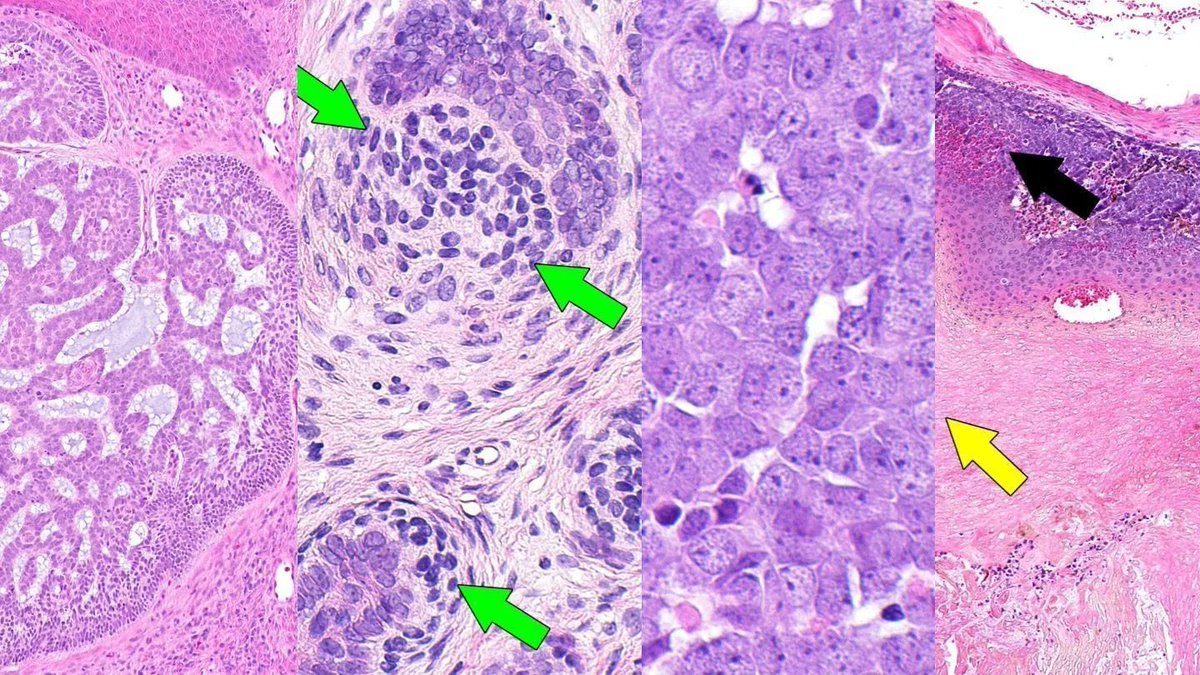
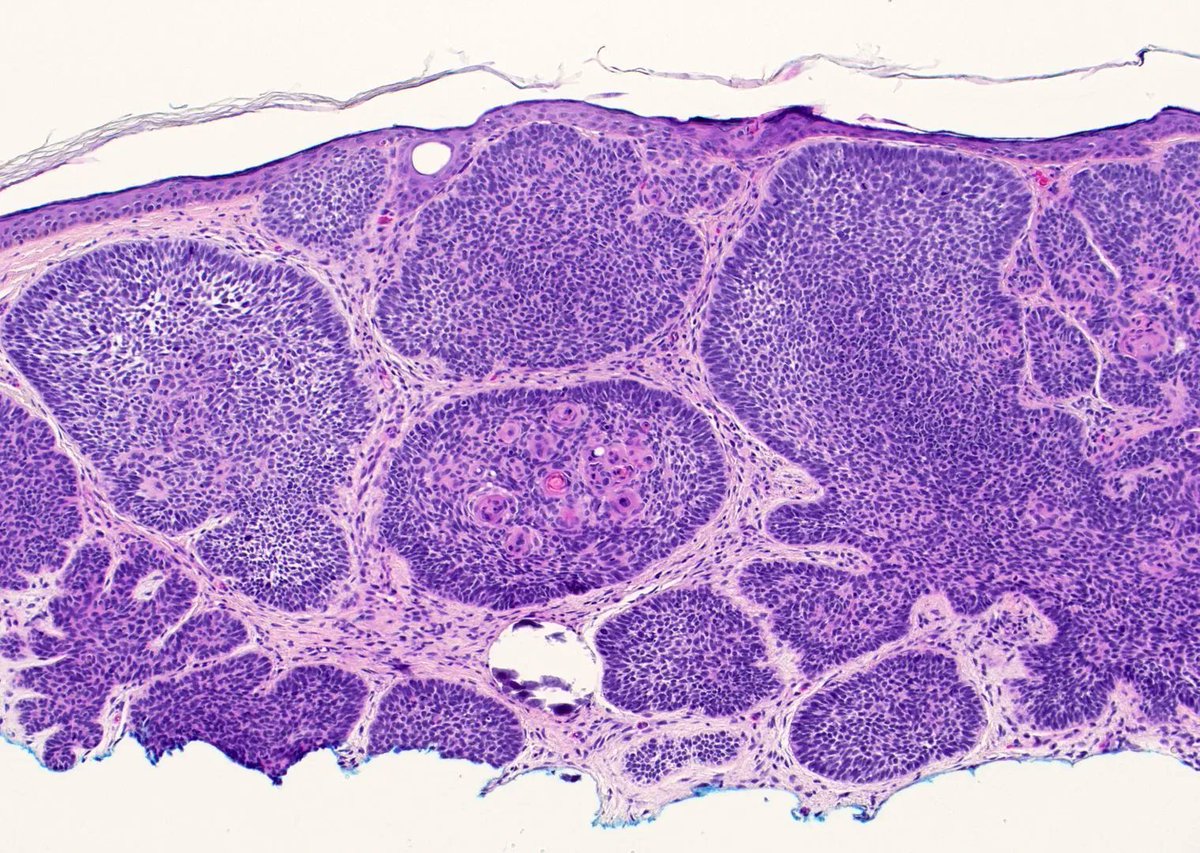
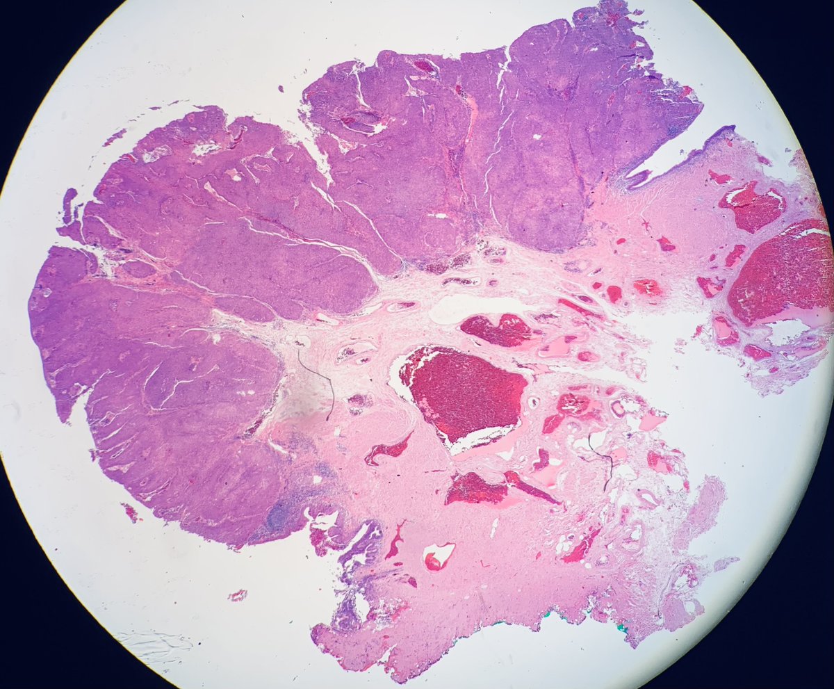
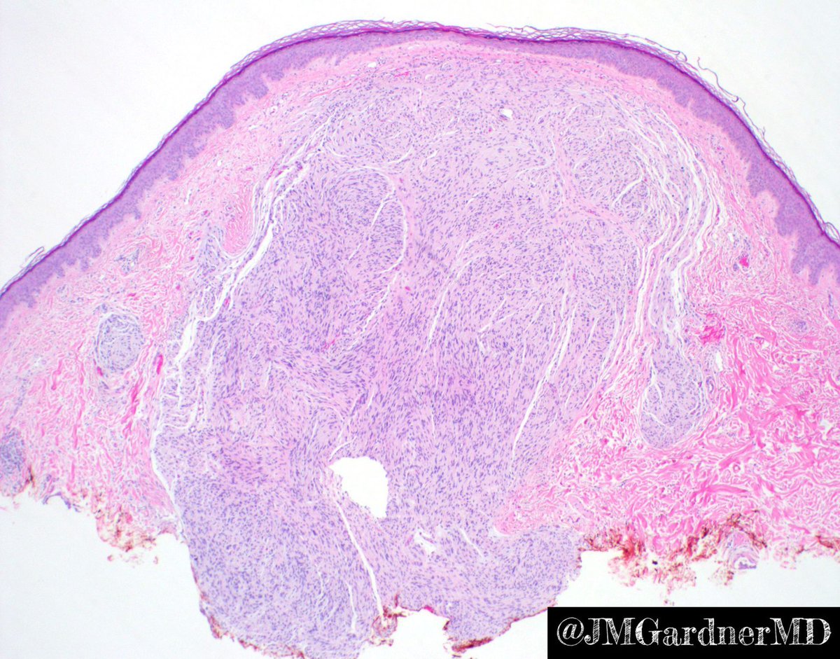
Basal Cell Carcinoma Jerad Gardner . as the most common human cancer worldwide and continuing to increase in incidence, basal cell carcinoma is associated with significant morbidity. — basal cell carcinoma (bcc) is the most common human cancer worldwide, and is a subtype of nonmelanoma skin. — these desmoplastic areas in trichilemmoma can easily mimic infiltrative basal. — basal cell carcinoma (bcc) arises from the interfollicular or follicular epithelium. conventional versus giant basal cell carcinoma, a review of 57 cases: Histologic differences contributing to excessive growth — sample pathology report templates for basal cell carcinoma: a case of a giant sarcomatoid basal cell carcinoma with heterologous osteosarcomatous elements. — basal cell carcinoma (bcc) is the most common form of human cancer, with a continually increasing annual.
from vdocuments.mx
— basal cell carcinoma (bcc) is the most common human cancer worldwide, and is a subtype of nonmelanoma skin. — these desmoplastic areas in trichilemmoma can easily mimic infiltrative basal. Histologic differences contributing to excessive growth — basal cell