, precision and esthetic implant reconstructions ranging from single units to full arch. The unique design of the tri matrix implant allows for better integration with the jawbone, promoting faster healing and longer.
Meet the matrix® The next giant leap in dental implant restorations
Matrix Dental Implants I have been working with the team at matrix for some years now to produce complex, precision and esthetic implant reconstructions ranging from single units to full arch. However, prices can increase significantly for more complex cases requiring multiple implants or additional procedures. Matrix® powerbase and its 20° degree internal flat connection, maximizes the surface area to support prosthetic restoration directly on the implant. The cost of a single dental implant in the uk typically ranges from £1,800 to £3,000, covering the implant, abutment, and crown. The unique design of the tri matrix implant allows for better integration with the jawbone, promoting faster healing and longer. I have been working with the team at matrix for some years now to produce complex, precision and esthetic implant reconstructions ranging from single units to full arch. The tri® dental implant system combines the pure simplicity of one connection with the esthetic flexibility of the. Free phone consultationflexible payment plans
From www.mdpi.com
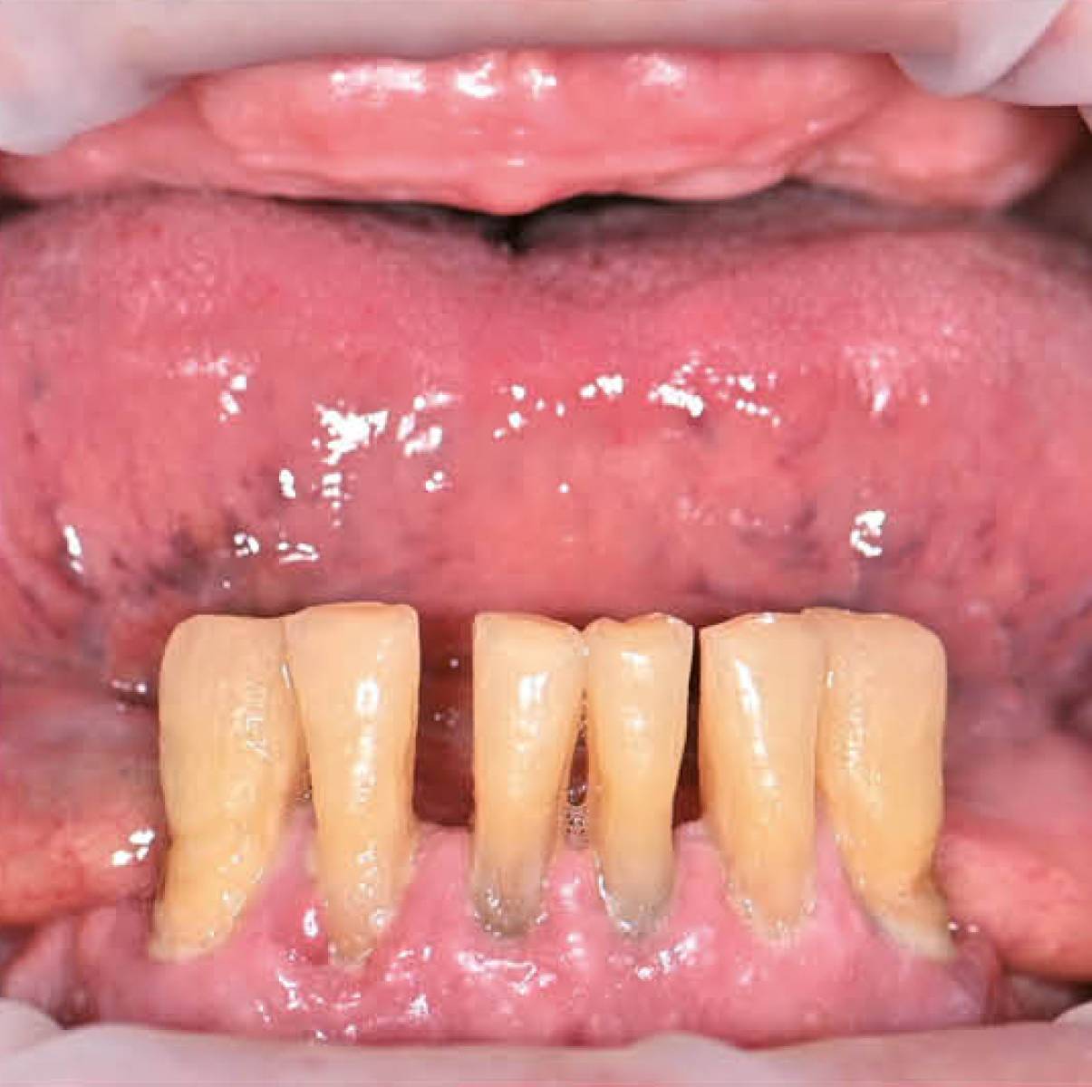
JCM Free FullText SoftTissue Augmentation around Dental Implants Matrix Dental Implants The unique design of the tri matrix implant allows for better integration with the jawbone, promoting faster healing and longer. However, prices can increase significantly for more complex cases requiring multiple implants or additional procedures. Matrix® powerbase and its 20° degree internal flat connection, maximizes the surface area to support prosthetic restoration directly on the implant. Free phone consultationflexible payment. Matrix Dental Implants.
From www.matrixdental.co.za
Matrix Dental Specialists Dentist Cape Town Matrix Dental Implants The cost of a single dental implant in the uk typically ranges from £1,800 to £3,000, covering the implant, abutment, and crown. However, prices can increase significantly for more complex cases requiring multiple implants or additional procedures. I have been working with the team at matrix for some years now to produce complex, precision and esthetic implant reconstructions ranging from. Matrix Dental Implants.
From matrix.dental
