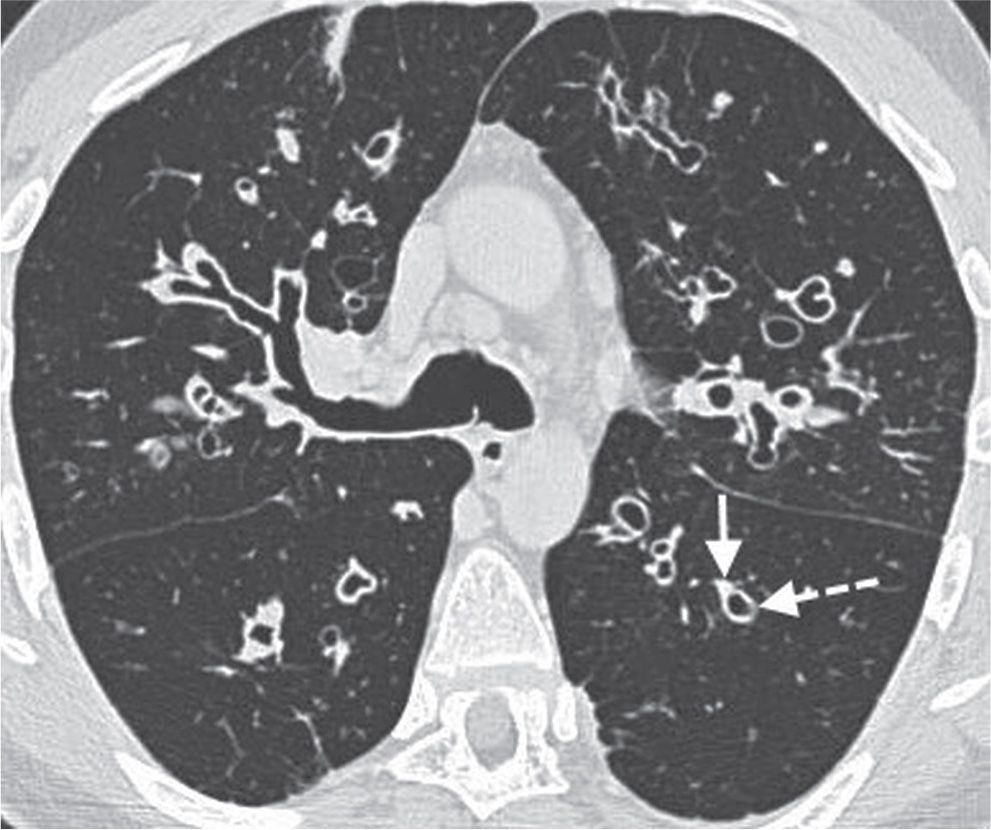
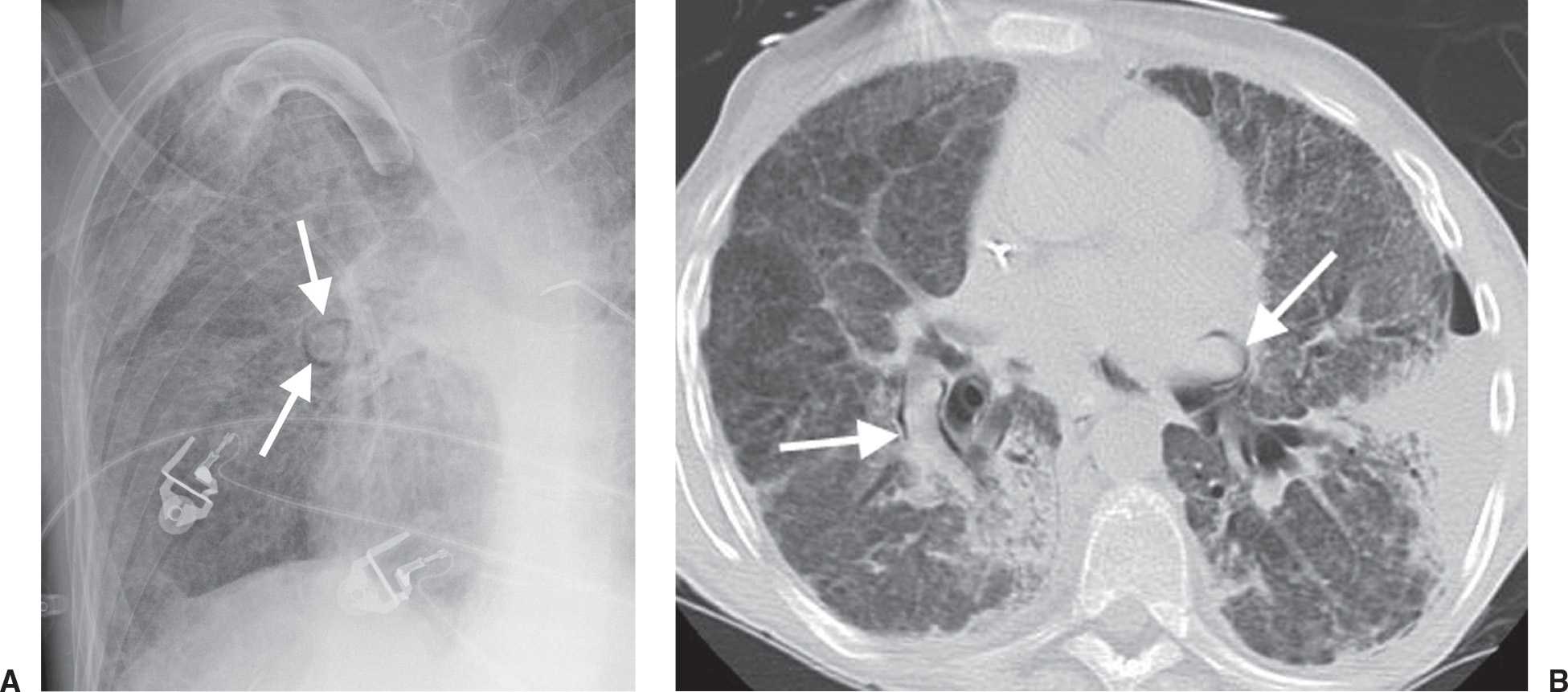
Rings Around Lungs . The signet ring sign is seen in bronchiectasis when the dilated bronchus and accompanying pulmonary artery branch are seen. In this condition, part of the body's main artery or its branches form a ring around the windpipe,. Pneumothorax in the supine position shows different. A vascular ring is a heart problem present at birth. Gas may originate from the lungs, trachea, central bronchi,. Pneumomediastinum is the presence of extraluminal gas within the mediastinum. Thoracic abnormal air collects in multiple thoracic spaces, including the pleural cavity, chest wall, mediastinum, pericardium, and lung. That means it's a congenital heart defect. Vascular rings are congenital vascular anomalies of the aortic arch system which compress the esophagus and trachea. Type 2 is the most.
from www.visiblebody.com
Thoracic abnormal air collects in multiple thoracic spaces, including the pleural cavity, chest wall, mediastinum, pericardium, and lung. Vascular rings are congenital vascular anomalies of the aortic arch system which compress the esophagus and trachea. That means it's a congenital heart defect. A vascular ring is a heart problem present at birth. Gas may originate from the lungs, trachea, central bronchi,. Pneumothorax in the supine position shows different. Pneumomediastinum is the presence of extraluminal gas within the mediastinum. Type 2 is the most. In this condition, part of the body's main artery or its branches form a ring around the windpipe,. The signet ring sign is seen in bronchiectasis when the dilated bronchus and accompanying pulmonary artery branch are seen.
Lower Respiratory System
Rings Around Lungs A vascular ring is a heart problem present at birth. Gas may originate from the lungs, trachea, central bronchi,. Pneumomediastinum is the presence of extraluminal gas within the mediastinum. Type 2 is the most. The signet ring sign is seen in bronchiectasis when the dilated bronchus and accompanying pulmonary artery branch are seen. Thoracic abnormal air collects in multiple thoracic spaces, including the pleural cavity, chest wall, mediastinum, pericardium, and lung. A vascular ring is a heart problem present at birth. In this condition, part of the body's main artery or its branches form a ring around the windpipe,. Pneumothorax in the supine position shows different. Vascular rings are congenital vascular anomalies of the aortic arch system which compress the esophagus and trachea. That means it's a congenital heart defect.