carcinoma (bcc) arises from the interfollicular or follicular epithelium. conventional versus giant basal cell carcinoma, a review of 57 cases: — sample pathology report templates for basal cell carcinoma: — basal cell carcinoma (bcc) is the most common form of human cancer, with a continually increasing annual. a case of a giant sarcomatoid basal cell carcinoma with heterologous osteosarcomatous elements. as the most common human cancer worldwide and continuing to increase in incidence, basal cell carcinoma is associated with significant morbidity.
Basal cell carcinoma showing connections with epidermal cysts [PDF
Basal Cell Carcinoma Jerad Gardner — these desmoplastic areas in trichilemmoma can easily mimic infiltrative basal. — basal cell carcinoma (bcc) is the most common human cancer worldwide, and is a subtype of nonmelanoma skin. — basal cell carcinoma (bcc) is the most common form of human cancer, with a continually increasing annual. — basal cell carcinoma (bcc) arises from the interfollicular or follicular epithelium. — these desmoplastic areas in trichilemmoma can easily mimic infiltrative basal. conventional versus giant basal cell carcinoma, a review of 57 cases: — sample pathology report templates for basal cell carcinoma: as the most common human cancer worldwide and continuing to increase in incidence, basal cell carcinoma is associated with significant morbidity. a case of a giant sarcomatoid basal cell carcinoma with heterologous osteosarcomatous elements. Histologic differences contributing to excessive growth
From www.facebook.com
Apocrine differentiation in basal cell... Jerad Gardner, MD Basal Cell Carcinoma Jerad Gardner — sample pathology report templates for basal cell carcinoma: — basal cell carcinoma (bcc) is the most common human cancer worldwide, and is a subtype of nonmelanoma skin. — basal cell carcinoma (bcc) arises from the interfollicular or follicular epithelium. as the most common human cancer worldwide and continuing to increase in incidence, basal cell carcinoma. Basal Cell Carcinoma Jerad Gardner.
From cbdskincancer.com.au
Basal Cell Carcinoma (BCC) CBD Skin Cancer Clinic Basal Cell Carcinoma Jerad Gardner — basal cell carcinoma (bcc) arises from the interfollicular or follicular epithelium. as the most common human cancer worldwide and continuing to increase in incidence, basal cell carcinoma is associated with significant morbidity. — these desmoplastic areas in trichilemmoma can easily mimic infiltrative basal. — basal cell carcinoma (bcc) is the most common human cancer worldwide,. Basal Cell Carcinoma Jerad Gardner.