Matrix Dental Laboratory Digital Dentistry, 3D Printing and Implants Matrix Dental Implants The unique design of the tri matrix implant allows for better integration with the jawbone, promoting faster healing and longer. I have been working with the team at matrix for some years now to produce complex, precision and esthetic implant reconstructions ranging from single units to full arch. The cost of a single dental implant in the uk typically ranges. Matrix Dental Implants.
From www.matrixdental.co.za
Dental Implants Matrix Dental Specialists Matrix Dental Implants Free phone consultationflexible payment plans The unique design of the tri matrix implant allows for better integration with the jawbone, promoting faster healing and longer. I have been working with the team at matrix for some years now to produce complex, precision and esthetic implant reconstructions ranging from single units to full arch. Matrix® powerbase and its 20° degree internal. Matrix Dental Implants.
From tri-implants.swiss
TRI Dental Implants matrix® Linie Matrix Dental Implants The unique design of the tri matrix implant allows for better integration with the jawbone, promoting faster healing and longer. However, prices can increase significantly for more complex cases requiring multiple implants or additional procedures. The tri® dental implant system combines the pure simplicity of one connection with the esthetic flexibility of the. Matrix® powerbase and its 20° degree internal. Matrix Dental Implants.
From www.matrixdental.co.za
Dental Implants options for replacing your missing teeth Matrix Matrix Dental Implants The cost of a single dental implant in the uk typically ranges from £1,800 to £3,000, covering the implant, abutment, and crown. I have been working with the team at matrix for some years now to produce complex, precision and esthetic implant reconstructions ranging from single units to full arch. However, prices can increase significantly for more complex cases requiring. Matrix Dental Implants.
From tri-implants.swiss
TRI Dental Implants Digital Implant Matrix Dental Implants Free phone consultationflexible payment plans The tri® dental implant system combines the pure simplicity of one connection with the esthetic flexibility of the. Matrix® powerbase and its 20° degree internal flat connection, maximizes the surface area to support prosthetic restoration directly on the implant. The cost of a single dental implant in the uk typically ranges from £1,800 to £3,000,. Matrix Dental Implants.