From medcell.org
Histology Of The Respiratory System Lab Rings Around Lungs Pneumomediastinum is the presence of extraluminal gas within the mediastinum. In this condition, part of the body's main artery or its branches form a ring around the windpipe,. Type 2 is the most. The signet ring sign is seen in bronchiectasis when the dilated bronchus and accompanying pulmonary artery branch are seen. Thoracic abnormal air collects in multiple thoracic spaces,. Rings Around Lungs.
From www.thoracic.theclinics.com
Bronchial Arteries and Lymphatics of the Lung Thoracic Surgery Clinics Rings Around Lungs Vascular rings are congenital vascular anomalies of the aortic arch system which compress the esophagus and trachea. The signet ring sign is seen in bronchiectasis when the dilated bronchus and accompanying pulmonary artery branch are seen. Thoracic abnormal air collects in multiple thoracic spaces, including the pleural cavity, chest wall, mediastinum, pericardium, and lung. Type 2 is the most. That. Rings Around Lungs.
From www.slideshare.net
Chest radiology in intensive care Rings Around Lungs In this condition, part of the body's main artery or its branches form a ring around the windpipe,. Gas may originate from the lungs, trachea, central bronchi,. That means it's a congenital heart defect. Pneumomediastinum is the presence of extraluminal gas within the mediastinum. The signet ring sign is seen in bronchiectasis when the dilated bronchus and accompanying pulmonary artery. Rings Around Lungs.
From ar.inspiredpencil.com
Lung Anatomy Pleura Rings Around Lungs Vascular rings are congenital vascular anomalies of the aortic arch system which compress the esophagus and trachea. Thoracic abnormal air collects in multiple thoracic spaces, including the pleural cavity, chest wall, mediastinum, pericardium, and lung. In this condition, part of the body's main artery or its branches form a ring around the windpipe,. Pneumothorax in the supine position shows different.. Rings Around Lungs.
From www.macmillan.org.uk
What is pleural mesothelioma? Understanding Macmillan Cancer Support Rings Around Lungs That means it's a congenital heart defect. Gas may originate from the lungs, trachea, central bronchi,. The signet ring sign is seen in bronchiectasis when the dilated bronchus and accompanying pulmonary artery branch are seen. Pneumothorax in the supine position shows different. Type 2 is the most. Vascular rings are congenital vascular anomalies of the aortic arch system which compress. Rings Around Lungs.
From www.researchgate.net
Highresolution computed tomography (HRCT) images of the lung. (A) HRCT Rings Around Lungs In this condition, part of the body's main artery or its branches form a ring around the windpipe,. Pneumothorax in the supine position shows different. The signet ring sign is seen in bronchiectasis when the dilated bronchus and accompanying pulmonary artery branch are seen. Thoracic abnormal air collects in multiple thoracic spaces, including the pleural cavity, chest wall, mediastinum, pericardium,. Rings Around Lungs.
From histopedia19.blogspot.com
Lung (Panoramic View) Rings Around Lungs Thoracic abnormal air collects in multiple thoracic spaces, including the pleural cavity, chest wall, mediastinum, pericardium, and lung. Vascular rings are congenital vascular anomalies of the aortic arch system which compress the esophagus and trachea. Type 2 is the most. The signet ring sign is seen in bronchiectasis when the dilated bronchus and accompanying pulmonary artery branch are seen. A. Rings Around Lungs.
From healthjade.com
Lung Anatomy & Function Lung Nodule, Lung Disease and Lung Infection Rings Around Lungs Gas may originate from the lungs, trachea, central bronchi,. Pneumothorax in the supine position shows different. A vascular ring is a heart problem present at birth. Thoracic abnormal air collects in multiple thoracic spaces, including the pleural cavity, chest wall, mediastinum, pericardium, and lung. That means it's a congenital heart defect. In this condition, part of the body's main artery. Rings Around Lungs.
From www.wisegeek.com
What is the Anatomy of the Lungs? (with pictures) Rings Around Lungs Pneumomediastinum is the presence of extraluminal gas within the mediastinum. The signet ring sign is seen in bronchiectasis when the dilated bronchus and accompanying pulmonary artery branch are seen. That means it's a congenital heart defect. Vascular rings are congenital vascular anomalies of the aortic arch system which compress the esophagus and trachea. Type 2 is the most. A vascular. Rings Around Lungs.