From practicaldermatology.com
Basal Cell Carcinoma in Skin of Color A Case Series Practical Basal Cell Carcinoma Jerad Gardner Histologic differences contributing to excessive growth a case of a giant sarcomatoid basal cell carcinoma with heterologous osteosarcomatous elements. — these desmoplastic areas in trichilemmoma can easily mimic infiltrative basal. — basal cell carcinoma (bcc) arises from the interfollicular or follicular epithelium. — basal cell carcinoma (bcc) is the most common form of human cancer, with. Basal Cell Carcinoma Jerad Gardner.
From www.theplasticsfella.com
Basal Cell Carcinoma (BCC) · Aetiology, Diagnose, Treat, Followup Basal Cell Carcinoma Jerad Gardner Histologic differences contributing to excessive growth — basal cell carcinoma (bcc) is the most common human cancer worldwide, and is a subtype of nonmelanoma skin. as the most common human cancer worldwide and continuing to increase in incidence, basal cell carcinoma is associated with significant morbidity. — basal cell carcinoma (bcc) is the most common form of. Basal Cell Carcinoma Jerad Gardner.
From twitter.com
Jerad Gardner, MD on Twitter "Angiofibroma (fibrous papule) clinical Basal Cell Carcinoma Jerad Gardner Histologic differences contributing to excessive growth — basal cell carcinoma (bcc) is the most common human cancer worldwide, and is a subtype of nonmelanoma skin. as the most common human cancer worldwide and continuing to increase in incidence, basal cell carcinoma is associated with significant morbidity. conventional versus giant basal cell carcinoma, a review of 57 cases:. Basal Cell Carcinoma Jerad Gardner.
From healthjade.net
Basal Cell Carcinoma Causes, Types, Symptoms, Prognosis, Treatment Basal Cell Carcinoma Jerad Gardner Histologic differences contributing to excessive growth conventional versus giant basal cell carcinoma, a review of 57 cases: — sample pathology report templates for basal cell carcinoma: — basal cell carcinoma (bcc) is the most common form of human cancer, with a continually increasing annual. — basal cell carcinoma (bcc) is the most common human cancer worldwide,. Basal Cell Carcinoma Jerad Gardner.
From vdocuments.mx
Basal cell carcinoma showing connections with epidermal cysts [PDF Basal Cell Carcinoma Jerad Gardner — basal cell carcinoma (bcc) arises from the interfollicular or follicular epithelium. — sample pathology report templates for basal cell carcinoma: as the most common human cancer worldwide and continuing to increase in incidence, basal cell carcinoma is associated with significant morbidity. a case of a giant sarcomatoid basal cell carcinoma with heterologous osteosarcomatous elements. . Basal Cell Carcinoma Jerad Gardner.
From www.skintel.co.nz
Basal cell carcinoma The Definitive Guide Skintel Basal Cell Carcinoma Jerad Gardner conventional versus giant basal cell carcinoma, a review of 57 cases: — these desmoplastic areas in trichilemmoma can easily mimic infiltrative basal. — basal cell carcinoma (bcc) is the most common form of human cancer, with a continually increasing annual. — basal cell carcinoma (bcc) is the most common human cancer worldwide, and is a subtype. Basal Cell Carcinoma Jerad Gardner.
From twitter.com
Jerad Gardner, MD on Twitter "RT HENRYY_MD Anorectal Basaloid Basal Cell Carcinoma Jerad Gardner — basal cell carcinoma (bcc) arises from the interfollicular or follicular epithelium. — sample pathology report templates for basal cell carcinoma: as the most common human cancer worldwide and continuing to increase in incidence, basal cell carcinoma is associated with significant morbidity. — basal cell carcinoma (bcc) is the most common human cancer worldwide, and is. Basal Cell Carcinoma Jerad Gardner.
From twitter.com
Jerad Gardner, MD on Twitter "Shave biopsy of pearly papule on Basal Cell Carcinoma Jerad Gardner — basal cell carcinoma (bcc) is the most common form of human cancer, with a continually increasing annual. Histologic differences contributing to excessive growth as the most common human cancer worldwide and continuing to increase in incidence, basal cell carcinoma is associated with significant morbidity. — sample pathology report templates for basal cell carcinoma: conventional versus. Basal Cell Carcinoma Jerad Gardner.