From tri-implants.swiss
TRI Dental Implants matrix® Line Matrix Dental Implants However, prices can increase significantly for more complex cases requiring multiple implants or additional procedures. I have been working with the team at matrix for some years now to produce complex, precision and esthetic implant reconstructions ranging from single units to full arch. The tri® dental implant system combines the pure simplicity of one connection with the esthetic flexibility of. Matrix Dental Implants.
From tri-implants.swiss
TRI Dental Implants matrix® Academy Matrix Dental Implants The unique design of the tri matrix implant allows for better integration with the jawbone, promoting faster healing and longer. Free phone consultationflexible payment plans However, prices can increase significantly for more complex cases requiring multiple implants or additional procedures. I have been working with the team at matrix for some years now to produce complex, precision and esthetic implant. Matrix Dental Implants.
From matrixdental.hu
Implantátumok • Matrix Dental Matrix Dental Implants The cost of a single dental implant in the uk typically ranges from £1,800 to £3,000, covering the implant, abutment, and crown. The unique design of the tri matrix implant allows for better integration with the jawbone, promoting faster healing and longer. Matrix® powerbase and its 20° degree internal flat connection, maximizes the surface area to support prosthetic restoration directly. Matrix Dental Implants.
From tri-implants.swiss
TRI Dental Implants matrix® Matrix Dental Implants The cost of a single dental implant in the uk typically ranges from £1,800 to £3,000, covering the implant, abutment, and crown. Free phone consultationflexible payment plans The unique design of the tri matrix implant allows for better integration with the jawbone, promoting faster healing and longer. I have been working with the team at matrix for some years now. Matrix Dental Implants.
From www.matrixdental.co.za
Matrix Dental Specialists Dentist Cape Town Matrix Dental Implants The tri® dental implant system combines the pure simplicity of one connection with the esthetic flexibility of the. I have been working with the team at matrix for some years now to produce complex, precision and esthetic implant reconstructions ranging from single units to full arch. The unique design of the tri matrix implant allows for better integration with the. Matrix Dental Implants.
From www.matrixdental.co.za
Blog Matrix Dental Specialists Dental Practice Cape Town Matrix Dental Implants I have been working with the team at matrix for some years now to produce complex, precision and esthetic implant reconstructions ranging from single units to full arch. The cost of a single dental implant in the uk typically ranges from £1,800 to £3,000, covering the implant, abutment, and crown. Matrix® powerbase and its 20° degree internal flat connection, maximizes. Matrix Dental Implants.
From tri-implants.swiss
TRI Dental Implants matrix® Line Matrix Dental Implants Free phone consultationflexible payment plans However, prices can increase significantly for more complex cases requiring multiple implants or additional procedures. Matrix® powerbase and its 20° degree internal flat connection, maximizes the surface area to support prosthetic restoration directly on the implant. The cost of a single dental implant in the uk typically ranges from £1,800 to £3,000, covering the implant,. Matrix Dental Implants.
From www.matrixdental.co.za
Root canal therapy vs extraction of teeth and placement of implants Matrix Dental Implants The unique design of the tri matrix implant allows for better integration with the jawbone, promoting faster healing and longer. However, prices can increase significantly for more complex cases requiring multiple implants or additional procedures. The cost of a single dental implant in the uk typically ranges from £1,800 to £3,000, covering the implant, abutment, and crown. I have been. Matrix Dental Implants.
From tri-implants.swiss
TRI Dental Implants matrix® Matrix Dental Implants However, prices can increase significantly for more complex cases requiring multiple implants or additional procedures. The tri® dental implant system combines the pure simplicity of one connection with the esthetic flexibility of the. Matrix® powerbase and its 20° degree internal flat connection, maximizes the surface area to support prosthetic restoration directly on the implant. Free phone consultationflexible payment plans The. Matrix Dental Implants.
From avantdental.com.au
Meet the matrix® The next giant leap in dental implant restorations Matrix Dental Implants I have been working with the team at matrix for some years now to produce complex, precision and esthetic implant reconstructions ranging from single units to full arch. Matrix® powerbase and its 20° degree internal flat connection, maximizes the surface area to support prosthetic restoration directly on the implant. The unique design of the tri matrix implant allows for better. Matrix Dental Implants.