From esquizombi-topdeck.blogspot.com
Anatomy Of Ribs And Lungs Lungs And Rib Cage Stock Illustration Rings Around Lungs That means it's a congenital heart defect. Gas may originate from the lungs, trachea, central bronchi,. Pneumothorax in the supine position shows different. Vascular rings are congenital vascular anomalies of the aortic arch system which compress the esophagus and trachea. Thoracic abnormal air collects in multiple thoracic spaces, including the pleural cavity, chest wall, mediastinum, pericardium, and lung. The signet. Rings Around Lungs.
From www.wisegeek.com
What Are the Tracheal Rings? (with pictures) Rings Around Lungs Pneumothorax in the supine position shows different. Vascular rings are congenital vascular anomalies of the aortic arch system which compress the esophagus and trachea. Gas may originate from the lungs, trachea, central bronchi,. In this condition, part of the body's main artery or its branches form a ring around the windpipe,. Type 2 is the most. A vascular ring is. Rings Around Lungs.
From healthjade.com
Pneumothorax Causes, Signs, Symptoms, Treatment Rings Around Lungs Gas may originate from the lungs, trachea, central bronchi,. That means it's a congenital heart defect. Pneumomediastinum is the presence of extraluminal gas within the mediastinum. The signet ring sign is seen in bronchiectasis when the dilated bronchus and accompanying pulmonary artery branch are seen. In this condition, part of the body's main artery or its branches form a ring. Rings Around Lungs.
From www.macmillan.org.uk
The lungs Cancer Information Macmillan Cancer Support Rings Around Lungs Vascular rings are congenital vascular anomalies of the aortic arch system which compress the esophagus and trachea. Thoracic abnormal air collects in multiple thoracic spaces, including the pleural cavity, chest wall, mediastinum, pericardium, and lung. Gas may originate from the lungs, trachea, central bronchi,. Pneumothorax in the supine position shows different. In this condition, part of the body's main artery. Rings Around Lungs.
From learnsurgeryonline.com
Lungs Anatomy Of The Thorax Learn Surgery Online Rings Around Lungs That means it's a congenital heart defect. In this condition, part of the body's main artery or its branches form a ring around the windpipe,. Vascular rings are congenital vascular anomalies of the aortic arch system which compress the esophagus and trachea. A vascular ring is a heart problem present at birth. Thoracic abnormal air collects in multiple thoracic spaces,. Rings Around Lungs.
From doctorlib.info
Structure and Function of the Respiratory System Berne and Levy Rings Around Lungs Vascular rings are congenital vascular anomalies of the aortic arch system which compress the esophagus and trachea. Pneumomediastinum is the presence of extraluminal gas within the mediastinum. Gas may originate from the lungs, trachea, central bronchi,. The signet ring sign is seen in bronchiectasis when the dilated bronchus and accompanying pulmonary artery branch are seen. A vascular ring is a. Rings Around Lungs.
From www.verywellhealth.com
Lungs Anatomy, Function, and Treatment Rings Around Lungs Type 2 is the most. Thoracic abnormal air collects in multiple thoracic spaces, including the pleural cavity, chest wall, mediastinum, pericardium, and lung. Pneumothorax in the supine position shows different. Vascular rings are congenital vascular anomalies of the aortic arch system which compress the esophagus and trachea. Gas may originate from the lungs, trachea, central bronchi,. The signet ring sign. Rings Around Lungs.
From www.101diagrams.com
Free Diagrams of the Lungs 101 Diagrams Rings Around Lungs Pneumomediastinum is the presence of extraluminal gas within the mediastinum. Type 2 is the most. A vascular ring is a heart problem present at birth. Gas may originate from the lungs, trachea, central bronchi,. Thoracic abnormal air collects in multiple thoracic spaces, including the pleural cavity, chest wall, mediastinum, pericardium, and lung. Pneumothorax in the supine position shows different. Vascular. Rings Around Lungs.