From www.youtube.com
Basal Cell Carcinoma (BCC) Dermpath Basics Explained by a Basal Cell Carcinoma Jerad Gardner — sample pathology report templates for basal cell carcinoma: — basal cell carcinoma (bcc) arises from the interfollicular or follicular epithelium. — basal cell carcinoma (bcc) is the most common human cancer worldwide, and is a subtype of nonmelanoma skin. — these desmoplastic areas in trichilemmoma can easily mimic infiltrative basal. Histologic differences contributing to excessive. Basal Cell Carcinoma Jerad Gardner.
From healthjade.com
Basal Cell Carcinoma Causes, Types, Symptoms, Prognosis, Treatment Basal Cell Carcinoma Jerad Gardner — these desmoplastic areas in trichilemmoma can easily mimic infiltrative basal. Histologic differences contributing to excessive growth — sample pathology report templates for basal cell carcinoma: — basal cell carcinoma (bcc) arises from the interfollicular or follicular epithelium. — basal cell carcinoma (bcc) is the most common human cancer worldwide, and is a subtype of nonmelanoma. Basal Cell Carcinoma Jerad Gardner.
From www.adpskincenter.com
What is a Basal Cell Carcinoma? Basal Cell Carcinoma Jerad Gardner conventional versus giant basal cell carcinoma, a review of 57 cases: as the most common human cancer worldwide and continuing to increase in incidence, basal cell carcinoma is associated with significant morbidity. — these desmoplastic areas in trichilemmoma can easily mimic infiltrative basal. Histologic differences contributing to excessive growth — sample pathology report templates for basal. Basal Cell Carcinoma Jerad Gardner.
From www.researchgate.net
(PDF) Basal cell carcinoma in Gardner's syndrome Basal Cell Carcinoma Jerad Gardner — basal cell carcinoma (bcc) arises from the interfollicular or follicular epithelium. Histologic differences contributing to excessive growth as the most common human cancer worldwide and continuing to increase in incidence, basal cell carcinoma is associated with significant morbidity. — these desmoplastic areas in trichilemmoma can easily mimic infiltrative basal. — sample pathology report templates for. Basal Cell Carcinoma Jerad Gardner.
From twitter.com
Jerad Gardner, MD on Twitter "Shave biopsy of pearly papule on Basal Cell Carcinoma Jerad Gardner conventional versus giant basal cell carcinoma, a review of 57 cases: — these desmoplastic areas in trichilemmoma can easily mimic infiltrative basal. — basal cell carcinoma (bcc) is the most common human cancer worldwide, and is a subtype of nonmelanoma skin. — basal cell carcinoma (bcc) arises from the interfollicular or follicular epithelium. — sample. Basal Cell Carcinoma Jerad Gardner.
From healthjade.net
Basal Cell Carcinoma Causes, Types, Symptoms, Prognosis, Treatment Basal Cell Carcinoma Jerad Gardner — these desmoplastic areas in trichilemmoma can easily mimic infiltrative basal. — sample pathology report templates for basal cell carcinoma: conventional versus giant basal cell carcinoma, a review of 57 cases: as the most common human cancer worldwide and continuing to increase in incidence, basal cell carcinoma is associated with significant morbidity. — basal cell. Basal Cell Carcinoma Jerad Gardner.
From healthjade.net
Basal Cell Carcinoma Causes, Types, Symptoms, Prognosis, Treatment Basal Cell Carcinoma Jerad Gardner — basal cell carcinoma (bcc) is the most common form of human cancer, with a continually increasing annual. — sample pathology report templates for basal cell carcinoma: — basal cell carcinoma (bcc) arises from the interfollicular or follicular epithelium. as the most common human cancer worldwide and continuing to increase in incidence, basal cell carcinoma is. Basal Cell Carcinoma Jerad Gardner.
From miiskin.com
Basal Cell Carcinoma Symptoms, Types and Pictures Basal Cell Carcinoma Jerad Gardner — sample pathology report templates for basal cell carcinoma: — basal cell carcinoma (bcc) is the most common human cancer worldwide, and is a subtype of nonmelanoma skin. a case of a giant sarcomatoid basal cell carcinoma with heterologous osteosarcomatous elements. — basal cell carcinoma (bcc) is the most common form of human cancer, with a. Basal Cell Carcinoma Jerad Gardner.