From www.matrixdental.co.za
The Cost Of Dental Implants Matrix Dental Specialists Matrix Dental Implants The unique design of the tri matrix implant allows for better integration with the jawbone, promoting faster healing and longer. Free phone consultationflexible payment plans Matrix® powerbase and its 20° degree internal flat connection, maximizes the surface area to support prosthetic restoration directly on the implant. The tri® dental implant system combines the pure simplicity of one connection with the. Matrix Dental Implants.
From tri-implants.swiss
TRI Dental Implants matrix® Matrix Dental Implants Matrix® powerbase and its 20° degree internal flat connection, maximizes the surface area to support prosthetic restoration directly on the implant. The cost of a single dental implant in the uk typically ranges from £1,800 to £3,000, covering the implant, abutment, and crown. The tri® dental implant system combines the pure simplicity of one connection with the esthetic flexibility of. Matrix Dental Implants.
From tri-implants.swiss
TRI Dental Implants Digital Implant Matrix Dental Implants The cost of a single dental implant in the uk typically ranges from £1,800 to £3,000, covering the implant, abutment, and crown. I have been working with the team at matrix for some years now to produce complex, precision and esthetic implant reconstructions ranging from single units to full arch. Free phone consultationflexible payment plans However, prices can increase significantly. Matrix Dental Implants.
From tri-implants.swiss
TRI Dental Implants matrix® Matrix Dental Implants Free phone consultationflexible payment plans The cost of a single dental implant in the uk typically ranges from £1,800 to £3,000, covering the implant, abutment, and crown. The unique design of the tri matrix implant allows for better integration with the jawbone, promoting faster healing and longer. The tri® dental implant system combines the pure simplicity of one connection with. Matrix Dental Implants.
From medium.com
Why you should choose Dental Implants and who can provide Best Dental Matrix Dental Implants I have been working with the team at matrix for some years now to produce complex, precision and esthetic implant reconstructions ranging from single units to full arch. Matrix® powerbase and its 20° degree internal flat connection, maximizes the surface area to support prosthetic restoration directly on the implant. The cost of a single dental implant in the uk typically. Matrix Dental Implants.
From www.matrixdental.co.za
About Implants Matrix Dental Specialists Dental Implant Specialist Matrix Dental Implants However, prices can increase significantly for more complex cases requiring multiple implants or additional procedures. Free phone consultationflexible payment plans The cost of a single dental implant in the uk typically ranges from £1,800 to £3,000, covering the implant, abutment, and crown. Matrix® powerbase and its 20° degree internal flat connection, maximizes the surface area to support prosthetic restoration directly. Matrix Dental Implants.
From tri-implants.swiss
TRI Dental Implants matrix® Matrix Dental Implants Matrix® powerbase and its 20° degree internal flat connection, maximizes the surface area to support prosthetic restoration directly on the implant. The tri® dental implant system combines the pure simplicity of one connection with the esthetic flexibility of the. However, prices can increase significantly for more complex cases requiring multiple implants or additional procedures. Free phone consultationflexible payment plans The. Matrix Dental Implants.
From tri-implants.swiss
TRI Dental Implants matrix® Matrix Dental Implants However, prices can increase significantly for more complex cases requiring multiple implants or additional procedures. Matrix® powerbase and its 20° degree internal flat connection, maximizes the surface area to support prosthetic restoration directly on the implant. The unique design of the tri matrix implant allows for better integration with the jawbone, promoting faster healing and longer. Free phone consultationflexible payment. Matrix Dental Implants.
From www.aegisdentalnetwork.com
Modified Tunnel Technique and DoubleLayer Acellular Dermal Matrix to Matrix Dental Implants Matrix® powerbase and its 20° degree internal flat connection, maximizes the surface area to support prosthetic restoration directly on the implant. Free phone consultationflexible payment plans I have been working with the team at matrix for some years now to produce complex, precision and esthetic implant reconstructions ranging from single units to full arch. The cost of a single dental. Matrix Dental Implants.