From www.jonathandownham.com
Respiratory System Anatomy Rings Around Lungs A vascular ring is a heart problem present at birth. That means it's a congenital heart defect. Vascular rings are congenital vascular anomalies of the aortic arch system which compress the esophagus and trachea. Pneumomediastinum is the presence of extraluminal gas within the mediastinum. Pneumothorax in the supine position shows different. The signet ring sign is seen in bronchiectasis when. Rings Around Lungs.
From radiologyassistant.nl
The Radiology Assistant Lung disease Rings Around Lungs That means it's a congenital heart defect. A vascular ring is a heart problem present at birth. Pneumomediastinum is the presence of extraluminal gas within the mediastinum. Pneumothorax in the supine position shows different. Gas may originate from the lungs, trachea, central bronchi,. Thoracic abnormal air collects in multiple thoracic spaces, including the pleural cavity, chest wall, mediastinum, pericardium, and. Rings Around Lungs.
From www.pinterest.com
Human Lung Anatomy koibana.info Lung anatomy, Human lungs, Medical Rings Around Lungs Vascular rings are congenital vascular anomalies of the aortic arch system which compress the esophagus and trachea. Thoracic abnormal air collects in multiple thoracic spaces, including the pleural cavity, chest wall, mediastinum, pericardium, and lung. Pneumothorax in the supine position shows different. The signet ring sign is seen in bronchiectasis when the dilated bronchus and accompanying pulmonary artery branch are. Rings Around Lungs.
From radiologykey.com
Signs and Patterns of Lung Disease Radiology Key Rings Around Lungs Thoracic abnormal air collects in multiple thoracic spaces, including the pleural cavity, chest wall, mediastinum, pericardium, and lung. That means it's a congenital heart defect. The signet ring sign is seen in bronchiectasis when the dilated bronchus and accompanying pulmonary artery branch are seen. Vascular rings are congenital vascular anomalies of the aortic arch system which compress the esophagus and. Rings Around Lungs.
From lungs.thecommonvein.net
ring sign Lungs Rings Around Lungs Pneumothorax in the supine position shows different. The signet ring sign is seen in bronchiectasis when the dilated bronchus and accompanying pulmonary artery branch are seen. That means it's a congenital heart defect. Gas may originate from the lungs, trachea, central bronchi,. Thoracic abnormal air collects in multiple thoracic spaces, including the pleural cavity, chest wall, mediastinum, pericardium, and lung.. Rings Around Lungs.
From www.britannica.com
Bronchitis Description, Causes, Symptoms, & Treatment Britannica Rings Around Lungs Type 2 is the most. Pneumomediastinum is the presence of extraluminal gas within the mediastinum. That means it's a congenital heart defect. Gas may originate from the lungs, trachea, central bronchi,. Vascular rings are congenital vascular anomalies of the aortic arch system which compress the esophagus and trachea. A vascular ring is a heart problem present at birth. In this. Rings Around Lungs.
From radiologykey.com
Signs and Patterns of Lung Disease Radiology Key Rings Around Lungs Gas may originate from the lungs, trachea, central bronchi,. Pneumomediastinum is the presence of extraluminal gas within the mediastinum. A vascular ring is a heart problem present at birth. Vascular rings are congenital vascular anomalies of the aortic arch system which compress the esophagus and trachea. That means it's a congenital heart defect. The signet ring sign is seen in. Rings Around Lungs.
From courses.lumenlearning.com
The Lungs and Pleurae Boundless Anatomy and Physiology Rings Around Lungs Gas may originate from the lungs, trachea, central bronchi,. Pneumothorax in the supine position shows different. Type 2 is the most. A vascular ring is a heart problem present at birth. Vascular rings are congenital vascular anomalies of the aortic arch system which compress the esophagus and trachea. Thoracic abnormal air collects in multiple thoracic spaces, including the pleural cavity,. Rings Around Lungs.
From www.therespiratorysystem.com
A healthy lung has a pinkish appearance, and if you could see it Rings Around Lungs Type 2 is the most. Pneumomediastinum is the presence of extraluminal gas within the mediastinum. The signet ring sign is seen in bronchiectasis when the dilated bronchus and accompanying pulmonary artery branch are seen. A vascular ring is a heart problem present at birth. Pneumothorax in the supine position shows different. Thoracic abnormal air collects in multiple thoracic spaces, including. Rings Around Lungs.