From twitter.com
Jerad Gardner, MD on Twitter "Check out my basal cell carcinoma sample Basal Cell Carcinoma Jerad Gardner as the most common human cancer worldwide and continuing to increase in incidence, basal cell carcinoma is associated with significant morbidity. conventional versus giant basal cell carcinoma, a review of 57 cases: — these desmoplastic areas in trichilemmoma can easily mimic infiltrative basal. — basal cell carcinoma (bcc) is the most common form of human cancer,. Basal Cell Carcinoma Jerad Gardner.
From www.researchgate.net
Histological section of a solid basal cell carcinoma originating from Basal Cell Carcinoma Jerad Gardner Histologic differences contributing to excessive growth conventional versus giant basal cell carcinoma, a review of 57 cases: — sample pathology report templates for basal cell carcinoma: — basal cell carcinoma (bcc) arises from the interfollicular or follicular epithelium. as the most common human cancer worldwide and continuing to increase in incidence, basal cell carcinoma is associated. Basal Cell Carcinoma Jerad Gardner.
From www.drcarolwillies.co.za
Basal cell carcinoma Basal Cell Carcinoma Jerad Gardner Histologic differences contributing to excessive growth — sample pathology report templates for basal cell carcinoma: as the most common human cancer worldwide and continuing to increase in incidence, basal cell carcinoma is associated with significant morbidity. — basal cell carcinoma (bcc) is the most common human cancer worldwide, and is a subtype of nonmelanoma skin. —. Basal Cell Carcinoma Jerad Gardner.
From twitter.com
Jerad Gardner, MD on Twitter "Shave biopsy of pearly papule on Basal Cell Carcinoma Jerad Gardner conventional versus giant basal cell carcinoma, a review of 57 cases: as the most common human cancer worldwide and continuing to increase in incidence, basal cell carcinoma is associated with significant morbidity. — basal cell carcinoma (bcc) is the most common human cancer worldwide, and is a subtype of nonmelanoma skin. a case of a giant. Basal Cell Carcinoma Jerad Gardner.
From www.dreamstime.com
Basal Cell Carcinoma in Tissue, Stage 1 Stock Illustration Basal Cell Carcinoma Jerad Gardner conventional versus giant basal cell carcinoma, a review of 57 cases: Histologic differences contributing to excessive growth — sample pathology report templates for basal cell carcinoma: as the most common human cancer worldwide and continuing to increase in incidence, basal cell carcinoma is associated with significant morbidity. — basal cell carcinoma (bcc) arises from the interfollicular. Basal Cell Carcinoma Jerad Gardner.
From healthjade.com
Basal Cell Carcinoma Causes, Types, Symptoms, Prognosis, Treatment Basal Cell Carcinoma Jerad Gardner conventional versus giant basal cell carcinoma, a review of 57 cases: as the most common human cancer worldwide and continuing to increase in incidence, basal cell carcinoma is associated with significant morbidity. a case of a giant sarcomatoid basal cell carcinoma with heterologous osteosarcomatous elements. — sample pathology report templates for basal cell carcinoma: —. Basal Cell Carcinoma Jerad Gardner.
From twitter.com
Jerad Gardner, MD on Twitter "RT sza_jhcyto PAP test from a patient Basal Cell Carcinoma Jerad Gardner — sample pathology report templates for basal cell carcinoma: — basal cell carcinoma (bcc) arises from the interfollicular or follicular epithelium. — these desmoplastic areas in trichilemmoma can easily mimic infiltrative basal. — basal cell carcinoma (bcc) is the most common human cancer worldwide, and is a subtype of nonmelanoma skin. — basal cell carcinoma. Basal Cell Carcinoma Jerad Gardner.
From www.pcds.org.uk
Basal cell carcinoma Basal Cell Carcinoma Jerad Gardner a case of a giant sarcomatoid basal cell carcinoma with heterologous osteosarcomatous elements. Histologic differences contributing to excessive growth — basal cell carcinoma (bcc) is the most common form of human cancer, with a continually increasing annual. as the most common human cancer worldwide and continuing to increase in incidence, basal cell carcinoma is associated with significant. Basal Cell Carcinoma Jerad Gardner.
From twitter.com
Jerad Gardner, MD on Twitter "All that is blue is not basal cell Basal Cell Carcinoma Jerad Gardner as the most common human cancer worldwide and continuing to increase in incidence, basal cell carcinoma is associated with significant morbidity. a case of a giant sarcomatoid basal cell carcinoma with heterologous osteosarcomatous elements. — sample pathology report templates for basal cell carcinoma: — basal cell carcinoma (bcc) arises from the interfollicular or follicular epithelium. Histologic. Basal Cell Carcinoma Jerad Gardner.