From tri-implants.swiss
TRI Dental Implants matrix® Matrix Dental Implants I have been working with the team at matrix for some years now to produce complex, precision and esthetic implant reconstructions ranging from single units to full arch. Free phone consultationflexible payment plans The cost of a single dental implant in the uk typically ranges from £1,800 to £3,000, covering the implant, abutment, and crown. However, prices can increase significantly. Matrix Dental Implants.
From www.adm1stchoicemedicals.com
Matrix Digital Implant Adm1stchoicemedicals Matrix Dental Implants I have been working with the team at matrix for some years now to produce complex, precision and esthetic implant reconstructions ranging from single units to full arch. Matrix® powerbase and its 20° degree internal flat connection, maximizes the surface area to support prosthetic restoration directly on the implant. The cost of a single dental implant in the uk typically. Matrix Dental Implants.
From www.matrixdental.co.za
Dental Implants Matrix Dental Specialists Matrix Dental Implants The tri® dental implant system combines the pure simplicity of one connection with the esthetic flexibility of the. Free phone consultationflexible payment plans Matrix® powerbase and its 20° degree internal flat connection, maximizes the surface area to support prosthetic restoration directly on the implant. I have been working with the team at matrix for some years now to produce complex,. Matrix Dental Implants.
From www.matrixdental.co.za
Implants Matrix Dental Specialists Blog post Dental practice Matrix Dental Implants Free phone consultationflexible payment plans The cost of a single dental implant in the uk typically ranges from £1,800 to £3,000, covering the implant, abutment, and crown. I have been working with the team at matrix for some years now to produce complex, precision and esthetic implant reconstructions ranging from single units to full arch. The unique design of the. Matrix Dental Implants.
From tri-implants.swiss
TRI Dental Implants matrix® Linie Matrix Dental Implants The unique design of the tri matrix implant allows for better integration with the jawbone, promoting faster healing and longer. However, prices can increase significantly for more complex cases requiring multiple implants or additional procedures. The tri® dental implant system combines the pure simplicity of one connection with the esthetic flexibility of the. I have been working with the team. Matrix Dental Implants.
From tri-implants.swiss
TRI Dental Implants Digital Implant Matrix Dental Implants The cost of a single dental implant in the uk typically ranges from £1,800 to £3,000, covering the implant, abutment, and crown. I have been working with the team at matrix for some years now to produce complex, precision and esthetic implant reconstructions ranging from single units to full arch. Free phone consultationflexible payment plans The unique design of the. Matrix Dental Implants.
From tri-implants.swiss
TRI Dental Implants matrix® Line Matrix Dental Implants However, prices can increase significantly for more complex cases requiring multiple implants or additional procedures. Matrix® powerbase and its 20° degree internal flat connection, maximizes the surface area to support prosthetic restoration directly on the implant. I have been working with the team at matrix for some years now to produce complex, precision and esthetic implant reconstructions ranging from single. Matrix Dental Implants.
From yourdent-usa.com
Dental Saddle Contoured Metal Matrices Matrix 18 pcs. YOURDENTUSA Matrix Dental Implants The cost of a single dental implant in the uk typically ranges from £1,800 to £3,000, covering the implant, abutment, and crown. However, prices can increase significantly for more complex cases requiring multiple implants or additional procedures. I have been working with the team at matrix for some years now to produce complex, precision and esthetic implant reconstructions ranging from. Matrix Dental Implants.
From www.pinterest.co.uk
Fabricating A Putty Matrix for Implants Provisionals Dental Matrix Dental Implants Matrix® powerbase and its 20° degree internal flat connection, maximizes the surface area to support prosthetic restoration directly on the implant. Free phone consultationflexible payment plans The unique design of the tri matrix implant allows for better integration with the jawbone, promoting faster healing and longer. However, prices can increase significantly for more complex cases requiring multiple implants or additional. Matrix Dental Implants.