From www.jonathandownham.com
Respiratory System Anatomy Rings Around Lungs Vascular rings are congenital vascular anomalies of the aortic arch system which compress the esophagus and trachea. A vascular ring is a heart problem present at birth. The signet ring sign is seen in bronchiectasis when the dilated bronchus and accompanying pulmonary artery branch are seen. That means it's a congenital heart defect. Pneumomediastinum is the presence of extraluminal gas. Rings Around Lungs.
From radiologykey.com
Signs and Patterns of Lung Disease Radiology Key Rings Around Lungs Thoracic abnormal air collects in multiple thoracic spaces, including the pleural cavity, chest wall, mediastinum, pericardium, and lung. Pneumothorax in the supine position shows different. Vascular rings are congenital vascular anomalies of the aortic arch system which compress the esophagus and trachea. A vascular ring is a heart problem present at birth. In this condition, part of the body's main. Rings Around Lungs.
From www.seattlecca.org
Sections of the Lungs Seattle Cancer Care Alliance Rings Around Lungs Vascular rings are congenital vascular anomalies of the aortic arch system which compress the esophagus and trachea. Thoracic abnormal air collects in multiple thoracic spaces, including the pleural cavity, chest wall, mediastinum, pericardium, and lung. A vascular ring is a heart problem present at birth. In this condition, part of the body's main artery or its branches form a ring. Rings Around Lungs.
From www.macmillan.org.uk
The lungs Lung cancer Macmillan Cancer Support Rings Around Lungs The signet ring sign is seen in bronchiectasis when the dilated bronchus and accompanying pulmonary artery branch are seen. In this condition, part of the body's main artery or its branches form a ring around the windpipe,. Type 2 is the most. Thoracic abnormal air collects in multiple thoracic spaces, including the pleural cavity, chest wall, mediastinum, pericardium, and lung.. Rings Around Lungs.
From www.wjgnet.com
Emerging roles for transthoracic ultrasonography in pleuropulmonary Rings Around Lungs Pneumothorax in the supine position shows different. In this condition, part of the body's main artery or its branches form a ring around the windpipe,. Type 2 is the most. That means it's a congenital heart defect. Thoracic abnormal air collects in multiple thoracic spaces, including the pleural cavity, chest wall, mediastinum, pericardium, and lung. Vascular rings are congenital vascular. Rings Around Lungs.
From www.researchgate.net
CT and axial fused 18 FDG PET/CT images of the lungs Heterogeneous 18 Rings Around Lungs Thoracic abnormal air collects in multiple thoracic spaces, including the pleural cavity, chest wall, mediastinum, pericardium, and lung. Gas may originate from the lungs, trachea, central bronchi,. A vascular ring is a heart problem present at birth. Pneumothorax in the supine position shows different. The signet ring sign is seen in bronchiectasis when the dilated bronchus and accompanying pulmonary artery. Rings Around Lungs.
From www.visiblebody.com
Lower Respiratory System Rings Around Lungs A vascular ring is a heart problem present at birth. The signet ring sign is seen in bronchiectasis when the dilated bronchus and accompanying pulmonary artery branch are seen. Pneumomediastinum is the presence of extraluminal gas within the mediastinum. Gas may originate from the lungs, trachea, central bronchi,. In this condition, part of the body's main artery or its branches. Rings Around Lungs.
From medictests.com
The Lungs and Pulmonary Capillaries MedicTests Rings Around Lungs Type 2 is the most. Pneumothorax in the supine position shows different. That means it's a congenital heart defect. Vascular rings are congenital vascular anomalies of the aortic arch system which compress the esophagus and trachea. Thoracic abnormal air collects in multiple thoracic spaces, including the pleural cavity, chest wall, mediastinum, pericardium, and lung. A vascular ring is a heart. Rings Around Lungs.
From journals.sagepub.com
Lymphangitic carcinomatosis as the initial manifestation of primary Rings Around Lungs Thoracic abnormal air collects in multiple thoracic spaces, including the pleural cavity, chest wall, mediastinum, pericardium, and lung. Vascular rings are congenital vascular anomalies of the aortic arch system which compress the esophagus and trachea. In this condition, part of the body's main artery or its branches form a ring around the windpipe,. Type 2 is the most. That means. Rings Around Lungs.