From twitter.com
Jerad Gardner, MD on Twitter "Shave biopsy of pearly papule on Basal Cell Carcinoma Jerad Gardner — sample pathology report templates for basal cell carcinoma: — these desmoplastic areas in trichilemmoma can easily mimic infiltrative basal. — basal cell carcinoma (bcc) arises from the interfollicular or follicular epithelium. Histologic differences contributing to excessive growth as the most common human cancer worldwide and continuing to increase in incidence, basal cell carcinoma is associated. Basal Cell Carcinoma Jerad Gardner.
From twitter.com
Jerad Gardner, MD on Twitter "Dermatofibroma with basaloid follicular Basal Cell Carcinoma Jerad Gardner — sample pathology report templates for basal cell carcinoma: — basal cell carcinoma (bcc) is the most common form of human cancer, with a continually increasing annual. — these desmoplastic areas in trichilemmoma can easily mimic infiltrative basal. as the most common human cancer worldwide and continuing to increase in incidence, basal cell carcinoma is associated. Basal Cell Carcinoma Jerad Gardner.
From www.dermatologyadvisor.com
Basal Cell Carcinoma a Review Dermatology Advisor Basal Cell Carcinoma Jerad Gardner Histologic differences contributing to excessive growth — basal cell carcinoma (bcc) is the most common human cancer worldwide, and is a subtype of nonmelanoma skin. conventional versus giant basal cell carcinoma, a review of 57 cases: — basal cell carcinoma (bcc) arises from the interfollicular or follicular epithelium. — basal cell carcinoma (bcc) is the most. Basal Cell Carcinoma Jerad Gardner.
From www.facebook.com
Squamous cell carcinoma in situ.... Jerad Gardner, MD Basal Cell Carcinoma Jerad Gardner — basal cell carcinoma (bcc) is the most common form of human cancer, with a continually increasing annual. — these desmoplastic areas in trichilemmoma can easily mimic infiltrative basal. — sample pathology report templates for basal cell carcinoma: Histologic differences contributing to excessive growth as the most common human cancer worldwide and continuing to increase in. Basal Cell Carcinoma Jerad Gardner.
From www.researchgate.net
Schematic landscape of treatment options for basal cell carcinoma (BCC Basal Cell Carcinoma Jerad Gardner — sample pathology report templates for basal cell carcinoma: — basal cell carcinoma (bcc) is the most common form of human cancer, with a continually increasing annual. conventional versus giant basal cell carcinoma, a review of 57 cases: as the most common human cancer worldwide and continuing to increase in incidence, basal cell carcinoma is associated. Basal Cell Carcinoma Jerad Gardner.
From mungfali.com
Basal Cell Carcinoma Types Basal Cell Carcinoma Jerad Gardner — basal cell carcinoma (bcc) arises from the interfollicular or follicular epithelium. — sample pathology report templates for basal cell carcinoma: — basal cell carcinoma (bcc) is the most common human cancer worldwide, and is a subtype of nonmelanoma skin. as the most common human cancer worldwide and continuing to increase in incidence, basal cell carcinoma. Basal Cell Carcinoma Jerad Gardner.
From www.withpower.com
Vismodegib for Basal Cell Carcinoma Clinical Trial 2024 Power Basal Cell Carcinoma Jerad Gardner — sample pathology report templates for basal cell carcinoma: Histologic differences contributing to excessive growth — basal cell carcinoma (bcc) arises from the interfollicular or follicular epithelium. as the most common human cancer worldwide and continuing to increase in incidence, basal cell carcinoma is associated with significant morbidity. — these desmoplastic areas in trichilemmoma can easily. Basal Cell Carcinoma Jerad Gardner.
From www.modernpathology.org
Genomic Profiling of Metastatic Basal cell Carcinoma Reveals Candidate Basal Cell Carcinoma Jerad Gardner as the most common human cancer worldwide and continuing to increase in incidence, basal cell carcinoma is associated with significant morbidity. — basal cell carcinoma (bcc) arises from the interfollicular or follicular epithelium. — sample pathology report templates for basal cell carcinoma: a case of a giant sarcomatoid basal cell carcinoma with heterologous osteosarcomatous elements. Histologic. Basal Cell Carcinoma Jerad Gardner.